Получение рекомбинантного белка VP1 норовируса и его антигенные и иммуногенные свойства
- Авторы: Лапин В.А.1, Новиков Д.В.1, Мохонова Е.В.1, Мелентьев Д.А.1, Цыганова М.И.1, Зайцев Д.Е.1, Новиков В.В.1
-
Учреждения:
- Нижегородский научно-исследовательский институт эпидемиологии и микробиологии имени академика И.Н. Блохиной
- Выпуск: Том 101, № 5 (2024)
- Страницы: 661-667
- Раздел: ОРИГИНАЛЬНЫЕ ИССЛЕДОВАНИЯ
- URL: https://medbiosci.ru/0372-9311/article/view/276639
- DOI: https://doi.org/10.36233/0372-9311-552
- EDN: https://elibrary.ru/ubmktf
- ID: 276639
Цитировать
Аннотация
Введение. Значимость норовирусов в инфекционной патологии человека и опасность возникновения крупных эпидемических вспышек в организованных коллективах обосновывают необходимость разработки средств специфической профилактики инфекции.
Цель работы — получение рекомбинантного белка VP1 норовируса и анализ его иммуногенных и антигенных свойств.
Материалы и методы. Проведены компьютерный анализ нуклеотидных и аминокислотных последовательностей, молекулярное клонирование, полимеразная цепная реакция, электрофорез нуклеиновых кислот в агарозном геле и белков в полиакриламидном геле, аффинная хроматография, иммуноферментный анализ.
Результаты. Создана генетическая конструкция, кодирующая рекомбинантный VP1 норовируса генотипа GII с кодонами, оптимизированными для высокоэффективной экспрессии в Escherichia сoli. Генетической конструкцией трансформирован штамм E. coli Rosetta 2 (DE3). Осуществлена экспрессия VP1 в клетках E. coli, оптимизированы условия для его продукции, очистки и ренатурации. Получен очищенный растворимый рекомбинантный белок VP1, формирующий вирусоподобные частицы диаметром 30–50 нм. Иммунизация белком мышей BALB/c вызывала образование антител с титром более 1 : 1000. При оценке антигенных свойств показано, что в крови волонтёров присутствуют антитела классов IgG, IgM, IgA, взаимодействующие с рекомбинантным VP1. Суммарная частота обнаружения антител составила 47,4%.
Заключение. Результаты обосновывают возможность использования рекомбинантного VP1 для создания отечественной вакцины для профилактики норовирусной инфекции.
Ключевые слова
Полный текст
Введение
В этиологической структуре вирусных острых кишечных инфекций норовирусы (НВ; сем. Caliciviridae, род Norovirus) находятся на 2-м месте после ротавирусов. В странах, проводящих вакцинацию против ротавирусов, НВ вышли на 1-е место [1, 2]. В группы риска заражения НВ входят дети, молодые и пожилые люди. Вспышки инфекции НВ регистрируются в течение всего года с подъёмом заболеваемости в весенние и летние месяцы.
НВ человека представляет собой икосаэдрический вирус без оболочки, имеет геном в виде одноцепочечной позитивно-смысловой РНК длиной примерно 7,5–7,7 кб, кодирующей 3 открытые рамки считывания. Капсид вируса построен из наружного (VP1) и внутреннего (VP2) белков. ORF1 кодирует большой полипротеин, предшественник 6 неструктурных белков (NS1/2–NS7), ORF2 — основной структурный белок VP1 капсида, ORF3 — минорный структурный белок VP2 капсида, который расположен внутри вирусной частицы. VP1 способен самособираться в вирусоподобные частицы, которые практически неотличимы от нативных вирионов и обладают выраженными иммуногенными свойствами.
Для НВ известны 10 геногрупп, на основе анализа аминокислотной последовательности наружного капсидного белка VP1 выделены 48 генотипов. Наиболее распространённой геногруппой НВ является GII, на долю которой в России приходится большинство случаев НВ-гастроэнтерита детей первых лет жизни. Так, в Свердловской области в 2022 г. наибольший удельный вес в генотипической структуре циркулирующих НВ занимaли НВ, относящиеся к геногруппе GII (58%) Сходные данные были получены в ходе молекулярно-эпидемиологического анализа генетических вариантов НВ в ряде других европейских стран, Японии и Китае. В отдельные годы на долю геногруппы GII приходилось до 80–90% случаев НВ-гастроэнтерита детей. К доминирующим вариантам вируса этой геногруппы относят НВ GII.4 [3, 4]. Значимость НВ в инфекционной патологии человека и опасность возникновения крупных эпидемических вспышек в организованных коллективах определяют необходимость разработки средств специфической профилактики инфекции. На примере успешного внедрения ротавирусной вакцины показано, что программы вакцинации могут значительно снизить количество случаев гастроэнтерита [5]. На основе белков НВ в мире также разрабатывается несколько кандидатных вакцин против НВ, две из которых в настоящее время находятся на II/III стадии клинических испытаний и предназначены для профилактики инфекции НВ у детей и взрослых [6, 7].
Целью работы явилось получение и анализ иммуногенных и антигенных свойств рекомбинантного белка НВ VP1.
Материалы и методы
Анализ нуклеотидных последовательностей, дизайн олигонуклеотидов, конструирование гена, расчёт молекулярной массы белка, изоэлектрической точки и коэффициента экстинкции осуществляли с помощью пакета программного обеспечения «Lasergene 7.1.0» («Dnastar, Inc.»). Оптимизацию кодонов проводили на основе базы данных Codonusage database1. В работу была взята нуклеотидная последовательность VP1 эпидемического варианта НВ с генотипом GII.4, доминирующего на территории Нижегородской области. Нуклеотидные последовательности секвенировали с использованием генетического анализатора «ABI Prism 310» («Thermo Fisher Scientific»).
Клетки Escherichia coli, штамм Rosetta 2 (DE3), трансформированные полученной генетической конструкцией на основе плазмиды pET22b и кодирующей VP1 НВ, выращивали в среде LB-Miller pH 7,0. Индукцию синтеза белка проводили путём добавления изопропил-β-D-1-тиогалактопиранозида до конечной концентрации 0,5 мM к каждой культуре. Биомассы клеток получали центрифугированием, лизировали в растворе, содержащем 25 мМ HEPES (pH 7,5), 1 М NaCl, 10% глицерина, 1% Triton X-100, ДНКазы I (10 мкг/мл), РНКазыА (10 мкг/мл), лизоцима (50 мкг/мл), 0,2 мМ фенилметилсульфонилфторида, дезинтегрировали ультразвуком с помощью «QSonica Q55» («QSonica sonicators»), центрифугировали и добавляли промывочный буфер, содержащий 25 мМ HEPES pH 7,5, 1 М NaCl, 10% глицерина, 1 М мочевины с последующим центрифугированием.
Выделение VP1 НВ проводили методом металлохелатной хроматографии в денатурирующих условиях с помощью сорбента Ni-NTA Superflow («GEHealthcare»). Ренатурацию VP1 осуществляли с помощью диализа. Электрофорез белков в 12% полиакриламидном геле в присутствии додецилсульфата натрия проводили общепринятым методом, иммуноблоттинг — с использованием сывороточных антител (АТ) человека против VP1 НВ и конъюгированных с пероксидазой хрена моноклональных АТ к IgG человека «Hytest». После переноса белки на мембране окрашивали в растворе субстрата Super Signal West Dura Extended Duration Substrate («Thermo Scientific») и измеряли хемилюминесценцию с помощью сканера «C-DiGit Blot Scanner» («Li-Сor»). Микрофотографии вирусоподобных частиц, образуемых VP1 НВ, получали с помощью электронного микроскопа «НТ7700» («Hitachi»). Для иммунизации использовали самок мышей линии BALB/c возрастом 8 нед и массой 16–18 г. Животных содержали в условиях вивария в соответствии с межгосударственными стандартами ГОСТ 33216-2014 и ГОСТ 33215-2014. Биоматериал для исследования брали у мышей с соблюдением принципов гуманности, изложенных в директивах европейского сообщества (86/609/ЕС).
Исследования проводили согласно биоэтическим и этическим принципам, установленным Хельсинкской декларацией (принятой в июне 1964 г. и пересмотренной в октябре 2013 г.). Для оценки антигенных свойств рекомбинантных белков использовали 637 образцов плазмы крови, полученных из диагностического центра «Гемохелп» (ООО «ТИАС ЛОТУС») от лиц в возрасте 19–44 лет, обратившихся для проведения диагностических исследований и давших письменное согласие на использование их биоматериала в исследовании.
АТ к VP1 НВ определяли с помощью твёрдофазного иммуноферментного анализа. VP1 сорбировали в лунки планшетов в концентрации 1 мкг/мл в течение 18 ч при 20oC. Тестируемую сыворотку крови мышей разводили с шагом 2, плазму крови волонтёров разводили перед тестированием с шагом 10. В качестве отрицательного контроля использовали сыворотку неиммунизированных мышей. При определении АТ в крови лабораторных животных использовали конъюгированные с пероксидазой корня хрена кроличьи АТ против иммуноглобулинов мыши. При определении АТ человека использовали конъюгированные с пероксидазой хрена кроличьи АТ против иммуноглобулинов классов G, M и А (IgG, IgM, IgA). За положительную реакцию принимали значение оптической плотности больше среднего значения отрицательного контроля, умноженного на 3.
Анализ полученных данных проводили с помощью программного обеспечения «Microsoft Excel» («Microsoft»). Статистическую обработку данных проводили с использованием программы «Graph Pad Prism 8» («Graph Pad Software»). Различия в данных считали статистически достоверными при р ≤ 0,05.
Результаты
В начало нуклеотидной последовательности, кодирующей белок VP1 эпидемически значимого штамма НВ генотипа GII.4, был внесён сайт для эндонуклеазы рестрикции NdeI. К последовательности, кодирующей С-терминальную часть белка, была добавлена нуклеотидная последовательность, кодирующая 6 гистидинов, стоп-кодон (ТАА) и сайт для рестриктазы XhoI, использованные для последующего молекулярного клонирования. Схематичное строение гена представлено на рис. 1. Полученную последовательность синтезировали в фирме «Евроген». Последовательность, кодирующая VP1, была перенесена в плазмиду pET22b («Thermo Fisher Scientific»), позволяющую с высокой эффективностью экспрессировать рекомбинантные белки в штаммах E. coli, содержащих в геноме DE3 лизоген [8].
Рис. 1. Схематичное строение генетической конструкции, кодирующей VP1 НВ в составе pET22b.
Fig. 1. Schematic representation of the genetic construct encoding VP1 of norovirus in pET22b.
Полученной генетической конструкцией, кодирующей VP1 НВ, трансформировали клетки E. coli, штамм Rosetta 2 (DE3). Была оценена эффективность продукции белка, составившая 20–40 мг белка на 1 л клеточной культуры. Белок формировал «тельца включения». Определён оптимальный состав среды и условия культивирования трансформированных клеток E. coli. Максимальная плотность культуры клеток (OD600 = 2,8) соответствовала 5 г биомассы на 1 л культуры в среде LB, содержащей 0,5% глицерина и 25 мМ фосфатного буфера pH 7,4. Оптимальная концентрация изопропил-β-D-1-тиогалактопиранозида составила 0,5 мМ, оптимальная температура для экспрессии белков — 30ºС, время индукции — 4–8 ч.
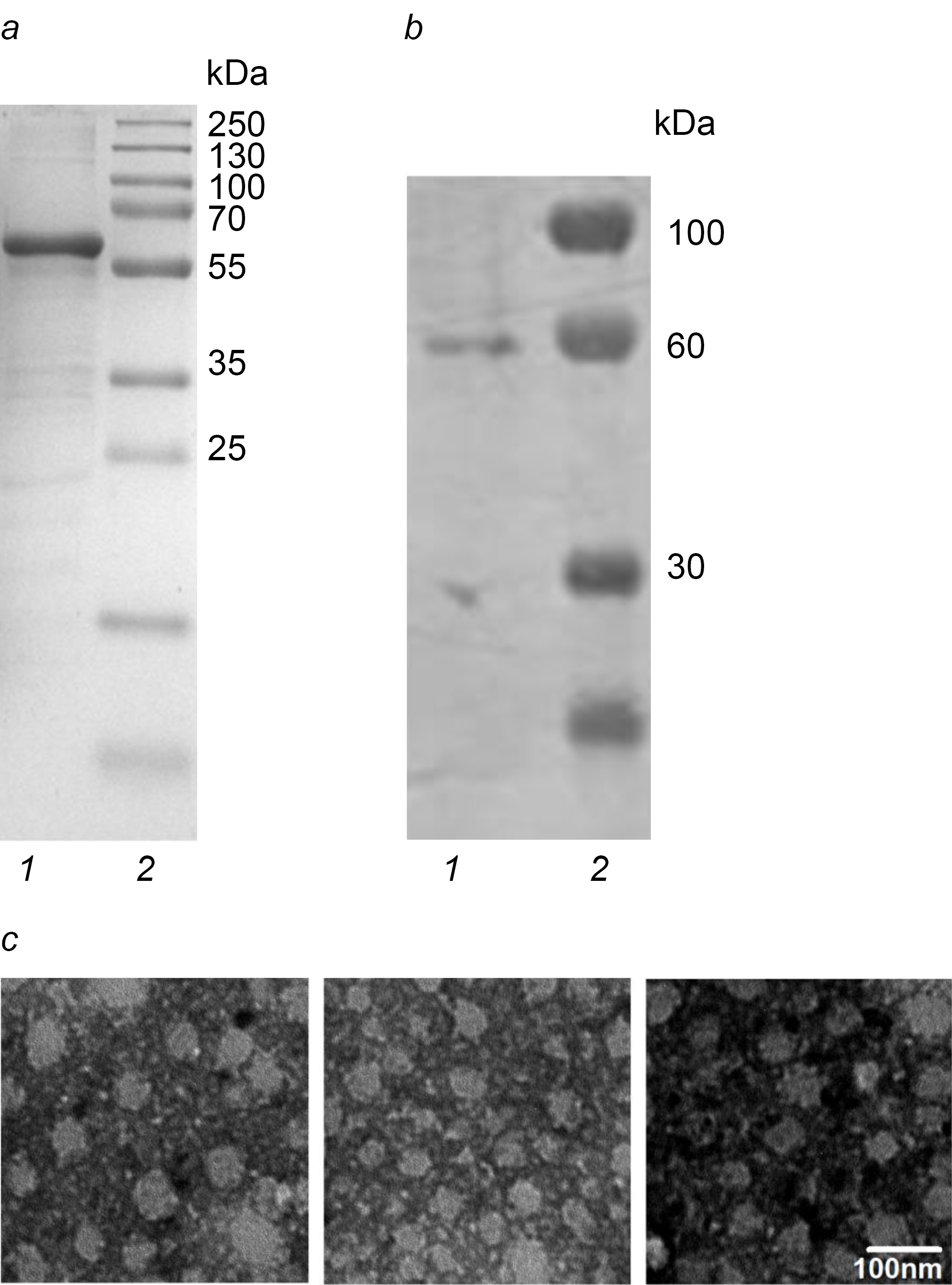
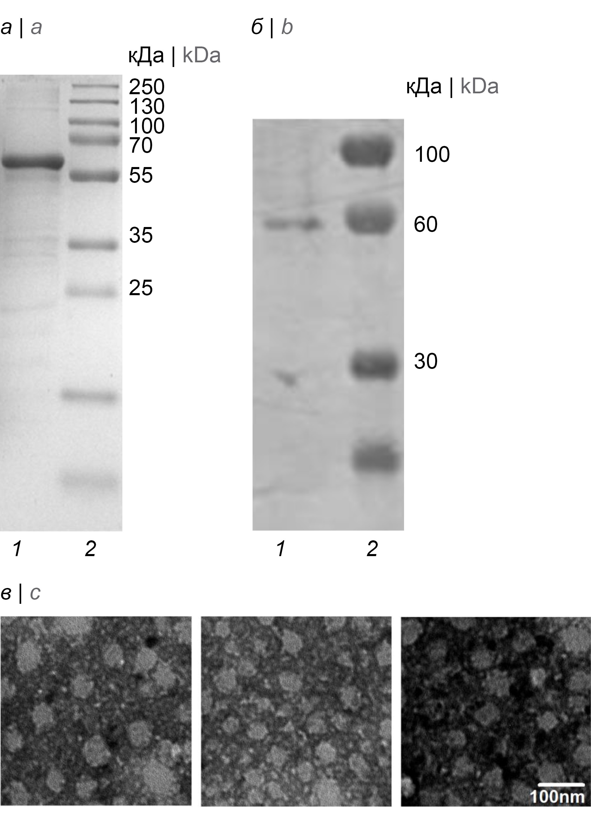
В результате последующей очистки с помощью металл-хелатной хроматографии в присутствии 8 М мочевины и рефолдинга путём диализа против раствора, содержащего 25 мМ HEPES pH 7,5, 150 мМ NaCl и 5% глюкозы, получен растворимый белок, состоящий из 560 аминокислот, имеющий расчётную молекулярную массу 60,6 кДа, изоэлектрическую точку, равную 6,15, и коэффициент экстинции 1,04 (рис. 2, а).
Рис. 2. Характеристика рекомбинантного белка VP1.
а — электрофореграмма очищенного VP1 белка НВ; б — вестерн-блот рекомбинантного VP1 НВ; 1 — VP1; 2 — маркеры молекулярной массы; в — электронно-микроскопические фотографии вирусоподобных частиц, образуемых рекомбинантным VP1 НВ. Контрастирование 3% уранилацетатом pH 4,6.
Fig. 2. Characteristics of the recombinant VP1 protein.
a — electrophoregram of purified norovirus VP1 protein; b — Western-blot of purified norovirus VP1 protein; 1 — VP1; 2 — molecular weight marker; с — electron microscopic photographs of virus-like particles formed by recombinant norovirus VP1. Contrast with 3% uranyl acetate, pH 4.6.
Белок наработан в препаративных количествах и использован для оценки способности формировать вирусоподобные частицы и для иммунизации лабораторных мышей. На рис. 2, б представлена электронно-микроскопическая фотография, свидетельствующая о способности рекомбинантного белка VP1 образовывать вирусоподобные частицы диаметром 30–50 нм, что соответствует данным других авторов [9]. При этом вестерн-блот (рис. 2, в) показал способность рекомбинантного VP1 взаимодействовать с сывороточными АТ серопозитивных лиц.
Двукратная внутрибрюшинная иммунизация 10 лабораторных мышей с интервалом в 2 нед и последующим получением сыворотки крови через 3 нед после 2-й иммунизации в дозе 10 мкг (0,5 мл) приводила к образованию в крови животных АТ против VP1 НВ. АТ в крови животных обнаруживались в титрах от 1 : 1024 до 1 : 4096, средний титр составил величину, равную 1 : 1536. Иммунизация животных той же дозой белка по той же схеме, но в смеси с 100 мг гидроокиси алюминия вызвала появление АТ к VP1 НВ в титрах до 1 : 32 768. В среднем титр АТ был равен 1 : 13 720, что почти на порядок превышало титры АТ у животных, иммунизированных без гидроокиси алюминия (рис. 3). Таким образом, показано, что полученный рекомбинантный белок способен вызвать выраженный антительный ответ, значительно повышающийся в присутствии использованного адъюванта.
Рис. 3. Титры АТ у мышей, иммунизированных рекомбинантным VP1 НВ.
1 — без гидроокиси алюминия; 2 — с гидроокисью алюминия.
Fig. 3. Antibody titers in mice immunized with recombinant norovirus VP1.
1 — without aluminum hydroxide; 2 — with aluminum hydroxide.
Поскольку НВ широко циркулирует среди населения, закономерно ожидать наличие АТ к его белкам в крови людей. Проведена оценка наличия АТ разных классов к полученному рекомбинантному белку в крови лиц, проживающих в средней полосе России. Определяли частоту обнаружения АТ к VP1 в образцах плазмы крови 637 волонтёров. Как следует из рис. 4, АТ класса IgG обнаруживались у 14,8% волонтёров, АТ класса IgM — у 7,1%, АТ класса IgА — у 38,5%. Суммарная встречаемость АТ составила 47,4%.
Рис. 4. Частота детекции АТ разных классов к рекомбинантному VP1 НВ в крови здоровых волонтёров.
Fig. 4. Detection rate of antibodies of different classes to recombinant norovirus VP1 in the blood of healthy volunteers.
Результаты свидетельствуют о том, что эпитопы полученного нами рекомбинантного VP1 НВ GII.4 распознаются АТ, присутствующими в крови человека. Однако титры АТ класса IgG в большинстве своем были невелики и превышали у серопозитивных волонтеров величину, равную 1 : 1000 и более, только в 4,3% случаев (4 из 94), что свидетельствует о давнем инифицировании этих лиц НВ. У волонтёров, имевших АТ к VP1 НВ класса IgA, высокие титры (равные 1 : 1000 и более) обнаруживались со сходной частотой (4,9% случаев). В то же время из 25 волонтёров, имевших АТ к VP1 НВ класса IgM, титры, равные 1 : 1000 и более, обнаружены в 16% случаев. Вероятно, эти лица имели недавний контакт с вирусом.
Обсуждение
Полученные данные о частоте встречаемости АТ против VP1 НВ GII.4 и их титрах соответствуют результатам других авторов. Сообщается о широком разбросе в частоте обнаружения АТ и их титрах у лиц разного возраста, проживающих в разных странах. Суммарная частота обнаружения колеблется от 25 до 95%. При этом наблюдается перекрёстная реактивность с НВ других геногрупп [10, 11].
Белок VP1 НВ состоит из 2 доменов, принимающих участие в самосборке вирусоподобных частиц [12]. Cпособность VP1 НВ к самосборке может быть использована для получения образующих вирусоподобные частицы химерных белков, состоящих из S-домена VP1 НВ и фрагментов других белков, выступающих в качестве антигена. То есть, существует возможность декорирования разными антигенами вирусоподобных частиц НВ, что продемонстрировано в работах ряда авторов [13–15]. Генетическая конструкция, кодирующая полученный нами рекомбинантный белок, может быть применена в качестве молекулярной платформы для создания химерных вирусоподобных частиц на основе VP1 НВ.
Заключение
Полученный нами рекомбинантный VP1 НВ, экспрессированный в E. coli, способен формировать вирусоподобные частицы, проявляет иммуногенность у мышей в отсутствие и в присутствии адъюванта и распознается АТ человека классов IgG, IgM, IgA. Результаты работы свидетельствуют о возможности использования рекомбинантного VP1 в качестве антигена при конструировании вакцины для профилактики инфекции НВ, основанной на вирусоподобных частицах.
1 URL: http://www.kazusa.or.jp/codon/
Об авторах
Владислав Александрович Лапин
Нижегородский научно-исследовательский институт эпидемиологии и микробиологии имени академика И.Н. Блохиной
Email: mbre@mail.ru
ORCID iD: 0000-0002-5905-5722
м. н. с. лаб. иммунохимии
Россия, Нижний НовгородДмитрий Викторович Новиков
Нижегородский научно-исследовательский институт эпидемиологии и микробиологии имени академика И.Н. Блохиной
Email: mbre@mail.ru
ORCID iD: 0000-0001-7049-6935
к. б. н., в. н. с. лаб. иммунохимии
Россия, Нижний НовгородЕкатерина Валерьевна Мохонова
Нижегородский научно-исследовательский институт эпидемиологии и микробиологии имени академика И.Н. Блохиной
Email: mbre@mail.ru
ORCID iD: 0000-0002-9742-7646
н. с. лаб. иммунохимии
Россия, Нижний НовгородДмитрий Александрович Мелентьев
Нижегородский научно-исследовательский институт эпидемиологии и микробиологии имени академика И.Н. Блохиной
Email: mbre@mail.ru
ORCID iD: 0000-0002-2441-6874
м. н. с. лаб. иммунохимии
Россия, Нижний НовгородМария Игоревна Цыганова
Нижегородский научно-исследовательский институт эпидемиологии и микробиологии имени академика И.Н. Блохиной
Email: mbre@mail.ru
ORCID iD: 0000-0002-2811-6844
к. б. н., в. н. с. лаб. иммунохимии
Россия, Нижний НовгородДмитрий Евгеньевич Зайцев
Нижегородский научно-исследовательский институт эпидемиологии и микробиологии имени академика И.Н. Блохиной
Email: mbre@mail.ru
ORCID iD: 0000-0002-7663-6924
старший лаборант лаб. иммунохимии
Россия, Нижний НовгородВиктор Владимирович Новиков
Нижегородский научно-исследовательский институт эпидемиологии и микробиологии имени академика И.Н. Блохиной
Автор, ответственный за переписку.
Email: mbre@mail.ru
ORCID iD: 0000-0002-2449-7213
д. б. н., проф., зав. лаб. иммунохимии
Россия, Нижний НовгородСписок литературы
- Black R.E., Perin J., Yeung D., et al. Estimated global and regional causes of deaths from diarrhoea in children younger than 5 years during 2000-21: a systematic review and Bayesian multinomial analysis. Lancet Glob. Health. 2024;12(6):e919–28. DOI: https://doi.org/10.1016/S2214-109X(24)00078-0
- Jeon K., Lee S.K., Jeong S., et al. Trends in the detection of viruses causing gastroenteritis over a 10-year period and impact of nonpharmaceutical interventions. J. Clin. Virol. 2024;172:105676. DOI: https://doi.org/10.1016/j.jcv.2024.105676
- van Beek J., de Graaf M., Al-Hello H., et al. Molecular surveillance of norovirus, 2005–16: an epidemiological analysis of data collected from the NoroNet network. Lancet Infect. Dis. 2018;18(5):545–53. DOI: https://doi.org/10.1016/s1473-3099(18)30059-8
- Быков Р.О., Скрябина С.В., Килячина А.С. и др. Молекулярно-генетическая характеристика и филогенетический анализ возбудителей норовирусной инфекции человека отдельных муниципалитетов в Свердловской области за 2022 год. Журнал микробиологии, эпидемиологии и иммунобиологии. 2023;100(4):306–313. Bykov R.O., Scriabina S.V., Kilyachina A.S., et al. Genetic characterization and phylogenetic analysis of human norovirus infection in individual municipalities of the Sverdlovsk region in 2022. Journal of Microbiology, Epidemiology and Immunobiology. 2023; 100(4):306–13. DOI: https://doi.org/10.36233/0372-9311-402 EDN: https://elibrary.ru/qiehre
- Burnett E., Parashar U., Tate J. Rotavirus vaccines: effectiveness, safety, and future directions. Paediatric Drugs. 2018;20:223–33. DOI: https://doi.org/10.1007/s40272-018-0283-3
- Treanor J., Sherwood J., Cramer J.P., et al. A phase 2 study of the bivalent VLP norovirus vaccine candidate in older adults; impact of MPL adjuvant or a second dose. Vaccine. 2020;38(36):5842–50. DOI: https://doi.org/10.1016/j.vaccine.2020.06.011
- López P., López-Medina E., Sáez-Llorens X., et al. Immunogenicity and tolerability of a bivalent virus-like particle norovirus vaccine candidate in children from 6 months up to 4 years of age: a phase 2 randomized, double-blind trial. Hum. Vaccin. Immunother. 2023;19(1):2204787. DOI: https://doi.org/10.1080/21645515.2023.2204787
- Mokhonov V.V., Vasilenko E.A., Gorshkova E.N., et al. SlyD-deficient Escherichia coli strains: a highway to contaminant-free protein extraction. Biochem. Biophys. Res. Commun. 2018;499(4):967–72. DOI: https://doi.org/10.1016/j.bbrc.2018.04.029
- Lampinen V., Gröhn S., Soppela S., et al. SpyTag/SpyCatcher display of influenza M2e peptide on norovirus-like particle provides stronger immunization than direct genetic fusion. Front. Cell Infect. Microbiol. 2023;13:1216364. DOI: https://doi.org/10.3389/fcimb.2023.1216364
- Kobayashi S., Fujiwara N., Rockx B., et al. Characterization of the homo- and heterotypic immune responses after natural norovirus infection. J. Med. Virol. 2005;77:439–46. DOI: https://doi.org/10.1002/jmv.20473
- Takeda N., Minagawa H. Seroepidemiological study of norovirus infection in Aichi Prefecture, Japan. Microbiol. Immunol. 2009;53:356–9. DOI: https://doi.org/10.1111/j.1348-0421.2009.00132.x
- Tan M., Fang P., Chachiyo T., et al. Noroviral particle: structure, function and applications in virus-host interaction. Virology. 2008;382:115–23. DOI: https://doi.org/10.1016/j.virol.2008.08.047
- Новиков Д.В., Мелентьев Д.А., Мохонов В.В., и др. Получение вирусоподобных частиц норовируса, содержащих VP1 эховируса 30. Вопросы вирусологии. 2021;66(5):383–9. Novikov D.V., Melentev D.A., Mokhonov V.V., et al. Construction of norovirus (Caliciviridae: Norovirus) virus-like particles containing VP1 of the Echovirus 30 (Piconaviridae: Enterovirus: Enterovirus B). Problems of Virology. 2021;66(5):383–9. DOI: https://doi.org/10.36233/0507-4088-79 EDN: https://elibrary.ru/mkbqet
- Tamminen K., Heinimäki S., Vesikari T., Blazevic V. Rotavirus VP6 adjuvant effect on norovirus GII.4 virus-like particle uptake and presentation by bone marrow-derived dendritic cells in vitro and in vivo. J. Immunol. Res. 2020;2020:3194704. DOI: https://doi.org/10.1155/2020/3194704
- Boonyakida J., Khoris I.M., Nasrin F., Park E.Y. Improvement of modular protein display efficiency in SpyTag-implemented norovirus-like particles. Biomacromolecules. 2023;24(1): 308–18. DOI: https://doi.org/10.1021/acs.biomac.2c01150
Дополнительные файлы






