Электрофизические свойства, прочность и структура керамики ВК94-1, полученной с использованием метода распылительной сушки высококонцентрированной суспензии
- Authors: Голубева И.Е.1,2, Ситников А.И.2, Атапин A.A.1, Гордиенко A.Н.1, Коломиец Т.Ю.2, Коновалов А.А.2, Шокодько А.В.2, Солнцев К.А.2
-
Affiliations:
- Всероссийский научно-исследовательский институт автоматики им. Н. Л. Духова
- Институт металлургии и материаловедения им. А. А. Байкова Российской академии наук
- Issue: Vol 60, No 9-10 (2024)
- Pages: 1146-1157
- Section: Articles
- URL: https://medbiosci.ru/0002-337X/article/view/291652
- DOI: https://doi.org/10.31857/S0002337X24090092
- EDN: https://elibrary.ru/LLNRGF
- ID: 291652
Cite item
Full Text
Abstract
Изучены электрофизические свойства, прочность и структура образцов керамического материала, соответствующего по составу промышленно производимой керамике марки ВК94-1. Керамические образцы получены с использованием нового технологического подхода, включающего распылительную сушку высококонцентрированной водной суспензии, содержащей минеральную порошковую смесь состава ВК94-1, формование полученного гранулята при сочетании одноосного полусухого прессования и холодного изостатического прессования, а также последующее спекание заготовок на воздухе. Высокие показатели исследуемых свойств достигаются благодаря высокой реологии гранулята, обеспечивающей повышенную плотность как сырых заготовок, так и спеченного материала с мелкокристаллической структурой. Достигнуты следующие свойства материала, превышающие соответствующие характеристики промышленной керамики ВК94-1: относительная плотность 98.7%, прочность при изгибе 380–420 МПа, размер кристаллов в структуре спеченного материала 1–5 мкм, диэлектрическая проницаемость 97, тангенс угла диэлектрических потерь 3.4×10–4, удельное объемное сопротивление 5.3×1014 Ом см. Разработанная керамика может быть рекомендована для использования в качестве диэлектрических деталей специального назначения.
Full Text
Введение
Керамика марки ВК94-1 на основе α-Al2O3 нашла широкое применение в электронной промышленности, в том числе в качестве материала для электровакуумных приборов [1]. Это связано с наличием комплекса физико-химических свойств, включающих высокую электрическую прочность, низкие значения диэлектрической проницаемости и тангенса угла диэлектрических потерь, низкую газопроницаемость, высокую химическую и радиационную стойкость, а также необходимые механические свойства. Одним из перспективных путей совершенствования технологии керамики ВК94-1 является переход от шликерного литья к формованию деталей методом холодного изостатического прессования (ХИП) [2]. Этот способ, обеспечивающий всестороннее обжатие заготовки, способен существенно понизить долю дефектов при производстве керамических деталей, особенно для элементов сложной геометрии, таких как тонкостенные цилиндры [3]. Для успешной реализации данного подхода необходимо обеспечить технологические характеристики гранулированного порошка: текучесть, повышенную насыпную плотность и равномерную морфологию гранул [4]. Метод грануляции с помощью распылительной сушилки (РС) является современным высокопроизводительным способом получения гранул с требуемыми технологическими характеристиками. Для реализации этой технологии важным этапом является разработка составов высоконаполненных суспензий керамических порошков, а также подбор технологических режимов распыления [5, 6]. Полученный РС гранулят также может быть использован для одноосного полусухого прессования, которое в комбинации с ХИП обеспечивает получение высокоплотных деталей. Это исключает необходимость изготовления сложных пресс-форм и оболочек [7].
Свойства гранулята являются весьма важными, поскольку они определяют скорость заполнения гранулами объема пресс-формы и плотность их укладки в ней, а также качество и прочность отпрессованного полуфабриката. Это в конечном итоге определяет функциональные и эксплуатационные характеристики спеченной керамики. При этом следует отметить, что высокая текучесть гранулята достигается за счет сферической формы составляющих его гранул. Это рассматривается как его главное преимущество по сравнению с обычно используемыми дисперсными порошками с произвольной формой частиц.
Кроме того, достоинством гранулированных порошков является возможность равномерного распределения в их объеме органических связующих, пластификаторов и других компонентов при смешивании, что обеспечивает значительное улучшение прессуемости и уплотняемости гранулята. Этот фактор оказывает решающее влияние на достижение повышенной прочности отформованной заготовки [8, 9].
В работах [10, 11] изучали технологические аспекты получения и характеристики алюмооксидной керамики с применением технологии ХИП при использовании поливинилового спирта (ПВС) в качестве связующего. Результаты исследований показали, что добавление в суспензию ПВС улучшает уплотнение и механические свойства спеченной керамики.
Важным этапом при РС является изготовление из исходного порошка стабильной высококонцентрированной водной керамической суспензии, характеризующейся устойчивостью к седиментации и агрегации [12]. Это может быть обеспечено главным образом исключением агломерирования частиц порошка в составе суспензии. При этом следует учесть, что объединение частиц исходного порошка в агрегаты происходит за счет действия между ними дисперсионных сил (сил Ван-дер-Ваальса). Особенно этот эффект проявляется при использовании мелкодисперсных и наноразмерных порошков. В этом случае появление агрегатов приводит к значительному увеличению вязкости суспензии и ухудшению ее реологии. Данный аспект делает процесс распыления неэффективным и негативно влияет на качество гранулированного порошка [13].
Чтобы нивелировать или устранить агрегацию частиц в суспензии, используют методы электростатической, стерической стабилизации или их комбинацию. Этого можно достичь диспергированием частиц твердой фазы, контролем дзета-потенциала при различных значениях pH и выбором подходящего диспергатора [14]. В результате добиваются образования мицелл в суспензии (рис. 1). Их появление возможно за счет действия сил электростатического взаимодействия керамических частиц, имеющих положительный или отрицательный поверхностный заряд, с противоположно заряженными ионами из объема раствора. При этом образуется двойной электрический слой (ДЭС), обеспечивающий взвешенное состояние керамических частиц и, соответственно, седиментационную и агрегативную устойчивость суспензии [15]. Сформированный ДЭС имеет определенный дзета-потенциал, возрастание которого способствует повышению устойчивости суспензии.
Рис. 1. Схематическое представление строения мицеллы и изменения величины дзета-потенциала в суспензии по мере удаления от поверхности керамической частицы: 1 – частица тонкодисперсного порошка, 2 – ионный слой, 3 – противоионный слой, 4 – адсорбционный слой, 5 – диффузный слой, 6 – мицелла, 7 – ДЭС, 8 – граница диффузного слоя при расширении ДЭС, ζ – электрокинетический потенциал (дзета-потенциал), r – расстояние от поверхности до частицы порошка.
Для электростатической стабилизации суспензии на основе оксида алюминия используют электролиты, например цитрат диаммония [16–18]. При стерической стабилизации происходит отталкивание твердых частиц за счет адсорбированных молекул полимера. Для электростерической стабилизации используют полиэлектролиты, в состав молекул которых входят функциональные группы, способные к ионизации в растворе [17, 19–21].
В работе [22] для изготовления гранулированного порошка на основе оксида алюминия использовались суспензии, стабилизированные диспергаторами Duramax D 3005 (аммонийная соль акрилового гомополимера [23]), Darvan C (25%-ный водный раствор полиметакрилата аммония [24]), Dolapix CE 64 (цитрат этанол-аммония [25]). При введении Dolapix CE 64 керамические образцы после обжига обладали максимальными значениями плотности при минимальной линейной усадке.
Целью настоящей работы является разработка нового технологического подхода, обеспечивающего изготовление образцов керамического материала, соответствующего по составу промышленно производимой керамике ВК94-1, с повышенными электрофизическими и прочностными характеристиками. Для этого использовали метод РС высококонцентрированной водной суспензии на основе исходного порошка, а также проводили формование полученного гранулята одноосным полусухим прессованием с последующим ХИП полученных сырых заготовок и их спеканием на воздухе. Также в работе исследовали реологические свойства суспензии и гранулята, электрофизические свойства и прочность спеченной керамики и особенности ее микроструктуры.
Экспериментальная часть
Для приготовления устойчивой водной суспензии для РС использовали минеральную керамическую порошковую смесь ВК94-1 следующего состава (мас.%): Al2O3 – 94.4, SiO2 – 2.76, MnO – 2.35, Cr2O3 – 0.49), диспергатор Dolapix CE 64 фирмы Zschimmer&Schwarz Gmbh&Co. KG CHEMISCHE FABRIKEN и связующее на основе водного раствора ПВС 16/1 высшего сорта ГОСТ 10779-78.
Суспензию получали за счет реализации следующей последовательности двух операций: помол минеральной смеси в дистиллированной воде в присутствии диспергатора до достижения среднего размера частиц порошка ~1 мкм и последующее добавление к измельченной смеси в водном растворе ПВС. Данный процесс проводили в полиэтиленовом барабане с использованием в качестве помольных тел шаров из керамики ВК94-1 во избежание намола посторонних веществ.
Гранулированный порошок изготавливали методом РС на установке АТОМ-5 (ООО “Техно-центр”) при скоростях вращения ротора от 6000 до 36000 об./мин.
Полученный гранулят прессовали в стальной пресс-форме под давлением 100 МПа (пресс SPECAC), затем прессовки помещали в латексные оболочки и проводили их дополнительное прессование в изостатическом прессе при давлении 225–300 МПа (пресс CIP 200/300-300).
Изготовленные прессованием образцы обжигали в камерной электропечи СНОЛ 12/16 на воздухе с изотермической выдержкой при температурах от 1500 до 1650°С.
В рамках проведенной экспериментальной работы использовали следующие методики.
Для определения среднего размера частиц применяли метод лазерной дифракции (Fritsch Analysette 22 NanoTec).
Дзета-потенциал ζ водной керамической суспензии измеряли с помощью прибора электроакустического спектрального анализа DT-1200 фирмы Dispersion Technology, Inc. Вязкость суспензии определяли с помощью ротационного вискозиметра Брукфильда марки LVT, Brookfield Engineering Laboratories, Inc., погрешность не более 5%.
Насыпную плотность, угол естественного откоса и текучесть гранулированного порошка определяли по ГОСТ 19440-94 на воронке с диаметром отверстия 5 мм.
Плотность образцов определяли методом гидростатического взвешивания (аЯ0.027.002 ТУ), массу образцов определяли на аналитических весах OHAUS AP-210. Относительную линейную усадку рассчитывали, оценивая изменение габаритных размеров образцов после спекания с помощью цифрового штангенциркуля с точностью до 0.01 мм.
Предел прочности при изгибе определяли по трехточечной схеме нагружения образцов в форме балочек размером 3 × 4 × 50 мм на испытательной машине INSTRON 3382 (ГОСТ Р 57749-2017, ИСО 17138:2014). Испытание проводили, используя достоверную выборку образцов из 20 штук.
Для определения электрофизических характеристик керамики изготавливали образцы в форме дисков диаметром 40 мм и высотой 2 ± 05 мм, на шлифованную поверхность которых наносили электропроводящее покрытие.
Диэлектрическую проницаемость и тангенс угла диэлектрических потерь определяли, измеряя эффективную добротность и индуктивность с помощью измерителя добротности E4-4 по ОСТ 11 0446-87. Удельное объемное сопротивление керамического материала измеряли методом определения сопротивления постоянному току на терраомметре Е6-13А по ОСТ 11 027.006.
Морфологию гранулята, полученного в результате распыления, исследовали с помощью инвертированного оптического микроскопа Carl Zeiss Axio Observer фирмы Carl Zeiss Microscopy GmbH и растровой электронной микроскопии (PЭМ, Tescan Vega II SBU, режим съемки – обратно отраженные электроны, напряжение 20 кВ).
Особенности структуры керамических образцов исследовали в поляризованном свете на аншлифах с помощью оптического микроскопа Carl Zeiss Axio Observer и на изломах растровой электронной микроскопией (Carl Zeiss Gemini 1540 EsB, режим съемки – обратно отраженные электроны, напряжение 20 кВ).
Результаты и обсуждение
Изучение вязкости и седиментационно-агрегативной устойчивости водной керамической суспензии, используемой для получения гранулята методом РС. На основании предварительных исследований подтверждена перспективность использования ПВС в качестве временного технологического связующего при грануляции [26]. При этом установлено, что для получения сферических частиц с наибольшей насыпной плотностью и наименьшим углом откоса необходимо увеличивать содержание твердой фазы – исходного керамического порошка (минеральной керамической смеси ВК94-1) в суспензии. В то же время повышение содержания твердой фазы более 50%1 приводило к резкому росту вязкости суспензии и невозможности реализовать процесс распыления с помощью РС. Также зафиксировано, что увеличение содержания твердой фазы до 40% (при содержании ПВС от 2 до 4%) способствовало значительной агрегации частиц, что приводило к их ускоренной седиментации в суспензии (рис. 2).
Рис. 2. Внешний вид суспензий с различной концентрацией ПВС (2–4%) при 40%-ном содержании твердой фазы после их выдержки при комнатной температуре (24 ч) для определения седиментационной устойчивости.
Несмотря на то что ПВС является неионогенным поверхностно-активным веществом и, согласно литературным данным, снижает поверхностное натяжение раствора в широком диапазоне концентраций [27, 28], его применения было недостаточно для стабилизации суспензии. Вследствие этого для повышения агрегативной устойчивости керамической суспензии исследовали влияние диспергатора Dolapix CE 64 на величину ζ при введении в системы с высокой концентрацией твердой фазы. Экспериментально установлено, что оптимальное количество диспергатора составляло 0.25% (кривая 3 на рис. 3, кривая 1 на рис. 4). Также зафиксировано, что агрегативная и седиментационная устойчивость высококонцентрированной суспензии (при содержании твердой фазы 80%) снижалась при одновременном присутствии в ней 2% ПВС и 0.25% диспергатора Dolapix CE64. В этом случае ее ζ увеличивался с –68 до –49 мВ. (кривая 2 на рис. 4).
Рис. 3. Зависимости величины дзета-потенциала от содержания твердой фазы в суспензии: содержание Dolapix CE 64 0.5 (1), 0.35 (2), 0.25% (3).
Рис. 4. Зависимости величины дзета-потенциала суспензии от содержания диспергатора Dolapix CE 64: 80% твердой фазы (1), 80% твердой фазы и 2% ПВС (2).
По мере повышения содержания твердой фазы в суспензии наблюдали нелинейное увеличение вязкости (рис. 5). При введении в суспензию 2.0% ПВС обнаружили более резкий рост вязкости по мере повышения содержания твердой фазы вследствие образования прочных структур или агрегатов частиц (кривая 3 на рис. 5).
Рис. 5. Зависимости вязкости суспензии от содержания твердой фазы при фиксированном содержании диспергатора 0.25 (1), 0.5% (2), при совместном содержании 0.5% диспергатора и 2% ПВС (3).
Исследовали влияние количества диспергатора Dolapix CE 64 в суспензиях, содержащих 80 и 85% твердой фазы, на их вязкость (рис. 6). Для суспензии, содержащей 80% твердой фазы, минимальную вязкость получили при введении 0.25% Dolapix CE 64 (кривая 1 на рис. 6). Тогда как для суспензии с содержанием 85% твердой фазы, при сохранении указанного количества диспергатора, вязкость оставалась высокой (кривая 2 на рис. 6). Это свидетельствует о том, что поверхности частиц неравномерно покрыты адсорбированными молекулами Dolapix CE 64 [29].
Рис. 6. Зависимости вязкости суспензии от содержания диспергатора при фиксированном содержании твердой фазы 80 (1), 85% (2), при совместном содержании 80% твердой фазы и 2% ПВС (3).
В ходе исследования влияния концентрации ПВС на вязкость суспензии с содержанием твердой фазы 80% и диспергатора 0.25% установили, что по мере увеличения концентрации ПВС вязкость системы существенно повышается (рис. 7), что можно объяснить усилением взаимодействия между макромолекулами связующего [30].
Рис. 7. Зависимость вязкости суспензии от содержания ПВС при фиксированном содержании 80% твердой фазы и 0.25% диспергатора.
Тиксотропное поведение (снижение вязкости при механическом воздействии) высококонцентрированных суспензий при варьировании содержания твердой фазы от 80 до 85% и диспергатора от 0.2 до 0.35% (рис. 8) учитывали при выборе режимов РС.
Рис. 8. Зависимости вязкости суспензии от скорости вращения шпинделя при совместном фиксированном содержании твердой фазы, диспергатора и ПВС соответственно: 85% + 0.35% + 2% (1), 80% + 0.25% + 2% (2), 80% + 0.2% + 1.5% (3), 80% + 0.25% + 1% (4).
Таким образом, на основании проведенного исследования установили, что наименьшей вязкостью обладает высококонцентрированная суспензия, в состав которой входят следующие ингредиенты: твердая фаза – 80%, ПВС – 1%, диспергатор – 0.25%, вода – остальное (кривая 4 на рис. 8). Приведенный состав суспензии является оптимальным, поэтому его использовали в дальнейшем для получения гранулята методом РС.
Изучение морфологии и технологических характеристик гранулированного порошка. Установлено, что при использовании суспензий, содержащих 40% твердой фазы, образуются гранулы с максимальной насыпной плотностью 0.83 г/см3 и минимальным углом естественного откоса 30о. Однако текучесть гранулята через воронку отсутствует из-за недостаточной насыпной плотности.
Морфология данного гранулята представлена на рис. 9. Видно, что полученные гранулы размером 10–70 мкм имеют округлую форму (1, 2, 3 на рис. 9), но их структура является “рыхлой” (6 на рис. 9). В некоторых гранулах присутствуют крупные поры размером до 10 мкм (5 на рис. 9).
Рис. 9. Вид гранулята, полученного методом РС суспензии, содержащей следующие ингредиенты: твердая фаза – 40%, ПВС – 3%, вода – остальное (крупные гранулы 60–70 мкм (1), средние 40–50 мкм (2), мелкие 7–10 мкм (3), субмикронная пылевидная фракция (4), крупная пора ∼10 мкм (5), мелкая пора ∼1 мкм (6).
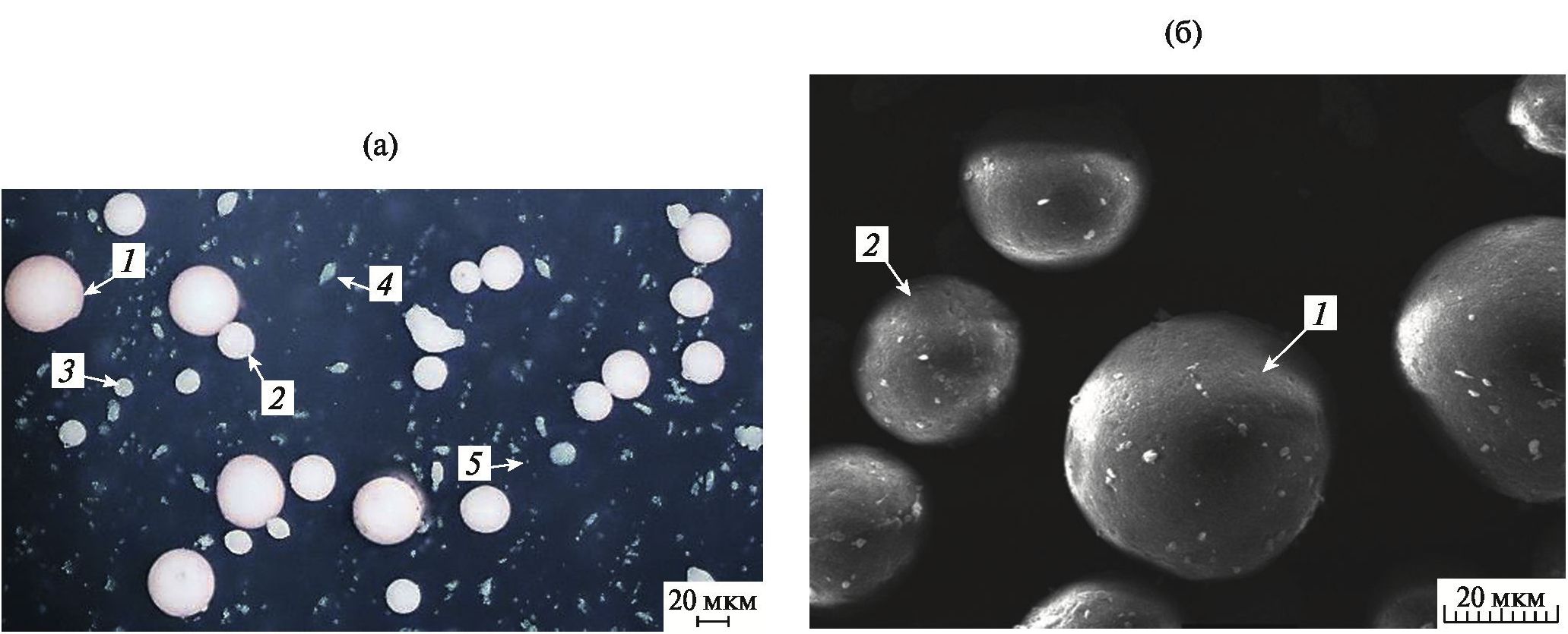
С использованием оптимального состава суспензии (твердая фаза – 80%, ПВС – 1%, диспергатор – 0.25%, вода – остальное) получили высококачественный гранулят, содержащий плотные сферические гранулы (при этом фиксируется только незначительное количество несферических гранул и пылевидных частиц). Размер гранул в составе гранулята варьируется от 10 до 60 мкм (рис. 10), он характеризуется высокой текучестью (1.8 г/с) и насыпной плотностью (до 1.20 г/см3). Это делает данный гранулят пригодным для получения заготовок тонкостенных деталей сложной формы методом гидростатического прессования.
Рис. 10. Вид гранулята, полученного методом РС суспензии оптимального состава: твердая фаза – 80%, ПВС – 1%, диспергатор – 0.25%, вода – остальное; а – оптическая микроскопия, б – РЭМ; 1, 2, 3 – округлые высокоплотные крупные (50–60 мкм), средние (20–30 мкм) и мелкие (10 мкм) гранулы, 4 – осколки гранул 0.5–1.0 мкм (не более 0.5%), 5 – субмикронная пылевидная фракция.
Изучение физических характеристик спеченной керамики. Электрофизические свойства образцов, полученных по разработанной технологии, сравнивали со свойствами керамики ВК94-1, изготовленной в промышленных условиях с использованием процесса горячего литья под давлением (табл. 1). При этом учитывали требования к вакуумплотной керамике, изложенные в технических условиях аЯ0.027.002 ТУ.
Таблица. Результаты испытаний образцов керамики ВК94-1, изготовленных различными методами формования
Методы формования | Требования согласно ТУ | Горячее литье под давлением (промышленная технология) | Одноосное прессование + + ХИП (разработанная технология) |
Плотность, г/см3 | Не менее 3.65 | 3.75 | 3.81 |
Водопоглощение, % | Не более 0.02% | 0.02 | 0.02 |
Предел прочности при изгибе, МПа | Не менее 240 | 266–306 | 380–420 |
Диэлектрическая проницаемость при температуре 25 ± 10°С | Не более 10.3 | 9.96 | 9.7 |
Тангенс угла диэлектрических потерь при частоте 106 Гц и температуре 25 ± 10°С | Не более 6×10–4 | 5.8×10–4 | 3.4×10–4 |
Удельное электрическое сопротивление при температуре 100 ± 5°С, Ом см | Не менее 1×1013 | 3.7×1014 | 5.3×1014 |
Линейная усадка, % | – | 11.5 | 13.8 |
В сравнении с промышленными образцами керамики ВК94-1 для разработанных керамических образцов наблюдается снижение тангенса угла диэлектрических потерь (при частоте 106 Гц) в 1.7 раза, незначительное уменьшение диэлектрической проницаемости с 9.96 до 9.7 и увеличение удельного сопротивления (при 100°С) в 1.4 раза.
Заметное улучшение электрофизических характеристик, вероятно, связано с ростом кажущейся плотности с 3.75 до 3.81 г/см3, высокой степенью гомогенности керамики и отсутствием микропор, содержащих газовые включения. Это особенно важно, так как в объеме таких включений происходит ионизация газа, что приводит к падению добротности и снижению пробивного напряжения [31].
Линейная усадка спеченных образцов разработанной керамики (13.8%) несколько превышает усадку промышленной керамики (11.5%), что можно объяснить более высокой диффузионной активностьюгранулированного порошка при спекании в составе разработанной керамики.
В результате испытания достоверной выборки образцов (20 шт.) установлено, что предел прочности при изгибе разработанной керамики составляет 380–420 МПа. Данный показатель в 1.4 раза превышает прочность промышленных образцов керамики ВК94-1. Это также объясняется высокой степенью гомогенности разработанной керамики, в значительной степени лишенной микродефектов – концентраторов напряжений.
Особенности структуры спеченной керамики. Анализ структуры образцов разработанной керамики показал, что она существенно отличается от структуры промышленной керамики ВК94-1 при идентичности их химического состава. Для разработанной керамики характерны: отсутствие скоплений стеклофазы (1 на рис. 11а) и крупных пор (3 на рис. 11а), равномерная окраска корундовой фазы и мелкокристаллическое строение (размеры кристаллитов 1–5 мкм) (рис. 12б).
Рис. 11. Вид структуры разработанной (а) и промышленно производимой керамики ВК94-1 (б) с поверхности аншлифа в отраженном свете: 1 – стеклофаза, 2 – неравномерная окраска, 3 – пора.
Рис. 12. Вид структуры разработанной (а) и промышленно производимой керамики ВК94-1 (б) с поверхности излома.
Это достигается благодаря высокой степени однородности распределения всех компонентов в составе гранулята и гомогенной структуре материала вследствие его равномерного уплотнения на стадии гидростатического прессования и в процессе усадки при спекании.
При этом для промышленной керамики ВК94-1 наблюдаются неравномерно распределенные скопления стеклофазы (1 на рис. 11б), неоднородная окраска (2 на рис. 11б), а также наличие крупных пор (3 на рис. 11б).
Заключение
Разработан новый технологический подход, позволяющий изготавливать керамику состава ВК94-1. Он основан на использовании метода РС высококонцентрированной водной суспензии из минеральной порошковой керамической смеси (ВК94-1) для получения из нее гранулята, а также на применении комбинированного способа его формования, включающего одноосное полусухое прессование и последующее ХИП.
Установлен оптимальный состав высококонцентрированной водной суспензии (твердая фаза – 80%, ПВС – 1%, диспергатор – 0.25%, вода – остальное), позволяющий получать высококачественный гранулят, содержащий плотные сферические гранулы (10–60 мкм), с повышенной реологией (насыпная плотность гранулята – 1.20 г/см3, его текучесть – 1.8 г/с).
Определены основные технологические параметры процесса изготовления разработанной керамики: одноосное полусухое прессование гранулята (100 МПа), последующее ХИП заготовки (225–300 МПа) и ее спекание на воздухе (1500–1650°С), обеспечивающие получение высокоплотного материала (относительная плотность – 98.7%) с гомогенной мелкокристаллической (1–5 мкм) структурой.
Показано, что разработанный керамический материал, соответствующий по составу промышленной керамике ВК94-1, характеризуется повышенной прочностью (380–420 МПа) и улучшенными электрофизическими свойствами (диэлектрическая проницаемость – 9.7, тангенс угла диэлектрических потерь – 3.4×10–4, удельное объемное сопротивление – 5.3×1014 Ом см).
Данные характеристики значительно превышают свойства промышленно производимой керамики ВК94-1. Полученную в ходе проведенных исследований керамику с улучшенными электрофизическими характеристиками можно рекомендовать, к примеру, для увеличения выходной мощности, повышения рабочих частот, роста надежности и долговечности усилительных и генераторных приборов, работающих при сверхвысоких частотах [32].
Конфликт интересов
Авторы заявляют, что у них нет конфликта интересов.
1 Здесь и далее мас.٪.
About the authors
И. Е. Голубева
Всероссийский научно-исследовательский институт автоматики им. Н. Л. Духова; Институт металлургии и материаловедения им. А. А. Байкова Российской академии наук
Author for correspondence.
Email: golubevairina151@gmail.com
Russian Federation, ул. Сущевская, 22, Москва, 127055; Ленинский пр., 49, Москва, 119334
А. И. Ситников
Институт металлургии и материаловедения им. А. А. Байкова Российской академии наук
Email: golubevairina151@gmail.com
Russian Federation, Ленинский пр., 49, Москва, 119334
A. A. Атапин
Всероссийский научно-исследовательский институт автоматики им. Н. Л. Духова
Email: golubevairina151@gmail.com
Russian Federation, ул. Сущевская, 22, Москва, 127055
A. Н. Гордиенко
Всероссийский научно-исследовательский институт автоматики им. Н. Л. Духова
Email: golubevairina151@gmail.com
Russian Federation, ул. Сущевская, 22, Москва, 127055
Т. Ю. Коломиец
Институт металлургии и материаловедения им. А. А. Байкова Российской академии наук
Email: golubevairina151@gmail.com
Russian Federation, Ленинский пр., 49, Москва, 119334
А. А. Коновалов
Институт металлургии и материаловедения им. А. А. Байкова Российской академии наук
Email: golubevairina151@gmail.com
Russian Federation, Ленинский пр., 49, Москва, 119334
А. В. Шокодько
Институт металлургии и материаловедения им. А. А. Байкова Российской академии наук
Email: golubevairina151@gmail.com
Russian Federation, Ленинский пр., 49, Москва, 119334
К. А. Солнцев
Институт металлургии и материаловедения им. А. А. Байкова Российской академии наук
Email: golubevairina151@gmail.com
Russian Federation, Ленинский пр., 49, Москва, 119334
References
- Голубева И.Е., Атапин А.А. Разработка керамического материала на основе Al2O3 c улучшенными характеристиками и технологии его изготовления // Наука и технологии. Т. 1: Материалы XLII Всероссийской конференции, посвященной 75-летию Государственного ракетного центра им. Академика В.П. Макеева. М.: РАН, 2022. С.113–120.
- Голубева И.Е., Атапин А.А. Разработка технологии холодного изостатического прессования керамического материала на основе Al2O3 // Материаловедение, формообразующие технологии и оборудование 2022 (ICMSSTE 2022): Материалы международной научно-практической конференции. Симферополь: Крымский федеральный университет имени В.И. Вернадского, 2022. C. 210–216. EDN: UMNRKZ
- Gerlei V. et al. Manufacturing of Large Size and Polished Ceramic Pistons by Cold Isostatic Pressing // Hung. J. Ind. Chem. 2023. V. 51. № 1. P. 29–34. https://doi.org/10.33927/hjic-2023-05 EDN: NCOZGX
- Kondo N. et al. Comparision of alumina granules prepared by freeze granulation drying and spray drying // J. Ceram. Soc. Jpn. 2020. V. 128. № 11. P. 922–926. https://doi.org/10.2109/jcersj2.20041
- Raju P. et al. Investigations on colloidal and dry formed alumina parts under pressure and pressure-less conditions // Process. Appl. Ceram. 2022. V. 16. № 2. P. 160–166. https://doi.org/10.2298/pac2202160r EDN: GUHVVS
- Stunda-Zujeva A., Irbe Z., Berzina-Cimdina L. Controlling the morphology of ceramic and composite powder obtained via spray drying – a revew // Ceram. Int. 2017. V. 43. № 15. P. 11543–11551. https://doi.org/10.1016/j.ceramint.2017.05.023
- Голубева И.Е., Ситников А.И., Гордиенко А.Н. Исследование формообразующих технологий при изготовлении деталей из электровакуумной керамики ВК94-1 // Материаловедение, формообразующие технологии и оборудование 2024 (ICMSSTE 2024): Материалы международной научно-практической конференции. Симферополь: Крымский федеральный университет им. В.И. Вернадского, 2024. С. 82–87. EDN: IUCOHZ
- Afaran M.S., Samimi A., Yekta E.B. Synthesis of alumina granules by high shear mixer granulator: Processing and sintering// Powder Technol. 2013. V. 237. P. 32–40. https://doi.org/10.1016/j.powtec.2013.01.007
- Behera P.S., Sarkar R., Bhattacharyya S. Nano alumina: A review of the powder synthesis method // Interceram. 2016. V. 65. P.10–16. https://doi.org/10.1007/BF03401148
- Nampi P.P., Kume S., Hotta Y., Watari K., Itoh M., Toda H., Matsutani A. The effect of polyvinyl alcohol as a binder and stearic acid as an internal lubricant in the formation, and subsequent sintering of spray-dried alumina // Ceram. Int. 2011. V. 37. № 8. P. 3445–3450. https://doi.org/10.1016/j.ceramint.2011.05.149
- Wiśniewska M., Chibowski S., Urban T., Sternik D. Investigation of the alumina properties with adsorbed polyvinyl alcohol // J. Therm. Anal. Calorim. 2011. 103(1). P. 329–337.
- Иванов Д.А., Ситников А.И., Шляпин С.Д. Композиционные материалы. М: Юрайт, 2019. 253 с. EDN: EEZLNW
- Davies J., Binner J. The role of ammonium polyacrylate in dispersing concentrated alumina suspensions // J. Eur. Ceram. Soc. 2000. V. 20 (10). P. 1539–1553. https://doi.org/10.1016/S0955-2219(00)00012-1 EDN: ASCOIE
- Пузырев И.С., Иванов М.Г., Крутикова И.В. Физико-химические свойства нанопорошков Al2O3 и Y2O3, полученных методом лазерного синтеза, и их водных дисперсий // Изв. АН. Сер. хим. 2014. № 7. С. 1504.
- Зимон А.Д. Коллоидная химия: Учебник для вузов. – 3-е изд., доп. и исправл. М.: Агар, 2003. 320 с.
- Huisman W., Chartier T., Gauckler L.J. Aluminia of high reliability by centrifugal casting // J. Eur. Ceram. Soc. 1995. V. 15. № 9. P. 811–821. https://doi.org/10.1016/0955-2219(95)00053-W
- Briscoe B.J., Khan A.U., Luckham P.F. Optimizing the dispersion on an alumina suspensions using commercial polyvalent electrolyte solution // J. Eur. Ceram. Soc. 1998. V. 18. № 14. P. 2141–2147. https://doi.org/10.1016/S0955-2219(98)00147-2
- Tari G., Ferreira J.M.F., Lyckfeldt O. Influence of the stabilizing mechanism and solid loading on slip casting of alumina // J. Eur. Ceram. Soc. 1998. V. 18. № 5. P. 479–486. https://doi.org/10.1016/S0955-2219(97)00159-3
- Mei S., Yang J., Ferreira J.M.F. Comparison of dispersants performance in slip casting of cordierite-based glass-ceramics // Ceram. Int. 2003. V. 29. № 7. P. 785–791. https://doi.org/10.1016/S0272-8842(02)00231-6
- Cesarano J. III., Aksay I.A., Bleier A. Stability of aqueous α-Al2O3 suspensions with Poly (methacrylic acid) polyelectrolyte // J. Am. Ceram. Soc. 1988. V. 71. № 4. P. 250–255.
- CN101898894. Патент Китайской Народной Республики. Method for preparing beta-Al2O3 precursor powder by spray drying taking water as medium: МПК С 04 В 35/10, С 04 В 35/626 / Zhonghua Gu; заявитель и патентообладатель Shanghai Inst Ceramics, Shanghai Municipal Elec Power. № 20101010166419; заявл. 29.04.2010; опубл. 01.12.2010, 10 с.
- Tsetsekou A., Agrafiotis C., Milias A. Optimization of the rheological properties of alumina slurries for ceramic processing applications. Part I: Slip-casting // J. Eur. Ceram. Soc. 2001. V. 21. № 3. P. 363–373. https://doi.org/10.1016/S0955-2219(00)00185-0
- Pietrzak E. et al. Colloidal processing of Al2O3 and BST materials: Investigations of thermal stability and decomposition of green bodies // J. Therm. Anal. Calorim. 2017. V. 30. P. 365–376.https://doi.org/10.1007/s10973-017-6401-6
- Manjula S. et al. A sedimentation study to optimize the dispersion of alumina nanoparticles in water // Ceramica. 2005. V. 51. P. 121–127.
- Rao S.P., Tripathy S.S., Raichur A.M. Disperdion studies of sub-micron zirconia using Dolapix CE 64 // Colloids Surf., A. 2007. V. 302. № 1–3. P. 553–558. https://doi.org/10.1016/j.colsurfa.2007.03.034
- Голубева И.Е. и др. Исследование реологических характеристик суспензии для распылительной сушки при изготовлении керамики ВК94-1 // Материаловедение, формообразующие технологии и оборудование 2023 (ICMSSTE 2023). 2023. С. 153–165.
- Алексеева С.В. и др. О растворной системе поливиниловый спирт – вода // Актуальные проблемы и достижения в естественных и математических науках: сб. науч. трудов по итогам междунар. научно-практ. конф. 2015. С. 67–72.
- Ищенко А. В. и др. Разработка критерия сравнительной оценки неионогенных ПАВ как эмульгаторов дисперсных систем // Успехи современного естествознания. 2018. № 8. С. 18–23.
- Stochero N.P., de Moraes E.G., de Oliveira A.P.N. Influence of wet foam stability on the microstructure of ceramic shell foams // Open Ceram. 2020. V. 4. P. 100033. https://doi.org/10.1016/j.oceram.2020.100033
- Вшивков С.А., Русинова Е.В. Реологические свойства системы поливиниловый спирт–вода в магнитном поле // Polym. Sci. Ser. A. 2023. V. 65. № 1. P. 5–11. https://doi.org/10.31857/S2308112023700311
- Андрианов Н. Т. и др. Химическая технология керамики: учеб. пособие для вузов / Под ред. Гузмана И.Я. М.: ООО Риф “Стройматериалы”, 2012. 496 с.
- Батыгин В.Н. и др. Вакуумплотная керамика и ее спаи с металлами / Под ред. Девяткова Н.Д. М.: Энергия, 1973. 408 с.
Supplementary files













