Hydrogen interaction with 316L steel obtained by selective laser melting
- Authors: Boytsov I.E.1, Buchirin A.V.1, Maksimkin I.P.1, Malkov I.L.1, Musyaev R.K.1, Shevnin Е.V.1, Yukhimchuk А.А.1, Yalysheva A.V.1, Shotin S.V.2, Piskunov A.V.2, Semenycheva A.V.2, Gryaznov M.Y.2, Chuvildeev V.N.2
-
Affiliations:
- Russian Federal Nuclear Center – All-Russian Research Institute of Experimental Physics
- Lobachevsky State University of Nizhni Novgorod
- Issue: Vol 125, No 5 (2024)
- Pages: 565-578
- Section: СТРУКТУРА, ФАЗОВЫЕ ПРЕВРАЩЕНИЯ И ДИФФУЗИЯ
- URL: https://medbiosci.ru/0015-3230/article/view/272579
- DOI: https://doi.org/10.31857/S0015323024050091
- EDN: https://elibrary.ru/XWNXOV
- ID: 272579
Cite item
Full Text
Abstract
The investigation is focused on the impact of hydrogen on the physical and mechanical properties of 316L austenitic stainless steel (67.5Fe, 17.7Cr, 10.6Ni, 2.6Mo, 1.2Mn, 0.4Si in wt %) processed by selective laser melting (SLM). The study also determined the kinetic parameters of hydrogen interaction with 316L-SLM steel at temperatures ranging from 300 to 700°C. It has been demonstrated that the plasticity characteristics are highly sensitive to the impact of hydrogen within the temperature range from 20 to 600°C. At 600°C, the maximum degree of hydrogen embrittlement is ≈30%. However, the elongation to failure and reduction of area remain at a sufficiently high level. Reduction in strength characteristics is only observed at 600°C and does not exceed 10%. Prolonged thermal impact and resulting structural changes do not affect the kinetic parameters of hydrogen interaction with 316L-SLM. The hydrogen solubility in SLM-processed 316L steel and 12Cr18Ni10T steel produced by conventional technology is nearly identical.
Full Text
1. Введение
При взаимодействии конструкционных материалов (КМ) с водородом их механические свойства могут ухудшаться вследствие водородного охрупчивания [1].
Интерес к проблеме влияния водорода на механические свойства КМ связан с возрастающими требованиями к надежности эксплуатации оборудования, работающего с водородосодержащими средами в различных отраслях промышленности [2–6]. Несмотря на многолетние исследования водородного охрупчивания (ВО) КМ, механизмы влияния водорода на механические свойства КМ до конца не выяснены [1, 7–10]. Таким образом, для выбора КМ, работающих в водородосодержащих средах, как правило, требуется проведение испытаний этих КМ в условиях, максимально приближенных к эксплуатационным.
В результате многолетних исследований влияния водорода на свойства КМ было установлено, что относительно устойчивыми к ВО являются нержавеющие стали типа 316L со стабильной аустенитной структурой (см. например, [11–17]). Низкую чувствительность к ВО сталей этого класса обычно связывают с отсутствием или небольшой степенью мартенситного превращения при их деформации и сравнительно низкой диффузионной подвижностью водорода [10, 18, 19]. Это свойство сталей типа 316L позволяет обеспечить их широкое применение для работы в водородосодержащих средах (сосуды высокого давления, вентили, трубопроводы), а также в нефтехимической промышленности [6, 11].
Однако нержавеющие аустенитные стали при высокой пластичности по сравнению с конструкционными сталями имеют более низкие прочностные характеристики, особенно в отожженном состоянии [20], что ограничивает их использование в качестве КМ.
В последнее время во всем мире активно развиваются аддитивные технологии (АТ), представляющие собой совокупность методов создания трехмерных изделий в едином технологическом процессе по данным компьютерных моделей [21–23]. Одной из наиболее востребованных и перспективных технологий для использования в промышленности является аддитивная технология послойного лазерного сплавления (ПЛС) металлических порошков. Характерными особенностями нержавеющих аустенитных сталей, получаемых с помощью ПЛС, являются их высокие прочностные и пластические свойства, что указывает на потенциальную возможность применения этих сталей в водородосодержащей среде. Отметим, что систематические исследования взаимодействия водорода с КМ, изготовленными методами АТ, только начинаются [24–28].
Так, в работе [24] изучалась водородопроницаемость в диапазоне температур от 623 до 773 К при давлении 1.013·105 Па мембранных образцов диаметром 20 мм и толщиной 0.2 мм из стали 316L, изготовленных по технологии ПЛС (далее по тексту – сталь 316L-ПЛС). Было показано, что коэффициент диффузии водорода в этой стали примерно в 4 раза выше коэффициента диффузии водорода в стали 316L, изготовленной по “традиционной” технологии. Разница в коэффициентах диффузии объясняется наличием в cтали 316L-ПЛС разветвлённой сети субзеренных границ.
Исследования ВО стали 316L-ПЛС в работах [25, 26] проводились путем испытания при комнатной температуре на растяжение образцов, наводороженных как электролитическим способом [25], так и в автоклаве при давлении 120 МПа и температуре 280°С в течение 400 часов, содержание водорода в КМ составляло примерно 100 массовых ppm [26]. Результаты исследований показали, что водород не вызывает значительного охрупчивания стали 316L-ПЛС. Характер изломов образцов при воздействии водорода не изменился.
Настоящая работа является продолжением работы [29], в которой изучалось влияние водорода на механические свойства стали 316-ПЛС при комнатной температуре и определялись параметры водородопроницаемости мембранных образцов из этой стали в диапазоне температур 300–600°С. Было показано, что водородостойкость и параметры водородопроницаемости стали 316L-ПЛС находятся на одном уровне с аналогичными характеристиками для стали 316L, изготовленной по “традиционным” технологиям.
Цель работы – исследование влияния водорода при давлении 80 МПа в диапазоне температур от комнатной до 600°С на механические свойства и структуру стали 316L-ПЛС, определение кинетических параметров взаимодействия водорода со сталью 316L-ПЛС в диапазоне температур 300–700°С, а также растворимости водорода в стали 316L-ПЛС.
2. Материалы и методы исследования
2.1. Материалы и образцы
Объектом исследований являются образцы, полученные методом послойного лазерного сплавления из порошка нержавеющей стали 316L компании "SLM Solutions". Химический состав поверхностных слоев частиц порошка, определенный с помощью сканирующего электронного микроскопа Jeol JSM 6490 с приставкой для рентгеновского энергодисперсионного микроанализа INCA350, представлен в табл. 1 (предел обнаружения химических элементов составляет 0.1 мас.%).
Таблица 1. Химический состав стали 316L (массовая доля элементов, %)
Cr | Ni | Mo | Mn | Si | Fe |
17.7 | 10.6 | 2.6 | 1.2 | 0.4 | 67.5 |
Гранулометрический состав порошка исследован на лазерном анализаторе размера частиц SALD-2300 Shimadzu. Изображения частиц порошка приведены на рис. 1а, а гистограмма распределения частиц по размерам – на рис. 1б. Показано, что средний размер частиц составляет ≈ 30 мкм, величина d75 не превышает 40 мкм.
Рис. 1. Изображение частиц порошка (a) и гистограмма распределения по размерам частиц (б) порошка нержавеющей стали 316L.
Испытания на растяжение были проведены на цилиндрических образцах типа IV согласно ГОСТ 1497–84 с диаметром рабочей части 3 мм. Образцы типа “а-1” изготовлены по ПЛС-технологии “в размер” (поверхность рабочей цилиндрической части образцов после изготовления не подвергалась дополнительной механической обработке). Образцы типа “а-2” изготовлены путем токарной обработки из цилиндрических заготовок диаметром 7 мм и длиной 40 мм, полученных по ПЛС-технологии. Образцы в обоих случаях построены в вертикальной ориентации (продольная ось образцов располагается параллельно оси лазерного луча ‒ Z-направление).
Для исследования водородопроницаемости использованы мембранные образцы диаметром 20 мм и толщиной 1 мм. Образцы “1-1”, “1-2” и “2” изготовлены по ПЛС-технологии в виде дисков методом ПЛС в “горизонтальной” ориентации (плоскость основания диска перпендикулярна оси лазерного луча и совпадает с плоскостью XY). Обе торцевые поверхности образцов “1-1” и “1-2” обработаны шлифовальной бумагой Р400. Выходная поверхность образца “2” также обработана шлифовальной бумагой Р400, входная поверхность обработке не подвергалась (в состоянии после ПЛС). Образцы “3” изготовлены по ПЛС-технологии в виде дисков методом ПЛС в “вертикальной” ориентации (плоскость основания диска параллельна оси лазерного луча и совпадает с плоскостью XZ). Торцевые поверхности дополнительно не обрабатывались.
Для исследования растворимости водорода в материале, полученном методом ПЛС, были изготовлены призматические образцы с размерами 3×3×6 мм в вертикальной ориентации (продольная ось образца параллельна оси лазерного луча – Z-направление).
Все образцы изготовлены на установке Realizer SLM 100 по технологии послойного лазерного сплавления при следующих параметрах: толщина слоя 30 мкм, мощность лазерного излучения 100 Вт, скорость сканирования 230–270 мм/с, диаметр пятна 75–80 мкм, расстояние между дорожками сканирования 120 мкм, угол поворота штриховки при переходе к следующему слою 90°, температура платформы 200°С, защитная среда – высокочистый аргон (99.998% по массе). Обоснование режимов ПЛС приведено в работе [30].
2.2. Испытания образцов на растяжение
Механические свойства стали 316L-ПЛС и влияние на них водорода определены по результатам испытаний цилиндрических образцов на растяжение в среде водорода и гелия при давлении 80 МПа в диапазоне температур от 20°С до 600°С. Скорость деформации образцов при испытаниях составляла 2·10–3 с–1. Описание установки и методики проведения испытаний образцов на растяжение в газовых средах при давлении 80 МПа приведены в работах [31, 32].
Влияние водорода на механические характеристики (предел прочности σВ, предел текучести σ0.2, относительное удлинение после разрыва δ, относительное сужение после разрыва ψ) для каждой температуры испытаний t оценено при помощи показателя Δ(Х), величина которого вычислялась по формуле (1):
(1)
где – среднее арифметическое значение соответствующей характеристики, полученное при испытаниях в гелии; – то же самое при испытаниях в водороде.
2.3. Исследование водородопроницаемости
Исследование различных параметров водородопроницаемости (ВП) мембранных образцов (коэффициентов диффузии, проницаемости и растворимости водорода) проведено на специализированном стенде в диапазоне температур 300–700°С [29].
Коэффициент проницаемости PH рассчитан по формуле (2):
(2)
где – стационарное значение выходного потока водорода, р – входное давление водорода, L – толщина мембранного образца, A – площадь входной поверхности образца.
Значение коэффициента диффузии DH определено по результатам анализа кривой изменения во времени выходного потока FH(τ) по характерным временным точкам, связанным с диффузией водорода: по времени перегиба τi – времени, при котором первая производная кривой выходного потока (давления) имеет максимум значения; по времени полуволны τ0.5 – времени, за которое значение потока достигает половины величины стационарного потока; по времени запаздывания τ0.63 – времени, которое определяется как точка пересечения касательной к прямой интеграла стационарного потока с осью времени (обычно, соответствует времени, при котором значении потока равно ≈ 63% от величины стационарного потока). Для классической диффузии коэффициент диффузии DH и данные характеристические времена связаны соотношением (3):
(3)
Заметное отличие значений коэффициента диффузии, рассчитанных по разным характеристическим временам, при неизменности краевых условий является критерием неоднородности диффузионной среды (наличие “ловушек” водорода в виде пор и дефектов структуры).
Значение константы Сивертса SH рассчитано как отношение коэффициента проницаемости к коэффициенту диффузии:
(4)
2.4. Определение растворимости водорода
Растворимость водорода в стали 316L-ПЛС определялась путем измерения количества водорода, десорбированного из наводороженных призматических образцов [33]. Образцы наводороживали на установке высокого давления [31] при давлении 40 МПа и температурах 400, 500 и 600°С в течение 48, 16 и 4 ч соответственно. Параметры наводороживания выбраны из условия достижения равновесной концентрации водорода в образцах. После наводороживания контейнер с образцами охлаждался в воде, содержание водорода в стали 316L измерено с помощью газоанализатора ОН 900 фирмы “ELTRA” методом плавления образцов в потоке инертного газа-носителя. Время между окончанием наводороживания образцов и измерением в них концентрации водорода не превышает 15 мин. Для сравнения в аналогичных условиях определена также растворимость водорода в цилиндрических образцах диаметром 4 мм и длиной до 8 мм из стали 12Х18Н10Т.
2.5. Металлографические исследования
Макроструктура стали 316L-ПЛС изучена с применением оптического микроскопа Axiovert 25 в исходном состоянии и после воздействия водорода при наводороживании и исследованиях водородопроницаемости. Исследование микроструктуры проводилось на растровом электронном микроскопе Jeol JSM-6490. Подготовка образцов проведена на шлифовально-полировальном станке путем последовательной обработки на шлифовальных бумагах Р120 и Р240, полированием алмазными пастами зернистостью 9 и 3 мкм и водной суспензией оксида кремния с размером частиц 0.04 мкм. После приготовления проведено травление образцов в горячем реактиве Круппа (5 мл азотной кислоты, 50 мл соляной кислоты, 50 мл воды). Микротвердость образцов измерена на твердомере Micromet 5114 при нагрузке 1.96 Н и выдержке 15 с.
3. Результаты исследований и их обсуждение
3.1. Результаты испытаний на растяжение
Средние по испытаниям трех образцов значения характеристик механических свойств стали 316L-ПЛС, полученные для каждой температуры испытания в гелии и водороде при давлении 80 МПа и округленные в соответствие с ГОСТ 1497–84, представлены в табл. 2. В табл. 3 приведены значения относительного снижения характеристик механических свойств стали, вызванного воздействием водорода.
Таблица 2. Механические свойства стали 316L-ПЛС в гелии и водороде
Тип образцов | Среда | Температура, °С | Средние значения характеристик механических свойств | |||
σв, МПа | σ0.2, МПа | δ, % | ψ, % | |||
Тип “а-1” | Гелий | 20 | 700 | 550 | 48 | 53 |
100 | 570 | 495 | 32 | 53 | ||
200 | 520 | 460 | 27 | 52 | ||
300 | 500 | 415 | 24 | 52 | ||
400 | 480 | 385 | 24 | 56 | ||
500 | 460 | 370 | 25 | 51 | ||
600 | 390 | 335 | 24 | 53 | ||
Водород | 20 | 705 | 560 | 47 | 51 | |
100 | 560 | 490 | 33 | 55 | ||
200 | 510 | 440 | 24 | 55 | ||
300 | 500 | 435 | 21.5 | 50 | ||
400 | 480 | 390 | 24 | 49 | ||
500 | 450 | 365 | 23.5 | 48 | ||
600 | 365 | 310 | 28 | 40 | ||
Тип “а-2” | Гелий | 20 | 700 | 570 | 44 | 48 |
100 | 570 | 550 | 23.5 | 47 | ||
200 | 520 | 460 | 22 | 50 | ||
300 | 500 | 430 | 20 | 47 | ||
400 | 480 | 400 | 21.5 | 46 | ||
500 | 460 | 385 | 24.5 | 44 | ||
600 | 400 | 325 | 22.5 | 42 | ||
Водород | 20 | 700 | 570 | 34 | 40 | |
100 | 570 | 500 | 27 | 45 | ||
200 | 530 | 465 | 21 | 45 | ||
300 | 500 | 425 | 20.5 | 44 | ||
400 | 480 | 400 | 19 | 44 | ||
500 | 460 | 360 | 27 | 45 | ||
600 | 360 | 320 | 20 | 30 | ||
Таблица 3. Относительное снижение характеристик механических свойств стали 316L-ПЛС, вызванное воздействием водорода
Тип образцов | Температура, °С | Относительное снижение характеристик механических свойств, % | |||
Δσв | Δσ0.2 | Δδ | Δψ | ||
Тип “а-1” | 20 | – 0.7* | – 1.8 | 2.1 | 3.8 |
100 | 1.8 | 1.0 | – 3.1 | – 3.8 | |
200 | 1.9 | 4.3 | 11.1 | – 5.8 | |
300 | 0 | – 4.8 | 10.4 | 3.8 | |
400 | 0 | 1.3 | 0 | 12.5 | |
500 | 2.2 | 1.4 | 6 | 5.9 | |
600 | 6.4 | 7.5 | – 16.7 | 24.5 | |
Тип “а-2” | 20 | 0 | 0 | 23 | 17 |
100 | 0 | 9 | – 14.9 | 4.2 | |
200 | – 1.9 | – 1.1 | 4.5 | 10 | |
300 | 0 | 1.1 | – 2.5 | 6.4 | |
400 | 0 | 0 | 11.6 | 4.3 | |
500 | 0 | 6.5 | – 10.2 | – 2.3 | |
600 | 10 | 1.5 | 11 | 29 | |
* Знак “–” означает не снижение, а увеличение характеристики в среде водорода.
Как видно из полученных результатов, образцы из стали 316L-ПЛС при комнатной температуре в инертной среде обладают высоким уровнем механических свойств: σв ≥ 700 МПа, σ0.2 ≥ 550 МПа, δ ≥ 44 % и ψ ≥ 48 %. Обращает на себя внимание тот факт, что у ПЛС-образцов оказались более высокие значения прочностных свойств (особенно условного предела текучести) и более низкие характеристики пластичности, чем у образцов, полученных по “традиционным” технологиям (см. табл. 4).
Таблица 4. Сравнение характеристик механических свойств аустенитных нержавеющих сталей в водороде и гелии при комнатной температуре
Материал и тип образцов | Среда (p, МПа) | σв, МПа | σ0.2, МПа | δ, % | ψ, % | Литература |
Сталь 316L-ПЛС, тип “а-1” | Не (80 МПа) | 700 | 550 | 48 | 53 | Данная работа |
H2 (80 МПа) | 705 | 560 | 47 | 51 | ||
Параметр Δ, % | – 0.7 | – 1.8 | 2.1 | 3.8 | ||
Сталь 316L-ПЛС, тип “а-2” | Не (80 МПа) | 700 | 570 | 44 | 48 | |
H2 (80 МПа) | 570 | 500 | 27 | 45 | ||
Параметр Δ, % | 0 | 0 | 23 | 17 | ||
Сталь 316L-ПЛС | Не (80 МПа) | 730 | 600 | 41 | 59 | |
H2 (80 МПа) | 690 | 570 | 37 | 46 | ||
Параметр Δ, % | 5.5 | 5 | 10 | 22 | ||
Результаты испытаний образцов из аналогичных сталей, полученных по “традиционным” технологиям | ||||||
Сталь 1.4404 (пруток Ø12 мм) | Не (70 МПа) | 590 | 265 | 63 | 85 | [34] |
H2 (70 МПа) | 570 | 260 | 45 | 43 | ||
Параметр Δ, % | 3.4 | 1.9 | 29 | 49 | ||
Сталь 1.4404 (лист 12 мм) | Не (70 МПа) | 650 | 375 | 54 | 83 | |
H2 (70 МПа) | 620 | 345 | 41 | 46 | ||
Параметр Δ, % | 4.6 | 8 | 24 | 45 | ||
Сталь 12Х18Н10Т | Параметр Δ, %, | 0.6 | – 2.3 | 0.8 | 1.8 | [32] |
Как видно из табл. 2 и 3, водород не оказал влияния на предел прочности обоих типов образцов (“а-1” и “а-2”) из стали 316L при температурах от комнатной до 500°С – величина Δσв не превышает 2%, что меньше погрешности определения характеристики σв (± 4.7%). Лишь при температуре 600°С воздействие водорода привело к незначительному снижению предела прочности: на 6.4% для образцов типа “а-1” и на 10% для образцов типа “а-2”.
В отличие от прочностных характеристик влияние водорода на пластические свойства стали 316L-ПЛС не столь однозначно. Так, характеристики пластичности образцов типа “а-1” оказались малочувствительными к воздействию водорода в интервале температур от комнатной до 500°С. Только при температуре 600°С относительное сужение после разрыва в водороде заметно уменьшилось – на 25%. Аналогичный характер влияния водорода на механические свойства наблюдался в работе [32] у аустенитной нержавеющей стали 12Х18Н10Т. В то же время водородное охрупчивание образцов типа “а-2” проявилось не только при температуре 600°С (снижение Δδ ≈ 11% и Δψ ≈ 29%), но и при комнатной температуре – вызванное воздействием водорода снижение относительного удлинения δ составило 23%, а снижение относительного сужения ψ – 17%. Аналогичное снижение пластичности образцов из стали 316L-ПЛС при комнатной температуре наблюдалось ранее в работах [29, 34].
Однако, несмотря на заметное снижение пластичности при температуре 600°С образцов из стали 316L-ПЛС в водороде, ее характеристики пластичности по величине остаются на достаточно высоком уровне: δ ≥ 20 % и ψ ≥ 30 %.
Заметим, что количественное сравнение величин вызванного водородом снижения характеристик пластичности (Δψ и Δδ) в разных работах, приведенных в табл. 4, не совсем корректно. Так, в работе [35] отмечалось, что на степень водородного охрупчивания нержавеющих сталей влияет скорость деформации при растяжении образцов в водороде – чем меньше скорость деформации, тем чувствительнее пластичность стали к воздействию водорода. В работах [29, 34, 35] скорость деформации составляла 5·10–5 с–1, а в работе [32] и в данной работе 2·10–3 с–1.
Подводя итог вышесказанному, можно сделать однозначный обобщающий вывод. В интервале температур от комнатной до 600°С механические свойства и водородостойкость образцов из стали 316L-ПЛС находятся на высоком уровне, превосходя по прочностным характеристикам стали, полученные по “традиционным” технологиям, и не уступая им по характеристикам пластичности при воздействии водорода.
3.2. Результаты исследований параметров ВП
По полученным данным в полулогарифмических координатах построены зависимости коэффициентов проницаемости PH (рис. 2) и диффузии DH (рис. 3) водорода в металле от значения обратной температуры.
Рис. 2. Политерма водородопроницаемости стали 316L-ПЛС.
Рис. 3. Температурная зависимость коэффициента диффузии стали 316L-ПЛС.
Измерения параметров ВП на разных мембранных образцах из стали 316L-ПЛС специально проводили при различных температурах отжига: образец “1-1” – при температурах более 700°С (начальный отжиг проводился при 1075°С в течение 1 ч); образец “1-2” – при температурах до 650°С; образец “2” – при температуре не более 600°С; образец “3” – при температурах не более 450°С. Это позволило оценить влияние исходной структуры материала и эффекта рекристаллизации на параметры водородопроницаемости, диффузии и растворимости. В ходе опытов и последующих расчетов было выяснено, что рекристаллизация не влияет на процессы диффузии водорода через материал мембранного ПЛС-образца.
Анализ экспериментальных результатов показал, что значения коэффициента диффузии, полученные по разным характеристическим временам, практически накладываются друг на друга, то есть могут быть описаны одной аррениусовской зависимостью со средними значениями параметров:
(5)
Расчет значений константы Сивертса проводится по формуле (4), где в качестве коэффициента диффузии использовалось выражение (5). Результаты расчета показаны на рис. 4.
Рис. 4. Температурная зависимость константы растворимости стали 316L-ПЛС.
Как видно из рис. 4, результаты расчета константы Сивертса SH для разных образцов накладываются друг на друга, а совокупная зависимость коэффициента растворимости от обратной температуры имеет явный изгиб в диапазоне 400–450°С. При этом как высокотемпературную часть, так и низкотемпературную часть графика можно удовлетворительно описать аррениусовской зависимостью с отличными друг от друга параметрами. Очевидное совпадение значений для образцов, отожженных при разных температурах, формально говорит об отсутствии влияния рекристаллизации на параметры растворимости водорода в ПЛС-образцах.
По результатам обработки экспериментальных данных были получены значения энергии активации ВП ЕP, диффузии ЕD, теплоты растворения HS, предэкспоненты ВП P0, диффузии D0, константы Сивертса S0 в диапазоне температур от 300°С до 700°С (табл. 5).
Таблица 5. Кинетические параметры взаимодействия водорода со сталью 316L-ПЛС
Диапазон температур, °С | 300–450 | 450–700 |
D0, м2/с | 1.627∙10–6 | |
ED, кДж/моль | 57.83 | |
P0, моль/(м·с·Па1/2) | 4.36·10-7 | 1.40·10–7 |
EP, кДж/моль | 65.23 | 58.29 |
S0, моль/(м3·Па1/2) | 0.301 | 0.089 |
HS, кДж/моль | 8.06 | 0.707 |
Следует отметить, что полученные параметры ВП для стали 316L-ПЛС имеют значения одного порядка с параметрами ВП сталей 12Х18Н10Т и 316L, изготовленных по “традиционной” технологии [29].
3.3. Результаты определения растворимости водорода
Результаты определения растворимости водорода в призматических образцах из стали 316L-ПЛС и цилиндрических образцах из стали 12X18Н10Т, изготовленной по “традиционной” технологии, после наводороживания при высоких давлениях представлены в табл. 6.
Таблица 6. Результаты определения содержания водорода в образцах из стали 316L-ПЛС и образцах из стали 12X18Н10Т
Режимы наводороживания | Содержание водорода, ppm | |||
рнав., МПа | tнав., °С | τнав., ч | Сталь 316L | Сталь 12X18Н10Т |
CH | CH | |||
40 | 400 | 48 | 63 | 65 |
500 | 16 | 67 | 68 | |
600 | 4 | 75 | 74 | |
CH – среднее содержание водорода. | ||||
Как видно из представленных данных, технология изготовления двух близких по составу сталей не оказывает влияния на растворимость в них водорода в диапазоне температур от 400°С до 600°С.
3.4. Результаты металлографического исследования
Структура стали 316L-ПЛС в исходном состоянии и после воздействия приведена на рис. 5–10. В результате быстрых нагревов и охлаждений при послойном построении образцов сталь 316L-ПЛС имеет иерархическую структуру, которую следует анализировать на макро-, мезо- и микроуровнях [28, 32, 36–40].
Рис. 5. Структура стали 316L-ПЛС в исходном состоянии в плоскости, перпендикулярной направлению построения (а, б), и в плоскости, параллельной направлению построения (в, г).
Макроструктура стали 316L-ПЛС формируется из частично перекрывающихся следов от застывших ванн расплавов, вид и геометрические размеры которых определяются режимом и стратегией построения образцов: в плоскости, перпендикулярной направлению построения, она представляет собой сетку ванн расплавов, пересекающихся под углом 90° (рис. 5а, б), а в плоскости, параллельной направлению построения, имеет вид так называемой “рыбьей чешуи” [37, 41] (рис. 5в, г). В макроструктуре образцов встречаются дефекты в виде пор и несплавлений, как правило, расположенных по границам ванн расплава (рис. 5а, б). Принято считать [37–40], что образование дефектов обусловлено неоптимальными параметрами режима изготовления образцов.
Мезоструктура стали 316L-ПЛС состоит из столбчатых зерен, расположенных в одном или двух слоях (рис. 6). Зерна имеют вытянутую форму, диаметр от 5 до 10 мкм и длину до 50 мкм и ориентированы в соответствии с градиентом температуры. Так как температурное поле в процессе построения образцов является очень неоднородным, то и образовавшиеся зерна имеют разную кристаллографическую ориентацию (рис. 6, 7).
Рис. 6. Сотовая ячеисто-столбчатая микроструктура стали 316L-ПЛС в плоскости, параллельной направлению построения образца (растровая электронная микроскопия).
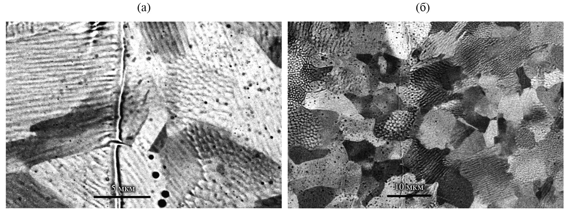
Микроструктуру стали 316L-ПЛС образуют сотовые ячеисто-столбчатые субзерна, имеющие в одном зерне близкую кристаллографическую ориентацию и вытянутые в направлении градиента температур (см. рис. 6). Диаметр ячеек составляет от 0.5 до 1 мкм с очень высоким отношением длины к диаметру (см. рис. 6, 7).
Рис. 7. Сотовая ячеисто-столбчатая микроструктура стали 316L-ПЛС в плоскости, перпендикулярной направлению построения образца (растровая электронная микроскопия).
После наводороживания при температуре 500°С в течение 16 ч наблюдаются изменения микроструктуры стали 316-ПЛС, связанные с появлением отдельных рекристаллизованных зерен (рис. 8а). В результате наводороживания при температуре 600°С в течение 4 ч количество рекристаллизованных зерен значительно увеличивается (рис. 8б).
Рис. 8. Структура стали 316L-ПЛС после наводороживания при температурах 500° (а) и 600°С (б) в плоскости, перпендикулярной направлению построения (растровая электронная микроскопия).
Исследование влияния условий испытаний ВП на структуру стали 316L-ПЛС проводили на двух образцах “2” и “3” (табл. 7).
Таблица 7. Условия испытаний на водородопроницаемость образцов “2” и “3” (раздел 3.2.)
Образец | Вакуумный отжиг | Воздействие водорода | ||
t, °С | τ, ч | t, °С | τ, ч | |
“3” | 450 | 100 | от 300 до 450 | 140 |
“2” | 600 | 91 | от 300 до 550 | 120 |
Структура образцов “3” и “2” после испытаний на водородопроницаемость приведена на рис. 9.
Рис. 9. Структура образцов “3” (а, б) и “2” (в, г) из стали 316L-ПЛС после испытаний на водородопроницаемость в плоскости, параллельной направлению построения (а, в – оптическая микроскопия; б, г – растровая электронная микроскопия).
При испытании на водородопроницаемость при температурах до 450°С (образец “3”, рис. 9а, б) структура стали 316L-ПЛС по сравнению с исходной не изменилась (см. рис. 5–7).
Повышение температуры испытаний до 550–600°С (образец “2”) привело к заметному изменению структуры – границы ванн расплава стали менее выраженными, уменьшилось количество столбчатых зерен с ячеистой структурой, появились рекристаллизованные зерна (рис. 9г).
Полностью рекристаллизованная структура в стали 316L-ПЛС без границ ванн расплава и ячеистой структуры наблюдается после отжига при температуре 1075°С в течение часа (рис. 10).
Рис. 10. Структура стали 316L-ПЛС в плоскости, параллельной направлению построения, после отжига при температуре 1075°С в течение часа (растровая электронная микроскопия).
3.5. Результаты исследований микротвердости
Микротвердость стали 316L-ПЛС измеряли в исходном состоянии, после наводороживания при давлении 40 МПа и температурах 400, 500 и 600°С, после испытаний на водородопроницаемость и после высокотемпературного отжига при температуре 1075°С в течение часа.
Результаты измерений микротвердости стали 316L-ПЛС приведены на рис. 11. Микротвердость материала практически не изменяется после наводороживания и испытаний на водородопроницаемость – ее относительное изменение не превышает ≈ 3%. Отжиг привел к снижению микротвердости на ≈ 8%, а последующее наводороживание при давлении 40 МПа и температуре 600°С, 44 ч к росту микротвердости до исходного значения.
Рис. 11. Результаты измерения микротвердости стали 316L-ПЛС: 1 – исходное состояние; 2 – после наводороживания; 3 – после испытаний на водородопроницаемость; 4 – после отжига 1075°С, 1 ч; 5 – после отжига 1075°С, 1 ч и наводороживания при 40 МПа, 600°С, 44 ч; 6 (пруток из стали 12Х18Н10Т) – после отжига 1075°С, 1 ч; 7 (пруток из стали 12Х18Н10Т) – после отжига 1075°С, 1 час и наводороживания при 40 МПа, 600°С, 44 ч.
Для сравнения на рис. 11 приведены данные по микротвердости стали 12Х18Н10Т, изготовленной по “традиционной” технологии. После отжига микротвердость стали 12Х18Н10Т заметно ниже, чем стали 316L-ПЛС – 174 и 232 HV соответственно. После наводороживания значение микротвердости отожженной стали 12Х18Н10Т повышается от 174 до 195 HV.
Более высокие значения микротвердости стали 316L-ПЛС по сравнению со сталью 316L, созданной “традиционными” методами, в работе [41] объясняется следующим образом. Экспериментально доказано, что микротвердость и предел текучести σ0.2 металлов и сплавов взаимосвязаны, и в соответствие с зависимостью Холла–Петча уменьшение величины зерна или субзерна приводит к повышению микротвердости. Размер зерна/субзерна в стали 316L-ПЛС на порядок меньше размера зерна в стали 316L, изготовленной по “традиционной” технологии, что и обуславливает более высокую микротвердость стали 316L-ПЛС.
4. Заключение
Проведены исследования влияния водорода при давлении 80 МПа в диапазоне температур от 20°С до 600°С на механические свойства и структуру стали 316L, изготовленной методом послойного лазерного сплавления, определены кинетические параметры взаимодействия водорода со сталью 316L-ПЛС, растворимость водорода в стали 316L-ПЛС.
В исходном состоянии сталь 316L-ПЛС обладает высоким уровнем механических свойств (σB≥700 МПа, σ0.2≥550 МПа, δ≥44%, ψ≥48%). Водород при давлении 80 МПа и температурах до 500°С практически не влияет на прочностные характеристики стали 316L-ПЛС, при 600°С снижение σ0.2 и σB не превысило 10%. Более чувствительными к воздействию водорода являются характеристики пластичности – максимальная степень водородного охрупчивания при 600°С составляет ≈ 30%, при этом значения δ и ψ остаются на достаточно высоком уровне: δ≥20%, ψ≥30%. Необходимо отметить, что состояние поверхности образцов заметно влияет на степень водородного охрупчивания – бóльшая водородостойкость стали 316L-ПЛС наблюдалась в образцах, не подвергавшихся дополнительной механической обработке.
В диапазоне температур от 300°С до 700°С получены кинетические параметры взаимодействия водорода со сталью 316L-ПЛС (см. табл. 5). Как показали результаты экспериментальных исследований изменения структуры стали 316L-ПЛС после длительного термического и водородного воздействия, а также направление построения образцов, состояние их поверхности, наличие “ловушек” водорода в виде пор и дефектов структуры не влияют на параметры взаимодействия водорода со сталью 316L-ПЛС.
В диапазоне температур от 400 до 600°С растворимость водорода в стали 316L-ПЛС близка к показателям аустенитной стали 12Х18Н10Т, изготовленной по “традиционной” технологии.
Исследование выполнено в рамках научной программы Национального центра физики и математики, направление № 8 “Физика изотопов водорода”. Этап 2023–2025 гг.
Авторы данной работы заявляют, что у них нет конфликта интересов.
About the authors
I. E. Boytsov
Russian Federal Nuclear Center – All-Russian Research Institute of Experimental Physics
Email: arkad@triton.vniief.ru
Russian Federation, 607188, Sarov, Nizhny Novgorod region
A. V. Buchirin
Russian Federal Nuclear Center – All-Russian Research Institute of Experimental Physics
Email: arkad@triton.vniief.ru
Russian Federation, 607188, Sarov, Nizhny Novgorod region
I. P. Maksimkin
Russian Federal Nuclear Center – All-Russian Research Institute of Experimental Physics
Email: arkad@triton.vniief.ru
Russian Federation, 607188, Sarov, Nizhny Novgorod region
I. L. Malkov
Russian Federal Nuclear Center – All-Russian Research Institute of Experimental Physics
Email: arkad@triton.vniief.ru
Russian Federation, 607188, Sarov, Nizhny Novgorod region
R. K. Musyaev
Russian Federal Nuclear Center – All-Russian Research Institute of Experimental Physics
Email: arkad@triton.vniief.ru
Russian Federation, 607188, Sarov, Nizhny Novgorod region
Е. V. Shevnin
Russian Federal Nuclear Center – All-Russian Research Institute of Experimental Physics
Email: arkad@triton.vniief.ru
Russian Federation, 607188, Sarov, Nizhny Novgorod region
А. А. Yukhimchuk
Russian Federal Nuclear Center – All-Russian Research Institute of Experimental Physics
Author for correspondence.
Email: arkad@triton.vniief.ru
Russian Federation, 607188, Sarov, Nizhny Novgorod region
A. V. Yalysheva
Russian Federal Nuclear Center – All-Russian Research Institute of Experimental Physics
Email: arkad@triton.vniief.ru
Russian Federation, 607188, Sarov, Nizhny Novgorod region
S. V. Shotin
Lobachevsky State University of Nizhni Novgorod
Email: arkad@triton.vniief.ru
Russian Federation, 603022, Nizhny Novgorod
A. V. Piskunov
Lobachevsky State University of Nizhni Novgorod
Email: arkad@triton.vniief.ru
Russian Federation, 603022, Nizhny Novgorod
A. V. Semenycheva
Lobachevsky State University of Nizhni Novgorod
Email: semenycheva@nifti.unn.ru
Russian Federation, 603022, Nizhny Novgorod
M. Yu. Gryaznov
Lobachevsky State University of Nizhni Novgorod
Email: arkad@triton.vniief.ru
Russian Federation, 603022, Nizhny Novgorod
V. N. Chuvildeev
Lobachevsky State University of Nizhni Novgorod
Email: arkad@triton.vniief.ru
Russian Federation, 603022, Nizhny Novgorod
References
- Колачев Б.А. Водородная хрупкость металлов и сплавов. М.: Металлургия, 1985. 217 с.
- Pillot S., Coudreuse L. Hydrogen-induced disbonding and embrittlement of steels used in petrochemical refining. In: Gaseous Hydrogen Embrittlement of Materials in Energy Technologies. V. 2. Eds. R.P. Gangloff, B.P. Somerday. Woodhead Publishing. 2012. P. 51–93.
- Michler T., Lindner M., Eberle U., Meusinger J. Assessing hydrogen embrittlement in automotive hydrogen tanks. In: Gaseous Hydrogen Embrittlement of Materials in Energy Technologies. V. 2. Eds. R.P. Gangloff, B.P. Somerday. Woodhead Publishing. 2012. P. 94–125.
- Young G.A. Jr., Richey E., Morton D.S. Hydrogen embrittlement in nuclear power systems/ in: Gaseous Hydrogen Embrittlement of Materials in Energy Technologies. V. 2. Eds. R.P. Gangloff, B.P. Somerday. Woodhead Publishing. 2012. P. 149–176.
- Sims J.R. Standards and codes to control hydrogen-induced cracking in pressure vessels and pipes for hydrogengas storage and transport/ in: Gaseous Hydrogen Embrittlement of Materials in Energy Technologies. V. 2. Eds. R.P. Gangloff, B.P. Somerday. Woodhead Publishing. 2012. P. 177–192.
- Коррозия и защита химической аппаратуры, т. 9. Нефтеперерабатывающая и нефтехимическая промышленность / Под ред. А.М. Сухотина, А.В. Шрейдера, Ю.И. Арчакова. Л.: Химия, 1974. 576 с.
- Нельсон Г.Г. Водородное охрупчивание / В сб. “Охрупчивание конструкционных сталей и сплавов” под ред. К.Л. Брайнет, С.К. Бенерджи. М.: Металлургия, 1988. С. 256–332.
- Gerberich W. Modeling hydrogen induced damage mechanisms in metals. In: Gaseous Hydrogen Embrittlement of Materials in Energy Technologies. V.1. Eds. R.P. Gangloff, B.P. Somerday. Woodhead Publishing, 2012. P. 209–246.
- Robertson I.M., Sofronis P., Nagao A., Martin M.L., Wang S., Gross D.W., Nygren K.E. Hydrogen embrittlement understood // Metall. Mater. Trans. B. 2015. V. 46. P. 1085–1103.
- Martin M.L., Dadfarnia M., Nagao A., Wang S., Sofronis P. Enumeration of hydrogen-enhanced localized plasticity mechanism for hydrogen embrittlement in structural materials // Acta Mater. 2019. V. 165. P. 734–750.
- San Marchi C. Hydrogen embrittlement of austenitic stainless steels and their welds / in: Gaseous Hydrogen Embrittlement of Materials in Energy Technologies. V.2. Eds. R.P. Gangloff, B.P. Somerday. Woodhead Publishing. 2012. P. 592–623.
- Robinson S.L., Somerday B.P., Moody N.R. Hydrogen Embrittlement of Stainless Steels // Sandia National Laboratories, Livermore, CA, USA. www.wp-content/uploads/2015/12/10762–41242–1-PB.pdf.
- San Marchi C., Michler T., Nibur K.A., Somerday B.P. On the physical differences between tensile testing of type 304 and 316 austenitic stainless steels with internal hydrogen and in external hydrogen // Int. J. Hydrog. Energy. 2010. V. 35. P. 9736–9745.
- Michler T., Yukhimchuk A. Hydrogen environment embrittlement testing at low temperatures and high pressures // Corros. Sci. 2008. V. 50. P. 3519–3526.
- San Marchi C., Somerday B.P., Tang X., Schiroky G.H. Effects of alloy composition and strain hardening on tensile fracture of hydrogen-precharged type 316 stainless steels // Int. J. Hydrog. Energy. 2008. V. 33. P. 889–904.
- Boitsov I., Kanashenko S., Causey R., Denisov E., Glugla M., Grishechkin S., Hassanein A., Lebedev B. Kompaniets T., Kurdyumov A., Malkov I., Yukhimchuk A. Effect of radiogenic helium on stainless steel 12Cr18Ni10Ti mechanical properties and hydrogen permeability // Fusion Sci. Technol. 2008. V. 54. № 2. P. 497–500.
- Michler T., San Marchi C., Naumann J. Weber S., Martin M. Hydrogen environment embrittlement of stable austenitic steels // Int. J. Hydrog. Energy. 2012. V. 37. P. 16231–16246.
- Louthan M.R., Derrick R.G. Hydrogen transport in austenitic stainless steel // Corros. Sci. 1975. V. 15. P. 565–577.
- San Marchi C., Somerday B.P., Robinson S.L. Permeability, solubility and diffusivity of hydrogen isotopes in stainless steels at high gas pressure // Int. J. Hydrog. Energy. 2007. V. 32. P. 100–116.
- Масленков С.Б., Масленкова Е.А. Стали и сплавы для высоких температур / Справочник. В 2-х книгах. Книга 1. М.: Металлургия, 1991. 382 с.
- Шишковский И.В. Основы аддитивных технологий высокого разрешения. СПб.: Питер, 2016. 400 c.
- Дуб А.В. Аддитивные технологии для атомной энергетики // Аддитивные технологии. 2018. № 2. C. 23–25.
- DebRoy T., Wei H.L., Zuback J.S., Mukherjee T., Elmer J.W., Milewski J.O., Beese A.M., Wilson-Heid A., De A., Zhang W. Additive manufacturing of metallic components – Process, structure and properties // Prog. Mater. Sci. 2018. V. 92. P. 112–224.
- Lin J., Chen F., Liu F., Xu D., Gao J, Tang X. Hydrogen permeation behavior and hydrogen-induced defects in 316L stainless steels manufactured by additive manufacturing // Mater. Chem. Phys. 2020. V. 250. P. 123038.
- Khaleghifar F., Razeghi K., Heidarzadeh A., Taherzadeh Mousavian R. Effect of Hydrogen on the Tensile Behavior of Austenitic Stainless Steels 316L Produced by Laser-Powder Bed Fusion // Metals. 2021. V. 11. P. 586.
- Bertsch K.M., Nagao A., Rankouhi B., Kuehl B., Thoma D.J. Hydrogen embrittlement of additively manufactured austenitic stainless steel 316L // Corros. Sci. 2021. V. 192. P. 109790.
- Zhu H., Pan Q., Zhang K., Zhou C., Zhang W., Yao Y., Ying D., He Y., Zheng J., Zhang L. The difference in fatigue crack growth induced by internal and external hydrogen in selective laser melted 304L stainless steel // Int. J. Fatigue. 2022. V. 163. P. 107052.
- Baek S-W., Song E.J., Kim J.H., Jung M., Baek U.B., Nahm S.H. Hydrogen embrittlement of 3D printing manufactured austenitic stainless steel part for hydrogen service // Scr. Mater. 2017. V. 130. P. 87–90.
- Maksimkin I.P., Yukhimchuk A.A., Malkov I.L., Boitsov I.E., Musyaev R.K., Buchirin A.V., Baluev V.V., Vertei A.V., Shevnin E.V., Shotin S.V., Chuvil’deev V.N., Gryaznov M. Yu. Effect of hydrogen on the structure and mechanical properties of 316L steel and Inconel 718 alloy processed by selective laser melting // Materials. 2022. V. 15. P. 4806.
- Грязнов М.Ю., Шотин С.В., Чувильдеев В.Н., Семенычева А.В., Мусяев Р.К., Юхимчук А.А. Повышение механических характеристик нержавеющий стали 316L методом послойного лазерного сплавления и исследование влияния пористости на них // Проблемы прочности и пластичности. 2023. Т. 85. № 3. С. 375–389.
- Basunov Α.V., Boitsov I.E., Grishechkin S.К., Ismagilov V.Z., Malkov I.L., Khabarov Yu.А., Yukhimchuk A.A. Physical and mechanical properties of structural materials in gaseous mediacontaining hydrogen isotopes // J. Moscow Phys. Society. 1999. V. 9. № 3. P. 237–243.
- Бойцов И.Е., Гришечкин С.К., Glugla M., Канашенко С.Л., Hassanein A., Юхимчук А.А. Влияние радиогенного 3Не и водорода на механические свойства и структуру стали 12Х18Н10Т // ВАНТ. Сер. Термоядерный синтез. 2008. Вып. 2. С. 336–344.
- Арчаков Ю.И. Водородная коррозия стали. М.: Металлургия, 1985. 192 c.
- Максимкин И.П., Царев М.В., Юхимчук А.А., Бойцов И.Е., Малков И.Л., Мокрушин В.В., Царева И.А., Забродина О.Ю., Канунов А.Е., Кашафдинов И.Ф., Мусяев Р.К., Бучирин А.В., Балуев В.В., Вертей А.В., Шевнин Е.В., Шотин С.В., Чувильдеев В.Н., Грязнов М.Ю. Свойства поверхности частиц порошков стали 316L и сплава Inconel 718 и взаимодействие с водородом образцов, полученных методом ПЛС // Материаловедение. 2022. № 1. С. 7–17.
- Бойцов И.Е., Балуев В.В., Гришечкин С.К., Michler T., Малков И.Л., Туманова Н.Ю., Фильчагин С.В., Шевнин Е.В., Юхимчук А.А. Исследование влияния водорода высокого давления на механические свойства некоторых нержавеющих сталей в диапазоне температур от минус 80 °C до комнатной. Взаимодействие изотопов водорода с конструкционными материалами (IHISM-07) / Сб. докладов Третьей международной конференции и Третьей международной школы молодых ученых и специалистов, РФЯЦ-ВНИИЭФ. 2008. С. 304–309.
- Ткачев В.И., Холодный В.И., Левина И.Н. Работоспособность сталей и сплавов в среде водорода. Львов: “Вертикаль”, 1999. 256 с.
- Brytan Z. Comparison of vacuum sintered and selective laser melted steel AISI 316L // Arch. Metall. Mater. 2017. V. 62. P. 2125–2131.
- Li X., Yi D., Wu X., Zhang J., Yang X., Zhao Z., Wang J., Liu B., Bai P. Study on Mechanism of Structure Angle on Microstructure and Properties of SLM–Fabricated 316L Stainless Steel // Front. bioeng. biotechnol. 2021. V. 9. Р .778332.
- Qiu Ch., Al Kindi M., Alawadi A.S., Al Hatmi I. A comprehensive study on microstructure and tensile behavior of a selectively laser melted stainless steel // Sci. Rep. 2018. V. 8. P. 7785.
- Röttger A., Boes J., Theisen W., Thiele M., Esen C., Edelmann A., Hellmann R. Microstructure and mechanical properties of 316L austenitic stainless steel processed by different SLM devices // Int. J. Adv. Manuf. Technol. 2020. V. 108. P. 769–783.
- Saeidi K. Stainless steels fabricated by laser melting. Scaled-down structural hierarchies and microstructural heterogeneitics // Doctoral Thesis, Stockholm University Sweden, Stockholm. 2016.
Supplementary files












