Получение и первичная оценка фенотипа тополя берлинского, трансформированного геном AtGA20ox1
- Авторы: Павличенко В.В.1, Протопопова М.В.1
-
Учреждения:
- Федеральное государственное бюджетное учреждение науки Сибирский институт физиологии и биохимии растений Сибирского отделения Российской академии наук
- Выпуск: Том 71, № 2 (2024)
- Страницы: 228-242
- Раздел: ЭКСПЕРИМЕНТАЛЬНЫЕ СТАТЬИ
- URL: https://medbiosci.ru/0015-3303/article/view/261888
- DOI: https://doi.org/10.31857/S0015330324020092
- EDN: https://elibrary.ru/OAWLUE
- ID: 261888
Цитировать
Полный текст
Аннотация
Увеличение скорости набора биомассы является одним из важнейших направлений в селекции древесных растений. Тем не менее, применение классических подходов селекции к древесным растениям существенно ограничено из-за длительных циклов размножения многих видов. Развитие технологий генетической инженерии и редактирования генома позволило проводить улучшение признаков деревьев за относительно короткое время. Объектом для генетических манипуляций, целью которых является ускорение роста растений, часто являются гены биосинтеза фитогормонов. Гиббереллин-20-оксидаза является ключевым ферментом, определяющим активное производство гиббереллинов в растениях и, следовательно, предпочтительной мишенью для генетических манипуляций, направленных на увеличение скорости роста. В данной работе представлено оригинальное исследование по получению тополя берлинского Populus × berolinensis K. Koch, трансформированного геном, кодирующим гиббереллин-20-оксидазу из Arabidopsis thaliana (L.) Heynh. (AtGA20ox1), и первичной оценке фенотипических эффектов проведенной трансформации. Основными фенотипическими проявлениями трансформации явились выраженное удлинение стебля за счет увеличения размера междоузлий, незначительное его истончение, а также удлинение и заужение листьев. Наши результаты показали, что гиперэкспрессия гена AtGA20ox1 у тополя берлинского приводит к ускорению его роста как минимум в три раза в условиях in vitro по сравнению с контрольными значениями. Негативные эффекты трансформации, выражающиеся в слабом укоренении или высокой частоте апикальных некрозов и наблюдавшиеся у некоторых трансгенных линий на начальных этапах отбора, не проявляются у трех финально отобранных линий.
Полный текст
ВВЕДЕНИЕ
Гиббереллины – это класс фитогормонов, которые стимулируют рост и запускают различные процессы развития в течение всего жизненного цикла растения, включая прорастание семян, удлинение стебля, определение пола, цветение, формирование плодов и старение [1]. У высших растений ключевые пути биосинтеза гиббереллинов катализируются тремя основными ферментами: гиббереллин-20-оксидаза, гиббереллин-3-оксидаза и гиббереллин-2-оксидаза. Первые два фермента вовлечены в реакции по формированию биоактивных форм гиббереллинов, в то время как гиббереллин-2-оксидаза инактивирует их непосредственных предшественников. За биосинтез главного предшественника гиббереллинов отвечает не менее важный фермент энт-каурен-синтаза [2]. С момента открытия роли и функции гена GA20ox, кодирующего гиббереллин-20-оксидазу [3], интерес к его использованию для управления продуктивностью растений не снижается. Рядом научных коллективов были предприняты попытки увеличить скорость роста различных растений путем трансгенеза и гиперэкспресии гена GA20ox. В литературе описаны эксперименты по генетической трансформации древесных растений геном GA20ox, в целом приводящие к основному фенотипическому эффекту – увеличению скорости роста [4–10]. Помимо увеличения скорости роста, показано, что трансформация геном GA20ox, может приводить и к проявлению негативных плейотропных эффектов. Так для растений P. tremula × P. tremuloides, трансгенных по AtGA20ox1, кроме двукратного увеличения скорости роста отмечено истончение междоузлий и плохое укоренение [9]. При цисгенной трансформации цитрусового гибрида цитранжа Карризо (Citrus sinensis L. Osbeck × Poncirus trifoliata L. Raf.) геном CcGA20ox1, помимо стандартных эффектов в виде удлинения ветвей и междоузлий, ускоренного роста, приводящего к формированию вытянутого фенотипа, и уменьшения площади листьев, авторы также отмечали и вполне очевидные негативные проявления, такие как слабое укоренение и снижение биомассы [10]. Несмотря на наличие задокументированных трансформаций, коммерчески успешных генотипов древесных пород до сих пор не создано. Объяснений этому может быть множество, начиная от ложноположительной детекции трансгенеза с последующим изучением сомаклональной изменчивости, заканчивая такими сложными явлениями как эффект положения гена, видоспецифичность экспрессии трансгена, сайленсинг или химеризм растения.
Высокопродуктивные трансгенные деревья создаются в основном для плантационного выращивания с целью увеличения базы растительного сырья. Одними из наиболее подходящих культур для такого рода возделывания являются представители рода Populus. Тополя относятся к наиболее быстрорастущим видам древесных растений и достигают минимально необходимых размеров для использования уже через 4–5 лет после высадки в грунт. Древесина тополей обладает ценными свойствами, определяющими возможность ее широкого использования в различных областях промышленности. Она характеризуется высоким содержанием целлюлозы относительно лигнина, что делает ее ценным сырьем для производства как древесных полуфабрикатов различной степени очистки, так и чистых продуктов (целлюлоза, этиловый спирт). Пластичность древесины тополя определяет ее широкое использование в производстве строительных материалов и изготовлении мебели. Высокие экологические показатели сжигания древесины тополя делают ее перспективным сырьем при производстве различных видов биотоплива.
Важным параметром при выборе деревьев для создания высокопродуктивных плантаций является форма их кроны. Растения с раскидистой кроной требуют больше места для посадки, в отличие от деревьев с колоновидной или веретеновидной кроной, которые можно высаживать довольно плотно и тем самым получать больше биомассы с единицы площади. Одним из перспективных видов деревьев для плантационного выращивания является тополь берлинский Populus × berolinensis K. Koch. Обладая высокой скоростью роста и узкой веретеновидной кроной, данный вид способен формировать лесопосадку с плотностью до 1 дерева на квадратный метр. Увеличение продуктивности таких деревьев методами генетической инженерии позволит еще более эффективно использовать полезные свойства этого вида для получения и глубокой переработки его древесины (биорефайнинга). Кроме того, трансгенные деревья с измененным биосинтезом гиббереллинов могут стать модельным объектом для более глубокого изучения путей их биосинтеза у древесных растений.
Настоящее исследование было направлено на создание тополя берлинского, трансгенного по гену AtGA20ox1, и на оценку полученных фенотипических эффектов.
МАТЕРИАЛЫ И МЕТОДЫ
Объект исследования. В качестве объекта для генетической трансформации был выбран тополь берлинский (Populus × berolinensis K. Koch) – гибрид тополя лавроволистного (P. laurifolia Ledeb.) и тополя черного (P. nigra L.). В работе использовали in vitro культуру Populus × berolinensis, созданную и культивируемую авторами в СИФИБР СО РАН. Данный вид быстро растет в культуре in vitro, легко размножается путем срезания и укоренения верхушечной части растения, а также дает большое количество боковых побегов, которые активно образуются после срезания апикальной меристемы. В культуре in vitro укоренение побегов после срезания близка к 100%. Источником донорной ДНК послужил Arabidopsis thaliana (L.) Heynh. (экотип Columbia).
Подготовка питательных сред. Для культивирования растений тополя использовали твердую питательную среду на основе смеси базовых солей классической среды Мурасиге-Скуга (МС-среда) [11] с добавлением тиамина (1 мг/л), пиридоксина (0.5 мг/л), никотиновой кислоты (0.5 мг/л), мезо-инозита (50 мг/л) и агара (7 г/л). В качестве источника углеводов использовали сахарозу (2% для укоренения и 3% для ко-культивирования растительных эксплантов с агробактериями и регенерации растений после трансформации). Кислотность среды доводили до pH 5.7. Питательную среду стерилизовали в автоклаве в течение 15 мин при температуре 121°С и давлении 220 кПа, остужали до 50°С и разливали по 10 мл в стерильные пробирки Z681784 (“Sigma-Aldrich”, Германия) размером 25 × 150 мм и/или 25 × 200 мм (Китай) с вентилируемыми крышками C5791(“Sigma-Aldrich”, Германия) или по 50 мл в сосуды для культуры тканей растений Magenta vessel GA-7-3 (“Merck”, Германия).
Для укоренения и получения регенерантов использовали 6-бензиламинопурин (БАП), тидиазурон (ТДЗ), 1-нафталинуксусную кислоту (НУК) и индолил-3-масляную кислоту (ИМК) в различных концентрациях (информация приведена ниже).
In vitro культура тополя берлинского. Для микроклонального размножения тополя берлинского применяли подход по укоренению срезанной верхушечной части растения и/или адвентивных побегов, образовывавшихся после удаления апикальной меристемы. Укоренение растений, использованных для последующей агробактериальной трансформации, производили в вышеописанной питательной МС-среде с добавление ИМК (0.15 мг/л). После трансформации укоренение контрольной группы и отобранных трансгенных линий проводили без добавления ИМК в питательную среду. Содержание растений тополя in vitro на всех этапах проводили в климатической комнате при 24°С с фотопериодом 16/8 ч (день/ночь) и освещенностью 5000 лк. В качестве источников света использовали флуоресцентные лампы TL5 HE 28W/865 (“BMC”, Китай) [12].
Выделение РНК, очистка мРНК и синтез кДНК. Свежие листья и цветонос A. thaliana (150 мг) измельчали в 700 мкл реагента TRIzol (“Invitrogen”, США) на гомогенизаторе Minilys (“Bertin Instruments”, Франция). Из полученного гомогената выделяли суммарную РНК методом гуанидин-тиоцианат-фенол-хлороформной экстракции [13]. Для эффективного разделения органической и водной фаз использовали гель MaXtract (“Qiagen”, Германия). Препарат суммарной РНК обрабатывали ДНКазой I (“Thermo Fisher Scientific”, США) и использовали для очистки мРНК набором Oligotex mRNA Mini Kit (“Qiagen”, Германия). С 1 мкг мРНК синтезировали кДНК с помощью обратной транскриптазы RevertAid H Minus и праймера oligo(dT)18 (“Thermo Fisher Scientific”, США).
Дизайн праймеров для амплификации гена AtGA20ox1. Дизайн праймеров для амплификации целевого гена осуществляли на основе последовательности мРНК AtGA20ox1 (NM_118674.4 – GenBank, AT4G25420.1 – TAIR). В последовательности праймеров вносили изменения таким образом, чтобы они содержали сайты рестрикции, соответствующие сайтам в векторной плазмиде pBI121. Прямой праймер (Ox20_BamHI_F) был комплементарен 5'-UTR мРНК AtGA20ox1 и началу ее кодирующей области, включая старт-кодон. Внесенные изменения формировали сайт рестрикции BamHI: 5'–CTATAATGGATCCAAATGGCCGTAAG–3'. Обратный праймер (Ox20_SacI_R) соответствовал фрагменту, совмещающему короткий участок 3'-UTR мРНК AtGA20ox1 и конец кодирующей области, включая стоп-кодон. Внесенные изменения формировали сайт рестрикции SacI: 5'–TATTTGAGCTCTTAGATGGGTTTGG–3'. Серым цветом в праймерах выделены триплеты, соответствующие старт- (ATG) и стоп- (TAA) кодонам, жирным шрифтом – позиции с внесенными изменениями, подчеркиванием – последовательность вновь образованного сайта рестрикции.
Векторные системы. Для промежуточного ТА клонирования ампликонов AtGA20ox1 использовали вектор pTZ57R/T (“Fermentas”, Германия), содержащий селективный ген bla, обеспечивающий устойчивость к ампициллину, ген lacZ для проведения бело-голубого скрининга бактериальных колоний, и сайты посадки стандартных праймеров M13.
В качестве бинарной векторной системы для агробактериальной трансформации использовали pBI121 с хелперной Ti плазмидой pMP90. Для проведения субклонирования использовали вектор uidA/pBI121 [14], содержащий селективный ген nptII, обеспечивающий устойчивость к канамицину, и репортерный ген uidA, кодирующий бета-глюкуронидазу и находящийся под контролем CaMV 35S промотора.
Получение промежуточных векторных конструкций и трансформация клеток Escherichia coli. Амплификацию кодирующей последовательности гена AtGA20ox1 проводили в термоциклере Т100 (“Bio-Rad”, США) в объеме смеси 20 мкл с использованием пары праймеров O×20_BamHI_F + Ox20_SacI_R (табл. 1) с финальной концентрацией каждого из них 250 нМ, 0.5 E ДНК-полимеразы GoTaq® Flexi (“Promega”, США), 1× буфера GoTaqFlexi, 2.5 мМ MgCl2, 250 мкМ каждого дезоксинуклеозидтрифосфата и 2 мкл матрицы кДНК (разбавленной в 10 раз). Первичную денатурацию осуществляли при 95°С в течение 5 мин, после которой следовало 35 циклов: 30 с при 95°С; 30 с при 55°С; 1 мин 20 с при 72°С. Финальную элонгацию проводили при 72°С в течение 4 мин. В целях проверки отсутствия ДНК-контаминации проводили отрицательный (без ДНК) контроль ПЦР.
Таблица 1. Характеристика праймеров, использованных в работе
Название | Специфичность связывания | Нуклеотидная последовательность праймера (5'–3') | Температура отжига, °C | Ампликон, п.о. |
nptII_F | nptII | TGGAGAGGCTATTCGGCTATGA | 55 | 372 |
nptII_R | GATGTTTCGCTTGGTGGTCG | 55 | ||
Ox20_BamHI_F | AtGA20ox1 (кДНК) | CTATAATGGATCCAAATGGCCGTAAG | 55 | 1160 |
Ox20_SacI_R | TATTTGAGCTCTTAGATGGGTTTGG | 55 | ||
Ox20_insert_F | AtGA20ox1 | TTCTTTGATATGCCTCTCTCCGA | 55 | 428 |
Ox20_insert_R | TGAAGGATGGTAAGAGATGTTGGAT | 55 | ||
М13_F | pTZ57R/T и pBI121 | GTAAAACGACGGCCAG | 55 | 1316 (pTZ57R/T) |
M13_R | CAGGAAACAGCTATGAC | 55 | ||
p35_F | pBI121 | CCATTGCCCAGCTATCTGTCACT | 55 | 1615 |
TNOS_R | CCCATCTCATAAATAACGTCATGCA | 55 |
Продукты амплификации разделяли в 1.5% агарозном геле и визуализировали с помощью бромистого этидия и системы гель-документирования Gel Doc XR+ (“Bio-Rad”, США). Целевой ПЦР продукт, соответствующий ожидаемой длине, вырезали, очищали от агарозного геля с помощью набора GeneJET Gel Extraction Kit (“Thermo Fisher Scientific”, Литва) и лигировали с промежуточным плазмидным вектором pTZ57R/T (“Fermentas”, Германия). Клонирование конструкции AtGA20ox1/pTZ57R/T проводили в клетках E. сoli путем трансформации химически компетентных клеток (TOP10 Competent Cells, “Invitrogen”, США) методом теплового шока. Отобранные на селективной среде с ампициллином (100 мг/л) и с использованием бело-голубого скрининга колонии, получившие встройку, дополнительно верифицировали при помощи бактериального ПЦР с добавлением пары стандартных праймеров M13_F + M13_R (табл. 1), специфичных к фланкирующим встройку сайтам вектора. ПЦР проводили как описано выше с использованием бактериальных колоний в качестве источника ДНК-матрицы и временем элонгации 1.5 мин. Колонии, для которых была показана амплификация продуктов ожидаемой длины, были использованы для дальнейшего анализа. Материал с колоний инокулировали в 5 мл жидкой среды LB с ампициллином и инкубировали в течение 16–18 ч при температуре 37°С. Из полученной бактериальной культуры выделяли плазмиды с помощью набора GeneJET Plasmid Miniprep Kit (“Thermo Fisher Scientific”, Литва).
Получение векторной конструкции AtGA20ox1/pBI121 и агробактериального клона на его основе. С векторной конструкцией AtGA20ox1/ pTZ57R/T, полученной на предыдущем этапе, и исходной uidA/pBI121 были проведены реакции двойной рестрикции по сайтам BamHI и SacI с использованием соответствующих ферментов (“Thermo Fisher Scientific”, США) согласно протоколу фирмы-производителя. Линеаризованные pBI121 и AtGA20ox1, фланкированные липкими концами BamHI и SacI, были электрофоретически отделены от нецелевых фрагментов рестрикции в 1.5% агарозном геле и очищены из геля с помощью набора реагентов GeneJET Gel Extraction Kit (“Thermo Fisher Scientific”, Литва). Очищенные целевые фрагменты были лигированы с использованием T4 ДНК-лигазы (“Thermo Fisher Scientific”, США) для получения целевого рекомбинантного вектора AtGA20ox1/pBI121. Полученный вектор AtGA20ox1/pBI121 использовали для трансформации клеток E. сoli как описано выше. Отбор целевых колоний осуществляли на селективной среде LB c добавлением канамицина (50 мг/л) и в ходе дальнейшего ПЦР-скрининга с использованием праймеров M13_F + M13_R. Колония E. сoli с верифицированной вставкой была использована для клонирования целевой векторной конструкции описанным выше способом. Плазмидную ДНК выделяли из бактериальной культуры, полученной на основе целевого клона E. сoli, и дополнительно проверяли методом ПЦР на наличие целевой вставки. Реакцию осуществляли по вышеописанной методике с праймерами p35_F + TNOS_R (табл. 1), комплементарными соответственно промотору и терминатору плазмиды pBI121 (рис. 1а).
Рис. 1. (а) – Основные элементы и сайты посадки праймеров на участке AtGA20ox1/pBI121 между левой и правой границами Т-ДНК; (б) – Участки выравнивания (общая длина – 1134 п.н.) кодирующих последовательностей гена AtGA20ox1: верхняя – референтная (GenBank NM_118674.4), нижняя – использованная в текущей работе. Точками обозначены позиции, совпадающие с референтом, жирным шрифтом обозначены нуклеотидные замены, цифры указывают на позиции в нуклеотидном выравнивании. Звездочка указывает на синонимичные замены или на аминокислотные замены, не связанные с изменением характера полярности боковых радикалов. LPWKET (синий) – сайт связывания субстрата [18, 19]; FE2OG_0XY (зеленый) – Fe2+-2-оксоглутарат зависимый диоксигеназный каталитический домен; Fe2+ (фиолетовый) – предположительные сайты связывания соответствующих ионов (по данным ScanProsite).
Плазмидную ДНК, содержащую целевую вставку, использовали для трансформации компетентных клеток Agrobacterium tumefaciens (штамм C58C1 с резистентностью к рифампицину). Трансформацию осуществляли классическим методом замораживания–оттаивания [15] с авторскими модификациями. К 100 мкл растаявшей на льду суспензии компетентных клеток добавляли 200 нг целевого вектора AtGA20ox1/pBI121 и инкубировали 5 мин при 4°С. Затем пробирку с бактериальной суспензией помещали на плавающий коврик и замораживали в жидком азоте в течение 5 мин, после чего оттаивали при комнатной температуре в течение 10 мин. К полученной суспензии добавляли 1.5 мл питательной среды YEB без антибиотиков и культивировали 4 ч при 28°С в шейкере инкубаторе Incubator 1000 (“Heidolph”, Германия) при 220 об/мин. Подросшую культуру осаждали на микроцентрифуге в течение 5 мин при 8000 об/мин. Полученный супернатант сливали и осадок растворяли в 200 мкл YEB c рифампицином (50 мг/л). Весь объем бактериальной суспензии распределяли на чашку Петри с твердой средой YEB с рифампицином (50 мг/л) и канамицином (50 мг/л). Чашку инкубировали в воздушном термостате при 28°С в течение 2 сут. Полученные колонии скринировали методом ПЦР с использованием праймеров p35_F + TNOS_R. Агробактериальную колонию, для которой был отмечен положительный результат ПЦР, использовали для создания глицеринового бактериального стока для длительного хранения при –80°С.
Секвенирование по методу Сэнгера и анализ нуклеотидных последовательностей. Для подтверждения соответствия целевой последовательности гену AtGA20ox1 во всех полученных генетических конструкциях проводили их секвенирование по методу Сэнгера. Реакцию терминирования осуществляли с использованием набора реактивов BigDye Terminator Cycle Sequencing Kit v. 3.1 (“Applied Biosystems”, США) согласно оригинальному протоколу с использованием праймеров M13_F + M13_R (для AtGA20ox1/pTZ57R/T) и Ox20_insert_F + Ox20_insert_R (для AtGA20ox1/pBI121) (рис. 1а; табл. 1). Продукты реакции очищали в соответствии с методикой фирмы-производителя с использованием ЭДТА и этилового спирта, разделяли при помощи капиллярного электрофореза на автоматическом генетическом анализаторе серии 3500 (“Applied Biosystems”, Япония). Соответствие нуклеотидной последовательности гену AtGA20ox1 подтверждали с помощью онлайн инструмента Nucleotide BLAST на платформе NCBI (www.ncbi.nlm.nih.gov). Для определения однонуклеотидного полиморфизма полученные последовательности выравнивали и сопоставляли с референтом (GenBank NM_118674.4) в программе MEGA v. 6.06. с помощью алгоритма MUSCLE на стандартных настройках (рис. 1б). Определение предположительной доменной структуры белка проводили с помощью инструмента ScanProsite на онлайн платформе PROSITE (https://prosite.expasy.org/).
Агробактериальная трансформация и отбор регенерантов. Для агробактериальной генетической трансформации использовали отрезки стеблей без пазушных почек in vitro растений тополя берлинского. Совместное культивирование эксплантов и агробактерии проводили в 4 культуральных сосудах Magenta vessel GA-7-3 (“Merck”, Германия), в которые помещали по 100 отрезков стеблей. На каждый отрезок стебля наносили по 10 мкл суспензии агробактерии, которую предварительно выращивали в 6 мл жидкой среды YEB с канамицином (50 мг/л) и рифампицином (50 мг/л) в течение 24 ч. Перед нанесением на растительный эксплант 2 мл агробактериальной культуры осаждали центрифугированием в течение 2 мин при 8000 об/мин и ресуспендировали в 1.8 мл свежей YEB без антибиотика. Для трансформации использовали бактериальную суспензию с OD600 = 0.9–1.1. Совместное культивирование растительных эксплантов с агробактериальной культурой проводили в течение 24 ч при 26°C в темноте. Параллельно проводили контрольный эксперимент, в котором растительные экспланты в количестве 32 отрезков помещали в те же условия что и экспериментальные, но бактериальную суспензию заменяли на стерильную среду YEB без антибиотика. После ко-культивации экспланты переносили на свежую питательную МС-среду, содержащую гормоны для прямого морфогенеза БАП (0.2 мг/л), ТДЗ (0.02 мг/л) и НУК (0.01 мг/л), а также антибиотики канамицин (50 мг/л) и цефотаксим (250 мг/л) для селективного отбора трансформантов и подавления роста агробактерии соответственно. Из экспериментальных контейнеров экспланты распределяли по 16 культуральным сосудам из расчета по 25 шт. на сосуд. Контрольную группу делили на 2 части и переносили в новые сосуды: 1 – без добавления антибиотиков для контроля регенерации; 2 – с добавлением канамицина (50 мг/л) и цефотаксима (250 мг/л) для контроля подавления регенерации (рис. 2б). Перенос эксплантов на питательные среды с такими же составами производили 3 раза через каждые 20 дней до появления первых регенерантов (рис. 2б). Появившиеся регенеранты переносили на питательную среду, содержавшую помимо ИМК (0.15 мг/л) и цефотаксим (250 мг/л). Культивирование регенерантов в присутствии цефотаксима проводили в течение 3 пассажей. Для подтверждения отсутствия агробактериальной контаминации у полученных регенерантов проводили экспонирование их листовых эксплантов на чашках Петри со средой YEB без антибиотиков, а также содержали и размножали сами отобранные регенеранты на питательной среде без антибиотиков.
Рис. 2. (а) – Общая схема эксперимента; (б) – Регенерация растений тополя берлинского с контрольных эксплантов и после агробактериальной трансформации. Стрелкой отмечен регенерант, полученный в результате селективного отбора в присутствии антибиотиков: Kan – канамицина (50 мг/л) и Cef – цефотаксима (250 мг/л).
Скрининг трансгенных линий методом ПЦР. Для проведения скрининга с полученных регенерантов in vitro отбирали свежие листья (около 10 мг сырого веса) с использованием одноразовых стерильных пластиковых пинцетов для избежание кросс-контаминации ДНК. Отобранные листья помещали в пробирку объемом 2 мл из полипропилена высокой плотности с винтовой крышкой и уплотнительным кольцом, предотвращающим вытекание образца и возможную кросс-контаминацию. В пробирки помещали два шарика (3 и 5 мм) из нержавеющей стали, после чего образцы замораживали и хранили при –80°С до последующего проведения анализа. Измельчение образцов проводили на автоматическом гомогенизаторе Minilys (“Bertin Instruments”, Франция) в течение 2 мин при 3000 об/ мин. Выделение суммарной ДНК проводили классическим методом с использованием буфера на основе ЦТАБ [16] с авторскими дополнениями [17]. Отсутствие кросс-контаминации контролировали путем внесения контрольных образцов в каждую процедуру выделения геномной ДНК из растений.
Амплификацию проводили с использованием ДНК-полимеразы GoTaq Flexi (“Promega”, США) и следующих пар праймеров (рис. 1а; табл. 1): 1 – nptII_F + nptII_R, специфичных к селективному гену nptII векторной плазмиды pBI121; 2 – Ox20_insert_F + Ox20_insert_R, специфичных к внутреннему участку гена AtGA20ox1; 3 – p35_F + TNOS_R, специфичных к 5'-области 35S промотора и центральному участку NOS терминатора соответственно; 4 – nptII_F + M13_F (последний работает как обратный – см. рис. 1а), специфичных соответственно к гену nptII и участку плазмиды pBI121, расположенному вниз по течению от NOS терминатора, фланкирующего ген AtGA20ox1. Отсутствие ДНК-контаминации ПЦР определяли отрицательным контролем. Общая схема эксперимента представлена на рис. 2а.
РЕЗУЛЬТАТЫ
Анализ целевой рекомбинантной векторной конструкции. В результате проведенной генно-инженерной работы была создана генетическая векторная конструкция AtGA20ox1/pBI121. Основные элементы данной конструкции представлены на рис. 1а. Секвенирование полученной конструкции выявило шесть однонуклеотидных замен в последовательности амплифицированного гена AtGA20ox1 по сравнению с референтом из GenBank (рис. 1б). В нуклеотидной последовательности, соответствующей предположительному сайту связывания субстрата LPWKET [18, 19], замен обнаружено не было. На участке нуклеотидной последовательности, кодирующей 2-оксоглутарат зависимый диоксигеназный каталитический домен, было выявлено две замены, одна из которых оказалась синонимичной, а вторая не приводила к изменению характера полярности бокового радикала аминокислоты, включаемой в полипептидную цепь. Предположительные сайты связывания ионов Fe2+ заменами затронуты не были.
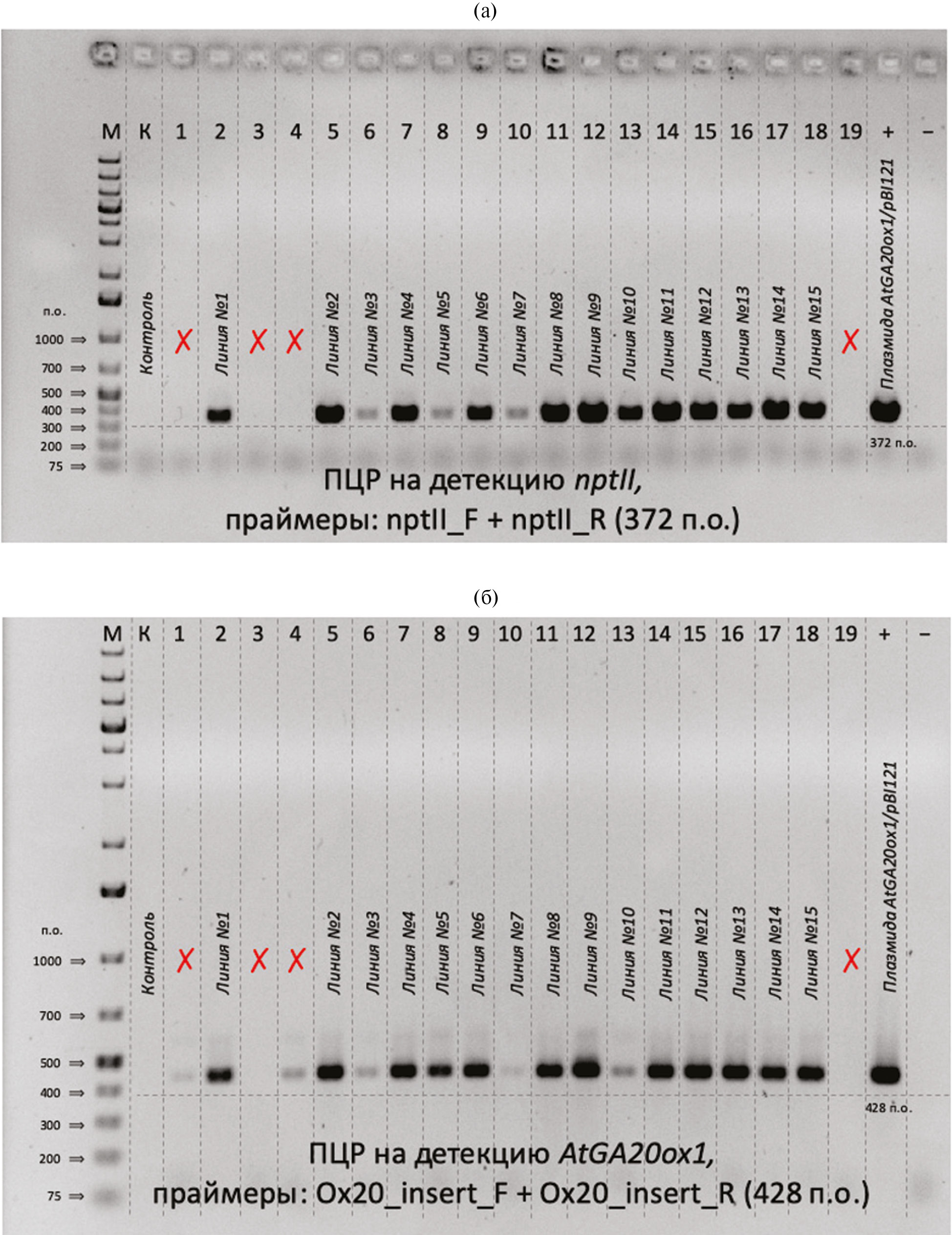
Отбор трансформантов тополя берлинского. В ходе селективного отбора регенерантов (рис. 2б) на питательной среде, содержащей канамицин (50 мг/л), было отобрано 19 регенерантов тополя берлинского. Учитывая, что для трансформации было использовано 400 стеблевых эксплантов, эффективность трансформации составила около 5%. Все 19 регенерантов были перенесены на питательную среду, содержащую ИМК (0.15 мг/л) для удлинения и последующего укоренения. После достижения возраста двух недель с каждого регенеранта было отобрано по одному листу для дальнейшего проведения скрининга методом ПЦР на наличие целевой вставки. Результаты ПЦР со специфичными праймерами к nptII и AtGA20ox1 показали, что из 19 отобранных регенерантов только 15 содержали оба исследуемых гена. Еще у двух образцов было подтверждено наличие только AtGA20ox1, но не nptII, у двух оставшихся растений последовательности исследуемых генов обнаружены не были (рис. 3). Регенеранты, не получившие целевой и селективный гены, далее не размножали. Наличие целевого гена и сохранение его активности у отобранных 15 линий тополя дополнительно подтверждалось их выраженным удлиненным фенотипом по сравнению с контрольными растениями (рис. 4). Кроме того, все отобранные регенеранты были способны укореняться в присутствии канамицина (25 мг/л) в питательной среде, что подтверждает сохранение активности гена nptII. У контрольных растений при их выращивании на среде с указанной концентрацией канамицина укоренения не происходило. Следует отметить, что при культивировании трансгенных линий одним из лимитирующих факторов для работы оказалась недостаточная длина пробирок. Трансгены по сравнению с контрольными растениями слишком быстро достигали пробки и упирались в нее, что осложняло проведение сравнительных наблюдений за скоростью роста и особенностями их развития (рис. 4).
Рис. 3. ПЦР-скрининг 19 линий регенерантов тополя берлинского на присутствие генов nptII (а) и AtGA20ox1 (б). М – размерный стандарт GeneRuler 1 kb Plus DNA Ladder (“ThermoFisher Scientific”, США), К – ДНК из контрольного растения, “+” – положительный контроль ПЦР (AtGA20ox1/pBI121), “–” – отрицательный контроль ПЦР (без ДНК), ✗ – линии регенерантов, исключенные из дальнейшего анализа.
Рис. 4. Сравнение трансгенных линий тополя берлинского (AtGA20ox) с контрольными растениями (WT) после 2 мес. роста на среде с ИМК (0.15 мг/л). Линия № 6 была повреждена при микроклональном размножении и утеряна. Высота пробирок 15 см.
Размножение трансгенных линий тополя берлинского. Для проведения дальнейших экспериментов по изучению эффектов, вызванных генетической трансформацией тополя геном AtGA20ox1, необходимо было размножить полученные трансгенные линии в достаточном количестве. Обычным подходом по размножению древесных растений in vitro является последовательное срезание и укоренение верхней части главного побега, а также использование адвентивных побегов, отрастающих после удаления апикальной меристемы. Согласно отработанной нами методике укоренение срезанных растений производили в питательной среде, содержащей ИМК в концентрации 0.15 мг/л. Уже после первых попыток размножения полученных трансгенных линий были отмечены апикальные некротические явления, проявляющиеся на разных стадиях микроклонирования. Так, у растений линий с № 1 по № 7 часто отмечали некрозы апикальной меристемы сразу после укоренения срезанной верхней части побега (рис. 5а). Срезанные побеги линии № 8 укоренялись, но с довольно низкой эффективностью (около 50%). У клонов этой линии часто наблюдали некрозы апикальной части без укоренения (рис. 5б). Для некоторых других линий трансгенов также наблюдали некрозы апикальной части, но уже после укоренения и 30 дней роста (рис. 5в). Нами было сделано предположение, что ИМК, содержащаяся в питательной среде, может вносить свой дополнительный вклад в уже измененный гормональный статус трансгенных растений и вызывать некротические проявления. Дальнейшее культивирование растений на среде без ИМК привело к значительному сокращению количества некротических явлений. Однако размножать большинство трансгенных линий с высокой эффективностью оказалось невозможным ввиду низкого процента укоренения. Только три трансгенные линии №№ 10, 12 и 15 (рис. 6) продемонстрировали процент укореняемости, сравнимый с контрольными значениями (близкими к 100%).
Рис. 5. Примеры некрозов некоторых линий трансгенных тополей на питательной среде с ИМК (0.15 мг/л). (а) – Некроз апикальной меристемы у линий № 1–7 после укоренения; (б) – Некроз листьев и апикальной меристемы без укоренения у линии № 8; (в) – Апикальный некроз у линий №№ 9, 12, 13 и 15 после укоренения и 30 дней роста.
Рис. 6. Трансгенные линии тополя берлинского по гену AtGA20ox1 в сравнении с контролем на питательной среде без ИМК. Возраст растений – 2 мес. Высота пробирок 15 и 20 см.
ПЦР анализ трансгенных линий тополя берлинского на присутствие полнотекстовых генов исходной генетической кассеты. В связи с низкой эффективностью размножения некоторых полученных трансгенных линий in vitro была проведена проверка на наличие у них полнотекстовой последовательности целевого гена, а также сохранность регуляторных элементов в кассете. Была проведена ПЦР с использованием ДНК всех 19 первоначально отобранных регенерантов с целью амплификации участка, включающего 5'-область 35S промотора, последовательность гена AtGA20ox1 целиком и область NOS терминатора (праймеры p35_F + TNOS_R). Результаты ПЦР подтвердили наличие целевой вставки у линий №№ 10, 12 и 15, а также еще у 8 линий (рис. 7а). В то же время уровень сигнала полученных ампликонов на электрофореграмме для некоторых клонов был очень слабым, близким к нижнему порогу детекции. Уровень сигнала у линий №№ 10, 12 и 15 был высоким. К моменту проведения ПЦР-анализа часть трансгенных линий была уже утрачена, или же они были представлены единичными экземплярами из-за низкой эффективности их микроклонального размножения. Основываясь на полученных результатах, а также на эффективности размножения, для дальнейшей работы и создания лабораторной культуры были отобраны линии №№ 10, 12 и 15. Несмотря на то что трансгенная природа отобранных трех линий не вызывала сомнений, для них была проведена дополнительная ПЦР с парой праймеров nptII_F + M13_F для подтверждения наличия у них полной генетической кассеты, включающей гены AtGA20ox1 и nptII, а также контролирующие их регуляторные области. Результаты показали наличие целевой полнотекстовой вставки (4373 п.о.) в геноме всех трех трансгенных линий (рис. 7б). Результаты секвенирования всех полученных ампликонов показали их соответствие целевым генам.
Рис. 7. ПЦР-скрининг регенерантов тополя берлинского на присутствие полнотекстовых последовательностей генов с использованием праймеров: (а) – p35_F + TNOS_R; (б) – nptII_F + М13_F. М – размерный стандарт GeneRuler 1 kb Plus DNA Ladder (“ThermoFisher Scientific”, США), К – ДНК из контрольного растения, “+” – положительный контроль (AtGA20ox1/pBI121), “–” – отрицательный контроль (без ДНК).
Фенотипические эффекты, вызванные генетической трансформацией тополя берлинского геном ATGA20ox1. Полученные трансгенные растения тополя берлинского отличались выраженным фенотипом, проявившимся в более длинных междоузлиях, тонком стебле, более узких листьях по сравнению с контрольными растениями (рис. 4, 6). При этом длина стеблей 60-дневных растений с момента их укоренения у трансгенных линий превышала таковую у контрольных как минимум в 3 раза. Заметных различий в скорости роста между тремя отобранными трансгенными линиями не наблюдали. Выраженный удлиненный фенотип трансгенных растений был связан с удлинением междоузлий, но не с увеличением их количества. Следует отметить, что толщина стебля у трансгенных линий увеличивалась не пропорционально его удлинению, поэтому растения, извлеченные из пробирок, не могли поддерживать вертикальное положение и были склонны к полеганию. Все описанные фенотипические проявления были стабильны в культуре in vitro и сохранились до текущего момента, т. е. в течение как минимум двух лет. Cpеди негативных эффектов трансформации, как мы уже отмечали выше, было появление верхушечных некрозов у некоторых линий, частота которых увеличивалась при выращивании растений на среде с ИМК. Вторым негативным явлением был низкий процент укоренения побегов на питательной среде при их срезании у части клонов, в результате чего часть линий была утеряна. Следует отметить, что у всех трех финально отобранных трансгенных линий апикальные некрозы отмечали крайне редко, а укоренение было близко к 100%. Не было также отмечено визуальных различий в развитии придаточной корневой системы (длина корней и их обилие) между тремя отобранными трансгенными линиями и контролем.
ОБСУЖДЕНИЕ
Увеличение производства биомассы традиционно является одним из важнейших направлений селекции древесных растений [9]. Тем не менее, применение классических подходов селекции к древесным растениям существенно ограничены из-за длительных циклов размножения многих видов. Развитие технологий генетической инженерии и редактирования генома позволили проводить улучшения признаков деревьев за относительно короткое время [9]. Объектом для генетических манипуляций, целью которых является ускорение роста растений, нередко являются гены биосинтеза гиббереллинов. Гиббереллин-20-оксидаза является ключевым ферментом, определяющим синтез гиббереллинов в растениях и, следовательно, предпочтительной мишенью для генетических манипуляций, направленных на увеличение скорости роста [10]. В нашей работе мы получили тополь берлинский с конститутивной гиперэкспрессией гена AtGA20ox1 из A. thaliana. Основными фенотипическими проявлениями трансформации явились выраженное удлинение стебля за счет увеличения размера междоузлий, незначительное его истончение, а также удлинение и сужение листьев. Все описанные изменения хорошо согласуются с известными функциями гиббереллинов, а также с фенотипическими проявлениями у растений после их экзогенной обработки гиббереллинами [20]. Подобные морфологические изменения отмечены и в других работах по генетической трансформации древесных растений генами GA20ox [4, 6, 7, 10]. Стоит отметить, что в ряде работ морфологические проявления, связанные с гиперэкспрессией гиббереллина, могли со временем пропадать [7, 8]. Зафиксированные нами морфологические отличия линий тополя берлинского, трансгенных по гену AtGA20ox1, являются стабильными в течение двух лет поддержания культуры in vitro.
Анализ опубликованных экспериментальных работ показал, что трансгенез генов GA20ox может по-разному влиять на диаметр ствола и его биомассу. Несмотря на то, что ожидаемым эффектом все же является определенное запаздывание увеличения диаметра ствола к его удлинению или даже некоторое его утончение, тем не менее, в некоторых работах задокументировано и утолщение ствола трансгенных деревьев по сравнению с контролем. Например, в работе по трансформации гибридной осины Populus tremula L. × P. tremuloides геном AtGA20ox1 показано увеличение диаметра ствола и его биомассы по сравнению с контролем [4]. Наши результаты больше соотносятся с работой Matthias Fladung [9], в которой была проведена подобная предыдущей трансформации Populus tremula L. × P. tremuloides геном AtGA20ox1. Так, в нашей работе и работе Matthias Fladung с диплоидными (но не тетраплоидными) растениями толщина стебля у трансгенных линий увеличивалась не эквивалентно его удлинению, и растения оказывались склонны к полеганию на первоначальных этапах выращивания. Схожие результаты были получены при цисгенезе Citrus sinensis × Poncirus trifoliata, при котором авторы работы также наблюдали, что диаметр ствола у полученных трансгенов увеличивался меньше, чем описано для Populus [4]. Авторы делают вывод, что эти различия могут быть связаны с использованием разных GA20ox и видов растений-реципиентов (CcGA20ox1 для цитрусового гибрида и AtGA20ox1 для Populus). Работа Matthias Fladung и наши результаты по трансформации тополя берлинского тем же геном AtGA20ox1 опровергают предположение, что эффект может иметь существенный видоспецифичный эффект или же зависеть от источника донорного гена.
Рядом работ, посвященных изучению эффектов трансгенеза генами GA20ox или экзогенной обработке растений активными гиббереллинами [20], отмечается ингибирование образования придаточных корней при укоренении стеблей, в том числе у древесных пород [4, 5, 9, 10]. В нашей работе мы также наблюдали плохое укоренение у большинства полученных трансгенных линий, что даже стало первопричиной потери большинства исходно отобранных клонов в связи с невозможностью их эффективного размножения путем срезания и укоренения побегов. Механизм нарушения укоренения в результате возможного увеличения выработки активных гиббереллинов не вполне очевиден и наиболее вероятно связан с непрямыми регуляторными взаимодействиями с другими фитогормонами. Известно, что ключевую роль в адвентивном укоренении играют ауксины. Гиббереллины и ауксины обычно действуют синергично, а также могут стимулировать синтез и эффект друг друга [21, 22]. В то же время при адвентивном укоренении ауксины и гиббереллины могут оказывать противоположные эффекты за счет опосредованного влияния. Например, предполагается, что гиббереллины могут тормозить адвентивное укоренение за счет изменения полярного транспорта ауксинов и изменения ауксиновых максимумов в стеблях [23]. Следует, однако, отметить, что у трех финально отобранных трансгенных линий проблем с укоренением мы не наблюдали, а укореняемость срезаемых побегов была близка к 100%. Различия в обилии и длине корней между отобранными трансгенными линиями и контролем также не наблюдали. Таким образом, плохая укореняемость большинства линий могла быть связана с перестройками генома, вызванными инсерцией Т-ДНК, а не с влиянием гиперэкспрессии AtGA20ox1.
Cpеди негативных эффектов трансформации тополя берлинского, отмеченных в нашей работе, было появление апикальных некрозов у некоторых линий, частота которых увеличивалась при выращивании растений на среде с ИМК. Апикальные некрозы не являются типичным эффектом влияния повышенного уровня гиббереллинов на растения, и мы пока не можем указать причину таких изменений. В то же время, принимая во внимание вклад ИМК на проявление некрозов, мы склонны связывать выявленные нарушения с гормональными сдвигами. Апикальный некроз может возникать как на стадии размножения побегов, так и на стадии укоренения. Точный механизм, лежащий в основе возникновения апикальных некрозов, до сих пор остается неясным, хотя были предложены некоторые возможные причины, включая дефицит минеральных солей или различные соотношения регуляторов роста растений в питательных средах (главным образом, ауксинов и цитокининов) на определенных стадиях развития. Так, например, было показано, что апикальные некрозы могут быть вызваны недостатком экзогенных или эндогенных цитокининов у некоторых растений [24]. Известно, что цитокинины и гиббереллины действуют преимущественно антагонистически. Реципрокное взаимодействие регулируется как на уровне биосинтеза, так и на уровне передачи сигнала [22]. Таким образом, возможный повышенный уровень эндогенных гиббереллинов мог вызывать снижение уровня эндогенных цитокининов. Учитывая то, что укоренение проводилось на безгормональной среде, то общий дефицит цитокининов мог приводить к остановке делений в апикальной меристеме и гибели верхушки на фоне отсутствия корней. У части трансгенных линий с нарушенным корнеобразованием негативный эффект мог быть усилен за счет низкого уровня эндогенных цитокининов. По всей видимости, снижение уровня цитокининов относительно ауксинов могло дополнительно провоцировать образование некрозов у трансгенных линий, что наблюдалось при укоренении побегов на среде с добавлением ИМК, но без экзогенных цитокининов. Гибель верхушки, в свою очередь, могла приводить к снижению уровня эндогенных ауксинов и, соответственно, к снижению эффективности образования придаточных корней. В наших экспериментах, в действительности, мы наблюдали некрозы как до укоренения стеблей, так и после укоренения. В то же время известны примеры среди растений, когда цитокинины, напротив, могли стимулировать развитие апикальных некрозов [25]. Следует отметить, что в наших экспериментах у всех трех финально отобранных трансгенных линий поражения верхушек отмечали крайне редко, что может свидетельствовать о сбалансированности гормонального состава. Кроме того, некротические явления крайне редко, но фиксируются нами и у контрольных растений тополя берлинского ex vitro, что может быть следствием гибридной природы данного вида и сдвига гормонального баланса в результате скрещивания. Повышенная частота апикальных некрозов отмечена и для других гибридных видов, например, Populus tremula × P. alba [24]. Следует отметить, что в культурах других видов тополей, поддерживаемых нами, такие изменения никогда не обнаруживаются.
В нашей работе показано, что трансформация геном AtGA20ox1 может приводить к трехкратному увеличению скорости роста тополя в условиях in vitro. Несмотря на ярко выраженный фенотипический эффект, наблюдаемый у полученных трансгенных тополей, требуются дополнительные испытания ex vitro с целью подтверждения сохранности полученных признаков у взрослых растений, в том числе у прошедших стадию зимнего покоя. Известно, что стерильные условия in vitro несопоставимо отличаются от естественной среды обитания растений, где они сталкиваются с перепадами температур, различными химическими составами почв, микрофлорой, солнечной радиацией и другими факторами, способными повлиять на проявление морфологических эффектов, вызванных трансгенезом. Кроме того, утонченный ствол in vitro может технически усложнить адаптацию растений к грунту, так как потребует дополнительных манипуляций по приданию стволу вертикального положения после переноса растения из пробирки в сосуд с почвой. Данный факт может не только усложнить адаптацию трансгенных растений к условиям ex vitro, но и создать проблемы при массовом микроклональном размножении растений с подобным фенотипом для создания плантаций. Одним из возможных решений проблемы полегания растений на первоначальном этапе может быть перевод трансгенного растения из диплоидной формы в полиплоидную [9].
На сегодняшний день законодательство Российской Федерации запрещает высадку трансгенных растений в открытом грунте в промышленных масштабах. Исключение сделано только для научных целей, но это не упрощает задачу испытаний трансгенов в полевых условиях, так как остается проблема возможной интрогрессии трансгена путем перекрестного опыления близкородственных видов. Решить данную проблему можно путем редактирования генома трансгенного растения при помощи CRISPR/Cas технологии и выключения гена, ответственного за цветение, что позволит перейти к безопасным испытаниям полученных нами трансгенных растений в полевых условиях.
Полученный штамм агробактерии, несущий плазмиду AtGa20ox1/pBI121 может быть использован для генетической трансформации других древесных растений, имеющих потенциал к ускорению роста или изменению фенотипа с целью решения различных задач, включая ландшафтный дизайн, глубокую переработку древесины (биорефайнинг) и создание высокопродуктивных древесных плантаций.
Авторы благодарят ЦКП “Биоаналитика” СИФИБР СО РАН, Н.Е. Коротаеву за предоставление растений A. thaliana, И.В. Федосееву за предоставление штамма A. tumefaciens и вектора uidA/pBI121, К. З. Гамбурга за мастер-класс по микроклональному размножению растений, а также В.К. Войникова за всеобъемлющую поддержку работы.
Исследование выполнено при финансовой поддержке Российского научного фонда (проект № 22-24-01113, https://rscf.ru/project/22-24-01113/).
Настоящая статья не содержит каких-либо исследований с участием людей и животных в качестве объектов. Авторы заявляют об отсутствии конфликта интересов.
Об авторах
В. В. Павличенко
Федеральное государственное бюджетное учреждение науки Сибирский институт физиологии и биохимии растений Сибирского отделения Российской академии наук
Автор, ответственный за переписку.
Email: vpavlichenko@gmail.com
Россия, Иркутск
М. В. Протопопова
Федеральное государственное бюджетное учреждение науки Сибирский институт физиологии и биохимии растений Сибирского отделения Российской академии наук
Email: marina.v.protopopova@gmail.com
Россия, Иркутск
Список литературы
- Bömke C., Tudzynski B. Diversity, regulation, and evolution of the gibberellin biosynthetic pathway in fungi compared to plants and bacteria // Phytochem. 2009. V. 70. P. 1876. https://doi.org/10.1016/j.phytochem.2009.05.020
- Yamaguchi S. Gibberellin metabolism and its regulation // Annu. Rev. Plant Biol. 2008. V. 59. P. 225. https://doi.org/10.1146/annurev.arplant.59.032607.092804
- Ashikari M., Sasaki A., Ueguchi-Tanaka M., Itoh H., Nishimura A., Datta S., Ishiyama K., Saito T., Kobayashi M., Khush G.S., Kitano H., Matsuoka M. Loss-of-function of a rice gibberellin biosynthetic gene, GA20 oxidase (GA20ox-2), led to the rice “Green revolution” // Breed. Sci. 2002. V. 52. P. 143. https://doi.org/10.1270/jsbbs.52.143
- Eriksson M.E., Israelsson M., Olsson O., Moritz T. Increased gibberellin biosynthesis in transgenic trees promotes growth, biomass production and xylem fiber length // Nat. Biotechnol. 2000. V. 18. 7. P. 784. http://dx.doi.org/10.1038/77355
- Peng X., Tong B., Lee J., Wang K., Yu X., Huang X., Wen J., Makarem M., Pang H., Hinjan S., Yan X., Yao S., Lu F., Wang B., Peng F., et al. Overexpression of a gibberellin 20-oxidase gene in poplar xylem led to an increase in the size of nanocellulose fibrils and improved paper properties // Carbohydr. Polym. 2023. V. 314. P. 1. https://doi.org/10.1016/j.carbpol.2023.120959
- Park E.-J., Kim H.-T., Choi Y.-I., Lee C., Nguyen V.P., Jeon H.-W., Cho J.-S., Funada R., Pharis R.P., Kurepin L.V., Ko J.-H. Overexpression of gibberellin 20-oxidase1 from Pinus densiflora results in enhanced wood formation with gelatinous fiber development in a transgenic hybrid poplar // Tree Physiol. 2015. V. 35. P. 1264. https://doi.org/10.1093/treephys/tpv099
- Dünisch O., Fladung M., Nakaba S., Watanabe Y., Funada R. Influence of overexpression of a gibberellin 20-oxidase gene on the kinetics of xylem cell development in hybrid poplar (Populus tremula L. and P. tremuloides Michx.) // Holzforschung. 2006. V. 60. P. 608. https://doi.org/10.1515/HF.2006.10
- Han K.M., Dharmawardhana P., Arias R.S., Ma C., Busov V., Strauss S.H. Gibberellin-associated cisgenes modify growth, stature and wood properties in Populus // Plant Biotechnol. J. 2011. V. 9. P. 162. https://doi.org/10.1111/j.1467-7652.2010.00537.x
- Fladung M. Growth of mixoploid GIBBERELLIC ACID 20 OXIDASE (GA20-OXIDASE) overexpressing transgenic Populus // Gesunde Pflanz. 2018. V. 70. P. 91. https://doi.org/10.1007/s10343-018-0418-z
- Fagoaga C., Tadeo F.R., Iglesias D.J., Huerta L., Lliso I., Vidal A.M., Talon M., Navarro L., García-Martínez J.L., Peña L. Engineering of gibberellin levels in citrus by sense and antisense overexpression of a GA 20-oxidase gene modifies plant architecture // J. Exp. Bot. 2007. V. 58. P. 1407. https://doi.org/10.1093/jxb/erm004
- Murashige T., Skoog F. A Revised medium for rapid growth and bio assays with tobacco tissue cultures // Physiol. Plant. 1962. V. 15. P. 473. https://doi.org/10.1111/j.1399-3054.1962.tb08052.x
- Pavlichenko V.V., Protopopova M.V., Voinikov V.K. A comparative study of various light source influences on the plants regenerative potential using Populus berolinensis root explants as an example // IOP Conf. Ser.: Earth Environ. Sci. 2020. V. 548. P. 062093. https://doi.org/10.1088/1755-1315/548/6/062093
- Protopopova M.V., Pavlichenko V.V., Menzel R., Putschew A., Luckenbach T., Steinberg C.E. Contrasting cellular stress responses of Baikalian and Palearctic amphipods upon exposure to humic substances: environmental implications // Environ. Sci. Pollut. Res. 2014. V. 21. P. 14124. https://doi.org/10.1007/s11356-014-3323-8.
- Chen P.-Y., Wang C.-K., Soong S.-C., To K.-Y. Complete sequence of the binary vector pBI121 and its application in cloning T-DNA insertion from transgenic plants // Mol. Breed. 2003. V. 11. P. 287. https://doi.org/10.1023/A:1023475710642
- Holsters M., de Waele D., Depicker A., Messens E., van Montagu M., Schell J. Transfection and transformation of Agrobacterium tumefaciens // Mol. Gen. Genet. 1978. V. 163. P. 181. https://doi.org/10.1007/BF00267408
- Doyle J.J., Doyle J.L. A rapid DNA isolation procedure for small quantities of fresh leaf tissue // Phytochem. Bull. 1987. V. 19. P. 11.
- Protopopova M., Pavlichenko V. Eranthis Salisb. (Ranunculaceae) in South Siberia: insights into phylogeography and taxonomy // Diversity. 2022. V. 14. P. 1. https://doi.org/10.3390/d14100779
- Xu Y.-L., Li L., Wu K., Peeters A.J.M., Gage D.A., Zeevaart J.A.D. The GA5 locus of Arabidopsis thaliana encodes a multifunctional gibberellin 20-oxidase: molecular cloning and functional expression // Proc. Natl. Acad. Sci. U.S.A. 1995. V. 92. P. 6640. https://www.pnas.org/doi/abs/10.1073/pnas.92.14.6640
- Shukor N.A.A., Lok Y.C.Y., Kumar S.M., Abiri R., Abdullah M.P. Molecular dissection and an in-silico approach of a novel gibberellin 20-oxidase gene of Hibiscus cannabinus L. // Pak. J. Bot. 2023. V. 55. P. 1. http://dx.doi.org/10.30848/PJB2023-2(11)
- Brian P.W. Morphogenetic effects of the gibberellins // Bot. J. Linn. Soc. 1959. V. 56. P. 237. https://doi.org/10.1111/j.1095-8339.1959.tb02498.x
- Sata S.J., Gokani S.J., Thaker V.S. Influence of gibberellic acid on auxin biosynthesis and their effects on coleoptile elongation in garlic // Acta Physiol. Plant. 2002. V. 24. P. 393. https://doi.org/10.1007/s11738-002-0035-3
- Weiss D., Ori N. Mechanisms of cross talk between gibberellin and other hormones // Plant Physiol. 2007. V. 144. P. 1240. https://doi.org/10.1104%2Fpp.107.100370
- Mauriat M., Petterle A., Bellini C., Moritz T. Gibberellins inhibit adventitious rooting in hybrid aspen and Arabidopsis by affecting auxin transport // Plant J. 2014. V. 78. P. 372. https://doi.org/10.1111/tpj.12478
- Kataeva N.V., Alexandrova I.G., Butenko R.G., Dragavtceva E.V. Effect of applied and internal hormones on vitrification and apical necrosis of different plants cultured in vitro // Plant Cell Tissue Organ Cult. 1991. V. 27. P. 149. https://doi.org/10.1007/BF00041283
- Teixeira da Silva J.A., Nezami-Alanagh E., Barreal M.E., Kher M.M., Wicaksono A., Gulyás A., Hidvégi N., Magyar-Tábori K., Mendler-Drienyovszki N., Márton L., Landín M., Gallego P.P., Driver J.A., Dobránszki J. Shoot tip necrosis of in vitro plant cultures: a reappraisal of possible causes and solutions // Planta. 2020. V. 252. P. 1. https://doi.org/10.1007/s00425-020-03449-4
Дополнительные файлы









