Elimination of Chromosomes as a Mechanism for the Formation of Diploid Plants in Diploid–Tetraploid Crosses in Maize (Zea mays L.)
- Authors: Elkonin L.A.1, Mavlyutova L.I.1, Kolesova A.Y.1, Panin V.M.1, Tsvetova M.I.1
-
Affiliations:
- Federal Center of Agriculture Research of the South-East Region
- Issue: Vol 59, No 9 (2023)
- Pages: 1023-1035
- Section: ГЕНЕТИКА РАСТЕНИЙ
- URL: https://medbiosci.ru/0016-6758/article/view/134645
- DOI: https://doi.org/10.31857/S0016675823090035
- EDN: https://elibrary.ru/WRWCWX
- ID: 134645
Cite item
Full Text
Abstract
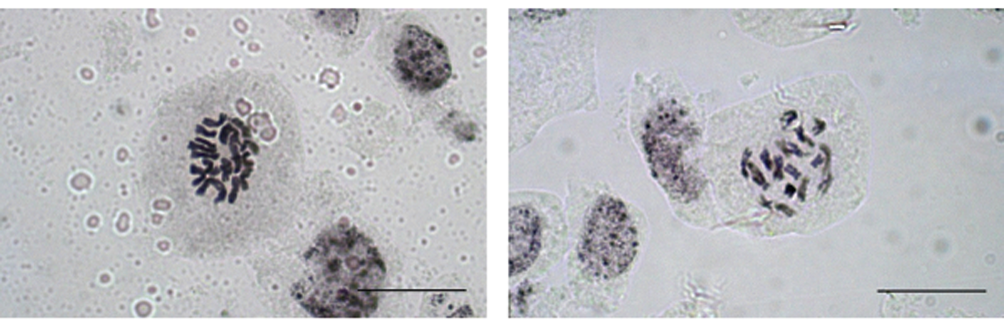
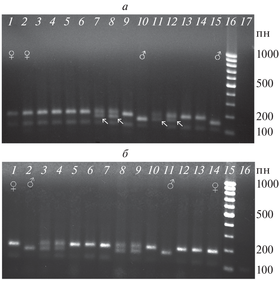
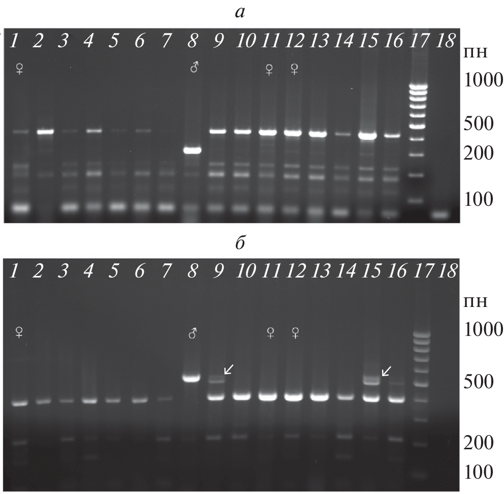
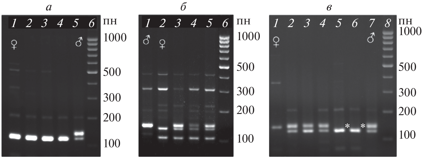
One of the main components of apomictic plant reproduction is the formation of unreduced embryo sacs (ESs). Heteroploid crosses, in which maternal diploid plants are pollinated by pollen of tetraploid paternal parent, can be used as an effective tool for identifying the ability to form unreduced ESs. In maize, in crosses 2n(♀) × 4n(♂), as a rule, shrunken kernels with a triploid embryo are formed, in which the development of the endosperm is impaired due to the deviation of the balance of the maternal (m) to paternal (p) genomes from the ratio of 2m : 1p. In our experiments, in several diploid maize lines, after their pollination with tetraploid pollen, the formation of large plump kernels was observed, from which diploid maternal-type plants developed, the maternal-type phenotype, as well as the hybrid endosperm phenotype, were confirmed by the expression of genetic markers. It has been suggested that the plump kernels in 2n × 4n crosses arise on the basis of unreduced embryo sacs (ESs) and pseudogamous apomixis, since the fusion of diploid sperms with diploid polar nuclei provides a 2 : 1 ratio of maternal to paternal genomes in the endosperm. In order to clarify the genetic nature of diploid plants phenotypically similar to maternal lines that developed from plump kernels in 2n × 4n crosses, we carried out their genotyping for all 10 chromosomes of the maize genome using polymorphic codominant SSR- and Indel-markers that differentiate the paternal line from maternal lines. As maternal lines, we used HPL AT, which has the ability to haploid parthenogenesis, KM, YuV-11, as well as the F2 B47/HPL AT hybrid plants; and as a paternal line – Chernaya Tetra(4n). It was found that in all the plants studied, when markers of five chromosomes (1, 2, 3, 4, and 9) were used, amplification of only maternal alleles was observed. However, in each of the studied plant, when using markers of other chromosomes, cases of amplification of alleles characteristic of the paternal line were noted. A hypothesis is put forward on the formation of diploid plants in 2n × 4n crosses in maize as a result of fertilization of the unreduced ESs and the subsequent elimination of chromosomes, predominantly of the pollen parent.
About the authors
L. A. Elkonin
Federal Center of Agriculture Research of the South-East Region
Author for correspondence.
Email: lelkonin@gmail.com
Russia, 410010, Saratov
L. I. Mavlyutova
Federal Center of Agriculture Research of the South-East Region
Email: lelkonin@gmail.com
Russia, 410010, Saratov
A. Yu. Kolesova
Federal Center of Agriculture Research of the South-East Region
Email: lelkonin@gmail.com
Russia, 410010, Saratov
V. M. Panin
Federal Center of Agriculture Research of the South-East Region
Email: lelkonin@gmail.com
Russia, 410010, Saratov
M. I. Tsvetova
Federal Center of Agriculture Research of the South-East Region
Email: lelkonin@gmail.com
Russia, 410010, Saratov
References
- Barcaccia G., Albertini E. Apomixis in plant reproduction: A novel perspective on an old dilemma // Plant Reprod. 2013. V. 26(3). P. 159–179. https://doi.org/10.1007/s00497-013-0222-y
- Tavva S.S., Mohan D., Venkateswara R.Y. et al. Apomixis in crop improvement // Plant Biology and Biotechnology. V. I. Plant diversity, organization, function and improvement / Eds Bahadur B., Rajam M.V., Sahijram L., Krishnamurthy K.V. Springer, 2015. P. 656−669. https://doi.org/10.1007/978-81-322-2286-6
- Fiaz S., Wang X., Younas A. et al. Apomixis and strategies to induce apomixis to preserve hybrid vigor for multiple generations // GM Crops Food. 2020. V. 12(1). P. 57–70. https://doi.org/10.1080/21645698.2020.1808423
- Hand M.L., Koltunow A.M.G. The genetic control of apomixis: asexual seed formation // Genetics. 2014. V. 197(2). P. 441–450. https://doi.org/10.1534/genetics.114.163105
- Брюхин В.Б. Молекулярно-генетическая регуляция апомиксиса // Генетика. 2017. Т. 53. № 9. С. 1001–1024.
- Vijverberg K., Ozias-Akins P., Schranz M.E. Identifying and engineering genes for parthenogenesis in plants // Front. Plant Sci. 2019. V. 10. https://doi.org/10.3389/fpls.2019.00128
- Worthington M., Ebina M., Yamanaka N. et al. Translocation of a parthenogenesis gene candidate to an alternate carrier chromosome in apomictic Brachiaria humidicola // Genomics. 2019. V. 20(1). P. 41–58. https://doi.org/10.1186/s12864-018-5392-4
- Xie E., Li Y., Tang D. et al. A strategy for generating rice apomixis by gene editing // J. Integr. Plant Biol. 2019. V. 61(8). P. 911–916. https://doi.org/10.1111/jipb.12785
- Xiong J., Hu F., Ren J. Synthetic apomixis: The beginning of a new era // Curr. Opinion in Biotechnol. 2023. V. 79. https://doi.org/10.1016/j.copbio.2022.102877
- Vernet A., Meynard D., Lian Q. et al. High-frequency synthetic apomixis in hybrid rice // Nat. Commun. 2022. V. 13. P. 7963. https://doi.org/10.1038/s41467-022-35679-3
- Sokolov V.A., Kravtchenko A.Yu., Nakagawa H., Knatypova I.Y. Apomictic maize-Tripsacum hybrids: genetics and breeding perspectives // Grassland Sci. 2002. V. 48. P. 342–343.
- Белова И.В., Тараканова Т.К., Абдырахманова Э.А. и др. Хромосомный контроль апомиксиса у гибридов кукурузы с гамаграссом // Генетика. 2010. Т. 46. № 9. С. 1188–1191.
- Sarkar K.R., Coe E.H., Jr. Origin of parthenogenetic diploids in maize and its implications for the production of homozygous lines // Crop Sci. 1971. V. 11. P. 543–544.
- Petrov D.F., Belousova N.I., Fokina E.S. et al. Transfer of some elements of apomixis from Tripsacum to maize // Apomixis and Its Role in Evolution and Breeding / Ed Petrov D.F. New Delhi: Oxonian Press Ltd., 1984. P. 9–73.
- Lamote V., Baert J., Roldán-Ruiz I. et al. Tracing of 2n EGG occurrence in perennial ryegrass (Lolium perenne L.). using interploidy crosses // Euphytica. 2002. V. 123. P. 159–164. https://doi.org/10.1023/A:1014980123519
- Garcia-Aguilar M., Michaud C., Leblanc O., Grimanelli D. Inactivation of a DNA methylation pathway in maize reproductive organs results in apomixis-like phenotypes // Plant Cell. 2010. V. 22. P. 3249–3267. https://doi.org/10.1105/tpc.109.072181
- Kovalsky I.E., Neffa V.G.S. Evidence of the production of 2n eggs in diploid plants of the autopolyploid complex Turnerasidoides L. (Passifloraceae) // Plant Syste. Evol. 2016. V. 302. P. 357–366. https://doi.org/10.1007/s00606-015-1268-0
- Lin B.-Y. Ploidy barrier to endosperm development in maize // Genetics. 1984. V. 107. P. 103–115. https://doi.org/10.1093/genetics/107.1.103
- Pennington P.D., Costa L.M., Gutierrez-Marcos J.F. et al. When genomes collide: Aberrant seed development following maize interploidy crosses // Ann. Bot. 2008. V. 101. P. 833–843. https://doi.org/10.1093/aob/mcn017
- Birchler J.A. Interploidy hybridization barrier of endosperm as a dosage interaction // Front. Plant Sci. 2014. V. 5. https://doi.org/10.3389/fpls.2014.00281
- Хатефов Э.Б., Грушин А.А., Бойко В.Н. Цитогенетические факторы снижения фертильности пыльцы и початка при засорении посевов тетраплоидной кукурузы триплоидными зерновками (Zea mays L.) // Тр. по прикладной ботанике, генетике и селекции. 2022. Т. 183. № 1. С. 135–146.
- Тырнов B.C., Еналеева Н.Х. Автономное развитие зародыша и эндосперма у кукурузы // Докл. АН СССР. 1983. № 3. С. 722–725.
- Tsvetova M.I., Elkonin L.A., Italianskaya Yu.V. Diploid–tetraploid crosses as the instrument for obtaining apomictic maize plants // Russ. Agric. Sci. 2016. V. 2. № 3–4. P. 201–204. https://doi.org/10.3103/S106836741603023X
- Tsvetova M., Elkonin L., Italianskaya Y. Pseudogamous apomixis in maize and sorghum in diploid–tetraploid crosses // Phyton. 2019. V. 88. № 4. P. 389–401.https://doi.org/10.32604/phyton.2019.07485
- Мавлютова Л.И., Эльконин Л.А., Колесова А.Ю. Генотипирование диплоидных растений, полученных в результате диплоидно-тетраплоидных скрещиваний у линий и гибридов кукурузы, с генетически детерминированной способностью к партеногенезу // Вавиловские чтения – 2022. Межд. науч.-практ. конф. Саратов: Амирит, 2022. С. 137–142.
- Шилов И.А., Колобова О.С., Анискина Ю.В. и др. Усовершенствование метода идентификации генов устойчивости к пирикуляриозу риса PI-TA, PI-B // Достижения науки и техники АПК. 2016. Т. 30. № 8. С. 45–48.
- Settles A.M., Bagadion A.M., Bai F. et al. Efficient molecular marker design using the maize GDB Mo17 SNPs and indels track // G3 (Bethesda). 2014. V. 4. P. 1143–1145. https://doi.org/10.1534/g3.114.010454
- Martin F., Dailey S., Settles A.M. Distributed simple sequence repeat markers for efficient mapping from maize public mutagenesis populations // Theor. Appl. Genet. 2010. V. 121. P. 697–704. https://doi.org/10.1007/s00122-010-1341-6
- Зайцев Г.Н. Математическая статистика в экспериментальной ботанике. М.: Наука, 1990. 424 с.
- Сахаров В.В. Соматическая редукция как причина своеобразной мозаичности у тетраплоидной гречихи // Докл. АН СССР. 1946. Т. 52. № 4. С. 349–352.
- Raman V.S., Krishnaswami N. A chromosomal chimera in S. halepense (Linn.) // Indian J. Agric. Sci. 1955. V. 25. P. 45–50.
- Rao P.N., Nirmala A. Chromosome numerical mosaicism in pearl millet (Pennisetum americanum (L.) Leeke) // Genome. 2011. V. 28. № 2. P. 203–206. https://doi.org/10.1139/g86-028
- Цветова М.И., Эльконин Л.А. Нестабильность уровня плоидности у аутотетраплоидов линии сорго с вариабельной мужской стерильностью // Генетика. 2002. Т. 38. № 5. С. 641–646.
- Kasha K.J., Kao K.N. High frequency haploid production in barley (Hordeum vulgare L.) // Nature. 1970. V. 225. P. 874–876. https://doi.org/10.1038/225874a0
- Zhang Z., Qiu F., Liu Y. et al. Chromosome elimination and in vivo haploid production induced by Stock 6-derived inducer line in maize (Zea mays L.) // Plant Cell Rep. 2008. V. 27 (12). P. 1851–1860. https://doi.org/10.1007/s00299-008-0601-2
- Li L., Xu X., Jin W., Chen S. Morphological and molecular evidences for DNA introgression in haploid induction via a high oil inducer CAUHOI in maize // Planta. 2009. V. 230. P. 367–376. https://doi.org/10.1007/s00425-009-0943-1
- Zhao X., Xu X., Xie H. et al. Fertilization and uniparental chromosome elimination during crosses with maize haploid inducers // Plant Physiol. 2013. V. 163. № 2. P. 721–731. https://doi.org/10.1104/pp.113.223982
- Qiu F., Liang Y., Li Y. et al. Morphological, cellular and molecular evidences of chromosome random elimination in vivo upon haploid induction in maize // Curr. Plant Biol. 2014. V. 1. P. 83–90. https://doi.org/10.5061/dryad.bt963
- Chenxu L., Xiang L., Dexuan M. et al. A 4-bp insertion at ZmPLA1 encoding a putative phospholipase a generates haploid induction in maize // Mol. Plant. 2017. V. 10. № 3. P. 520–522. https://doi.org/10.1016/j.molp.2017.01.011
- Kelliher T., Starr D., Richbourg L. et al. MATRILINEAL, a sperm-specifc phospholipase, triggers maize haploid induction // Nature. 2017. V. 542. P. 105. https://doi.org/10.1038/nature20827
- Fu S., Yin L., Xu M. et al. Maternal doubled haploid production in interploidy hybridization between Brassica napus and Brassica allooctaploids // Planta. 2018. V. 247. P. 113–125. https://doi.org/10.1007/s00425-017-2772-y
- Laurie D.A., Bennett M.D. The timing of chromosome elimination in hexaploid wheat × maize crosses // Genome. 2011. V. 32(6). P. 953–961. https://doi.org/10.1139/g89-537
- Riera-Lizarazu O., Rines H.W., Phillips R.L. Cytological and molecular characterization of oat × maize partial hybrids // Theor. Appl. Genet. 1996. V. 93. P. 123–135. https://doi.org/10.1007/BF00225737
- Gernand D., Rutten T., Varshney A. et al. Uniparental chromosome elimination at mitosis and interphase in wheat and pearl millet crosses involves micronucleus formation, progressive heterochromatinization, and DNA fragmentation // Plant Cell. 2005. V. 17. P. 2431–2438. https://doi.org/10.1105/tpc.105.034249
- Kelliher T., Starr D., Wang W. et al. Maternal haploids are preferentially induced by CENH3-tailswap transgenic complementation in maize // Front. Plant Sci. 2016. V. 7. https://doi.org/10.3389/fpls.2016.00414
- Wang N., Gent J., Dawe R. Haploid induction by a maize cenh3 null mutant // Sci. Adv. 2021. V. 7. № 4. https://doi.org/10.1126/sciadv.abe2299
- Meng D., Luo H., Dong Z. et al. Over-expression of modified CENH3 in maize Stock6-Derived inducer lines can effectively improve maternal haploid induction rates // Front. Plant Sci. 2022. V. 13. https://doi.org/10.3389/fpls.2022.892055
Supplementary files








