Preparation and Crystallization of Picornain 3C of Rhinovirus A28
- Authors: Tishin A.E.1, Gladysheva A.V.2, Pyatavina L.A.1,3, Olkin S.E.1, Gladysheva A.A.2,4, Imatdionov I.R.1, Vlaskina A.V.5, Nikolaeva A.Y.5, Samygina V.R.6,7, Agafonov A.P.1
-
Affiliations:
- State Research Center of Virology and Biotechnology “Vector,” Rospotrebnadzor, 630559, Koltsovo, Novosibirsk oblast, Russia
- State Scientific Center of Virology and Biotechnology «Vector»
- Novosibirsk National Research State University, 630090, Novosibirsk, Russia
- Novosibirsk National Research State University
- National Research Centre “Kurchatov Institute”, 123098, Moscow, Russia
- National Research Centre “Kurchatov Institute”, 123182, Moscow, Russia
- Shubnikov Institute of Crystallography, Federal Scientific Research Centre “Crystallography and Photonics,” Russian Academy of Sciences, 119333, Moscow, Russia
- Issue: Vol 68, No 6 (2023)
- Pages: 926-933
- Section: STRUCTURE OF MACROMOLECULAR COMPOUNDS
- URL: https://medbiosci.ru/0023-4761/article/view/231837
- DOI: https://doi.org/10.31857/S0023476123600313
- EDN: https://elibrary.ru/HZHBKY
- ID: 231837
Cite item
Full Text
Abstract
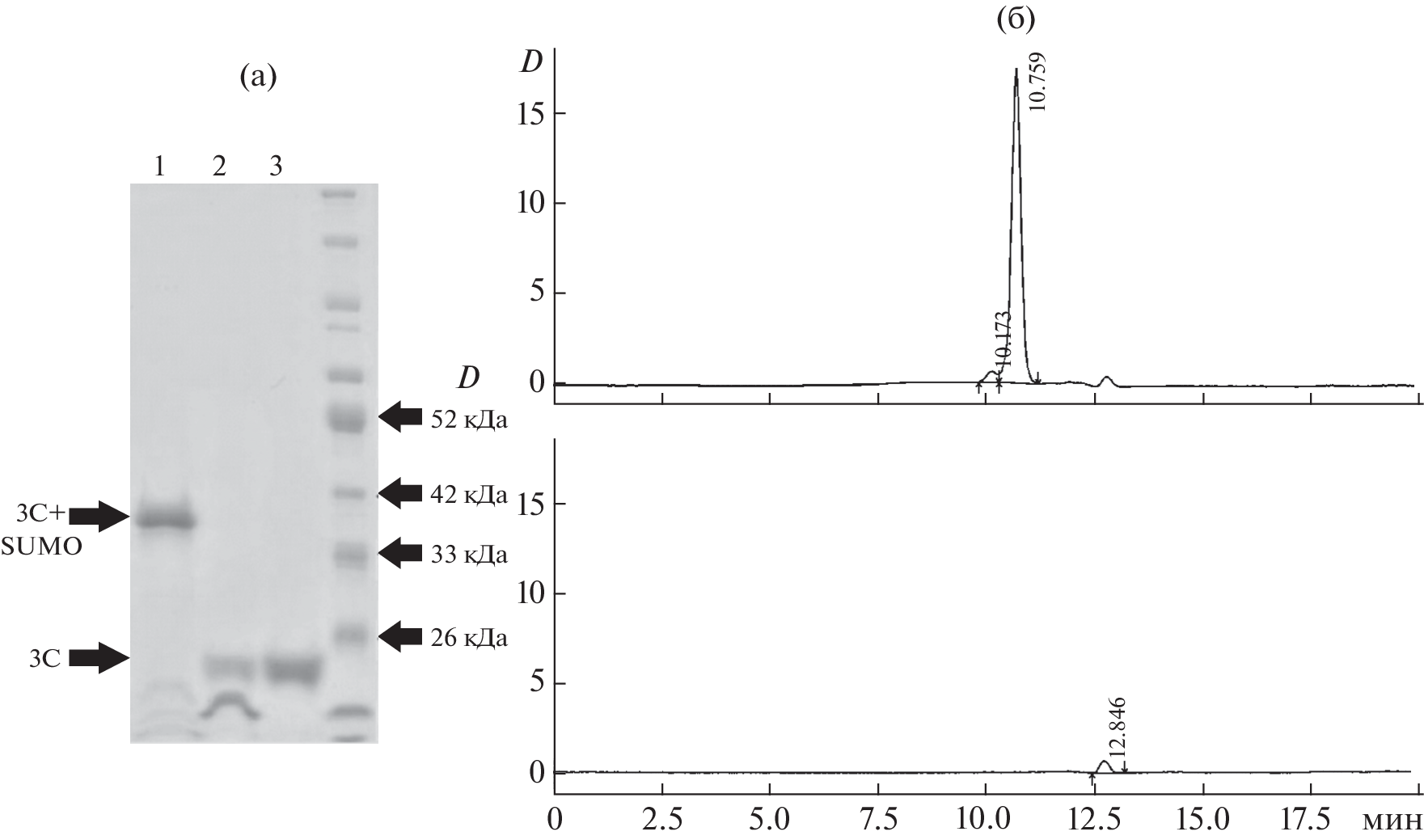
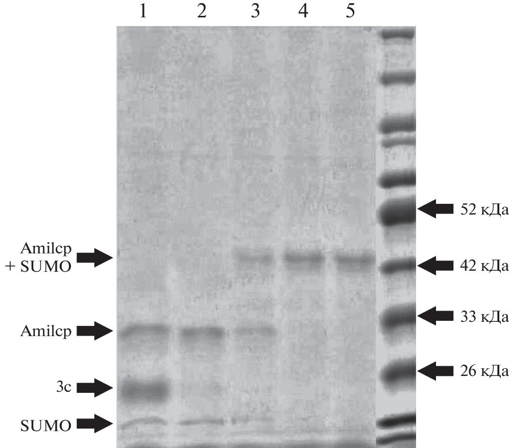
Human rhinovirus picornain 3C is a high-value commercial cysteine protease, which is widely used to remove affinity tags and fusion proteins during the purification of the target proteins. A variant of rhinovirus A28 picornain 3C produced in this study is not annotated in the NCBI databases, shares 79% sequence identity in the PDB, and was not previously used in the protein engineering. A protocol was developed for the isolation and purification of the protein to use it in structural studies. The initial crystallization conditions were found. The determination and analysis of the structure of rhinovirus A28 picornain 3C will provide new possibilities for performing basic research on the evolution of proteolytic enzymes and for the design of the optimal variant of this protease.
About the authors
A. E. Tishin
State Research Center of Virology and Biotechnology “Vector,” Rospotrebnadzor, 630559, Koltsovo, Novosibirsk oblast, Russia
Email: gladysheva_av@vector.nsc.ru
Россия, Кольцово
A. V. Gladysheva
State Scientific Center of Virology and Biotechnology «Vector»
Email: gladysheva_av@vector.nsc.ru
ORCID iD: 0000-0002-7396-3954
SPIN-code: 5214-3421
Scopus Author ID: 57194590629
Postgraduate student, Juniour Researcher, Department of Molecular Virology for Flaviviruses and Viral Hepatitis
Russian Federation, 630559, Novosibirsk region, KoltsovoL. A. Pyatavina
State Research Center of Virology and Biotechnology “Vector,” Rospotrebnadzor, 630559, Koltsovo, Novosibirsk oblast, Russia; Novosibirsk National Research State University, 630090, Novosibirsk, Russia
Email: gladysheva_av@vector.nsc.ru
Россия, Кольцово; Россия, Новосибирск
S. E. Olkin
State Research Center of Virology and Biotechnology “Vector,” Rospotrebnadzor, 630559, Koltsovo, Novosibirsk oblast, Russia
Email: gladysheva_av@vector.nsc.ru
Россия, Кольцово
A. A. Gladysheva
State Scientific Center of Virology and Biotechnology «Vector»; Novosibirsk National Research State University
Email: gladysheva_aa@vector.nsc.ru
ORCID iD: 0000-0002-9490-1939
Graduate student, Assistant, Department of Molecular Virology for Flaviviruses and Viral Hepatitis
Russian Federation, 630559, Novosibirsk region, Koltsovo; 630090, NovosibirskI. R. Imatdionov
State Research Center of Virology and Biotechnology “Vector,” Rospotrebnadzor, 630559, Koltsovo, Novosibirsk oblast, Russia
Email: gladysheva_av@vector.nsc.ru
Россия, Кольцово
A. V. Vlaskina
National Research Centre “Kurchatov Institute”, 123098, Moscow, Russia
Email: gladysheva_av@vector.nsc.ru
Россия, Москва
A. Yu. Nikolaeva
National Research Centre “Kurchatov Institute”, 123098, Moscow, Russia
Email: gladysheva_av@vector.nsc.ru
Россия, Москва
V. R. Samygina
National Research Centre “Kurchatov Institute”, 123182, Moscow, Russia; Shubnikov Institute of Crystallography, Federal Scientific Research Centre “Crystallography and Photonics,” Russian Academy of Sciences, 119333, Moscow, Russia
Email: lera@crys.ras.ru
Россия, Москва; Россия, Москва
A. P. Agafonov
State Research Center of Virology and Biotechnology “Vector,” Rospotrebnadzor, 630559, Koltsovo, Novosibirsk oblast, Russia
Author for correspondence.
Email: gladysheva_av@vector.nsc.ru
Россия, Кольцово
References
- Bizot E., Bousquet A., Charpié M. et al. // Front. Pediatr. 2021. V. 22. P. 643219. https://doi.org/10.3389/fped.2021.643219
- Ljubin-Sternak S., Meštrović T. // Viruses. 2023. V. 15 (4). P. 825. https://doi.org/10.3390/v15040825
- Flather D., Nguyen J.H.C., Semler B.L., Gershon P.D. // PLoS Pathog. 2018. V. 14 (8). P. e1007277. https://doi.org/10.1371/journal.ppat.1007277
- Jensen L.M., Walker E.J., Jans D.A., Ghildyal R. // Methods Mol. Biol. 2015. V. 1221. P. 129. https://doi.org/10.1007/978-1-4939-1571-2_10
- Matthews D.A., Dragovich P.S., Webber S.E. et al. // Proc. Natl. Acad. Sci. USA. 1999. V. 96 (20). P. 11000. https://doi.org/10.1073/pnas.96.20.11000
- Bjorndahl T.C., Andrew L.C., Semenchenko V., Wishart D.S. // Biochemistry. 2007. V. 46 (45). P. 12945–58. https://doi.org/10.1021/bi7010866
- Cui S., Wang J., Fan T. et al. // J. Mol. Biol. 2011. V. 408 (3). P. 449. https://doi.org/10.1016/j.jmb.2011.03.007
- Yuan S., Fan K., Chen Z. et al. // Virol. Sin. 2020. V. 35 (4). P. 445. https://doi.org/10.1007/s12250-020-00196-4
- Sun D., Chen S., Cheng A., Wang M. // Viruses. 2016. V. 8 (3) P. 82. https://doi.org/10.3390/v8030082
- Ullah R., Shah M.A., Tufail S. et al. // PLoS One. 2016. V. 11 (4) P. e0153436. https://doi.org/10.1371/journal.pone.0153436
- Wanga Q.M., Chen S.H. // Curr. Protein Pept. Sci. 2007. V. 8 (1). P. 19. https://doi.org/10.2174/138920307779941523
- Jumper J., Evans R., Pritzel A. et al. // Nature. 2021. V. 596 (7873). P. 583. https://doi.org/10.1038/s41586-021-03819-2
- de Marco A. // Nat Protoc. 2006. V. 1 (3). P. 1538. https://doi.org/10.1038/nprot.2006.289
- Brunelle J.L., Green R. // Methods Enzymol. 2014. V. 541. P. 151. https://doi.org/10.1016/B978-0-12-420119-4.00012-4
- Akaberi D., Båhlström A., Chinthakindi P.K. // Antiviral Res. 2021. V. 190. P. 105074. https://doi.org/10.1016/j.antiviral.2021.105074
- Fan X., Li X., Zhou Y. et al. // ACS Chem Biol. 2020. V. 15 (1). P. 63. https://doi.org/10.1021/acschembio.9b00539
- Timofeev V., Samygina V. // Crystals. 2023. V. 13 P. 71. https://doi.org/10.3390/cryst13010071
Supplementary files








