Высокоагрессивная инвазивная группа рас PstS2 в российских популяциях возбудителя желтой ржавчины пшеницы
- Авторы: Шайдаюк Е.Л.1, Гультяева Е.И.1
-
Учреждения:
- Всероссийский научно-исследовательский институт защиты растений
- Выпуск: Том 57, № 1 (2023)
- Страницы: 60-67
- Раздел: ГРИБЫ – ВОЗБУДИТЕЛИ БОЛЕЗНЕЙ РАСТЕНИЙ
- URL: https://medbiosci.ru/0026-3648/article/view/138051
- DOI: https://doi.org/10.31857/S0026364823010129
- EDN: https://elibrary.ru/HRXOZS
- ID: 138051
Цитировать
Полный текст
Аннотация
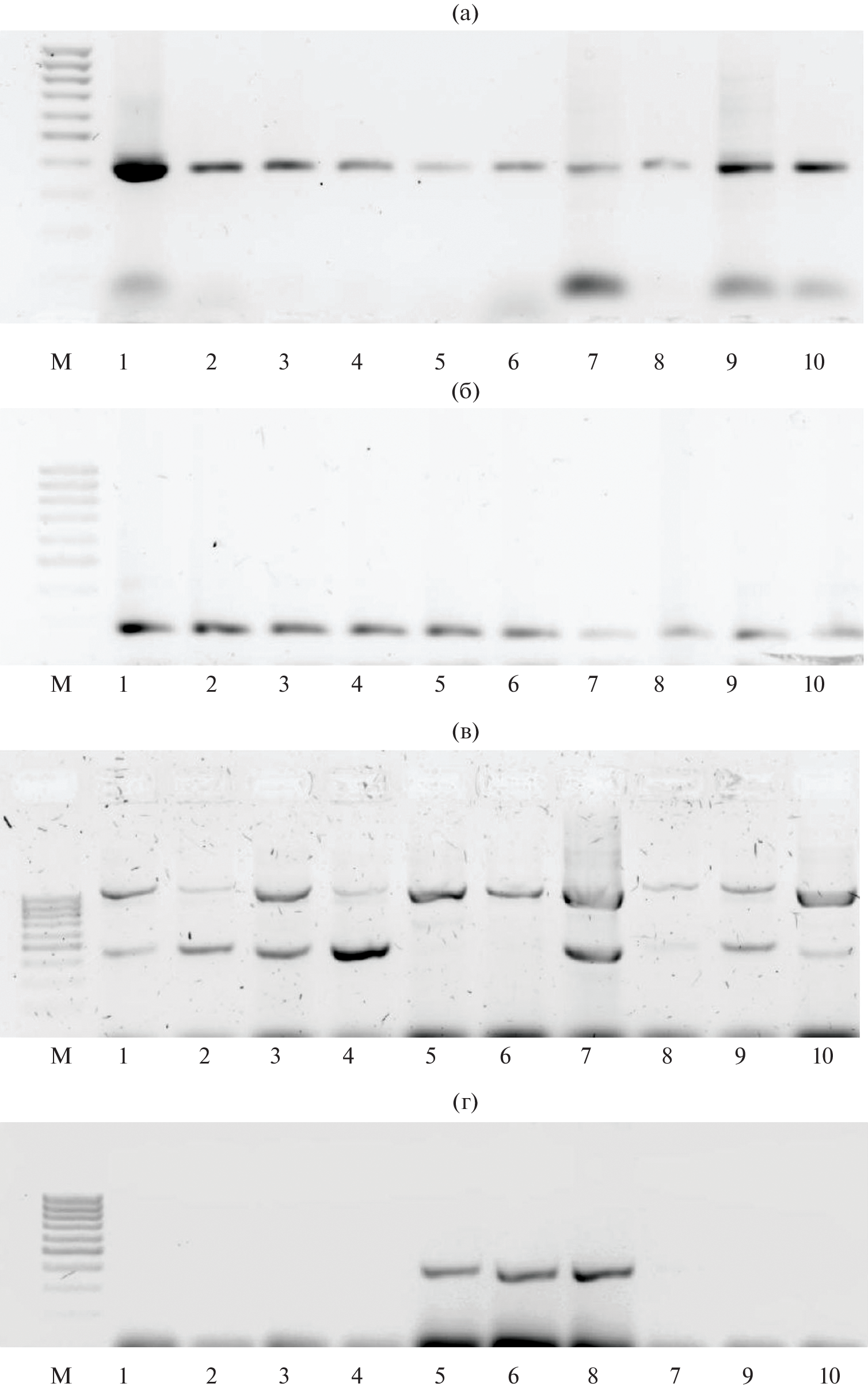
В 2000-х гг. во всем мире отмечается расширение ареала вредоносности возбудителя желтой ржавчины пшеницы (Puccinia striiformis) (Pst). Обусловлено это появлением новых высокоагрессивных инвазивных групп рас PstS1 и PstS2, способных развиваться при высоких температурах, и результатом мутаций возбудителя по признаку вирулентности. Для идентификации инвазивных рас подобраны SCAR-маркеры и охарактеризованы коллекции патогена во многих странах мира. В данных исследованиях впервые в России проведен анализ региональных популяций P. striiformis на наличие инвазивных рас PstS1 и PstS2. Монопустульные изоляты получены из урединиообразцов, собранных с мягкой и твердой пшеницы, тритикале и злаковых трав в семи регионах РФ (Северокавказский, Северо-Западный, Центрально-Черноземный, Нижневолжский, Средневолжский, Волго-Вятский, Западно-Сибирский) в 2019–2020 гг. Всего протестировано 82 изолята. С использованием SCAR-маркеров в изученной коллекции P. striiformis выявлено три генотипа, один из которых относится к инвазивной группе PstS2. Два других генотипа имели отличное от нее происхождение. Изоляты PstS2 были выделены из образцов популяций патогена, собранных на Северо-Западе в 2020 г. Анализ вирулентности выявил среди них два фенотипа: PstS2_R1 (3 изолята) и PstS2_R2 (1 изолят). Согласно информации Global Rust Reference Center (http://www.wheatrust.org/), характерным признаком для инвазивной группы PstS2 является вирулентность к образцам пшеницы с генами устойчивости Yr2, Yr6, Yr7, Yr8, Yr9 и Yr25. Фенотип PstS2_R1 характеризовался вирулентностью к образцам пшеницы с этими генами, а также к Yr1, Yr32 и YrSp. Фенотип PstS2_R2, отличался от PstS2_R1 авирулентностью к Yr25 и вирулентностью к Yr3 и Yr4. Основное отличие российских изолятов группы PstS2 от обнаруженных в других странах – вирулентность к линиям с генами Yr4, Yr32 и YrSp. Первое обнаружение инвазивных рас на территории Северо-Запада России указывает на необходимость проведения ежегодного мониторинга региональных популяций P. striiformis.
Ключевые слова
Об авторах
Е. Л. Шайдаюк
Всероссийский научно-исследовательский институт защиты растений
Автор, ответственный за переписку.
Email: eshaydayuk@bk.ru
Россия, 196608, Санкт-Петербург
Е. И. Гультяева
Всероссийский научно-исследовательский институт защиты растений
Автор, ответственный за переписку.
Email: eigultyaeva@gmail.com
Россия, 196608, Санкт-Петербург
Список литературы
- Brar G.S., Kutcher H.R. Race characterization of Puccinia striiformis f.sp. tritici, the cause of wheat stripe rust, in Saskatchewan and southern Alberta, Canada and virulence comparison with races from the United States. Plant Dis. 2016. V. 100 P. 1744–1753. https://doi.org/10.1080/07060661.2014.924560
- Chen X., Penman L., Wan A. et al. Virulence races of Puccinia striiformis f.sp. tritici in 2006 and 2007 and development of wheat stripe rust and distributions, dynamics, and evolutionary relationships of races from 2000 to 2007 in the United States. Can. J. Plant Pathol. 2010. V. 32 (3). P. 315–333. https://doi.org/10.1080/07060661.2010.499271
- Chen X.M. Epidemiology and control of stripe rust (Puccinia striiformis f.sp. tritici) on wheat. Can. J. Plant Pathol. 2005. V. 27 (3). P. 314–337. https://doi.org/10.1080/07060660509507230
- Chen X.M. Integration of cultivar resistance and fungicide application for control of wheat stripe rust. Can. J. Plant Pathol. 2014. V. 36 (3). P. 311–326. https://doi.org/10.1080/07060661.2014.924560
- Chen X.M., Moore M., Milus E.A. et al. Wheat stripe rust epidemics and races of Puccinia striiformis f.sp. tritici in the United States in 2000. Plant Dis. 2002. V. 86 (1). P. 39–46. https://doi.org/10.1094/PDIS.2002.86.1.39
- Flath K., Bartels G. Virulenzsituation in osterreichischen und deutschen Populationen des Weizengelbrostes. Bereicht uber die 52. Tagung der Vereinigung der Pflanzenzuchter und Saatgutkaufleute Osterreichs, Gumpenstein, Verlag und Druck der Bundesanstalt fur alpenlandische Landwirtschaft Gumpenstein, 2002, pp. 51–56.
- Fursov S. The role of wheat in the implementation of the export of the secondary grain market based on the achievements of selection. APK: ekonomika, upravleniye. 2018. №. 5. P. 44–50 (in Russ.).
- Gassner G., Straib W. Untersuchungen Über die Infektionsbedingungen von Puccinia glumarum und Puccinia graminis. Arb. Biol. Reichsanst.Land-Forst- wirtsch Berlin-Dahlem. 1929. V. 16 (4). P. 609–629.
- Gultyaeva E.I., Shaydayuk E., Gannibal P. Leaf rust resistance genes in wheat cultivars registered in Russia and their influence on adaptation processes in pathogen populations. Agriculture. 2021. V. 11 (4). P. 319. https://doi.org/10.3390/agriculture11040319
- Hendrix J.W., Lloyd E.H. Low temperature survival of the stripe rust fungus in host tissue. Phytopathol. 1966. V. 56. P. 2–148.
- Hovmøller M.S., Justesen A.F., Brown J.K.M. Clonality and longdistance migration of Puccinia striiformis f.sp. tritici in north-west Europe. Plant Pathol. 2002. V. 51 (1). P. 24–32. https://doi.org/10.1046/j.1365-3059.2002.00652.x
- Hovmøller M.S., Justesen A.F. Appearance of atypical Puccinia striiformis f.sp. tritici phenotypes in northwestern Europe. Aust. J. Agric. Res. 2007. V. 58 (6). P. 518–524. https://doi.org/10.1071/AR06146
- Hovmøller M.S., Yahyaoui A.H., Milus E.A., Justesen A.F. Rapid global spread of two aggressive strains of a wheat rust fungus. Mol. Ecol. 2008. V. 17 (17). P. 3818–3826. https://doi.org/10.1111/j.1365-294X.2008.03886.x
- Hovmøller M.S., Sørensen C.K., Walter S. et al. Diversity of Puccinia striiformis on cereals and grasses. Annu. Rev. Phytopathol. 2011. V. 49 (1). P. 197–217. https://doi.org/10.1146/annurev-phyto-072910-095230
- Hovmøller M.S., Walter S., Bayles R. et al. Replacement of the European wheat yellow rust population by new races from the centre of diversity in the near-Himalayan region. Plant. Pathol. 2015. V. 65 (3). P. 402–411. https://doi.org/10.1111/ppa.12433,http://onlinelibrary.wiley.com/doi/10.1111/ppa.12433/abstract
- Hovmøller M.S., Patpour M., Rodriguez-Algaba J. et al. GRRC report of yellow and stem rust races 2021, Aarhus University, Denmark. Available online: www.wheatrust.org
- Hubbard A., Lewis C.M., Yoshida K. et al. Field pathogenomics reveals the emergence of a diverse wheat yellow rust population. Genome Biol. 2015. V. 16 (23). https://doi.org/10.1186/s13059-015-0590-8
- Justesen A.F., Ridoutb C.J., Hovmøller M.S. The recent history of Puccinia striiformis f.sp. tritici in Denmark as revealed by disease incidence and AFLP markers. Plant. Pathol. 2002. V. 51 (1). P. 13–23. https://doi.org/10.1046/j.0032-0862.2001.00651.x
- Kokhmetova A., Sharma R., Rsaliyev S. et al. Evaluation of Central Asian wheat germplasm for stripe rust resistance. Plant Genet. Resour. 2017. V. 16 (2). P. 178–184. https://doi.org/10.1017/S1479262117000132
- Kokhmetova A.M., Atishova M.N., Galymbek K. Identification of wheat germplasm resistant to leaf, stripe and stem rust using molecular markers. Bulletin of NAS RK. 2020. V. 2. P. 45–52. https://doi.org/10.32014/2020.2518-1467.40
- Kokhmetova A., Rsaliyev A., Malysheva A. et al. Identification of stripe rust resistance genes in common wheat cultivars and breeding lines from Kazakhstan. Plants. 2021. V. 10 (11). P. 2303. https://doi.org/10.3390/plants10112303
- Liu T., Wan A., Liu D. et al. Changes of races and virulence genes in Puccinia striiformis f.sp. tritici, the wheat stripe rust pathogen, in the United States from 1968 to 2009. Plant Dis. 2017. V. 101 (8). P. 1522–1532. https://doi.org/10.1094/PDIS-12-16-1786-RE
- Markell S.G., Milus E.A. Emergence of a novel population of Puccinia striiformis f.sp. tritici in eastern United States. Phytopathol. 2008. V. 98. P. 632–639. https://doi.org/10.1094/PHYTO-98-6-0632
- McCallum B.D., Hiebert C.W., Cloutier S. et al. A review of wheat leaf rust research and the development of resistant cultivars in Canada. Can. J. Plant Pathol. 2016. V. 38 (1). P. 1–18. https://doi.org/10.1080/07060661.2016.1145598
- McIntosh R.A., Wellings C.R., Park R.F. Wheat rusts. An atlas of resistance genes. CSIRO Australia, Kluwer Acad. Publ., Dordrecht, 1995.
- Milus E.A., Kristensen K., Hovmøller M.S. Evidence for increased aggressiveness in a recent widespread strain of Puccinia striiformis f.sp. tritici causing stripe rust of wheat. Phytopathology. 2009. V. 99 (1). P. 89–94. https://doi.org/10.1094/PHYTO-99-1-0089
- Milus E.A., Seyran E., McNew R. Aggressiveness of Puccinia striiformis f.sp. tritici isolates in the South Central United States. Plant Dis. 2006. V. 90 (7). P. 847–852. https://doi.org/10.1094/PD-90-0847
- Shaydayuk E.L., Yakovleva D.R., Abdullaev K.M. et al. Population genetics studies of Puccinia striiformis f.sp. tritici in Dagestan and Northwestern Russia. Trudy po prikladnoy botanike, genetike i selektsii. 2021. V. 182 (3). P. 174–181 (in Russ.). https://doi.org/10.30901/2227-8834-2021-3-174-181
- Wheat rust in Asia: meeting the challenges with old and new technologies. In: Proceedings of the 4th International Crop Science Congress; Brisbane, Australia. 2004. http://www.cropscience.org.au/icsc2004/symposia/3/7/ 141_singhrp.htm.
- Walter S., Ali S., Kemen E. et al. Molecular markers for tracking the origin and worldwide distribution of invasive strains of Puccinia striiformis. Ecol Evol. 2016. V. 6 (9). P. 2790–2804. https://doi.org/10.1002/ece3.2069
- Wellings C.R. Global status of stripe rust: A review of historical and current threats. Euphytica. 2011. V. 179 (1). P. 129–141. https://doi.org/10.1007/s10681-011-0360-y
- Wellings C.R. Puccinia striiformis in Australia: a review of the incursion, evolution and adaptation of stripe rust in the period 1979–2006. Aust. J. Agric. Res. 2007. V. 58 (6). P. 567–575. https://doi.org/10.1071/AR07130
- Zadoks J.C. Yellow rust on wheat studies in epidemiology and physiologic specialization. Tijdschr. Planteziekten. 1961. V. 67. P. 69–256.
- Фурсов С. (Fursov) Роль пшеницы в реализации экспортного потенциала зернового рынка на основе достижений селекции. АПК: экономика, управление. 2018. № 5. С. 44–50.
- Шайдаюк Е.Л., Яковлева Д.Р., Абдуллаев К.М. и др. (Shaydayuk et al.) Популяционно-генетические исследования Puccinia striiformis f. sp. tritici в Дагестане и на Северо-Западе России. Труды по прикладной ботанике, генетике и селекции. 2021. V. 182 (3). P. 174–181. https://doi.org/10.30901/2227-8834-2021-3-174-181
Дополнительные файлы



