Новые штаммы Bacillus thuringiensis subsp. israelensis, высокотоксичные для Aedes aegypti и Culex pipiens pipiens
- Авторы: Ходырев В.П.1, Поленогова О.В.1, Артемченко А.С.1, Кривопалов А.В.1, Глупов В.В.1
-
Учреждения:
- Институт систематики и экологии животных СО РАН
- Выпуск: Том 93, № 6 (2024)
- Страницы: 870-878
- Раздел: ЭКСПЕРИМЕНТАЛЬНЫЕ СТАТЬИ
- URL: https://medbiosci.ru/0026-3656/article/view/276184
- DOI: https://doi.org/10.31857/S0026365624060161
- ID: 276184
Цитировать
Полный текст
Аннотация
Bacillus thuringiensis subsp. israelensis (Bti) ‒ наиболее известный подвид кристаллобразующих энтомопатогенных бактерий, используемых для контроля численности кровососущих комаров. В данной работе нами были изолированы три штамма Bti 4369, 4929 и 4999 из кишечников природной популяции личинок кровососущих комаров Aedes flavescens. Идентификация бактериальных изолятов по гену 16S rRNA и определение серотипа выявили принадлежность штаммов к Bt subsp. israelensis H14. Штаммы имели различия в морфологии бактериальных колоний, ряда биохимических характеристик и профилей белковых эндотоксинов. Выделенные штаммы Bti 4369 и 4999 показали высокую инсектицидную активность в отношении личинок Culex pipiens pipiens и Aedes aegypti, значения LC50 которых через 24 ч после воздействия составили 1.47‒2.26 × 108 спор/мл. Для штамма Bti 4929 LC50 составило 32.7‒35.9 × 108 спор/мл. Выделенные штаммы Bacillus thuringiensis subsp. israelensis имеют высокий потенциал для создания биопрепаратов для контроля численности кровососущих комаров.
Полный текст
Bacillus thuringiensis (Bt) известны инсектицидной активностью по отношению к насекомым разных отрядов (Schnepf et al., 1998; Van Frankenhuyzen, 2013) и безопасны для позвоночных животных (McClintock et al., 1995). Bt широко распространены, входят в микробные сообщества различных экологических ниш, таких как почва и вода, а также микробиота насекомых и растений (Raymond et al., 2010). Bt составляют основу большинства биопрепаратов для контроля численности насекомых-вредителей сельского и лесного хозяйства (Kumar et al., 2021).
Токсичность Bt обусловлена присутствием параспоральных белковых включений, содержащих токсины (Cry и Cyt). Дельта-эндотоксины формируются на стадии споруляции бактерий. Cry и Cyt токсины представляют собой два класса кристаллических эндотоксинов (Höfte, Whiteley, 1989), формирование которых происходит в соответствии с генетическим профилем бактерий Bt (Reyes-Ramirez, Ibarra, 2005). В результате ограниченного протеолиза в кишечнике насекомых происходит активация протоксина (дельта-эндотоксина) с образованием активного токсина, который непосредственно взаимодействует с рецепторами эпителиального слоя кишечника, что в дальнейшем приводит к образованию пор. Данные процессы приводят к цитолизу, нарушению целостности среднего отдела кишечника и, как следствие, проникновению бактерий в гемоцель насекомых. При этом следует отметить, что в гемоцель проникают не только Bt, но и бактерии микробиоты, что заканчивается септицемией (Bravo et al., 2007).
Bt subsp. israelensis (Bti) – наиболее известный подвид, обладающий Cry и Cyt эндотоксинами (Ben-Dov, 2014; Valtierra-de-Luis et al., 2020). Bti продуцирует четыре основных Cry токсина, высокоспецифичных для комаров (Cry4Aa, Cry4Ba, Cry11Aa и Cyt1Aa) (De Maagd et al., 2001; Fernández-Chapa et al., 2018). В то время как Cyt токсины Bti обладают токсичностью для Diptera (De Maagd et al., 2003; Federichi et al., 2006) и могут быть нетоксичными для них, они способны усиливать токсичность Cry (Wu, Chang, 1985; Crickmore et al., 1995; Pérez et al., 2005; Canton et al., 2011; Soares-da-Silva et al., 2017).
Кровососущие комары р. Culex и Aedes являются переносчиками возбудителей заболеваний человека, а также могут играть существенную роль в трофических цепях различных гидробионтов (Onen et al., 2023). Данные виды распространены повсеместно, в том числе на территории России (Мирзаева и соавт., 2007; Гаджиева, 2021; Халин и соавт., 2021). Для комаров Culex и Aedes характерна высокая резистентность к действию химических инсектицидов (Liu et al., 2015), в связи с чем актуально использование биопрепаратов на основе Bti. Bti широко применяется во всем мире в различных препаративных формах (Becker et al., 2003; Bravo et al., 2011). Генетическое разнообразие Bti может в значительной мере различаться в зависимости от региона происхождения бактерий. При производстве бактериальных препаратов постоянно стоит проблема сохранности не только генетического однообразия бактерий, но и сохранения их инсектицидной активности, которая может быть утеряна при длительной селекции Bti по тем или иным причинам. В этой связи поиск высокоактивных штаммов Bti до сих пор остается актуальной задачей для исследователей во всем мире.
В данной работе были идентифицированы и охарактеризованы новые штаммы Bt subsp. israelensis, определена их инсектицидная активность в отношении личинок кровососущих комаров A. aegypti и C. pipiens pipiens.
МАТЕРИАЛЫ И МЕТОДЫ ИССЛЕДОВАНИЯ
Личинки комаров Aedes flavescens были отобраны во временных водоемах, образованных в результате таяния снега с акваторией ~1500 м2 (30 м × 50 м) и уровнем воды от 10 до 40 см, в Западной части города Новосибирска, Россия (N 55.001537°, E 82.778913°).
В стерильных лабораторных условиях на льду у личинок комаров A. flavescens с признаками развития бактериоза извлекали средний отдел кишечника с содержимым и помещали в стерильный 150 мМ NaCl. После механической гомогенизизации суспензии пастеризовали (12 мин при 80°С) и инокулировали на поверхность рыбно-пептонного агара (РПА) состава (г/л дистиллированной воды): 4 ‒ рыбного гидролизата, 7 ‒ пептона, 5 ‒ хлорида натрия, 15 ‒ агар-агара; рН 7.3 ± 0.2. Через 4 сут инкубации при температуре 28°С проводили произвольный отбор отдельных бактериальных колоний и рассевали методом истощающегося штриха на РПА.
Трем типам колоний, выделенных в чистую культуру, были присвоены номера 4369, 4929 и 4999. Морфологические характеристики бактериальных колоний и клеток изучали через 6 сут культивирования при 28°С. Морфологию клеток бактерий, а также соотношение спор и кристаллов изучали в микробиологических препаратах окрашенных 5%-м водным раствором эозина с помощью световой микроскопии (иммерсионный объектив ×100, Axsioscop 40 с видеокамерой AmScope.com FMAO50 в программе Topview (“Carl Zeiss”, Германия).
Биохимические свойства исследуемых штаммов бактерий 4369, 4929 и 4999 характеризовали по методу Барджака и соавт. (De Bardjac, Bonnefoi, 1962, 1973). Серологическую принадлежность бактерий определяли с помощью иммунных сывороток, полученных в лаборатории патологии насекомых ИСиЭЖ СО РАН. Электрофоретическое разделение белковых Cry и Cyt токсино в для определения их молекулярного веса определяли в споро-кристаллической смеси 6-сут культур бактерий. Электрофоретическое разделение проводили в присутствии 0.1% додецилсульфата натрия в 10% полиакриламидном геле (Laemmli, 1970) с последующим окрашиванием раствором Кумасси R-250. Спектр молекулярного веса белков определяли колориметрическим методом в биоанализаторе (“Agilent”, США). В качестве стандартов молекулярного веса был использован белковый маркер (8‒200 кДа) (“Servicebio”, Китай).
Идентификацию бактериальных изолятов гена 16S рРНК проводили по методике, описанной ранее (Chertkova et al., 2023). Секвенирование фрагмента гена 16S рРНК проводили с использованием праймеров 27F (5ꞌ-AGA GTT TGA TCA TGG CTC AG-3ꞌ) (Weisburg et al., 1991) и 1492R (5ꞌ-CCC TAC GGT TAC CTT GTT AGG ACT-3ꞌ). Последовательности генов 16S рРНК штаммов 4369, 4929 и 4999 были внесены в базу данных GenBank под номерами доступа PP396075, PP396076 и PP396077. Полученные эталонные последовательности из GenBank (http://www.ncbi.nlm.nih.gov) были выровнены в BioEdit.
Инсектицидную активность штаммов 4369, 4929 и 4999 сравнивали в серии биотестирований в отношении двух видов личинок комаров A. aegypti и C. pipiens pipiens из естественных мест обитания. Для инфицирования использовали суспензии штаммов 4369, 4929, 4999. Суспензии готовили в 150 мМ NaCl из лиофилизата 6-сут культур бактерий. Суспензии (от 4.1 × 107 до 8.2 × 109) вносили в 100-мл садки с личинками комаров в III личиночной стадии развития (15 личинок на 1 повторность). В контроле в садки вносили 150 мМ NaCl. Каждый биоанализ включал 5 концентраций в трех биологических повторностях в трех повторениях. Период наблюдения составил 24 ч.
Размер колоний представлен как среднее ± стандартная ошибка. Полулетальные концентрации (LC50) определяли методом Спирмена‒Карбера (TSK).
РЕЗУЛЬТАТЫ И ОБСУЖДЕНИЕ
Предварительная пастеризация позволила выделить из содержимого среднего кишечника личинок A. flavescens крупные колонии с характерной для Bt морфологией колоний и наличием вегетативных клеток со спорами и кристаллами. Трем типам изолированных колоний были присвоены номера 4369, 4929 и 4999. Данные колонии имели общие признаки в виде серо-белой окраски и мелкозернистой поверхности, округлой формы и плоского профиля, сухой консистенции, отсутствия запаха и прозрачности (рис. 1а‒1в).
Рис. 1. Сравнительная морфологическая оценка 6-сут бактериальных колоний Bt subsp. israelensis, выделенных из среднего отдела кишечника личинок Aedes flavescens; а ‒ 4369; б ‒ 4929; в ‒ 4999.
Отличными признаками для исследуемых колоний выступали их размер и тип края. Так, штамм 4369 формировал бактериальные колонии диаметром 25.5 ± 0.2 мм с волнистым типом края, 4999 – диаметром 24.2 ± 0.5 мм и зубчатым краем. Штамм 4929 имел значительно меньший размер колоний по сравнению со штаммами 4369 и 4999 и ровный край колоний (рис. 1а‒1в).
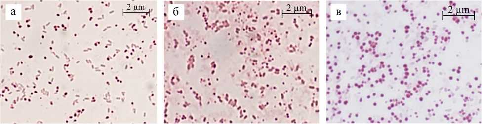
Микроскопический анализ шестисуточных бактериальных культур показал однородность исследуемых штаммов, присутствие округлых спор и наличие кристаллических включений (рис. 2а‒2в).
Рис. 2. Микроскопический анализ (×100, Axsioscop 40) 6-сут бактериальных колоний Bt subsp. israelensis, выделенных из среднего отдела кишечника личинок Aedes flavescens; а ‒ 4369; б ‒ 4929; в ‒ 4999.
Вегетативные клетки в микробиологических препаратах отсутствовали. Морфология кристаллических включений была схожа с кристаллическими включениями Bti. Важно отметить, что в микробиологических препаратах штамма Bti 4929 преимущественно присутствовали кристаллические включения, значительно более мелкие по сравнению со спорами (рис. 2б).
Исследуемые штаммы Bti 4369, 4929 и 4999 были охарактеризованы по основным биохимическим признакам (табл. 1).
Таблица 1. Биохимические характеристики исследуемых штаммов Bt subsp. israelensis, выделенных из кишечника личинок Aedes flavescens
Тест | Изолят | ||
4369 | 4929 | 4999 | |
Рост на среде: | |||
питательный агар | + | + | + |
триптико-соевый агар | + | + | + |
Образование кислоты из: | |||
D-маннитол | + | + | ‒ |
сахароза | ‒ | ‒ | + |
Гидролиз: | |||
желатиназа | + | + | + |
салицин | + | ‒ | ‒ |
Продукция: | |||
ацетилметилкарбинол | + | + | + |
каталазы | + | + | + |
амилазы | + | + | + |
лецитиназы | + | + | + |
Протеолитическая активность | + | + | + |
Редукция нитратов в нитриты | + | + | + |
Уреаза | ‒ | ‒ | ‒ |
Все штаммы – грамположительные факультативные анаэробы. Общими признаками для штаммов 4369, 4929 и 4999 выступали способность к образованию ацетилметилкарбинола, лецитиназы и каталазы, способность к гидролизу крахмала и казеина, а также к восстановлению нитратов в нитриты, отсутствие способности к утилизации салицина, к образованию щелочи на цитратно-солевом агаре, уреазы и пигмента. Отдельными отличительными признаками для штамма Bti 4999 выступали отсутствие способности сбраживать сахарозу и образовывать кислоту при утилизации маннитола.
Серологическая диагностика показала принадлежность штаммов Bti 4369, 4929 и 4999 к H14 серологическому варианту Bti.
Результаты электрофореграммы споро-кристаллических смесей исследуемых штаммов Bt 4369, 4929 и 4999 показали присутствие эндотоксинов с молекулярными весами от 17 до 135 кДа (рис. 3).
Рис. 3. Сравнительный электрофорез споро-кристаллических смесей исследуемых штаммов: 1 – 4369; 2 – 4929; 3 – 4999. М – стандарты молекулярной массы, предварительно окрашенные (8‒200 кДа), (“Servicebio, Китай”).
Полипептид с молекулярным весом 23 кДа присутствовал на электрофореграмме для всех исследуемых штаммов. Штамм Bt 4369 имел два мажорных белка весом 30 и 55 кДа и ряд минорных белков весом 20, 30, 45, 135 кДа. Для штамма Bt 4929 результаты электрофореграммы показали кроме белка весом 23 кДа, присутствие второго мажорного белка весом 30 кДа и нескольких минорных белков с молекулярным весом 45, 54, 66 кДа. В свою очередь, для штамма Bt 4999 были выявлены дополнительные белки с молекулярным весом 30, 43, 48, 55 кДа. Полипептиды с молекулярным весом 23 кДа относятся к классу Cyt эндотоксинов, известны ларвицидной активностью по отношению к личинкам двукрылых и могут присутствовать у разных видов р. Bacillus (например, B. thuringiensis subsp. kyushuensis, B. thuringiensis subsp. medellin, B. licheniformis) (Ishii et al., 1994; Orduz et al., 1996; Yan et al., 2007). Геном штаммов Bt может содержать до двенадцати генов cry и cyt, однако не все из них экспрессируются (Ma et al., 2023). Экспрессия эндотоксина приводит к вариативности белкового профиля с уникальными комбинациями эндотоксинов для отдельно взятых изолятов (Ben-Dov et al., 1997; Sur et al., 2003; Bravo et al., 2011), что может быть обусловлено экологическими условиями происхождения штамма (Baig et al., 2010; Shishir et al., 2014; Mishra et al., 2017). Зачастую кристалл эндотоксина Bti содержит четыре основных полипептида, обладающих молекулярной массой 27, 72, 128 и 135 кДа, которые кодируются генами Сyt1Aa, С ry11Aa, Сry4B и Сry4A (Federici et al., 1990).
Для исследуемых штаммов Bt 4369, 4929 и 4999 была проведена идентификация с использованием секвенирования гена 16S рРНК. Результаты BLAST-анализа полученных последовательностей гена 16S рРНК и сравнение нуклеотидных последовательностей с базами данных GenBank NCBI (покрытие 99‒100%, идентичность 99.79‒100%; NR_114581.1 / NR_043403.1) подтвердили принадлежность всех исследуемых штаммов бактерий к виду B. thuringiensis (табл. 2).
Таблица 2. Предполагаемая идентификация последовательностей гена 16S rRNA штаммов Bt subsp. israelensis 4369, 4929 и 4999, выделенных из кишечников личинок комаров Aedes flavescens, с использованием алгоритма BLAST в сравнении с аналогичными последовательностями из Gen Bank (Номера доступа GenBank)
Номер изолята | Номера доступа GenBank | Ближайшая запись | Номера доступа GenBank | Покрытие, % | Идентичность, % |
4369 | PP396075 | Bacillus thuringiensis strain IAM 12077/ Bacillus thuringiensis strain ATCC 10792 | NR_043403.1/ NR_114581.1 | 99 | 99.79 |
4929 | PP396076 | Bacillus thuringiensis strain ATCC 10792/ Bacillus thuringiensis strain IAM 12077 | NR_114581.1/ NR_043403.1 | 100 | 100 |
4999 | PP396077 | Bacillus thuringiensis strain IAM 12077/ Bacillus thuringiensis strain ATCC 10792 | NR_043403.1/ NR_114581.1 | 99 | 100 |
Сравнительный анализ инсектицидной активности LC 50 для штаммов Bti 4369, 4929 и 4999 был проведен на комарах двух видов A. aegypti и C. pipiens pipiens (табл. 3).
Таблица 3. Инсектицидная активность LC50 штаммов Bacillus thuringiensis для личинок кровососущих комаров A. aegypti и C. pipiens pipiens из естественных мест обитания через 24 ч после воздействия
Штамм | Микроскопия 6-сут культуры | Aedes aegypti L3 | Culex pipiens pipiens L3 | ||
КОЕ × 108 спор/мл | LC50 × 10-4 мкг/мл* | КОЕ ×108 спор/мл | LC50 × 10-4 мкг/мл* | ||
Bti 4369 | Споры и кристаллы | 2.26 (1.95‒2.62) | 1.74 | 1.81 (1.50‒2.18) | 1.39 |
Bti 4929 | Споры и кристаллы | 35.9 (3.25‒3.97) | 17.6 | 32.7 (2.97‒3.60) | 16.0 |
Bti 4999 | Споры и кристаллы | 1.62 (1.35‒1.96) | 1.75 | 1.47 (1.22‒1.78) | 1.58 |
Примечание. Каждый биоанализ включал 5 концентраций, в трех биологических повторностях в трех повторениях. *Лиофилизат споро-кристаллической смеси бактерий Bt.
Результаты биотестирований показали, что личинки L3 C. pipiens pipiens более чувствительны к действию выделенных штаммов, по сравнению с L3 A. aegypti. Полулетальные концентрации (LC50) штамма 4999 для C. pipiens pipiens и A. aegypti составили 1.58 × 10-4 и 1.75 × 10-4 мкг/мл соответственно. Штамм 4369 был в 1.47‒1.62 раза менее эффективен по сравнению со штаммом 4999. Значения LC50 для штамма 4369 в отношении личинок C. pipiens pipiens и A. aegypti составили 1.39 × 10– 4 и 2.26 × 10– 4 мкг/мл соответственно. Штамм 4929 обладал наименьшей инсектицидной активностью из всех исследуемых штаммов Bti. Однако результаты биотестирования показали несколько большую (×1.1) активность штамма 4929 по отношению к личинкам C. pipiens pipiens, по сравнению с A. aegypti. Значения LC50 для штамма 4929 составили 32.7 × 10– 4 и 35.9 × 10– 4 мкг/мл для личинок A. aegypti и C. pipiens pipiens соответственно, что оказалось в 15.9‒22.2 раза ниже, по сравнению со штаммом 4999. Сравнительный анализ полученных результатов показал, что выделенные из кишечников личинок комаров штаммы Bti 4369, 4929 и 4999 имеют гораздо большую инсектицидную активность по отношению к личинкам комаров р. Culex и Aedes, по сравнению с опубликованными ранее данными других исследовательских групп. Так, полученные нами значения LC50 в отношении личинок комаров р. Aedes и Culex для штаммов Bti 4369, 4929 и 4999 находились в диапазоне 1.62‒35.9 × 10– 4 мкг/мл, что в 2.3‒38 раз превышало инсектицидную активность Bacillus thuringiensis LBIT315 и LBIT348 в работе Ibarra et al. (2003), где LC50 для штамма LBIT315 в отношении A. aegypti составила 4.12 мкг/мл, а для LBIT348 в отношении C. quinquefasciatus – 6.61 мкг/мл (Ibarra et al., 2003). Кроме того, инсектицидная активность штаммов Bti 4369, 4929 и 4999 на три‒четыре порядка превышала значения LC50 для восьми штаммов Bti, выделенных из почв в Китае, в отношении личинок комаров р. Culex, где диапазон значений LC50 составил 1.4‒28.5 мкг/мл (Ma et al., 2023) и на один‒два порядка для эндофитного штамма Bti в отношении личинок Aedes, где значения LC50 составили 17.4 нг/мл (García-Suárez et al., 2021).
Наши результаты показали, что каждый из изолятов Bti, выделенных из кишечника личинок A. flavescens, имел схожую инсектицидную активность по отношению как к личинкам A. aegypti, так и C. pipiens pipiens. Высокая инсектицидная активность штаммов Bti, вероятно, связана с их уникальными комбинациями эндотоксинов. Считается, что Cyt токсины обладают либо слабой инсектицидной активностью, либо выступают синергистами Cry токсинов. Подобные синергические взаимодействия довольно широко описаны для A. aegypti (Sur et al., 2003; Manasherob et al., 2006; González-Villarreal et al., 2020; Valtierra-de-Luis et al., 2020; Lai et al., 2023). Не исключено, что между солюбилизированными эндотоксинами разных штаммов Bti может происходить взаимодействие, приводящее к синергическому эффекту.
Таким образом, в данном исследовании были идентифицированы три штамма B. thuringiensis subsp. israelensis H14 – 4369, 4929 и 4999 из кишечника нативных личинок кровососущих комаров Aedes flavescens. Данные штаммы различались размером колоний и типом края, а также имели различия биохимических характеристик и профиля белковых эндотоксинов. Bti 4369, 4929 и 4999 проявляли высокую инсектицидную активность по отношению к двум видам личинок комаров A. aegypti и C. pipiens pipiens из естественных мест обитания. Полученные штаммы можно рассматривать как перспективные для создания биопрепаратов.
БЛАГОДАРНОСТИ
Авторы признательны за оказанную техническую поддержку при подготовке рукописи Т.Н. Клементьевой (ИСиЭЖ СО РАН).
ФИНАНСИРОВАНИЕ
Исследование было поддержано Программой фундаментальных научных исследований (ФНИ) государственной академии наук на 2021‒2025 гг., проект № 1021051703454-5-1.6.12 (FWGS-2021-0001).
СОБЛЮДЕНИЕ ЭТИЧЕСКИХ СТАНДАРТОВ
Настоящая статья не содержит результатов исследований с использованием животных в качестве объектов.
КОНФЛИКТ ИНТЕРЕСОВ
В настоящей статье отсутствует конфликт интересов.
Об авторах
В. П. Ходырев
Институт систематики и экологии животных СО РАН
Email: ovp0408@yandex.ru
Россия, Новосибирск, 630091
О. В. Поленогова
Институт систематики и экологии животных СО РАН
Автор, ответственный за переписку.
Email: ovp0408@yandex.ru
Россия, Новосибирск, 630091
А. С. Артемченко
Институт систематики и экологии животных СО РАН
Email: ovp0408@yandex.ru
Россия, Новосибирск, 630091
А. В. Кривопалов
Институт систематики и экологии животных СО РАН
Email: ovp0408@yandex.ru
Россия, Новосибирск, 630091
В. В. Глупов
Институт систематики и экологии животных СО РАН
Email: ovp0408@yandex.ru
Россия, Новосибирск, 630091
Список литературы
- Гаджиева С. С. Филогенетическая структура и состав фауны кровососущих комаров ( Diptera , Culicidae ) Северного Кавказа и факторы, определяющие их динамику // Известия ДГПУ. Естественные и точные науки. 2021. Т. 15. № 1. С. 27–32. https://doi.org/10.31161/1995-0675-2021-15-1-27-32
- Мирзаева А. Г., Смирнова Ю. А., Юрченко Ю. А., Кононова Ю. А. К познанию фауны и экологии кровососущих комаров ( Diptera , Culicidae ) лесостепных и степных районов Западной Сибири // Паразитология. 2007. Т. 41. № 4. С. 253‒267.
- Халин А. В., Айбулатов С. В., Филоненко И. В. Распространение кровососущих комаров ( Diptera , Culicidae ) на северо-западе России: виды рода Aedes meigen // Энтомол. обозр. 2021. T. 100. С. 755‒796. https://doi.org/10.31857/S0367144521040055
- Baig D. N., Mehnaz S. Determination, and distribution of cry-type genes in halophilc Bacillus thuringiensis isolates of Arabian Sea sedimentary rocks // Microbiol. Res. 2010. V. 165. P. 376–383. https://doi.org/10.1016/j.micres.2009.08.003
- Becker N. Ice granules containing endotoxins of microbial agents for the control of mosquito larvae ‒ a new application technique // J. Am. Mosq. Control Assoc. 2003. V. 19. P. 63–66.
- Ben-Dov E., Zaritsky A., Dahan E., Barak Z., Sinai R., Manasherob R., Khamraev A., Troitskaya E., Dubitsky A., Berezina N., Margalith Y. Extended screening by PCR for seven cry-group genes from field-collected strains of Bacillus thuringiensis // Appl. Environ. Microbiol. 1997. V. 63. P. 4883–4890. https://doi.org/10.1128/aem.63.12.4883-4890.1997
- Ben-Dov E. Bacillus thuringiensis subsp. israelensis and its dipteran-specific toxins // Toxins. 2014. V. 6. P. 222–1243. https://doi.org/10.3390/toxins6041222
- Bravo A., Gill S. S., Soberón M. Mode of action of Bacillus thuringiensis toxins and their potential for insect control // Toxicon. 2007. V. 49. P. 423–435. https://doi.org/10.1016/j.toxicon.2006.11.022
- Bravo A., Likitvivatanavong S., Gill S. S., Soberón M. Bacillus thuringiensis : a story of a successful bioinsecticide // Insect Biochem. Mol. Biol. 2011. V. 41. P. 423–431. https://doi.org/10.1016/j.ibmb.2011.02.006
- Canton P. E., Reyes E. Z., de Escudero I. R., Bravo A., Soberon M. Binding of Bacillus thuringiensis subsp. israelensis Cry4Ba to Cyt1Aa has an important role in synergism // Peptides. 2011. V. 32. P. 595–600.
- Chertkova E., Kabilov M. R., Yaroslavtseva O., Polenogova O., Kosman E., Sidorenko D., Alikina T., Noskov Y., Krivopalov A., Glupov V. V., Kryukov V.Yu. Links between soil bacteriobiomes and fungistasis toward fungi infecting the colorado potato beetle // Microorganisms. 2023. V. 11. Art. 943. https://doi.org/10.3390/microorganisms11040943
- Crickmore N., Bone E. J., Willians J. A., Ellar D. J. Contribution of the individual components of the δ-endotoxin crystal to the mosquitocidal activity of Bacillus thuringiensis subsp. israelensis // FEMS Microbiol. Lett. 1995. V. 131. P. 249–254.
- De Barjac H., Bonnefoi A. Essai de classification biochimique et sérologique de 24 souches de Bacillus de type B. thuringiensis // Entomophaga. 1962. V. 1. P. 5–31.
- De Barjac H., Bonnefoi A. Mise au point sur la classification des Bacillus thuringiensis // Entomophaga. 1973. V. 18. P. 5–17.
- De Maagd R. A., Bravo A., Crickmore N. How Bacillus thuringiensis has evolved specific toxins to colonize the insect world // Trends Genet. 2001. V. 17. P. 193–199. https://doi.org/10.1016/S0168-9525(01)02237-5
- De Maagd R. A., Bravo A., Berry C., Crickmore N., Schnepf H. E. Structure, diversity, and evolution of protein toxins from spore-forming entomopathogenic bacteria // Annu. Rev. Genet. 2003. V. 37. P. 409–433. https://doi.org/10.1146/annurev.genet.37.110801.143042
- Federici B. A., Lüthy P., Ibarra J. E. Parasporal body of Bacillus thuringiensis israelensis : structure, protein composition, and toxicity // Bacterial control of mosquitoes & black flies. Biochemistry, genetics & applications of Bacillus thuringiensis israelensis and Bacillus sphaericus / Eds. H. de Barjac, D.J. Sutherland. London, UK: Unwin Hyman, 1990. P. 16–44.
- Federici B. A., Park H.-W., Sakano Y. Insecticidal Protein Crystals of Bacillus thuringiensis // Inclusions in Prokaryotes/ Ed. Shively J. M. Springer-Verlag, Berlin, Heidelberg, 2006. Р. 195-235. https://doi.org/10.1007/3-540-33774-1_8
- Fernández-Chapa D., Ramírez-Villalobos J., Galán-Wong L. Toxic potential of Bacillus thuringiensis : an overview. Protecting rice grains in the post-genomic era. IntechOpen, 2019. https://doi.org/10.5772/intechopen.85756
- González-Villarreal S.E., García-Montelongo M., Ibarra J. E. Insecticidal activity of a Cry1Ca toxin of Bacillus thuringiensis Berliner ( Firmicutes : Bacillaceae ) and its synergism with the Cyt1Aa toxin against Aedes aegypti ( Diptera : Culicidae ) // J. Med. Entomol. 2020. V. 57. P. 1852–1856.
- Höfte H., Whiteley H. R. Insecticidal crystal proteins of Bacillus thuringiensis // Microbiol. Rev. 1989. V. 53. P. 242–255. https://doi.org/10.1128/mr.53.2.242-255.1989
- Ibarra J. E., del Rincón M. C., Ordúz S., Noriega D., Benintende G., Monnerat R., Regis L., de Oliveira C. M., Lanz H., Rodriguez M. H., Sánchez J., Peña G., Bravo A. Diversity of Bacillus thuringiensis strains from Latin America with insecticidal activity against different mosquito species / / Appl. Environ. Microbiol. 2003. V. 69. P. 5269–5274. https://doi.org/10.1128/AEM.69.9.5269-5274
- Ishii T., Ohba M. The 23-kilodalton CytB protein is solely responsible for mosquito larvicidal activity of Bacillus thuringiensis serovar kyushuensis // Curr. Microbiol. 1994. V. 29. P. 91–94. https://doi.org/10.1007/BF01575754
- García-Suárez R., Verduzco-Rosas L. A, Ibarra J. E. Isolation and characterization of two highly insecticidal, endophytic strains of Bacillus thuringiensis // FEMS Microbiol. Ecol. 2021. V. 97. Art. fiab080. https://doi.org/10.1093/femsec/fiab080
- Kumar P., Kamle M., Borah R., Kumar D. K., Sharma B. Bacillus thuringiensis as microbial biopesticide: uses and application for sustainable agriculture // Egypt. J. Biol. Pest Control. 2021. V. 31. Art. 95. https://doi.org/10.1186/s41938-021-00440-3
- Lai L., Villanueva M., Muruzabal-Galarza A., Fernández A. B., Unzue A., Toledo-Arana A., Caballero P., Caballero C. J. Bacillus thuringiensis Cyt proteins as enablers of activity of Cry and Tpp toxins against Aedes albopictus // Toxins. 2023. V. 15. Art. 211. https://doi.org/10.3390/toxins15030211
- Laemmli U. K. Cleavage of structural proteins during the assembly of the head of bacteriophage // Nature. 1970. V. 227. P. 680–685.
- Liu H. M., Yang P. P., Cheng P., Wang H. F., Liu L. J., Huang X., Zhao Y. Q., Wang H. W., Zhang C. X., Gong M. Q. Resistance level of mosquito species ( Diptera : Culicidae ) from Shandong Province, China // Int. J. Insect Sci. 2015. V. 7. P. 47–52. https://doi.org/10.4137/IJIS.S24232
- Ma X., Hu J., Ding C., Portieles R., Xu H., Gao J., Du L., Gao X., Yue Q., Zhao L., Borrás-Hidalgo O. New native Bacillus thuringiensis strains induce high insecticidal action against Culex pipiens pallens larvae and adults // BMC Microbiol. 2023. V. 23. P. 100. https://doi.org/10.1186/s12866-023-02842-9
- Manasherob R., Itsko M., Sela-Baranes N., Ben-Dov E., Berry C., Cohen S., Zaritsky A. Cyt1 Ca from Bacillus thuringiensis subsp. israelensis : production in Escherichia coli and comparison of its biological activities with those of other Cyt-like proteins // Microbiology (Reading). 2006. V. 152. P. 2651–2659.
- McClintock J.T., Schaffer C. R., Sjoblad R. D. A comparative review of the mammalian toxicity of Bacillus thuringiensis -based pesticides // Pestic. Sci. 1995. V. 45. P. 95–105.
- Mishra P. K., Bisht S. C., Ruwari P., Subbanna A. R.N.S., Bisht K., Bhatt J., Gupta H. S. Genetic diversity and functional characterization of endophytic Bacillus thuringiensis isolates from the North Western Indian Himalayas // Ann. Microbiol. 2017. V. 67. P. 143–155. https://doi.org/10.1007/s13213-016-1244-0
- Onen H., Luzala M. M., Kigozi S., Sikumbili R. M., Muanga C.-J.K., Zola E. N., Wendji S. N., Buya A. B., Bal ciunaitiene A., Viškelis J., Kaddumukasa M. A., Memvanga P. B. Mosquito-borne diseases and their control strategies: an overview focused on green synthesized plant-based metallic nanoparticles // Insects. 2023. V. 14. Art. 221. https://doi.org/10.3390/insects14030221
- Orduz S., Diaz T., Restrepo N., Patiño M. M., Tamayo M. C. Biochemical, immunological and toxicological characteristics of the crystal proteins of Bacillus thuringiensis subsp. medellin // Mem. Inst. Oswaldo Cruz. 1996. V. 91. P. 231–237. https://doi.org/10.1590/S0074-02761996000200020
- Pérez C., Fernandez L. E., Sun J., Folch J. L., Gill S. S., Soberón M., Bravo A. Bacillus thuringiensis subsp. israelensis Cyt1Aa synergizes Cry11Aa toxin by functioning as a membrane-bound receptor // Proc. Nat. Acad. Sci. USA. 2005. V. 102. P. 18303‒18308.
- Raymond B., Johnston P. R., Nielsen-LeRoux C., Lereclus D., Crickmore N. Bacillus thuringiensis : An impotent pathogen? // Trends Microbiol. 2010. V. 18. P. 189–194. https://doi.org/10.1016/j.tim.2010.02.006
- Reyes-Ramirez A., Ibarra J. E. Fingerprinting of Bacillus thuringiensis type strains and isolates by using Bacillus cereus group specific repetitive extragenic palindromic sequence-based PCR analysis // Appl. Environ. Microbiol. 2005. V. 71. P. 1346–1355. https://doi.org/10.1128/AEM.71.3.1346-1355.2005
- Schnepf E., Crickmore N., Van Rie J., Lereclus D., Baum J., Feitelson J., Zeigler D. R., Dean D. H. Bacillus thuringiensis and its pesticidal crystal proteins // Microbiol. Mol. Biol. Rev. 1998. V. 62. P. 775–806. https://doi.org/10.1128/MMBR.62.3.775-806.1998
- Shishir A., Roy A., Islam N., Rahman A., Khan S. N., Hoq M. M. Abundance, and diversity of Bacillus thuringiensis in Bangladesh and their cry genes profile // Front. Environ. Sci. 2014. V. 2. Art. 20. https://doi.org/0.3389/fenvs.2014.00020
- Soares-da-Silva J., Queirós S. G., de Aguiar J. S., Viana J. L., Neta M. D.R.A.V., da Silva M. C., Pinheiro V. C.S., Polanczyk R. A., Carvalho-Zilse G.A., Tadei W. P. Molecular characterization of the gene profile of Bacillus thuringiensis Berliner isolated from brazilian ecosystems and showing pathogenic activity against mosquito larvae of medical importance // Acta Trop. 2017. V. 176. P. 197–205. https://doi.org/10.1016/j.actatropica.2017.08.006
- Sur B., Nigam N., Joshi A. K., Bihari V. Characterization of mosquito larvicidal Bacillus thuringiensis isolated from soils of India // Indian J. Biotechnol. 2003. V. 2. P. 268–270.
- Valtierra-de-Luis D., Villanueva M., Lai L., Williams T., Caballero P. Potential of Cry10Aa and Cyt2Ba, two minority δ-endotoxins produced by Bacillus thuringiensis ser. israelensis , for the control of Aedes aegypti larvae // Toxins. 2020. V. 12. Art. 355.
- Van Frankenhuyzen K . Cross-order and cross-phylum activity of Bacillus thuringiensis pesticidal proteins // J. Invert. Pathol. 2013. V. 114. P. 76–85. https://doi.org/10.1016/j.jip.2013.05.010
- Yan M., Roehrl M. H., Wang J. Y. Discovery of crystalline inclusions in Bacillus licheniformis that resemble parasporal crystals of Bacillus thuringiensis // Can. J. Microbiol. 2007. V. 53. P. 1111‒1115. https://doi.org/10.1139/W07-076
- Weisburg W. G., Barns S. M., Pelletier D. A., Lane D. J. 16s ribosomal DNA amplification for phylogenetic study // J. Bacteriol. 1991. V. 173. P. 697–703.
- Wu D., Cheng F. N. Synergism in mosquitocidal activity of 26 and 65 kDa proteins from Bacillus thuringiensis subsp. israelensis crystal // FEBS Lett. 1985. V. 190. P. 232–236. https://doi.org/10.1016/0014-5793(85)81290-4
Дополнительные файлы





