APPswe/PS1dE9/Blg Transgenic Mouse Line for Modeling Cerebral Amyloid Angiopathy in Alzheimer’s Disease
- Autores: Lysikova E.A.1, Kuzubova E.V.2, Radchenko A.I.2, Patrakhanov E.A.2, Chaprov K.D.1,2, Korokin .V.2, Deykin A.V.2, Gudyrev O.S.2, Pokrovskii M.V.2
-
Afiliações:
- Institute of Physiologically Active Compounds, Russian Academy of Sciences
- Belgorod State University
- Edição: Volume 57, Nº 1 (2023)
- Páginas: 85-94
- Seção: ГЕНОМИКА. ТРАНСКРИПТОМИКА
- URL: https://medbiosci.ru/0026-8984/article/view/138601
- DOI: https://doi.org/10.31857/S0026898423010081
- EDN: https://elibrary.ru/AXGEVN
- ID: 138601
Citar
Texto integral
Resumo
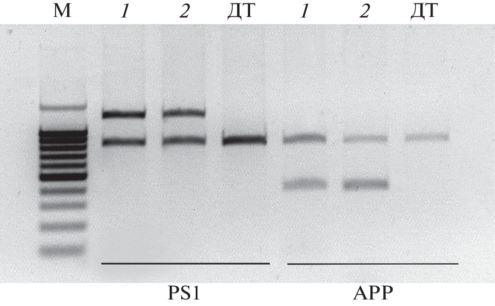
Alzheimer’s disease (AD) is the most common proteinopathy, which is accompanied by a steady decrease in the patient’s cognitive functions with simultaneous accumulation of extracellular aggregates of amyloid β (Aβ) – amyloid plaques in the brain tissues and associated with neuroinflammation and neurodegeneration. Unlike humans and all other mammals, rats and mice have three amino acid substitutions in Aβ and do not reproduce the Alzheimer’s pathology. However, the appearance of amyloid plaques is observed in the brains of transgenic mice with the overexpression of human Aβ, which makes it possible to widely use these transgenic animals in biomedicine for the manifestation of AD. Transgenic mouse line APPswe/PS1dE9 is a widely used animal model for the study of the molecular mechanisms of AD. In this paper we provide a detailed description of the APPswe/PS1dE9/Blg subline of animals obtained by crossing APPswe/PS1dE9 mice on a CH3 genetic background with C57Bl6/Chg animals. We have shown no difference in parameters of offspring’s survival and fertility of this line compared to wild-type control animals. Histological analysis of the brain of APPswe/PS1dE9/Blg line confirmed the main neuromorphological feature of AD with the progression in number and size of amyloid plaques during aging. Thus, APPswe/PS1dE9/Blg line is a convenient model in the search for therapeutic strategies for AD.
Palavras-chave
Sobre autores
E. Lysikova
Institute of Physiologically Active Compounds, Russian Academy of Sciences
Autor responsável pela correspondência
Email: lysikova.ipac@gmail.com
Russia, 142432, Chernogolovka
E. Kuzubova
Belgorod State University
Email: lysikova.ipac@gmail.com
Russia, 308015, Belgorod
A. Radchenko
Belgorod State University
Email: lysikova.ipac@gmail.com
Russia, 308015, Belgorod
E. Patrakhanov
Belgorod State University
Email: lysikova.ipac@gmail.com
Russia, 308015, Belgorod
K. Chaprov
Institute of Physiologically Active Compounds, Russian Academy of Sciences; Belgorod State University
Email: lysikova.ipac@gmail.com
Russia, 142432, Chernogolovka; Russia, 308015, Belgorod
M. Korokin
Belgorod State University
Email: lysikova.ipac@gmail.com
Russia, 308015, Belgorod
A. Deykin
Belgorod State University
Email: lysikova.ipac@gmail.com
Russia, 308015, Belgorod
O. Gudyrev
Belgorod State University
Email: lysikova.ipac@gmail.com
Russia, 308015, Belgorod
M. Pokrovskii
Belgorod State University
Email: lysikova.ipac@gmail.com
Russia, 308015, Belgorod
Bibliografia
- Konttinen H., Cabral-da-Silva M.E.C., Ohtonen S., Wojciechowski S., Shakirzyanova A., Caligola S., Giugno R., Ishchenko Y., Hernandez D., Fazaludeen M.F., Eamen S., Budia M.G., Fagerlund I., Scoyni F., Korhonen P., Huber N., Haapasalo A., Hewitt A.W., Vickers J., Smith G.C., Oksanen M., Graff C., Kanninen K.M., Lehtonen S., Propson N., Schwartz M.P., Pebay A., Koistinaho J., Ooi L., Malm T. (2019) PSEN1DeltaE9, APPswe, and APOE4 confer disparate phenotypes in human iPSC-derived microglia. Stem. Cell Rep. 13, 669–683.
- Шелковникова Т.А., Куликова А.А., Цветков Ф.О., Peters O., Бачурин С.О., Бухман В.Л., Нинкина Н.Н. (2012) Протеинопатии – формы нейродегенеративных заболеваний, в основе которых лежит патологическая агрегация белков. Молекуляр. биология. 46, 402–415.
- Masters C.L., Bateman R., Blennow K., Rowe C.C., Sperling R.A., Cummings J.L. (2015) Alzheimer’s disease. Nat. Rev. Dis. Primers. 1, 15056.
- Kozin S.A., Cheglakov I.B., Ovsepyan A.A., Telegin G.B., Tsvetkov P.O., Lisitsa A.V., Makarov A.A. (2013) Peripherally applied synthetic peptide isoAsp7-Abeta(1-42) triggers cerebral beta-amyloidosis. Neurotoxicity Res. 24, 370–376.
- Evin G., Li Q.X. (2012) Platelets and Alzheimer’s disease: potential of APP as a biomarker. W. J. Psychiatry. 2, 102–113.
- Vetrivel K.S., Thinakaran G. (2006) Amyloidogenic processing of beta-amyloid precursor protein in intracellular compartments. Neurology. 66, S69–73.
- De Strooper B., Annaert W. (2010) Novel research horizons for presenilins and gamma-secretases in cell biology and disease. Annu. Rev. Cell. Dev. Biol. 26, 235–260.
- Manczak M., Kandimalla R., Yin X., Reddy P.H. (2018) Hippocampal mutant APP and amyloid beta-induced cognitive decline, dendritic spine loss, defective autophagy, mitophagy and mitochondrial abnormalities in a mouse model of Alzheimer’s disease. Hum. Mol. Genet. 27, 1332–1342.
- Pan J.X., Sun D., Lee D., Xiong L., Ren X., Guo H.H., Yao L.L., Lu Y., Jung C., Xiong W.C. (2021) Osteoblastic Swedish mutant APP expedites brain deficits by inducing endoplasmic reticulum stress-driven senescence. Commun. Biol. 4, 1326.
- Татарникова О.Г., Орлов М.А., Бобкова Н.В. (2015) Бета-амилоид и тау-белок: структура, взаимодействие и прионоподобные свойства. Успехи биол. химии. 55, 351–390.
- Armstrong R.A. (2019) Risk factors for Alzheimer’s disease. Folia Neuropathol. 57, 87–105.
- Jankowsky J.L., Fadale D.J., Anderson J., Xu G.M., Gonzales V., Jenkins N.A., Copeland N.G., Lee M.K., Younkin L.H., Wagner S.L., Younkin S.G., Borchelt D.R. (2004) Mutant presenilins specifically elevate the levels of the 42 residue beta-amyloid peptide in vivo: evidence for augmentation of a 42-specific gamma secretase. Hum. Mol. Genet. 13, 159–170.
- Sasaguri H., Hashimoto S., Watamura N., Sato K., Takamura R., Nagata K., Tsubuki S., Ohshima T., Yoshiki A., Sato K., Kumita W., Sasaki E., Kitazume S., Nilsson P., Winblad B., Saito T., Iwata N., Saido T.C. (2022) Recent advances in the modeling of Alzheimer’s disease. Front. Neurosci. 16, 807473.
- Games D., Adams D., Alessandrini R., Barbour R., Borthelette P., Blackwell C., Carr T., Clemens J., Donaldson T., Gillespie F., Guido T., Hagopian S., Johnson-Wood K., Khan K., Lee M., Leibowitz P., Lieberburg I., Little S., Masliah E., McConlogue L., Montoya-Zavala M., Mucke L., Paganini L., Penniman E., Power M., Schenk D., Seubert P., Snyder B., Soriano F., Tan H., Vitale J., Wadsworth S., Wolozin B., Zhao J. (1995) Alzheimer-type neuropathology in transgenic mice overexpressing V717F beta-amyloid precursor protein. Nature. 373, 523–527.
- Kuo Y.M., Beach T.G., Sue L.I., Scott S., Layne K.J., Kokjohn T.A., Kalback W.M., Luehrs D.C., Vishnivetskaya T.A., Abramowski D., Sturchler-Pierrat C., Staufenbiel M., Weller R.O., Roher A.E. (2001) The evolution of A beta peptide burden in the APP23 transgenic mice: implications for A beta deposition in Alzheimer disease. Mol. Med. 7, 609–618.
- Hsiao K., Chapman P., Nilsen S., Eckman C., Harigaya Y., Younkin S., Yang F., Cole G. (1996) Correlative memory deficits, Abeta elevation, and amyloid plaques in transgenic mice. Science. 274, 99–102.
- Davis J., Xu F., Deane R., Romanov G., Previti M.L., Zeigler K., Zlokovic B.V., Van Nostrand W.E. (2004) Early-onset and robust cerebral microvascular accumulation of amyloid beta-protein in transgenic mice expressing low levels of a vasculotropic Dutch/Iowa mutant form of amyloid beta-protein precursor. J. Biol. Chem. 279, 20296–20306.
- Oddo S., Caccamo A., Shepherd J.D., Murphy M.P., Golde T.E., Kayed R., Metherate R., Mattson M.P., Akbari Y., LaFerla F.M. (2003) Triple-transgenic model of Alzheimer’s disease with plaques and tangles: intracellular Abeta and synaptic dysfunction. Neuron. 39, 409–421.
- Jankowsky J.L., Slunt H.H., Ratovitski T., Jenkins N.A., Copeland N.G., Borchelt D.R. (2001) Co-expression of multiple transgenes in mouse CNS: a comparison of strategies. Biomol. Engin. 17, 157–165.
- Oakley H., Cole S.L., Logan S., Maus E., Shao P., Craft J., Guillozet-Bongaarts A., Ohno M., Disterhoft J., Van Eldik L., Berry R., Vassar R. (2006) Intraneuronal beta-amyloid aggregates, neurodegeneration, and neuron loss in transgenic mice with five familial Alzheimer’s disease mutations: potential factors in amyloid plaque formation. J. Neurosci. 26, 10129–10140.
- Mucke L., Masliah E., Yu G.Q., Mallory M., Rockenstein E.M., Tatsuno G., Hu K., Kholodenko D., Johnson-Wood K., McConlogue L. (2000) High-level neuronal expression of abeta 1–42 in wild-type human amyloid protein precursor transgenic mice: synaptotoxicity without plaque formation. J. Neurosci. 20, 4050–4058.
- Radde R., Bolmont T., Kaeser S.A., Coomaraswamy J., Lindau D., Stoltze L., Calhoun M.E., Jaggi F., Wolburg H., Gengler S., Haass C., Ghetti B., Czech C., Holscher C., Mathews P.M., Jucker M. (2006) Abeta42-driven cerebral amyloidosis in transgenic mice reveals early and robust pathology. EMBO Rep. 7, 940–946.
- Holcomb L., Gordon M.N., McGowan E., Yu X., Benkovic S., Jantzen P., Wright K., Saad I., Mueller R., Morgan D., Sanders S., Zehr C., O’Campo K., Hardy J., Prada C.M., Eckman C., Younkin S., Hsiao K., Duff K. (1998) Accelerated Alzheimer-type phenotype in transgenic mice carrying both mutant amyloid precursor protein and presenilin 1 transgenes. Nat. Med. 4, 97–100.
- Kurt M.A., Davies D.C., Kidd M., Duff K., Rolph S.C., Jennings K.H., Howlett D.R. (2001) Neurodegenerative changes associated with beta-amyloid deposition in the brains of mice carrying mutant amyloid precursor protein and mutant presenilin-1 transgenes. Exp. Neurol. 171, 59–71.
- McGowan E., Sanders S., Iwatsubo T., Takeuchi A., Saido T., Zehr C., Yu X., Uljon S., Wang R., Mann D., Dickson D., Duff K. (1999) Amyloid phenotype characterization of transgenic mice overexpressing both mutant amyloid precursor protein and mutant presenilin 1 transgenes. Neurobiol. Dis. 6, 231–244.
- Toda T., Noda Y., Ito G., Maeda M., Shimizu T. (2011) Presenilin-2 mutation causes early amyloid accumulation and memory impairment in a transgenic mouse model of Alzheimer’s disease. J. Biomed. Biotechnol. 2011, 617974.
- Rockenstein E., Mallory M., Mante M., Sisk A., Masliaha E. (2001) Early formation of mature amyloid-beta protein deposits in a mutant APP transgenic model depends on levels of Abeta(1-42). J. Neurosci. Res. 66, 573–582.
- Platt B., Drever B., Koss D., Stoppelkamp S., Jyoti A., Plano A., Utan A., Merrick G., Ryan D., Melis V., Wan H., Mingarelli M., Porcu E., Scrocchi L., Welch A., Riedel G. (2011) Abnormal cognition, sleep, EEG and brain metabolism in a novel knock-in Alzheimer mouse, PLB1. PloS One. 6, e27068.
- Saito T., Matsuba Y., Mihira N., Takano J., Nilsson P., Itohara S., Iwata N., Saido T.C. (2014) Single App knock-in mouse models of Alzheimer’s disease. Nat. Neurosci. 17, 661–663.
- Sato K., Watamura N., Fujioka R., Mihira N., Sekiguchi M., Nagata K., Ohshima T., Saito T., Saido T.C., Sasaguri H. (2021) A third-generation mouse model of Alzheimer’s disease shows early and increased cored plaque pathology composed of wild-type human amyloid beta peptide. J. Biol. Chem. 297, 101004.
- Jankowsky J.L., Xu G., Fromholt D., Gonzales V., Borchelt D.R. (2003) Environmental enrichment exacerbates amyloid plaque formation in a transgenic mouse model of Alzheimer disease. J. Neuropathol. Exp. Neurol. 62, 1220–1227.
- Lysikova E.A., Kukharsky M.S., Chaprov K.D., Vasilieva N.A., Roman A.Y., Ovchinnikov R.K., Deykin A.V., Ninkina N., Buchman V.L. (2019) Behavioural impairments in mice of a novel FUS transgenic line recapitulate features of frontotemporal lobar degeneration. Genes Brain Behavior. 18, e12607.
- D'Angelo C., Costantini E., Salvador N., Marchioni M., Di Nicola M., Greig N.H., Reale M. (2021) nAChRs gene expression and neuroinflammation in APPswe/PS1dE9 transgenic mouse. Sci. Rep. 11, 9711.
- Kuhla A., Ruhlmann C., Lindner T., Polei S., Hadlich S., Krause B.J., Vollmar B., Teipel S.J. (2017) APPswe/PS1dE9 mice with cortical amyloid pathology show a reduced NAA/Cr ratio without apparent brain atrophy: a MRS and MRI study. Neuroimage Clin. 15, 581–586.
- Pezzini A., Del Zotto E., Volonghi I., Giossi A., Costa P., Padovani A. (2009) Cerebral amyloid angiopathy: a common cause of cerebral hemorrhage. Curr. Med. Chem. 16, 2498–2513.
- Tsvetkov P.O., Cheglakov I.B., Ovsepyan A.A., Mediannikov O.Y., Morozov A.O., Telegin G.B., Kozin S.A. (2015) Peripherally applied synthetic tetrapeptides HAEE and RADD slow down the development of cerebral beta-amyloidosis in AbetaPP/PS1 transgenic mice. J. Alzheimer’s Dis. 46, 849–853.
- Kozin S.A., Barykin E.P., Telegin G.B., Chernov A.S., Adzhubei A.A., Radko S.P., Mitkevich V.A., Makarov A.A. (2018) Intravenously injected amyloid-beta peptide with isomerized Asp7 and phosphorylated Ser8 residues inhibits cerebral beta-amyloidosis in AbetaPP/PS1 transgenic mice model of Alzheimer’s disease. Front. Neurosci. 12, 518.
- Barykin E.P., Petrushanko I.Y., Kozin S.A., Telegin G.B., Chernov A.S., Lopina O.D., Radko S.P., Mitkevich V.A., Makarov A.A. (2018) Phosphorylation of the amyloid-beta peptide inhibits zinc-dependent aggregation, prevents Na,K-ATPase inhibition, and reduces cerebral plaque deposition. Front. Mol. Neurosci. 11, 302.
Arquivos suplementares





