Hepatitis C Virus Nonstructural Protein 3 Increases Secretion of Interleukin-1beta in HEK293T Cells with Reconstructed NLRP3 Inflammasome
- Authors: Latanova А.A.1, Tuchinskaya K.K.2, Starodubova E.S.1, Karpov V.L.1
-
Affiliations:
- Engelhardt Institute of Molecular Biology, Russian Academy of Sciences
- Сhumakov Federal Scientific Center for Research and Development of Immune-and-Biological Products (Institute of Poliomyelitis), Russian Academy of Sciences, pos. Institut Poliomyelita, poselenie Moskovskii
- Issue: Vol 57, No 5 (2023)
- Pages: 863-872
- Section: МОЛЕКУЛЯРНАЯ БИОЛОГИЯ КЛЕТКИ
- URL: https://medbiosci.ru/0026-8984/article/view/138698
- DOI: https://doi.org/10.31857/S0026898423050099
- EDN: https://elibrary.ru/RVPIUQ
- ID: 138698
Cite item
Full Text
Abstract
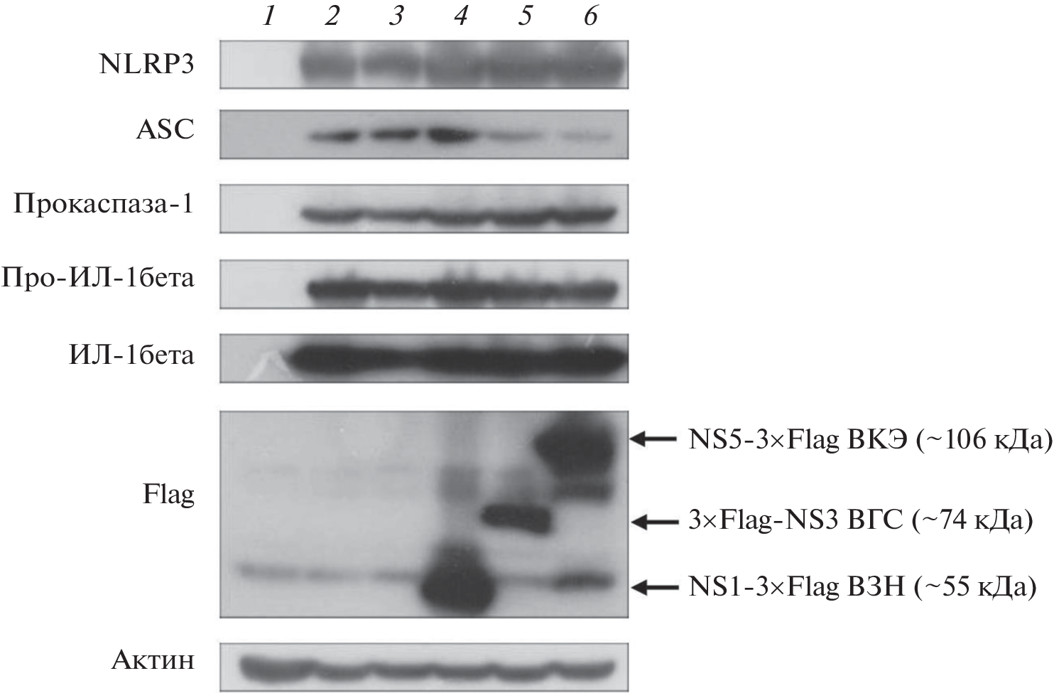
Infections caused by Flaviviridae pose a threat in the modern world. The pathology of diseases arising from these infections is largely determined by the development of systemic inflammation. The cytokines interleukin-1 beta and interleukin-18 play a key role in triggering inflammation. Their secretion from cells, in its turn, is induced upon activation of inflammasomes. Activation of NLRP3 (NLR family pyrin domain-containing 3) inflammasomes was detected in the cells infected with Flaviviridae. Some nonstructural proteins of these viruses have been shown to be able to activate or inhibit the NLRP3 inflammasome, in particular, through interaction with its components. In this study, the functional NLRP3 inflammasome was reconstructed in human HEK293T cells and the effect of some nonstructural proteins of individual Flaviviridae viruses on it was studied. This model did not reveal any impact of nonstructural proteins NS1 of West Nile virus, NS3 of hepatitis C virus, NS5 of tick-borne encephalitis virus on the inflammasome components content. At the same time, in the presence of the NS1 of the West Nile virus and NS5 of the tick-borne encephalitis virus, the level of secretion of interleukin-1 beta did not change, whereas in the presence of the NS3 protein of the hepatitis C virus, it increased by 1.5 times. Thus, NS3 can be considered as one of the factors of NLRP3 inflammasome activation and inflammatory pathogenesis in chronic hepatitis C virus infection.
About the authors
А. A. Latanova
Engelhardt Institute of Molecular Biology, Russian Academy of Sciences
Author for correspondence.
Email: aalatanova@gmail.com
Russia, 119991, Moscow
K. K. Tuchinskaya
Сhumakov Federal Scientific Center for Research and Development of Immune-and-Biological Products(Institute of Poliomyelitis), Russian Academy of Sciences, pos. Institut Poliomyelita,
poselenie Moskovskii
Email: aalatanova@gmail.com
Russia, 108811, Moscow
E. S. Starodubova
Engelhardt Institute of Molecular Biology, Russian Academy of Sciences
Email: aalatanova@gmail.com
Russia, 119991, Moscow
V. L. Karpov
Engelhardt Institute of Molecular Biology, Russian Academy of Sciences
Email: aalatanova@gmail.com
Russia, 119991, Moscow
References
- Franchi L., Warner N., Viani K., Nunez G. (2009) Function of Nod-like receptors in microbial recognition and host defense. Immunol. Rev. 227, 106‒128.
- Yang Y., Wang H., Kouadir M., Song H., Shi F. (2019) Recent advances in the mechanisms of NLRP3 inflammasome activation and its inhibitors. Cell Death Disease. 10, 128.
- Lu A., Li Y., Schmidt F.I., Yin Q., Chen S., Fu T.M., Tong A.B., Ploegh H.L., Mao Y., Wu H. (2016) Molecular basis of caspase-1 polymerization and its inhibition by a new capping mechanism. Nat. Struct. Mol. Biol. 23, 416‒425.
- Malik A., Kanneganti T.D. (2017) Inflammasome activation and assembly at a glance. J. Cell Sci. 130, 3955‒3963.
- Swanson K.V., Deng M., Ting J.P. (2019) The NLRP3 inflammasome: molecular activation and regulation to therapeutics. Nat. Rev. Immunol. 19, 477‒489.
- Gram A.M., Frenkel J., Ressing M.E. (2012) Inflammasomes and viruses: cellular defence versus viral offence. J. General Virol. 93, 2063‒2075.
- Cai X., Chen J., Xu H., Liu S., Jiang Q.X., Halfmann R., Chen Z.J. (2014) Prion-like polymerization underlies signal transduction in antiviral immune defense and inflammasome activation. Cell. 156, 1207‒1222.
- Broz P., Dixit V.M. (2016) Inflammasomes: mechanism of assembly, regulation and signalling. Nat. Rev. Immunol. 16, 407‒420.
- Mangan M.S.J., Olhava E.J., Roush W.R., Seidel H.M., Glick G.D., Latz E. (2018) Targeting the NLRP3 inflammasome in inflammatory diseases. Nat. Rev. Drug Discovery. 17, 688.
- Rathinam V.A., Fitzgerald K.A. (2016) Inflammasome complexes: emerging mechanisms and effector functions. Cell. 165, 792‒800.
- He W.T., Wan H., Hu L., Chen P., Wang X., Huang Z., Yang Z.H., Zhong C.Q., Han J. (2015) Gasdermin D is an executor of pyroptosis and required for interleukin-1beta secretion. Cell. Res. 25, 1285‒1298.
- Shi J., Zhao Y., Wang K., Shi X., Wang Y., Huang H., Zhuang Y., Cai T., Wang F., Shao F. (2015) Cleavage of GSDMD by inflammatory caspases determines pyroptotic cell death. Nature. 526, 660‒665.
- Dinarello C.A., Novick D., Kim S., Kaplanski G. (2013) Interleukin-18 and IL-18 binding protein. Front. Immunol. 4, 289.
- Joosten L.A., Netea M.G., Dinarello C.A. (2013) Interleukin-1beta in innate inflammation, autophagy and immunity. Semin. Immunol. 25, 416‒424.
- Bauernfeind F.G., Horvath G., Stutz A., Alnemri E.S., MacDonald K., Speert D., Fernandes-Alnemri T., Wu J., Monks B.G., Fitzgerald K.A., Hornung V., Latz E. (2009) Cutting edge: NF-kappaB activating pattern recognition and cytokine receptors license NLRP3 inflammasome activation by regulating NLRP3 expression. J. Immunol. 183, 787‒791.
- Christgen S., Kanneganti T.D. (2020) Inflammasomes and the fine line between defense and disease. Curr. Opin. Immunol. 62, 39‒44.
- Afonina I.S., Zhong Z., Karin M., Beyaert R. (2017) Limiting inflammation-the negative regulation of NF-kappaB and the NLRP3 inflammasome. Nat. Immunol. 18, 861‒869.
- Lamkanfi M., Dixit V.M. (2014) Mechanisms and functions of inflammasomes. Cell. 157, 1013‒1022.
- Zhao C., Zhao W. (2020) NLRP3 inflammasome-A key player in antiviral responses. Front. Immunol. 11, 211.
- Latanova A., Starodubova E., Karpov V. (2022) Flaviviridae nonstructural proteins: the role in molecular mechanisms of triggering inflammation. Viruses. 14, 1808.
- He Z., Chen J., Zhu X., An S., Dong X., Yu J., Zhang S., Wu Y., Li G., Zhang Y., Wu J., Li M. (2018) NLRP3 Inflammasome activation mediates Zika virus-associated inflammation. J. Infect. Dis. 217, 1942‒1951.
- Wang W., Li G., De W., Luo Z., Pan P., Tian M., Wang Y., Xiao F., Li A., Wu K., Liu X., Rao L., Liu F., Liu Y., Wu J. (2018) Zika virus infection induces host inflammatory responses by facilitating NLRP3 inflammasome assembly and interleukin-1beta secretion. Nat. Commun. 9, 106.
- Zheng Y., Liu Q., Wu Y., Ma L., Zhang Z., Liu T., Jin S., She Y., Li Y.P., Cui J. (2018) Zika virus elicits inflammation to evade antiviral response by cleaving cGAS via NS1-caspase-1 axis. EMBO J. 37, e99347.
- Gim E., Shim D.W., Hwang I., Shin O.S., Yu J.W. (2019) Zika virus impairs host NLRP3-mediated inflammasome activation in an NS3-dependent manner. Immune Network. 19, e40.
- Shrivastava G., Visoso-Carvajal G., Garcia-Cordero J., Leon-Juarez M., Chavez-Munguia B., Lopez T., Nava P., Villegas-Sepulveda N., Cedillo-Barron L. (2020) Dengue virus serotype 2 and its non-structural proteins 2A and 2B activate NLRP3 inflammasome. Front. Immunol. 11, 352.
- Ramos H.J., Lanteri M.C., Blahnik G., Negash A., Suthar M.S., Brassil M.M., Sodhi K., Treuting P.M., Busch M.P., Norris P.J., Gale M., Jr. (2012) IL-1beta signaling promotes CNS-intrinsic immune control of West Nile virus infection. PLoS Pathogens. 8, e1003039.
- Chen W., Xu Y., Li H., Tao W., Xiang Y., Huang B., Niu J., Zhong J., Meng G. (2014) HCV genomic RNA activates the NLRP3 inflammasome in human myeloid cells. PLoS One. 9, e84953.
- Negash A.A., Ramos H.J., Crochet N., Lau D.T., Doehle B., Papic N., Delker D.A., Jo J., Bertoletti A., Hagedorn C.H., Gale M., Jr. (2013) IL-1beta production through the NLRP3 inflammasome by hepatic macrophages links hepatitis C virus infection with liver inflammation and disease. PLoS Pathogens. 9, e1003330.
- Shrivastava S., Mukherjee A., Ray R., Ray R.B. (2013) Hepatitis C virus induces interleukin-1beta (IL-1beta)/IL-18 in circulatory and resident liver macrophages. J. Virol. 87, 12284‒12290.
- Atrasheuskaya A.V., Fredeking T.M., Ignatyev G.M. (2003) Changes in immune parameters and their correction in human cases of tick-borne encephalitis. Clin. Exp. Immunol. 131, 148‒154.
- Isaguliants M.G., Petrakova N.V., Mokhonov V.V., Pokrovskaya K., Suzdaltzeva Y.G., Krivonos A.V., Zaberezhny A.D., Garaev M.M., Smirnov V.D., Nordenfelt E. (2003) DNA immunization efficiently targets conserved functional domains of protease and ATPase/helicase of nonstructural 3 protein (NS3) of human hepatitis C virus. Immunol. Lett. 88, 1‒13.
- Shi C.S., Nabar N.R., Huang N.N., Kehrl J.H. (2019) SARS-coronavirus open reading frame-8b triggers intracellular stress pathways and activates NLRP3 inflammasomes. Cell Death Discov. 5, 101.
- Chuang Y.T., Lin Y.C., Lin K.H., Chou T.F., Kuo W.C., Yang K.T., Wu P.R., Chen R.H., Kimchi A., Lai M.Z. (2011) Tumor suppressor death-associated protein kinase is required for full IL-1beta production. Blood. 117, 960‒970.
- Ito S., Hara Y., Kubota T. (2014) CARD8 is a negative regulator for NLRP3 inflammasome, but mutant NLRP3 in cryopyrin-associated periodic syndromes escapes the restriction. Arthritis Res. Therapy. 16, R52.
- Mao L., Kitani A., Hiejima E., Montgomery-Recht K., Zhou W., Fuss I., Wiestner A., Strober W. (2020) Bruton tyrosine kinase deficiency augments NLRP3 inflammasome activation and causes IL-1beta-mediated colitis. J. Clin. Investigation. 130, 1793‒1807.
- Zito G., Buscetta M., Cimino M., Dino P., Bucchieri F., Cipollina C. (2020) Cellular models and assays to study NLRP3 inflammasome biology. Int. J. Mol. Sci. 21, 4294.
- Coll R.C., Hill J.R., Day C.J., Zamoshnikova A., Boucher D., Massey N.L., Chitty J.L., Fraser J.A., Jennings M.P., Robertson A.A.B., Schroder K. (2019) MCC950 directly targets the NLRP3 ATP-hydrolysis motif for inflammasome inhibition. Nat. Chem. Biol. 15, 556‒559.
- Hafner-Bratkovic I., Susjan P., Lainscek D., Tapia-Abellan A., Cerovic K., Kadunc L., Angosto-Bazarra D., Pelegrin P., Jerala R. (2018) NLRP3 lacking the leucine-rich repeat domain can be fully activated via the canonical inflammasome pathway. Nat. Commun. 9, 5182.
- Vande Walle L., Stowe I.B., Sacha P., Lee B.L., D-emon D., Fossoul A., Van Hauwermeiren F., Saavedra P.H.V., Simon P., Subrt V., Kostka L., Stivala C.E., Pham V.C., Staben S.T., Yamazoe S., Konvalinka J., Kayagaki N., Lamkanfi M. (2019) MCC950/CRID3 potently targets the NACHT domain of wild-type NLRP3 but not disease-associated mutants for inflammasome inhibition. PLoS Biol. 17, e3000354.
- Wang W., Xiao F., Wan P., Pan P., Zhang Y., Liu F., Wu K., Liu Y., Wu J. (2017) EV71 3D protein binds with NLRP3 and enhances the assembly of inflammasome complex. PLoS Pathogens. 13, e1006123.
- Guffanti A.A., Davidson L.F., Mann T.M., Krulwich T.A. (1979) Nigericin-induced death of an acidophilic bacterium. J. Gen. Microbiol. 114, 201–206.
- Eytan G.D., Carlenor E., Rydstrom J. (1990) Energy-linked transhydrogenase. Effects of valinomycin and nigericin on the ATP-driven transhydrogenase reaction catalyzed by reconstituted transhydrogenase-ATPase vesicles. J. Biol. Chem. 265, 12949‒12954.
- Kongkaneramit L., Sarisuta N., Azad N., Lu Y., Iyer A.K., Wang L., Rojanasakul Y. (2008) Dependence of reactive oxygen species and FLICE inhibitory protein on lipofectamine-induced apoptosis in human lung epithelial cells. J. Pharmacol. Exp. Therapeutics. 325, 969‒977.
- Mo R.H., Zaro J.L., Ou J.H., Shen W.C. (2012) Effects of lipofectamine 2000/siRNA complexes on autophagy in hepatoma cells. Mol. Biotechnol. 51, 1‒8.
- Napoli E., Liu S., Marsilio I., Zarbalis K., Giulivi C. (2017) Lipid-based DNA/siRNA transfection agents disrupt neuronal bioenergetics and mitophagy. Biochem. J. 474, 3887‒3902.
- He J., Li T., Prochnicki T., Horvath G., Latz E., Takeoka S. (2019) Membrane fusogenic lysine type lipid assemblies possess enhanced NLRP3 inflammasome activation potency. Biochem. Biophys. Rep. 18, 100623.
- Li T., He J., Horvath G., Prochnicki T., Latz E., Takeoka S. (2018) Lysine-containing cationic liposomes activate the NLRP3 inflammasome: effect of a spacer between the head group and the hydrophobic moieties of the lipids. Nanomedicine: Nanotechnol. Biol. Med. 14, 279‒288.
- Zhong Z., Zhai Y., Liang S., Mori Y., Han R., Sutterwala F.S., Qiao L. (2013) TRPM2 links oxidative stress to NLRP3 inflammasome activation. Nat. Commun. 4, 1611.
- Elrefaey A.M.E., Hollinghurst P., Reitmayer C.M., Alphey L., Maringer K. (2021) Innate immune antagonism of mosquito-borne flaviviruses in humans and mosquitoes. Viruses. 13, 2116.
- Negash A.A., Olson R.M., Griffin S., Gale M., Jr. (2019) Modulation of calcium signaling pathway by hepatitis C virus core protein stimulates NLRP3 inflammasome activation. PLoS Pathogens. 15, e1007593.
- Chang S., Dolganiuc A., Szabo G. (2007) Toll-like receptors 1 and 6 are involved in TLR2-mediated macrophage activation by hepatitis C virus core and NS3 proteins. J. Leukocyte Biol. 82, 479‒487.
- Dolganiuc A., Kodys K., Kopasz A., Marshall C., Do T., Romics L., Jr., Mandrekar P., Zapp M., Szabo G. (2003) Hepatitis C virus core and nonstructural protein 3 proteins induce pro- and anti-inflammatory cytokines and inhibit dendritic cell differentiation. J. Immunol. 170, 5615‒5624.
- Rajalakshmy A.R., Malathi J., Madhavan H.N. (2015) Hepatitis C virus NS3 mediated microglial inflammation via TLR2/TLR6 MyD88/NF-kappaB pathway and Toll like receptor ligand treatment furnished immune tolerance. PLoS One. 10, e0125419.
- Rajalakshmy A.R., Malathi J., Madhavan H.N. (2014) HCV core and NS3 proteins mediate toll like receptor induced innate immune response in corneal epithelium. Exp. Eye Res. 128, 117–128.
- Martinez-Esparza M., Tristan-Manzano M., Ruiz-Alcaraz A.J., Garcia-Penarrubia P. (2015) Inflammatory status in human hepatic cirrhosis. World J. Gastroenterol. 21, 11522‒11541.
- Chattergoon M.A., Levine J.S., Latanich R., Osburn W.O., Thomas D.L., Cox A.L. (2011) High plasma interleukin-18 levels mark the acute phase of hepatitis C virus infection. J. Infectious Diseases. 204, 1730‒1740.
- Vecchiet J., Falasca K., Cacciatore P., Zingariello P., Dalessandro M., Marinopiccoli M., D’Amico E., Palazzi C., Petrarca C., Conti P., Pizzigallo E., Guagnano M.T. (2005) Association between plasma interleukin-18 levels and liver injury in chronic hepatitis C virus infection and non-alcoholic fatty liver disease. Ann. Clin. Lab. Sci. 35, 415‒422.
- Chattergoon M.A., Latanich R., Quinn J., Winter M.E., Buckheit R.W., 3rd, Blankson J.N., Pardoll D., Cox A.L. (2014) HIV and HCV activate the inflammasome in monocytes and macrophages via endosomal Toll-like receptors without induction of type 1 interferon. PLoS Pathogens. 10, e1004082.
- Ramachandran A., Kumar B., Waris G., Everly D. (2021) Deubiquitination and activation of the NLRP3 inflammasome by UCHL5 in HCV-infected cells. Microbiol. Spectrum. 9, e0075521.
- Farquhar M.J., McKeating J.A. (2008) Primary hepatocytes as targets for hepatitis C virus replication. J. Viral. Hepatitis. 15, 849‒854.
- Bureau C., Bernad J., Chaouche N., Orfila C., Beraud M., Gonindard C., Alric L., Vinel J.P., Pipy B. (2001) Nonstructural 3 protein of hepatitis C virus triggers an oxidative burst in human monocytes via activation of NADPH oxidase. J. Biol. Chem. 276, 23077‒23083.
- Pal S., Polyak S.J., Bano N., Qiu W.C., Carithers R.L., Shuhart M., Gretch D.R., Das A. (2010) Hepatitis C virus induces oxidative stress, DNA damage and modulates the DNA repair enzyme NEIL1. J. Gastroenterol. Hepatol. 25, 627‒634.
- Shah R., Ahovegbe L., Niebel M., Shepherd J., Thomson E.C. (2021) Non-epidemic HCV genotypes in low- and middle-income countries and the risk of resistance to current direct-acting antiviral regimens. J. Hepatol. 75, 462‒473.
- Polaris Observatory H.C.V.C. (2017) Global prevalence and genotype distribution of hepatitis C virus infection in 2015: a modelling study. Lancet. Gastroenterol. Hepatol. 2, 161‒176.
- Webster G., Barnes E., Brown D., Dusheiko G. (2000) HCV genotypes‒role in pathogenesis of disease and response to therapy. Baillieres Best Pract. Res. Clin. Gastroenterol. 14, 229‒240.
- Liu G., Cai Q., Li Z., Shao X., Luo Q., Zhang X., Zhao Z. (2016) Effect of drug resistance mutations on antiviral agents in HCV patients. Antiviral. Therapy. 21, 369‒375.
- Petruzziello A., Marigliano S., Loquercio G., Cozzolino A., Cacciapuoti C. (2016) Global epidemiology of hepatitis C virus infection: an up-date of the distribution and circulation of hepatitis C virus genotypes. World J. Gastroenterol. 22, 7824‒7840.
- Irshad M., Mankotia D.S., Irshad K. (2013) An insight into the diagnosis and pathogenesis of hepatitis C virus infection. World J. Gastroenterol. 19, 7896‒7909.
- Yamane D., McGivern D.R., Masaki T., Lemon S.M. (2013) Liver injury and disease pathogenesis in chronic hepatitis C. Curr. Topics Microbiol. Immunol. 369, 263‒288.
- Mondelli M.U., Silini E. (1999) Clinical significance of hepatitis C virus genotypes. J. Hepatol. 31(Suppl 1), 65‒70.
- Lanciotti R.S., Lambert A.J., Holodniy M., Saavedra S., Signor Ldel C. (2016) Phylogeny of Zika virus in Western Hemisphere, (2015) Emerging Infect. Dis. 22, 933‒935.
- Shao Q., Herrlinger S., Zhu Y.N., Yang M., Goodfellow F., Stice S.L., Qi X.P., Brindley M.A., Chen J.F. (2017) The African Zika virus MR-766 is more virulent and causes more severe brain damage than current Asian lineage and dengue virus. Development. 144, 4114‒4124.
- Dowall S.D., Graham V.A., Hewson R. (2020) Lineage-dependent differences of Zika virus infection in a susceptible mouse model are associated with different profiles of cytokines, chemokines, growth factors and acute phase proteins. Cytokine. 125, 154864.
- Mundim A., de Castro F.O.F., Albuquerque M.B.B., Vilanova-Costa C., Pfrimer I.A.H., Silva A. (2020) Major mutations in the NS3 gene region of hepatitis C virus related to the resistance to direct acting antiviral drugs: a systematic review. Virus. Dis. 31, 220‒228.
- Sagnelli E., Starace M., Minichini C., Pisaturo M., Macera M., Sagnelli C., Coppola N. (2018) Resistance detection and re-treatment options in hepatitis C virus-related chronic liver diseases after DAA-treatment failure. Infection. 46, 761‒783.
- Lanini S., Scognamiglio P., Mecozzi A., Lombardozzi L., Vullo V., Angelico M., Gasbarrini A., Taliani G., Attili A.F., Perno C.F., De Santis A., Puro V., Cerqua F., D’Offizi G., Pellicelli A., Armignacco O., Mennini F.S., Siciliano M., Girardi E., Panella V., Ippolito G., members of the Lazio Region H.C.V.t.g. (2018) Impact of new DAA therapy on real clinical practice: a multicenter region-wide cohort study. BMC Infect. Dis. 18, 223.
- Bradshaw D., Mbisa J.L., Geretti A.M., Healy B.J., Cooke G.S., Foster G.R., Thomson E.C., McLauchlan J., Agarwal K., Sabin C., Mutimer D., Moss P., Irving W.L., Barnes E., Hepatitis C Trust U.K. (2019) Consensus recommendations for resistance testing in the management of chronic hepatitis C virus infection: Public Health England HCV Resistance Group. J. Infection. 79, 503‒512.
- Costa V.D., Pellegrini P., Rotman V., Pittella A.M., Nunes E.P., Lago B.V., Lampe E., Mello F.C.A. (2019) Resistance mutations A30K and Y93N associated with treatment failure with sofosbuvir and daclatasvir for hepatitis C virus infection non-responder patients: case reports. Viruses. 11, 1004.
- Sarrazin C. (2021) Treatment failure with DAA therapy: importance of resistance. J. Hepatol. 74, 1472‒1482.
- Paolucci S., Novazzi F., Piralla A., Maserati R., Gulminetti R., Novati S., Barbarini G., Sacchi P., Fratini A., Bellotti L., Baldanti F. (2019) Viral dynamics among HCV infected patients with different genotypes treated with genotypic specific or pan-genotypic direct-acting antiviral agent combinations. Infect. Drug Resist. 12, 1975‒1984.
- Schwerk J., Negash A., Savan R., Gale M., Jr. (2021) Innate immunity in hepatitis C virus infection. Cold Spring Harb. Perspect. Med. 11, a036988.
- Welsch C., Efinger M., von Wagner M., Herrmann E., Zeuzem S., Welzel T.M., Lange C.M. (2017) Ongoing liver inflammation in patients with chronic hepatitis C and sustained virological response. PLoS One. 12, e0171755.
Supplementary files




