The Thymic Hormone Thymosin-1 α Reduces the Pro-Inflammatory Response of RAW 264.7 Cells Induced by Endotoxin
- Авторлар: Novoselova E.G.1, Glushkova O.V.1, Khrenov M.O.1, Lunin S.M.1, Sharapov M.G.1, Goncharov R.G.1, Mubarakshina E.K.1, Novoselova T.V.1, Parfenyuk S.B.1
-
Мекемелер:
- Institute of Cell Biophysics, Russian Academy of Sciences
- Шығарылым: Том 57, № 6 (2023)
- Беттер: 1006-1016
- Бөлім: МОЛЕКУЛЯРНЫЕ МЕХАНИЗМЫ РЕДОКС-РЕГУЛЯЦИИ ПРИ ВОСПАЛЕНИИ
- URL: https://medbiosci.ru/0026-8984/article/view/231945
- DOI: https://doi.org/10.31857/S0026898423060125
- EDN: https://elibrary.ru/QGCMUF
- ID: 231945
Дәйексөз келтіру
Толық мәтін
Аннотация
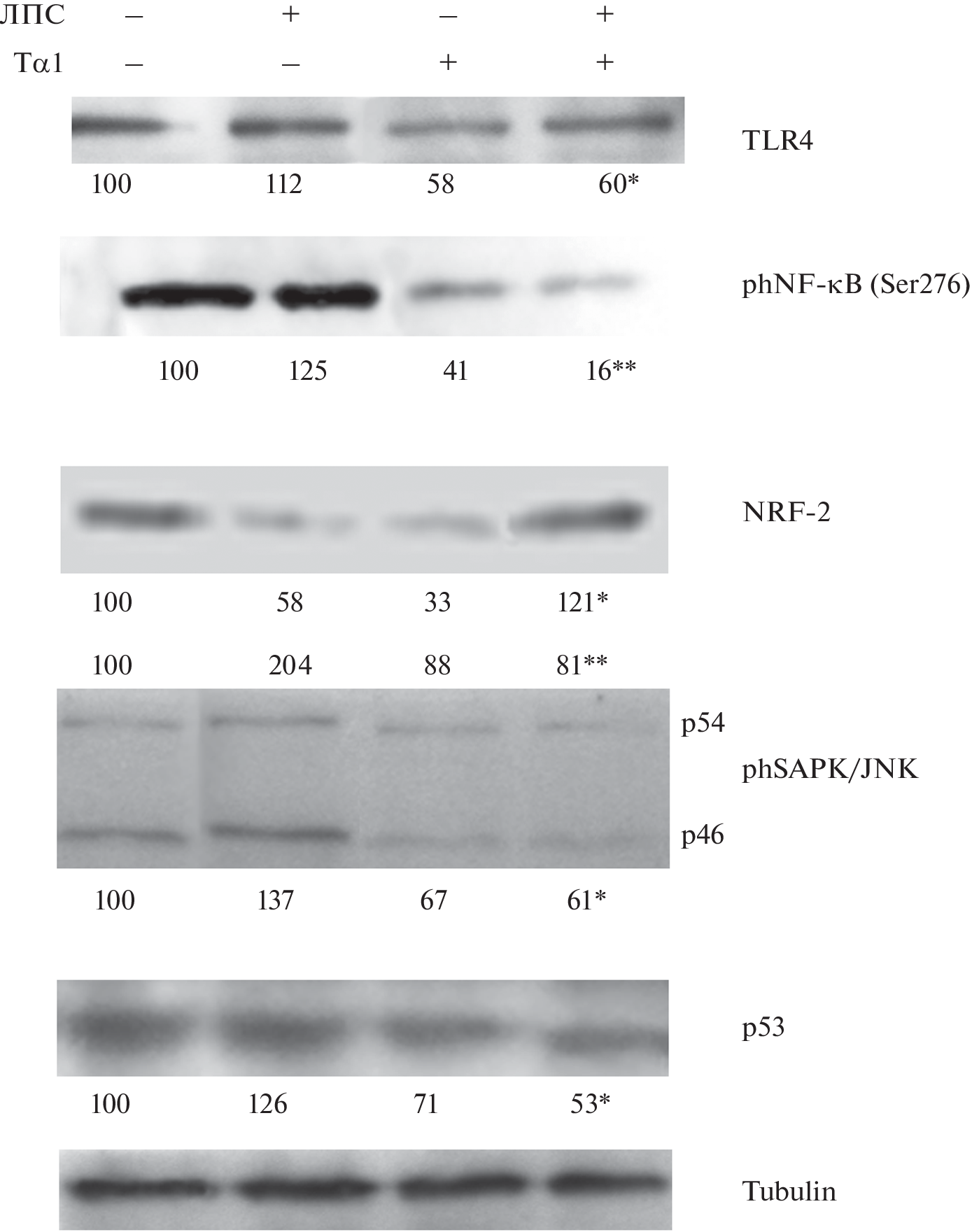
The aim of this work was to study effects of thymosin-1 alpha (Tα1) on the anti-inflammatory response of RAW 264.7 macrophages cultured in the presence of lipopolysaccharide (LPS) from the walls of gram-negative bacteria. Also we evaluated production of pro-inflammatory cytokines and activity of the NF-κB and SAPK/JNK signaling pathways. In addition, the level of expression of a number of genes that regulate cell apoptosis, as well as the activity of receptors involved in the pro-inflammatory response, was determined. Firstly, the addition of Tα1 normalized the level of cytokine production to varying degrees, with a particularly noticeable effect on IL-1β and IL-6. Secondly, the addition of Tα1 normalized activity of the NF-κB and SAPK/JNK signaling cascades and the expression of the Tlr4 gene. Thirdly, Tα1 significantly reduced p53 and the activity of the P53 gene, which is a marker of cell apoptosis. Fourthly, it was shown that an increase in Ar-1 gene expression under the influence of LPS was significantly reduced using Tα1. Thus, it was found that the presence of Tα1 in the RAW 264.7 cell culture medium significantly reduced the level of the pro-inflammatory response of cells.
Негізгі сөздер
Авторлар туралы
E. Novoselova
Institute of Cell Biophysics, Russian Academy of Sciences
Хат алмасуға жауапты Автор.
Email: elenanov_06@mail.ru
Russia, 142290, Moscow Region, Pushchino
O. Glushkova
Institute of Cell Biophysics, Russian Academy of Sciences
Email: elenanov_06@mail.ru
Russia, 142290, Moscow Region, Pushchino
M. Khrenov
Institute of Cell Biophysics, Russian Academy of Sciences
Email: elenanov_06@mail.ru
Russia, 142290, Moscow Region, Pushchino
S. Lunin
Institute of Cell Biophysics, Russian Academy of Sciences
Email: elenanov_06@mail.ru
Russia, 142290, Moscow Region, Pushchino
M. Sharapov
Institute of Cell Biophysics, Russian Academy of Sciences
Email: elenanov_06@mail.ru
Russia, 142290, Moscow Region, Pushchino
R. Goncharov
Institute of Cell Biophysics, Russian Academy of Sciences
Email: elenanov_06@mail.ru
Russia, 142290, Moscow Region, Pushchino
E. Mubarakshina
Institute of Cell Biophysics, Russian Academy of Sciences
Email: elenanov_06@mail.ru
Russia, 142290, Moscow Region, Pushchino
T. Novoselova
Institute of Cell Biophysics, Russian Academy of Sciences
Email: elenanov_06@mail.ru
Russia, 142290, Moscow Region, Pushchino
S. Parfenyuk
Institute of Cell Biophysics, Russian Academy of Sciences
Email: elenanov_06@mail.ru
Russia, 142290, Moscow Region, Pushchino
Әдебиет тізімі
- Gruver A.G., Ventevogel M.S., Sempowski G.D. (2009) Leptin receptor is expressed in thymus medulla and leptin protects against thymic remodeling during endotoxemia induced thymus involution. J. Endocrinol. 203, 75–85.
- Haynes B.F., Markert M.L., Sempowski G.D., Patel D.D., Hale L.P. (2000) The role of the thymus in immune reconstitution in aging, bone marrow transplantation, and HIV-1 infection. Annu. Rev. Immunol. 18, 529–560.
- Franceschi C., Bonafè M., Valensin S., Olivieri F., De Luca M., Ottaviani E., De Benedictis G. (2000) Inflamm-aging. An evolutionary perspective on immunosenescence. Ann. N.Y. Acad. Sci. 908, 44–54.
- Lunin S.M., Khrenov M.O., Novoselova T.V., Parfenyuk S.B., Novoselova E.G. (2008) Thymulin, a thymic peptide, prevents the overproduction of pro-inflammatory cytokines and heat shock protein Hsp70 in inflammation-bearing mice. Immunol. Invest. 37, 858–870.
- Лунин С.М., Новоселова Т.В., Хренов М.О., Глушкова О.В., Парфенюк С.Б., Смолихина Т.И., Фесенко Е.Е., Новоселова Е.Г. (2009) Иммуномодулирующие эффекты тимопентина при остром и хроническом воспалениях у мышей. Биофизика. 54, 260–266.
- Lunin S.M., Glushkova O.V., Khrenov M.O., Parfenyuk S.B., Novoselova T.V., Fesenko E.E., Novoselova E.G. (2011) Thymus peptides regulate activity of RAW 264.7 macrophage cells: inhibitory analysis and a role of signal cascades. Expert Opin. Ther. Targets. 15, 1337–1346.
- Lunin S.M., Glushkova O.V., Khrenov M.O., Novoselova T.V., Parfenyuk S.B., Fesenko E.E., Novoselova E.G. (2013) Thymic peptides restrain the inflammatory respon-se in mice with experimental autoimmune encephalomyelitis. Immunobiology. 218, 402–407.
- Lunin S.M., Khrenov M.O., Novoselova T.V., Parfenyuk S.B., Glushkova O.V., Fesenko E.E., Novoselova E.G. (2015) Modulation of inflammatory response in mice with severe autoimmune disease by thymic peptide thymulin and inhibitor of NF-kappaB signaling. Int. Immunopharmacol. 25, 260–266.
- Lunin S.M., Khrenov M.O., Glushkova O.V., Vinogradova E.V., Yashin V.A., Fesenko E.E., Novoselova E.G. (2017) Extrathymic production of thymulin induced by oxidative stress, heat shock, apoptosis, or necrosis. Int. J. Immunopathol. Pharmacol. 30, 58–69.
- Lunin S.M., Khrenov M.O., Glushkova O.V., Parfenyuk S.B., Novoselova T.V., Novoselova E.G. (2019) Immune response in the relapsing-remitting experimental autoimmune encephalomyelitis in mice: the role of the NF-κB signaling pathway. Cell. Immunol. 336, 20–27.
- Lunin S.M., Novoselova E.G., Glushkova O.V., Parfenyuk S.B., Novoselova T.V., Khrenov M.O. (2022) Cell senescence and central regulators of immune response. Int. J. Mol. Sci. 23, 4109.
- Lunin S.M., Novoselova E.G. (2010) Thymus hormones as prospective anti-inflammatory agents. Expert Opin. Ther. Targets. 14, 775–786.
- Novoselova E.G., Khrenov M.O., Glushkova O.V., Lunin S.M., Parfenyuk S.B., Novoselova T.V., Fesenko E.E. (2014) Anti-inflammatory effects of IKK inhibitor XII, thymulin, and fat-soluble antioxidants in LPS-treated mice. Mediators Inflamm. 2014, 724838.
- Novoselova E.G., Lunin S.M., Glushkova O.V., Khrenov M.O., Parfenyuk S.B., Zakharova N.M., Fesenko E.E. (2018) Thymulin, free or bound to PBCA nanoparticles, protects mice against chronic septic inflammation. PLoS One. 13, e0197601.
- Lunin S.M., Khrenov M.O., Glushkova O.V., Parfenyuk S.B., Novoselova T.V., Novoselova E.G. (2020) Precursors of thymic peptides as stress sensors. Expert Opin. Biol. Ther. 20, 1461–1475.
- Aspinall R., Andrew D. (2000) Thymic involution in aging. J. Clin. Immunol. 20, 250–256.
- Gruver A.L., Sempowski G.D. (2008) Cytokines, leptin, and stress-induced thymic atrophy. J. Leukoc. Biol. 84, 915–923.
- Medzhitov R. (2010) Inflammation 2010: new adventures of an old flame. Cell. 140, 771–776.
- Ostan R., Bucci L., Capri M., Salvioli S., Scurti M., Pini E., Monti D., Franceschi C. (2008) Immunosenescence and immunogenetics of human longevity. Neuroimmunomodulation. 15, 224–240.
- Chen L., Deng H., Cui H., Fang J., Zuo Z., Deng J., Li Y., Wang X., Zhao L. (2018) Inflammatory responses and inflammation-associated diseases in organs. Oncotarget. 9, 7204–7218.
- Reville K., Crean J.K., Vivers S., Dransfield I., Godson C. (2006) Lipoxin A4 redistributes myosin IIA, Cdc42 in macrophages: implications for phagocytosis of apoptotic leukocytes. J. Immunol. 176, 1878–1888.
- Headland S.E., Norling L.V. (2015) The resolution of inflammation: principles and challenges. Semin. Immunol. 27, 149–160.
- Serhan C.N., Savill J. (2005) Resolution of inflammation: the beginning programs the end. Nat. Immunol. 6, 1191–1197.
- Новоселова Е.Г., Лунин С.М., Хренов М.О., Новоселова Т.В., Фесенко Е.Е. (2009) Участие сигнального каскада NF-κB в реализации анти-воспалительной активности тимусных пептидов. ДАН. 428, 707–709.
- Lunin S.M., Khrenov M.O., Glushkova O.V., Parfenyuk S.B., Novoselova T.V., Novoselova E.G. (2019) Protective effect of PBCA nanoparticles loaded with thymulin against the relapsing-remitting form of experimental autoimmune encephalomyelitis in mice. Int. J. Mol. Sci. 20, E5374.
- Romani L., Bistoni F., Montagnoli C., Gaziano R., Bozza S., Bonifazi P., Zelante T., Moretti S., Rasi G., Garaci E., Puccetti P. (2007) Thymosin alpha1: an endogenous regulator of inflammation, immunity, and tolerance. Ann. N.Y. Acad. Sci. 1112, 326–338.
- Liu F., Wang H.-M., Wang T., Zhang Y.-M., Zhu X. (2016) The efficacy of thymosin α1 as immunomodulatory treatment for sepsis: a systematic review of randomized controlled trials. BMC Infect. Dis. 16, 488.
- Pica F., Chimenti M.S., Gaziano R., Buè C., Casalinuovo I.A., Triggianese P., Conigliaro P., Di Carlo D., Cordero V., Adorno G., Volpi A., Perricone R., Garaci E. (2016) Serum thymosin a 1 levels in patients with chronic inflammatory autoimmune diseases. Clin. Exp. Immunol. 186, 39–45.
- Sansoni P., Vescovini R., Fagnoni F., Biasini C., Zanni F., Zanlari L., Telera A., Lucchini G., Passeri G., Monti D., Franceschi C., Passeri M. (2008) The immune system in extreme longevity. Exp. Gerontol. 43, 61–65.
- Shi Q.-X., Chen B., Nie C., Zhao Z.-P., Zhang J.-H., Si S.-Y., Cui S.-J., Gu J.-W. (2020) Improvement in cognitive dysfunction following blast induced traumatic brain injury by thymosin α1 in rats: involvement of inhibition of Tau phosphorylation at the Thr205 epitope. Brain Res. 1747, 147038.
- Sharapov M.G., Novoselov V.I., Penkov N.V., Fesenko E.E., Vedunova M.V., Bruskov V.I., Gudkov S.V. (2018) Protective and adaptogenic role of peroxiredoxin 2 (Prx2) in neutralization of oxidative stress induced by ionizing radiation. Free Radic. Biol. Med. 134, 76–86.
- World Health Organization. (2002) The European Health Report 2002. European Ser. 97. Geneva, Switzerland.
- Fujiwara N., Kobayashi K. (2005) Macrophages in inflammation. Curr. Drug Targets Inflam. Allergy. 4, 281–286.
- Lustig A., Weeraratna A.T., Wood 3rd W.W., Teichberg D., Bertak D., Carter A., Poosala S., Firman J., Becker K.G., Zonderman A.B., Longo D.L., Taub D.D. (2007) Transcriptome analysis of age-, gender- and diet-associated changes in murine thymus. Cell Immunol. 245, 42–61.
- Lesser K.J., Paiusi I.C., Leips J. (2006) Naturally occurring genetic variation in the age-specific immune response of Drosophila melanogaster. Aging Cell. 5, 293–295.
- Serafino A., Pica F., Andreola F., Gaziano R., Moroni N., Moroni G., Zonfrillo M., Pierimarchi P., Sinibaldi-Vallebona P., Garaci E. (2014) Thymosin α1 activates complement receptor-mediated phagocytosis in human monocyte-derived macrophages. J. Innate Immun. 6, 72–88.
- Cichon A.C., Brown D.R. (2014) Nrf-2 regulation of prion protein expression is independent of oxidative stress. Mol. Cell. Neurosci. 63, 31–37.
- Yanaka A., Zhang S., Tauchi M., Suzuki H., Shibahara T., Matsui H., Nakahara A., Tanaka N., Yamamoto M. (2005) Role of the Nrf-2 gene in protection and repair of gastric mucosa against oxidative stress. Inflammopharmacology. 13, 83–90.
- Seo J., Koçak D.D., Bartelt L.C., Williams C.A., Barrera A., Gersbach C.A., Reddy T.E. (2021) AP-1 subunits converge promiscuously at enhancers to potentiate transcription. Genome Res. 31, 538–550.
- Manna P.R., Eubank D.W., Stocco D.M. (2019) The AP-1 transcriptional complex: local switch or remote command. Biochim. Biophys. Acta Rev. Cancer. 1872, 11–23.
- Weller F.E., Shah U., Cummings G.D., Chretien P.B., Mutchnick M.G. (1992) Serum levels of immunoreactive thymosin alpha 1 and thymosin beta 4 in large cohorts of healthy adults. Thymus. 19, 45–52.



