Method of inducible knockdown of essential genes in osc cell culture of Drosophila melanogaster
- Authors: Marfina S.V.1,2, Mikhaleva E.A.1, Akulenko N.V.1, Ryazansky S.S.1
-
Affiliations:
- National Research Center “Kurchatov Institute”
- Mendeleev University of Chemical Technology
- Issue: Vol 58, No 2 (2024)
- Pages: 305-313
- Section: МОЛЕКУЛЯРНАЯ БИОЛОГИЯ КЛЕТКИ
- URL: https://medbiosci.ru/0026-8984/article/view/265743
- DOI: https://doi.org/10.31857/S0026898424020137
- EDN: https://elibrary.ru/NDBKYZ
- ID: 265743
Cite item
Full Text
Abstract
In the paper, we propose an RNA interference-based method of inducible knockdown of genes essential for cell viability. The method arranges a genetic cassette in which an inducible metallothionein promoter controls the expression of siRNA precursor. The cassette is inserted into the genomic pre-integrated transgene by CRIPSR-Cas9. The expression of siRNA precursor and following silencing of the gene of interest is activated by the supplementation of the medium with copper ions. This technique with the production of endogenous siRNAs allows the gene knockdown in cell cultures that are refractory to conventional transfection strategies of exogenous siRNA. The efficiency of the developed method was demonstrated in the cell culture of Drosophila ovarian somatic cells for two genes that are essential for oogenesis: Cul3, encoding a component of the multiprotein ubiquitin-ligase complex with versatile functions in proteostasis, and cut, encoding a transcription factor regulating the differentiation of the ovarian somatic cells.
Keywords
Full Text
Сокращения: shРНК ‒ короткие шпилечные РНК; siРНК ‒ короткие интерферирующие РНК; OSC ‒ соматические клетки яичников дрозофилы; CRL ‒ мультибелковый убиквитин-лигазный комплекс (Cullin-RING-ligase).
ВВЕДЕНИЕ
Генетические технологии подавления экспрессии генов разделяют на методы нокаута, при которых в рамку считывания или регуляторные области вносятся мутации, и нокдауна, снижающие количество образуемой мРНК при сохранении последовательности гена. Среди методов нокаута CRISPR-Cas9 выделяется сравнительной простотой и эффективностью, заслуженно позволивших ему стать универсальным инструментом редактирования генома [1, 2]. В этом методе нуклеаза Cas9 в комплексе с “направляющей” РНК (single guide RNA, sgРНК) связывается с участком генома, комплементарным sgРНК, и вносит в него двухцепочечный разрыв. При его восстановлении клеточной системой негомологичного соединения концов в месте разрыва образуются микроделеции или инсерции. В ходе репарации по механизму гомологичной рекомбинации при наличии экзогенной донорной матрицы ДНК с плечами, гомологичными последовательностям вокруг места разрыва, эта матрица может встроиться в место разрыва. Оба способа позволяют отредактировать последовательности гена, полностью останавливая его экспрессию.
Основным подходом при нокдауне является использование классической РНК-интерференции (РНКи) [3]. При РНКи мРНК расщепляется нуклеазой Argonaute (Ago), которая распознает мРНК-мишень благодаря ассоциированной с Ago короткой интерферирующей РНК (small interfering RNA, siРНК), комплементарной мРНК. В культуре клеток РНКи осуществляется трансфекцией siРНК или длинного двухцепочечного РНК-предшественника (дцРНК), который клеточным аппаратом процессинга нарезается до siРНК. Используется также трансфекция плазмид, кодирующих дву- или одноцепочечные, имеющие шпилечную вторичную структуру (short hairpin RNA, shРНК), предшественники siРНК. Использование последовательности определенных пре-миРНК в качестве шаблона для дизайна вторичной структуры shРНК позволяет значительно ускорить их процессинг до siРНК [4]. В другом подходе нокдауна применяется лишенный нуклеазной активности dCas9 (dead Cas9), но сохраняющий способность связывать sgРНК и комплементарный ей участок генома. Белки dCas9, слитые с ингибирующими доменами факторов транскрипции, в комплексе с sgРНК, комплементарной промоторной области, позволяют ингибировать транскрипцию генов [5]. Разрабатываются встраиваемые в геном кассеты с геном dCas9 под индуцируемым промотором [6]. Все чаще применяют и другие методы нокдауна с использованием, например, белка Cas13a [7].
Методы нокаута с помощью CRISPR-Cas9 и нокдауна с помощью РНКи не лишены недостатков. Так, CRISPR-Cas9-мутагенез в общем случае мало применим для редактирования полиплоидных геномов, часто встречающихся в клеточных культурах [8, 9]. Кроме того, в результате адаптивной эволюции в редактированном геноме со временем могут накапливаться компенсаторные мутации, затрудняющие анализ фенотипа [10]. В ряде случаев стоит задача подавить активность гена на небольшой срок, что невозможно осуществить необратимым нокаутом. Наконец, нокаут существенных для жизнеспособности генов, представляющих особый интерес, приводит к возникновению гетерозиготных по мутации клеточных культур и лишь к незначительному снижению экспрессии изучаемого гена [10]. Основная проблема использования РНКи связана с неэффективной трансфекцией дцРНК, которая может быть очень низкой для ряда клеточных культур [11], включая и культуру ОSC соматических клеток яичников дрозофилы.
С целью преодоления неэффективности трансфекции мы разработали метод индуцированного нокдауна генов в культуре клеток OSC дрозофилы на основе кассеты, в которой экспрессия РНК-предшественника siРНК, способной сворачиваться в пре-миРНК-подобную шпилечную структуру, находится под контролем индуцируемого промотора гена металлотионеина. Кассета интегрируется в определенное место генома с помощью CRISPR-Cas9-мутагенеза. Экспрессия shРНК и подавление целевого гена запускаются добавлением в среду ионов меди. Предлагаемый подход позволяет осуществлять нокдаун критически необходимых для жизнедеятельности генов в культурах клеток, которые имеют низкую эффективность трансфекции. Эффективность предлагаемого метода показана на гене Cul3, кодирующем компонент убиквитин-лигазного мультибелкового комплекса CRL (cullin-RING-ligase complex). Комплексы CRL регулируют множество молекулярных процессов, включая клеточное деление, передачу сигналов, транскрипцию, метаболизм, протеостаз, дифференцировку и развитие [12]. Эффективность метода продемонстрирована также на примере гена сut, кодирующего фактор транскрипции, необходимый на разных стадиях дифференцировки соматических фолликулярных клеток в оогенезе дрозофилы [13, 14]. Предложенный метод является альтернативой индуцируемому нокдауну с помощью dCas9 или Cas13. Значимость данной работы определяется непрекращающейся актуальностью исследований общебиологических закономерностей развития на модельном объекте – дрозофиле, а также возможностью использовать предлагаемый подход на культурах клеток других видов, включая человека.
ЭКСПЕРИМЕНТАЛЬНАЯ ЧАСТЬ
Культура клеток. Линия соматических клеток яичников дрозофилы OSC[Cas9+] с геномной встройкой плазмиды pAc-sgRNA-Cas9 (Addgene, #49330) [15] была получена нами ранее на основе культуры клеток OSC (любезно предоставлена М. Сиоми, Университет Токио, Япония) [16]. Линию OSC[Cas9+] поддерживали при 25 °С в среде Shields and Sang M3 (“Sigma-Aldrich”, США, #S3652) с 10% фетальной бычьей сыворотки (FBS, “Gibco”, США, #10270106), 10%-ным экстрактом мух, 10 мкг/мл инсулина (“Sigma-Aldrich”, США, #I9278), 0.6 мг/мл L-глутатиона (“Sigma-Aldrich”, США, #G6013), 50 ед/мл пенициллина, 50 г/мл стрептомицина и 1 мкг/мл пуромицина. Экстракт мух получали гомогенизированием 1 г 3‒7-дневных мух в 7 мл среды М3. Гомогенат центрифугировали 15 мин при 1500 g; надосадочную жидкость нагревали (10 мин при 60 °С) и очищали центрифугированием при 1500 g в течение 1.5 ч при 4 °С; супернатант еще раз центрифугировали при 4000 g в течение 15 мин при 4 °С. Трансфекцию плазмид проводили с помощью FuGENE-HD (“Promega”, США, #E2311) согласно инструкции производителя. Отбор клеток с интегрированной в геном кассетой с геном устойчивости к гигромицину или бластицидину проводили на среде в присутствии 200 мкг/мл гигромицина (“Calbiochem”, CША, #400050) или 10 мкг/мл бластицидина (“Applichem”, Германия, #A3784). Экспрессию MT-shRNA-bsd индуцировали, добавляя в среду раствор CuSO4 до конечной концентрации 0.5‒2 мМ; уровень экспрессии измеряли через 3 дня после индукции.
Нокаут генов Cul3 и EloB в культуре клеток OSC. Выбор последовательностей sgРНК для внесения двухцепочечного разрыва в гены Cul3 и EloB проводили с помощью программы “TargetFinder” [17]. Синтезированные олигонуклеотиды (sgRNACul3: 5ꞌ-CTTCGATAAAACACAGCGTTGATAT и 5ꞌ-AAACATATCAACGCTGTGTTTTATC; sgRNAEloB: 5ꞌ-CTTCGTCAGGACAACGATGTCAT GG и 5ꞌ-AAACCCATGACATCGTTGTCCTGAC) отжигали, фосфорилировали по 5ꞌ-концу и клонировали в вектор pU6-BbsI-chiRNA (“Addgene”, США, #45946) [17], предварительно линеаризованному по сайтам BbsI. Нокаут генов с помощью Cas9 в линии OSC[Cas9+] проводили согласно [18]. В качестве донорной ДНК использовали ПЦР-фрагмент с последовательностью гена hyg под собственным промотором, полученный с плазмиды pMH4 (“Addgene”, США, #52529) [19] с помощью праймеров: hyg_Cul3: 5ꞌ-CTTCTTTTTTAAGCAACTACTGTATTTATGCCTTCCCCTTCGAATAGGAACCGCCTATATGGATCTTCCGGATGGCTCGAG и 5ꞌ-GAGCTGGGTGCATCTTTATCCTTTTCACTTTCAACTGCCTTGCGGCCATAAAACACAGCGGAAGTTCCTATTCTCTAGAAAGTATAGGAACTTCCATAT; hyg_EloB: 5ꞌ-ATCGCAGGCATACTAAAGGTGCAGCCCGTGGACCAGCGGTTATACAATCAGGACAACGATGGATCTTCCGGATGGCTCGAG и 5ꞌ-CTGCGCCTTGGCCGTGGACACCGTCACGCCGTAGTCCTGCAACGTGCTGTCGTCCTCCATGAAGTTCCTATTCTCTAGAAAGTATAGGAACTTCCATAT. На 5ꞌ-конце праймеров находится участок, комплементарный 60 нуклеотидам последовательностей гена ниже или выше места внесения двухцепочечного разрыва, а 3ꞌ-конец (подчеркнуто) комплементарен последовательности вектора pMH4. Смесью ПЦР-фрагмента и плазмиды pU6/sgРНК трансфицировали клетки OSC[Cas9+], как описано выше.
Конструирование вектора рAc-МТ-shRNA-bsd. Донорная плазмида для гомологичной репарации вносимых Cas9 двухцепочечных разрывов сконструирована на основе различных векторов. Сначала на основе pWalium20 получили кассету MT-shRNA-bsd, содержащую последовательности shРНК под промотором MT и ген устойчивости к антибиотику бластицидину bsd. Для этого олигонуклеотиды, кодирующие shРНК (Cul3: 5ꞌ-ctagcagtTACGATCATGGATGAGTTTAAtagttatattcaagcataTTAAACTCATCCATGATCGTAgcg и 5ꞌ-aattcgcTACGATCATGGATGAGTTTAAtatgcttgaatataactaTTAAACTCATCCATGATCGTAactg; cut: 5ꞌ-ctagcagtAAGGAAGTGAACACACTCAAAtagttatattcaagcataTTTGAGTGTGTTCACTTCCTTgcg и 5ꞌ-aattcgcAAGGAAGTGAACACACTCAAAtatgcttgaatataactaTTTGAGTGTGTTCACTTCCTTactg; участки, из которых вырезается siРНК, показаны прописными буквами) отжигали и клонировали в вектор pWalium20 (“DGRC”, США, #1472) [4, 20], линеаризованный по сайтам EcoRI и NheI, в результате чего получали плазмиду pWalium20-shRNA. В качестве источника последовательностей шпилечных структур использовали базу данных FlyRNAi проекта “The Transgenic RNAi Project at Harvard Medical School” [20]. Замена гена mini-white на ген bsd производилась клонированием по Гибсону (NEBuilder HiFi kit, NEB, США) двух фрагментов ДНК: pWalium20-shRNA, линеаризованной по сайтам HindIII для вырезания mini-white; ПЦР-фрагмента с геном bsd, полученного синтезом с использованием праймеров 5ꞌ-CTCGAGATCGATGATATCAAAATAAACATATGCTGTTGG и 5ꞌ-CGAATTGGGTACAAGCTCCATATGTTAGAAACAAATTTAT и плазмиды pMH4 (“Addgene”, США, #52529) [19] в качестве матрицы. Полученная плазмида называлась pWalium20-shRNA-bsd. Последовательность большей части промотора 10×UAS-hsp70 заменили на промотор MT клонированием по Гибсону двух фрагментов: pWalium20-shRNA-bsd, линеаризованной по сайтам BglII и BamHI для вырезания 5×UAS-hsp70; ПЦР-фрагмента с последовательностью MT, полученного с праймеров 5ꞌ-GGATGTTTTCTAGAACACCTTTAGTTGCACTGAGATGAT и 5ꞌ-ATACGAAGTTATGGATCCGTTGCAGGACAGGATGT, и плазмиды pMT-OsTIR1-P2A-H2B-AID-EYFP (любезно предоставлена К. Ленером, Университет Цюриха, Швейцария) в качестве матрицы. В процессе конструирования итоговой донорной плазмиды pAc-MT-shRNA-bsd из вектора pAc-sgRNA-Cas9 предварительно по сайтам SacI был вырезан фрагмент с частью гена Cas9, а потом в него клонированием по Гибсону вставили кассету MT-shRNA-bsd. Для этого использовали pAc-sgRNA-Cas9-SacI, линеаризованную по сайту SmaI, и ПЦР-фрагмент с кассетой, полученный с праймерами 5ꞌ-CGACGTCCCCCGGGAATTAACCCTCACTAAAGG и 5ꞌ-CGAGGGTGCGTACGGCATATGTTAGAAACAAATTTATTT, и плазмиды pWalium20-MT-shRNA-bsd в качестве матрицы. Полученную плазмиду pAc-MT-shRNA-bsd можно использовать в качестве вектора для клонирования других последовательностей shРНК по сайтам EcoRI и XbaI. С целью конструирования плазмиды для экспрессии sgРНКpuro к puro синтезированные олигонуклеотиды (5ꞌ-CTTCGGCGAGGGTGCGTACGGCCC и 5ꞌ-AAACGGGCCGTACGCACCCTCGCC) отжигали, фосфорилировали по 5ꞌ-концу и клонировали в вектор pU6-BbsI-chiRNA (“Addgene”, США, #45946), предварительно линеаризованный по сайтам BbsI. Все полученные плазмиды проверяли секвенированием по Сэнгеру. Смесью плазмид pU6/sgРНКpuro и pAc-MT-shRNA-bsd трансфицировали клетки OSC[Cas9+], как описано выше.
Измерение уровня экспрессии генов с помощью qRT-ПЦР. Около 1.5 мкг тотальной РНК, выделенной из 106 клеток с помощью реактива Extract RNA (“Евроген”, Россия), подвергали обработке ДНКазой I (“Ambion”, CША). кДНК получена с использованием обратной транскриптазы Mint (“Евроген”, Россия) и смеси случайных гексамеров в качестве праймеров. Количественный ПЦР-анализ в реальном времени полученной кДНК проводили на ПЦР-амплификаторе DT-96 (“ДНК-технология”, Россия) с праймерами к Cul3 (5ꞌ-CTTCGATAAAACACAGCGTTGATAT и 5ꞌ-GCGTGAAGCCTTTGACATTTTC), EloB: (5ꞌ-AAACCCATGACATCGTTGTCCTGAC и 5ꞌ-GAGCTGAAGCGAATGATTGAG), cut (5ꞌ-CTTCGTTGTTCGGCGAGTCCGTGCT и 5ꞌ-CCAGGAACATCTTCATGCGAATG) и rp49 (5ꞌ-ATGACCATCCGCCCAGCATAC и 5ꞌ-GCTTAGCATATCGATCCGACTGG). Изменение уровня относительной экспрессии генов Cul3, EloB и cut к rp49 рассчитывали как 2-ΔΔCt по сравнению с их относительной экспрессией в исходных клетках OSC[Cas9+].
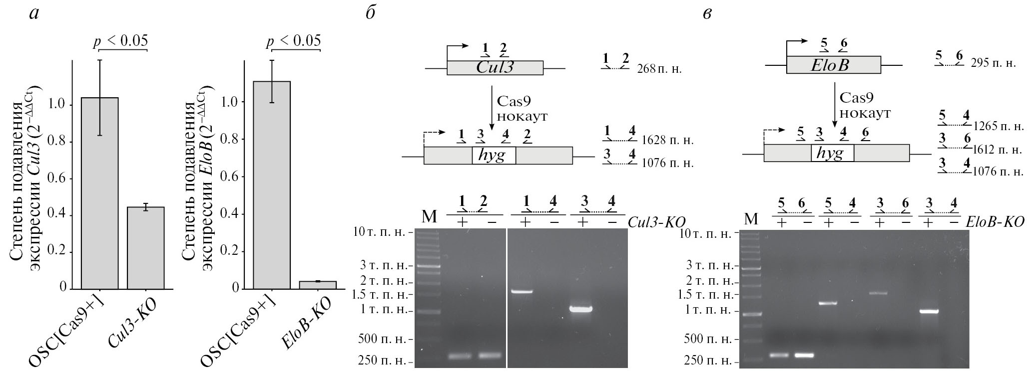
Определение встройки трансгена в геноме с помощью ПЦР. Геномную ДНК из 106 клеток OSC[Cul3-KO] или OSC[EloB-KO] выделяли фенол-хлороформным методом и использовали для ПЦР c HotTaq-полимеразой (“Евроген”, Россия) со следующими праймерами: 5ꞌ-GCGTGAAGCCTTTGACATTTTC (праймер “1” на рис. 1), 5ꞌ-ATATGTGCTTGCGTGTGGTG (“2”), 5ꞌ-GAAAGGAGGTACCGGTATGAAAAAGCCTGAACTCACC (“3”), 5ꞌ-AAATTTATTTTTAAAGTTTTATTTTTAATAATTTCTATTCCTTTGCCCTCGGAC (“4”), 5ꞌ-GAGCTGAAGCGAATGATTGAG (“5”) и 5ꞌ-CGCCTTGTCCGCTAGATAAC (“6”).
Рис. 1. Результаты нокаута генов Cul3 и EloB в OSC. Изменение уровня экспрессии генов Cul3 и EloB в нокаутных клетках относительно исходной линии OSC[Cas9+] (а). Уровень экспрессии, измеренный методом qRT-ПЦР, нормировали на экспрессию rp49. Показаны средние значения измерений по двум биологическим повторностям с тремя техническими повторностями в каждом; погрешности измерения показаны стандартной ошибкой среднего. Статистическую значимость различий оценивали по методу Уилкоксона. ПЦР-анализ генома клеток Cul3-KO (б) и EloB-KO (в) показал наличие в обеих линиях как аллелей дикого типа, так и мутантного аллеля со вставкой гена hyg. Показана схема расположения использованных праймеров к последовательности генов, размер ампликонов и результат ПЦР (электрофорез в агарозном геле).
РЕЗУЛЬТАТЫ И ОБСУЖДЕНИЕ
Неэффективность нокаута Cul3 в культуре клеток OSC
В рамках работы, направленной на изучение функций генов Cul3 и EloB, которые кодируют компоненты мультибелкового убиквитин-лигазного комплекса CRL, участвующего в регуляции многочисленных клеточных процессов [12], мы провели нокаут этих генов в культуре соматических клеток яичников OSC[Cas9+] с конститутивной экспрессией Cas9. При проведении нокаута кассету с геном устойчивости к гигромицину hyg внедрили в кодирующую часть генов Cul3 и EloB в OSC (рис. 1а). Отбор клеток со вставленной в геном кассетой проводили на среде с гигромицином. Анализ количества транскриптов в полученных культурах методом qRT-ПЦР показал, что нокаут генов приводит к падению уровня их экспрессии, но в случае Cul3-KO количество транскриптов снижается только в 2 раза, тогда как в EloB-KO – в 10 раз (рис. 1б). Можно предположить, что линия Cul3-KO, в отличие от линии EloB-KO, гетерозиготна по мутантному гену. Однако ПЦР-анализ геномов показал, что интактные аллели дикого типа сохранились в обеих линиях (рис. 1б,в). Поэтому вероятно, что более высокая степень подавления экспрессии EloB по сравнению с Cul3 при нокауте объясняется либо тем, что в линии EloB-KO гетерозиготна лишь небольшая доля клеток, либо EloB-KO является доминантной мутацией.
Культура OSC в основном представлена диплоидными клетками, но встречаются и полиплоидные клетки [21]. Чтобы осуществить нокаут всех копий генов в диплоидном геноме, можно использовать вместо одной две кассеты, содержащие гены устойчивости к разным антибиотикам [22]; при этом в каждую хромосому попадает только одна из кассет. Последующая селекция на устойчивость к двум антибиотикам позволяет отобрать клетки, геном которых содержит обе кассеты с разными генами устойчивости на разных хромосомах. Для полиплоидных клеточных культур разработан подход с использованием интегрированной в геном кассеты с закодированной одной или несколькими sgРНК к интересующему гену [23]. В этом случае, Cas9, загруженная постоянно экспрессирующейся sgРНК, будет вносить двухцепочечные разрывы в одну из копий генома до тех пор, пока там присутствует исходная копия гена.
Гетерозиготность линии Cul3-KO, вероятно, объясняется важностью Cul3 для обеспечения жизнедеятельности клетки, что делает невозможным селекцию гомозиготных клеток. Даже использование двух кассет с разными антибиотиками, интегрируемых в разные аллели [22], или кассет с постоянной экспрессией sgРНК [23] не позволит достичь полного нокаута жизненно важных генов, или такая линия будет нестабильной. В этих случаях для инактивации генов лучше применять нокдаун с использованием dCas9 или РНКи. Однако с такими культурами, как OSC дрозофилы, не удается добиться ощутимого подавления экспрессии с помощью классического способа РНКи путем трансфекции дцРНК. В связи с этим нами разработан метод нокдауна, запускаемый со встроенной в геном shРНК, находящейся под контролем индуцибельного промотора. Встройка кассеты с закодированной shRNA в геном осуществляется методом CRISPR-Cas9.
Конструирование вектора для индуцированного нокдауна генов
Мы сконструировали кассету, кодирующую заданную shРНК под контролем индуцируемого металлотионеинового промотора, на основе вектора pWalium20, которая была разработана для внедрения в геном и экспрессии shРНК в определенных тканях дрозофилы [20]. Закодированная в векторе shРНК создана на основе последовательности пре-miR-1, предшественника микроРНК дрозофилы miR-1 со шпилькоподобной вторичной структурой. Экспрессия этой РНК находится под контролем минимального промотора hsp70 и регуляторного элемента UAS. Последовательность UAS-hsp70-shРНК в векторе pWalium20 фланкирована инсуляторами, что позволяет проводить эффективную экспрессию shРНК с трансгена в разных участках генома независимо от локального уровня гетерохроматинизации.
Схема получения кассеты представлена на рис. 2а. В векторе pWalium20 ген mini-white, первоначально необходимый для исследований in vivo и отбора трансгенных особей по цвету глаз, был заменен на ген устойчивости к антибиотику бластицидину (bsd) для отбора клеток с нужной вставкой на селективной среде. Промотор UAS-hsp70 заменен на металлотионеиновый промотор MT, индуцируемый ионами Cu2+. Для интеграции полученной кассеты MT-shRNA-bsd в геном с использованием CRISPR-Cas9-мутагенеза необходимо выбрать место встройки, а также сконструировать донорную плазмиду, в которой кассета окружена плечами, гомологичными участкам вблизи сайта ее встройки по механизму гомологичной репарации двухцепочечного разрыва ДНК. В качестве места встройки был выбран ген устойчивости к антибиотику пуромицину puro, который находится в составе ранее встроенной плазмиды pAc-sgRNA-Cas9 c конститутивно экспрессирующимся Cas9 в OSC (линия клеток OSC[Cas9+]). Таким образом, pAc-sgRNA-Cas9, встроенная в геном OSC, служит одновременно источником Cas9, а также платформой для встройки кассеты с shРНК. Донорная плазмида рAc-МТ-shRNA-bsd получена с использованием pAc-sgRNA-Cas9, в ген puro которой клонирована фланкированная инсуляторами кассета MT-shРНК-bsd. Конструкция МТ-shRNA-bsd в донорной плазмиде окружена плечами, необходимыми для гомологичной рекомбинации с геном puro в геноме. Последовательность sgРНК к гену puro (sgРНКpuro) была клонирована в вектор pU6-BbsI-chiRNA.
Рис. 2. Схема конструирования донорной плазмиды pAc-MT-shRNA-bsd, содержащей кассету MT-shRNA-bsd с индуцируемой shРНК (а). Подробное описание представлено в тексте и разделе Экспериментальная часть. puro_R и puro_L ‒ фрагменты гена puro в pAc-MT-shRNA-bsd, которые будут служить плечами для гомологичной рекомбинации. Кассета MT-shRNA-bsd из донорной плазмиды внедряется в предварительно встроенный в геном трансген pAc-sgRNA-Cas9 (показана его часть с генами puro и Cas9) с помощью Cas9 и активируется добавлением ионов меди (б). Экспрессирующиеся shРНК процессируются до siРНК, которые в комплексе с белком Ago2 дрозофилы связываются с комплементарной мРНК и вызывают ее расщепление по механизму РНКи.
В нашем методе индуцируемого нокдауна нуклеаза Cas9, заряженная sgРНКpuro к гену puro, вносит в него двухцепочечный разрыв, который далее репарируется по механизму гомологичной рекомбинации с использованием донорной плазмиды рAc-МТ-shRNA-bsd в качестве матрицы (рис. 2б). Это приводит к интеграции в puro кассеты МТ-shRNA-bsd. Экспрессия shRNA и, следовательно, нокдаун целевого гена запускается добавлением ионов Cu2+ в среду. В плазмиде рAc-МТ-shRNA-bsd одну шпилечную последовательность можно заменить на любую другую, т. е. использовать ее как вектор.
Индуцируемый нокдаун генов Cul3 и сut
Эффективность метода индуцированного нокдауна проверена на гене Cul3. Мы клонировали последовательность, кодирующую shРНК к транскрипту Cul3, в вектор рAc-МТ-shRNA-bsd. Эту плазмиду, а также плазмиду с последовательностью sgРНКpuro с помощью трансфекции вводили в клетки линии OSC[Cas9+]. Последующий отбор клонов на селективной среде с бластицидином позволил получить поликлональную, устойчивую к бластицидину культуру клеток, содержащую в геноме встройку кассеты МТ-shCul3-bsd. Измерение методом qRT-ПЦР уровня экспрессии Cul3 в клетках со вставкой MT-shCul3-bsd показало, что даже без добавления в среду Cu2+ он достоверно ниже по сравнению с исходными клетками OSC[Cas9+] (рис. 3а). По-видимому, это обусловлено присутствием в самой среде ионов Cu2+ в количестве, достаточном для запуска экспрессии shCul3. Активацию экспрессии shCul3 и подавление экспрессии Cul3 индуцировали добавлением ионов Cu2+. С целью определения максимального уровня подавления концентрацию Cu2+ варьировали от 0.5 до 2 мМ (2 мМ это концентрация, при которой клетки OSC еще сохраняют жизнеспособность). Уже в присутствии 0.5 мМ Cu2+ наблюдалось снижение уровня экспрессии Cul3 в 3‒4 раза относительно клеток без индукции и в 5‒6 раз относительно экспрессии в OSC[Cas9+] (рис. 3a). Увеличение концентрации Cu2+ до 2 мМ не приводило к дальнейшему более значительному снижению экспрессии Cul3. Аналогичный эксперимент по индуцированному нокдауну, проведенный с геном транскрипционного фактора сut, также показал снижение количества его транскриптов. Таким образом, метод индуцированного нокдауна позволяет подавить экспрессию генов; в случае Cul3 эффективность была выше (в 5‒6 раз), чем при частичном нокауте Cul3-KO (в 2‒3 раза).
Рис. 3. Изменение уровня экспрессии генов Cul3 (а) и cut (б) при добавлении ионов меди в концентрации 0.5, 1 и 2 мМ к линиям клеток, в геном которых внедрены кассеты с соответствующими shРНК, по сравнению с экспрессией в OSC[Cas9+]. Уровень экспрессии, измеренный методом qRT-ПЦР, нормировали на экспрессию rp49. Показаны средние значения измерений по двум-трем биологическим повторностям с тремя техническими повторностями в каждом; погрешности измерения показаны стандартной ошибкой среднего. Статистическую значимость различий оценивали по методу Уилкоксона; ns ‒ различия средних статистически недостоверны.
Отметим, что преимущество предлагаемого метода индуцированного нокдауна состоит в потенциальной возможности проведения обратимого, временного подавления генов. Для восстановления экспрессии достаточно сменить среду с избытком ионов меди на обычную, а также определить промежуток времени, достаточный для снижения количества наработанной shРНК. Предложенную систему с эндогенным источником siРНК можно использовать в широком диапазоне культур клеток с низкой восприимчивостью к трансфекции экзогенными дцРНК. В перспективе культуру клеток со встроенной кассетой можно поддерживать в лаборатории и использовать для проведения экспериментов продолжительное время. Наконец, важная особенность нашего подхода состоит в использовании одного и того же участка генома для встройки кассеты с закодированными шпильками ‒ в нашем случае это ген puro в составе предварительно встроенного трансгена. Это позволяет корректно сравнивать эффективность подавления одного и того же гена разными последовательностями shРНК, а также эффективность подавления разных генов.
Работа проведена при финансовой поддержке Российского научного фонда (грант № 22-24-00519).
Настоящая статья не содержит описания каких-либо исследований с участием людей или животных в качестве объектов.
Авторы заявляют об отсутствии конфликта интересов.
About the authors
S. V. Marfina
National Research Center “Kurchatov Institute”; Mendeleev University of Chemical Technology
Email: n.akulenko11@gmail.com
Russian Federation, Moscow, 123182; Moscow, 125047
E. A. Mikhaleva
National Research Center “Kurchatov Institute”
Email: n.akulenko11@gmail.com
Russian Federation, Moscow, 123182
N. V. Akulenko
National Research Center “Kurchatov Institute”
Author for correspondence.
Email: n.akulenko11@gmail.com
Russian Federation, Moscow, 123182
S. S. Ryazansky
National Research Center “Kurchatov Institute”
Email: s.ryazansky@gmail.com
Russian Federation, Moscow, 123182
References
- Cong L., Ran F.A., Cox D., Lin S., Barretto R., Habib N., Hsu P.D., Wu X., Jiang W., Marraffini L.A., Zhang F. (2013) Multiplex genome engineering using CRISPR/Cas Systems. Science. 339, 819–823.
- Mali P., Yang L., Esvelt K.M., Aach J., Guell M., DiCarlo J.E., Norville J.E., Church G.M. (2013) RNA-guided human genome engineering via Cas9. Science. 339, 823–826.
- Mohr S., Smith J., Shamu C., Neumüller R., Perrimon N. (2014) RNAi screening comes of age: improved techniques and complementary approaches. Nat. Rev. Mol. Cell. Biol. 15, 591–600.
- Ni J.-Q., Zhou R., Czech B., Liu L.P., Holderbaum L., Yang-Zhou D., Shim H.S., Tao R., Handler D., Karpowicz P., Binari R., Booker M., Brennecke J., Perkins L.A., Hannon G.J., Perrimon N. (2011) A genome-scale shRNA resource for transgenic RNAi in Drosophila. Nat. Methods. 8, 405–407.
- Gilbert L.A., Larson M.H., Morsut L., Liu Z., Brar G.A., Torres S.E., Stern-Ginossar N., Brandman O., Whitehead E.H., Doudna J.A., Lim W.A., Weissman J.S., Qi L.S. (2013) CRISPR-mediated modular RNA-guided regulation of transcription in eukaryotes. Cell. 154, 442–451.
- Xu X., Qi L.S. (2019) A CRISPR–dCas toolbox for genetic engineering and synthetic biology. J. Mol. Biol. 431, 34–47.
- Kordyś M., Sen R., Warkocki Z. (2022) Applications of the versatile CRISPR-Cas13 RNA targeting system. WIREs RNA. 13, e1694.
- Scharf I., Bierbaumer L., Huber H., Wittmann P., Haider C., Pirker C., Berger W., Mikulits W. (2018) Dynamics of CRISPR/Cas9-mediated genomic editing of the AXL locus in hepatocellular carcinoma cells. Oncol. Lett. 15, 2441–2450.
- Boettcher M., McManus M.T. (2015) Choosing the right tool for the job: RNAi, TALEN, or CRISPR. Mol. Cell. 58, 575–585.
- Housden B.E., Muhar M., Gemberling M., Gersbach C.A., Stainier D.Y.R., Seydoux G., Mohr S.E., Zuber J., Perrimon N. (2017) Loss-of-function genetic tools for animal models: cross-species and cross-platform differences. Nat. Rev. Genet. 18, 24–40.
- Chong Z.X., Yeap S.K., Ho W.Y. (2021) Transfection types, methods and strategies: a technical review. Peer J. 9, e11165.
- Harper J.W., Schulman B.A. (2021) Cullin-RING ubiquitin ligase regulatory circuits: a quarter century beyond the F-box hypothesis. Annu. Rev. Biochem. 90, 403‒429.
- Sun J., Deng W.-M. (2005) Notch-dependent downregulation of the homeodomain gene cut is required for the mitotic cycle/endocycle switch and cell differentiation in Drosophila follicle cells. Development. 132, 4299–4308.
- Knapp E.M., Li W., Sun J. (2019) Downregulation of homeodomain protein Cut is essential for Drosophila follicle maturation and ovulation. Development. 146, dev179002.
- Bassett A.R., Tibbit C., Ponting C.P., Liu J.-L. (2014) Mutagenesis and homologous recombination in Drosophila cell lines using CRISPR/Cas9. Biol. Open. 3, 42–49.
- Niki Y., Yamaguchi T., Mahowald A.P. (2006) Establishment of stable cell lines of Drosophila germ-line stem cells. Proc. Natl. Acad. Sci. USA. 103, 16325–16330.
- Gratz S.J., Ukken F.P., Rubinstein C.D., Thiede G., Donohue L.K., Cummings A.M., OꞌConnor-Giles K.M. (2014) Highly specific and efficient CRISPR/Cas9-catalyzed homology-directed repair in Drosophila. Genetics. 196, 961–971.
- Kunzelmann S., Böttcher R., Schmidts I., Förstemann K. (2016) A comprehensive toolbox for genome editing in cultured Drosophila melanogaster cells. G3: Genes, Genomes, Genetics. 6, 1777–1785.
- Böttcher R., Hollmann M., Merk K., Nitschko V., Obermaier C., Philippou-Massier J., Wieland I., Gaul U., Förstemann K. (2014) Efficient chromosomal gene modification with CRISPR/cas9 and PCR-based homologous recombination donors in cultured Drosophila cells. Nucl. Acids Res. 42, e89–e89.
- Perkins L.A., Holderbaum L., Tao R., Hu Y., Sopko R., McCall K., Yang-Zhou D., Flockhart I., Binari R., Shim H.S., Miller A., Housden A., Foos M., Randkelv S., Kelley C., Namgyal P., Villalta C., Liu L.P., Jiang X., Huan-Huan Q., Wang X., Fujiyama A., Toyoda A., Ayers K., Blum A., Czech B., Neumuller R., Yan D., Cavallaro A., Hibbard K., Hall D., Cooley L., Hannon G.J., Lehmann R., Parks A., Mohr S.E., Ueda R., Kondo S., Ni J.Q., Perrimon N. (2015) The transgenic RNAi project at Harvard medical school: resources and validation. Genetics. 201, 843–852.
- Sytnikova Y.A., Rahman R., Chirn G.-W., Clark J.P., Lau N.C. (2014) Transposable element dynamics and PIWI regulation impacts lncRNA and gene expression diversity in Drosophila ovarian cell cultures. Genome Res. 24, 1977–1990.
- Stoyko D., O T., Hernandez A., Konstantinidou P., Meng Q., Haase A.D. (2022) CRISPR-Cas9 genome editing and rapid selection of cell pools. Curr. Protoc. 2, e624.
- Xia B., Amador G., Viswanatha R., Zirin J., Mohr S.E., Perrimon N. (2020) CRISPR-based engineering of gene knockout cells by homology-directed insertion in polyploid Drosophila S2R+ cells. Nat. Protoc. 15, 3478–3498.
Supplementary files




