New species of Otozamites braun (Bennettitales) with preserved anatomical structure from the middle jurassic of Kursk region, Russia
- Authors: Bazhenova N.V.1
-
Affiliations:
- Borissiak Paleontological Institute, Russian Academy of Sciences
- Issue: No 6 (2024)
- Pages: 125-139
- Section: Articles
- URL: https://medbiosci.ru/0031-031X/article/view/284175
- DOI: https://doi.org/10.31857/S0031031X24060114
- EDN: https://elibrary.ru/QIENNM
- ID: 284175
Cite item
Full Text
Abstract
The new bennettitalean species Otozamites meyenii sp. nov. is described from the Middle Jurassic deposits of the Mikhailovskii Rudnik open mine (Kursk Region). The new species is characterized by long finger-like papillae on the covering cells of the pinnae lower epidermis. The rachis vascular system of the new species possesses structure, characteristic of leaves of other Bennettitales: a ring, formed by two U-shaped rows of collateral vascular bundles with xylem faced toward interior. Unlike the Lower Cretaceous O. kerae Ohana et Kimura, possessing well defined bundles, the new species has indistinct boundaries between bundles. Our data also point on the presence in representatives of the genus Otozamites Braun of tracheids, characteristic of several angiosperms, whereas the presence of vessels in the vascular system of Otozamites leaves has not been confirmed.
Keywords
Full Text
Введение
Несмотря на широкое распространение листьев Otozamites Braun (Bennettitales) в ископаемой летописи юры и мела, анатомическое строение рахиса ранее было изучено всего у двух видов: O. mortonii Dower, R. Bateman et D. Stevenson из средней юры (аален–байос) Шотландии (Dower et al., 2004) и O. kerae Ohana et Kimura из верхнего мела Японии (Ohana, Kimura, 1991). Описание анатомического строения рахиса Otozamites sp. из юры Тасмании (Tidwell et al., 1987) было сделано на материале очень плохой сохранности и проиллюстрировано единственным схематическим рисунком, поэтому в данной работе далее не обсуждается. Некоторые детали анатомии перышек были изучены у Otozamites sp. из верхней юры Франции (Barale, 1981) и у O. lacustris Krassilov из нижнего мела Монголии (Krassilov, 1982). В данной работе приводится описание анатомического строения листьев O. meyenii sp. nov., в т.ч. рассматриваются особенности морфологии проводящих элементов рахиса и оснований перышек.
Авторы благодарны Р.А. Ракитову из Палеонтологического ин-та им А.А. Борисяка РАН (ПИН РАН) за помощь при работе на СЭМ и рентгеновском сканирующем томографе. Мы признательны В.Л. Шамраю (Михайловский горно-обогатительный комбинат), Д.В. Збуковой (Всероссийский научно-исследовательский геологический ин-т им. А.П. Карпинского), Н.Е. Завьяловой и М.В. Теклевой (Палеонтологический ин-т им. А.А. Борисяка РАН), а также А.Г. Платоновой (Московский государственный ун-т им. М.В. Ломоносова) за помощь при сборе материала.
Материал и методика
Изученный материал происходит из среднебатских континентальных отложений карьера Михайловский рудник вблизи г. Железногорск (Курская обл.), из средней песчанистой части глинистой линзы в основании разреза аркинской свиты, вскрытого в северной стенке Северного карьера; характеристика отложений и состав флоры линзы приводились ранее (Горденко, Броушкин, 2018).
Рахисы листьев Otozamites преимущественно лигнитизированные, однако анатомическое строение сохранилось лишь у нескольких экземпляров. Это обусловлено частой деформацией рахисов в процессе фоссилизации (обычно они достаточно сильно смяты и уплощены с боков). Материал не выдерживает смачивания, что не позволяет изготавливать из него качественные тонкие срезы или шлифы. Анатомическое строение рахисов и оснований перышек было изучено на поперечных сколах при помощи СЭМ Tescan в режиме высокого вакуума (SE детектор, 30 kV) с напылением золотом и в режиме низкого вакуума (BSE детектор, 20 kV) без напыления, а также при помощи компьютерного рентгеновского томографа Neoscan 80.
Эпидермальное строение листьев было изучено по стандартной методике, путем последовательного помещения в соляную, плавиковую и азотную кислоты с последующей обработкой едким кали. Полученные кутикулы монтировались на столик, покрывались золотом и изучались в СЭМ Tescan в режиме высокого вакуума (SE детектор, 30 kV).
Коллекция № 5137 хранится в ПИН РАН, Москва.
Описание вида
Отдел Gymnospermae
Класс Cycadopsida
Порядок Bennettitales
Семейство Williamsoniaceae (Carruthers, 1870) nathorst, 1913
Род Otozamites Braun, 1843
Otozamites meyenii Bazhenova et Bazhenov, sp. nov.
Табл. IX, фиг. 1–15; табл. X, фиг. 1–11
Вид назван в честь палеоботаника С.В. Мейена.
Голотип – ПИН, № 5137/85, фрагмент листа; европейская часть России, Курская обл., окрестности г. Железногорск, Северный карьер Михайловского рудника; средняя юра, средний бат, аркинская свита; обозначен здесь, табл. I, фиг. 5.
Diagnosis. Leaves pinnate. Rachis nearly circular in transverse section, 3.3–4.6 mm in diameter. Distance between neighboring pinnae bases within one row 4–6.5 mm. Pinnae up to 18 mm long, about 10 mm wide, tongue-shaped, slightly falcate, petiolulate. Acroscopic margin distinctly auriculate, apex rounded, shifted to acroscopic margin. Vein density 5–6 veins per 1 mm.
Cuticle of rachis up to 5 µm thick. Epidermis with unevenly distributed stomata and relatively rare hemispheric or mammilla-like trichomes with unicellular or bicellular bases. Hypodermis consisting of 6–8 layers of narrow prosenchymatous non-sclerified cells. Ground tissue consisting of rectangular thin-walled cells; comprising large idioblasts. Vascular system of rachis representing ring, formed by two U-shaped rows of collateral bundles with xylem orientated toward interior of ring. Vascular bundles vary considerably in width. Boundaries between vascular bundles indistinct. Traces to pinnae depart from corners of “U” in pairs and follow to petiolule separately, then dichotomizing repeatedly.
Upper epidermis of pinna composed of ameba-like cells without trichomes. Lower epidermis divided on distinct stomatal zones with 1–3 stomatal apparatuses per stomatal zone width and non-stomatal costal zones 3–8 cells wide. Stomatal apparatuses syndetocheilic, often with papillose lateral neighboring cell, formed by longitudinal division of one of subsidiary cell. Stomata sunken relative to ring of papillose cells with papillae closing over aperture. All ordinary epidermal cells with central of marginal large hemispherical or cap-shaped to finger-like papillae up to 45 µm long.
Описание (рис. 1–5). В коллекции имеются многочисленные фрагменты рахисов перистых листьев длиной 6.6–33 мм, диаметром 3.3–4.6 мм, с очередно расположенными основаниями перышек, косо прикрепляющимися к рахису в его адаксиальной части по типу жалюзи, а также дисперсные фрагменты перышек и один небольшой фрагмент листа с двумя частично сохранившимися перышками (табл. IX, фиг. 1–9). Расстояние между соседними основаниями перышек в одном ряду 4–6.5 мм. Перышки языковидные, слегка серповидно изогнутые, длиной до 18 мм, шириной в средней части до 10 мм, с сильно пережатым основанием, переходящим в небольшой черешочек длиной до 1 мм, шириной 1.5–3.2 мм, толщиной около 1 мм, с хорошо выраженным ушком при основании акроскопического края, шириной 6.5–11 мм, высотой около 3–3.6 мм и скошенной к акроскопическому краю закругленной верхушкой (табл. IX, фиг. 4, 5, 7, 8). В средней части перышка на 1 мм приходятся 5–6 жилок (рис. 3, г).
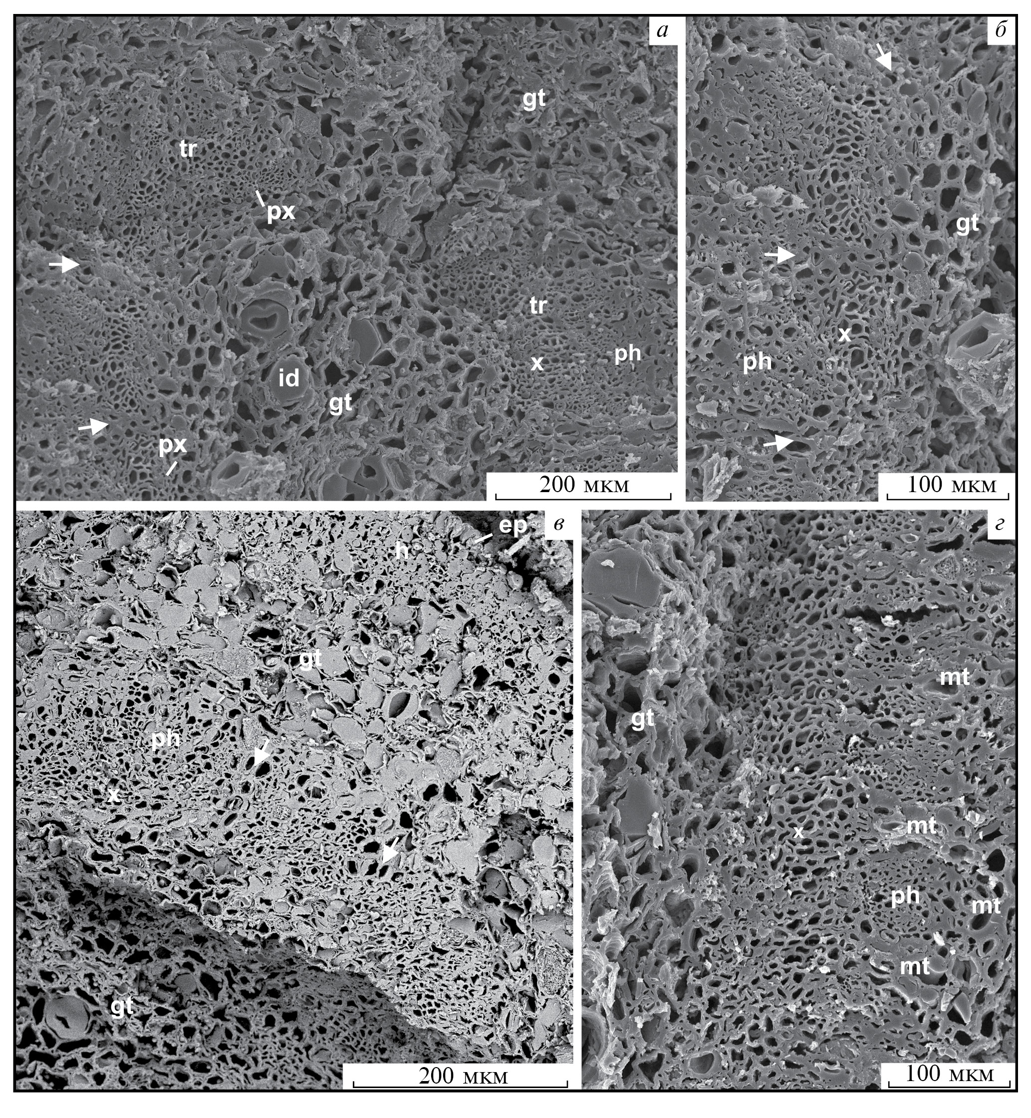
Рис. 1. Otozamites meyenii sp. nov.: а–в, д – экз. ПИН, № 5173/88, СЭМ: а – устьичный аппарат с венечной клеткой, образованной продольным делением одной из побочных клеток; б – продольный скол через устьичный аппарат; в – устьичный аппарат с дополнительной побочной клеткой, образованной поперечным делением материнской побочной клетки; д – поперечный скол рахиса, верхний ряд проводящих пучков выглядит как замкнутый круг за счет деформации тканей; г, е–з – экз. ПИН, № 5173/87: г – поперечный скол рахиса, мелкими стрелками показаны прорывы между проводящими пучками, крупными стрелками показаны прорывы в местах отделения проводящих пучков, васкуляризующих перышки, СЭМ; e – фрагмент проводящей системы рахиса, мелкими стрелками показаны прорывы между проводящими пучками, крупной стрелкой показан прорыв в месте отделения проводящих пучков, васкуляризующих перышко, СЭМ; ж – конфигурация проводящей системы рахиса на поперечной томограмме, вверху слева видна пара проводящих пучков, отходящих к перышку; з – конфигурация проводящей системы на горизонтальном срезе, томограмма. Обозначения: ep – эпидермис; h – гиподерма; gt – основная ткань; vb – проводящий пучок; ph – флоэма; x – ксилема; tr – проводящий пучок, васкуляризующий перышко.
Рахис у недеформированных экземпляров в поперечном сечении почти округлый (рис. 1, г). Кутикула рахиса толщиной около 5 мкм. Наружная поверхность кутикулы слабостриатная (табл. X, фиг. 1). Основные эпидермальные клетки продольно ориентированные, преимущественно четырехугольные, реже треугольные или пятиугольные, длиной 12–85 мкм, шириной 6–20 мкм, часто образованные септированием длинной веретеновидной клетки (табл. X, фиг. 6, 9). Периклинальные клеточные стенки плоские; антиклинальные стенки клиновидно утолщенные, прямые до извилистых (амплитуда извилистости 5–20 мкм), толщиной 2–20 мкм (табл. X, фиг. 9). Иногда кутинизация затрагивает внутренние периклинальные стенки клеток (табл. X, фиг. 7).
Устьица присутствуют по всей поверхности эпидермиса рахиса, но распределены неравномерными скоплениями из нескольких устьиц, либо одиночно (табл. X, фиг. 1, 6, 8). Плотность распределения устьиц около 30×1 мм2. Встречаются достаточно крупные участки без устьиц (табл. X, фиг. 9). Устьичные аппараты преимущественно поперечно, реже косо ориентированные, синдетохейльные, сильно погруженные относительно окружающих их четырех–семи венечных клеток (табл. X, фиг. 1, 6–8). Наружные периклинальные стенки замыкающих клеток крыловидные, с хорошо развитыми полярными выростами, сильно кутинизированные, длиной 30–33 мкм, шириной 12–13 мкм; длина апертуры 7–9 мкм. Побочные клетки от полуовальных до трапециевидных, с прямыми антиклинальными стенками, сильно кутинизированные, без папилл, длиной 40–93 мкм, шириной 34–41 мкм. Поверхность рахиса покрыта беспорядочно расположенными трихомами; плотность распределения примерно 70 × 1 мм2 (табл. X, фиг. 1). Основания трихом округлые либо эллипсоидальные, одноклеточные и двуклеточные, длиной 35–45 мкм, шириной 17–27 мкм (табл. X, фиг. 2, 4). Трихомы полусферические либо сосочковидные, тонко кутинизированные, высотой 10–15 мкм, часто повреждены в верхней части (табл. X, фиг. 3, 5).
Гиподерма в среднем толщиной шесть–восемь клеток (на адаксиальной стороне рахиса толщина достигает 14 клеток), состоит из полигональных в поперечном сечении тонкостенных прозенхиматозных клеток длиной от 330 мкм, диаметром 6–15 мкм, с клеточными просветами, заполненными стеклянистым веществом (рис. 1, е; 2, в; 4, в). Основная ткань, расположенная под гиподермой, толщиной шесть–восемь клеток. Клетки коры прозенхиматозные, округло-полигональные в поперечном сечении, с пористыми клеточными стенками. Длина клеток коры до 150 мкм, диаметр 8–20 мкм; между клетками имеются небольшие межклетники (рис. 2, в).
Рис. 2. Otozamites meyenii sp. nov., экз. ПИН, № 5173/87, СЭМ: а – деталь рис. 1, е, виден прорыв в месте отделения двух проводящих пучков, васкуляризующих перышко, стрелками показаны прорывы между проводящими пучками; б – деталь рис. 1, е, фрагмент верхнего ряда проводящих пучков, стрелками показаны прорывы между проводящими пучками; в – фрагмент поперечного скола рахиса, видны эпидермис, гиподерма, основная ткань и несколько проводящих пучков из нижнего ряда; г – деталь рис. 1, е, фрагмент нижнего ряда проводящих пучков, демонстрирующий крупный участок без прорывов в ксилеме. Обозначения: id – идиобласты; mt – механическая ткань; px – протоксилема; остальные как на рис. 1.
Центральную часть сечения, высотой около 2 мм, шириной примерно 1.8 мм, занимает проводящая система рахиса, состоящая из двух расположенных друг над другом, адаксиально вогнутых U-образных рядов коллатеральных пучков с ориентированной вовнутрь ксилемой (рис. 1, г–з; 5, г–ж). Границы отдельных пучков хорошо видны только у наиболее полно сохранившегося экземпляра. Верхний и нижний ряды образованы семью и пятью проводящими пучками, соответственно. Пучки шириной 0.2–1.5 мм разделены очень узкими, одна–три клетки шириной, межпучковыми зонами (рис. 1, г, е; 2, а–г; 4, а). При этом в верхнем и нижнем ряду хорошо выражены центральные пучки, относительно которых пучки левой и правой стороны развиты несимметрично и значительно различаются по ширине. Наиболее крупные из них представляют собой протяженные пластины, потенциально способные к дальнейшему делению на более мелкие пучки (рис. 1, г). Эмиссия происходит за счет пары пучков, отходящих от краев верхнего и нижнего ряда (рис. 1, г, ж; 5, г–ж). Флоэма хорошо сохранилась, представлена эллипсоидальными в поперечном сечении тяжами шириной 31–74 мкм, толщиной 77–90 мкм, сложенными девятью–пятнадцатью слоями клеток диаметром 2.5–13 мкм и разделенными клиньями толстостенной механической ткани, диаметр клеток в поперечном сечении 7.5–36 мкм (рис. 2, г). Периодически клинья механической ткани вдаются также в массив ксилемы, образуя прорывы, разделяющие верхний и нижний ряды кольца на отдельные проводящие пучки (рис. 2, а–г; 4, а). С внешней стороны флоэма также оконтурена тонким нерегулярным слоем механической ткани (рис. 2, г; 4, а). Ксилема сложена 4–10 (11) слоями полигональных трахеид (рис. 1, е; 2, а–г; 4, а). Протоксилема эндархная, сохраняется плохо (рис. 2, а). В проводящем пучке присутствуют трахеиды со спиральными, лестничными и сетчатыми утолщениями, а также трахеиды с лестничными и округлыми окаймленными порами (рис. 4, б, г; 5, а–в). Также встречаются трахеиды со спиральными утолщениями и крупными эллипсоидальными либо почти прямоугольными простыми порами между ними (рис. 4, г; 5, б).
Основная ткань ковнутри от ксилемы представлена прозенхиматозными тонкостенными клетками, округло-полигональными в поперечном сечении, диаметром 9.5–33 мкм, более или менее прямоугольными в продольном сечении, длиной до 175 мкм (рис. 4, д). Основная ткань кнаружи и ковнутри от проводящих тканей содержит многочисленные крупные идиобласты диаметром 3–63 мкм, длиной 114–200 мкм, образующие протяженные цепочки, полученные септированием материнской клетки (рис. 1, г–з; 2, а, в, г; 4, а, д).
Перышко васкуляризуется парой проводящих пучков, отходящих от краев верхнего и нижнего ряда проводящих пучков, образуя широкий прорыв (рис. 1, е, ж; 2, а; 5, г, ж). Пучки, не сливаясь, следуют в черешочек, при этом разворачиваются ксилемой вверх и затем несколько раз делятся (рис. 1, ж; 5, д, ж).
Из черешочка в основание перышка входят около 10 коллатеральных проводящих пучков (табл. IX, фиг. 10), далее многократно дихотомирующих. Проводящие пучки черешочка диаметром 100–300 мкм, с ксилемой, состоящей из четырех–шести рядов трахеид диаметром 3.5–12 мкм со спиральными, сетчатыми и лестничными утолщениями и протоксилемой, представляющей собой группу из четырех–пяти трахеид диаметром 4–5.5 мкм, со спиральными утолщениями; со стороны протоксилемы имеется небольшой массив механической ткани, сложенной прозенхиматозными клетками диаметром около 11 мкм (табл. IX, фиг. 11, 12). Тяжи флоэмы пучка шириной до 12 мкм, толщиной до 27 мкм; разделены между собой вклинивающимися слабосклерифицированными клетками диаметром 15–27 мкм, образующими небольшой массив механической ткани под элементами флоэмы (табл. IX, фиг. 12).
Перышки гипостомные. Наружная поверхность кутикулы верхнего эпидермиса гладкая, внутренняя поверхность обнаруживает более или менее изометричные (иногда вытянутые вдоль жилок) амебовидные клетки длиной 30–92 мкм, шириной 30–38 мкм, с сильноизвилистыми антиклинальными стенками; амплитуда извилистости 7–15 мкм (рис. 3, а, б). Нижний эпидермис с выраженным чередованием устьичных и безустьичных зон (рис. 3, а, г). Основные клетки безустьичных и устьичных зон однотипные, более или менее изометричные, от округло-четырехугольных до округло-восьмиугольных, длиной 12.5–41 мкм, шириной 12.5–31 мкм; периклинальные клеточные стенки с крупными, сильно кутинизированными центральными либо краевыми полыми, преимущественно пальцевидными (реже полусферическими и низко-коническими) папиллами с диаметром основания 9–24 мкм, высотой до 45 мкм; антиклинальные клеточные стенки слабоизвилистые (амплитуда извилистости до 5 мкм), клиновидно кутинизированные; несут округлые простые поры диаметром 1.5–4.6 мкм (рис. 3, а–е). В основании перышка кутинизация может частично затрагивать внутренние периклинальные стенки клеток (табл. X, фиг. 11), а в безустьичных зонах встречаются волоски, сходные с волосками на рахисе (табл. X, фиг. 10). Безустьичные зоны шириной 3–8 клеток (табл. X, фиг. 11; рис. 3, г, д).
Рис. 3. Otozamites meyenii sp. nov., голотип ПИН, № 5173/85, СЭМ: а – внутренняя поверхность разворота кутикулы перышка, видны абаксиальная сторона, адаксиальная сторона и переходная маргинальная зона; б – наружная поверхность разворота кутикулы перышка, видны абаксиальная папиллозная сторона, адаксиальная сторона без папилл и переходная маргинальная зона со слабо развитыми папиллами; в – наружная поверхность абаксиальной кутикулы, стрелкой показаны папиллы, плотно смыкающиеся над устьичным аппаратом; г – внутренняя поверхность абаксиальной кутикулы, видна топография эпидермиса; д – устьичная зона, видны устьичные аппараты с латеральной венечной клеткой, образованной продольным делением побочной клетки; е – устьичный аппарат с латеральной венечной клеткой, окруженный кольцом клеток со сросшимися между собой папиллами; ж – папиллы на основных клетках нижнего эпидермиса, также видны крупные поры на антиклинальных клеточных стенках.
Рис. 4. Otozamites meyenii sp. nov., экз. ПИН, № 5173/87, СЭМ: а – фрагмент верхнего ряда проводящих пучков, стрелками показаны прорывы между проводящими пучками; б – трахеиды со спиральными утолщениями и лестничными окаймленными порами; в – фрагмент горизонтального скола рахиса, видны клетки эпидермиса с пористыми стенками, прозенхиматозные клетки гиподермы и клетки основной паренхимы; г – трахеида со стенкой, имеющей внутренние спиральные утолщения и крупные простые поры; д – фрагмент горизонтального скола рахиса, видны проводящий пучок и основная паренхима ковнутри от него, содержащая идиобласты. Обозначения как на рис. 1 и 2.
Рис. 5. Otozamites meyenii sp. nov., экз. ПИН, № 5173/87: а–в – СЭМ: а – трахеиды с сетчатыми утолщениями и трахеиды с лестничными и округлыми окаймленными порами; б – трахеиды с лестничными окаймленными порами и трахеида со стенкой, совмещающей внутренние утолщения и простые поры; в – трахеида с сетчатыми утолщениями и трахеида с округлыми окаймленными порами; г–ж – томограммы, иллюстрирующие положение проводящих пучков, васкуляризующих перышко: г – поперечный виртуальный срез, черной линией показано соотношение со срезом на рис. 5, д; д – вертикальный виртуальный срез, черной линией показано соотношение со срезом на рис. 5, г; е – поперечный виртуальный срез, черной линией показано соотношение со срезом на рис. 5, ж; ж – вертикальный виртуальный срез, черной линией показано соотношение со срезом на рис. 5, e. Обозначения: tr1 – проводящий пучок, отделившийся от верхнего ряда проводящих пучков; tr2 – проводящий пучок, отделившийся от нижнего ряда проводящих пучков; ub – верхний ряд проводящих пучков; lb – нижний ряд проводящих пучков; pt – черешочек; остальные как на рис. 1; белыми линиями обозначено соответствие тканей рахиса на поперечном и вертикальном срезах.
Устьичные аппараты в пределах устьичной зоны расположены в продольных цепочках, (рис. 1, а, г). На ширину устьичной зоны приходится один–три устьичных аппарата (табл. X, фиг. 11; рис. 3, а, г, д). Устьичные аппараты сильно погружены относительно окружающих клеток и ориентированы преимущественно поперечно, реже продольно, синдетохейльные (рис. 3, а, г–е). Замыкающие клетки крыловидные, длиной 27–32 мкм, шириной 13–16 мкм, сильно кутинизированные, особенно в области апертурной стенки; длина апертуры 11–16 мкм. Побочные клетки обычно полукруглые либо трапециевидные, длиной 27–40 мкм, шириной 16–30 мкм. Часто одна из побочных клеток делится продольно, образуя латеральную венечную клетку, примерно равную ей по размеру и по форме, несущую небольшую центральную полую папиллу с диаметром основания 5.5–8 мкм (рис. 3, д, е). Изредка одна из побочных клеток делится поперечно, образуя две клетки, примыкающие к замыкающей клетке устьица (рис. 1, в). 7–13 клеток, образующие кольцо вокруг устьичного аппарата, несут длинные пальцевидные папиллы со сросшимися основаниями, часто очень плотно смыкающиеся над устьичной ямкой (рис. 1, б; 3, б, в, е).
Сравнение. По морфологии перышек Otozamites meyenii sp. nov. демонстрирует наибольшее сходство c O. venosus Harris из средней юры Йоркшира, Англия (Harris, 1969), но отличается от него более выраженным ушком у основания акроскопического края и намного меньшими размерами перышек. Также имеется сходство по морфологии перышек с O. furoni Boureau из нижней юры Ирана (Schweitzer, Kirchner, 2003), но у последнего жилкование более редкое, а жилки более крупные, чем у нового вида.
По наличию сильно погруженных устьиц Otozamites meyenii sp. nov. обнаруживает сходство с O. beani (Lindley et Hutton) Harris, O. graphicus (Lekenby) Harris, O. leckenbyi Harris, O. gramineus (Phillips) Harris, O. parallelus Phillips, O. mimetes Harris и O. penna Harris из средней юры Йоркшира, Англия, O. pulcher Barnard et Miller из нижней–средней юры Ирана (Barnard, Miller, 1976; Schweitzer, Kirchner, 2003), O. linearis из нижней юры Восточной Антарктиды (Bomfleur et al., 2011), а также с О. kerae Ohana et Kimura и O. takahashii Ohana et Kimura из нижнего мела Японии (Ohana, Kimura, 1991).
По наличию папиллозной венечной клетки, образовавшейся продольным делением одной из побочных клеток, новый вид сходен с Otozamites paradoxus Gordenko из средней юры местонахождения Пески, Московская обл. (Gordenko, 2008), но у последнего полностью отсутствуют папиллы на основных клетках эпидермиса.
Новый вид отличается от всех известных видов Otozamites наличием на клетках нижнего эпидермиса густо расположенных длинных пальцевидных папилл, диаметр основания которых обычно практически равен диаметру несущих их клеток. У O. mortonii папиллы также достаточно густо расположенные, но они имеют грибовидную форму и вдвое больший диаметр основания. У O. tenuatus (Leckenby) Phillips из средней юры Йоркшира (Harris, 1969) папиллы рассредоточенные, от небольших куполовидных до длинных узко-конических. При этом площадь основания папиллы более чем в пять раз меньше площади несущей ее антиклинальной стенки; папиллы венечных клеток устьичного аппарата не срастаются. Два экземпляра из нижней юры Аляски (Barbacka et al., 2006), отнесенные к O. tenuatus, несколько отличаются от типового материала, поскольку обнаруживают не только полусферические и конические папиллы, но также булавовидные и пальцевидные.
По нашим представлениям, виды рода Otozamites, для которых получены данные по анатомии (O. meyenii sp. nov., O. kerae и O. mortonii), имеют единый план строения проводящей системы: круг, состоящий из двух рядов проводящих пучков с ксилемой, обращенной вовнутрь (см. Обсуждение).
Для всех трех видов характерны несклерифицированные гиподерма и основная ткань рахиса. При этом новый вид обнаруживает большее сходство с O. mortonii, у которого проводящая система рахиса состоит из нескольких почти полностью объединенных пучков (Dower et al., 2004).
У O. kerae, в отличие от O. meyenii sp. nov. и O. mortonii, проводящие пучки, образующие проводящие ткани круга, хорошо различимы. Пара проводящих пучков, васкуляризующих перышко, сливается, входя в его основание, тогда как у нового вида пучки следуют к основанию перышка параллельно.
Материал. Девять экз., представленных лигнитизированными фрагментами рахисов и изолированными перышками, из одного местонахождения.
Обсуждение
Все беннеттиты, для которых известно анатомическое строение листьев, характеризуются одинаковой общей архитектурой проводящей системы рахиса: проводящие пучки образуют у них один круг, состоящий из двух расположенных друг над другом адаксиально вогнутых рядов коллатеральных пучков с ориентированной вовнутрь ксилемой (Vishnu-Mittre, 1956; Rao, Achuthan, 1967; Sharma, 1967; Bose, Zeba-Bano, 1978; Ohana, Kimura, 1991; Yamada, 2009; Yamada et al., 2009; Ray et al., 2014); этой модели соответствует также проводящая система рахиса Otozamites meyenii sp. nov. Варьирование данной структуры относится только к второстепенным признакам, таким как число отдельных проводящих пучков, расстояние между ними, степень выпуклости обоих рядов пучков, а также развитие сопровождающей их механической ткани и распределение паренхимы. Единственным возможным исключением является O. mortonii (Dower et al., 2004), проводящая система рахиса которого описана как состоящая из двух кругов проводящих пучков, ксилема внешнего из которых, имеющего форму подковы, ориентирована вовнутрь, а внутреннего цилиндрического – наружу. К сожалению, сохранность материала плохая, и на иллюстрациях верхняя часть цилиндрического пучка видна неотчетливо. Есть вероятность, что изначально данный пучок имел U-образную форму, и его “замыкание” связано с возникшей в процессе фоссилизации деформацией, признаки которой (механические повреждения, смещение перышек) хорошо заметны на иллюстрациях; в этом случае структура проводящей системы рахиса O. mortonii также соответствует общей модели, характерной для остальных беннеттитов. Это предположение подтверждается на изученном нами материале, где можно видеть, как при боковой деформации в процессе фоссилизации верхний ряд проводящих пучков практически замыкается (рис. 1, д), создавая иллюзию наличия внутреннего кольца.
Сравнение анатомического строения рахиса у Otozamites mortonii, O. kerae и O. meyenii sp. nov., показывает, что особенностью рахиса Otozamites является отсутствие склерификации гиподермальной и основной тканей. Также подтверждается васкуляризация перышек путем отделения двух пучков (по одному от верхнего и нижнего ряда), однако у O. meyenii sp. nov., в отличие от O. kerae, они не сливаются и дихотомируют независимо друг от друга. Возможно, такой тип васкуляризации перышка был характерен для O. lacustris, имевшего в центральной части перышка две более выраженные параллельные жилки (Krassilov, 1982).
Заслуживает внимания более детальное изучение строения проводящих элементов ксилемы в листьях беннеттитов, для которых обычно указываются трахеиды со спиральными и лестничными утолщениями (Bose, Kasat, 1972; Bose, Zeba-Bano, 1978; Ohana, Kimura, 1991; Ray et al., 2014). При ближайшем рассмотрении трахеиды в листьях беннеттитов более разнообразны. Так, трахеиды с лестничными и округлыми окаймленными порами, часто имеющие внутренние спиральные утолщения, обнаружены в жилках Sympterophyllum Gordenko et Broushkin (Gordenko, Broushkin, 2010). У Ptilophyllum riparium Gordenko также были обнаружены трахеиды, стенка которых совмещает округлые окаймленные поры с внутренними спиральными утолщениями (Баженова, Баженов, в печати). У нового вида, помимо трахеид с лестничными и спиральными утолщениями, имеются трахеиды с лестничными и округлыми окаймленными порами, а также трахеиды, сочетающие крупные простые поры и спиральные утолщения.
В.А. Красилов описал в жилках перышек Otozamites lacustris проводящие элементы со стенкой, по его мнению, совмещающей спирально-сетчатые утолщения с простыми межсосудистыми порами, а также короткие веретеновидные клетки, интерпретированные как сосуды с перфорационными пластинками (Krassilov, 1982; Красилов, 1989). Поскольку данные для O. lacustris были получены на мацерированном материале, детали строения клеток видны неотчетливо, а их отношение к проводящему пучку неясно. Наши исследования тканей в СЭМ показали, что стенки клеток коры и клеток обкладки проводящего пучка у Ptilophyllum riparium (Баженова, Баженов, в печати) и Otozamites meyenii sp. nov. имеют многочисленные достаточно крупные округлые, эллипсоидальные либо веретеновидные простые поры. В целом, многочисленные округлые и эллипсоидальные простые поры характерны для клеток почти всех типов тканей O. meyenii sp. nov. и Ptilophyllum riparium. Изображения, интерпретированные в работе Красилова как сосуды с перфорационными пластинками (Krassilov, 1982; табл. 6, фиг. 62–65), по нашим данным (табл. IX, фиг. 13), являются слепками клеток обкладки проводящего пучка, имевших простые поры, а длинные клетки (Krassilov, 1982; табл. 6, фиг. 60, 61), скорее всего, являются трахеидами. Таким образом, наличие сосудов у Otozamites не подтверждается. Вместе с тем, трахеиды со стенкой, сочетающей крупные простые поры и спиральные утолщения, обнаруженные нами у O. meyenii sp. nov., характерны для некоторых покрытосеменных (Bierhorst, 1971).
Финансирование работы
Данная работа финансировалась за счет средств бюджета Палеонтологического института им. А.А. Борисяка Российской академии наук. Никаких дополнительных грантов на проведение или руководство данным конкретным исследованием получено не было.
Конфликт интересов
Авторы данной работы заявляют, что у них нет конфликта интересов.
Объяснение к таблице IX
Фиг. 1–15. Otozamites meyenii sp. nov.: 1 – экз. ПИН, № 5173/86, фрагмент рахиса, СМ; 2 – экз. ПИН, № 5173/87, фрагмент рахиса, СМ; 3 – паратип ПИН, № 5173/88, фрагмент рахиса, СМ; 4 – экз. ПИН, №5173/89, фрагмент перышка, СМ; 5 – голотип ПИН, № 5173/85, фрагмент перистого листа, СМ; 6, 10–15 – экз. ПИН, № 5173/90: 6 – фрагмент рахиса, СМ; 10 – основание черешочка, проводящие пучки показаны стрелками, СЭМ; 11 – фрагмент фиг. 10, видны два проводящих пучка и окружающие их ткани, СЭМ; 12 – фрагмент фиг. 10, проводящий пучок, СЭМ; 13 – фрагмент фиг. 10, прозенхиматозные клетки с многочисленными порами, граничащие с проводящим пучком, СЭМ; 14 – фрагмент фиг. 10, ксилема проводящего пучка, видны трахеиды со спиральными, лестничными и сетчатыми утолщениями, СЭМ; 15 – фрагмент фиг. 10, ксилема проводящего пучка, видны трахеиды со спиральными и лестничными утолщениями, СЭМ; 7 – экз. ПИН, № 5173/91, фрагмент перышка, СМ; 8 – экз. ПИН, № 5173/92, фрагмент рахиса с основанием перышка, СМ; 9 – экз. ПИН, № 5173/93, фрагмент рахиса, СМ; Михайловский рудник; средний бат.
Обозначения: ep – эпидермис; gt – основная ткань; mt – механическая ткань; ph – флоэма; x – ксилема; px – протоксилема; vb – проводящий пучок; pr – прозенхиматозная ткань.
Объяснение к таблице X
Фиг. 1–11. Otozamites meyenii sp. nov., экз. ПИН, № 5173/88, СЭМ: 1 – наружная поверхность кутикулы рахиса, видны устьичные ямки и трихомы; 2 – двуклеточное основание трихомы; 3 – трихома с двуклеточным основанием; 4 – одноклеточное основание трихомы; 5 – трихома с одноклеточным основанием; 6 – внутренняя поверхность кутикулы рахиса, видны устьичные аппараты; 7 – устьичный аппарат и окружающие его основные клетки эпидермиса с частично сохранившейся кутинизацией внутренних периклинальных стенок; 8 – сильно сближенные устьичные аппараты; 9 – участок эпидермиса без устьиц; 10 – наружная поверхность абаксиальной кутикулы черешочка; 11 – внутренняя поверхность абаксиальной кутикулы черешочка ; Михайловский рудник; средний бат.
Таблица IX |
Таблица X |
About the authors
N. V. Bazhenova
Borissiak Paleontological Institute, Russian Academy of Sciences
Author for correspondence.
Email: gordynat@mail.ru
Russian Federation, Moscow
References
- Горденко Н.В., Броушкин А.В. Семенные органы Trisquamales ordo nov. (Gymnospermae) из средней юры Курской области, европейская часть России // Палеонтол. журн. 2018. № 1. С. 86–104.
- Красилов В.А. Происхождение и ранняя эволюция цветковых растений. М.: Наука, 1989. 263 с.
- Barale G. La paléoflore Jurassique du Jura Français: étude systématique, aspects stratigraphiques et paléoécologiques. Villeurbanne, 198l. 467 p. (Docum. Lab. Géol. Lyon. 198l. № 81).
- Barbacka M., Pálfy J., Smith P.L. Hettangian (Early Jurassic) plant fossils from Puale Bay // Rev. Palaeobot. Palynol. 2006. V. 142. № 1–2. P. 33–46.
- Barnard P.D., Miller J. Flora of the Shemshak Formation (Elburs, Iran), Part 3: Middle Jurassic (Dogger) plants from Katumbargah, Vasek Gah Imam Manak // Palaeontogr. Abt. B. 1976. Bd 155. Lief. 1–4. P. 31–117.
- Bierhorst D.V. Morphology of Vascular Plants. N.-Y.: Macmillan, 1971. 560 p.
- Bomfleur B., Pott Ch., Kerp H. Plant assemblages from the Shafer Peak Formation (Lower Jurassic), north Victoria Land, Transantarctic Mountains // Antarctic Sci. 2011. V. 23. № 2. Р. 188–208.
- Bose M.N., Kasat M.L. The genus Ptilophyllum in India // Palaeobotanist. 1972. V. 19. № 2. P. 115–145.
- Bose M.N., Zeba-Bano. The genus Dictyozamites Oldham from India // Palaeobotanist. 1978. V. 25. P. 79–99.
- Dower B.L., Bateman R.M., Stevenson D.W. Systematics, ontogeny, and phylogenetic implications of exceptional anatomically preserved cycadophyte leaves from the Middle Jurassic of Bearreraig Bay, Skye, Northwest Scotland // The Botan. Rev. 2004. V. 70. № 2. P. 105–120.
- Gordenko N.V. Middle Jurassic flora of the Peski locality (Moscow Region): systematics, paleoecology, and phytogeography // Paleontol. J. 2008. V. 42. № 12. P. 1285–1382.
- Gordenko N.V., Broushkin A.V. A new bennettitalean genus from the Middle Jurassic of the Mikhailovskii Rudnik locality (Kursk Region, Russia) // Paleontol. J. 2010. V. 44. № 10. P. 1308–1320.
- Gupta K.M., Sharma B.D. Investigations on the Jurassic flora of the Rajmahal hills, India: 2 – On a new species of Ptilophyllum, P. sahnii from Amarjola in Amarapara region // J. Palaeontol. Soc. India. 1968. V. 11. № 5–9. P. 21–28.
- Harris Т.М. The Yorkshire Jurassic Flora, III. L.: Brit. Mus. (Natur. Hist.), 1969. 186 р.
- Krassilov V.A. Early Cretaceous flora of Mongolia // Palaeontogr. Abt. B. 1982. Bd 181. Lief. 1–3. P. 1–43.
- Ohana T., Kimura T. Permineralized Otozamites leaves (Bennettitales) from the Upper Cretaceous of Hokkaido, Japan // Trans. Proc. Palaeontol. Soc. Japan. 1991. V. 164. P. 944–963.
- Rao A.R., Achuthan V. Further contribution to our knowledge of the anatomy of Ptilophyllum // Palaebotanist. 1967. V. 16. № 3. P. 249–257.
- Ray M.M., Rothwell G.W., Stockey R.A. Anatomically preserved Early Cretaceous Bennettitalean leaves: Nilssoniopteris corrugata n. sp. from Vancouver Island, Canada // J. Paleontol. 2014. V. 88. № 5. P. 1085–1093.
- Sharma S.D. Investigation on the Jurassic flora of Rajmahal Hills, India. 3. A review of the genus Ptilophyllum of Morris, with description of two new species from Amarjola in the Rajmahal Hills // Palaeontogr. Abt. B. 1967. Bd 120. Lief. 5–6. P. 139–150.
- Schweitzer H.-J., Kirchner M. Die rhäto-jurassischen Floren des Iran und Afghanistans: 13. Cycadophyta III. Bennettitales // Palaeontogr. Abt. B. 2003. Bd 264. Lief. 1–6. S. 1–166.
- Tidwell W.D., Kim J.H., Kimura T. Mid-Mesozoic leaves from near Ida Bay, southern Tasmania, Australia // Pap. Proc. R. Soc. Tasman. 1987. V. 121. P. 159–170.
- Vishnu-Mittre. Studies on the fossil flora of Nipania, Rajmahal Series, India – Bennettitales // Palaeobotanist. 1956. V. 5. № 2. P. 95–99.
- Yamada T. Structurally preserved Zamites bayeri Kvaček from the Coniacian Kashima Formation (Yezo Group) of Hokkaido, Japan // Cret. Res. 2009. V. 30. № 5. P. 1301–1306.
- Yamada T., Legrand J., Nishida H. Structurally preserved Nilssoniopteris from the Arida Formation (Barremian, Lower Cretaceous) of southwest Japan // Rev. Palaeobot. Palynol. 2009. V. 156. № 3–4. P. 410–417.
Supplementary files









