Double Covalence Bonding of Biliverdin in Near-Infrared Fluorescent Protein Prevents Their Proteolitic Degradation
- Authors: Stepanenko O.V.1, Stepanenko O.V.1
-
Affiliations:
- Institute of Cytology RAS
- Issue: Vol 65, No 1 (2023)
- Pages: 102-110
- Section: Articles
- URL: https://medbiosci.ru/0041-3771/article/view/140077
- DOI: https://doi.org/10.31857/S0041377123010108
- EDN: https://elibrary.ru/GLEWOB
- ID: 140077
Cite item
Full Text
Abstract
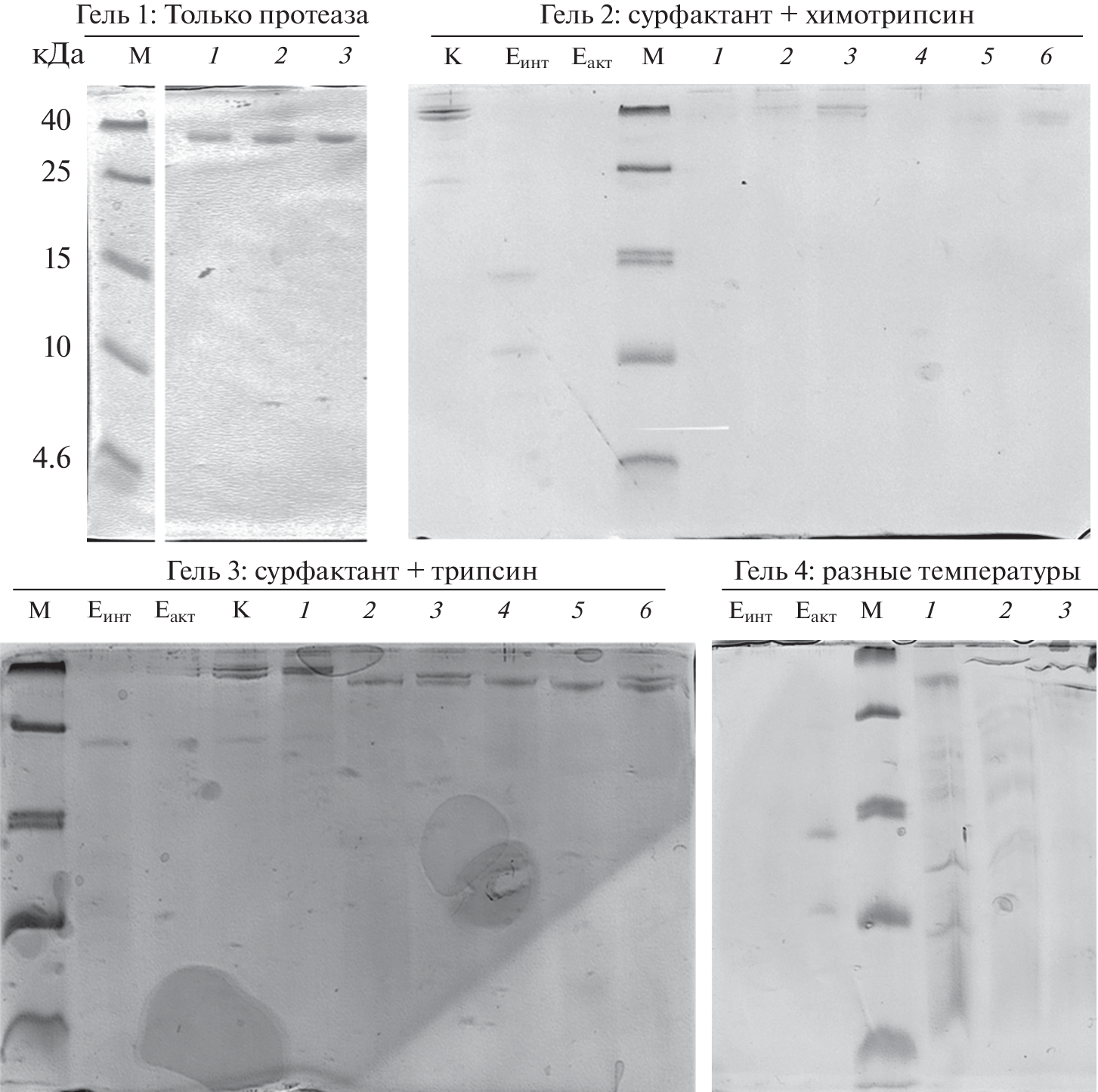
In the present work, we analyze how the double covalent binding of biliverdin ligand (BV) in the near-infrared fluorescent protein iRFP670, containing two key cysteine residues, affects the stability of this biomarker to proteolytic degradation. It has been previously found that the covalent attachment of BV simultaneously with two cysteine residues is the cause of the highest fluorescence quantum yield of BV-containing near-infrared fluorescent proteins (NIR FPs) with two key cysteine residues compared to other BV-containing NIR FPs. Our data indicate that the covalent binding of BV in NIR-FP with two key cysteine residues simultaneously with two regions of the polypeptide chain, which, in addition, forms a figure-of-eight knot, leads to screening of many cleavage sites by the proteolytic enzymes trypsin and chymotrypsin in them.As a result, the covalent binding of BV in NIR FPs simultaneously with two cysteine residues not only stabilizes their structure, but their resistance to proteolytic degradation can also increase, which determines the cellular stability of biomarkers and is important for their use as fluorescent tag in the cell.
About the authors
Olga V. Stepanenko
Institute of Cytology RAS
Author for correspondence.
Email: sov@incras.ru
Russia, 194064, St. Petersburg
Olesya V. Stepanenko
Institute of Cytology RAS
Email: sov@incras.ru
Russia, 194064, St. Petersburg
References
- Abagyan R., Totrov M., Kuznetsov D. 1994. ICM-A New Method for protein modeling and design: applications to docking and structure prediction from the distorted native conformation. J. Comput. Chem. V. 15. P. 488.
- Baloban M., Shcherbakova D.M., Pletnev S., Pletnev V.Z., Lagarias J.C., Verkhusha V.V. 2017. Designing brighter near-infrared fluorescent proteins: insights from structural and biochemical studies. Chem. Sci. V. 8. P. 4546. https://doi.org/10.1039/c7sc00855d
- Bellini D., Papiz M.Z. 2012. Dimerization properties of the RpBphP2 chromophore-binding domain crystallized by homologue-directed mutagenesis. Acta Crystallogr. D Biol. Crystallogr. V. 68. P. 1058. https://doi.org/10.1107/S0907444912020537
- Berkelman T.R., Lagarias J.C. 1986. Visualization of bilin-linked peptides and proteins in polyacrylamide gels. Anal. Biochem. V. 156. P. 194. https://doi.org/10.1016/0003-2697(86)90173-9
- Buhrke D., Tavraz N.N., Shcherbakova D.M., Sauthof L., Moldenhauer M., Velazquez Escobar F., Verkhusha V.V., Hildebrandt P., Friedrich T. 2019. Chromophore binding to two cysteines increases quantum yield of near-infrared fluorescent proteins. Sci. Rep. V. 9. P. 1866. https://doi.org/10.1038/s41598-018-38433-2
- Chernov K.G., Redchuk T.A., Omelina E.S., Verkhusha V.V. 2017. Near-Infrared fluorescent proteins, biosensors, and optogenetic tools engineered from phytochromes. Chem. Rev. V. 117. P. 6423. https://doi.org/10.1021/acs.chemrev.6b00700
- Diaz-Gonzalez F., Milano M., Olguin-Araneda V., Pizarro-Cerda J., Castro-Cordova P., Tzeng S.C., Maier C.S., Sarker M.R., Paredes-Sabja D. 2015. Protein composition of the outermost exosporium-like layer of Clostridium difficile 630 spores. J. Proteomics. V. 123. P. 1. https://doi.org/10.1016/j.jprot.2015.03.035
- Dutta S., Burkhardt K., Swaminathan G.J., Kosada T., Henrick K., Nakamura H., Berman H.M. 2008. Data deposition and annotation at the worldwide protein data bank. Methods Mol. Biol. V. 426. P. 81. https://doi.org/10.1007/978-1-60327-058-8_5
- Hsin J., Arkhipov A., Yin Y., Stone J.E., Schulten K. 2008. Using VMD: an introductory tutorial. Curr. Protoc. Bioinformatics. Chapter 5: Unit 5.7.
- Kapitulnik J., Maines M.D. 2012. The role of bile pigments in health and disease: effects on cell signaling, cytotoxicity, and cytoprotection. Front. Pharmacol. V. 3. P. 136. https://doi.org/10.3389/fphar.2012.00136
- Komatsu N., Aoki K., Yamada M., Yukinaga H., Fujita Y., Kamioka Y., Matsuda M. 2011. Development of an optimized backbone of FRET biosensors for kinases and GTPases. Mol. Biol. Cell. V. 22(23). P. 4647. https://doi.org/10.1091/mbc.E11-01-0072
- Krey J.F., Sherman N.E., Jeffery E.D., Choi D., Barr-Gillespie P.G. 2015. The proteome of mouse vestibular hair bundles over development. Sci. Data. V. 2. P. 150047. https://doi.org/10.1038/sdata.2015.47
- Laemmli U.K. 1970. Cleavage of structural proteins during the assembly of the head of bacteriophage T4. Nature. V. 227. P. 680. https://doi.org/10.1038/227680a0
- Li L., Shemetov A.A., Baloban M., Hu P., Zhu L., Shcherbakova D.M., Zhang R., Shi J., Yao J., Wang L.V., Verkhusha V.V. 2018. Small near-infrared photochromic protein for photoacoustic multi-contrast imaging and detection of protein interactions in vivo. Nat. Commun. V. 9. P. 2734. https://doi.org/10.1038/s41467-018-05231-3
- Matlashov M.E., Shcherbakova D.M., Alvelid J., Baloban M., Pennacchietti F., Shemetov A.A., Testa I., Verkhusha V.V. 2020. A set of monomeric near-infrared fluorescent proteins for multicolor imaging across scales. Nat. Commun. V. 11. P. 239. https://doi.org/10.1038/s41467-019-13897-6
- Merritt E.A., Bacon D.J. 1997. Raster3D: photorealistic molecular graphics. Methods Enzymol. V. 277. P. 505. https://doi.org/10.1016/S0076-6879(97)77028-9
- Mine Y., Ma F., Lauriau S. 2004. Antimicrobial peptides released by enzymatic hydrolysis of hen egg white lysozyme. J. Agric. Food Chem. V. 52(5). P. 1088. https://doi.org/10.1021/jf0345752
- Proctor V.A., Cunningham F.E. 1988. The chemistry of lysozyme and its use as a food preservative and a pharmaceutical. Crit. Rev. Food Sci. Nutr. V. 26. P. 359. https://doi.org/10.1080/10408398809527473
- Qian Y., Piatkevich K.D., Mc Larney B., Abdelfattah A.S., Mehta S., Murdock M.H., Gottschalk S., Molina R.S., Zhang W., Chen Y., Wu J., Drobizhev M., Hughes T.E., Zhang J., Schreiter E. et al. 2019. A genetically encoded near-infrared fluorescent calcium ion indicator. Nat. Methods. V. 16. P. 171. https://doi.org/10.1038/s41592-018-0294-6
- Rodriguez E.A., Campbell R.E., Lin J.Y., Lin M.Z., Miyawaki A., Palmer A.E., Shu X., Zhang J., Tsien R.Y. 2017. The growing and glowing toolbox of fluorescent and photoactive proteins. Trends Biochem. Sci. V. 42. P. 111. https://doi.org/10.1016/j.tibs.2016.09.010
- Schagger H. 2006. Tricine-SDS-PAGE. Nat. Protoc. V. 1. P. 16. https://doi.org/10.1038/nprot.2006.4
- Shcherbakova D.M., Baloban M., Pletnev S., Malashkevich V.N., Xiao H., Dauter Z., Verkhusha V.V. 2015. Molecular basis of spectral diversity in near-infrared phytochrome-based fluorescent proteins. Chem. Biol. V. 22. P. 1540. https://doi.org/10.1016/j.chembiol.2015.10.007
- Shcherbakova D.M., Cox Cammer N., Huisman T.M., Verkhusha V.V., Hodgson L. 2018a. Direct multiplex imaging and optogenetics of Rho GTPases enabled by near-infrared FRET. Nat. Chem. Biol. V. 14. P. 591. https://doi.org/10.1038/s41589-018-0044-1
- Shcherbakova D.M., Stepanenko O.V., Turoverov K.K., Verkhusha V.V. 2018b. Near-infrared fluorescent proteins: multiplexing and optogenetics across scales. Trends Biotechnol. V. 36. P. 1230. https://doi.org/10.1016/j.tibtech.2018.06.011
- Shin J.B., Pagana J., Gillespie P.G. 2009. Twist-off purification of hair bundles. Methods Mol. Biol. V. 493. P. 241. https://doi.org/10.1007/978-1-59745-523-7_14
- Stepanenko O.V., Baloban M., Bublikov G.S., Shcherbakova D.M., Stepanenko O.V., Turoverov K.K., Kuznetsova I.M., Verkhusha V.V. 2016. Allosteric effects of chromophore interaction with dimeric near-infrared fluorescent proteins engineered from bacterial phytochromes. Sci. Rep. V. 6. P. 18750. https://doi.org/10.1038/srep18750
- Stepanenko O.V., Kuznetsova I.M., Turoverov K.K., Stepanenko O.V. 2022. Impact of double covalent binding of BV in NIR FPs on their spectral and physicochemical properties. Int. J. Mol. Sci. V. 23. P. 7347. https://doi.org/10.3390/ijms23137347
- Stepanenko O.V., Stepanenko O.V., Bublikov G.S., Kuznetsova I.M., Verkhusha V.V., Turoverov K.K. 2017a. Stabilization of structure in near-infrared fluorescent proteins by binding of biliverdin chromophore. J. Mol. Str. V. 1140. P. 22. https://doi.org/10.1016/j.molstruc.2016.10.095
- Stepanenko O.V., Stepanenko O.V., Kuznetsova I.M., Shcherbakova D.M., Verkhusha V.V., Turoverov K.K. 2017b. Interaction of biliverdin chromophore with near-infrared fluorescent protein BphP1-FP engineered from bacterial phytochrome. Int. J. Mol. Sci. V. 18. P. 1009. https://doi.org/10.3390/ijms18051009
- Stepanenko O.V., Stepanenko O.V., Shpironok O.G., Fonin A.V., Kuznetsova I.M., Turoverov K.K. 2019. Near-Infrared markers based on bacterial phytochromes with phycocyanobilin as a chromophore. Int. J. Mol. Sci. V. 20. P. 6067. https://doi.org/10.3390/ijms20236067
- Subach O.M., Barykina N.V., Anokhin K.V., Piatkevich K.D., Subach F.V. 2019. Near-infrared genetically encoded positive calcium indicator based on GAF-FP bacterial phytochrome. Int. J. Mol. Sci. V. 20. P. 3488. https://doi.org/10.3390/ijms20143488
- Weissleder R. 2001. A clearer vision for in vivo imaging. Nat. Biotechnol. V. 19. P. 316. https://doi.org/10.1038/86684
- Yu D., Gustafson W.C., Han C., Lafaye C., Noirclerc-Savoye M., Ge W.P., Thayer D.A., Huang H., Kornberg T.B., Royant A., Jan L.Y., Jan Y.N., Weiss W.A., Shu X. 2014. An improved monomeric infrared fluorescent protein for neuronal and tumour brain imaging. Nat. Commun. V. 5. P. 3626. https://doi.org/10.1038/ncomms4626
Supplementary files





