Vimentin in Kolmer cells of spontaneously hypertensive rats
- Authors: Korzhevskii D.E.1, Razenkova V.A.1, Kirik O.V.1
-
Affiliations:
- Institute of Experimental Medicine
- Issue: Vol 66, No 1 (2024)
- Pages: 77-84
- Section: Articles
- URL: https://medbiosci.ru/0041-3771/article/view/256175
- DOI: https://doi.org/10.31857/S0041377124010075
- EDN: https://elibrary.ru/IBBWCG
- ID: 256175
Cite item
Full Text
Abstract
Epiplexus (Kolmer) cells are macrophage-like cells of the choroid plexus that help maintain the blood-cerebrospinal fluid barrier. Here we studied the structural organization of Kolmer cells in Wistar, Wistar-Kyoto and spontaneously hypertensive (SHR) rats. A comparative study using Iba-1, CD68 and vimentin immunohistochemistry showed that the functional activity of epiplexus cells differs in three examined groups of animals. Wistar-Kyoto and SHR rats showed noticeable signs of Kolmer cells activation, which consisted in the disappearance of cell processes resulting in the formation of round-shaped cells. Another significant observation was the presence of vimentin in activated epiplexus cells. The result obtained indicates that vimentin expression by phagocytic cells could be linked with their activation.
Full Text
Принятые сокращения: ИП — иммунопозитивные клетки; ChPl — сосудистое сплетение; SHR — спонтанно-гипертензивные крысы; WKY — крысы Wistar-Kyoto.
Клетки Колмера — это популяция клеток, ассоциированных с факторами врожденного иммунитета, которые вместе с тканевыми структурами сосудистого сплетения (Choroid Plexus — ChPl) участвуют в поддержании гематоликворного барьера головного мозга (Maslieieva, Thompson, 2014), защищают мозг от проникновения в него через ликвор чужеродных веществ (Ling et al., 1998).
Артериальная гипертензия приводит к изменению показателей мозгового кровообращения (Fujishima et al., 1995), что не может не сказаться на функциональном состоянии ChPl. Было показано, что длительное повышение артериального давления приводит к ремоделированию стенки кровеносных сосудов, изменению расположения слоев гладкомышечных клеток, утолщению базальной мембраны в связи с накоплением коллагена (Gonzalez-Marrero et al., 2022).
Моделирование данной патологии на животных позволяет изучать возможные механизмы длительного влияния высокого артериального давления на мозг. В настоящее время крысы линии SHR (Spontaneously Hypertensive Rat) считаются лучшей биологической моделью артериальной гипертензии (Amenta et al., 2003).
Использование трансмиссионной электронной микроскопии показало, что в эпителии сосудистого сплетения молодых крыс со спонтанной гипертензией происходит частичная потеря микроворсинок и базолатеральной складчатости, гипертрофия аппарата Гольджи, увеличение количества везикул и митохондрий (Ruchoux et al., 1992).
Кроме того, было обнаружено, что хроническая гипертензия у крыс линии SHR вызывает изменения целостности гематоликворного барьера (Al-Sarraf, Philip, 2003; González-Marrero et al., 2012, 2013). Несмотря на выраженные морфологические изменения ChPl, до сих пор не было проведено анализа морфофункционального состояния клеток Колмера при данной патологии. Клетки Колмера хорошо выявляются при использовании микроглиального и макрофагального маркера — белка Iba-1 (Кирик и др., 2021).
Белок промежуточных филаментов III типа виментин является маркером клеток мезенхимного происхождения, в том числе макрофагов и фибробластов (Castro-Muñozledo et al., 2017). Согласно данным литературы, уровень содержания виментина выше в активированных макрофагах, при этом данный белок может поступать и в межклеточное пространство (Mor-Vaknin et al., 2002; Beneš et al., 2006; Mahesh et al., 2016).
Содержание виментина в клетках Колмера ранее не изучалось, хотя принадлежность этих клеток к популяции микрогии и макрофагов предполагает возможность присутствия его в этих клетках. Поэтому цель данной работы состояла в изучении структурной организации клеток Колмера у крыс линий SHR, Wistar-Kyoto (WKY) и Wistar, определении фенотипических особенностей данных клеток с использованием реакции на виментин.
МАТЕРИАЛ И МЕТОДИКА
В исследовании был использован головной мозг половозрелых крыс, самцов нормотензивных линий Wistar (АД 90 ± 12 мм рт. ст., n = 3) и WKY (АД 105 ± 15 мм рт. ст., n = 3) и спонтанно-гипертензивной линии SHR (АД > 220 мм рт. ст., n = 3). Животные были получены из биоколлекции Института физиологии РАН им. И.П. Павлова (SHR, WKY) и питомника Рапполово (Wistar).
Артериальное давление измеряли неинвазивным способом с помощью прибора PowerLab 4/35+NIPB Controller (AD instruments, Новая Зеландия) и программного обеспечения LabChart 88.1.5 2016 (AD instruments, Новая Зеландия).
При содержании и эвтаназии животных соблюдали принципы Европейской конвенции о защите позвоночных животных, используемых для экспериментов или в иных научных целях (Страсбург, 1986 г.) и Правила надлежащей лабораторной практики (приказ Минздрава России от 01.04.2016 № 199н). Исследование было одобрено локальным этическим комитетом при Институте экспериментальной медицины (протокол № 1/22 от 18.02.2022).
Эвтаназию животных проводили под эфирным наркозом. Головной мозг извлекали и фиксировали погружением в цинк-этанол-формальдегид (Korzhevskii et al., 2015). Заливку в парафин проводили по общепринятой методике. Фронтальные срезы головного мозга толщиной 5 мкм изготавливали при помощи ротационного микротома (Leica, Германия).
Для исследования была взята зона на уровне от –2,92 мм до –3,60 мм относительно брегмы (Paxinos, Watson, 1982), которая соответствовала основной части (main part) боковых желудочков по классификации Левингера (Levinger, 1971). В качестве обзорной гистологической окраски использовали окраску толуидиновым синим по методу Ниссля.
После стандартной процедуры депарафинирования и регидратации срезы использовали для иммуногистохимического окрашивания. Для этого их предварительно подвергали тепловому демаскированию в 10%-ном водном растворе тиосульфата (патент No RU 2719163 C1), для предотвращения неспецифического связывания использовали раствор Protein block DPB-125 (Spring Bioscience, США).
Маркирование клеток Колмера проводили с использованием кроличьих поликлональных антител к Iba-1 в разведении 1:1500 (Biocare Medical, США). Для иммуномаркирования макрофагов были использованы мышиные моноклональные антитела к CD68 (клон ED1) в разведении 1 : 4000 (AbCam, Великобритания).
Для сравнения Iba-1 и CD68 постановку иммуногистохимических реакций проводили на соседних последовательных срезах. Инкубацию в первичных реагентах вели в течение 18 ч при температуре 27 °С. В качестве вторичных реагентов использовали антитела из набора Mouse and Rabbit Specific HRP/DAB IHC Detection Kit (Abcam, Великобритания).
Виментин выявляли при помощи мышиных моноклональных антител (клон V9) в разведении 1:100 (Agilent, США) при температуре 27 °С в течение 18 ч. В качестве вторичных реагентов использовали набор UltraVision Quanto HRP DAB Detection System (TL-060-QHL, Thermo Fisher Scientific, США). Для визуализации продукта реакции использовали хромоген 3′3-диаминобензидин из набора DAB+ (Agilent, США). После постановки иммуногистохимических реакций часть срезов докрашивали гематоксилином.
Микроскопическое исследование препаратов в проходящем свете и фотосъемку выполняли, используя микроскоп Leica DM750 и цифровую фотокамеру Leica ICC50 (Leica, Германия).
Для постановки двойной иммунофлуоресцентной реакции на Iba-1 и виментин были использованы кроличьи поликлональные антитела к Iba-1 в разведении 1: 500 (Biocare Medical, США) и мышиные моноклональные антитела к виментину клон V9 разведении 1:100 (Agilent, США) при температуре 27 °С в течение 18 ч. В качестве вторичных реагентов были выбраны антитела осла против кролика, конъюгированные с RRX (Jackson ImmunoResearch, США), моновалентный Fab фрагмент антимышиного иммуноглобулина осла, меченный биотином (Jackson ImmunoResearch, США) и конъюгат стрептавидина с флуорохромом Cy2 (Jackson ImmunoResearch, США).
Инкубацию со вторичными антителами проводили согласно рекомендациям производителя. Полученные препараты исследовали при помощи конфокального микроскопа LSM 800 (Zeiss, Германия). Параметры съемки препаратов были идентичными для всех исследуемых случаев.
Анализ полученных изображений проводили при помощи компьютерных программ ZEN-2012 (Zeiss, Германия) и ImageJ (NIH, США) (Rueden et al., 2017).
Для постановки отрицательного контроля антител на один из срезов обрабатываемой серии препаратов вместо раствора первичных антител наносили раствор для разведения антител Antibody Diluent (Spring Bioscience, США). Внутренним положительным контролем для иммуногистохимической реакции на виментин являлись мозговая оболочка и клетки эпендимной выстилки, а для реакции на Iba-1 — микроглия полушарий головного мозга.
РЕЗУЛЬТАТЫ
На препаратах, окрашенных толуидиновым синим по Нисслю, не было выявлено видимых отличий в состоянии ChPl между разными группами животных. У крыс исследуемых линий отсутствовали морфологические признаки гидроцефалии. Эпителиоциты ChPl имели ровные контуры, ядра клеток были округлой или овальной формы. Капилляры ChPl имели широкий просвет без признаков дистрофии стенки (гиалиноза) и десквамации эндотелия. У крыс Wistar ворсинки сплетения располагались более компактно вблизи стенки желудочка, чем у крыс WKY и SHR.
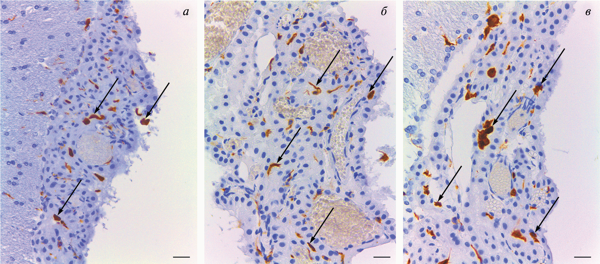
После проведения иммуногистохимической реакции на белок Iba-1, который является маркером микроглии и макрофагов, в полости желудочков на поверхности эпителия ворсинок ChPl выявлялись Iba-1-иммунопозитивные клетки (Iba-1-ИП) коричневого цвета, по своим морфологическим особенностям соответствующие клеткам Колмера. Iba-1-ИП — клетки округлой или овальной формы — располагались в непосредственной близости к сосудам в периваскулярном пространстве, строме ChPl, супраэпендимной зоне и свободно в ликворе за пределами ChPl (рис. 1).
Рис. 1. Фрагменты сосудистого сплетения боковых желудочков головного мозга крыс линии Wistar (a), Wistar-Kyoto (б), SHR (в). Иммуноцитохимическая реакция на белок Iba-1 с подкраской ядер гематоксилином. Объектив Plan-Apochromat 10×/0.22. Стрелки указывают на клетки Колмера. Масштабный отрезок равен 20 мкм
У крыс нормотензивных линий Wistar и WKY на срезах ChPl между ворсинками Iba-1-ИП клетки распределены равномерно. В срезах обнаруживаются как целиком попавшие в плоскость среза клетки, так и их фрагменты разной величины и формы. На поверхности ворсинок, обращенных в полость желудочков, встречаются клетки округлой формы, некоторые из них отдалены от поверхности ChPl на различные расстояния.
У крыс гипертензивной линии SHR распределение Iba-1-ИП клеток неравномерное, среди них появляются крупные округлые малоотростчатые или безотростчатые клетки Iba-1-ИП, которые формируют группы из 2–3 клеток (см. рис. 1в). В полости желудочка также выявляются единичные клетки на различном расстоянии от ChPl.
После проведения иммуногистохимической реакции на виментин у всех изученных животных на срезах головного мозга реакция высокой интенсивности наблюдалась в эпендимоцитах, клетках выстилающих полость желудочков, и в эндотелии капилляров. У крыс линий WKY и SHR выявлялись отдельные виментин-иммунопозитивные клетки (виментин-ИП) в просвете сосудов и на поверхности эпителия ворсинок ChPl (рис. 2).
Рис. 2. Виментин-иммунопозитивные клетки, ассоциированные с сосудистым сплетением в желудочках крыс линии Wistar (a), Wistar-Kyoto (б), SHR (в). Иммуноцитохимическая реакция на белок виментин с подкраской ядер гематоксилином. Объектив Plan-Apochromat 100×/1.25 Oil (масляная иммерсия). Стрелки указывают на виментин-положительные клетки. Масштабный отрезок равен 20 мкм
Постановка иммуногистохимической реакции на маркер, ассоциированный с провоспалительным фенотипом макрофагов — CD68 — показала, что не все Iba-1-ИП клетки экспрессируют данный маркер. Гранулярный продукт реакции CD68 выявляли только в крупных Iba-1-ИП безотростчатых клетках неправильной формы и в округлых клетках в ликворе (рис. 3).
Рис. 3. Совместная локализация Iba-1 и CD68 в клетках сосудистого сплетения крысы SHR на последовательных срезах. Иммуноцитохимическая реакция на белок Iba-1 (а) и CD68 (б) с подкраской ядер гематоксилином. Стрелки указывают на клетки Колмера, звездочки — топографические маркеры, указывающие на одни и те же структуры на а, б. Объектив Plan-Apochromat 40×/0.65. Масштабный отрезок равен 50 мкм
У крыс линии Wistar после проведения двойной иммунофлуоресцентной реакции на белок Iba-1 и виментин не удалось выявить клетки, экспрессирующие оба маркера одновременно. На апикальной поверхности эпителия ворсинок располагались отростчатые клетки. Они имели крупные неветвящиеся отростки, напоминавшие цитоподии (рис. 4а, г).
Рис. 4. Клетки Колмера в сосудистом сплетении бокового желудочка в головном мозге крысы линии Wistar (а, г), WKY (б, д) и SHR (в, е). Двойная иммунофлуоресцентная окраска на Iba-1 и виментин, визуализация при помощи флуорохромов RRX (красный цвет) и Cy2 (зеленый цвет) соответственно. Конфокальная лазерная микроскопия. Объектив Plan-Apochromat 63×/1.40 Oil DICM27 (масляная иммерсия); а–в — общий вид. Рамки ограничивают области, представленные на г–е. Масштабный отрезок — 10 мкм. г, д, е — отдельные клетки Колмера на поверхности сосудистого сплетения крыс линии Wistar (г), WKY (д) и SHR (е). Масшабный отрезок равен 5 мкм
У крыс линии WKY клетки, экспрессирующие оба маркера, встречались только на поверхности ворсин ChPl и отсутствовали в строме (см. рис. 4б). Эти клетки, как правило, были округлой формы с одним утолщенным коротким отростком. Промежуточные филаменты, содержащие виментин, распределялись равномерно по телу клетки, за исключением одной или двух округлых зон (соответствующих ядру клетки), и не проникали в отростки. В свободном от виментина пространстве располагался гранулярный Iba-1ИП продукт реакции.
У крыс линии SHR на поверхности ворсин ChPl, обращенных друг к другу, и на поверхности, обращенной в полость желудочка, встречались отдельные клетки, экпрессирующие Iba-1 и виментин одновременно. Данные клетки имели овальную форму и короткие отростки. Виментин равномерно распределялся по всей цитоплазме (за исключением краевой зоны) вне области клеточного ядра. Iba-1-ИП мелкозернистый продукт реакции присутствовал как в отростках клеток Колмера, так и в цитоплазме (см. рис. 4е). Виментиновые промежуточные филаменты распределялись только по телу клетки и не проникали в Iba-1-ИП отростки, которые по своему виду напоминали складки плазматической мембраны.
ОБСУЖДЕНИЕ
Иммуногистохимическая реакция на белок Iba-1, который считается селективным макрофагальным маркером (Korzhevskii, Kirik, 2016), хорошо выявляет макрофаги на поверхности сосудистого сплетения, которые по своим морфологическим признакам и расположению относительно эпителия ворсинок СhPl, могут быть определены как клетки Колмера.
По данным литературы, типичные клетки Колмера имеют от трех до пяти основных цитоплазматических отростков (Ling et al., 1998), которые увеличивают площадь поверхности клеток и способствуют их прикреплению к апикальной поверхности эпителия ChPl в условиях тока ликвора. При активации клеток Колмера, как и клеток микроглии, наблюдается сокращение и утолщение отростков. Такое уменьшение площади соприкосновения способствует их отрыву от поверхности эпителия и перемещению с током ликвора.
Единичные клетки Колмера из обнаруженных в полости желудочка у крыс линии Wistar сохраняют свою отростчатую форму, и в них отсутствует виментин. Это может быть обусловлено тем, что в неактивированных клетках содержание этого белка ниже минимального порогового уровня, необходимого для иммуногистохимической детекции.
Присутствие клеток Колмера в ликворе может свидетельствовать в пользу существования механизма, при котором небольшое количество таких клеток попадает в цереброспинальную жидкость и циркулирует в ее составе. Поскольку ChPl является зоной локализации гематоликворного барьера, его функциональная дисрегуляция может привести к попаданию в ликвор веществ, мониторинг и утилизацию которых осуществляют клетки Колмера.
Признаками активации клеток Колмера были округлая форма клеток, исчезновение крупных отростков и присутствие виментина (Jiang et al., 2012). Выявленные признаки активации не дают однозначного ответа на вопрос, с чем она связана. Наиболее вероятной представляется гипотеза о повреждении гематоликворного барьера при артериальной гипертензии у исследуемых животных.
По данным, полученным ранее с помощью электронной микроскопии (Ruchoux et al., 1992), у крыс линии SHR в эпителиальных клетках ChPl гипертрофирован секреторный аппарат, что косвенно свидетельствует в пользу нарушения проницаемости гематоликворного барьера.
Интересным фактом, установленным в рамках проведенного исследования, является обнаружение признаков активации клеток Колмера у крыс нормотензивной линии Wistar-Kyoto. Крысы этой линии нередко используются в фундаментальных и клинических исследованиях в качестве контрольной группы к крысам линии SHR (H’Doubler et al., 1991; Yang et al., 2017). Однако отмечается, что крысы линии WKY демонстрируют повышенное тревожное и депрессивноподобное поведение, а также изменения в гипоталамо-гипофизарно-адреналовой, серотонинергической и дофаминергической системах, которые сопровождаются нейровоспалением (Millard et al., 2020). Все это свидетельствует о необходимости использования в исследованиях, выполняемых на крысах SHR, дополнительного контроля, в качестве которого могут быть использованы крысы Wistar.
Другим важным фактом, выявленным в рамках проведенного исследования, является присутствие гранулярных скоплений Iba-1 в ядре клеток Колмера у исследуемых животных. Этот феномен, как было установлено ранее (Korzhevskii et al., 2017), характерен для типичных клеток микроглии.
Таким образом, полученные данные согласуются с представлениями о родстве популяций микроглиоцитов и клеток Колмера. В настоящее время известно, что микроглиоциты происходят из клеток желточного мешка (Li, Barres, 2017). О происхождении клеток Колмера сведения противоречивы. Не исключено, что клетки Колмера и микроглиоциты могут иметь общее происхождение.
Таким образом, проведенное исследование позволило охарактеризовать фенотипические особенности клеток Колмера у различных линий крыс. Показано, что клетки Колмера у трех исследованных групп животных различаются по своей функциональной активности.
Признаки активации клеток Колмера, включающие сокращение и утолщение отростков, приводящее к изменению формы клеток с отростчатой на округлую, отсутствуют у крыс линии Wistar, отмечаются у крыс линии WKY и ярко выражены у крыс линии SHR. Положительная иммуногистохимическая реакция на виментин в активированных клетках Колмера свидетельствует о взаимосвязи его экспрессии с активацией микроглии и тканевых макрофагов и может служить дополнительным маркером активированных клеток.
ФИНАНСИРОВАНИЕ РАБОТЫ
Работа выполнена при финансовой поддержке Российского научного фонда (проект № 22-25-00105, https://rscf.ru/project/22-25-00105/).
СОБЛЮДЕНИЕ ЭТИЧЕСКИХ СТАНДАРТОВ
При проведении исследования были соблюдены все применимые международные принципы использования животных. Исследование одобрено локальным этическим комитетом Института экспериментальной медицины (заключение № 1/22 от 18.02.2022).
КОНФЛИКТ ИНТЕРЕСОВ
Авторы заявляют об отсутствии конфликта интересов.
About the authors
D. E. Korzhevskii
Institute of Experimental Medicine
Email: valeriya.raz@yandex.ru
Russian Federation, St. Petersburg
V. A. Razenkova
Institute of Experimental Medicine
Author for correspondence.
Email: valeriya.raz@yandex.ru
Russian Federation, St. Petersburg
O. V. Kirik
Institute of Experimental Medicine
Email: valeriya.raz@yandex.ru
Russian Federation, St. Petersburg
References
- Кирик О.В., Цыба Д.Л., Алексеева О.С., Колпакова М.Э., Яковлева А.А., Коржевский Д.Э. 2021. Изменения клеток Колмера у крыс линии SHR после ишемии головного мозга. Российский физиологический журнал им. И.М. Сеченова. Т. 107. № 2. С. 177. https://doi.org/10.31857/S0869813921010052 (Kirik O.V., Tsyba D.L., Alekseeva O.S., Kolpakova M.E., Jakovleva A.A., Korzhevskii D.E. 2021. Alterations in Kolmer cells in SHR line rats after brain ischemia. Ross. Fiziol. Zh. im. I. M. Sechenova. V. 107. No 2. P. 177)
- Al-Sarraf H., Philip L. 2003. Effect of hypertension on the integrity of blood brain and blood CSF barriers, cerebral blood flow and CSF secretion in the rat. Brain Res. V. 975. P. 179. https://doi.org/10.1016/S0006-8993(03)02632-5
- Amenta F., Di Tullio M.A., Tomassoni D. 2003. Arterial hypertension and brain damage — evidence from animal models (review). Clin. Exp. Hypertens. V. 25. P. 359. https://doi.org/10.1081/CEH-120023545
- Beneš P., Macečková V., Zdráhal Z., Konečná H., Zahradníčková E., Mužík J., Šmarda J. 2006. Role of vimentin in regulation of monocyte/macrophage differentiation. Differentiation. V. 74. P. 265. https://doi.org/10.1111/J.1432-0436.2006.00077.X
- Castro-Muñozledo F., Meza-Aguilar D.G., Domínguez-Castillo R., Hernández-Zequinely V., Sánchez-Guzmán E. 2017. Vimentin as a marker of early differentiating, highly motile corneal epithelial cells. J. Cell. Physiol. V. 232. P. 818. https://doi.org/10.1002/JCP.25487
- Fujishima M., Ibayashi S., Fujii K., Mori S., Fujishima M. 1995. Cerebral blood flow and brain function in hypertension. Hypertens. Res. V. 18. P. 111. https://doi.org/10.1291/HYPRES.18.111
- González-Marrero I., Castañeyra-Ruiz L., González-Toledo J.M., Castañeyra-Ruiz A., De Paz-Carmona H., Castro R., Hernandez-Fernaud J.R., Castañeyra-Perdomo A., Carmona-Calero E.M. 2013. High blood pressure effects on the blood to cerebrospinal fluid barrier and cerebrospinal fluid protein composition: a two-dimensional electrophoresis study in spontaneously hypertensive rats. Int. J. Hypertens. V. 2013: 164653. https://doi.org/10.1155/2013/164653
- González-Marrero I., Castañeyra-Ruiz L., M. González-Toledo J., Castañeyra-Ruiz A., de Paz-Carmona H., Ruiz-Mayor L., Castañeyra-Perdomo A., M. Carmona-Calero E. 2012. High blood pressure effects on the brain barriers and choroid plexus secretion. Neurosci. Med. V. 3. P. 60. https://doi.org/10.4236/NM.2012.31009.
- Gonzalez-Marrero I., Hernández-Abad L.G., Castañeyra-Ruiz L., Carmona-Calero E.M., Castañeyra-Perdomo A. 2022. Changes in the choroid plexuses and brain barriers associated with high blood pressure and ageing. Neurología (English Edition). V. 37. P. 371. https://doi.org/10.1016/J.NRLENG.2020.05.007
- H’Doubler P.B., Peterson M., Shek W., Auchincloss H., Abbott W.M., Orkin R.W. 1991. Spontaneously hypertensive and Wistar Kyoto rats are genetically disparate. Lab. Anim. Sci. V. 41. P. 471. https://pubmed.ncbi.nlm.nih.gov/1666150/
- Jiang S.X., Slinn J., Aylsworth A., Hou S.T. 2012. Vimentin participates in microglia activation and neurotoxicity in cerebral ischemia. J. Neurochem. V. 122. P. 764. https://doi.org/10.1111/J.1471-4159.2012.07823.X
- Korzhevskii D.E., Kirik O.V. 2016. Brain microglia and microglial markers. Neurosci. Behav. Physiol. V. 46. P. 284. https://doi.org/10.1007/S11055-016-0231-Z/METRICS
- Korzhevskii D.E., Kirik O.V., Alekseeva O.S., Sukhorukova E.G., Syrtsova M.A. 2017. Intranuclear accumulation of Iba-1 protein in microgliocytes in the human brain. Neurosci. Behav. Physiol. V. 47. P. 435. https://doi.org/10.1007/S11055-017-0417-Z/METRICS
- Korzhevskii D.E., Sukhorukova E.G., Kirik O. V., Grigorev I.P. 2015. Immunohistochemical demonstration of specific antigens in the human brain fixed in zinc-ethanol-formaldehyde. Eur. J. Histochem. V. 59. P. 5. https://doi.org/10.4081/EJH.2015.2530
- Levinger I.M. 1971. The cerebral ventricles of the rat. J. Anat. V. 108. P. 447.
- Li Q., Barres B.A. 2017. Microglia and macrophages in brain homeostasis and disease. Nat. Rev. Immunol. V. 18. P. 225. https://doi.org/10.1038/nri.2017.125
- Ling E.-A., Kaur C., Lu J. 1998. Origin, nature, and some functional considerations of intraventricular macrophages, with special reference to the epiplexus cells. Microsc. Res. Tech. V. 41. P. 43. https://doi.org/10.1002/(SICI)1097-0029(19980401)41:1
- Mahesh P.P., Retnakumar R.J., Mundayoor S. 2016. Downregulation of vimentin in macrophages infected with live Mycobacterium tuberculosis is mediated by reactive oxygen species. Sci. Rep. V. 6. 6 P. 21526. https://doi.org/10.1038/srep21526
- Maslieieva V., Thompson R.J. 2014. A critical role for pannexin-1 in activation of innate immune cells of the choroid plexus. Channels (Austin). V. 8. P. 131. https://doi.org/10.4161/CHAN.27653
- Millard S.J., Weston-Green K., Newell K.A. 2020. The Wistar-Kyoto rat model of endogenous depression: A tool for exploring treatment resistance with an urgent need to focus on sex differences. Prog. Neuro-Psychopharmacol. Biol. Psychiatry. V. 101. P. 1. https://doi.org/10.1016/J.PNPBP.2020.109908
- Mor-Vaknin N., Punturieri A., Sitwala K., Markovitz D.M. 2002. Vimentin is secreted by activated macrophages. Nat. Cell Biol. V. 5. P. 59. https://doi.org/10.1038/ncb898
- Paxinos G., Watson C. 1982. The rat brain in stereotaxic coordinates. Academic Press. 480 p.
- Ruchoux M.M., Rosati C., Gelot A., Lhuintre Y., Garay R. 1992. Ultrastructural study of the choroid plexus of spontaneously hypertensive rats. Am. J. Hypertens. V. 5. P. 851. https://doi.org/10.1093/AJH/5.11.851
- Rueden C.T., Schindelin J., Hiner M.C., DeZonia B.E., Walter A.E., Arena E.T., Eliceiri K.W. 2017. ImageJ2: ImageJ for the next generation of scientific image data. BMC Bioinf. V. 18. P. 529. https://doi.org/10.1186/s12859-017-1934-z
- Yang F., Li H., Du Y., Shi Q., Zhao L. 2017. Downregulation of microRNA-34b is responsible for the elevation of blood pressure in spontaneously hypertensive rats. Mol. Med. Rep. V. 15. P. 1031. https://doi.org/10.3892/MMR.2017.6122
Supplementary files





