Melanoma cells adhesive properties activation in 3d spheroids
- Authors: Chernykh D.V.1, Zinchenko I.S.1, Ruksha T.G.1
-
Affiliations:
- Voino-Yasenetsky Krasnoyarsk State Medical University
- Issue: Vol 66, No 4 (2024)
- Pages: 330-340
- Section: Articles
- URL: https://medbiosci.ru/0041-3771/article/view/274467
- DOI: https://doi.org/10.31857/S0041377124040025
- EDN: https://elibrary.ru/QDCKFT
- ID: 274467
Cite item
Full Text
Abstract
In this study, the viability and adhesive features of BRO and SK-MEL-2 cell lines were evaluated using a melanoma model. It was revealed that in BRO cells, the development of apoptosis after exposure to dacarbazine was combined with the transition of the proportion of cells to the G0 phase of the cell cycle, that corresponded to previously obtained results. The absence of apoptosis in 3D spheroids and the absence of exit from the cell cycle were observed in SK-MEL-2 melanoma cells. It was also revealed that in the control spheroids (cells without exposure) of the BRO and SK-MEL-2 melanoma lines, adhesion to fibronectin was higher compared with the cells of the control monolayer, which is explained by the three-dimensional structure requiring cell communication with the extracellular matrix. In spheroids formed by SK-MEL-2 cells, dacarbazine induced a decrease in adhesion to fibronectin, which may be associated with the development of drug resistance. An increase in the expression of integrins AV and β8 in BRO and SK-MEL-2, as well as integrin β5 in SK-MEL-2, was determined in cells after exposure to dacarbazine, which may indicate the involvement of aforementioned molecules in the exit from proliferative stage of tumor cells.
Keywords
Full Text
Разработка новых способов терапии онкологических заболеваний требует постоянного совершенствования технологий воспроизведения канцерогенеза in vitro и in vivo для объективного отображения патологических изменений, протекающих в организме онкологических больных. В связи с этим сохраняется актуальность создания и валидации трехмерных моделей культивирования клеток (Colella et al., 2018). Преодолевая недостатки двумерных культур, такие модели способны имитировать нативную гистологическую архитектуру опухоли, клеточную гетерогенность, взаимодействие опухолевых клеток с внеклеточным матриксом и в целом более точно воспроизводить фенотипическое поведение исходных опухолей (Zanoni et al., 2020).
Одним из видов трехмерных моделей являются «многоклеточные сфероиды» или тумороиды. Они представляют собой самособирающиеся структуры, возникающие за счет клеточной агрегации и взаимодействия между клетками. Сфероиды могут содержать различные клеточные типы подобно гетерогенности опухоли. Как и солидные опухоли, клеточные сфероиды состоят из трёх основных областей: внешней пролиферативной области, содержащей высокопролиферирующие клетки, средней зоны покоя, содержащей клетки с признаками старения, а также внутренней области, где находятся клетки в состоянии некроза (Zanoni et al., 2016) (рис. 1).
Рис. 1. Структура сфероида (по: Zanoni et al., 2020).
Сфероиды являются привлекательной моделью для изучения межклеточной коммуникации. Фокальная адгезия – это процесс, в ходе которого клетки активно взаимодействуют с окружающим внеклеточным матриксом и другими клетками, что, в свою очередь, способно влиять не только на рост и дифференцировку опухолевых клеток, но и обеспечивать формирование новых метастатических очагов опухоли (Sakalem et al., 2021). Механизм взаимосвязи адгезии и клеточного цикла изучен пока недостаточно ясно. Тем не менее известно, что внеклеточный матрикс посредством интегринов способен влиять на ход клеточного цикла и его контрольные точки. Так, сигнальный модуль FAK (киназы фокальной адгезии) FAK/Rac передает зависимые от упругой силы внеклеточного матрикса сигналы на контрольную точку G1/S; повышенная жесткость внеклеточного матрикса влияет на прогрессию клеточного цикла путем активирования пути Hippo; киназа FAK, необходимая для переориентации митотического веретена, в ответ на механическое сжатие или растяжение может направлять киназу ATR к ядерной оболочке, где она предотвращает ошибки репликации. Известно, что тесная координация процессов пролиферации и адгезии у опухолевых клеток нарушена, хотя точные механизмы и особенности этого не установлены (Zhou et al., 2019).
Ранее нами на двумерной культуре клеток меланомы было показано, что химиотерапевтический агент дакарбазин индуцирует переход клеток меланомы в фазу покоя клеточного цикла G0; кроме того, было показано, что такие клетки демонстрируют повышенные адгезивные свойства к экстраклеточному матриксу (Esimbekova et al., 2023).
В связи с этим цель данного исследования заключалась в культивировании клеток меланомы в виде трехмерных структур, оценке их жизнеспособности, адгезии и экспрессии молекул, непосредственно опосредующих процесс адгезии. Для этого клетки меланомы BRO и SK-MEL-2 подвергали воздействию дакарбазином и формировали из них сфероиды. Далее оценивали жизнеспособность получившихся структур, а затем адгезивные свойства клеток, входящих в эти структуры.
МАТЕРИАЛ И МЕТОДИКА
Культивирование клеток. Клетки линии меланомы SK-MEL- 2 (“БиоЛот”, Россия) и BRO (любезно предоставлена НИИ фундаментальной и клинической иммунологии, Новосибирск, Россия), а также сфероиды культивировали в питательной среде ДМЕМ, содержащей глутамин и глюкозу (4.5 г/л; “ПанЭко”, Россия), а также 10% фетальной бычьей сыворотки (FBS) (Cytiva, США) и 1% пенициллина-стрептомицина (“ПанЭко”, Россия), в инкубаторе MSO-5ACCO2 (Sanyo Electric Co., Ltd., Япония) при температуре 37о С в атмосфере 5% СО2.
Формирование сфероидов. Использовали метод «висячей капли» на чашах Петри (Nest, Китай). Суспензию клеток линии BRO и SK-MEL-2 наносили по 2٠ капель (в каждой 2500 клеток в 20 мкл полной питательной среды) на крышку чаши Петри, затем крышку переворачивали. В саму чашу добавляли 4 мл фосфатно-солевого буферного раствора (PBS) (“ЭкоСервис”, Россия) для избегания испарения капель. Расчет клеток производили с помощью камеры Горяева. Клетки формировали сфероиды в течение 4 сут.
Воздействие цитотоксическим агентом дакарбазин. Перед формированием клеточных сфероидов к клеткам меланомы BRO и SK-MEL-2 в концентрации 105 кл./мл добавляли 1.2 мМ раствора дакарбазина (Sigma-Aldrich, США), растворенного в ДМСО (“ПанЭко”, Россия) и культивировали в течение ٧ 2 ч при 3٧о C. Затем клетки промывали PBS и далее культивировали в полной питательной среде без дакарбазина в течение 4٨ ч для элиминации апоптотических клеток. В качестве контроля использовали исходные культуры клеток, обработанные 1% ДМСО.
Иммуноцитохимия. Метод использовали согласно описанному протоколу (Liu, Sheikh, 2014). В первые сутки клетки высевали в лунки 24-луночного планшета в концентрации 9 × 103 кл./мл и культивировали при температуре 3٧о С и концентрации СО2 5%.
На вторые сутки клетки фиксировали в 15%-ном формалине в 24-луночном планшете 1 ч при комнатной температуре. Сфероиды предварительно осаждали с помощью центрифугирования в течение 4 мин при 1٠٠٠ об/мин. Далее клетки промывали 2 раза 300 мкл PBS. Затем к клеткам добавляли 2٠٠ мкл 0.1%-ного TritonX-100 (Gerbu, Германия) для пермеабилизации и инкубировали 2٠ мин при комнатной температуре. Далее клетки вновь промывали PBS, затем вносили 2٠٠ мкл блокирующего буфера (0.5% Tween 20 (v/v; Gerbu, Германия), 0.2% (v/v) TritonX-100 и 3% бычьего сывороточного альбумина (“ПанЭко”, Россия) и инкубировали 1 ч при комнатной температуре. Затем удаляли буфер и вносили первичные антитела к Ki-67 (MA5-14520; ThermoFisher Scientific, США), предварительно разведенные в блокирующем буфере (1:50). Инкубировали смесь ночь при температуре 4о С на лабораторном шейкере.
На третьи сутки удаляли раствор первичных антител и промывали клетки 300 мкл промывочного буфера ٠.1% (v/v) Tween 20 (Gerbu, Германия), 0.2% (v/v) TritonX-100 (Gerbu, Германия) и 100 мл 1-кратного PBS) 2 раза. Далее добавляли вторичные антикроличьи антитела (H+L) (А11034; ThermoFisher Scientific, США), предварительно разведенные в блокирующем буфере (1:100) и инкубировали 1 ч при комнатной температуре. После инкубации раствор вторичных антител удаляли и промывали клетки 300 мкл PBS 2 раза. Далее добавляли 1٠٠ мкл DAPI (PanReacApplichem, США) (1:1000), также предварительно разведенного в блокирующем буфере, и инкубировали 2٠ мин при комнатной температуре. Далее раствор DAPI удаляли, промывали PBS 2 раза и добавляли 100 мкл PBS во избежание высыхания лунок. Флуоресценцию оценивали в системе визуализации Floid (ThermoFisher Scientific, США) с помощью синего и зеленого светофильтров.
Определение уровня апоптоза в монослое и сфероидах. Для оценки уровня апоптоза в монослое использовали набор AnnexinV-FITC Apoptosis Kit (FineTest, США). Согласно протоколу производителя, в каждую лунку вносили 195 мкл 1-кратного связующего буфера, 5 мкл аннексина, 10 мкл йодистого пропидия (PI) и инкубировали при комнатной температуре в темноте 1٠ мин. После инкубации удаляли смесь из лунок, добавляли 15%-ный раствор формалина и инкубировали 2٠ мин при комнатной температуре тоже в темноте. Затем аккуратно промывали 3٠٠ мкл PBS 2 раза. Далее в лунки добавляли 1٠٠ мкл PBS. Флуоресценцию оценивали в системе визуализации Floid с помощью зеленого светофильтра для аннексина и красного светофильтра для PI.
Для оценки апоптотических клеток в сфероидах их предварительно собирали в пробирки и осаждали. После осаждения сфероидов супернатант удаляли и далее действовали согласно указанному выше протоколу производителя.
Оценка уровня адгезии клеток к фибронектину в монослое и сфероидах. В первые сутки эксперимента создавали фибронектиновую подложку, как описано (Chen et al., 2008). Для этого лиофилизат фибронектина (Sigma-Aldrich, США) разводили в дистиллированной воде до конечной концентрации 1٠٠ мкг/мл и в каждую лунку вносили по 3٠ мкл получившегося раствора. Планшет выдерживали ночь при температуре 4о С. На 2-е сут раствор из лунок удаляли и промывали лунки 3٠٠ мкл PBS 3 раза. В каждую лунку вносили 5٠٠ мкл полной питательной среды ДМЕМ, содержащей глутамин, 1٠٪ FBS, 1%. В каждую лунку добавляли 4500 клеток. Для оценки уровня адгезии сфероидов к фибронектиновой подложке их предварительно разрушали механически до получения однородной клеточной суспензии и культивировали 2.5 ч в CO2-инкубаторе. Далее визуально оценивали прикрепленные клетки. Затем удаляли питательную среду из лунок, промывали PBS 3 раза. После промывки в каждую лунку вносили по 1 5٠ мкл красителя метиленового синего на 1–3 мин при комнатной температуре. Затем краситель из лунок удаляли, промывали PBS 3 раза, в каждую лунку вносили 1 5٠ мкл ДМСО (“ПанЭко”, Россия) и инкубировали еще 1–3 мин. Интенсивность окраски оценивали на спектрофотометре Эфос (“Сапфир”, Россия) при длине волны ٦ 2٠–660 нм.
Выделение РНК и реакция обратной транскрипции. Выделение РНК из культур клеток проводили с помощью набора реагентов DiaGene (“Диаэм”, Россия) согласно протоколу производителя. Выделение тотальной РНК осуществляли после двойной отмывки клеток от питательной среды стерильным PBS с дальнейшим лизисом клеток лизирующим раствором, входящим в состав набора. Полученные РНК-элюаты объёмом 3٠ мкл использовали сразу, выполняя дальнейшие этапы исследования, или сохраняли при температуре –70° С.
Для синтеза первой цепи кДНК проводили реакцию обратной транскрипции набором MMLV RT kit (Евроген, Россия) согласно протоколу производителя. Каждый образец состоял из 3 мкл раствора полученной РНК, 1. 5 мкл случайного декануклеотидного праймера и 5.5 мкл реакционной смеси, состоящей из 1 мкл смеси дезоксинуклеозидтрифосфатов (dNTP), 1 мкл 1,4-дитиотреитола (DTT), 2 мкл 5-кратного реакционного буфера, 0.5 мкл обратной транскриптазы MMLV и 1 мкл безнуклеазной воды. Образец инкубировали в термостате при 4٠° C в течение 5٠ мин, а затем реакцию останавливали, нагревая образцы в течение 1٠ мин при ٧٠° C.
Полимеразная цепная реакция в реальном времени (ПЦР-РВ). Реакционная смесь для каждой реакции амплификации в общем объеме 2٠ мкл состояла из 2 мкл кДНК, 1 мкл специфичных праймеров, 8 мкл 2.5-кратной реакционной смеси для ПЦР в присутствии ROX (Синтол, Россия), 1.2 мкл раствора хлорида магния (MgCl2) и 6.8 мкл безнуклеазной воды. ПЦР-РВ выполняли на амплификаторе StepOneTM (AppliedBiosystems, Сингапур) с протоколом термоциклирования: 1 цикл 50° C – 2 мин, 95° C – 10 мин, затем 40 циклов 95° C – 15 с, 60° C – 1 мин.
Используемые прймеры и зонды для определения экспрессии мРНК: ITGB8, ITGAV и ITGB5; в качестве эндогенных контролей использовали HPRT1 и GAPDH (все от “ДНК-синтез”, Россия).
Данные анализировали количественно с определением относительных уровней экспрессии исследуемых молекул при помощи метода ∆∆Ct (Livak, Schmittgen, 2001). Для этого относительные уровни экспрессии генов по каждому эндогенному контролю рассчитывали по формуле 2–ΔΔCT, где СТ – средние пороговые циклы образцов, при которых кривая флуоресценции ROX пересекала заданную линию фона, а ΔCT определяли разницей СТ исследуемого маркера и СТ эндогенного нормирующего контроля для данного маркера. Кроме нормализации по эндогенному контролю осуществляли нормализацию по эталонному образцу. ΔΔCT – разница ΔCT образца после воздействия и ΔCT интактного образца без какого-либо воздействия. Для каждой исследуемой пробы методом ПЦР-РВ выполняли два технологических повтора.
Статистическая обработка. Все эксперименты проводили в трех повторностях. Полученные результаты представлены в виде среднего значения из трех повторов и его стандартной ошибки. Различия считали статистически значимыми при Р < 0.05. Достоверность различий оценивали на основе критерия Краскелла-Уоллеса с дальнейшим сравнением попарно с помощью критерия Манна–Уитни. Использовали программное обеспечение Statistica 7.0 (StatSoft, Россия). Статистические результаты обработаны с использованием GraphPadPrism (GraphPadSoftware, USA).
РЕЗУЛЬТАТЫ
Валидация сфероидов. Визуально сфероиды, сформированные клетками меланомы BRO (рис. 2а, б) и SK-MEL-2 (рис. 2в, г) имели плотную шарообразную структуру до 100 мкм в диаметре и не подвергались распаду при пипетировании. Известно, что клеточная плотность является одним из ключевых признаков сфероида (Achill et al., 2012). В полученных структурах регистрировали области, состоящие из апоптотических и пролиферирующих клеток в сфероидах как линии BRO (рис. 2а, б; 3а, б), так и линии SK-MEL-2 (рис. 2в, г; 3в, г).
Рис. 2. Сфероиды, состоящие из клеток линии BRO (а, б) и SK-MEL-2 (в, г). Ядра клеток окрашены DAPI (синий цвет), зеленый цвет (вторичные антитела) – экспрессия Ki67, иммуноцитохимия, флуоресцентная микроскопия.
Рис. 3. Распределение апоптотических клеток в сфероидах линий BRO (а, б) и SK-MEL-2 (в, г). Зеленый цвет (аннексин) – апоптотические клетки.
Влияние дакарбазина на жизнеспособность клеток в 3D-структурах. В клетках линии BRO, которые были подвергнуты действию дакарбазина и которые в дальнейшем культивировались в 3D-структурах, было обнаружено повышение уровня Ki-67-негативных клеток, соответствующих клеткам в фазе G0 клеточного цикла, по сравнению с клетками контрольной группы 3D-сфероидов без воздействия, (P = 0.0092) (рис. 4а). В 3D-структурах контрольных клеток меланомы SK-MEL-2 наблюдали увеличение доли Ki-67-негативных клеток по сравнению с клетками, культивируемыми в виде монослоя (Р < 0.05). В 3D-структурах контрольных клеток меланомы SK-MEL-2 наблюдали увеличение доли Ki-67-негативных клеток по сравнению с клетками, культивируемыми в виде монослоя (Р < 0.05). После воздействия дакарбазином на клетки SK-MEL- 2 и культивирования их в виде 3D-структур доля Ki67-негативных клеток уменьшалась по сравнению со сфероидами контрольной группы (P = 0.0045) (рис. 4б). Таким образом, алкилирующий агент дакарбазин оказывает разнонаправленное действие на экспрессию маркера пролиферации Ki-67 в 3D-структурах, образованных опухолевыми клетками.
Рис. 4. Доля Ki-67-негативных клеток в монослое (Мон) и сфероидах (Сф) клеток BRO (а) и SK-MEL-2 (б) в контроле (К, без воздействий) и после действия ДМСО и дакарбазина (Дак). Показаны средние значения (n = 3) и их стандартные отклонения; различия достоверны при: *P = 0.0092, **Р < 0.05 и ***Р = 0.0045 (критерий Манна–Уитни).
В клетках меланомы BRО после воздействия дакарбазином в 3D-сфероидах отмечено увеличение доли клеток в состоянии апоптоза по сравнению с их долей в монослойных клетках (Р = 0.0006) и по сравнению с 3D-сфероидами BRО контрольной группы (Р = 0.0213) (рис. 5а). В SK-MEL-2 в 3D-структурах контрольной группы отмечено повышение доли апоптотических клеток по сравнению клетками в монослое, обработанном ДМСО (P = 0.0055) (рис. 5б).
Рис. 5. Доля апоптотических клеток в монослое и сфероидах клеток BRO (а) и SK-MEL-2 (б) в контроле (К) и после действия ДМСО и дакарбазина. Показаны средние значения (n = 3) и их стандартные отклонения; различия достоверны при: *Р = 0.0213, **Р = 0.0006 и *** Р = 0.0055 (критерий Манна–Уитни). Обозначения те же, что на рис. 4.
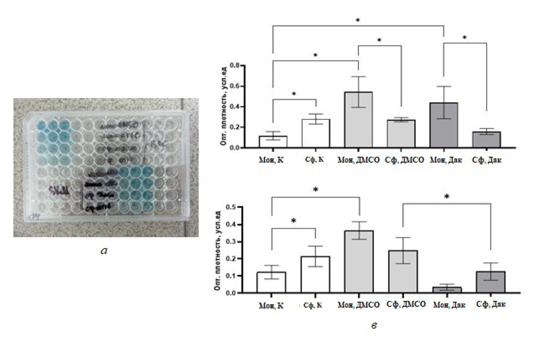
Адгезия клеток меланомы, устойчивых к действию дакарбазина, к фибронектину. Оценку проводили спектрофотометрическим методом (рис. 6а). В клеточной линии BRO в монослое наблюдали повышение адгезии к фибронектину после воздействия дакарбазином по сравнению с контрольным монослоем без воздействия (P = 0.0495). В сфероидах контрольной группы адгезия к фибронектину была выше, чем в монослое BRO (Р = 0.0495). В сфероидах, сформированных BRO и состоящих из клеток, подвергнутых воздействию 1% ДМСО, адгезия к фибронектину снижалась по сравнению с этими клетками в монослое, также обработанными ДМСО (Р = 0.0495). В сфероидах BRO, подвергнутых воздействию дакарбазином, адгезия к фибронектину была ниже, чем в клетках монослоя после этого же воздействия (P = 0.0495) (рис. 6б).
Рис. 6. Интенсивность цвета при разных степенях адгезии к фибронектиновой подложке (а, чем ярче цвет, тем выше степень адгезии) и степень адгезии к фибронектиновой подложке клеток линии BRO (б) и SK-MEL-2 (в). Показаны данные для монослоя и сфероидов в контроле и после действия ДМСО и дакарбазина. Обозначения те же, что на рис. 4. Даны средние значения (n = 3) и их стандартные отклонения; различия достоверны при: *Р = 0.0495 (критерий Манна–Уитни).
У клеток SK-MEL-2 в монослое адгезия к фибронектину после воздействия ДМСО увеличивалась по сравнению с SK-MEL-2, культивируемыми в монослое без воздействия (P = 0.0495). В сфероидах, состоящих из клеток, подвергнутых воздействию дакарбазином, адгезиия к фибронектину снижалась по сравнению со сфероидами, клетки которых подвергали обработке ДМСО (P = 0.0495). У сфероидов SK-MEL-2 из клеток, не подвергавшихся никаким воздействиям, адгезия к фибронектину была выше по сравнению с монослойными SK-MEL-2 без воздействия (Р = 0.0495) (рис. 6в).
Уровень экспрессии адгезивных молекул в клетках меланомы после воздействия дакарбазином. В сфероидах клеток BRO уровень экспрессии генов интегринов ITGB8 (рис. 7а) и ITGAV (рис. 7б) после воздействия дакарбазином повышался по сравнению с показателями в 3D-структурах без воздействий (P = 0.0495). В сфероидах клеток SK-MEL-2 дакарбазин повышал уровень экспрессии гена ITGB8 (P = 0.0495), ITGAV (P = 0.0495) и ITGB5 (P = 0.0495) (рис. 7г–е) по сравнению со структурами, клетки которых не подвергали никаким воздействиям.
Рис. 7. Относительная экспрессии генов интегрина ITGВ 5 (а), ITGB8 (б) и ITGAV (в), в сфероидах клеточной линии BRO и SK-MEL-2 и после воздействия ДМСО и дакарбазином (ДАК). Экспрессию генов интегринов в клетках после воздействия дакарбазином оценивали относительно клеток, подвергнутых действию ДМСО. Даны средние значения (n = 3) и их стандартные отклонения; (*) – различия достоверны при P = 0.0495 (критерий Манна–Уитни).
ОБСУЖДЕНИЕ
Для повышения репрезентативности результатов экспериментальных исследований, выполняемых in vitro, были разработаны методы 3D-культивирования, которые способны создать более приближенную модель к опухоли (Zanoni et al., 2016; Srisongkram et al., 2020; Lee et al., 2023).
Дакарбазин – противоопухолевый препарат, используемый для терапии различных видов злокачественных новообразований. Этот препарат представляет собой алкилирующий агент, который способен инициировать повреждения ДНК (Kewitz et al., 2014). Известно, что процессы деления и адгезии клетки тесно связаны. Соответственно арест клеточного цикла может приводить к изменению адгезивных свойств опухолевых клеток, изменению репертуара адгезивных молекул на поверхности клетки и внутриклеточных сигнальных каскадов. Понимание механизмов взаимосвязи этих процессов может иметь значение для оценки эффектов противоопухолевой терапии, прогнозирования течения новообразований и развития лекарственной устойчивости.
В клетках линии BRO, культивируемых в виде 3D-структур было выявлено, что дакарбазин повышает долю Ki-67-негативных клеток (т. е. клеток, которые перешли в фазу G0 клеточного цикла), а также долю апоптотических клеток. Также после воздействия дакарбазином в 3D-структурах увеличивается доля клеток в состоянии апоптоза по сравнению с монослоем, а также со сфероидами, клетки в которых не подвергали никаким воздействиям. Этот результат предполагает, что дакарбазин индуцирует в клетках меланомы как апоптоз, так и выход из клеточного цикла.
В 3D-сфероидах клеток меланомы линии SK-MEL- 2 регистрировали повышение доли апоптотических клеток и доли Ki-67-негативных клеток по сравнению с клетками монослоя, что можно объяснить строением 3D-клеточных структур, предполагающим неравномерный доступ клеток к кислороду и нутриентам. После воздействия дакарбазином на SK-MEL-2 в 3D-структурах по сравнению с 3D-структурами контрольной группы наблюдали уменьшение доли Ki-67-негативных клеток. В клетках BRO, у которых регистрировали развитие апоптоза после воздействия дакарбазином, наблюдали и переход определенной доли клеток в фазу G0 клеточного цикла. В SK-MEL-2 регистрировали и отсутствие апоптоза в 3D-сфероидах, и отсутствие индукции их выхода из клеточного цикла.
Фибронектин рассматривается как протуморогенный компонент внеклеточного матрикса, коммуникация которого с интегринами опухолевых клеток индуцирует формирование метастатических ниш и поддержание у опухолевых клеток фенотипа, аналогичному стволовым клеткам (Wu et al., 2023). Фибронектин рассматривается как белок, участвующий в ремоделировании органов, в том числе, при изменениях редокс-статуса и гипоксии (Aksenenko et al., 2019; Syed et al., 2022).
Адгезия клеток BRO и SK-MEL-2 в сфероидах в контроле (без воздействия) к фибронектину была выше по сравнению с контрольными клетками, культивируемыми в монослое, что может быть обусловлено самой трехмерной структурой, требующей более выраженной коммуникации клеток с внеклеточным матриксом. Вместе с тем в сфероидах SK-MEL-2 дакарбазин индуцировал снижение адгезии к фибронектину. В условиях in vivo фибронектин обычно продуцируется фибробластами и макрофагами и стимулирует инвазию и миграцию опухолевых клеток. Таким образом, внеклеточный фибронекин активирует метастазирование и прогрессию опухолевого роста. Напротив, снижение адгезии к фибронектину может быть связано с развитием лекарственной устойчивости и поддержанием дормантного, а не пролиферативного или миграционного фенотипа клеток (Azimian-Zavareh et al., 2019; Lin et al., 2019). Установлено, что интегрины αV, α5, α8 гетеродимеризуются с интегринами β1, β3, β5, β6, β8 при взаимодействии с фибронектином, приводя к активации FAK (Azimian-Zavareh et al., 2019; Komina et al., 2019). Стоит отметить, что оценку адгезии и экспрессионный анализ интегринов мы выполняли в разных сериях экспериментов, что не позволяет соотнести эти данные, а дает возможность оценивать только действие дакарбазина на вышеуказанные параметры. В нашем исследовании было определено повышение уровня экспрессии интегринов αV и β8 в BRO, повышение уровня экспрессии интегринов αV, β5 и β8 в SK-MEL-2, что может указывать на участие этих молекул в фенотипическом переключении опухолевых клеток.
Таким образом, при воздействии алкилирующим агентом дакарбазином определяется разница в выраженности критических для опухолевых клеток параметров (биологических процессов) – апоптоза, пролиферации, взаимодействия с внеклеточным матриксом. В клетках 3D-моделей под действием дакарбазина наблюдается фенотипическое переключение, а также регистрируется апоптоз-индуцирующее действие данного препарата. В это же время апоптоз-резистентные клетки сохраняли пролиферативный фенотип.
ФИНАНСИРОВАНИЕ РАБОТЫ
Работа выполнена при финансовой поддержке Российского научного фонда (проект № 19-15-00110, https://rscf.ru/project/19-15-00110/).
СОБЛЮДЕНИЕ ЭТИЧЕСКИХ СТАНДАРТОВ
В данной работе отсутствуют исследования человека или животных.
КОНФЛИКТ ИНТЕРЕСОВ
Авторы заявляют об отсутствии конфликта интересов.
About the authors
D. V. Chernykh
Voino-Yasenetsky Krasnoyarsk State Medical University
Author for correspondence.
Email: tatyana_ruksha@mail.ru
Russian Federation, Krasnoyarsk
I. S. Zinchenko
Voino-Yasenetsky Krasnoyarsk State Medical University
Email: tatyana_ruksha@mail.ru
Russian Federation, Krasnoyarsk
T. G. Ruksha
Voino-Yasenetsky Krasnoyarsk State Medical University
Email: tatyana_ruksha@mail.ru
Russian Federation, Krasnoyarsk
References
Supplementary files








