Development of an in vitro model of dysferlinopathy via crispr/cas-mediated transcriptional activation of the dysf gene
- Authors: Yakovlev I.A.1,2, Slesarenko Y.S.2, Starostina I.G.3, Shaimardanova A.A.3, Solovyova V.V.3, Bobrovsky P.A.4, Grafskaia E.N.4, Belikova L.D.4, Bardakov S.N.1, Rizvanov A.A.3,5, Isaev A.A.1, Deev R.V.1,2,6
-
Affiliations:
- Artgene Biotech
- OOO Genotarget, Skolkovo Innovation Center
- Kazan (Volga Region) Federal University
- Lopukhin Federal Research and Clinical Center of Physical-Chemical Medicine
- Division of Medical and Biological Sciences, Tatarstan Academy of Sciences
- Avtsyn Research Institute of Human Morphology, Petrovsky National Research Centre of Surgery
- Issue: Vol 66, No 4 (2024)
- Pages: 380-392
- Section: Articles
- URL: https://medbiosci.ru/0041-3771/article/view/274489
- DOI: https://doi.org/10.31857/S0041377124040064
- EDN: https://elibrary.ru/QCPXOW
- ID: 274489
Cite item
Full Text
Abstract
Scientists need cell models from human tissues to develop methods of gene therapy and genome editing for monogenic diseases. It is preferable to use minimally invasive methods to obtain samples; these tissues can be applied for further screening in order to select the most effective approach to restore the synthesis of the target protein. We used the CRISPR/Cas9-SAM transcriptional activation system, which ensures expression of the DYSF gene in HEK293Т cells, as well as in fibroblasts from patients with dysferlinopathy (c.2779delG (Ala927LeufsX21)). After targeted activation of DYSF, it was possible to detect the main gene products: mRNA and protein (HEK293Т_ТА) and mRNA (fibroblasts). Transcriptionally activated dysferlin-deficient fibroblasts and HEK293 cells can be used to evaluate the in vitro efficacy of gene therapy for dysferlinopathies.
Full Text
Мышечные дистрофии являются первичным поражением мышечной ткани, котрое развивается непрерывно-проградиентно, приводя к инвалидности в трудоспособном возрасте, а при некоторых нозологических формах и к смерти в детском и подростковом возрастах. Общая распространенность мышечных дистрофий составляет 4:100 000 (Salari et al., 2022), наиболее часто встречающиеся – миодистрофия Дюшенна (3:100 000 общего населения и 20:100 000 живых новорожденных мальчиков) (Crisafulli et al., 2020) и группа поясно-конечностных мышечных дистрофий (от 1:14500 до 1:123 000) (Umakhanova et al., 2017; Liu et al., 2019). Миодистрофии вызваны мутациями в генах, кодирующих белки, вовлеченные в гистогенез и функционирование скелетной мышечной ткани. Этиотропного лечения этих заболеваний не существует (Деев и др., 20 14).
Дисферлин относится к подгруппе ферлинов семейства белков, состоящих из Ca2+-чувствительных доменов C2, которые участвуют в слиянии везикул, транспортировке и восстановлении мембран (Lek et al., 2012). Мутации в гене DYSF способствуют развитию нескольких типов мышечных дистрофий: дистальной миопатии, поясно-конечностной мышечной дистрофии R 2 (ПКМД R 2) и миопатии Миоши. Это дегенеративные заболевания скелетных мышц, которые обычно появляются в подростковом возрасте и в конечном итоге приводят к потере мышечной массы и мобильности (Bouchard et al., 2023).
Аутосомно-рецессивная мутация c. 2779delG связана с делецией гуанина в позиции 9 27 экзона 26 в гене DYSF. Это вызывает сдвиг рамки считывания и образуется преждевременный стоп-кодон (p.Ala9 27LeufsX 2 1). В результате синтезируется либо нефункциональный белок, либо происходит нонсенс-опосредованный распад мРНК (Leshinsky-Silver et al., 2007; Khaiboullina et al., 2017; Исаев и др., 20 23).
В настоящее время этиотропного лечения ПКМД R 2 не существует. В качестве наиболее оптимального терапевтического подхода миодистрофий научное сообщество рассматривает методы генной терапии, позволяющие вносить изменения в генетический материал клетки (ДНК или РНК) (Яковлев и др., 20 16; Chamberlain et al., 2017). Для разработки и оценки работоспособности такой стратегии необходимы модели in vitro, с помощью которых можно провести скрининг технологий (редактирования ДНК, РНК, доставки терапевтических молекул различными векторами) и выбрать наиболее точные и эффективные возможности для восстановления синтеза целевого белка. Для этого используют линии HEK 293, HeLa, Caco-2 и другие. Такие модели обладают рядом характеристик, важных для исследований: простота культивирования, быстрая скорость деления, высокая эффективность трансфекции и продукции белка (Thomas et al., 2005).
Однако этого недостаточно для детальной проверки генетических конструкций. Чтобы иметь полное представление о возможностях терапевтических агентов, направленно воздействующих на конкретные участки ДНК или РНК, исследователи работают с пациент-специфичными клетками. Для исследований в области наследственных заболеваниях мышечной ткани могут применяться:
- миобласты от здоровых доноров и пациентов с дисферлинопатией (Mamchaoui et al., 2011);
- индуцированные плюрипотентные стволовые клетки с последующей миогенной дифференцировкой (Ulman et al., 2021; Bruge et al., 2022);
- искусственные миобласты, полученные в результате лентивирусной трансдукции MyoD фибробластов (Kabadi et al, 2015; Rossi et al., 2023);
- клетки, в которых с помощью системы CRISPR/dCas9-SAM активирована транскрипция интересующего гена (Jiang et al., 2019; Heidersbach et al., 2023; Jensen et al., 2021).
В связи с низкой распространенностью орфанных заболеваний и, в частности, миодистрофий, а также многообразием мутаций и форм заболеваний (Illarioshkin et al., 1996; Argov et al., 2000; Urtizberea et al., 2008), забор биоптата для выделения первичных миобластов в условиях лаборатории зачастую весьма затруднителен. Для решения проблемы получения биоматериала мы создали клеточную тест-систему (модель заболевания) из имеющихся клеточных линий с помощью ТА-системы CRISPR/dCas9-SAM (версии CRISPR/Cas9 технологии c инактивированным нуклеазным доменом Cas9) и дополнительными компонентами активации SAM (synergistic activation mediator). С помощью направляющей РНК (sgRNA) SAM целенаправленно рекрутирует комбинации белков MS 2-P6 5-HSF 1 к области целевого промотора и за счет этого включает транскрипцию интересующего гена (рис. 1) (Hunt et al., 2021).
Рис. 1. Система транскрипционной активации CRISPR/Cas9-SAM.
CRISPR/dCas9-SAM состоит из: 1) гибрида инактивированной нуклеазы dCas9 и белка VP64, 2) гидовой РНК (sgRNA) с двумя РНК-аптамерами MS2 и 3) вспомогательного белка активации MS2-P65-HSF1. Доставка комплекса осуществляется трансдукцией трех отдельных лентивирусных частиц, содержащих каждый из компонентов. Внутри клетки комплекс из sgRNA-MS 2 и dCas9-VP64 рекрутирует комбинацию белков MS 2-P6 5-HSF 1 к области целевого промотора и таким образом обеспечивает его активацию и начало трансляции белка (Konermann et al., 2015).
В качестве клеточной модели для включения транскрипции гена мы выбрали линию HEK293Т, в которой, согласно данным (The human protein atlas; https://www.proteinatlas.org), эндогенный дисферлин не обнаруживается, исследуемый белок не продуцируется, и его детекция возможна только после активации, что подтверждено различными исследованиями (Старостина и др., 20 1 2; Tominaga et al., 2021). Мы также использовали фибробласты пациента с дисферлинопатией [c.2779delG (Ala927LeufsX21)] (далее – DYSF-нокаутные фиброласты) (Khaiboullina et al., 2017; Исаев и др., 20 23).
Цель работы заключалась в получении транскрипционно активированных (ТА) клеток HEK 293Т (HEK293Т_ТА) и мутантных фибробластов из десны пациента с последующим их использованием в качестве in vitro модели для генной терапии. В работе мы успешно применили систему CRISPR/dCas9-SAM и обеспечили включение гена DYSF. В полученных клетках HEK293Т_ТА детектировали мРНК гена DYSF и белок дисферлин; мРНК DYSF также была обнаружена в фибробластах после ТА. Это дает нам возможность использовать их для более глубокой оценки эффективности терапевтических конструкций.
МАТЕРИАЛ И МЕТОДИКА
Клетки и их культивирование. Фибробласты десны пациента с мутацией c. 2779delG (Ala9 27LeufsX 2 1) в 26-м экзоне гена дисферлина были выделены из биоптата экплантационным методом по стандартному протоколу (https://www.ncbi.nlm.nih.gov/pmc/articles/PMC807 19 1 1/). Биоптаты десны пациента были получены в ходе операции, с предварительным получением информированного согласия пациента (Zorin et al., 2017).
В работе использовали клеточные линии НЕК 293Т (ATCC, США), С2С12 (ATCC, США) и миобласты человека без дисферлинопатии (получены из ЦКП “Биобанк” Медико-генетического научного центра им. академика Н.П. Бочкова, Москва). Клетки культивировали в среде DMEM (“ПанЭко”, Россия), содержащей фетальную бычью сыворотку (FBS; Gibco, США) в количестве 10% (фибробласты), 5% (НЕК293Т) или 15% (миообласты), 1мМ глутамина (“ПанЭко”, Россия), 50 ед./мл пенициллин–стрептомицина (“ПанЭко”, Россия) в пластиковых культуральных чашках без дополнительного покрытия в CO2-инкубаторе при 5٪ CO2, 37° C и влажности 80%. Среду меняли каждые 72 ч. Как только клетки достигали желаемой конфлюэнтности, их промывали фосфатно-солевым буферным раствором (PBS; “ПанЭко”, Россия), а затем пассировали с использованием 0.25%-ного раствора трипсина (“ПанЭко”, Россия). Клетки инкубировали в течение 5 минут для нарушения межклеточных контактов и отделения от культурального пластика. После этого инактивировали трипсин эквивалентным объемом среды. Клетки собирали, промывая культуральную чашку потоком среды, переносили в пробирку емкостью 1 5 мл и центрифугировали при 200 g в течение 5 мин. Супернатант удаляли и клетки ресуспендировали в культуральной среде. Затем необходимое количество клеточной суспензии высевали на культуральный пластик.
Для криоконсервации клетки, снятые с чашки, ресуспендировали в FBS и переносили в криопробирку. К суспензии по каплям добавляли равный объем смеси FBS и 20% ДМСО (“ПанЭко”, Россия) и замораживали при –70° С. На следующий день замороженные клетки переносили в жидкий азот для длительного хранения.
Проточная цитометрия. Антигенные свойства фибробластов человека анализировали с помощью проточной цитофлуориметрии на приборе FACS Aria III (BD Bioscience, США) согласно инструкции производителя (BD Bioscience, США) с использованием набора антител Stemflow™ hMSC Analysis Kit (BD Bioscience, США) к CD73, CD90, CD105 и коктейль антител к CD11b, CD19, CD34, CD45, HLA-DR, контроли для проведения компенсации и изотипические контроли.
Охарактеризованные клетки были иммортализованы посредством нокаута гена p53. Нокаут осуществляли трансдукцией лентивируса, собранного с помощью плазмиды pLVUHshp53 (#11653; Addgene plasmid, Patrick Aebischer, http://n2t.net/addgene:11653; RRID:Addgene_11653), содержащей зеленый флуоресцирующий белок (gfp) (Szulc et al., 2006). Для получения чистой популяции клеток, несущих LVUHshp53-gfp, клетки сортировали с помощью проточного цитофлуориметра-сортера BD FACS Aria III (BD Bioscience, США).
Вестерн-блот-анализ. Электрофорез проводили по методу Лэммли с использованием 6٪-ного концентрирующего и 10٪-ного разделяющего полиакриламидных гелей. Разделение белков осуществляли при силе тока 30 мА на один гель в трис-глициновом электродном буфере (BioRad, США). Электрофорез останавливали после достижения фронтом бромфенолового синего конца геля.
Далее проводили электроперенос белков из полиакриламидного геля на PVDF-мембрану (BioRad, США), предварительно активированную 96%-ным этанолом в течение 1 мин при силе тока 0.8 мА/см2 с использованием прибора для полусухого переноса TE77XP (Serva, Германия). PVDF-мембраны инкубировали в блокирующем буфере с первичными поликлональными антителами к белку p 53 (ab131442; Abcam, Великобритания; разведение 1:200) в течение ночи при 4° С. Для приготовления отмывочного раствора использовали PBS, содержащий 0.1% Tween 20 (Sigma, США). Отмывку от несвязавшихся первичных антител проводили 3 раза в течение 10 минут при комнатной температуре и перемешивании на шейкере. Затем мембраны инкубировали при комнатной температуре в течение часа со вторичными поликлональными антителами, конъюгированными с пероксидазой хрена (a6154; Sigma, США; разведение 1:2000).
Для оценки наработки белка DYSF использовали первичные поликлональные антитела к дисферлину в блокирующем буфере (ab 1 5 108; Abcam, Великобритания; разведение 1:200) и вторичными поликлональными антителами, конъюгированными с пероксидазой хрена (a6154; Sigma, США; разведение 1:2000). Для нормализации данных использовали β-актин (8227; Abcam, Великобритания).
Визуализацию иммунного преципитата проводили с помощью хромогенного субстрата Peroxidase substrate solution (Vector Laboratories, США). Реакцию останавливали отмывкой PVDF-мембраны в дистиллированной воде. Мембраны высушивали на фильтровальной бумаге, оцифровывали на сканере ChemiDoc (BioRad, США). Денситометрию осуществляли с помощью стандартной программы ImageJ.
Сборка лентивирусных конструкций. В ходе работы использовали плазмидные конструкции: оболочечную плазмиду для лентивирусов pCMV-VSV-G (Lab. Bob Weinberg; #8454, Addgene plasmid: http://n2t.net/addgene:8454; RRID:Addgene_8454) (Stewart et al., 2003), упаковочную лентивирусную плазмиду psPAX2 (Lab. Didier Trono, #12260, Addgene plasmid: http://n2t.net/addgene:12260; RRID:Addgene_12260), векторные плазмиды lenti MS2-P65-HSF1_Hygro (Feng Zhang; #61426, Addgene plasmid: http://n2t.net/addgene:61426; RRID:Addgene_61426), lenti dCAS-VP64_Blast (Feng Zhang, #61425A, ddgene plasmid: http://n2t.net/addgene:61425; RRID:Addgene_61425), lenti sgRNA(MS2)_zeo backbone (gRNA_1, gRNA_4) (Feng Zhang, #61427, Addgene plasmid: http://n2t.net/addgene:61427; RRID:Addgene_61427) (Konermann et al., 2015), pLVUHshp53 (Patrick Aebischer & Didier Trono, #11653, Addgene plasmid: http://n2t.net/addgene:11653; RRID:Addgene_11653) (Szulc et al., 2006). Для получения рекомбинантного репликационно-дефектного лентивируса проводили котрансфекцию пакующей клеточной линии HEK 293А тремя плазмидами (оболочечной, упаковочной и векторной), согласно стандартному протоколу (Salmon et al., 2006).
Оптимизация концентраций антибиотиков. Для определения концентрации антибиотиков максимального ингибирования клеток (IC100) проводили MTS-тест по стандартному протоколу (Arab-Bafrani et al., 2016). Количество жизнеспособных клеток оценивали путем измерения флуоресценции образовавшегося формазана (CellTiter 96® AQueous One Solution Reagent, Promega, США) на микропланшетном спектрофотометре Tecan Infinite M200 Pro (Tecan Group Ltd., Швейцария) при длине волны 490 нм. MTS-тест проводили в соответствии с инструкцией производителя (Promega™ CellTiter 96™ AQueous one solution cell proliferation assay, США). Для селекции использовали антибиотики бластицидин (10 мг/мл; Invivogen, США), гигромицин (50 мг/мл; Invivogen, США), зеоцин (100 мг/мл; Invivogen, США). Для выбора концентрации, при которой происходит гибель всех клеток использовали разведения, согласно протоколам производителя: бластицидин: 2–15 мкг/мл, гигромицин: 50–250 мкг/мл, зеоцин: 100–500 мкг/мл. Замену среды с антибиотиком производили каждые 3–4 сут. После этого выбирали концентрацию, при которой происходит гибель клеток в течение 1– 2 нед.
Транскрипционная активация. ТА-система CRISPR/dCas9-SAM состоит из гибрида инактивированной нуклеазы dCas9 и белка VP64, гидовой РНК (sgRNA) с двумя РНК-аптамерами MS2 и вспомогательного белка активации MS2-P65-HSF1. Доставка комплекса осуществлена трансдукцией трех отдельных лентивирусных частиц, содержащих каждый из компонентов. Внутри клетки комплекс sgRNA–MS2 и dCas9–VP64 рекрутирует комбинацию белков MS2–P65–HSF1 к области целевого промотора и таким образом обеспечивают его включение и начало трансляции целевого белка (Konermann et al., 2015).
Для специфичной работы системы была использована коммерчески доступная гидовая РНК, нацеленная на первые 200 п.н. выше сайта начала транскрипции (TSS) гена DYSF (GenScript, США). Итоговая последовательность sgRNA1 (CGCCGCGGGCAGGGCGGATC) клонирована в gRNA-экспрессионный вектор pLenti_sgRNA(MS2)_zeo.
Фибробласты с мутацией в 26-м экзоне гена DYSF, нокаутные по гену p53 (HF-mut26-p53) и фибробласты с мутацией в 26 экзоне гена DYSF без нокаута гена p53 (HF-mut26) рассеивали в 6-луночный культуральный планшет по 30 000 клеток на 1 лунку. Смешивали 2 50 мкл концентрированного вируса (множественность заражения – 5 MOI/кл.) с 750 мкл среды альфа-МЕМ (“ПанЭко”, Россия) и 4 мкл протамина сульфата ( 5 мг/мл; Sigma, США). Через 6 ч меняли среду в лунках на свежую по 2 мл на лунку. Лентивирус dCAS-VP64 имеет селективный маркер – устойчивость к антибиотику бластицидину. В качестве контроля для селекции использовали интактные клетки HF-mut26-p53, контролем эффективности трансдукции служили HF-mut26. Селекцию начинали через 5 сут после трансдукции. Через 3 нед. выжившие клетки со вставкой лентивируса с dCAS-VP64 пересеивали в культуральный флакон Т 2 5 и растили до образования монослоя. Затем часть клеток замораживали и хранили при –80° С, а часть сеяли для трансдукции следующим фактором. Таким образом, получили клеточную линию HF-mut 26-p 53 + dCAS-VP64.
Аналогично проводили трансдукцию фибробластов HF-mut 26-p 53 и HF-mut 26 лентивирусом, кодирующим транскрипционный фактор MS2-P65 HSF1, который имеет маркер для селекции – устойчивость к гигромицину. Далее иммортализованные клетки HF-mut 26+ dCAS-VP64+MS 2-P6 5_HSF 1 трансдуцировали лентивирусом, кодирующим гидовую РНК sgRNA(MS2). Проводили селекцию с помощью антибиотика зеоцина. Получили клеточную линию иммортализованных дисферлин-дефицитных фибробластов десны пациента с дисферлинопатией, с ТА-геном дисферлина HF-mut26-p53+dCAS-VP64+MS2-P65_HSF1+sgRNA(MS2) (далее – HF-mut26-p53_ТА).
Полимеразная цепная реакция (ПЦР) с обратной транскрипцией (ОТ). Осадок фибробластов собирали с помощью центрифугирования при 500 g в течение 5 мин. Общую РНК выделяли с использованием реагента TRIzol (Invitrogen, США) по методике, рекомендованной производителем. Количественную ПЦР проводили на амплификаторе CFX96 Touch (BioRad, США) в объеме 20 мкл с применением готовой смеси для ПЦР qPCRmix-HS (“Евроген”, Россия) и 5 пмоль каждого праймера. Режим амплификации: 1 цикл 94° С – 180 с; 40 циклов 95° С – 15 с; 60° С–15 с; 72° С – 15 с. Кривая плавления: 62–94° С с шагом 0.5° С – 15 с. В качестве матрицы выступала кДНК, полученная в ходе ОТ. Праймеры для DYSF человека (и клеток C 2C 1 2): прямой CGTGATGGATGACAAGAGTGA (CATGGTGGATGACAAGAGCGA); и обратный CGATGGCATAGGGATCAGAAA (CGATGGCGTAGGGATCAGAGA).
Количество кДНК, соответствующей транскриптам целевых и референсных генов определяли по разности порогового цикла реакции (Ct) для каждого образца. В качестве референсного гена был выбран ген глицеральдегид-3-фосфат дегидрогеназы (GAPDH). Для количественного анализа экспрессии генов использовали метод ∆∆Ct. На первом этапе проводили нормализацию данных, используя усредненные значения Ct референсного гена GAPDH и рассчитывали значения ∆Ct, путем вычитания значения Ct референсного гена из значения Ct исследуемого гена. Далее рассчитывали значения ∆∆Ct, вычитая значения ∆Ct контрольного образца из значения ∆Ct экспериментального образца.
В качестве положительных контролей использовали миобласты человека без дисферлинопатии и клеточную линию С 2С 1 2. Экспрессия DYSF в С 2С 1 2 была описана в раннее проведенных исследованиях (Belanto et al., 2010; Defour et al., 2014). Отрицательным контролем при анализе клеток НЕК 293Т_ТА служили клетки НЕК 293Т, в которых ген DYSF не был активирован.
Статистический анализ. Статистическую обработку полученных результатов проводили с помощью пакета прикладных программ Microsoft Excel. Достоверность различий определяли с помощью t-критерия Стьюдента (двухвыборочный). Различия считали достоверными при P < 0.05.
Использованные реактивы: набор антител Stemflow™ hMSC Analysis Kit (BD, США), плазмида pLVUHshp 53 (#11653; Addgene plasmid, Patrick Aebischer & Didier Trono); оболочечная плазмида для лентивирусов pCMV-VSV-G (#8454; Addgene plasmid, Bob Weinberg); упаковочная лентивирусная плазмида psPAX 2 (# 1 2 260; Addgene plasmid, Didier Trono); векторные плазмиды lenti MS2-P65-HSF1_Hygro (#61426), lenti dCAS-VP64_Blast (#61425) и lenti sgRNA(MS2)_zeo backbone (gRNA_1, gRNA_4) (#61427; Addgene plasmid, Feng Zhang); последовательность sgRNA 1 CGCCGCGGGCAGGGCGGATC (GenSсript, США), бластицидин, гигромицин, зеоцин и TRIzol (Invitrogen, США); qPCRmix-HS (Евроген, Россия), поликлональные антитела кролика к белку p 53 (#ab 13 144 2), дисферлину (#ab15108) и β-актину (#8227) (Abcam, Великобритания); вторичные поликлональные антитела козы к иммуноглобулину G кролика, конъюгированные с пероксидазой хрена (#A6154; Sigma, США).
РЕЗУЛЬТАТЫ
Типирование фибробластов и получение иммортализованной культуры. Иммунофенотипирование показало специфичность клеток, выделенных из биоптата десны по поверхностным мезенхимным маркерам (мультипотентных мезенхимных стромальных клеток и фибробластов). Проведена характеризация выделенной популяции первичных фибробластов (рис. 2а–г). Для иммортализации нативные фибробласты генетически модифицировали рекомбинантным лентивирусом (pLVUHshp53), кодирующим короткими шпилечными РНК (кшРНК) к нуклеотидной последовательности РНК p53. Далее с помощью проточного цитофлуориметра-сортера получали чистую популяцию клеток, несущих LVUHshp 53-gfp.
Рис. 2. Распределение фибробластов, выделенных из десны пациента с дисферлинопатией, по поверхностным маркерам (иммунофенотипирование). По вертикали – число клеток; по горизонтали – интенсивность свечения зонда, связанного с соответствующим антителом. а – Клетки, негативные по маркерам CD4 5, CD34, CD 1 1b, CD 19 и HLA-DR; б – клетки CD90+ (94.4%), б – клетки CD 10 5+ (90.5%), г – клетки CD73+ (91.5%); д, е – гистограмма распределения клеточной популяции по интенсивности флуоресцентного сигнала GFP соответственно до и после сортировки. Проточная цитометрия.
Для проверки успешного нокаута p53 проведен анализ с помощью вестерн-блотинга (рис. 3). В качестве контрольных клеток использовали немодифицированные фибробласты десны, полученные от пациента (см. раздел “Материал и методика”), и детектировали продукт, соответствующий по молекулярной массе белку p53 (53 кДа).
Рис. 3. Детекция нокаута p53 в фибробластах. а – Фибробласты пациента с дисферлинопатией, трансдуцированные лентивирусом LVUHshp53-gfp.3. б – Вестерн-блот: КО – иммортализованные фибробласты кожи пациента с дисферлинопатией, полученные путем нокаута гена-онкосупрессора p53 (53 кДа), WT – фибробласты кожи пациента с дисферлинопатией. М – мол. маркер.
Активация транскрипции гена DYSF в фибробластах и клетках HEK 293. Детекция продуктов экспрессии гена. Гидовая РНК (GenScript, США) для специфичной работы системы SAM (sgRNA1 –CGCCGCGGGCAGGGCGGATC) нацелена на первые 200 п.н. выше сайта начала транскрипции –(TSS) гена DYSF и лигирована в gRNA-экспрессионный вектор (pLenti_sgRNA(MS2)_zeo. Далее для осуществления ТА гена DYSF лентивирусами, кодирующими SAM-gRNA1, dCas9-VP64, MS2-P65-HSF1 были трансдуцированы фибробласты из десны пациента с дисферлинопатией и клетки HEK 293Т. После этого проводили селекцию клеток антибиотиками: фибробластов – гигромицином (в концентрации 200 мкг/мл), зеоцином (225 мкг/мл) и бластицидином (10 мкг/мл); клеток HEK293Т – гигромицином (150 мкг/мл), зеоцином (200 мкг/мл) и бластицидином (7.5 мкг/мл). После селекции получили клетки, в которых прошла генетическая модификация вирусами и, соответственно, ТА целевого гена.
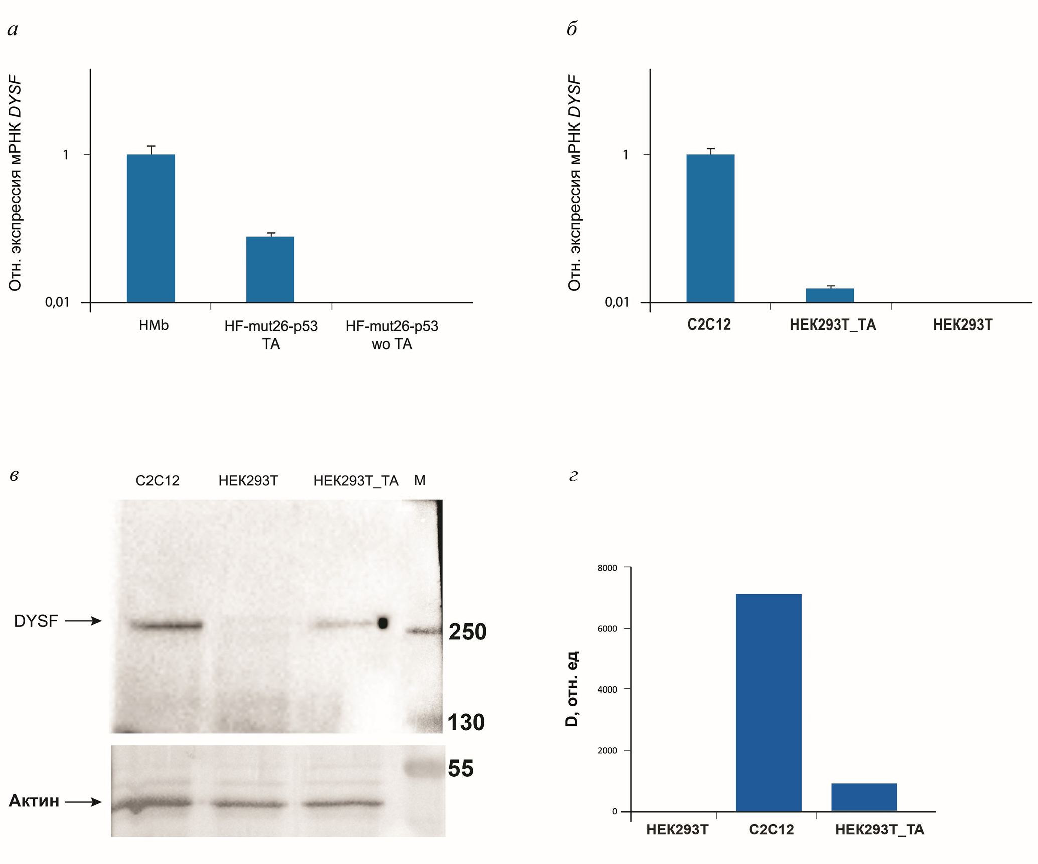
Детекция мРНК и белка, кодируемого геном DYSF. Методом ОТ-ПЦР было показано, что после активации гена DYSF в фибробластах экспрессируется мРНК этого гена (рис. 4а). В качестве положительного контроля использовали миобласты человека (HMb) без мутации в гене DYSF, полученные по ранее описанной методике (Буев и др., 2020); в качестве отрицательного контроля – фибробласты с мутацией в 26 экзоне гена DYSF, которые не несут компоненты CRISPR/dCas9-SAM.
В культуре клеток HEK 293Т_ТА с помощью ОТ-ПЦР-анализа выявили увеличение уровня экспрессии DYSF при использовании праймеров к кДНК дисферлина (рис. 4б). Чтобы убедиться в том, что происходит наработка белка дисферлина, мы проводили иммуноблотинг. По результатам реакции детектировали бэнд, соответствующий ожидаемому размеру белка дисферлина (рис. 4в). Дополнительно оценивали результаты с помощью денситометрии (рис. 4г).
Рис. 4. Детекция мРНК и белка гена DYSF в фибробластах и HEK 293T до (wo TA) и после (TA) транскрипционной активации гена DYSF с помощью CRISPR/dCas9 SAM. а – Относительная экспрессия мРНК дисферлина (ΔΔCT, ОТ-ПЦР) в миобластах человека без мутации в гене DYSF, использованных в качестве контрольных клеток (HMb), фибробластах пациента после транскрипционной активации (ТА) DYSF (HF-mut26-p53_TA) и фибробластах пациента, не несущих компонент системы активации (HF-mut26-p53 wo TA). б – Относительная (ΔΔCT) экспрессия мРНК дисферлина в клетках HEK 293Т до и после ТА DYSF и клетках С 2С 1 2, которые служили положительным контролем. в, г – Соответственно вестерн-блоты с антителами к белку дисферлин и их денситограммы (D – оптическая плотность). а, б: Данные представлены в виде среднего ± стандартная ошибка среднего.
ОБСУЖДЕНИЕ
Метод для транскрипционной активации генов с применением CRISPR/Cas был впервые описан в 20 1 5 г. (Konermann et al., 2015) и нашел применение в создании подходов к лечению онкологических заболеваний (Liu et al., 2019), ожирения (Wang, 2020), фиброза печени (Luo et al., 2022) и других. Были разработаны индуцированные плюрипотентные стволовые клетки (iPSC), постоянно экспрессирующие элементы комплекса SAM–SAM-iPSC (Xiong et al., 2016) и трансгенные мыши (Hunt et al., 2021). SAM-iPSC представляют собой новый полезный инструмент для изучения генетической регуляции пролиферации и дифференцировки стволовых клеток посредством CRISPR-опосредованной активации генов. На модели мышей SAM также можно модулировать всевозможные состояния с помощью разных направляющих РНК. Такие платформы ТА-генов с CRISPR/dCas9-SAM позволяют направленно изучать патогенез заболеваний и являются удобной моделью для разработки терапии. Ключевыми аспектами и преимуществами CRISPR/dCas9-SAM являются:
- Эффективность и специфичность. Технология CRISPR/dCas9-SAM обладает высокой специфичностью к целевому гену, что снижает вероятность случайных мутаций и влияния на другие гены, а также сравнительно высокой эффективностью (Konermann al., 2015; Wang et al., 2016).
- Усиленная транскрипция. Система активации позволяет значительно усилить транскрипцию выбранных генов, что может быть весьма полезно при изучении их функций или при разработке генной терапии (Konermann et al., 2015).
Модели in vitro являются отправной точкой в биологических и медицинских исследованиях. Ученые используют разные типы моделей –двумерные (2D) модели (монослойные клеточные линии) (Mamchaoui et al., 2011; Xiong et al., 2016; Bruge et al., 2022; Rossi et al., 2023), которые легко изучаются на молекулярном уровне и трехмерные (3D) модели (органоиды и органы на чипах), которые имитируют функциональные свойства нативной ткани (Agrawal et al., 2017; Shin et al., 2022). Основная цель состоит в том, чтобы разработать модели, которые сокращают стоимость и время измерений и дают все необходимые объемы экспериментальных данных.
In vitro платформы используют уже многие десятилетия для большого числа заболеваний: остеоартрита (Johnson. et al., 2016), псориаза (Jean et al., 2009), заболеваний сердца (Tumiati et al., 1994; Vunjak Novakovic et al., 2014), болезни Альцгеймера (Stoppelkamp et al., 2011), тромбозов (Zhang et al., 2017), разных видов рака (Katt et al., 2016) и миодистрофий (Barthelemy et al., 2022; Bruge et al., 2022). Но существует сложность с получением пациент-специфичных линий из-за необходимости проведения высокоинвазивных вмешательств (например, биопсия мышечной ткани). В этом случае возможно применение ТА. Источниками для создания тест-систем в таком случае могут выступать как клетки пациента, относительно легко полученные в амбулаторных условиях (например, фибробласты кожи и десны) (Zorin et al., 2017), так и клетки, которые широко используются в биомедицинских исследованиях (HEK293).
Клеточные культуры, с актированными интересующими генами – это удобная и экономичная платформа для редактирования генома (использование систем редактирования генома в таких культурах позволяет моделировать различные заболевания, а также вносить мутации и изучать влияние той или иной на патогенез) и тестирования генотерапевтических конструкций. Функционирующие в мышечной ткани белки, мутации в которых становятся причиной различных мышечных дистрофий, как правило неактивны в указанных выше видах клеток. Тогда для восстановления синтеза белка возможно применение системы активации CRISPR/dCAS9-SAM c отработкой методики по следующему пути: 1) получение клеток из биоптата пациента; 2) активация целевого гена (внесение dCAS9-SAM); 3) коррекция мутации в целевом гене (с помощью технологии CRISPR/Cas9, внесением генотерапевтических конструкций или на уровне РНК с использованием микроРНК, кшРНК и др.); 4) детекция продуктов экспрессии гена. Для клеток HEK293, не имеющих патогенных мутаций в “мышечных” генах, можно искусственно активировать транскрипцию таких генов и затем применять методы генной инженерии для разработки терапии или изучения развития заболеваний.
ЗАКЛЮЧЕНИЕ
В работе продемонстрирована концепция создания ТА-клеточных культур. Нами была успешно использована технология CRISPR/dCas9-SAM для создания in vitro модели дисферлинопатии с применением нокаутных фибробластов из десны пациентов с мутацией в гене DYSF и клеток HEK293Т_ТА. В культурах, несущих компоненты SAM, была активирована транскрипция DYSF путем внесения специфической sgRNA. В полученных клетках HEK293Т_ТА детектировали мРНК гена DYSF и белок дисферлин. мРНК гена DYSF была обнаружена и в фибробластах после ТА. Далее созданные тест-системы дисферлинопатии будут использованы для оценки эффективности генотерапевтических конструкций и перманентного экзон-скиппинга (пропуска экзонов).
БЛАГОДАРНОСТИ
А. А. Ризванов, В.В. Соловьева, И.Г. Старостина и А.А. Шаймарданова благодарны за поддержку Программой стратегического академического лидерства Казанского (Приволжского) федерального университета (“Приоритет-2030”).
Авторы благодарят В.Л. Зорина и А.И. Зорину за предоставление фибробласты десны пациента с дисферлинопатией (с гомозиготной мутацией c. 2779delG (Ala9 27LeufsX 2 1)).
ФИНАНСИРОВАНИЕ РАБОТЫ
Работа выполнена при финансовой поддержке Министерства науки и высшего образования РФ (соглашение № 07 5- 1 5- 20 2 1- 1346; ООО “Генотаргет”, Инновационный центр “Сколково”).
СОБЛЮДЕНИЕ ЭТИЧЕСКИХ СТАНДАРТОВ
Работа выполнена в соответствии с Хельсинкской декларацией 1964 г., с поправками, внесенными в 197 5 и 1983 гг.). Проведение исследований одобрено локальным этическим комитетом федерального автономного образовательного учреждения высшего образования “Казанский (Приволжский) федеральный университет” (протокол № 14 от 08.02.2019).
Каждый участник исследования дал добровольное письменное информированное согласие после получения разъяснений о потенциальных рисках и преимуществах, а также о характере предстоящего исследования.
КОНФЛИКТ ИНТЕРЕСОВ
Авторы заявляют об отсутствии конфликта интересов.
About the authors
I. A. Yakovlev
Artgene Biotech; OOO Genotarget, Skolkovo Innovation Center
Author for correspondence.
Email: mail@genotarget.com
Russian Federation, Moscow; Moscow
Y. S. Slesarenko
OOO Genotarget, Skolkovo Innovation Center
Email: mail@genotarget.com
Russian Federation, Moscow
I. G. Starostina
Kazan (Volga Region) Federal University
Email: mail@genotarget.com
Russian Federation, Kazan
A. A. Shaimardanova
Kazan (Volga Region) Federal University
Email: mail@genotarget.com
Russian Federation, Kazan
V. V. Solovyova
Kazan (Volga Region) Federal University
Email: mail@genotarget.com
Russian Federation, Kazan
P. A. Bobrovsky
Lopukhin Federal Research and Clinical Center of Physical-Chemical Medicine
Email: mail@genotarget.com
Russian Federation, Moscow
E. N. Grafskaia
Lopukhin Federal Research and Clinical Center of Physical-Chemical Medicine
Email: mail@genotarget.com
Russian Federation, Moscow
L. D. Belikova
Lopukhin Federal Research and Clinical Center of Physical-Chemical Medicine
Email: mail@genotarget.com
Russian Federation, Moscow
S. N. Bardakov
Artgene Biotech
Email: mail@genotarget.com
Russian Federation, Moscow
A. A. Rizvanov
Kazan (Volga Region) Federal University; Division of Medical and Biological Sciences, Tatarstan Academy of Sciences
Email: mail@genotarget.com
Russian Federation, Kazan; Kazan
A. A. Isaev
Artgene Biotech
Email: mail@genotarget.com
Russian Federation, Moscow
R. V. Deev
Artgene Biotech; OOO Genotarget, Skolkovo Innovation Center; Avtsyn Research Institute of Human Morphology, Petrovsky National Research Centre of Surgery
Email: mail@genotarget.com
Russian Federation, Moscow; Moscow; Moscow
References
Supplementary files





