Reproductive Condition in the Caspian Anadromous Shad Alosa kessleri kessleri (Alosidae) during Spawning Migration in the Volga River
- Authors: Zhukova K.A.1,2, Emel’yanova N.G.1, Kuzishchin K.V.1, Gruzdeva M.A.1
-
Affiliations:
- Lomonosov Moscow State University, Moscow, Russia
- Faculty of Biology, Shenzhen MSU-BIT University, Shenzhen, China
- Issue: Vol 63, No 4 (2023)
- Pages: 442-449
- Section: Articles
- URL: https://medbiosci.ru/0042-8752/article/view/135211
- DOI: https://doi.org/10.31857/S004287522304032X
- EDN: https://elibrary.ru/ROSFAD
- ID: 135211
Cite item
Full Text
Abstract
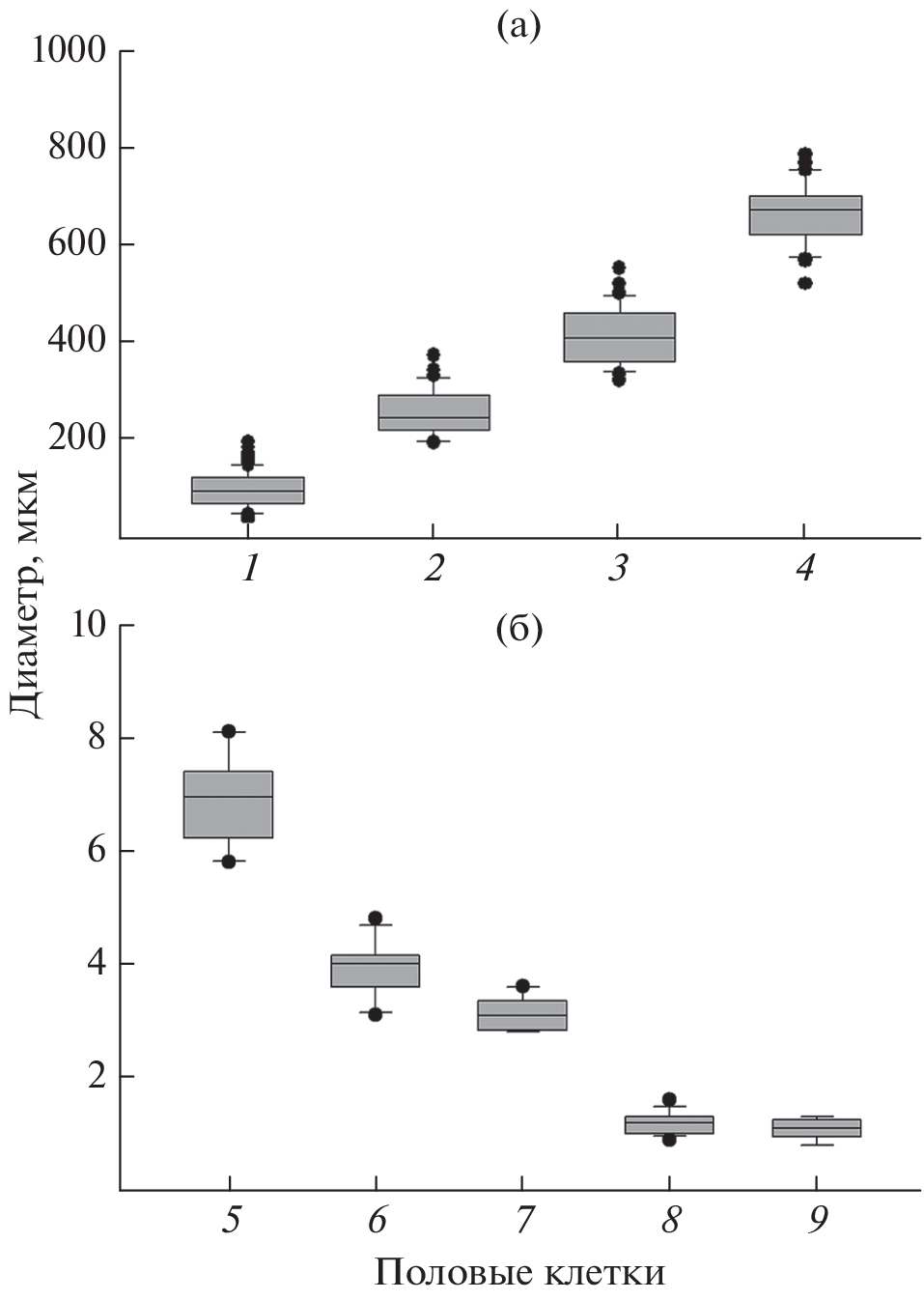
This paper describes the state of the gonads of Caspian anadromous shad, Alosa kessleri kessleri (Grimm, 1887), migrating for spawning in the Akhtuba River. In May of 2021, the peak of spawning was recorded at a water temperature of 17–18°C. Females and males had gonads at the developing and spawning-capable phases. The fork length (FL) of females averaged 254.1 mm, and their body weight was 178.9 g; for males, this was 209.9 mm and 87.5 g, respectively. Most females were over three years old, while males were between one and three years old. The gonadosomatic index (GSI) in females and males averaged 8.71 and 3.67%, respectively. Among the asynchronously developing secondary growth oocytes in the spawning capable gonads, three different-sized groups were distinguished for intending to spawn the same number of oocyte batches. The number of primary growth oocytes (26.7–59.4% of germ cells on sections) allows for considering these fish as iteroparous. The diameter of the tertiary vitellogenic oocyte was about 800 µm.
About the authors
K. A. Zhukova
Lomonosov Moscow State University, Moscow, Russia; Faculty of Biology, Shenzhen MSU-BIT University, Shenzhen, China
Email: kzh@fish-zoology.ru
Россия, Москва; Китай, Шэньчжэн
N. G. Emel’yanova
Lomonosov Moscow State University, Moscow, Russia
Email: kzh@fish-zoology.ru
Россия, Москва
K. V. Kuzishchin
Lomonosov Moscow State University, Moscow, Russia
Email: kzh@fish-zoology.ru
Россия, Москва
M. A. Gruzdeva
Lomonosov Moscow State University, Moscow, Russia
Author for correspondence.
Email: kzh@fish-zoology.ru
Россия, Москва
References
- Беляева Н.В., Васильченко О.Н. 1965. О созревании половых продуктов сельди-черноспинки Alosa kessleri kessleri (Grim) после сооружения Волгоградской плотины // Тр. КаспНИРХ. Т. 20. С. 81–84.
- Берг Л.С. 1948. Рыбы пресных вод СССР и сопредельных стран. Т. 1. М.; Л.: Изд-во АН СССР, 468 с.
- Васильева Т.В., Власенко А.Д., Дегтярева Н.Г. 2012. История и современное состояние рыбохозяйственных исследований на Каспии // Вопр. рыболовства. Т. 13. № 4 (52). С. 679–688.
- Водовская В.В. 1994. Воспроизводство сельди на Волге // Рыб. хоз-во. № 6. С. 28–29.
- Водовская В.В. 1996. Влияние гидрологического режима на воспроизводство и численность проходных сельдей // Гидрометеорология и гидрохимия морей. Т. 6. Вып. 2. С. 304–305.
- Водовская В.В. 2001. Экологические аспекты биологии проходной сельди Каспия. Астрахань: Изд-во КаспНИРХ, 74 с.
- Войнова Т.В. 2012. Современное состояние нерестовой части популяции проходной сельди-черноспинки Alosa kessleri kessleri // Экол. мониторинг и биоразнообразие. № 2. С. 75–78.
- Войнова Т.В. 2013. Динамика уловов и биологические показатели сельди черноспинки в Волго-Каспийском рыбохозяйственном подрайоне в современных условиях (река Волга и ее водотоки) // Вестн. АГТУ. Сер. Рыб. хоз-во. № 3. С. 25–29.
- Войнова Т.В. 2016. Мониторинг современного состояния популяции сельди-черноспинки (Alosa kesselri kessleri Grimm) в р. Волге // Экол. мониторинг и биоразнообразие. № 1. С. 21–25.
- Войнова Т.В. 2021. О плодовитости сельди-черноспинки Alosa kessleri kessleri (Grim) // Вестн. АГТУ. Сер. Рыб. хоз-во. № 3. С. 77–85. https://doi.org/10.24143/2073-5529-2021-3-77-85
- Дубовская А.В. 2020. Гистоморфологический анализ состояния репродуктивной системы сельди-черноспинки в период 2013–2017 годов // Матер. III Междунар. науч.-практ. конф. “Современная наука: перспективы, достижения и инновации”. Астрахань: Изд-во АГУ. С. 27–30.
- Иванов М.Ф. 1953. Особенности развития яйцевых клеток каспийско-волжской сельди (Caspialosa kessleri и Caspialosa volgensis) и опыты по искусственному разведению черноспинки (Caspialosa kessleri) в дельте Волги // Вестн. ЛГУ. № 10. С. 51–76.
- Иванов М.Ф., Додзина Ф.И. 1957. Гистологический анализ половых желез волжских проходных сельдей в период миграции и нереста // Уч. зап. ЛГУ. Сер. биол. наук. Вып. 44. № 228. С. 155–180.
- Катунин Д.Н., Беспарточный Н.П., Сапожников В.В. 2000. Комплексные океанологические исследования Каспийского моря в рейсе на научно-исследовательском судне “Исследователь Каспия” (август–сентябрь 1999 г.) // Океанология. № 1. С. 156–158.
- Кузищин К.В., Груздева М.А., Филенко В.А., Павлов Д.С. 2020. Сельдь-черноспинка Alosa kessleri kessleri (Grim) из р. Ахтубы нижневолжского бассейна: биологические и морфологические особенности // Биол. внутр. вод. № 1. С. 67–75. https://doi.org/10.31857/S0320965220010143
- Лакин Г.Ф. 1990. Биометрия. М.: Высш. шк., 352 с.
- Лепилина И.Н., Войнова Т.В., Николенков А.А., Степанова Т.Г. 2016. Состояние запасов сельди-черноспинки, биологические, физиолого-биохимические показатели и трофологический анализ производителей, мигрирующих в реку Волгу // Вестн. АГТУ. Сер. Рыб. хоз-во. № 2. С. 43–52.
- Микодина Е.В., Седова М.А., Чмилевский Д.А. и др. 2009. Гистология для ихтиологов. Опыт и советы. М.: Изд-во ВНИРО, 111 с.
- Николаев В.А. 1962. Геологическая история, рельеф и аллювиальные отложения р. Ахтуба // Природа и сельское хозяйство Волго-Ахтубинской долины и дельты. М.: Изд-во МГУ. С. 11–56.
- Овен Л.С. 1976. Особенности оогенеза и характер нереста морских рыб. Киев: Наук. думка, 131 с.
- Овен Л.С. 2004. Специфика развития половых клеток морских рыб в период размножения как показатель типа нереста и реакции на условия среды обитания. М.: Изд-во ВНИРО, 186 с.
- Пятикопова О.В. 2019. Современные особенности нерестовой миграции производителей и покатной миграции личинок сельди черноспинки Alosa kessleri kessleri (Grimm, 1887) в Волжско-Каспийском бассейне: Автореф. дис. … канд. биол. наук. Астрахань: АГТУ, 19 с.
- Роскин Г.И., Левинсон Л.Б. 1957. Микроскопическая техника. М.: Сов. наука, 467 с.
- Световидов А.Н. 1952. Фауна СССР. Рыбы. Т. 2. Вып. 1. Сельдевые (Clupeidae). М.: Изд-во АН СССР, 331 с.
- Танасийчук В.С. 1962. Нерест проходных сельдей в условиях зарегулирования стока Волги // Тр. КаспНИРХ. Т. 18. С. 143–166.
- Чмилевский Д.А. 2003. К вопросу о периодизации оогенеза костистых рыб (обзор) // Вопр. ихтиологии. Т. 43. № 3. С. 375–387.
- Чугунова Н.И. 1959. Руководство по изучению возраста и роста рыб. М.: Изд-во АН СССР.
- Blaber S.J.M., Brewer D.T., Milton D.A. et al. 1999. The life history of the protandrous tropical shad Tenualosa macrura (Alosinae: Clupeidae): Fishery implications // Estuar. Coast. Shelf Sci. V. 49. № 5. P. 689–701. https://doi.org/10.1006/ecss.1999.0545
- Carscadden J.E., Leggett W.C. 1975. Life history variations in populations of American shad, Alosa sapidissima (Wilson), spawning in tributaries of the St John River, New Brunswick // J. Fish Biol. V. 7. № 5. P. 595–609. https://doi.org/10.1111/j.1095-8649.1975.tb04633.x
- Catalano M.J., Allen M.S. 2011. Exploring strategies for gizzard shad removal that account for compensatory density dependence and uncertainty // N. Am. J. Fish. Manag. V. 31. № 6. P. 1153–1162. https://doi.org/10.1080/02755947.2011.646457
- Ganias K., Divino J.N., Gherard K.E. et al. 2015. A reappraisal of reproduction in anadromous alewives: Determinate versus indeterminate fecundity, batch size and batch number // Trans. Am. Fish. Soc. V 144. № 6. P. 1143–1158. https://doi.org/10.1080/00028487.2015.1073620
- Gilligan-Lunda E.K., Stich D.S., Mills K.E. et al. 2021. Climate change may cause shifts in growth and instantaneous natural mortality of American shad throughout their native range // Ibid. V. 150. № 3. P. 407–421. https://doi.org/10.1002/tafs.10299
- Glebe B.D., Leggett W.C. 1981. Latitudinal differences in energy allocation and use during the freshwater migrations of American shad (Alosa sapidissima) and their life history consequences // Can. J. Fish. Aquat. Sci. V. 38. № 7. P. 806–820. https://doi.org/10.1139/f81-109
- Götting K.J. 1961. Beitrage zur Kenntnis der Grundlagen der Fortpflanzung und zur Fruchtbarkeits-bestimmung bei marinen Teleosteern // Helgoland. Wiss. Meer. V. 8. № 1. P. 1–41. https://doi.org/10.1007/BF01609945
- Grice H., Patterson L., Giangiacomo C. et al. 2014. Potential spawning strategy and fecundity of Alabama shad (Alosa alabamae) from the Apalachicola River, Florida // Georgia J. Sci. V. 72. № 2. P. 94–102.
- Hyle A.R., McBride R.S., Olney J.E. 2014. Determinate versus indeterminate fecundity in American shad, an anadromous clupeid // Trans. Am. Fish. Soc. V. 143. № 3. P. 618–633. https://doi.org/10.1080/00028487.2013.862178
- Leggett W.C., Carscadden J.E. 1978. Latitudinal Variation in reproductive characteristics of American shad (Alosa sapidissima): Evidence for population specific life history strategies in fish // J. Fish. Res. Board Can. V. 35. № 11. P. 1469–1478. https://doi.org/10.1139/f78-230
- McBride R.S., Somarakis S., Fitzhugh G.R. et al. 2015. Energy acquisition and allocation to egg production in relation to fish reproductive strategies // Fish Fish. V. 16. № 1. P. 23–57. https://doi.org/10.1111/faf.12043
- McBride R.S., Ferreri R., Towle E.K. et al. 2016. Yolked oocyte dynamics support agreement between determinate- and indeterminate-method estimates of annual fecundity for a northeastern United States population of American shad // PLoS One. V. 11. № 10. Article e0164203. https://doi.org/10.1371/journal.pone.0164203
- Mylonas C.C., Zohar Y., Richardson B.M., Minkkinen S.P. 1995. Induced spawning of wild American shad Alosa sapidissima using sustained administration of gonadotropin-releasing hormone analogue (GnRHa) // J. World Aquacult. Soc. V. 26. № 3. P. 240–251. https://doi.org/10.1111/j.1749-7345.1995.tb00252.x
- Mouchlianitis F.A., Belo A.F., Vieira A.R. et al. 2019. Primary and secondary oocyte growth dynamics in anadromous semelparous Allis shad Alosa alosa // J. Fish Biol. V. 95. № 6. P. 1447–1456. https://doi.org/10.1111/jfb.14161
- Mouchlianitis F.A., Minos G., Ganias K. 2020. Timing of oocyte recruitment within the ovulatory cycle of Macedonian shad, Alosa macedonica, a batch spawning fish with indeterminate fecundity // Theriogenology. V. 146. P. 31–38. https://doi.org/10.1016/j.theriogenology.2020.01.050
- Mouchlianitis F.A., Schultz E.T., dos Santos Schmidt T.C. et al. 2021. Ovarian dynamics and fecundity regulation in blueback herring, Alosa aestivalis, from the Connecticut River, US // J. Appl. Ichthyol. V. 37. № 1. P. 64–72. https://doi.org/10.1111/jai.14128
- Murauskas J.G., Rulifson R.A. 2011. Reproductive development and related observations during the spawning migration of hickory shad // Trans. Am. Fish. Soc. V. 140. № 4. P. 1035–1048. https://doi.org/10.1080/00028487.2011.607036
- Olney J.E., Denny S.C., Hoenig J.M. 2001. Criteria for determining maturity stage in female American shad, Alosa sapidissima, and a proposed reproductive cycle // Bull. Fr. Pêche Piscic. № 362–363. P. 881–901. https://doi.org/10.1051/kmae:2001025
- Pina T., Esteves E., Andrade J.P. 2003. Gross and histological observations of ovarian development in twaite shad, Alosa fallax fallax, from the Rivers Mira and Guadiana (Portugal) // Sci. Mar. V. 67. № 3. P. 313–322. https://doi.org/10.3989/SCIMAR.2003.67N3313
- Yilmaz S., Polat N. 2002. Age determination of shad (Alosa pontica Eichwald, 1838) inhabiting the Black Sea // Turk. J. Zool. V. 26. № 4. P. 393–398.
Supplementary files






