State of gonads of underyearlings of brown trout salmo trutta (salmonidae) from the alatsoya river (karelia)
- Authors: Bush A.G.1, Kostin V.V.1, Ruchev M.A.2, Pavlov D.S.1
-
Affiliations:
- Severtsov Institute of Ecology and Evolution, Russian Academy of Sciences
- Karelian Research Center, Russian Academy of Sciences
- Issue: Vol 64, No 6 (2024)
- Pages: 743-749
- Section: Articles
- URL: https://medbiosci.ru/0042-8752/article/view/283643
- DOI: https://doi.org/10.31857/S0042875224060083
- EDN: https://elibrary.ru/QRXNBQ
- ID: 283643
Cite item
Full Text
Abstract
Signs of early maturation have been revealed in 50% of underyearling males of brown trout from the Alatsoya River in Karelia: spermatocytes of the first- and second-orders and spermatids were observed in their testes. Precociously mature males began to be formed as early as the first summer of their life. Signs of early maturation have not been observed in females at age 0+. Gonads contained germ cells of opposite sexes in a very small number of individuals.
Full Text
Выявление закономерностей и механизмов формирования различных жизненных стратегий, в том числе и стратегии раннего созревания, является одной из задач изучения миграционного полиморфизма рыб. В популяциях многих лососёвых (Salmonidae) раносозревающие самцы весьма распространены. Раносозревающая кумжа Salmo trutta (обычно это самцы) встречается во многих реках (Jonsson, 1985; Klemetsen et al., 2003; Dziewulska, Domagała, 2005, 2006; Cucherousset et al., 2005; Mangel, Satterthwaite, 2008), в том числе и в Карелии (Мурза, Христофоров, 1984; Кузищин, 1997). Популяция кумжи р. Алатсоя интересна высокой долей половозрелых самцов в возрасте 1+. В 2015 г. она достигала 38% всех пойманных самцов (Павлов Д. и др., 2019; Павлов Е. и др., 2020). Помимо раносозревающих самцов в этом же году в р. Алатсоя были отловлены и две раносозревающие самки в возрасте 2+. Значительное количество раносозревающих самок отмечали у черноморского подвида кумжи (S. trutta labrax): в возрасте 1+ их было 32%, а в возрасте 2+ – 50%. (Pavlov et al., 2010).
Ранее мы показали (Павлов и др., 2020), что в р. Алатсоя раносозревающие самцы кумжи в возрасте 1+ были достоверно крупнее пестряток1 (как самцов, так и самок) того же возраста. По анализу склеритов чешуи двухлеток рассчитали рост рыб в первый год жизни. Результаты косвенно указывают на то, что различия в темпах роста пестряток и раносозревающих самцов проявляются именно в первое лето жизни. Известно, что темпы роста не всегда различаются у пестряток и раносозревающих самцов (Dziewulska, Domagała, 2005). Прямым доказательством начала созревания являются изменения половых клеток, выявляемые гистологическими методами. Такие исследования были проведены на сеголетках кумжи заводского происхождения, выпущенных в реки Польши (Dziewulska, Domagała, 2006). Однако состояние половых желёз сеголеток кумжи в диких популяциях рек с более холодным климатом (Карелия) и, в частности, р. Алатсоя не изучали. В то же время эти данные необходимы для уточнения сроков и закономерностей формирования стратегии раннего созревания у кумжи. Цель нашей работы – изучить состояние гонад и выявить гистологические признаки раннего полового созревания кумжи р. Алатсоя в первый год жизни.
Материал и методика
Река Алатсоя протяжённостью 14 км берёт начало в небольшом оз. Алатунлампи (также встречается название Алалампи) и является притоком р. Янисйоки (бассейн Ладожского озера). Река Янисйоки выше и ниже по течению от места впадения р. Алатсоя перекрыта плотинами ГЭС (рис. 1). Нижняя плотина не даёт возможности половозрелой кумже зайти из Ладожского озера на нерест в р. Алатсоя, а верхняя плотина препятствует контранатантной миграции кумжи на нагул в оз. Янисъярви (Павлов и др., 2020). Денатантную миграцию рыб из оз. Янисъярви через ГЭС не изучали и исключать её нельзя. Подходящие для нереста кумжи участки распределены по всему руслу р. Алатсоя. Кроме этой реки кумжа может нагуливаться в изолированном плотинами участке р. Янисйоки протяжённостью 10.6 км.
Рис. 1. Карта-схема расположения р. Алатсоя в бассейне Ладожского озера: (●) – район работ, (♦) – плотины (по: Павлов и др., 2020).
Сеголетки кумжи (48 экз.) в соответствии с разрешением Федеральной службы по надзору в сфере природопользования № 118 от 16.07.21 г. были отловлены 25 и 26 августа 2021 г. в р. Алатсоя по стандартной методике (Павлов и др., 2020) с применением электролова Fa-2 (“Terik Technology AS”, Норвегия) в щадящем режиме. У пойманных рыб после эвтаназии гвоздичным маслом измеряли длину тела по Смитту и определяли массу тела. При вскрытии рыб определяли стадию зрелости гонад. Для цитологического исследования фрагменты гонад фиксировали в жидкости Буэна.
Возраст кумжи определяли по числу годовых колец на чешуе. Сеголеток от двухлеток отличали по наличию на чешуе склеритов только первого лета жизни, без зимнего прироста, – так называемой зоны сближенных склеритов (годового кольца). Посматривали по 10 чешуй каждой особи, отобранных у всех рыб по единой схеме (Мартынов, 1987), – выше боковой линии между задним краем спинного плавника и началом анального.
Гистологические препараты гонад сеголеток изготавливали по стандартной методике с использованием полуавтоматического гистопроцессора TPC-15, заливочной станции TES-99, микротома Meditome M530 (“Medite”, ФРГ). Срезы толщиной 5 мкм окрашивали гематоксилином Эрлиха и эозином. Микрофотографии половых желёз получали с использованием моторизованного микроскопа Keyence Biorevo BZ-9000 (“Keyence”, Япония). Ядерно-цитоплазматическое отношение (ЯЦО – отношение площади ядра к площади цитоплазмы ооцита) определяли по микрофотографиям гистологических препаратов с применением программного обеспечения Image J. Ver.1.8.0. Всего измерено 689 ооцитов у всех 22 самок и 38 ооцитов у двух особей с обоими типами половых клеток в гонадах.
Началом созревания самцов мы считали переход сперматогониев в профазу мейоза с образованием сперматоцитов 1-го порядка. Тогда как, по мнению Дзиевульской и Домагалы (Dziewulska, Domagała, 2006), созревание начинается раньше – с появлением сперматогониев типа Б. Начало созревания самок, по данным Макеевой (1992), совпадает с началом периода вителлогенеза, то есть с переходом гонад в III стадию зрелости.
Статистическую обработку материала выполняли с использованием t-критерия Стьюдента и критерия Стьюдента для долей (Лакин, 1973). Для проверки различий в скорости созревания самок рассчитывали теоретическое бимодальное распределение ЯЦО по опубликованной ранее методике (Павлов и др., 2023). Нормальность и бимодальность распределения значений ЯЦО проверяли с использованием теста Колмогорова–Смирнова.
Результаты
Биологические показатели сеголеток кумжи представлены в таблице. По длине и массе тела самцы и самки не различались (р > 0.05, t-критерий Стьюдента). Также по этим параметрам самцы с признаками раннего созревания не отличались от самцов без таких признаков. В гонадах двух особей (4%) были обнаружены как ооциты, так и сперматоциты. Длина тела этих сеголеток была ниже средних значений длины остальных исследованных особей.
Биологическая характеристика сеголеток кумжи Salmo trutta p. Алатсоя
Пол и другие особенности | Число рыб, экз. | FL | Масса, г |
Самцы: | |||
– без признаков раннего созревания | 12 | 59.8 ± 2.40 46–73 | 2.3 ± 0.30 0.9–4.2 |
– с признаками раннего созревания | 12 | 61.7 ± 1.19 53–72 | 2.4 ± 0.20 1.7–3.6 |
Самки | 22 | 61.6 ± 1.19 51–74 | 2.4 ± 0.14 1.3–4.1 |
Особи с половыми клетками обоих полов | 2 | 51 ± 2.00 49, 53 | 1.4 ± 0.25 1.2, 1.7 |
Примечание. FL – длина тела по Смитту, мм. Над чертой – среднее значение и его ошибка, под чертой – пределы варьирования показателя.
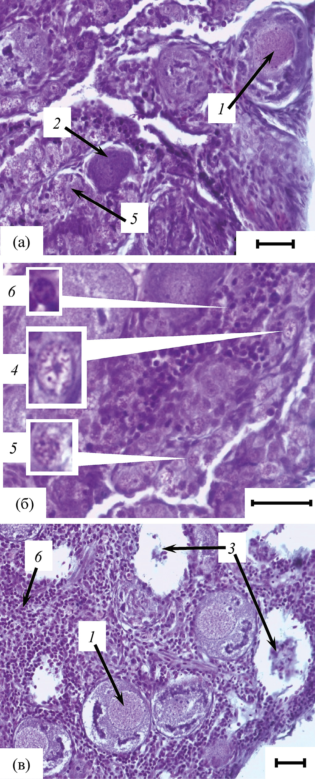
Состояние половых желёз самцов. У 21 экз. (87.5% особей) гонады были II стадии зрелости. Из них у 12 экз. половые клетки были представлены сперматогониями в состоянии митотических делений, а у 9 экз. ещё и сперматоцитами 1-го порядка, вступавшими в профазу 1 деления мейоза (рис. 2а). У трёх самцов гонады были III стадии зрелости; из них у 2 экз. значительная часть половых клеток была представлена сперматоцитами 2-го порядка (рис. 2б). У 1 экз. в семенниках уже присутствовали сперматиды (рис. 2в).
Рис. 2. Фрагменты семенников кумжи Salmo trutta в возрасте 0+ длиной по Смитту (FL) и массой: а – 60 мм, 2.4 г; б – 64 мм, 2.6 г; в – 72 мм, 3.6 г. 1 – сперматогонии; 2, 3 – сперматоциты соответственно 1-го и 2-го порядков; 4 – сперматиды. Масштаб здесь и на рис. 3, 5: 40 мкм.
Таким образом, 50% (12 экз.) самцов-сеголеток кумжи из р. Алатсоя были с признаками начавшегося полового созревания.
Состояние половых желёз самок. Гонады всех самок-сеголеток были II стадии зрелости и представлены едва заметными светлыми тяжами. Половые клетки – оогонии и ооциты периода превителлогенеза (рис. 3). Иногда в цитоплазме были видны тёмноокрашенные образования – так называемые зоны РНК. В ядерном материале клеток были локализованы ядрышки.
Рис. 3. Фрагмент яичника кумжи Salmo trutta FL 64 мм массой 2.8 г в возрасте 0+: 1 – оогонии, 2 – ооциты периода превителлогенеза, 3 – ядрышки.
ЯЦО в ооцитах в среднем составляло 0.50 ± 0.01. Частотное распределение значений ЯЦО являлось унимодальным (рис. 4). Оно достоверно (р < 0.01) отличалось как от нормального, так и от бимодального, следовательно, по степени созревания ооцитов разделения самок на две группы не выявлено.
Рис. 4. Частотное распределение значений (середины классов) ядерно-цитоплазматического отношения (ЯЦО) у 22 самок в возрасте 0+.
Состояние половых желёз особей с половыми клетками противоположных полов. Половые клетки женского ряда были представлены разноразмерными ооцитами периода превителлогенеза. Ооциты занимают от 21 до 31% площади среза. До 50% ооцитов находилось в состоянии деструкции. В таких клетках обычно невозможно различить ядро и цитоплазму, они темнее и, как правило, меньше ооцитов в нормальном состоянии. На месте уже разрушившихся ооцитов в строме гонады остаются полости. В ооцитах без видимых признаков деструкции ЯЦО варьировало от 0.22 до 0.98, средние значения составили 0.44 ± 0.03 для одной особи и 0.60 ± 0.10 для другой и не отличались от таковых у самок. Диаметр ооцитов варьировал от 25.3 до 105.7 (в среднем 72.1 ± 3.05 и 75.4 ± 10.77) мкм. Значительная часть мужских половых клеток была представлена сперматоцитами 2-го порядка (рис. 5).
Рис. 5. Фрагменты гонад кумжи Salmo trutta в возрасте 0+ с мужскими и женскими половыми клетками: а, б – FL 49 мм, масса 1.2 г; в – 53 мм, 1.7 г. 1 – ооциты, 2 – ооцит в состоянии деструкции, 3 – фрагменты разрушившихся ооцитов, 4 – сперматогонии; 5, 6 – сперматоциты соответственно 1-го и 2-го порядков.
Обсуждение
Известно, что самцы кумжи реализуют три репродуктивные стратегии: 1) созревание в морской воде через один год или несколько лет нагула в море (Jonsson, 1989); 2) созревание в пресной воде в возрасте 2+, 3+ (Baglinière et al., 2001); 3) раннее созревание в пресной воде в возрасте 0+ и 1+ (Bohlin et al., 1986, 1990, 2001; Мурза, Христофоров, 1988; Dellefors, Faremo, 1988; Cucherousset et al., 2005; Dziewulska, Domagała, 2005).
Доля раносозревающих самцов у лососёвых может варьировать в широких пределах. У кумжи из двух небольших рек на юго-западе Швеции она составляла 17.9–57.0% (Bohlin et al., 1986; Dellefors, Faremo, 1988), а в популяции анадромной кумжи из ручья в Западной Померании (Польша) доходила до 32% (Dziewulska, Domagała, 2005). В ручьях карельского берега Белого моря жилые самцы кумжи достигают половой зрелости в возрасте 2+ и очень редко в возрасте 1+ (Мурза, Христофоров, 1984; Пономарева и др., 2006; Махров, 2013). В бассейнах Онежского и Ладожского озёр ручьевая форма вида, представленная только самцами, созревает в 2–4 года (Корнилова, 1949; Махров и др., 1992). Как было показано в наших предыдущих исследованиях кумжи в р. Алатсоя, значительное (до 38%) число самцов способно к нересту уже на второе лето жизни в возрасте 1+ (Павлов и др., 2020). Это не выходит за известные из литературы пределы для других рек.
Различия в темпах роста раносозревающих самцов и пестряток наблюдаются уже в первое лето их жизни (Павлов и др., 2020). Аналогичные сведения приводятся в литературе и для других рек. Показано, что у ювенильных рыб скорость созревания положительно коррелировала с ростом в первый год жизни – раносозревающие самцы росли быстрее пестряток (Baglinière, Maisse, 2002), а особи с самым высоким темпом роста в течение их первого года жизни характеризуются ранним половым созреванием (Dellefors, Faremo, 1988). Однако это прослеживается не во всех случаях, в некоторых популяциях кумжи связь между скоростью роста и половым созреванием не выявлена. Показано, что в обитающих в трёх реках на северо-западе Польши популяциях преимущественно анадромной кумжи даже самые мелкие самцы в возрасте 0+ относились к раносозревающим особям (Dziewulska, Domagała, 2005). Авторам не удалось установить критическую длину тела, при которой происходит раннее половое созревание самцов в этих популяциях кумжи.
В нашем исследовании выявлено начало полового созревания у 50% сеголеток в 2021 г. Это доказывает, что формирование группировки раносозревающих самцов в р. Алатсоя начинается уже в первое лето жизни особей, а заканчивается в возрасте 1+ (Павлов и др., 2020). То есть у сеголеток половое созревание ещё неполное – нереститься они не могут. Это соответствует и литературным данным. У части раносозревающих самцов кумжи в возрасте 7 мес., отловленных в октябре–начале ноября, были обнаружены признаки неполного созревания гонад (Dziewulska, Domagała, 2006). Также неполное созревание кумжи в возрасте 0+ отмечено ранее в реках бассейнов Белого (Россия) и Балтийского (Польша) морей (Мурза, Христофоров, 1984; Dziewulska, Domagała, 2005).
Доля сеголеток с признаками начала полового созревания – 50% (12 экз.) – в августе 2021 г. была несколько больше, чем доля пойманных в 2015 г. созревших самцов в возрасте 1+, – 38% (13 экз.) (различия недостоверны: р = 0.36, критерий Стьюдента для долей). Вероятно, относительная численность таких самцов может различаться в разные годы.
У самок кумжи в возрасте 0+ из р. Алатсоя мы не обнаружили признаков раннего полового созревания. Унимодальность частотного распределения значений ЯЦО свидетельствует об отсутствии среди самок двух групп с разной скоростью созревания ооцитов. Ранее у самок в возрасте 1+ (31 экз.) из этой реки признаков начала полового созревания не обнаружено (Павлов и др., 2020).
Таким образом, полученные гистологические данные доказывают, что формирование группировки раносозревающих самцов в р. Алатсоя начинается в первое лето их жизни и продолжается в возрасте 1+. У исследованных сеголеток-самок признаков раннего полового созревания не обнаружено.
Благодарности
Авторы благодарят Е.Д. Павлова (ИПЭЭ РАН) за участие в сборе материала и помощь в работе.
Финансирование работы
Работа выполнена при финансовой поддержке Российского научного фонда: сбор гонад – проект № 19-14-00015; обработка проб и написание статьи – проект № 24-14-00111 (https://rscf.ru/project/24-14-00111/).
1 Пестрятки – ювенильные особи, ещё не выбравшие жизненную стратегию: анадромную, жилую или раннего созревания.
About the authors
A. G. Bush
Severtsov Institute of Ecology and Evolution, Russian Academy of Sciences
Author for correspondence.
Email: endryus@inbox.ru
Russian Federation, Moscow
V. V. Kostin
Severtsov Institute of Ecology and Evolution, Russian Academy of Sciences
Email: endryus@inbox.ru
Russian Federation, Moscow
M. A. Ruchev
Karelian Research Center, Russian Academy of Sciences
Email: endryus@inbox.ru
Russian Federation, Petrozavodsk
D. S. Pavlov
Severtsov Institute of Ecology and Evolution, Russian Academy of Sciences
Email: endryus@inbox.ru
Russian Federation, Moscow
References
- Корнилова В.П. 1949. Ручьевая форель северного Приладожья и ее хозяйственное значение: Автореф. дис. … канд. биол. наук. Петрозаводск: Карело-Фин. гос. ун-т., 12 с.
- Кузищин К.В. 1997. Особенности формирования внутрипопуляционной разнокачественности у кумжи Salmo trutta L. Белого моря: Автореф. дис. … канд. биол. наук. М.: МГУ, 17 с.
- Лакин Г.Ф. 1973. Биометрия. М.: Высш. шк., 352 с.
- Макеева А.П. 1992. Эмбриология рыб. М.: Изд-во МГУ, 216 с.
- Мартынов В.Г. 1987. Сбор и первичная обработка биологических материалов из промысловых уловов атлантического лосося. Сыктывкар: Изд-во Коми НЦ УРО АН СССР, 36 с.
- Махров А.А. 2013. Кумжа (Salmo trutta L.) на северо-восточном краю ареала // Принципы экологии. T. 2. № 1 (5). С. 5–20.
- Махров А.А., Зелинский Ю.П., Маслов С.Е. 1992. О некоторых структурно-популяционных особенностях форели (Salmo trutta L.) Онежского озера // Экологическая физиология водных организмов. Петрозаводск: Изд-во ПетрГУ. С. 58–65.
- Мурза И.Г., Христофоров О.Л. 1984. Динамика полового созревания и некоторые закономерности формирования сложной структуры популяции кумжи Salmo trutta L. из водоемов побережья Кандалакшского залива Белого моря // Сб. науч. тр. ГосНИОРХ. Вып. 220. С. 41–86.
- Мурза И.Г., Христофоров О.Л. 1988. Некоторые проблемы воспроизводства черноморской кумжи Salmo trutta labrax Pall. реки Мзымты и закономерности её созревания // Там же. Вып. 276. С. 147–159.
- Павлов Д.С., Ганжа Е.В., Немова Н.Н. и др. 2019. Уровень тиреоидных и половых стероидных гормонов у кумжи Salmo trutta L. в реках Карелии // Биология внутр. вод. № 2. Вып. 1. С. 87–92. https://doi.org/10.1134/S0320965219020116
- Павлов Д.С., Костин В.В., Ручьев М.А. 2023. Биохимическая дифференциация у эмбрионов и личинок атлантического лосося Salmo salar (Salmonidae) и её возможная связь с миграционным полиморфизмом // Вопр. ихтиологии. Т. 63. № 5. С. 602–607. https://doi.org/10.31857/S0042875223050089
- Павлов Е.Д., Буш А.Г., Костин В.В., Павлов Д.С. 2020. Рост и раннее половое созревание кумжи Salmo trutta L. реки Алатсоя (Республика Карелия) // Биология внутр. вод. № 6. С. 584–591. https://doi.org/10.31857/S0320965220060145
- Пономарева М.В., Пономарева Е.В., Кузищин К.В. 2006. Экологические особенности полового созревания кумжи (Salmo trutta L.) // Матер. III Междунар. конф. “Биоразнообразие и биоресурсы Урала и сопредельных территорий”. Оренбург: Принт-Сервис. С. 255–257.
- Baglinière J.L., Maisse G. 2002. La biologie de la truite commune (Salmo trutta L.) dans la rivière Scorff, Bretagne: une synthèse des études de 1972 à 1997 // INRAE Prod. Anim. V. 15. № 5. P. 319–331.
- https://doi.org/10.20870/productions-animales.2002. 15.5.3711
- Baglinière J.L., Guyomard R., Héland M. et al. 2001. Écologie des populations de poissons des cours d’eau à Salmonidés // L’eau dans l’espace rural. Vie et milieux aquatiques. Paris: INRA Edit. P. 31–49.
- Bohlin T., Dellefors C., Faremo U. 1986. Early sexual maturation of male sea trout and salmon – an evolutionary model and some practical implications // Rep. Inst. Freshw. Res. Drottningholm. № 63. P. 17–25.
- Bohlin T., Dellefors C., Faremo U. 1990. Large or small at maturity: theories on the choice of alternative male strategies in anadromous salmonids // Ann. Zool. Fennici. V. 27. № 2. P. 139–147.
- Bohlin T., Pettersson J., Degerman E. 2001. Population density of migratory and resident brown trout (Salmo trutta) in relation to altitude: evidence for a migration cost // J. Anim. Ecol. V. 70. № 1. P. 112–121. https://doi.org/10.1111/j.1365-2656.2001.00466.x
- Cucherousset J., Ombredane D., Charles K. et al. 2005. A continuum of life history tactics in a brown trout (Salmo trutta) population // Can. J. Fish. Aquat. Sci. V. 62. № 7. P. 1600–1610. https://doi.org/10.1139/f05-057
- Dellefors C., Faremo U. 1988. Early sexual maturation in males of wild sea trout, Salmo trutta L., inhibits smoltification // J. Fish Biol. V. 33. № 5. P. 741–749. https://doi.org/10.1111/j.1095-8649.1988.tb05519.x
- Dziewulska K., Domagała J. 2005. Differentiation of gonad maturation in sibling precocious males of the sea trout (Salmo trutta m. trutta L.) in their first year of life // Aquaculture. V. 250. № 3–4. P. 713–725. https://doi.org/10.1016/j.aquaculture.2005.05.001
- Dziewulska K., Domagała J. 2006. Body size versus gonad maturation form in under-yearling precocious males of the sea trout (Salmo trutta m. trutta L.) // Reprod. Nutr. Dev. V. 46. № 6. P. 689–698. https://doi.org/10.1051/rnd:2006042
- Jonsson B. 1985. Life history patterns of freshwater resident and sea-run migrant brown trout in Norway // Trans. Am. Fish. Soc. V. 114. № 2. P. 182–194. https://doi.org/10.1577/1548-8659(1985)114<182:LHPOFR>2.0.CO;2
- Jonsson B. 1989. Life history and habitat use of Norwegian brown trout (Salmo trutta) // Freshw. Biol. V. 21. № 1. P. 71–86. https://doi.org/10.1111/j.1365-2427.1989.tb01349.x
- Klemetsen A., Amundsen P.-A., Dempson J.B. et al. 2003. Atlantic salmon Salmo salar L., brown trout Salmo trutta L., and Arctic charr Salvelinus alpinus (L.): a review of aspects of their life histories // Ecol. Freshw. Fish. V. 12. № 1. P. 1–59. https://doi.org/10.1034/j.1600-0633.2003.00010.x
- Mangel M., Satterthwaite W.H. 2008. Combining proximate and ultimate approaches to understand life history variation in salmonids with application to fisheries, conservation, and aquaculture // Bull. Mar. Sci. V. 83. № 1. P. 107–130.
- Pavlov D.S., Kostin V.V., Nechaev I.V. et al. 2010. Hormonal status in different phenotypic forms of Black Sea trout Salmo trutta labrax // J. Ichthyol. V. 50. № 11. P. 985–996. https://doi.org/10.1134/S0032945210110032
Supplementary files







