CHANGES IN THE NEUROGENIC NICHE OF THE RAT HIPPOCAMPUS UNDER HYPOXIC EXPOSURE
- Authors: Fedorova E.N.1,2, Voronkov D.N.1, Egorova A.V.1,2, Baranich T.I.1,2, Glinkina V.V.2, Germanova E.L.3, Lukyanova L.D.3, Sukhorukov V.S.1,2
-
Affiliations:
- Research Center of Neurology
- Pirogov Russian National Research Medical University
- Institute of General Pathology and Pathophysiology
- Issue: Vol 59, No 4 (2023)
- Pages: 320-332
- Section: EXPERIMENTAL ARTICLES
- URL: https://medbiosci.ru/0044-4529/article/view/136713
- DOI: https://doi.org/10.31857/S0044452923040022
- EDN: https://elibrary.ru/OTWETL
- ID: 136713
Cite item
Full Text
Abstract
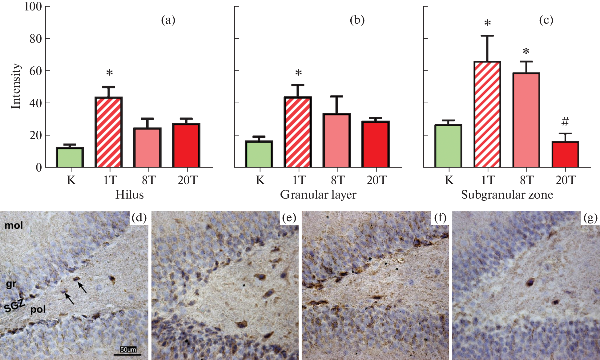
One of the most vulnerable brain structures to hypoxia is the hippocampus. Maintenance of the neurogenic niche cell pool in the subgranular zone of the hippocampus (SGZ) is provided by adaptive mechanisms. Among them are changes in the functional activity of mitochondrial respiratory chain complexes and the reaction of astroglia, which provides metabolic support for neurons. In order to study the dynamics of adaptive changes in neurons and glia in the dentate gyrus of the hippocampus under hypoxic conditions on a model of intermitten hypobaric hypoxia (5000 m, equivalent to 10.5% O2), with a single (60 min) and multiple (8 and 20 episodes) exposure in low-resistant rats, immunomorphological methods revealed the features of localization and content in the neurons of complex IV mitochondrial respiratory chain (MTCO1), astrocyte marker proteins glutamine synthetase (GS) and GFAP, and doublecortin (DCX) in immature neurons. With a single hypoxia, the content of MTCO1 in neurons significantly increased, and after eight exposures, the amount of glutamine synthetase (GS) in astrocytes of the dentate gyrus of the hippocampus increased. Changes in the content of GS were most pronounced in the processes of astrocytes, which indicates a redistribution of GS. The number of DCX+ neurons in the SGZ significantly decreased after 20 episodes of hypoxia. At the same time, DCX+ cells of glial morphology were found in the polymorphic layer, and staining for GFAP showed an increase in the number of astrocytes. This may be due to a shift in the direction of cell differentiation in the neurogenic niche. Thus, in hypoxia, at the initial stage, a functional restructuring of the respiratory chain of neurons of the granular layer occurs. Subsequently, it is noted by the activation of astrocytes that modulate glutamate metabolism. The presence of a relationship between the dynamics of adaptive reactions of energy exchange in neurons and glia and changes in neurogenesis during 20 episodes of hypoxia suggests that during long-term hypoxia, the differentiation of neural precursors of SGZ in the direction of astroglia occurs, however, this issue requires further study in order to more accurately determine the nature of DCX+ cells.
About the authors
E. N. Fedorova
Research Center of Neurology; Pirogov Russian National Research Medical University
Author for correspondence.
Email: ewgenia.feodorowa2011@yandex.ru
Russia, Moscow; Russia, Moscow
D. N. Voronkov
Research Center of Neurology
Email: ewgenia.feodorowa2011@yandex.ru
Russia, Moscow
A. V. Egorova
Research Center of Neurology; Pirogov Russian National Research Medical University
Email: ewgenia.feodorowa2011@yandex.ru
Russia, Moscow; Russia, Moscow
T. I. Baranich
Research Center of Neurology; Pirogov Russian National Research Medical University
Email: ewgenia.feodorowa2011@yandex.ru
Russia, Moscow; Russia, Moscow
V. V. Glinkina
Pirogov Russian National Research Medical University
Email: ewgenia.feodorowa2011@yandex.ru
Russia, Moscow
E. L. Germanova
Institute of General Pathology and Pathophysiology
Email: ewgenia.feodorowa2011@yandex.ru
Russia, Moscow
L. D. Lukyanova
Institute of General Pathology and Pathophysiology
Email: ewgenia.feodorowa2011@yandex.ru
Russia, Moscow
V. S. Sukhorukov
Research Center of Neurology; Pirogov Russian National Research Medical University
Email: ewgenia.feodorowa2011@yandex.ru
Russia, Moscow; Russia, Moscow
References
- Zhang H, Roman RJ, Fan F (2022) Hippocampus is more susceptible to hypoxic injury: has the Rosetta Stone of regional variation in neurovascular coupling been deciphered? GeroScience 44(1):127–130. https://doi.org/10.1007/s11357-021-00449-4
- Abbott LC, Nigussie F (2020) Adult neurogenesis in the mammalian dentate gyrus. Anat Histol Embryol 49(1):3–16. https://doi.org/10.1111/ahe.12496
- Morgun AV, Osipova ED, Boytsova EB, Shuvaev AN, Komleva YK, Trufanova LV, Vais EF, Salmina AB (2019) Astroglia-mediated regulation of cell development in the model of neurogenic niche in vitro treated with Aβ1-42. Biomed Khim 65(5):366–373. https://doi.org/10.18097/PBMC20196505366
- Egorova A, Baranich T, Brydun A, Glinkina V, Sukhorukov V (2022) Morphological and Histophysiological Features of the Brain Capillary Endothelium. J Evol Biochem Physiol 58:755–768. https://doi.org/10.1134/S0022093022030115
- Mohyeldin A, Garzón-Muvdi T, Quiñones-Hinojosa A (2010) Oxygen in stem cell biology: a critical component of the stem cell niche. Cell Stem Cell 7(2):150–161. https://doi.org/10.1016/j.stem.2010.07.007
- Chen H, Ma D, Yue F, Qi Y, Dou M, Cui L, Xing Y (2022) The Potential Role of Hypoxia-Inducible Factor-1 in the Progression and Therapy of Central Nervous System Diseases. Cur Neuropharmacol 20(9):1651–1666. https://doi.org/10.2174/1570159X19666210729123137
- Zheng X, Boyer L, Jin M, Mertens J, Kim Y, Ma L, Ma L, Hamm M, Gage FH, Hunter T (2016) Metabolic reprogramming during neuronal differentiation from aerobic glycolysis to neuronal oxidative phosphorylation. eLife 5:e13374. https://doi.org/10.7554/eLife.13374
- Lukyanova L, Germanova E, Khmil N, Pavlik L, Mikheeva I, Shigaeva M, Mironova G (2021) Signaling Role of Mitochondrial Enzymes and Ultrastructure in the Formation of Molecular Mechanisms of Adaptation to Hypoxia. Int J Mol Sci 22(16):8636. https://doi.org/10.3390/ijms22168636
- Arnold S (2012) Cytochrome c oxidase and its role in neurodegeneration and neuroprotection. Adv Exp Med Biol 748:305–339. https://doi.org/10.1007/978-1-4614-3573-0_13
- Yang L, Venneti S, Nagrath D (2017) Glutaminolysis: A Hallmark of Cancer Metabolism. Ann Rev Biomed Engineer 19:163–194. https://doi.org/10.1146/annurev-bioeng-071516-044546
- Namba T, Dóczi J, Pinson A, Xing L, Kalebic N, Wilsch-Bräuninger M, Long KR, Vaid S, Lauer J, Bogdanova A, Borgonovo B, Shevchenko A, Keller P, Drechsel D, Kurzchalia T, Wimberger P, Chinopoulos C, Huttner WB (2020) Human-Specific ARHGAP11B Acts in Mitochondria to Expand Neocortical Progenitors by Glutaminolysis. Neuron 105(5):867–881.e9. https://doi.org/10.1016/j.neuron.2019.11.027
- Turner DA, Adamson DC (2011) Neuronal-astrocyte metabolic interactions: understanding the transition into abnormal astrocytoma metabolism. J Neuropathol Exp Neurol 70(3):167–176. https://doi.org/10.1097/NEN.0b013e31820e1152
- Schousboe A (2019) Metabolic signaling in the brain and the role of astrocytes in control of glutamate and GABA neurotransmission. Neurosci Let 689:11–13. https://doi.org/10.1016/j.neulet.2018.01.038
- Sonnewald U, Qu H, Aschner M (2002) Pharmacology and toxicology of astrocyte-neuron glutamate transport and cycling. J Pharmacol Exp Ther 301(1):1–6. https://doi.org/10.1124/jpet.301.1.1
- Jayakumar AR, Norenberg MD (2016) Glutamine Synthetase: Role in Neurological Disorders. Adv Neurobiol 13:327–350. https://doi.org/10.1007/978-3-319-45096-4_13
- Gibbs ME, O’Dowd BS, Hertz L, Robinson SR, Sedman GL, Ng KT (1996) Inhibition of glutamine synthetase activity prevents memory consolidation. Brain research. Cogn Brain Res 4(1):57–64. https://doi.org/10.1016/0926-6410(96)00020-1
- Son H, Kim S, Jung DH, Baek JH, Lee DH, Roh GS, Kang SS, Cho GJ, Choi WS, Lee DK, Kim HJ (2019) Insufficient glutamine synthetase activity during synaptogenesis causes spatial memory impairment in adult mice. Sci Rep 9(1):252. https://doi.org/10.1038/s41598-018-36619-2
- Miller JA, Nathanson J, Franjic D, Shim S, Dalley RA, Shapouri S, Smith KA, Sunkin SM, Bernard A, Bennett JL, Lee CK, Hawrylycz MJ, Jones AR, Amaral DG, Šestan N, Gage FH, Lein ES (2013) Conserved molecular signatures of neurogenesis in the hippocampal subgranular zone of rodents and primates. Development (Cambridge, England) 140(22):4633–4644. https://doi.org/10.1242/dev.097212
- Goh TY, Basah SN, Yazid H, Safar MJA, Saad FSA (2018) Performance Analysis of Image Thresholding: Otsu Technique. Measurement 114:298–307. https://doi.org/10.1016/j.measurement.2017.09.052
- Refaeli R, Doron A, Benmelech-Chovav A, Groysman M, Kreisel T, Loewenstein Y, Goshen I (2021) Features of hippocampal astrocytic domains and their spatial relation to excitatory and inhibitory neurons. Glia 69(10):2378–2390. https://doi.org/10.1002/glia.24044
- Anlauf E, Derouiche A (2013) Glutamine synthetase as an astrocytic marker: its cell type and vesicle localization. Front Endocrinol 4:144. https://doi.org/10.3389/fendo.2013.00144
- Quebedeaux TM, Song H, Giwa-Otusajo J, Thompson LP (2022) Chronic Hypoxia Inhibits Respiratory Complex IV Activity and Disrupts Mitochondrial Dynamics in the Fetal Guinea Pig Forebrain. Reproduct Sci (Thousand Oaks, Calif.) 29(1):184–192. https://doi.org/10.1007/s43032-021-00779-w
- Tan XL, Liu JZ, Cao LF, Deng ZC, Li YH (2002) Effects of hypoxic exposure on coordinative expression of cytochrome oxidase subunits I and IV in rat cerebral cortex. Sheng Li Xue Bao 54(6):519–524.
- Kang JJ, Guo B, Liang WH, Lam CS, Wu SX, Huang XF, Wong-Riley MTT, Fung ML, Liu YY (2019) Daily acute intermittent hypoxia induced dynamic changes in dendritic mitochondrial ultrastructure and cytochrome oxidase activity in the pre-Bötzinger complex of rats. Exp Neurol 313:124–134. https://doi.org/10.1016/j.expneurol.2018.12.008
- Kang JJ, Fung ML, Zhang K, Lam CS, Wu SX, Huang XF, Yang SJ, Wong-Riley MTT, Liu YY (2020) Chronic intermittent hypoxia alters the dendritic mitochondrial structure and activity in the pre-Bötzinger complex of rats. FASEB J: Official Publ Federat Am Society Exp Biol 34(11):14588–14601. https://doi.org/10.1096/fj.201902141R
- Lisowski P, Kannan P, Mlody B, Prigione A (2018) Mitochondria and the dynamic control of stem cell homeostasis. EMBO Reports 19(5):e45432. https://doi.org/10.15252/embr.201745432
- Cui, P, Zhang P, Yuan L, Wang L, Guo X, Cui G, Zhang Y, Li M, Zhang X, Li X, Yin Y, Yu Z (2021) HIF-1α Affects the Neural Stem Cell Differentiation of Human Induced Pluripotent Stem Cells via MFN2-Mediated Wnt/β-Catenin Signaling. Front Cell Devel Biol 9:671704. https://doi.org/10.3389/fcell.2021.671704
- Chen HL, Pistollato F, Hoeppner DJ, Ni HT, McKay RD, Panchision DM (2007) Oxygen tension regulates survival and fate of mouse central nervous system precursors at multiple levels. Stem Cells (Dayton, Ohio) 25(9):2291–2301. https://doi.org/10.1634/stemcells.2006-0609
- Khuu MA, Pagan CM, Nallamothu T, Hevner RF, Hodge RD, Ramirez JM, Garcia AJ 3rd (2019) Intermittent Hypoxia Disrupts Adult Neurogenesis and Synaptic Plasticity in the Dentate Gyrus. J Neurosci: Official J Society Neurosci 39(7):1320–1331. https://doi.org/10.1523/JNEUROSCI.1359-18.2018
- Kasahara Y, Nakashima H, Nakashima K (2023) Seizure-induced hilar ectopic granule cells in the adult dentate gyrus. Front Neurosci 17:1150283. https://doi.org/10.3389/fnins.2023.1150283
- Cameron MC, Zhan RZ, Nadler JV (2011) Morphologic integration of hilar ectopic granule cells into dentate gyrus circuitry in the pilocarpine model of temporal lobe epilepsy. J Comp Neurol 519(11):2175–2192. https://doi.org/10.1002/cne.22623
- Kunze A, Achilles A, Keiner S, Witte OW, Redecker C (2015) Two distinct populations of doublecortin-positive cells in the perilesional zone of cortical infarcts. BMC Neurosci 16:20. https://doi.org/10.1186/s12868-015-0160-8
- Moura DMS, Brandão JA, Lentini C, Heinrich C, Queiroz CM, Costa MR (2020) Evidence of Progenitor Cell Lineage Rerouting in the Adult Mouse Hippocampus After Status Epilepticus. Front Neurosci 14:571315. https://doi.org/10.3389/fnins.2020.571315
- Schlecht A, Vallon M, Wagner N, Ergün S, Braunger BM (2021) TGFβ-Neurotrophin Interactions in Heart, Retina, and Brain. Biomolecules 11(9):1360. https://doi.org/10.3390/biom11091360
- Dzhalilova DS, Diatroptov ME, Tsvetkov IS, Makarova OV, Kuznetsov SL (2018) Expression of Hif-1α, Nf-κb, and Vegf Genes in the Liver and Blood Serum Levels of HIF-1α, Erythropoietin, VEGF, TGF-β, 8-Isoprostane, and Corticosterone in Wistar Rats with High and Low Resistance to Hypoxia. Bull Exp Biol Med 165(6):781–785. https://doi.org/10.1007/s10517-018-4264-x
- Baumann J, Tsao CC, Patkar S, Huang SF, Francia S, Magnussen SN, Gassmann M, Vogel J, Köster-Hegmann C, Ogunshola OO (2022) Pericyte, but not astrocyte, hypoxia inducible factor-1 (HIF-1) drives hypoxia-induced vascular permeability in vivo. Fluids Barriers CNS 19(1):6. https://doi.org/10.1186/s12987-021-00302-y
- Luo J (2022) TGF-β as a Key Modulator of Astrocyte Reactivity: Disease Relevance and Therapeutic Implications. Biomedicines 10(5):1206. https://doi.org/10.3390/biomedicines10051206
- Wachs FP, Winner B, Couillard-Despres S, Schiller T, Aigner R, Winkler J, Bogdahn U, Aigner L (2006) Transforming growth factor-beta1 is a negative modulator of adult neurogenesis. J Neuropathol Exp Neurol 65(4):358–370. https://doi.org/10.1097/01.jnen.0000218444.53405.f0
- Mathieu P, Piantanida AP, Pitossi F (2010) Chronic expression of transforming growth factor-beta enhances adult neurogenesis. Neuroimmunomodulation 17(3):200–201. https://doi.org/10.1159/000258723
- Sen E, Basu A, Willing LB, Uliasz TF, Myrkalo JL, Vannucci SJ, Hewett SJ, Levison SW (2011) Pre-conditioning induces the precocious differentiation of neonatal astrocytes to enhance their neuroprotective properties. ASN neuro 3(3):e00062. https://doi.org/10.1042/AN20100029
- Lee A, Lingwood BE, Bjorkman ST, Miller SM, Poronnik P, Barnett NL, Colditz P, Pow DV (2010) Rapid loss of glutamine synthetase from astrocytes in response to hypoxia: implications for excitotoxicity. J Chem Neuroanatomy 39(3):211–220. https://doi.org/10.1016/j.jchemneu.2009.12.002
- Papageorgiou IE, Gabriel S, Fetani AF, Kann O, Heinemann U (2011) Redistribution of astrocytic glutamine synthetase in the hippocampus of chronic epileptic rats. Glia 59(11):1706–1718. https://doi.org/10.1002/glia.21217
- Воронков, ДН, Сальникова ОВ, Худоерков РМ (2017) Иммуноцитохимические и морфометрические изменения астроглии в перифокальной зоне моделируемого инфаркта мозга. Анналы клин и экспер неврол 11(1):40–46. [Voronkov DN, Salnikova OV, Khudoerkov RM (2017) Immunocytochemical and morphometric changes in astroglial cells in the perifocal zone of the cerebral infarction model. Annals Clin Exp Neurol 11(1):40–46. (In Russ)]. https://doi.org/10.18454/ACEN.2017.1.6158
- Zhou Y, Dhaher R, Parent M, Hu QX, Hassel B, Yee SP, Hyder F, Gruenbaum SE, Eid T, Danbolt NC (2019) Selective deletion of glutamine synthetase in the mouse cerebral cortex induces glial dysfunction and vascular impairment that precede epilepsy and neurodegeneration. Neurochem Internat 123:22–33. https://doi.org/10.1016/j.neuint.2018.07.009
Supplementary files







