CORRECTION OF COGNITIVE IMPAIRMENTS AND SIGNALING PATHWAYS IN THE HIPPOCAMPUS OF RATS WITH TYPE 2 DIABETES MELLITUS USING INTRANASALLY ADMINISTERED INSULIN AND GANGLIOSIDES
- Authors: Zakharova I.O.1, Bayunova L.V.1, Derkach K.V.1, Shpakov A.O.1, Avrova N.F.1
-
Affiliations:
- Sechenov Institute of Evolutionary Physiology and Biochemistry, Russian Academy of Sciences
- Issue: Vol 59, No 6 (2023)
- Pages: 485-502
- Section: EXPERIMENTAL ARTICLES
- URL: https://medbiosci.ru/0044-4529/article/view/247310
- DOI: https://doi.org/10.31857/S0044452923060104
- EDN: https://elibrary.ru/GKANFO
- ID: 247310
Cite item
Full Text
Abstract
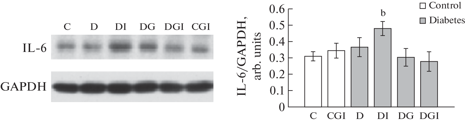
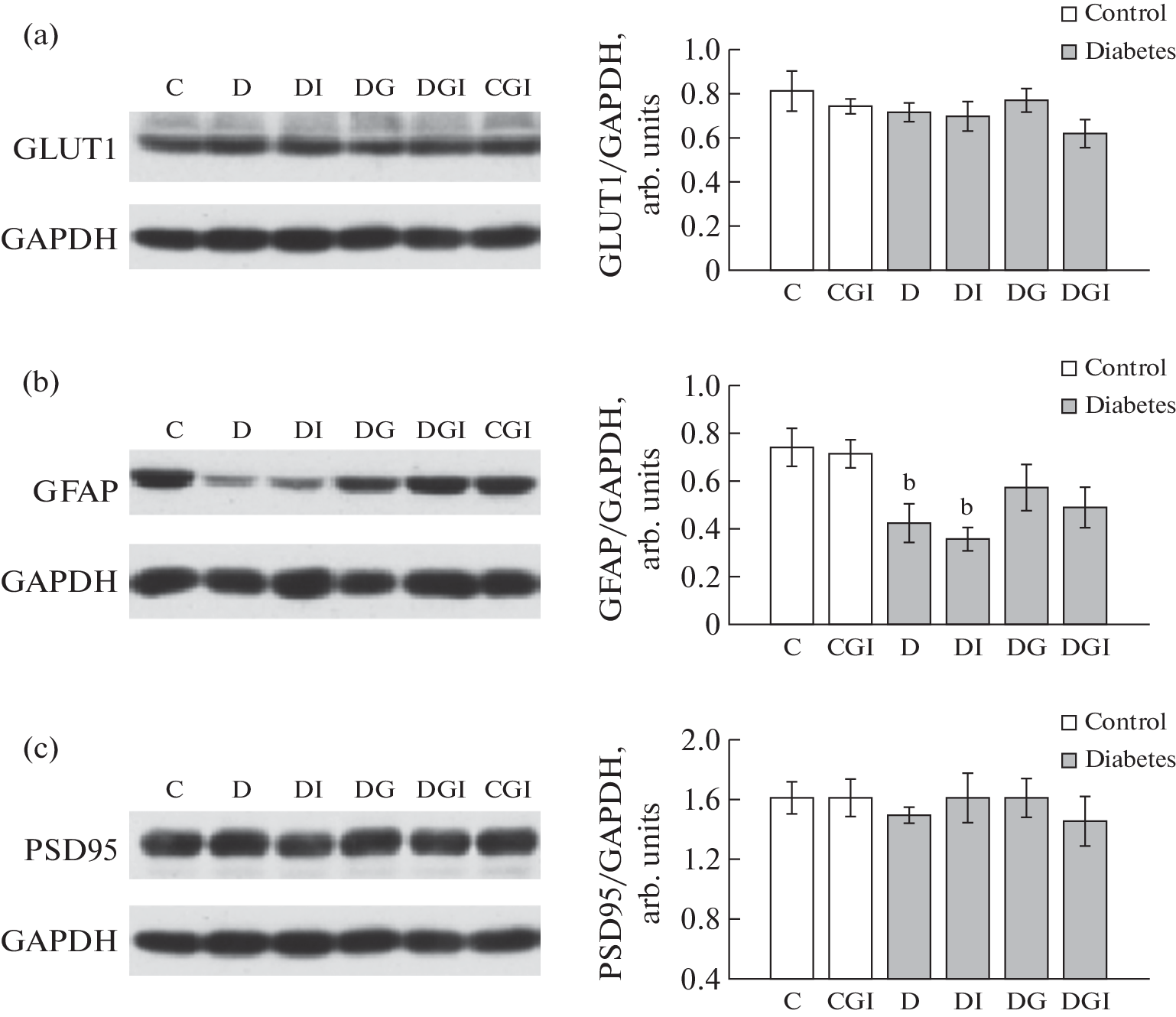
Insulin controls both systemic glucose homeostasis and the functional activity of the brain. Insulin content and the activity of the insulin signaling system decreases in the brain in diabetes mellitus type 2 (DM2). It gives rise to disorders of energy metabolism, including hypometabolism of glucose in the brain, and to cognitive dysfunctions. The deficiency of hormone in the brain can be restored by intranasally administered insulin (IAI). It is also reasonable to use it in combination with substances with neuroprotective properties, including complex glycosphingolipids gangliosides, in order to increase the effectiveness of IAI for the correction of brain functions. Intranasal way of ganglioside delivery (IAG) to the brain can be explored as well. The aim of the research comprised the evaluation of efficiency of separate and combined IAI and IAG use to correct the cognitive impairment in Wistar rats with DM2 using the Morris water maze (MWM) and analysis of expression of proteins (BDNF, GLUT-1, GLUT-3, GLUT -4, GFAP, PSD95) and activity of protein kinases (Akt, GSK3β, ERK1/2) involved in learning and long-term memory formation in the hippocampus. IAI and IAG improved spatial orientation of rats with DM2in the MWM, and the effect of combined use of IAI and IAG was similar to the effect of each substance used separately. Owing to combined IAI and IAG the activity of effector protein kinases (Akt and ERK1/2) was maintained at the same level as in control rats while IAI monotherapy resulted in the reduced level of their phosphorylation. The level of GSK3β phosphorylation at Ser9 was also increased after combined treatments with insulin and gangliosides which is protective against tauropathy. Thus, the combined application of IAI and IAG improves the functional state of the components of the insulin system in the brain of rats with DM2, although it does not significantly enhance the effects of IAI on long-term memory.
About the authors
I. O. Zakharova
Sechenov Institute of Evolutionary Physiology and Biochemistry, Russian Academy of Sciences
Author for correspondence.
Email: zakhar@iephb.ru
Russia, St. Petersburg
L. V. Bayunova
Sechenov Institute of Evolutionary Physiology and Biochemistry, Russian Academy of Sciences
Email: zakhar@iephb.ru
Russia, St. Petersburg
K. V. Derkach
Sechenov Institute of Evolutionary Physiology and Biochemistry, Russian Academy of Sciences
Email: zakhar@iephb.ru
Russia, St. Petersburg
A. O. Shpakov
Sechenov Institute of Evolutionary Physiology and Biochemistry, Russian Academy of Sciences
Email: zakhar@iephb.ru
Russia, St. Petersburg
N. F. Avrova
Sechenov Institute of Evolutionary Physiology and Biochemistry, Russian Academy of Sciences
Email: zakhar@iephb.ru
Russia, St. Petersburg
References
- Duarte AI, Moreira PI, Oliveira CR (2012) Insulin in central nervous system: more than just a peripheral hormone. J Aging Res 2012: 384017. https://doi.org/10.1155/2012/384017
- Petersen MC, Shulman G (2018) Mechanisms of Insulin Action and Insulin Resistance. Physiol Rev 98: 2133–2223. https://doi.org/10.1152/physrev.00063.2017
- White MF, Kahn CR (2021) Insulin action at a molecular level – 100 years of progress. Mol Metab 52: 101304. https://doi.org/10.1016/j.molmet.2021.101304
- Vinuesa A, Pomilio C, Gregosa A, Bentivegna M, Presa J, Bellotto M, Saravia F, Beauquis J (2021) Inflammation and Insulin Resistance as Risk Factors and Potential Therapeutic Targets for Alzheimer’s Disease. Front Neurosci 15: 653651. https://doi.org/10.3389/fnins.2021.653651
- Sullivan M, Fernandez-Aranda F, Camacho-Barcia L, Harkin A, Macrì S, Mora-Maltas B, Jiménez-Murcia S, O’Leary A, Ottomana AM, Presta M, Slattery D, Scholtz S, Glennon JC (2023) Insulin and disorders of behavioural flexibility. Neurosci Biobehav Rev 150: 105169. https://doi.org/10.1016/j.neubiorev.2023.105169
- Obici S, Zhang BB, Karkanias G, Rossetti L (2002) Hypothalamic insulin signaling is required for inhibition of glucose production. Nat Med 8: 1376–1382. https://doi.org/10.1038/nm1202-798
- Viswaprakash N, Vaithianathan T, Viswaprakash A, Judd R, Parameshwaran K, Suppiramaniam V (2015) Insulin treatment restores glutamate (α-amino-3-hydroxy-5-methyl-4-isoxazolepropionic acid) receptor function in the hippocampus of diabetic rats. J Neurosci Res 93: 1442–1450. https://doi.org/10.1002/jnr.23589
- Zhao F, Siu JJ, Huang W, Askwith C, Cao L (2019) Insulin Modulates Excitatory Synaptic Transmission and Synaptic Plasticity in the Mouse Hippocampus. Neuroscience 411: 237–254. https://doi.org/10.1016/j.neuroscience.2019.05.033
- Hammoud H, Netsyk O, Tafreshiha AS, Korol SV, Jin Z, Li JP, Birnir B (2021) Insulin differentially modulates GABA signalling in hippocampal neurons and, in an age-dependent manner, normalizes GABA-activated currents in the tg-APPSwe mouse model of Alzheimer’s disease. Acta Physiol 232: e13623. https://doi.org/10.1111/apha.13623
- Shypshyna M, Kolesnyk O, Fedulova S, Veselovsky N (2023) Insulin modulates the paired-pulse plasticity at glutamatergic synapses of hippocampal neurons under hypoinsulinemia. Front Cell Neurosci 17: 1132325. https://doi.org/10.3389/fncel.2023.1132325
- Janssen JAMJL (2021) Hyperinsulinemia and Its Pivotal Role in Aging, Obesity, Type 2 Diabetes, Cardiovascular Disease and Cancer. Int J Mol Sci 22: 7797. https://doi.org/10.3390/ijms22157797
- Farris W, Mansourian S, Chang Y, Lindsley L, Eckman EA, Frosch MP, Eckman CB, Tanzi RE, Selkoe DJ, Guenette S (2003) Insulin-degrading enzyme regulates the levels of insulin, amyloid beta-protein, and the beta-amyloid precursor protein intracellular domain in vivo. Proc Natl Acad Sci U S A 100: 4162–4167. https://doi.org/10.1073/pnas.0230450100
- Qiu WQ, Folstein MF (2006) Insulin, insulin-degrading enzyme and amyloid-beta peptide in Alzheimer’s disease: review and hypothesis. Neurobiol Aging 27: 190–198. https://doi.org/10.1016/j.neurobiolaging.2005.01.004
- Spinelli M, Fusco S, Grassi C (2019) Brain Insulin Resistance and Hippocampal Plasticity: Mechanisms and Biomarkers of Cognitive Decline. Front Neurosci 13: 788. https://doi.org/10.3389/fnins.2019.00788
- Reinke C, Buchmann N, Fink A, Tegeler C, Demuth I, Doblhammer G (2022) Diabetes duration and the risk of dementia: a cohort study based on German health claims data. Age Ageing 51: afab231. https://doi.org/10.1093/ageing/afab231
- Heni M, Schöpfer P, Peter A, Sartorius T, Fritsche A, Synofzik M, Häring HU, Maetzler W, Hennige AM (2014) Evidence for altered transport of insulin across the blood-brain barrier in insulin-resistant humans. Acta Diabetol 51: 679–681. https://doi.org/10.1007/s00592-013-0546-y
- Sartorius T, Peter A, Heni M, Maetzler W, Fritsche A, Häring HU, Hennige AM (2015) The brain response to peripheral insulin declines with age: a contribution of the blood-brain barrier? PLoS One 10: e0126804. https://doi.org/10.1371/journal.pone.0126804
- Derkach K, Zakharova I, Zorina I, Bakhtyukov A, Romanova I, Bayunova L, Shpakov A (2019) The evidence of metabolic-improving effect of metformin in Ay/a mice with genetically-induced melanocortin obesity and the contribution of hypothalamic mechanisms to this effect. PLoS One 14: e0213779. https://doi.org/10.1371/journal.pone.0213779
- Jurcovicova J (2014) Glucose transport in brain - effect of inflammation. Endocr Regul 48: 35–48. https://doi.org/10.4149/endo_2014_01_35
- Koepsell H (2020) Glucose transporters in brain in health and disease. Pflugers Arch 472: 1299–1343. https://doi.org/10.1007/s00424-020-02441-x
- Hernandez-Garzón E, Fernandez AM, Perez-Alvarez A, Genis L, Bascuñana P, Fernandez de la Rosa R, Delgado M, Angel Pozo M, Moreno E, McCormick PJ, Santi A, Trueba-Saiz A, Garcia-Caceres C, Tschöp MH, Araque A, Martin ED, Torres Aleman I (2016) The insulin-like growth factor I receptor regulates glucose transport by astrocytes. Glia 64: 1962–1971. https://doi.org/10.1002/glia.23035
- Fernandez AM, Hernandez-Garzón E, Perez-Domper P, Perez-Alvarez A, Mederos S, Matsui T, Santi A, Trueba-Saiz A, García-Guerra L, Pose-Utrilla J, Fielitz J, Olson EN, Fernandez de la Rosa R, Garcia Garcia L, Pozo MA, Iglesias T, Araque A, Soya H, Perea G, Martin ED, Torres Aleman I (2017) Insulin Regulates Astrocytic Glucose Handling Through Cooperation With IGF-I. Diabetes 66: 64–74. https://doi.org/10.2337/db16-0861
- Fernandez AM, Hernandez E, Guerrero-Gomez D, Miranda-Vizuete A, Torres Aleman I (2018) A network of insulin peptides regulate glucose uptake by astrocytes: Potential new druggable targets for brain hypometabolism. Neuropharmacology 136 (Pt B): 216–222. https://doi.org/10.1016/j.neuropharm.2017.08.034
- Blázquez E, Hurtado-Carneiro V, LeBaut-Ayuso Y, Velázquez E, García-García L, Gómez-Oliver F, Ruiz-Albusac JM, Ávila J, Pozo MÁ (2022) Significance of Brain Glucose Hypometabolism, Altered Insulin Signal Transduction, and Insulin Resistance in Several Neurological Diseases. Front Endocrinol (Lausanne) 13: 873301. https://doi.org/10.3389/fendo.2022.873301
- Sukhov IB, Shipilov VN, Chistyakova OV, Trost AM, Shpakov AO (2013) Long-term intranasal insulin administration improves spatial memory in male rats with prolonged type 1 diabetes mellitus and in healthy rats. Dokl Biol Sci 453: 349–352. https://doi.org/10.1134/S001249661306015X
- Rajasekar N, Nath C, Hanif K, Shukla R (2017) Intranasal Insulin Administration Ameliorates Streptozotocin (ICV)-Induced Insulin Receptor Dysfunction, Neuroinflammation, Amyloidogenesis, and Memory Impairment in Rats. Mol Neurobiol 54: 6507–6522. https://doi.org/10.1007/s12035-016-0169-8
- Craft S, Raman R, Chow TW, Rafii MS, Sun CK, Rissman RA, Donohue MC, Brewer JB, Jenkins C, Harless K, Gessert D, Aisen PS (2020) Safety, Efficacy, and Feasibility of Intranasal Insulin for the Treatment of Mild Cognitive Impairment and Alzheimer Disease Dementia: A Randomized Clinical Trial. JAMA Neurol 77: 1099–1109. https://doi.org/10.1001/jamaneurol.2020.1840
- Yang L, Zhang X, Li S, Wang H, Zhang X, Liu L, Xie A (2020) Intranasal insulin ameliorates cognitive impairment in a rat model of Parkinson’s disease through Akt/GSK3β signaling pathway. Life Sci 259: 118159. https://doi.org/10.1016/j.lfs.2020.118159
- Mastrototaro L, Roden M (2021) Insulin resistance and insulin sensitizing agents. Metabolism 125: 154892. https://doi.org/10.1016/j.metabol.2021.154892
- Avrova NF, Victorov IV, Tyurin VA, Zakharova IO, Sokolova TV, Andreeva NA, Stelmaschuk EV, Tyurina YY, Gonchar VS (1998) Inhibition of glutamate-induced intensification of free radical reactions by gangliosides: possible role in their protective effect in rat cerebellar granule cells and brain synaptosomes. Neurochem Res 23: 945–952. https://doi.org/10.1023/a:1021076220411
- Zakharova IO, Sokolova TV, Vlasova YA, Furaev VV, Rychkova MP, Avrova NF (2014) GM1 ganglioside activates ERK1/2 and Akt downstream of Trk tyrosine kinase and protects PC12 cells against hydrogen peroxide toxicity. Neurochem Res 39: 2262–2275. https://doi.org/10.1007/s11064-014-1428-6
- Nikolaeva S, Bayunova L, Sokolova T, Vlasova Y, Bachteeva V, Avrova N, Parnova R (2015) GM1 and GD1a gangliosides modulate toxic and inflammatory effects of E. coli lipopolysaccharide by preventing TLR4 translocation into lipid rafts. Biochim Biophys Acta 1851: 239–247. https://doi.org/10.1016/j.bbalip.2014.12.004
- Sipione S, Monyror J, Galleguillos D, Steinberg N, Kadam V (2020) Gangliosides in the Brain: Physiology, Pathophysiology and Therapeutic Applications. Front Neurosci 14: 572965. https://doi.org/10.3389/fnins.2020.572965
- Galleguillos D, Wang Q, Steinberg N, Zaidi A, Shrivastava G, Dhami K, Daskhan GC, Schmidt EN, Dworsky-Fried Z, Giuliani F, Churchward M, Power C, Todd K, Taylor A, Macauley MS, Sipione S (2022) Anti-inflammatory role of GM1 and other gangliosides on microglia. J Neuroinflammat 19: 9. https://doi.org/10.1186/s12974-021-02374-x
- Zakharova IO, Avrova NF (2001) The effect of cold stress on ganglioside fatty acid composition and ganglioside-bound sialic acid content of rat brain subcellular fractions. J Therm Biol 26: 215–222. https://doi.org/10.1016/s0306-4565(00)00045-0
- Vanier MT, Holm M, Ohman R, Svennerholm L (1971) Developmental profiles of gangliosides in human and rat brain. J Neurochem 18: 581–592. https://doi.org/10.1111/j.1471-4159.1971.tb11988.x
- Derkach KV, Bondareva VM, Chistyakova OV, Berstein LM, Shpakov AO (2015) The Effect of Long-Term Intranasal Serotonin Treatment on Metabolic Parameters and Hormonal Signaling in Rats with High-Fat Diet/Low-Dose Streptozotocin-Induced Type 2 Diabetes. Int J Endocrinol 2015: 245459. https://doi.org/10.1155/2015/245459
- Könner AC, Janoschek R, Plum L, Jordan SD, Rother E, Ma X, Xu C, Enriori P, Hampel B, Barsh GS, Kahn CR, Cowley MA, Ashcroft FM, Brüning JC (2007) Insulin action in AgRP-expressing neurons is required for suppression of hepatic glucose production. Cell Metab 5: 438–449. https://doi.org/10.1016/j.cmet.2007.05.004
- Loh K, Zhang L, Brandon A, Wang Q, Begg D, Qi Y, Fu M, Kulkarni R, Teo J, Baldock P, Brüning JC, Cooney G, Neely GG, Herzog H (2017) Insulin controls food intake and energy balance via NPY neurons. Mol Metab 6: 574–584. https://doi.org/10.1016/j.molmet.2017.03.013
- Shin AC, Filatova N, Lindtner C, Chi T, Degann S, Oberlin D, Buettner C (2017) Insulin Receptor Signaling in POMC, but Not AgRP, Neurons Controls Adipose Tissue Insulin Action. Diabetes 66: 1560–1571. https://doi.org/10.2337/db16-1238
- Hill JM, Lesniak MA, Pert CB, Roth J (1986) Autoradiographic localization of insulin receptors in rat brain: prominence in olfactory and limbic areas. Neuroscience 17: 1127–1138. https://doi.org/10.1016/0306-4522(86)90082-5
- Doré S, Kar S, Rowe W, Quirion R (1997) Distribution and levels of [125I]IGF-I, [125I]IGF-II and [125I]insulin receptor binding sites in the hippocampus of aged memory-unimpaired and -impaired rats. Neuroscience 80: 1033–1040. https://doi.org/10.1016/s0306-4522(97)00154-1
- Izumi Y, Yamada KA, Matsukawa M, Zorumski CF (2003) Effects of insulin on long-term potentiation in hippocampal slices from diabetic rats. Diabetologia 46: 1007–1012. https://doi.org/10.1007/s00125-003-1144-2
- van der Heide LP, Kamal A, Artola A, Gispen WH, Ramakers GM (2005) Insulin modulates hippocampal activity-dependent synaptic plasticity in a N-methyl-d-aspartate receptor and phosphatidyl-inositol-3-kinase-dependent manner. J Neurochem 94: 1158–1166. https://doi.org/10.1111/j.1471-4159.2005.03269.x
- Park CR, Seeley RJ, Craft S, Woods SC (2000) Intracerebroventricular insulin enhances memory in a passive-avoidance task. Physiol Behav 68: 509–514. https://doi.org/10.1016/s0031-9384(99)00220-6
- Babri S, Badie HG, Khamenei S, Seyedlar MO (2007) Intrahippocampal insulin improves memory in a passive-avoidance task in male wistar rats. Brain Cogn 64: 86–91. https://doi.org/10.1016/j.bandc.2007.01.002
- McNay EC, Ong CT, McCrimmon RJ, Cresswell J, Bogan JS, Sherwin RS (2010) Hippocampal memory processes are modulated by insulin and high-fat-induced insulin resistance. Neurobiol Learn Mem 93: 546–553. https://doi.org/10.1016/j.nlm.2010.02.002
- Erichsen JM, Calva CB, Reagan LP, Fadel JR (2021) Intranasal insulin and orexins to treat age-related cognitive decline. Physiol Behav 234: 113370. https://doi.org/10.1016/j.physbeh.2021.113370
- Soto M, Cai W, Konishi M, Kahn CR (2019) Insulin signaling in the hippocampus and amygdala regulates metabolism and neurobehavior. Proc Natl Acad Sci U S A 116: 6379–6384. https://doi.org/10.1073/pnas.1817391116
- Inamori KI, Inokuchi JI (2020) Roles of Gangliosides in Hypothalamic Control of Energy Balance: New Insights. Int J Mol Sci 21: 5349. https://doi.org/10.3390/ijms21155349
- Cole AA, Dosemeci A, Reese TS (2010) Co-segregation of AMPA receptors with G(M1) ganglioside in synaptosomal membrane subfractions. Biochem J 427: 535–540. https://doi.org/10.1042/BJ20091344
- Prendergast J, Umanah GK, Yoo SW, Lagerlöf O, Motari MG, Cole RN, Huganir RL, Dawson TM, Dawson VL, Schnaar RL (2014) Ganglioside regulation of AMPA receptor trafficking. J Neurosci 34:13246–13258. https://doi.org/10.1523/JNEUROSCI.1149-14.2014
- Sukhov IB, Lebedeva MF, Zakharova IO, Derkach KV, Bayunova LV, Zorina II, Avrova NF, Shpakov AO (2020) Intranasal Administration of Insulin and Gangliosides Improves Spatial Memory in Rats with Neonatal Type 2 Diabetes Mellitus. Bull Exp Biol Med 168: 317–320. https://doi.org/10.1007/s10517-020-04699-8
- Itokazu Y, Fuchigami T, Morgan JC, Yu RK (2021) Intranasal infusion of GD3 and GM1 gangliosides downregulates alpha-synuclein and controls tyrosine hydroxylase gene in a PD model mouse. Mol Ther 29: 3059–3071. https://doi.org/10.1016/j.ymthe.2021.06.005
- Leal G, Comprido D, Duarte CB (2014) BDNF-induced local protein synthesis and synaptic plasticity. Neuropharmacology 76 Pt C: 639–656. https://doi.org/10.1016/j.neuropharm.2013.04.005
- Gold PE (2005) Glucose and age-related changes in memory. Neurobiol Aging 26 Suppl 1: S60–S64. https://doi.org/10.1016/j.neurobiolaging.2005.09.002
- McNay EC, Canal CE, Sherwin RS, Gold PE (2006) Modulation of memory with septal injections of morphine and glucose: effects on extracellular glucose levels in the hippocampus. Physiol Behav 87: 298–303. https://doi.org/10.1016/j.physbeh.2005.10.016
- Li L, Lundkvist A, Andersson D, Wilhelmsson U, Nagai N, Pardo AC, Nodin C, Ståhlberg A, Aprico K, Larsson K, Yabe T, Moons L, Fotheringham A, Davies I, Carmeliet P, Schwartz JP, Pekna M, Kubista M, Blomstrand F, Maragakis N, Nilsson M, Pekny M (2008) Protective role of reactive astrocytes in brain ischemia. J Cereb Blood Flow Metab 28: 468–481. https://doi.org/10.1038/sj.jcbfm.9600546
- de Pablo Y, Nilsson M, Pekna M, Pekny M (2013) Intermediate filaments are important for astrocyte response to oxidative stress induced by oxygen-glucose deprivation and reperfusion. Histochem Cell Biol 140: 81–91. https://doi.org/10.1007/s00418-013-1110-0
- Wilhelmsson U, Pozo-Rodrigalvarez A, Kalm M, de Pablo Y, Widestrand Å, Pekna M, Pekny M (2019) The role of GFAP and vimentin in learning and memory. Biol Chem 400: 1147–1156. https://doi.org/10.1515/hsz-2019-0199
- Ashrafi G, Wu Z, Farrell RJ, Ryan TA (2017) GLUT4 Mobilization Supports Energetic Demands of Active Synapses. Neuron 93: 606–615.e3. https://doi.org/10.1016/j.neuron.2016.12.020
- McNay EC, Pearson-Leary J (2020) GluT4: A central player in hippocampal memory and brain insulin resistance. Exp Neurol 323: 113076. https://doi.org/10.1016/j.expneurol.2019.113076
- Tadi M, Allaman I, Lengacher S, Grenningloh G, Magistretti PJ (2015) Learning-Induced Gene Expression in the Hippocampus Reveals a Role of Neuron -Astrocyte Metabolic Coupling in Long Term Memory. PLoS One 10: e0141568. https://doi.org/10.1371/journal.pone.0141568
- Peineau S, Taghibiglou C, Bradley C, Wong TP, Liu L, Lu J, Lo E, Wu D, Saule E, Bouschet T, Matthews P, Isaac JT, Bortolotto ZA, Wang YT, Collingridge GL (2007) LTP inhibits LTD in the hippocampus via regulation of GSK3beta. Neuron 53: 703–717. https://doi.org/10.1016/j.neuron.2007.01.029
- Racaniello M, Cardinale A, Mollinari C, D’Antuono M, De Chiara G, Tancredi V, Merlo D (2010) Phosphorylation changes of CaMKII, ERK1/2, PKB/Akt kinases and CREB activation during early long-term potentiation at Schaffer collateral-CA1 mouse hippocampal synapses. Neurochem Res 35: 239–246. https://doi.org/10.1007/s11064-009-0047-0
- Martínez-Mármol R, Chai Y, Conroy JN, Khan Z, Hong SM, Kim SB, Gormal RS, Lee DH, Lee JK, Coulson EJ, Lee MK, Kim SY, Meunier FA (2023) Hericerin derivatives activates a pan-neurotrophic pathway in central hippocampal neurons converging to ERK1/2 signaling enhancing spatial memory. J Neurochem 165: 791–808. https://doi.org/10.1111/jnc.15767
- Hernandez F, Lucas JJ, Avila J (2013) GSK3 and tau: two convergence points in Alzheimer’s disease. J Alzheimers Dis 33 Suppl 1: S141–S44. https://doi.org/10.3233/JAD-2012-129025
- Claxton A, Baker LD, Hanson A, Trittschuh EH, Cholerton B, Morgan A, Callaghan M, Arbuckle M, Behl C, Craft S (2015) Long-acting intranasal insulin detemir improves cognition for adults with mild cognitive impairment or early-stage Alzheimer’s disease dementia. J Alzheimers Dis 44: 897–906. https://doi.org/10.3233/JAD-141791
- Craft S, Claxton A, Baker LD, Hanson AJ, Cholerton B, Trittschuh EH, Dahl D, Caulder E, Neth B, Montine TJ, Jung Y, Maldjian J, Whitlow C, Friedman S (2017) Effects of Regular and Long-Acting Insulin on Cognition and Alzheimer’s Disease Biomarkers: A Pilot Clinical Trial. J Alzheimers Dis 57: 1325–1334. https://doi.org/10.3233/JAD-161256
- Avgerinos KI, Kalaitzidis G, Malli A, Kalaitzoglou D, Myserlis PG, Lioutas VA (2018) Intranasal insulin in Alzheimer’s dementia or mild cognitive impairment: a systematic review. J Neurol 65: 1497–1510. https://doi.org/10.1007/s00415-018-8768-0
- Derkach KV, Bogush IV, Berstein LM, Shpakov AO (2015) The Influence of Intranasal Insulin on Hypothalamic-Pituitary-Thyroid Axis in Normal and Diabetic Rats. Horm Metab Res 47: 916–924. https://doi.org/10.1055/s-0035-1547236
Supplementary files










