Dynamics of changes in markers of apoptosis, circadian rhythms and antioxidant processes in the model of temporal lobe epilepsy in rats
- Authors: Nuzhnova A.A.1, Lisenkova D.A.1, Bidzhiev A.Z.2, Ivlev A.P.3, Chernigovskaya E.V.3, Bazhanova E.D.3,4
-
Affiliations:
- Peter the Great Saint Petersburg Polytechnic University
- Pasteur Research Institute of Epidemiology and Microbiology
- Sechenov Institute of Evolutionary Physiology and Biochemistry of the Russian Academy of Sciences
- Golikov Research Center of Toxicology
- Issue: Vol 60, No 6 (2024)
- Pages: 637–648
- Section: EXPERIMENTAL ARTICLES
- URL: https://medbiosci.ru/0044-4529/article/view/276218
- DOI: https://doi.org/10.31857/S0044452924070067
- EDN: https://elibrary.ru/KKCAHT
- ID: 276218
Cite item
Full Text
Abstract
Temporal lobe epilepsy is a common neurological disorder that in many cases is accompanied by drug resistance. The current approach to the treatment of patients with drug resistance includes surgical intervention, which does not guarantee full recovery. At present, new antiepileptic drugs that affect signaling cascades inherent in epileptogenesis are being developed. The development of such drugs requires knowledge of the basic mechanisms of epilepsy pathogenesis. The aim of the work was to investigate the dynamics of expression of proteins involved in the regulation of apoptosis, circadian rhythms and antioxidant response in the temporal cortex of the brain during prolonged kindling in the Krushinsky-Molodkina (KM) rat model with hereditary audiogenic epilepsy. The dynamics of expression of studied proteins – p53, CLOCK, Nrf2, p105 - was investigated in the temporal cortex (immunohistochemistry, Western blotting). It was found that p53 level was lower in KM control rats than in Wistar rats. In KM rats subjected to 21 days kindling, p53 content is increased compared to KM control. CLOCK level was downregulated in the KM control group compared to the negative control and elevated in the KM group after kindling 21 days relative to the KM group after 7 days kindling. No changes in Nrf2 and p105 production were detected. The data obtained suggest that the changes in the levels of the studied proteins in control KM rats compared to Wistar rats are genetically determined. Induced epileptogenesis (kindling) for 21 days leads to activation of p53-dependent apoptosis pathway and, possibly, to desynchronosis - change of circadian rhythms. The findings contribute to the study of temporal lobe epilepsy mechanisms and require further studies related to mitochondrial apoptosis and sleep-wake cycle shift in the pathogenesis of temporal lobe epilepsy.
Keywords
Full Text
ВВЕДЕНИЕ
Височная эпилепсия (ВЭ) – распространенное неврологическое заболевание, характеризующееся судорожными припадками, вызванными чрезмерной электробиологической активностью нейронов мозга. Очаг этой разновидности заболевания локализуется в лимбической системе (мезиальная височная эпилепсия), неокортексе (латеральная височная эпилепсия) либо содержит смешанный очаг, характерный для обеих указанных форм [1]. Среди всех пациентов с эпилепсией больные с ВЭ имеют самый высокий процент фармакорезистентной формы [2]. В случае лекарственно устойчивой формы заболевания эпилептогенный очаг удаляют хирургически, однако невозможно предсказать, насколько высок риск повторения припадков после отмены противоэпилептических препаратов вследствие хирургического вмешательства [3].
Очевидно, что проблема поиска новых противоэпилептических препаратов в наши дни особенно актуальна. В дополнение к традиционным методам лечения ВЭ (антиконвульсанты) разрабатываются препараты, основанные на таргетной медицине. Цель такой терапии – воздействовать на сигнальные каскады, способствующие развитию и течению эпилептогенеза [4]. В течение эпилептогенеза протекает множество клеточных изменений: нейровоспаление, аберрантный нейрогенез, реактивный глиоз, гибель нейронов и т.д. [5, 6].
Одной из причин возникновения эпилепсии во взрослом возрасте является лимбический энцефалит, частота судорог повышается при аутоиммунных заболеваниях [7]. Потенциальное участие нейровоспаления в патогенезе эпилепсии впервые было замечено на данных клинических испытаний, показывающих противосудорожный эффект от применения противовоспалительных препаратов и стероидов [8]. Повышение цитокинов и хемокинов во время судорожных припадков приводит к активации иммунных клеток, которые усиливают воспалительную реакцию и способствуют повреждению нейронов [9]. Кроме того, гибель возбуждающих или тормозящих нейронов смещает баланс возбуждения-торможения, что может способствовать эпилептогенезу [10].
Субъединицы р106 и р65 из семейства факторов транскрипции генов иммунного ответа NF-kB могут оказывать как провоспалительное, так и противовоспалительное воздействие в зависимости от пути активации. Субъединица р105 может являться репрессором либо активатором генов, в то время как р65 – активатором [11].
Судорожная активность приводит к нейрональной гибели и, далее, к различным нарушениям, в том числе когнитивным [12]. Исследование механизма гибели нейронов после эпилептических приступов выявило роль сигнальных путей апоптоза. Апоптоз может протекать по внешнерецепторному и внутреннему пути (митохондриальному либо зависящему от эндоплазматического ретикулума). Связь митохондриального апоптоза с окислительным стрессом можно проследить через повышение внутриклеточного кальция в митохондриях во время эпилептических припадков, что приводит к переизбытку активных форм кислорода (АФК) и последующей активации апоптоза, опосредуемого Caspase-3 [13].
Внешний путь апоптоза может осуществляться за счет взаимодействия рецептора смерти Fas со своим лигандом, что влечет за собой образование липидного рафта, последующую активацию NOX и производство АФК [13, 14]. При этом при небольшом избытке АФК активируется система антиоксидантной защиты, опосредуемая Nrf2.
Имеются также данные о том, что эпилепсия влияет на циркадные ритмы. Показано, что судорожные припадки, локализованные в височной доле, имеют наибольшую интенсивность в световом интервале суток [15]. Исследования на модельных животных с хронической височной и иными видами эпилепсии регистрируют склонность к припадкам в определенное, но не совпадающее время суток [16]. На данный момент актуальным является предположение о том, что связь между циркадными ритмами и эпилепсией имеет двойственный характер: циркадная дисфункция может стимулировать развитие эпилепсии и, наоборот, эпилептогенез может привести к нарушению циркадных ритмов – десинхронозу [17]. Изучение этой связи может помочь в прогнозировании припадков эпилептического генеза и сделать терапию более эффективной.
Циркадные ритмы опосредуются ритмичной экспрессией часовых генов CLOCK, BMAL1, PER и CRY и активностью соответствующих белков. В начале циркадного дня происходит взаимодействие CLOCK:BMAL1. Получившийся димер перемещается из цитоплазмы в ядро и запускает транскрипцию PER и CRY c помощью взаимодействия с промоторами E-box [18]. PER и CRY действуют по механизму отрицательной обратной связи и репрессируют активность лидирующего димера в период циркадной ночи, после чего разрушаются и дают начало новому циркадному циклу [18, 19].
Изменения экспрессии BMAL1, PER и CRY исследовались на животных при эпилептическом статусе, индуцированном пилокарпином, и на материале, полученном от пациентов [20, 21]. Менее известно о динамике синтеза CLOCK при эпилептогенезе. В пилокарпиновой модели эпилепсии зафиксировано уменьшение транскриптов CLOCK при длительном воздействии, но на ранних этапах эксперимента изменений не нашли [21]. При этом потеря CLOCK в корковых возбуждающих нейронах способствует развитию эпилепсии [22].
Следует заметить, что PER2 может связываться с отрицательным регулятором транскрипционного фактора p53 MDM2, тем самым индуцируя p53 [23]. P53-зависимый апоптоз активируется при клеточных стрессах различного генеза, в том числе окислительном, опосредуя митохондриальный апоптозный путь. Показано, что гибель клеток при эпилептогенезе может быть связана с активацией p53 [24]. Есть предположения о зависимости окислительного стресса и последующего апоптоза от активации p53-зависимых окислительно-восстановительных ферментов [13]. По данным некоторых авторов, р53 также способствует росту и регенерации аксонов [25].
Многие клеточные стимулы способны приводить к индукции p53 и NF-kB. p53 и р65 ингибируют способность друг друга стимулировать экспрессию генов, и этот процесс контролируется относительными уровнями каждого фактора транскрипции [4]. При высоких клеточных стрессах p53 активирует апоптоз, а при умеренных – запускает Nrf2-зависимый антиоксидантный ответ [26]. При окислительном стрессе Nrf2 диссоциирует от своего отрицательного регулятора, взаимодействует с ARE в промоторной части многих антиоксидантных генов и активирует их транскрипцию.
Nrf2 играет важную роль в эпилептогенезе. У пациентов с височной эпилепсией обнаружена повышенная экспрессия мРНК Nrf2 в ткани гиппокампа, а также увеличение продукции Nrf2 после индукции приступов пилокарпином у лабораторных животных [27]. При введении активатора Nrf2 сульфофорана наблюдалось снижение гибели нейронов, вызванное эпилептическим статусом [28]. На основе анализа литературных данных можно предположить, что активаторы Nrf2-зависимого антиоксидантного пути могут быть выдвинуты как потенциальные противоэпилептические лекарственные препараты.
Таким образом, целью работы было исследование изменений уровня белков, участвующих в апоптозе, регуляции циркадных ритмов и антиоксидантной защиты при аудиогенном киндлинге длительностью 7 и 21 дней на модели крыс линии Крушинского-Молодкиной, которое включало в себя изучение динамики продукции p53, CLOCK, Nrf2 и p105 в височной доле мозга в зависимости от длительности киндлинга, а также сравнение базового уровня синтеза данных белков у крыс линии КМ в сравнении с крысами линии Вистар.
МЕТОДЫ ИССЛЕДОВАНИЯ
Материалы
Эксперимент выполняли на крысах линии Крушинского-Молодкиной (КМ), которые являются моделью рефлекторной аудиогенной эпилепсии. Крысы инбредной линии КМ имеют предрасположенность к судорожным припадкам в ответ на звуковую стимуляцию. Данная линия характеризуется развитием тонических судорог максимальной интенсивности практически у всех животных каждого поколения. Индукция судорог приводит к возникновению эпилептического очага в стволовых отделах мозга, однако длительное повторение акустической стимуляции приводит к распространению эпилептической активности на гиппокамп и кору головного мозга животных. Также использованы крысы линии Вистар в качестве отрицательного контроля для выявления генетических особенностей предрасположенности к заболеванию у крыс линии КМ. Животных содержали в стандартных условиях в клетках вивария со свободным доступом к корму и воде.
В эксперименте использованы 29 животных, распределенных в группы по 5–6 крыс в каждой (рис. 1). Для выяснения роли исследуемых белков экспериментальные группы подвергали процедуре аудиогенного киндлинга (9 kHz, 50 dB) в течение 7 и 21 дней. Во время эксперимента производилась видеофиксация. Судороги оценивали по модифицированной шкале Racine, тяжесть судорог составляла 6 баллов. После окончания киндлинга для животных наступал семидневный период покоя, по окончанию данного периода проводили некропсию с использованием препарата “Золетил”. Киндлинг в течение 21 дня подразумевает сформировавшуюся лимбическую эпилепсию, в то время как 14-дневный киндлинг ассоциирован с одними из начальных ступеней развития лимбической эпилепсии [30]. Период покоя в течение 7 дней был выбран для исследования отсроченной реакции на длительный киндлинг. В качестве положительного контроля выступали интактные крысы линии КМ (КМ Control, KMC). Некропсию контрольных крыс КМ проводили параллельно с некропсией экспериментальной группой КМ7+7 (крысы КМ, подвергнутые киндлингу в течение 7 дней + 7 дней покоя). В качестве дополнительного контроля выступали две интактные группы крыс линии Вистар (Wistar Control, WC). Их выводили из эксперимента одновременно с группами КМ 7+7 и КМ 21+7 (крысы КМ, подвергнутые киндлингу в течение 21 дня + 7 дней покоя).
Производили перфузию физраствором, декапитацию и извлечение головного мозга. Мозг разделяли на две половины в сагиттальной плоскости. Из левой половины иссекали кору височной доли для приготовления проб для Вестерн блоттинга (ВБ). Правую половину мозга для иммуногистохимического (ИГХ) анализа фиксировали в 4% параформальдегиде на фосфатном буфере и оставляли на 2 дня при +4°С. После переносили в раствор 20% сахарозы на 5 дней. Затем помещали в емкость с изопентаном, находящуюся в сухом льду, на 1 мин, при −50°С, далее хранили при –80°С. Чередующиеся срезы толщиной 5–6 мкм изготовили на криостате (Leica, Германия) и фиксировали на предметных стеклах для проведения ИГХ. Согласно атласу крысиного мозга [31], интерес представляла амигдало-пириформная трансляционная область (височная кора).
МЕТОДЫ
Иммуногистохимия (ИГХ)
Для оценки экспрессии белков p53, CLOCK, Nrf2, p105 на срезах коры височной доли мозга проводили ИГХ реакции с немечеными поликлональными антителами к p53 (Rabbit, ab131442, Аbcam, 1:90), CLOCK (Rabbit, ab3517, Аbcam, 1:620), Nrf2 (Rabbit, E-AB-32280, Elabscience, 1:150), p105 (Rabbit, ab32360, Abcam, 1:600), антитела разводили в фосфатно-солевом буфере. Демаскировку антигена проводили с помощью цитратного буфера при pH = 6.0, 90°С – 10 мин, далее стекла оставляли на 15 мин в этом буфере остывать. Блокировку проводили в 2% растворе бычьего сывороточного альбумина в фосфатно-солевом буфере в течение 1 часа. Срезы оставляли для инкубации с первичными антителами при комнатной температуре на ночь. Сигнал проявляли с помощью биотинилированных вторичных антител (Goat Anti-Rabbit IgG Antibody (IgG (H+L) goat Vector Lab BA1000 LOT U1001, 1:200, антитела разводили в фосфатно-солевом буфере), реагирующих со стрептавидин-пероксидазой (Streptavidin-Peroxidase Polymer, Ultrasensitive Product Number S 2438 Sigma 1:400), разведенной в фосфатно-солевом буфере. С целью оценки специфичности окрашивания для каждого белка проводили отрицательный контроль (ИГХ без первичных антител), в результате чего получали отсутствие иммунного окрашивания на срезах. Микрофотографии срезов головного мозга получали на микроскопе PFM (WPI) с цветной камерой Leica DFC300 FX при разрешении 1280×960 пикселе, с последующей денситометрией (программа PhotoM 1.31). Оптическую плотность областей интереса оценивали как интенсивность сигнала относительно малоокрашенных областей в височной коре.
Вестерн блоттинг (ВБ)
Участки височной коры для Вестерн блоттинга гомогенизировали в лизатном буфере (20 мМ Tris pH 7.5, 1% Triton-X100, 100 мМ NaCl, 1 мМ ЭДТА, 1 мМ ЭГТА), содержащем ингибиторы фосфатазы (Roche, #04 906 837 001) и протеазы (Sigma-Aldrich, #P8340), инкубировали при 4ºС 1 ч, после чего центрифугировали при 12000 g. После центрифугирования отбирали получившийся супернатант, добавляли буфер Лэммли с меркаптоэтанолом и инкубировали 10 минут при 95°С. Общее содержание белка определяли методом Лоури с использованием бычьего сывороточного альбумина (БСА, #1.4.1.4, Биолот Санкт-Петербург) в качестве стандарта. После вертикального электрофореза в 10% полиакриламидном геле (6 мкг белка в лунке) белки из геля переносили на нитроцеллюлозную мембрану мокрым методом (BioRad, #1620112). Перенос осуществлялся в трансферном буфере, содержащем 25 мМ Трис, 192 мМ глицин и 20% метанол, при токе 100 мА. Мембраны инкубировали в 3% растворе БСА в TBST буфере (0.1% Твин 20, 0.2 мМ Трис, 137 мМ NaCl, 20% Tween-20) в течение 1 ч. Затем мембраны инкубировали при 4°С в течение ночи с первичными антителами к CLOCK (ab3517, Аbcam, 1: 1000), Nrf2 (E-AB-32280, Elabscience, 1:1000) и Tubulin (CAB870Mi22, Cloud-Clone Corp 1:1000) при постоянном перемешивании. Затем мембраны инкубировали со вторичными антителами (A0545, Anti-Rabbit IgG, peroxidase antibody produced in goat, Sigma, 1:5000, для Tubulin B8520, Anti-Mouse IgG, Biotin antibody produced in rabbit, Sigma, 1:5000) с последующим использованием реакции хемилюминисцентной детекции пероксидазы с субстратом SuperSignal™ West Dura Extended Duration Substrate (ThermoFisher Scientific, #34075). Для разведения антител использовали 3% раствор БСА в TBST буфере. Реакцию оценивали с помощью гель-детектирующей системы ChemiDoc MP Imaging System (#12003154, Bio-Rad) с денситометрией блотов в программе “ImageJ”. Уровень специфичного сигнала для каждого белка нормировали на сигнал тубулина.
Статистическая обработка данных
Статистическую обработку результатов проводили с помощью непараметрического теста Краскела-Уоллиса с помощью программного обеспечения GraphPad Prism 8 (GraphPad Software, США). Данные в статье представлены как медиана и интерквартильное расстояние для каждой группы. Достоверными считали отличия при уровне значимости р < 0,05.
РЕЗУЛЬТАТЫ ИССЛЕДОВАНИЯ
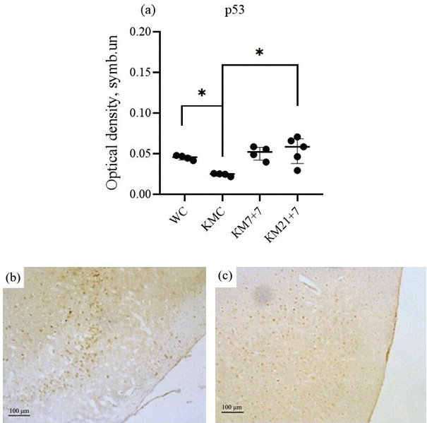
Изменения уровня p53 у крыс КМ при аудиогенном киндлинге. Иммуногистохимический анализ.
При сравнении данных ИГХ анализа крыс из группы отрицательного контроля (Q1 = 0.42, Med = 0.46, Q3 = 0.48, n = 5 ) с крысами из группы положительного контроля обнаружено статистически значимое увеличение уровня p53 у интактных крыс КМ (рис. 2b, c). Аудиогенный киндлинг в течение 7 дней (U = 0, Q1 = 0.49, Med = 0.56, Q3 = 0.58, n =5, p = 0.06) не повлиял на продукцию p53 у экспериментальных крыс КМ при сопоставлении с контрольными крысами той же линии, однако мы зафиксировали повышенный уровень этого белка у крыс группы КМ21+7 (U = 0, Q1 = 0.38, Med = 0.58, Q3 = 0.68, n = 3, p = 0.02) относительно КМС (рис. 2a).
Рис. 1. План эксперимента.
Рис. 2. (a) – Сравнение уровня p53 в коре височной доли мозга у экспериментальных животных (ИГХ); (b) – Кора височной области крысы из группы WC. ИГХ с антителами к p53, х200; (c) - Кора височной области крысы из группы KMC. ИГХ с антителами к p53, х200. WС – контрольная группа крыс линии Вистар, KMC – контрольная группа крыс линии КМ, KM7+7 – экспериментальная группа крыс, с которыми производили киндлинг в течение 7 дней + 7 дней покоя, KM21+7 – экспериментальная группа крыс, с которыми производили киндлинг в течение 21 дня+ 7 дней покоя.
При этом достоверных отличий в продукции белка у экспериментальных групп не наблюдали. Измененный уровень p53 у группы KMC относительно WC можно объяснить генетическими особенностями линии КМ. Увеличение уровня продукции p53 в группе КМ21+7 может быть вызвано активацией p53-зависимого апоптозного пути.
Изменения уровня CLOCK у крыс КМ при аудиогенном киндлинге. Иммуногистохимический анализ и Вестерн блоттинг.
Уровень экспрессии CLOCK у контрольных крыс КМ (Q =0, Q1 = 0.032, Med = 0.034, Q3 = 0.043, n = 4, p = 0.03) заметно снижен в сравнении с крысами Вистар (Q1 = 0.06, Med = 0.07, Q3 = 0.14, n = 5, p = 0.03, рис. 3a). Статистически значимых различий при сравнении KMC и экспериментальных групп КМ7+7 (U =3, Q1 = 0.023, Med = 0.028, Q3 = 0.040, n = 3, p = 0.20) и КМ21+7 не обнаружили (рис. 3b, c, 4). Вестерн блоттинг не выявил значимых различий между КМ7+7 и КМ21+7 (рис. 4a), но более тщательный анализ (ИГХ) показал увеличение продукции CLOCK у КМ21+7 относительно КМ7+7 (U = 0, p = 0.03, рис. 3a).
Рис. 3. (a) – Сравнение уровня CLOCK в коре височной доли мозга у экспериментальных животных (ИГХ); (b) – Кора височной области крысы из группы KMC. ИГХ с антителами к CLOCK, х200; (c) - Кора височной области крысы из группы KM7+7. ИГХ с антителами к CLOCK, х200. WC – контрольная группа крыс линии Вистар, KMC – контрольная группа крыс линии КМ, KM7+7 – экспериментальная группа крыс, с которыми производили киндлинг в течение 7 дней + 7 дней покоя, KM21+7 – экспериментальная группа крыс, с которыми производили киндлинг в течение 21 дня + 7 дней покоя.
Рис. 4. (a), (b) – Сравнение уровня CLOCK в коре височной доли мозга у экспериментальных животных (ВБ); WC – контрольная группа крыс линии Вистар, KMC – контрольная группа крыс линии КМ, KM7+7 – экспериментальная группа крыс, с которыми производили киндлинг в течение 7 дней + 7 дней покоя, KM21+7 – экспериментальная группа крыс, с которыми производили киндлинг в течение 21 дня + 7 дней покоя.
Пониженный уровень CLOCK в группе KMC относительно WC может предполагать наличие генетических особенностей линии КМ. Различные уровни этого белка в группах KM7+7 и KM21+7 свидетельствуют о развитии десинхроноза.
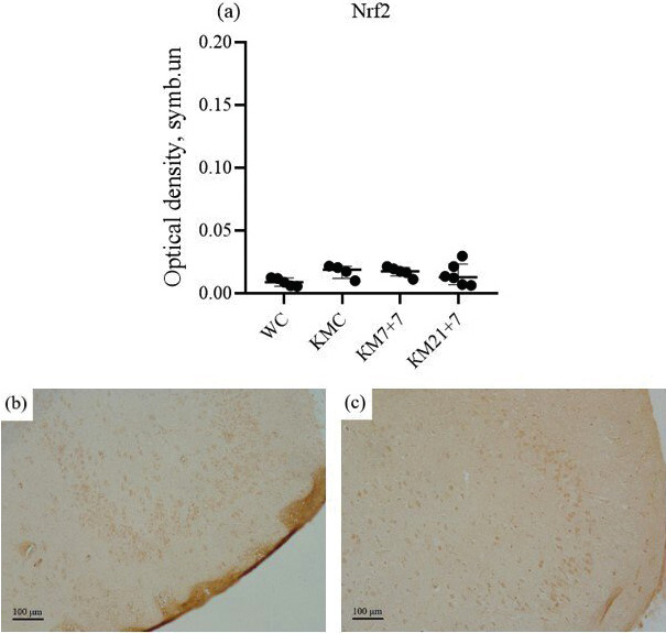
Изменения уровня Nrf2 у крыс КМ при аудиогенном киндлинге. Иммуногистохимический анализ и Вестерн блоттинг.
При сравнении WC (Q1 = 0.006, Med = 0.009, Q3 = 0.012, n = 3) и KMC (U = 2, Q1 = 0.012, Med = 0.019, Q3 = 0.021, n = 3, p = 0.90) мы не нашли статистически значимых различий в продукции Nrf2 (рис. 5a, b, c). Не наблюдалось изменений экспрессии этого белка у экспериментальных групп (KM 7+7: U = 9, Q1 = 0.014, Med = 0.018, Q3 = 0.020, n = 4, p = 0.03, KM21+7: U = 9, Q1 = 0.007, Med = 0.013, Q3 = 0.023, n = 4, p = 0.61) в сравнении с положительным контролем (рис. 5a). Отличия в уровнях Nrf2 у групп КМ7+7 и КМ21+7 тоже не были обнаружены (рис. 5a, 6).
Рис. 5. (a) – Сравнение уровня Nrf2 в коре височной доли мозга у экспериментальных животных (ИГХ); (b) – Кора височной области крысы из группы WC. ИГХ с антителами к Nrf2, х200; (c) – Кора височной области крысы из группы KMC. ИГХ с антителами к Nrf2, х200. WC – контрольная группа крыс линии Вистар, KMC – контрольная группа крыс линии КМ, KM7+7 – экспериментальная группа крыс, с которыми производили киндлинг в течение 7 дней + 7 дней покоя, KM21+7 – экспериментальная группа крыс, с которыми производили киндлинг в течение 21 дня + 7 дней покоя.
Рис. 6. (a), (b) – Сравнение уровня NRF2 в коре височной доли мозга у экспериментальных животных (ВБ); WC – контрольная группа крыс линии Вистар, KMC – контрольная группа крыс линии КМ, KM7+7 – экспериментальная группа крыс, с которыми производили киндлинг в течение 7 дней + 7 дней покоя, KM21+7 – экспериментальная группа крыс, с которыми производили киндлинг в течение 21 дня + 7 дней покоя.
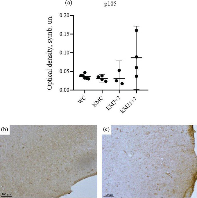
Изменение уровня p105 у крыс КМ при аудиогенном киндлинге. Иммуногистохимический анализ.
Сравнение групп крыс WC (Q1 = 0.031, Med = 0.035, Q3 = 0.041, n = 5) и KMC (U = 6, Q1 = 0.025, Med = 0.032, Q3 = 0.037, n = 4, p = 0.26) не показало значимых различий в продукции субъединицы p105 белка Nf-kB (рис. 7a). Не обнаружено отличий между контрольной группой крыс КМ и группами КМ21+7 и КМ7+7 (KM 7+7: U = 5, Q1 = 0.017, Med = 0.025, Q3 =0.053, n = 3, p = 0.8, KM21+7: U = 1, Q1 = 0.042, Med = 0.07, Q3 = 0.142, n = 4, p = 0.57). Сравнение экспериментальных групп, подвергшихся киндлингу разной продолжительности (рис. 7a), также не выявило различий.
Рис. 7. (a) – Сравнение уровня р105 в коре височной доли мозга у экспериментальных животных (ИГХ); (b) – Кора височной области крысы из группы WC. ИГХ с антителами к р105, х200; (c) - Кора области крысы из группы KM7+7. ИГХ с антителами к р105, х200. WC – контрольная группа крыс линии Вистар, KMC – контрольная группа крыс линии КМ, KM7+7 – экспериментальная группа крыс, с которыми производили киндлинг в течение 7 дней + 7 дней покоя, KM21+7 – экспериментальная группа крыс, с которыми производили киндлинг в течение 21 дня + 7 дней покоя.
ОБСУЖДЕНИЕ РЕЗУЛЬТАТОВ
Результаты, полученные нами с использованием аудиогенной модели эпилепсии: уменьшение продукции р53 в коре височной доли у KMC относительно WC и увеличение у группы КМ21+7 в сравнении с KMC – согласуются с данными, полученными на модели химически индуцированной эпилепсии. У крыс, которым вводили пентилентетразол, наблюдался повышенный уровень p53 в CA3 области гиппокампа на протяжении четырех недель, причем экспрессия p53 оставалась без изменений на протяжении эксперимента [31]. Не было показано повышения уровня p53 после 4 дней аудиогенного киндлинга на крысах КМ [4]. Можно предположить, что повышение активности p53-зависимого апоптозного пути происходит вследствие множественных судорожных припадков.
При исследовании биоптатов эпилептогенных тканей, полученных от пациентов при операции, показано, что экспрессия СLOCK в височной ткани снижена [22]. Было продемонстрировано снижение экспрессии CLOCK в эпилептогенной области человека и пониженный порог судорожной активности у мышей с нокаутом гена CLOCK [32], что косвенно подтверждает полученные нами результаты – снижение уровня CLOCK у положительного контроля в сравнении с отрицательным и повышение продукции у группы КМ21+7 в сравнении с КМ7+7. В каинатной модели эпилепсии уровни транскриптов CLOCK в гиппокампе также снижались в эпилептической фазе [20].
Окислительный стресс рассматривается как один из пусковых механизмов развития эпилепсии [33]. Мы изучали изменения антиоксидантного транскрипционного фактора – Nrf2 при индуцированном эндогенном эпилептогенезе у крыс КМ. В нашем исследований мы не нашли статистически значимых различий в продукции Nrf2 между опытными и контрольными группами. Подобные результаты демонстрируются в других работах: отсутствие изменений уровня Nrf2 через неделю после инциированного пентитетразолом эпилептического статуса [34] и на каинатной модели [27]. Значительное увеличение уровня Nrf2 наблюдается в начале эпилептического статуса в нейронах гиппокампа мышей, возможно, как клеточный ответ на действие стрессирующего фактора (киндлинг) [35]. На данный момент также активно исследуется нейропротекторное действие активаторов Nrf2 как потенциальных противоэпилептических препаратов.
Предполагается, что нейровоспаление принимает активное участие в эпилептогенезе [7]. Во время эпилептических судорожных припадков происходит повышение уровня цитокинов, хемокинов и других медиаторов воспаления в головном мозге [36]. Мы исследовали экспрессию субъединицы p105 в коре височной доли у крыс КМ при длительном аудиогенном киндлинге. По литературным данным, показано как про-, так и противовоспалительное действие данного белка. Так, содержание фосфорилированной субъединицы р105 в коре головного и белом веществе пациентов с эпилепсией было значительно выше по сравнению с контрольной группой [37]. Sun и соавторы (2002) показали повышение экспрессии Nf-kB в гиппокампе [21]. В наших экспериментах мы не обнаружили изменений экспрессии субъединицы p105 белка Nf-Kb, возможно, в развитии нейровоспаления при эпилептогенезе у крыс линии КМ играют роль другие медиаторы воспаления.
ЗАКЛЮЧЕНИЕ
Таким образом, нами было изучено влияние аудиогенного киндлинга длительностью 7 дней и 21 день на экспрессию p53, CLOCK, Nrf2 и субъединицы p105 белка Nf-Kb в коре височной доли мозга крыс линии Крушинского-Молодкиной. Повышенный уровень p53 у группы КМ21+7 в сравнении с контрольной группой той же линии, очевидно, свидетельствует об активации p53-зависимого апоптозного пути после 21 дня аудиогенного киндлинга. Повторяющиеся эпилептические припадки, возможно, способствуют смещению циркадных ритмов (увеличенный уровень экспрессии CLOCK у КМ21+7 относительно КМ7+7) и приводят к десинхронозу. Мы не обнаружили изменения количества Nrf2, участвующего в регуляции антиоксидантных процессов, как и субъединицы p105 транскррипционного фактора Nf-Kb, регулирующего воспаление.
Сниженный уровень экспрессии CLOCK и р53 в височной доле интактных крыс Крушинского-Молодкиной по сравнению с крысами линии Вистар может свидетельствовать о генетической предрасположенности животных к судорожным припадкам.
СОБЛЮДЕНИЕ ЭТИЧЕСКИХ СТАНДАРТОВ
Все процедуры с использованием животных проводились согласно этическим принципам, изложенным в Европейской конвенции по защите позвоночных животных (№ 123 01/01/1991), используемых для экспериментальных и других научных целей, и были одобрены этической комиссией Института эволюционной физиологии и биохимии им. И.М. Сеченова РАН.
ВКЛАДЫ АВТОРОВ
Идея работы и планирование эксперимента (Е.Д.Б., Е.В.Ч., А.З.Б., А.П.И.), сбор данных (Е.Д.Б., А.З.Б., А.П.И., Е.В.Ч., А.А.Н., Д.А.Л.), обработка данных (Е.Д.Б., А.З.Б., А.П.И., А.А.Н., Д.А.Л.), написание и редактирование манускрипта (Е.Д.Б., Е.В.Ч., А.З.Б., А.А.Н., Д.А.Л.).
ИСТОЧНИКИ ФИНАНСИРОВАНИЯ
Работа была выполнена в соответствии с тематическим планом прикладных научно-исследовательских работ по гос. заданию ФГБУ НКЦТ им. С.Н. Голикова ФМБА России и при поддержке гос. задания ИЭФБ РАН 075-00264-24-00.
КОНФЛИКТ ИНТЕРЕСОВ
Авторы заявляют об отсутствии явных и потенциальных конфликтов интересов, связанных с публикацией данной статьи.
БЛАГОДАРНОСТИ
Авторы благодарны Костиной Марине Игоревне за консультации по обработке экспериментальных данных.
About the authors
A. A. Nuzhnova
Peter the Great Saint Petersburg Polytechnic University
Email: bazhanovae@mail.ru
Russian Federation, Saint Petersburg
D. A. Lisenkova
Peter the Great Saint Petersburg Polytechnic University
Email: bazhanovae@mail.ru
Russian Federation, Saint Petersburg
A. Z. Bidzhiev
Pasteur Research Institute of Epidemiology and Microbiology
Email: bazhanovae@mail.ru
Russian Federation, Saint Petersburg
A. P. Ivlev
Sechenov Institute of Evolutionary Physiology and Biochemistry of the Russian Academy of Sciences
Email: bazhanovae@mail.ru
Russian Federation, Saint Petersburg
E. V. Chernigovskaya
Sechenov Institute of Evolutionary Physiology and Biochemistry of the Russian Academy of Sciences
Email: bazhanovae@mail.ru
Russian Federation, Saint Petersburg
E. D. Bazhanova
Sechenov Institute of Evolutionary Physiology and Biochemistry of the Russian Academy of Sciences; Golikov Research Center of Toxicology
Author for correspondence.
Email: bazhanovae@mail.ru
Russian Federation, Saint Petersburg; Saint Petersburg
References
- Sakashita K, Akiyama Y, Hirano T, Sasagawa A, Arihara M, Kuribara T, Ochi S, Enatsu R, Mikami T, Mikuni N (2023) Deep learning for the diagnosis of mesial temporal lobe epilepsy. PLoS One 18(2): e0282082. https://doi.org/10.1371/journal.pone.0282082
- Tran VD, Nguyen BT, Van Dong H, Nguyen TA, Nguyen PX, Van Vu H, Chu HT (2023) Microsurgery for drug resistance epilepsy due to temporal lobe lesions in a resource limited condition: a cross-sectional study. Annals of Medicine & Surgery 85(8):3852–3857. https://doi.org/10.1097/ms9.0000000000001021
- Ahmad S, Khanna R, Sani S (2020) Surgical Treatments of Epilepsy. Semin Neurol 40(6):696–707. https://doi.org/10.1055/s-0040-1719072
- Куликов АА, Наслузова ЕВ, Дорофеева НА, Глазова МВ, Лаврова ЕА, Черниговская ЕВ (2021) Пифитрин-альфа тормозит дифференцировку вновь образованных клеток субгранулярной зоны зубчатой извилины у крыс линии Крушинского–Молодкиной при аудиогенном киндлинге. Росс физиол журн им И М Сеченова 107:332–351. [Kulikov AA, Nasluzova EV, Dorofeeva NA, Glazova MV, Lavrova EA, Chernigovskaya EV (2021) Pifitrin-alpha inhibits the differentiation of newly formed cells of the subgranular zone of the dentate gyrus in the Krushinsky–Molodkina rat strain during audiogenic kindling. Ross Physiol J I M Sechenov 107:332–351. (In Russ)]. https://doi.org/10.31857/S0869813921030079
- Cho KO, Lybrand ZR, Ito N, Brulet R, Tafacory F, Zhang L, Good L, Ure K, Kernie SG, Birnbaum SG, Scharfman HE, Eisch AJ, Hsieh J (2015) Aberrant hippocampal neurogenesis contributes to epilepsy and associated cognitive decline. Nat Commun 6: 6606. https://doi.org/10.1038/ncomms7606
- Litovchenko AV, Zabrodskaya YuM, Sitovskaya DA, Khuzhakhmetova LK, Nezdorovina VG, Bazhanova ED (2021) Markers of Neuroinflammation and Apoptosis in the Temporal Lobe of Patients with Drug-Resistant Epilepsy. J Evol Biochem Physiol 57: 1040–1049. https://doi.org/10.1134/s0022093021050069
- Vezzani A, Balosso S, Ravizza T (2019) Neuroinflammatory pathways as treatment targets and biomarkers in epilepsy. Nat Rev Neurol 15 (8):459–472. https/doi.org/10.1038/s41582-019-0217-x.
- Feng J, Feng L, Zhang G (2018) Mitochondrial damage in hippocampal neurons of rats with epileptic protein expression of fas and caspase-3. Exp Ther Med 16(3): 2483–2489. https://doi.org/10.3892/etm.2018.6439
- Rana A, Musto AE (2018) The role of inflammation in the development of epilepsy. J Neuroinflammation 15
- Sokolova TV, Zabrodskaya YM, Paramonova NM, Dobrogorskaya LN, Kuralbaev AK, Kasumov VR, Sitovskaya DА (2018) Apoptosis of Brain Cells in Epileptic Focus at Phapmacresistant Temporal Lobe Epilepsy. Translational Medicine 4:22–33. https://doi.org/10.18705/2311-4495-2017-4-6-22-33
- Sokolova T V., Zabrodskaya YM, Litovchenko A V., Paramonova NM, Kasumov VR, Kravtsova S.V., Skiteva EN, Sitovskaya DA, Bazhanova ED (2022) Relationship between Neuroglial Apoptosis and Neuroinflammation in the Epileptic Focus of the Brain and in the Blood of Patients with Drug-Resistant Epilepsy. Int J Mol Sci 23:12561. https://doi.org/10.3390/ijms232012561
- Dingledine R, Varvel NH, Dudek FE (2014) When and How Do Seizures Kill Neurons, and Is Cell Death Relevant to Epileptogenesis? Adv Exp Med Biol. 813: 109–122. https/doi.org/10.1007/978-94-017-8914-1_9 13
- Mao XY, Zhou HH, Jin WL (2019) Redox-related neuronal death and crosstalk as drug targets: Focus on epilepsy. Front Neurosci 13:512. https/doi.org/10.3389/fnins.2019.00512
- Redza-Dutordoir M, Averill-Bates DA (2016) Activation of apoptosis signalling pathways by reactive oxygen species. Biochim Biophys Acta Mol Cell Res 1863 (12):2977–2992. https/doi.org/10.1016/j.bbamcr.2016.09.012
- Smyk MK, van Luijtelaar G (2020) Circadian Rhythms and Epilepsy: A Suitable Case for Absence Epilepsy. Front Neurol Apr 28:11:245. https/doi.org/10.3389/fneur.2020.00245
- Xu C, Yu J, Ruan Y, Wang Y, Chen Z (2020) Decoding Circadian Rhythm and Epileptic Activities: Clues From Animal Studies. Front Neurol 11:751. https/doi.org/10.3389/fneur.2020.00751
- Bazhanova ED (2022) Desynchronosis: Types, Main Mechanisms, Role in the Pathogenesis of Epilepsy and Other Diseases: A Literature Review. Life 12(8):1218. https/doi.org/10.3390/life12081218
- Cox KH, Takahashi JS (2019) Circadian clock genes and the transcriptional architecture of the clock mechanism. J Mol Endocrinol 63(4): R93-R102. https://doi.org/10.1530/JME-19-0153
- Jin B, Aung T, Geng Y, Wang S (2020) Epilepsy and Its Interaction With Sleep and Circadian Rhythm. Front Neurol 11:327. https/doi.org/10.3389/fneur.2020.00327
- Matos H de C, Koike BDV, Pereira W dos S, de Andrade TG, Castro OW, Duzzioni M, Kodali M, Leite JP, Shetty AK, Gitaí DLG (2018) Rhythms of core clock genes and spontaneous locomotor activity in post-status Epilepticus model of mesial temporal lobe epilepsy. Front Neurol 9: 632. https://doi.org/10.3389/fneur.2018.00632
- Wu H, Liu Y, Liu L, Meng Q, Du C, Li K, Dong S, Zhang Y, Li H, Zhang H (2021) Decreased expression of the clock gene Bmal1 is involved in the pathogenesis of temporal lobe epilepsy. Mol Brain 14(1): 113. https://doi.org/10.1186/s13041-021-00824-4
- Li P, Fu X, Smith NA, Ziobro J, Curiel J, Tenga MJ, Martin B, Freedman S, Cea-Del Rio CA, Oboti L, Tsuchida TN, Oluigbo C, Yaun A, Magge SN, O’Neill B, Kao A, Zelleke TG, Depositario-Cabacar DT, Ghimbovschi S, Knoblach S, Ho CY, Corbin JG, Goodkin HP, Vicini S, Huntsman MM, Gaillard WD, Valdez G, Liu JS (2017) Loss of CLOCK Results in Dysfunction of Brain Circuits Underlying Focal Epilepsy. Neuron 96: (2): 387–401. https://doi.org/10.1016/j.neuron.2017.09.044
- Gotoh T, Vila-Caballer M, Santos CS, Liu J, Yang J, Finkielstein CV (2014) The circadian factor Period 2 modulates p53 stability and transcriptional activity in unstressed cells. Mol Biol Cell 25(19): 3081–3093. https://doi.org/10.1091/mbc.E14-05-0993
- Burla R, Torre ML, Zanetti G, Bastianelli A, Merigliano C, Del Giudice S, Vercelli A, Di Cunto F, Boido M, Vernì F, Saggoi I (2018) p53-Sensitive Epileptic Behavior and Inflammation in Ft1 Hypomorphic Mice. Front Genet. 9:581. https/doi.org/10.3389/fgene.2018.00581
- Gönenç A, Kara H (2023). Netrin-1 ve Reseptörlerinin Çeşitli Kanserlerdeki Rolü. Hacettepe Univ J Facult Pharm 43(4): 352–363. https://doi.org/10.52794/hujpharm.1327025
- Chen W, Jiang T, Wang H, Tao S, Lau A, Fang D, Zhang DD (2012) Does Nrf2 contribute to p53-mediated control of cell survival and death? Antioxid Redox Signal 17(12):1670–1675. https/doi.org/10.1089/ars.2012.4674
- Sandouka S, Saadi A, Singh PK, Olowe R, Shekh-Ahmad T (2023) Nrf2 is predominantly expressed in hippocampal neurons in a rat model of temporal lobe epilepsy. Cell Biosci 13: 3. https://doi.org/10.1186/s13578-022-00951-y
- Sandouka S, Shekh-Ahmad T (2021) Induction of the nrf2 pathway by sulforaphane is neuroprotective in a rat temporal lobe epilepsy model. Antioxidants 10(11): 1702. https://doi.org/10.3390/antiox10111702
- Ding DX, Tian FF, Guo JL, Li K, He JX, Song MY, Li L, Huang X (2014) Dynamic expression patterns of ATF3 and p53 in the hippocampus of a pentylenetetrazole-induced kindling model. Mol Med Rep 10(2): 645–651. https://doi.org/10.3892/mmr.2014.2256
- Kulikov AA, Naumova AA, Aleksandrova EP, Glazova MV, Chernigovskaya (2021) Audiogenic kindling stimulates aberrant neurogenesis, synaptopodin expression, and mossy fiber sprouting in the hippocampus of rats genetically prone to audiogenic seizures. Epilepsy & Behavior 10: https://doi.org/10.1016/j.yebeh.2021.108445
- Paxinos G, Watson C (1998). The rat brain in stereotaxic coordinates. Academic Press, 240.
- Re CJ, Batterman AI, Gerstner JR, Buono RJ, Ferraro TN (2020) The Molecular Genetic Interaction Between Circadian Rhythms and Susceptibility to Seizures and Epilepsy. Front Neurol 11.
- Borowicz-Reutt KK, Czuczwar SJ (2020) Role of oxidative stress in epileptogenesis and potential implications for therapy. Pharmacological Reports 72(5):1218–1226. https/doi.org/10.1007/s43440-020-00143-w
- Sandouka S, Saadi A, Olowe R, Singh PK, Shekh-Ahmad T (2023) Nrf2 is expressed more extensively in neurons than in astrocytes following an acute epileptic seizure in rats. J Neurochem 165(4): 550–562. https://doi.org/10.1111/jnc.15786
- Mazzuferi M, Kumar G, Van Eyll J, Danis B, Foerch P, Kaminski RM (2013) Nrf2 defense pathway: Experimental evidence for its protective role in epilepsy. Ann Neurol 74(4): 560–568. https://doi.org/10.1002/ana.23940
- Bazhanova ED, Kozlov AA, Litovchenko AV (2021) Mechanisms of Drug Resistance in the Pathogenesis of Epilepsy: Role of Neuroinflammation. A Literature Review. Brain Sci 11:663. https://doi.org/10.3390/brainsci11050663
- Sun Z, Andersson R (2002) NF-κB activation and inhibition: A review. Shock 18(2):99–106. https/doi.org/10.1097/00024382-200208000-00001
Supplementary files









