11C–methionine PET/CT in meningiomas
- Authors: Galkin M.V.1, Vikhrova N.B.1, Golanov A.V.1, Danilov G.V.1, Strunina Y.V.1
-
Affiliations:
- Burdenko National Medical Research Center of Neurosurgery, Ministry of Healthcare of Russia
- Issue: Vol 74, No 1 (2024)
- Pages: 60-68
- Section: КЛИНИЧЕСКИЕ ИССЛЕДОВАНИЯ
- URL: https://medbiosci.ru/0044-4677/article/view/259299
- DOI: https://doi.org/10.31857/S0044467724010062
- ID: 259299
Cite item
Full Text
Abstract
Currently, positron emission tomography (PET) is the standard imaging modality in neuro-oncology for gliomas and metastatic lesions. The experience of PET application in meningiomas, the most frequent primary CNS neoplasms, is much less, and the interpretation of the study results has a number of differences. The aim of the study was to evaluate the possibility and peculiarities of PET application in meningiomas based on our own clinical experience and literature review.
The study included 70 patients with 77 meningiomas who underwent PET/CT with 11C-methionine. The mean age at the time of examination was 57.4 years (19–86 years).
The main evaluation parameter, the tumor-to-brain ratio (TBR) of 11C-methionine (11C–MET) averaged 3.13 (1.00–10.66). Meningiomas were characterized by high 11C–MET TBR, with 89.6% of cases having TBR greater than 1.5. In histologically verified WHO grade 1, 2, and 3 meningiomas, the median TBR was 4.06 [3.04, 4.57], 2.32 [2.12, 3.69], and 4.29 [2.60, 5.10] and did not differ significantly between groups. Meanwhile, in histologically unresectable slow-growing or non-growing incidental meningiomas, TBR of 11C–MET was significantly lower than in WHO grade 1 and 3 meningiomas.
There was no significant difference in the accumulation index between irradiated meningiomas with tumor growth control (3.81 [2.97, 3.98]) and recurrence (3.62 [2.60, 4.30]). When irradiated and non-irradiated meningiomas of WHO grade 1, 2 and 3, as well as the combined group of grade 1–3 tumors were compared, no significant differences in 11C–MET TBR were found.
The use of PET/CT in meningiomas has a number of important features. Meningiomas are characterized by high TBR of 11C–MET. According to our data PET/CT with 11C–MET does not allow differentiating between meningiomas of different degrees of malignancy – 1, 2 or 3 according to WHO. With effective radiotherapy, meningiomas show partial reduction of TBR or remain stable. Even with prolonged growth control after radiation treatment, meningiomas may still have high TBR of 11C–MET. When comparing growing and stable meningiomas, irradiated and non-irradiated tumors, no significant differences in TBR of 11C–MET are found.
Full Text
ВВЕДЕНИЕ
Позитронно-эмиссионная томография, совмещенная с компьютерной томографией (ПЭТ/КТ), – современный стандарт обследования нейроонкологических пациентов в целом ряде клинических ситуаций (Verger et al., 2022). ПЭТ/КТ является молекулярным методом визуализации, в отличие от привычных структурных методов компьютерной и магнитно-резонансной томографии (КТ и МРТ). ПЭТ/КТ с аминокислотами, к которым относятся 11С-метионин (11С–МЕТ) и 18F-фтортирозин (18F-ФЭТ), на современном этапе рутинно применяется в диагностике глиальных новообразований головного мозга. Эти радиофармпрепараты (РФП) используются для оценки первичной распространенности и определения степени злокачественности опухолей (Verger et al., 2022). В дальнейшем в процессе лечения ПЭТ/КТ позволяет дифференцировать постлучевые изменения от продолженного роста, оценивать ответ опухоли на проводимое лечение, определять метаболически активный объем для оконтуривания мишени лучевого воздействия. Кроме того, на все те же вопросы ПЭТ/КТ может ответить и при метастатическом поражении ЦНС, позволяя получить уникальную клиническую информацию, не всегда доступную при стандартных анатомических методах визуализации.
Такие возможности метода определяют желание применения ПЭТ/КТ при других нозологических формах, в частности при менингиомах, которые являются самыми частыми первичными интракраниальными опухолями ЦНС и активно лечатся хирургическим и лучевым методами (Rogers et al., 2015). При лечении менингиом также регулярно возникают вопросы, которые потенциально могут быть разрешены с применением ПЭТ/КТ, – неинвазивная оценка злокачественности, уточнение распространенности процесса, различие лечебных и опухолевых изменений, подтверждение продолженного роста и др.
Однако применение ПЭТ/КТ с аминокислотами при менингиомах имеет свои нюансы и демонстрирует результаты, отличные от того, что является рутиной в диагностике глиальных образований. В силу особенностей тканевого строения менингиом, независимо от степени злокачественности опухоли, отмечается крайне высокая степень васкуляризации и повышенный уровень потребления аминокислот и жирных кислот. Это объясняет значительную интенсивность включения в них таких РФП, как 11С–МЕТ и 18F-ФЭТ, и, как следствие, высокое отношение опухоль / фон, обозначаемое в литературе как индекс накопления (ИН). Высокий ИН наблюдается одинаково и в злокачественных, и в обычных доброкачественных менингиомах (Slot et al., 2021).
Высокий уровень соматостатиновых рецепторов подтипа 2 (SSTR2) обуславливает высокую чувствительность ткани менингиом к другим, более специфичным для них РФП, на основе лигандов рецепторов к соматостатину, меченных изотопом галлия-68 (68Ga-DOTATOC,68Ga-DOTATATE и 68Ga-DOTANOC) (Filippi et al., 2022). Среди основных первичных интракраниальных опухолей эти рецепторы встречаются исключительно в менингиомах.
МЕТОДИКА
В исследование были включены 70 пациентов с 77 интракраниальными менингиомами, которым была выполнена ПЭТ/КТ с 11С-метионином. Средний возраст на момент обследования составил 58.2 года (19.7–86.3 лет). Соотношение мужчин и женщин составило 1 к 4.
В 21 случае ПЭТ/КТ была выполнена на ранних этапах обследования в рамках постановки диагноза до проведения хирургического или лучевого лечения. У 14 пациентов исследование было назначено для помощи в дифференцировке между лучевой реакцией и продолженным ростом опухоли. В 35 случаях ПЭТ/КТ исходно выполнялась по поводу другой опухоли (глиомы – 29, лимфомы – 3, метастатическое поражение – 3), а менингиома являлась сопутствующим заболеванием.
Все ПЭТ/КТ-исследования были выполнены в период с 2011 по 2023 г. Основная масса исследований (82.5%) была выполнена в условиях НМИЦ нейрохирургии им. академика Н. Н. Бурденко.
Из 77 менингиом 28 были верифицированы гистологически. Из них 16 опухолей имели 1-ю степень злокачественности по шкале ВОЗ, 7–2-ю степень и 5–3-ю степень. 49 менингиом не были верифицированы, эти опухоли были, как правило, случайной находкой и характеризовались медленным ростом или его отсутствием, по данным МРТ, на протяжении нескольких месяцев (6 месяцев и более). По клинико-рентгенологическим данным (небольшие размеры, четкие контуры, округлая форма, отсутствие отека) эти опухоли можно было отнести к степени 1 по шкале ВОЗ. В литературе такие опухоли иногда обозначают как степень 0, что и было использовано в данной работе (Kaul et al., 2014).
По расположению опухоли распределились следующим образом: 26 (33.8%) – конвекситально, 16 (20.8%) – в средней черепной ямке, по 11 (14.3%) – парасагиттально и в задней черепной ямке, 8 (10.4%) – в передней черепной ямке, по 2 (2.6%) – в области намета и фалькса, 1 (1.3%) – в области бокового желудочка.
Предшествующее лучевое лечение проводилось в отношении 17 опухолей (22.1%). Соответственно, 60 (77.9%) опухолей ранее не облучались.
На момент проведения ПЭТ/КТ 22 опухоли характеризовались явным ростом на протяжении последних месяцев, по данным МРТ. и появлением или нарастанием клинических проявлений. Девять из этих образований ранее были облучены. «Псевдопрогрессия», которая означает временное увеличение опухоли после проведенного лучевого лечения, у этих пациентов была исключена выполнением нескольких снимков в динамике.
47 необлученных опухолей на момент ПЭТ/КТ характеризовались медленным ростом (минимальные или недостоверные изменения размеров на протяжении 1–3 лет наблюдения) или стабилизацией. Восемь очагов были стабильны или уменьшались после проведенного ранее лучевого лечения. Динамика или ее отсутствие подтверждались на основании серии МРТ в течение 6 месяцев и более.
Статистический анализ данных был проведен с помощью языка статистического программирования и среды R (версия 3.6.1) в IDE RStudio (версия 1.3.1093). Распределение непрерывных и дискретных количественных переменных в выборке представлено как среднее арифметическое и стандартное отклонение (M ± SD) для нормально распределенных случайных величин, медиана и квартили (Me [Q1; Q3]) –для величин, распределение которых отличается от нормального. Категориальные показатели представлены как абсолютное число и процентное соотношение (n (%)). Соответствие выборки нормальному распределению определялось с помощью теста Шапиро – Уилка. Нулевую гипотезу в статистических тестах отклоняли при уровне значимости p < 0.05.
РЕЗУЛЬТАТЫ ИССЛЕДОВАНИЙ
Основной параметр оценки – индекс накопления РФП в опухоли – составил в среднем 3.13 (1.00–10.66). Основная масса менингиом характеризовалась высоким ИН11С–МЕТ. В 89.6% случаев ИН превышал 1.50, в 70.1% случаев – 2.00 и более и только в одном был равен 1.00.
Медиана индекса накопления11С–МЕТ в менингиомах степеней 0, 1, 2 и 3 составила 2.24 [1.68; 2.99], 4.06 [3.04; 4.57], 2.32 [2.12; 3.69] и 4.29 [2.60; 5.10] соответственно. Отметим, что даже гистологически верифицированные доброкачественные менингиомы 1-й степени по классификации ВОЗ часто демонстрировали высокий ИН РФП (рис. 1). При попарном сравнении было выявлено, что ИН РФП в менингиомах степени 0 достоверно меньше, чем в менингиомах 1-й степени (p < 0.001) и в менингиомах 3-й степени (p = 0.032). ИН в гистологически верифицированных менингиомах 1, 2 и 3-й степеней злокачественности по шкале ВОЗ достоверно не отличался. Сопоставление ИН 11С–МЕТ в менингиомах 1-й степени (4.06 [3.04; 4.57]) и менингиомах 0 и 1-й степеней (2.63 [1.81; 3.82]) с менингиомами 2 и 3-й степеней (3.11 [2.28; 4.49]) не выявило статистически значимого отличия. Результаты сопоставления не изменились после исключения из групп сопоставления опухолей, которые ранее подверглись лучевому лечению.
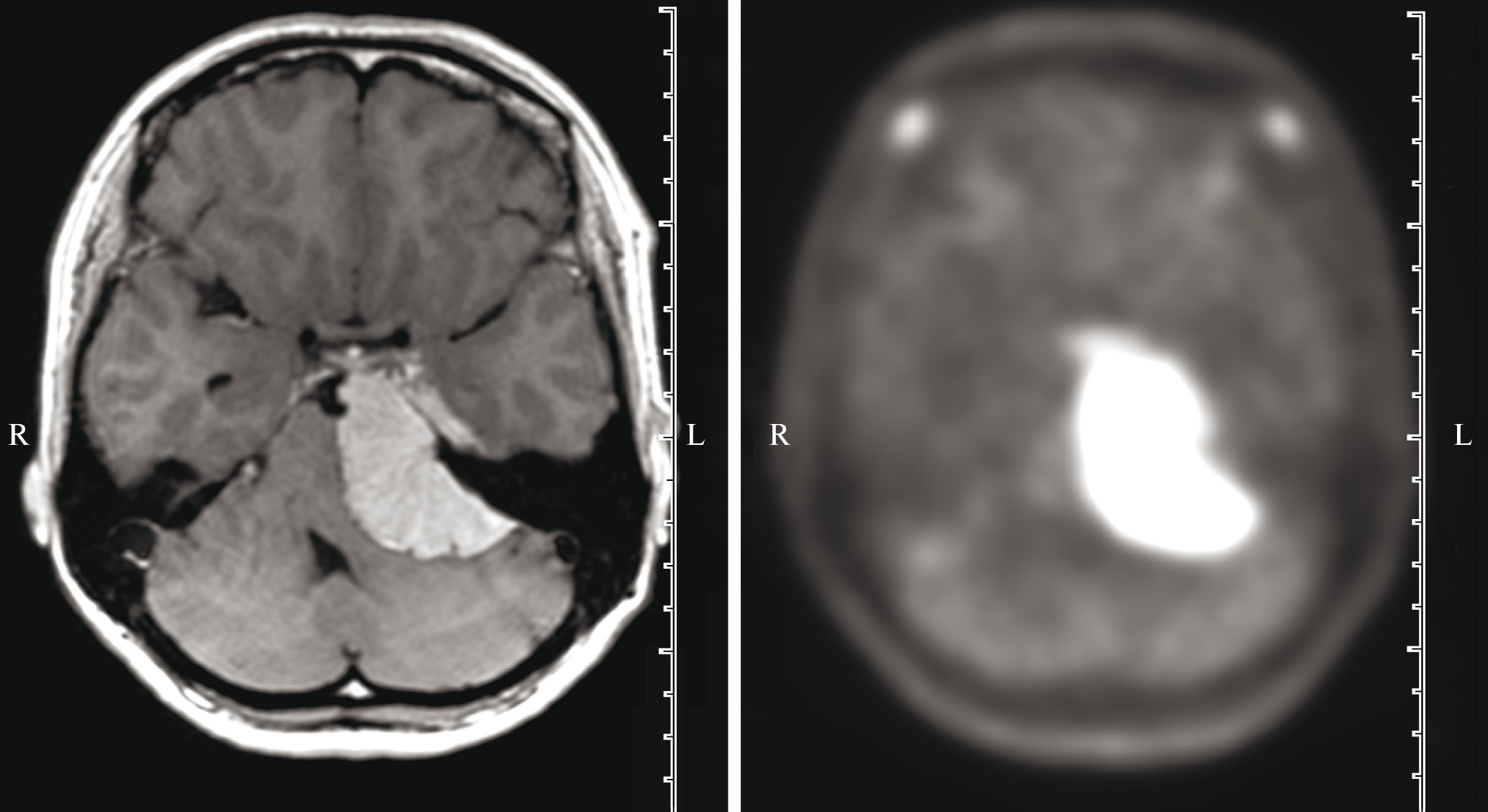
Рис. 1. Петрокливальная менингиома степени 1 по классификации ВОЗ на МРТ (слева) и ПЭТ/КТ с 11С-метионином (справа). При ПЭТ/КТ определяется высокий уровень накопления РФП – 5.5.
Fig. 1. WHO grade 1 petroclival meningioma on MRI (left) and PET/CT with 11C-methionine (right). PET/CT shows a high tumor-to-brain ratio of 5.5.
Было выполнено сопоставление ИН 11С–МЕТ в 3 группах: активно растущих клинически значимых менингиомах, стабильных после облучения менингиомах и бессимптомных медленно растущих или нерастущих менингиомах. ИН11С–МЕТ в группе бессимптомных медленно растущих или нерастущих менингиом был достоверно ниже (2.24 [1.70; 2.95]), чем в группе активно растущих опухолей (4.00 [2.39; 5.11]) (p < 0.001) и в группе менингиом, не растущих после лучевого лечения (3.81 [2.97; 3.98]) (p = 0.018). При этом группы клинически значимых менингиом с активным ростом и облученных нерастущих менингиом между собой достоверно не отличались по ИН. Медиана ИН составила 4.00 [2.39; 5.11] и 3.81 [2.97; 3.98] соответственно. Такие же результаты сопоставления групп оставались при исключении из сопоставления злокачественных менингиом степеней 2 и 3.
Не было выявлено достоверного различия в ИН между облученными менингиомами с контролем роста опухоли (3.81 [2.97; 3.98]) и рецидивирующими (3.62 [2.60; 4.30]). Также не было выявлено различий в ИН между группами облученных менингиом степеней 0 и 1 при сопоставлении растущих (4.00 [3.34; 4.31]) и нерастущих (3.86 [2.70; 4.06]).
Проводилось сопоставление ИН 11С–МЕТ в облученных и необлученных менингиомах. При этом из анализа были исключены менингиомы степени 0, так как, согласно ранее представленным данным, эти опухоли имели достоверно более низкий ИН и, как правило, являлись случайной находкой, в основном находились под динамическим наблюдением. При сопоставлении облученных и необлученных менингиом степеней 1, 2, 3 и объединенной группы опухолей 1–3-й степеней достоверных отличий выявлено не было. Медиана ИН в облученных менингиомах степеней 1, 2, 3 и 1–3 составила 3.81 [3.00; 4.23], 3.62 [2.97, 3.69], 2.60 [2.60; 3.85] и 3.66 [2.60; 4.13] соответственно, а в необлученных – 4.75 [3.10; 5.99], 2.12 [2.03; 2.95], 6.19 [5.24; 7.14] и 4.34 [2.21; 5.50] соответственно.
ОБСУЖДЕНИЕ РЕЗУЛЬТАТОВ
По данным литературы, ПЭТ/КТ при менингиомах в основном выполняется с несколькими радиофармпрепаратами.
Самым частым трассером для ПЭТ-визуализации в онкологии является 18F-фтордезоксиглюкоза (18F-ФДГ), но из-за высокого физиологического включения в коре головного мозга в нейровизуализации применяется нечасто. А при менингиомах, которые в большинстве своем являются доброкачественными медленнорастущими опухолями с низким энергетическим метаболизмом, применяется еще реже из-за низкой контрастности изображений (Slot et al., 2021; Hua et al., 2019; Lee et al., 2009).
С учетом того, что в менингиомах практически в 100% случаев фиксируется повышенная экспрессия рецепторов к соматостатину и эти рецепторы крайне специфичны для менингиом, в последние годы для ПЭТ/КТ активно применяются следующие лиганды: 68Ga-DOTATOC, 68Ga-DOTATATE и 68Ga-DOTANOC (Filippi et al., 2022). Эти РФП обеспечивают высокие чувствительность и контрастность ввиду отсутствия накопления в окружающих менингиому тканях (за исключением гипофиза, который демонстрирует высокое физиологическое накопление) и могут также использоваться для проведения дифференциального диагноза (Kowalski et al., 2021; Filippi et al., 2022). Тем не менее данные ПЭТ/КТ должны оцениваться в совокупности с другими исследованиями, так как экспрессия рецепторов к соматостатину и выявление активности при специфической ПЭТ/КТ иногда может также быть выявлено в метастазах (например, рака молочной железы и др.), очагах гранулематозного воспаления, аденомах и аденокарциномах гипофиза, глиомах, эстезионейробластомах, фиброзной дисплазии (Afshar-Oromieh et al., 2012; Palmisciano et al., 2022). Повышенное накопление аминокислот или их аналогов, таких как 11С–МЕТ и 18F-ФЭТ, отмечается уже в медленно растущих доброкачественных опухолях глиального ряда (Astner et al., 2008). ПЭТ/КТ с аминокислотами имеет высокую контрастность относительно фона, по сравнению с 18F-ФДГ (Mitamura et al., 2018; Arita et al., 2012). На данный момент для оценки менингиом на ПЭТ/КТ в основном применяются РФП на основе лигандов рецепторов к соматостатину и аминокислот (11С–МЕТ и 18F-ФЭТ), при этом последние имеют значительно большую распространенность.
Перед ПЭТ/КТ при менингиомах обычно ставится несколько задач, и представленные РФП имеют различный потенциал и возможности для их выполнения. При ПЭТ/КТ с лигандами соматостатиновых рецепторов, а также с аминокислотами менингиомы имеют высокую контрастность относительно окружающих тканей (Filippi et al., 2022; Mitamura et al., 2018). Это может быть более информативным, по сравнению с МРТ и КТ в выявлении менингиом (Rachinger et al., 2015; Kowalski et al., 2021).
В работе Afshar-Oromieh и соавт. при обследовании 134 пациентов были выявлены 190 менингиом с помощью 68Ga-DOTATOC ПЭТ/КТ и только 171 менингиома – при помощи МРТ с контрастированием (Afshar-Oromieh et al., 2012). Авторы заключили, что ПЭТ/КТ с 68Ga-DOTATOC демонстрирует более высокую чувствительность, по сравнению с МРТ, особенно в отношении образований фалькса, основания черепа, а также опухолей, скрытых кальцинацией и артефактами.
Актуальное направление применения ПЭТ/КТ при менингиомах – это определение мишени для проведения лучевой терапии, так как стандартные методы визуализации (КТ и МРТ) имеют ограничения в оценке распространенности опухолей в области синусов, основания черепа и орбиты.
В работе Grosu и соавт. расхождение объемов менингиом в 3 из 10 случаев составило более 20% при оконтуривании разными специалистами (Grosu et al., 2006). Использование ПЭТ/КТ с 11С–МЕТ уменьшило вариабельность определения мишени и ускорило процесс. После добавления ПЭТ корреляция между объемами увеличилась с 0.855 до 0.988. В работе Astner и соавт. использование ПЭТ с 11С–МЕТ при определении мишени позволило в большей части случаев (29 из 32) добавить небольшие фрагменты опухоли (1.6 ± 1.7 см3), которые были не видны на МРТ и КТ (Astner et al., 2008). В среднем это увеличение составило 9.4% ± 10.7% объема.
Kessel и соавт. оценивали влияние ПЭТ/КТ на результаты лучевого лечения менингиом (Kessel et al., 2020). В исследование были включены 332 пациента с 339 менингиомами. В 203 случаях при планировании лучевого лечения использовалась ПЭТ/КТ (68Ga-DOTA (104), 18F-FET(26), 11C–MET(73)). При медиане периода наблюдения 5.6 лет было показано достоверное увеличение общей и безрецидивной выживаемости пациентов с доброкачественными менингиомами при добавлении ПЭТ/КТ к процессу планирования. Такого влияния не было выявлено у пациентов со злокачественными менингиомами.
Подобные данные об информативности ПЭТ/КТ были получены и в исследованиях с лигандами рецепторов соматостатина (Perlow et al., 2022; Kriwanek et al., 2022; Kowalski et al., 2021; Acker et al., 2019). В подобных исследованиях с 68Ga-DOTATATE была показана способность ПЭТ исключать из объема облучения послеоперационные и постлучевые изменения (Rachinger et al., 2015; Ivanidze et al., 2019).
В данном исследовании только одна менингиома имела ИН 1.00 и не выделялась на фоне вещества мозга. Большая часть менингиом имела высокий ИН 11С–МЕТ, что выделяло опухоли на фоне окружающих тканей. В 89.6% случаев ИН превышал 1.50, в 70.1% случаев составил 2.00 и более. Это позволяет использовать ПЭТ/КТ с 11С–МЕТ как для детекции менингиом, так и для точного определения контуров мишени при проведении лучевой терапии.
Большое значение ПЭТ/КТ в нейроонкологии имеет для неинвазивного определения степени злокачественности глиальной опухоли. По аналогии были предприняты попытки применения ПЭТ/КТ для неинвазивного определения этого параметра в менингиомах.
Основная масса исследований возможностей ПЭТ/КТ с 18F-ФДГ демонстрирует способность методики различать доброкачественные (степень 1 по шкале ВОЗ) и злокачественные менингиомы (степени 2–3 по шкале ВОЗ). По разным данным, пороговый ИН в этом случае составляет 1–1.3 (Lee et al., 2009; Cremerius et al., 1997; Hua et al., 2019). В то же время исследования с 11С–МЕТ и 68Ga-DOTATATE говорят о неспособности метода различать доброкачественные и злокачественные менингиомы, как это традиционно делается для различения диффузных глиальных опухолей (Arita et al., 2012; Rachinger et al., 2015).
В 2021 г. Slot и соавт. представили систематический обзор и метаанализ по оценке степени злокачественности менингиом при помощи ПЭТ/КТ (Slot et al., 2021). Работа включила 22 исследования 432 пациентов, основная масса которых была выполнена с 18F-ФДГ. Объединенные данные показали, что средний ИН 18F-ФДГ в менингиомах степеней 2–3 был на 0.42 (0.12–0.73) больше, чем в менингиомах степени 1, средний SUV 18F-ФДГ – на 2.51 (1.36–3.66). Авторы также пересчитали данные по 18F-ФЭТ, 11С–МЕТ и другим РФП и не выявили для них зависимости от степени злокачественности опухоли, отметив малое количество подобных исследований.
В нашем исследовании не было получено достоверного отличия в ИН11С–МЕТ между гистологически верифицированными менингиомами 1, 2 и 3-й степеней, медиана составила 4.06 [3.04; 4.57], 2.32 [2.12; 3.69] и 4.29 [2.60; 5.10] соответственно. Следует отметить высокий уровень накопления в менингиомах 1-й степени злокачественности по классификации ВОЗ, что демонстрирует неспособность ПЭТ с 11С–МЕТ адекватно оценивать степень злокачественности этих опухолей. При этом достоверно более низкий ИН был получен в группе менингиом степени 0, которую составляли небольшие нерастущие или медленно растущие гистологически неверифицированные менингиомы, часто выявленные случайным образом. Видимо, такие опухоли имеют более низкий метаболизм аминокислот в отличие от менингиом 1–3-й степеней, которые своим ростом вызывали клинические проявления, требуя в итоге хирургического лечения. Эта группа менингиом степени 0 фактически представляла собой группу «бессимптомных медленно растущих или нерастущих менингиом», в которой ИН 11С–МЕТ был достоверно ниже (2.24 [1.70; 2.95]), чем в группе «активно растущих клинически значимых менингиом» (4.00 [2.39; 5.11]) и группе «стабильных после облучения менингиом» (3.81 [2.97; 3.98]). Полученные данные могут свидетельствовать о метаболической и, вероятно, клинической гетерогенности доброкачественных менингиом, что требует дополнительного исследования.
Большое количество исследований посвящено оценке ответа менингиом на проведенное лучевое лечение. При МРТ-исследовании размеры менингиом могут оставаться без динамики после облучения, а иногда могут демонстрировать признаки «псевдопрогрессии». Применение ПЭТ/КТ может дать дополнительную клиническую информацию в таких случаях (Jung et al., 2022).
В исследовании Jeltema и соавт. проводилось сопоставление данных ПЭТ/КТ с 11С–МЕТ, выполненных перед лучевой терапией, и в катамнезе (медиана – 84 месяцев) у 20 пациентов с менингиомами (Jeltema et al., 2021). Исследователи отметили высокий уровень накопления РФП в менингиомах, которые не прогрессировали, по данным МРТ. ИН находился в диапазоне 2.16–3.17. При этом среди большого количества параметров после облучения было отмечено только достоверное уменьшение медианы пикового ИН с 2.57 до 2.20.
Gudjonsson и соавт. оценивали динамику ПЭТ/КТ с 11С–МЕТ в течение 36 месяцев после протонного облучения менингиом у 19 пациентов (Gudjonsson et al., 2000). В 15 случаях была гистологически подтверждена менингиома 1-й степени по шкале ВОЗ. ИН составил 1.35–5.1 до лучевого лечения и 1.13–4.62 – через 36 месяцев. Среднее уменьшение ИН составило 0.71. В 15 из 19 случаев было отмечено уменьшение ИН в динамике, а в 4 случаях – нарастание без явной прогрессии опухоли, по данным МРТ. В работе Ryttlefors и соавт. было продолжено наблюдение до 10 лет за этой группой пациентов с выполнением новой ПЭТ/КТ с 11С–МЕТ (Ryttlefors et al., 2016). У 2 пациентов за этот период был выявлен продолженный рост, которому предшествовало нарастание ИН 11С–МЕТ за 2 и 3 года до прогрессии опухоли по МРТ.
Подобные же результаты получены в небольших сериях с использованием лигандов рецепторов соматостатина: у большей части пациентов отмечено некоторое снижение активности, у меньшей части – стабилизация или нарастание показателей при контроле роста опухоли, по данным МРТ (Lütgendorf-Caucig et al., 2023; Kowalski et al., 2021). При этом сопоставление SUV 68Ga-DOTATATE в облученных и необлученных менингиомах не выявило статистически значимых отличий (Campos Neto et al., 2022).
В нашей работе также не удалось получить достоверного отличия в ИН11С–МЕТ между облученными и необлученными менингиомами. Так, ИН в активно растущих клинически значимых менингиомах (4.00 [2.39; 5.11]) не отличался от ИН в стабильных облученных менингиомах (3.81 [2.97; 3.98]). Не было выявлено различий по уровню активности 11С–МЕТ в облученных менингиомах с контролем роста опухоли (медиана ИН = 3.81 [2.97; 3.98]) и с рецидивом (медиана ИН=3.62 [2.60; 4.30]). При сопоставлении облученных и необлученных менингиом степеней 1, 2, 3 и объединенной группы опухолей 1–3-й степеней достоверных отличий в ИН 11С–МЕТ также не обнаружено.
Таким образом, однократно проведенное ПЭТ/КТ-исследование с различными РФП не позволяет сделать выводы об эффективности лучевой терапии и подтвердить рецидив, однако проведение ПЭТ/КТ в динамике с наблюдением уровня метаболизма РФП может быть целесообразно для решения поставленных задач.
ЗАКЛЮЧЕНИЕ
Использование ПЭТ/КТ при менингиомах имеет ряд особенностей, при этом прямое экстраполирование опыта диагностики глиальных новообразований на ПЭТ/КТ может привести к диагностическим ошибкам.
Основные используемые на сегодняшний день РФП – это группа аминокислот (18F-ФЭТ и 11С–МЕТ) и лиганды рецепторов соматостатина – имеют схожие диагностические возможности (68Ga-DOTATOC, 68Ga-DOTATATE и 68Ga-DOTANOC). ПЭТ/КТ с этими РФП демонстрирует высокий уровень метаболической и рецепторной активности в менингиомах различных степеней злокачественности, что, с одной стороны, не позволяет дифференцировать злокачественные опухоли от доброкачественных, но способствует их более детальной визуализации и достоверной оценке объема опухоли в сравнении со стандартной МРТ. В данном контексте применение ПЭТ/КТ целесообразно при выявлении менингиом в сложных для МРТ локализациях (основание черепа, область венозных синусов), а также для оконтуривания мишени при планировании лучевой терапии.
Следует отметить, что однократное проведение ПЭТ/КТ с целью диагностики продолженного роста менингиомы после проведенного ранее лучевого лечения может быть неинформативным. Проведение нескольких исследований в динамике может подтвердить рецидив при выявлении нарастания активности накопления аминокислот или увеличения уровня соматостатиновых рецепторов. Эта методика требует проведения дополнительных клинических исследований. Кроме того, ПЭТ/КТ хорошо зарекомендовала себя в дифференциальной диагностике опухолевой ткани и постлучевых изменений.
Таким образом, ПЭТ/КТ может решать разные задачи при диагностике и лечении менингиом. Знание возможностей различных радиофармпрепаратов и правильное определение показаний к исследованию лежит в основе получения клинически значимого результата.
ФИНАНСИРОВАНИЕ
Работа выполнена при поддержке гранта Министерства образования и науки № 075–15–2021–1343 «Развитие биоресурсной коллекции опухолей нервной системы человека с молекулярно-генетической паспортизацией для персонифицированного лечения пациентов с нейроонкологическими заболеваниями».
СОБЛЮДЕНИЕ ЭТИЧЕСКИХ СТАНДАРТОВ
Исследование выполнено с соблюдением этических норм. Пациентами подписано информированное согласие.
About the authors
M. V. Galkin
Burdenko National Medical Research Center of Neurosurgery, Ministry of Healthcare of Russia
Author for correspondence.
Email: mgalkin@nsi.ru
Russian Federation, Moscow
N. B. Vikhrova
Burdenko National Medical Research Center of Neurosurgery, Ministry of Healthcare of Russia
Email: mgalkin@nsi.ru
Russian Federation, Moscow
A. V. Golanov
Burdenko National Medical Research Center of Neurosurgery, Ministry of Healthcare of Russia
Email: mgalkin@nsi.ru
Russian Federation, Moscow
G. V. Danilov
Burdenko National Medical Research Center of Neurosurgery, Ministry of Healthcare of Russia
Email: mgalkin@nsi.ru
Russian Federation, Moscow
Yu. V. Strunina
Burdenko National Medical Research Center of Neurosurgery, Ministry of Healthcare of Russia
Email: mgalkin@nsi.ru
Russian Federation, Moscow
References
- Acker G., Kluge A., Lukas M., Conti A., Pasemann D., Meinert F., Anh Nguyen P.T., Jelgersma C., Loebel F., Budach V., Vajkoczy P., Furth C., Baur A. D.J., Senger C. Impact of 68Ga-DOTATOC PET/MRI on robotic radiosurgery treatment planning in meningioma patients: first experiences in a single institution. Neurosurgical focus. 2019. 46 (6) E9.
- Afshar-Oromieh A., Giesel F.L., Linhart H.G., Haberkorn U., Haufe S., Combs S.E., Podlesek D., Eisenhut M., Kratochwil C. Detection of cranial meningiomas: comparison of ⁶⁸Ga-DOTATOC PET/CT and contrastenhanced MRI. European journal of nuclear medicine and molecular imaging. 2012. 39 (9):1409–1415.
- Arita H., Kinoshita M., Okita Y., Hirayama R., Watabe T., Ishohashi K., Kijima N., Kagawa N., Fujimoto Y., Kishima H., Shimosegawa E., Hatazawa J., Hashimoto N., Yoshimine T. Clinical characteristics of meningiomas assessed by ¹¹C-methionine and ¹⁸F-fluorodeoxyglucose positron-emission tomography. Journal of neurooncology. 2012. 107 (2):379–386.
- Astner S.T., Dobrei-Ciuchendea M., Essler M., Bundschuh R.A., Sai H., Schwaiger M., Molls M., Weber W.A., Grosu A.-L. Effect of 11C-methionine-positron emission tomography on gross tumor volume delineation in stereotactic radiotherapy of skull base meningiomas. Int J Radiat Oncol Biol Phys. 2008. 72 (4):1161–1167.
- Campos Neto G.d.C., Amaro Junior E., Weltman E., Malheiros S.M.F., Ferrari B. L., Vitor T., Barboza M.R.F.F. de, Bezerra R.P., Yamaga L.Y.I., Wagner J., Baroni R. H. Comparative analysis of somatostatin analog uptake between successfully irradiated and non-irradiated meningiomas. Einstein (Sao Paulo, Brazil). 2022. 20eAO0104.
- Cremerius U., Bares R., Weis J., Sabri O., Mull M., Schröder J.M., Gilsbach J.M., Buell U. Fasting improves discrimination of grade 1 and atypical or malignant meningioma in FDG-PETFasting improves discrimination of grade 1 and atypical or malignant meningioma in FDG-PET. Journal of nuclear medicine: official publication, Society of Nuclear Medicine. 1997. 38 (1):26–30.
- Filippi L., Palumbo I., Bagni O., Schillaci O., Aristei C., Palumbo B. Somatostatin receptor targeted PET-imaging for diagnosis, radiotherapy planning and theranos tics of meningiomas: a systematic review of the litera ture. Diagnostics. 2022. 12 (7).
- Grosu A.-L., Weber W.A., Astner S.T., Adam M., Krause B.J., Schwaiger M., Molls M., Nieder C. 11C-methionine PET improves the target volume delineation of meningiomas treated with stereotactic fractionated radiotherapy. Int J Radiat Oncol Biol Phys. 2006. 66 (2): 339–344.
- Gudjonsson O., Blomquist E., Lilja A., Ericson H., Bergström M., Nyberg G. Evaluation of the effect of highenergy proton irradiation treatment on meningiomas by means of 11C–L-methionine PET. Eur J Nucl Med. 2000. 27 (12):1793–1799.
- Hua L., Hua F., Zhu H., Deng J., Wang D., Luan S., Tang H., Guan Y., Xie Q., Gong Y. The diagnostic value of using 18F-fluorodeoxyglucose positron emission tomography to differentiate between lowand high-grade meningioma. Cancer management and research. 2019. 11:9185– 9193.
- Ivanidze J., Roytman M., Lin E., Magge R.S., Pisapia D.J., Liechty B., Karakatsanis N., Ramakrishna R., Knisely J., Schwartz T.H., Osborne J.R., Pannullo S.C. Gallium-68 DOTATATE PET in the evaluation of intracranial meningiomas. Journal of neuroimaging: official journal of the American Society of Neuroimaging. 2019. 29 (5): 650–656.
- Jeltema H.-R., Jansen M.R., Potgieser A.R.E., van Asselt A.D.I., Heesters M.A.A.M., van de Hoorn A., Glaudemans A. W.J.M., van Dijk J.M.C. Study on intracranial meningioma using PET ligand investigation during follow-up over years (SIMPLIFY). Neuroradiology. 2021. 63 (11):1791–1799.
- Jung I.-H., Chang K.W., Park S.H., Jung H.H., Chang J.H., Chang J.W., Chang W.S. Pseudoprogression and peritumoral edema due to intratumoral necrosis after Gamma knife radiosurgery for meningioma. Scientific Reports. 2022. 12 (1):13663.
- Kaul D., Budach V., Wurm R., Gruen A., Graaf L., Habbel P., Badakhshi H. Linac-based stereotactic radiotherapy and radiosurgery in patients with meningioma. Radiation oncology (London, England). 2014. 9:78.
- Kessel K.A., Weber W., Yakushev I., Fischer H., Voglhuber T., Diehl C., Straube C., Zimmer C., Wiestler B., Gempt J., Meyer B., Combs S.E. Integration of PET-imaging into radiotherapy treatment planning for low-grade meningiomas improves outcome. European journal of nuclear medicine and molecular imaging. 2020. 47 (6): 1391– 1399.
- Kowalski E. S., Khairnar R., Gryaznov A. A., Kesari V., Koroulakis A., Raghavan P., Chen W., Woodworth G., Mishra M. 68Ga-DOTATATE PET-CT as a tool for radiation planning and evaluating treatment responses in the clinical management of meningiomas. Radiation oncology (London, England). 2021. 16 (1):151.
- Kriwanek F., Ulbrich L., Lechner W., Lütgendorf-Caucig C., Konrad S., Waldstein C., Herrmann H., Georg D., Widder J., Traub-Weidinger T., Rausch I. Impact of SSTR PET on inter-observer variability of target delineation of meningioma and the possibility of using threshold-based segmentations in radiation oncology. Cancers. 2022. 14 (18).
- Lee J.W., Kang K.W., Park S.-H., Lee S.M., Paeng J.C., Chung J.-K., Lee M.C., Lee D.S. 18F-FDG PET in the assessment of tumor grade and prediction of tumor recurrence in intracranial meningioma. European journal of nuclear medicine and molecular imaging. 2009. 36(10):1574–1582.
- Lütgendorf-Caucig C., Pelak M., Flechl B., Georg P., Fossati P., Stock M., Traub-Weidinger T., Marosi C., Haberler C., Zechmeister-Machhart G., Hermsmeyer L., Hug E., Staudenherz A. The trends and significance of SSTR PET/CT added to MRI in follow-up imaging of lowgrade meningioma treated with fractionated proton therapy. Strahlentherapie und Onkologie: Organ der Deutschen Rontgengesellschaft … [et al]. 2023. 199 (4): 396–403.
- Mitamura K., Yamamoto Y., Norikane T., Hatakeyama T., Okada M., Nishiyama Y. Correlation of 18F-FDG and 11C-methionine uptake on PET/CT with Ki-67 immunohistochemistry in newly diagnosed intracranial meningiomas. Annals of nuclear medicine. 2018. 32 (9): 627–633.
- Palmisciano P., Watanabe G., Conching A., Ogasawara C., Ferini G., Bin-Alamer O., Haider A. S., Sabini M. G., Cuttone G., Cosentino S., Ippolito M., Umana G. E. The role of 68GaGa-DOTA-SSTR PET radiotracers in brain tumors: a systematic review of the literature and ongoing clinical trials. Cancers. 2022. 14 (12).
- Perlow H.K., Siedow M., Gokun Y., McElroy J., Matsui J., Zoller W., Beyer S., Arnett A., Blakaj D., Boulter D., Fritz J., Miller E., Raval R., Kleefisch C., Bovi J., Palmer J.D. 68Ga-DOTATATE PET-based radiation contouring creates more precise radiation volumes for patients with meningioma. Int J Radiat Oncol Biol Phys. 2022. 113 (4):859–865.
- Rachinger W., Stoecklein V.M., Terpolilli N.A., Haug A.R., Ertl L., Pöschl J., Schüller U., Schichor C., Thon N., Tonn J.-C. Increased 68Ga-DOTATATE uptake in PET imaging discriminates meningioma and tumorfree tissue. Journal of nuclear medicine: official publication, Society of Nuclear Medicine. 2015. 56 (3):347– 353.
- Rogers L., Barani I., Chamberlain M., Kaley T.J., McDermott M., Raizer J., Schiff D., Weber D.C., Wen P.Y., Vogelbaum M. A. Meningiomas: knowledge base, treatment outcomes, and uncertainties. A RANO review. Journal of neurosurgery. 2015. 122 (1):4–23.
- Ryttlefors M., Danfors T., Latini F., Montelius A., Blomquist E., Gudjonsson O. Long-term evaluation of the effect of hypofractionated high-energy proton treatment of benign meningiomas by means of (11) C–L-methionine positron emission tomography. European journal of nuclear medicine and molecular imaging. 2016. 43 (8):1432–1443.
- Slot K.M., Verbaan D., Buis D.R., Schoonmade L.J., Berckel B.N.M., Vandertop W.P. Prediction of meningioma WHO Grade Using PET findings: a systematic review and meta-analysis. Journal of neuroimaging: official journal of the American Society of Neuroimaging. 2021. 31 (1):6–19.
- Verger A., Kas A., Darcourt J., Guedj E. PET imaging in neuro-oncology: an update and overview of a rapidly growing area. Cancers. 2022. 14 (5).
Supplementary files


