Изучение микробных ассоциаций помогает понять образ жизни червей Terebellides cf. stroemii (Annelida, Terebelliformia, Trichobranchidae) в Белом море
- Авторы: Цетлин А.Б.1, Клюкина А.А.2, Ельченинов А.Г.2, Щербакова П.А.1, Гавирова Л.А.1, Шестаков А.И.1, Ворцепнева Е.В.1, Жадан А.Э.1, Кубланов И.В.2
-
Учреждения:
- Биологический факультет, Московский Государственный Университет имени М.В. Ломоносова
- Институт микробиологии имени С.Н. Виноградского, Федеральный исследовательский центр “Фундаментальные основы биотехнологии” РАН
- Выпуск: Том 102, № 12 (2023)
- Страницы: 1331-1351
- Раздел: Статьи
- URL: https://medbiosci.ru/0044-5134/article/view/231773
- DOI: https://doi.org/10.31857/S0044513423120127
- EDN: https://elibrary.ru/GRQEGG
- ID: 231773
Цитировать
Полный текст
Аннотация
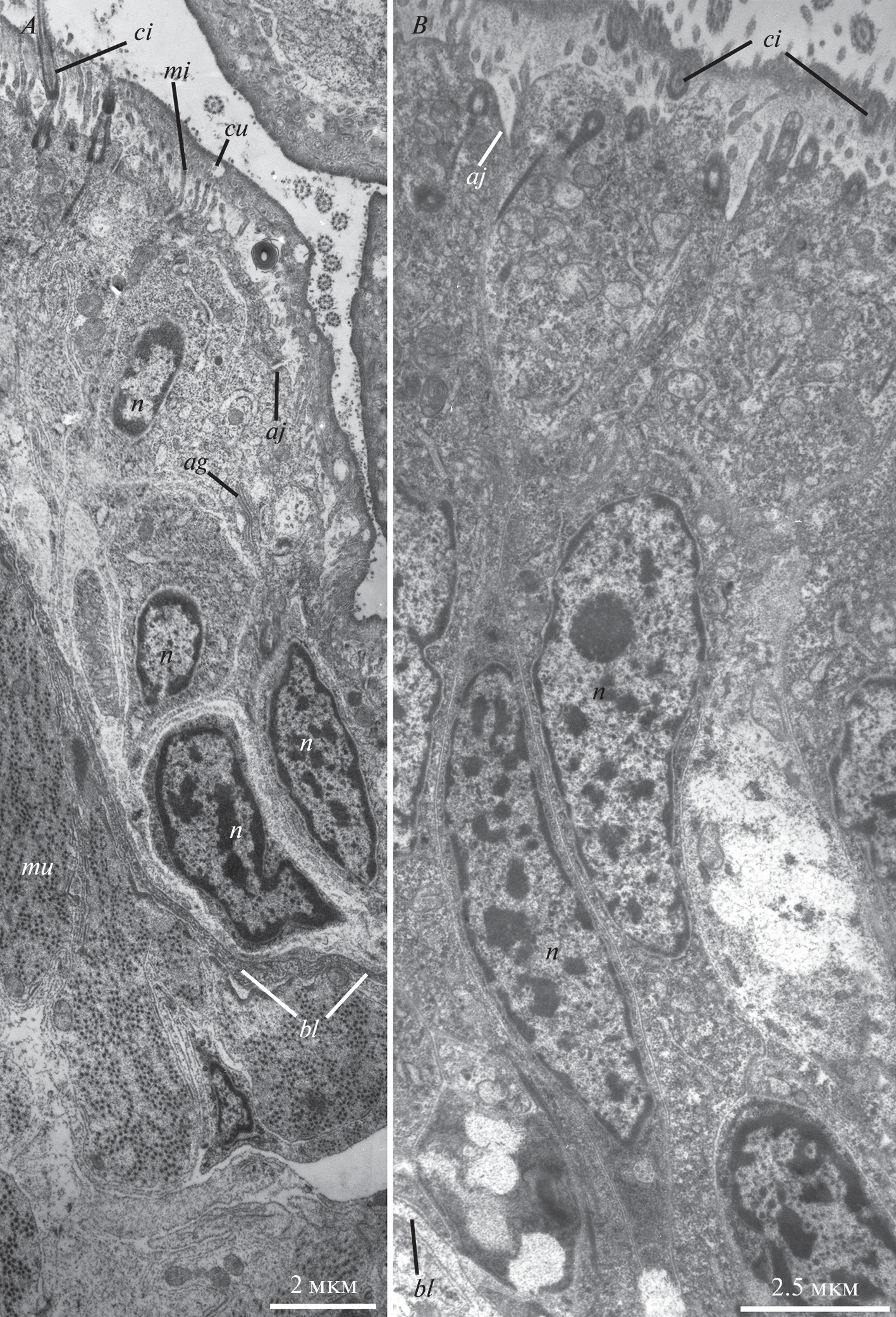
Многощетинковые кольчатые черви являются одним из основных компонентов океанического бентоса, однако мало что известно об их микробных симбионтах. Цель настоящей работы – описание образа жизни представителей Terebellides cf. stroemii в Белом море посредством изучения их микробиомов. Для этого черви и их трубки были исследованы с помощью световой и электронной микроскопии, а состав микробиомов изучали с помощью секвенирования гипервариабельных V4 участков гена 16S рРНК прокариот. Показано, что трубки Terebellides cf. stroemii рыхлые и, скорее всего, временные, черви активно роются в грунте, тем не менее, часть времени проводят, собирая пищу с поверхности грунта с помощью щупалец. В клетках покровов и кишечном эпителии с помощью микроскопии бактерии обнаружены не были. Филогенетический и кластерный анализы выявили значительные отличия таксономического состава микробиомов червей T. cf. stroemii от микробных сообществ грунта и позволили определить специфические компоненты микробиомов кишечников и щупалец, а микробиомы донных осадков и трубок червей оказались схожими. В микробиомах трубок доминируют Pseudomonadota, Desulfobacterota и Bacteroidota. В кишечниках обитают Pseudomonadota, Actinomycetota, Bacillota, Cyanobacteriota, Chloroflexota и Planctomycetota. Микробиом щупалец T. cf. stroemii существенно отличается от микробиома окружающего грунта, трубки и кишки, в нем представлены Pseudomonadota, Bacillota и Bacteroidota, кроме того, в двух образцах наблюдалось значительное количество представителей архейного суперфилума DPANN (Diapherotrites, Parvarchaeota, Aenigmarchaeota, Nanoarchaeota, Nanohaloarchaeota). Современные технологии изучения микробиомов продемонстрировали наличие специфических сообществ микроорганизмов, ассоциированных с исследованным видом. Сочетание морфологических и молекулярных методов перспективно для изучения микробиомов, ассоциированных с морскими аннелидами, и их функциональных связей с животными.
Об авторах
А. Б. Цетлин
Биологический факультет, Московский Государственный Университет имени М.В. Ломоносова
Автор, ответственный за переписку.
Email: atzetlin@gmail.com
Россия, 119234, Москва, ул. Ленинские Горы, 1, стр. 1
А. А. Клюкина
Институт микробиологии имени С.Н. Виноградского, Федеральный исследовательский центр“Фундаментальные основы биотехнологии” РАН
Email: atzetlin@gmail.com
Россия, 119071, Москва,
пр-т 60-летия Октября, д. 7, корп. 2
А. Г. Ельченинов
Институт микробиологии имени С.Н. Виноградского, Федеральный исследовательский центр“Фундаментальные основы биотехнологии” РАН
Email: atzetlin@gmail.com
Россия, 119071, Москва,
пр-т 60-летия Октября, д. 7, корп. 2
П. А. Щербакова
Биологический факультет, Московский Государственный Университет имени М.В. Ломоносова
Email: atzetlin@gmail.com
Россия, 119234, Москва, ул. Ленинские Горы, 1, стр. 1
Л. А. Гавирова
Биологический факультет, Московский Государственный Университет имени М.В. Ломоносова
Email: atzetlin@gmail.com
Россия, 119234, Москва, ул. Ленинские Горы, 1, стр. 1
А. И. Шестаков
Биологический факультет, Московский Государственный Университет имени М.В. Ломоносова
Email: atzetlin@gmail.com
Россия, 119234, Москва, ул. Ленинские Горы, 1, стр. 1
Е. В. Ворцепнева
Биологический факультет, Московский Государственный Университет имени М.В. Ломоносова
Email: atzetlin@gmail.com
Россия, 119234, Москва, ул. Ленинские Горы, 1, стр. 1
А. Э. Жадан
Биологический факультет, Московский Государственный Университет имени М.В. Ломоносова
Email: atzetlin@gmail.com
Россия, 119234, Москва, ул. Ленинские Горы, 1, стр. 1
И. В. Кубланов
Институт микробиологии имени С.Н. Виноградского, Федеральный исследовательский центр“Фундаментальные основы биотехнологии” РАН
Email: atzetlin@gmail.com
Россия, 119071, Москва,
пр-т 60-летия Октября, д. 7, корп. 2
Список литературы
- Дерюгин К.М., 1928. Фауна Белого моря и условия ее существования. Л.: Гидрологический институт. 511 с.
- Жадан А.Э., 2010. Тип Annelida, класс Polychaeta (Многощетинковые черви) // Флора и фауна Белого моря: иллюстрированный атлас. Ред. А.Б. Цетлин, А.Э. Жадан, Н.Н. Марфенин. M.: Товарищество научных изданий КМК. С. 108–145.
- Жирков И.А., 2001. Полихеты Северного Ледовитого океана. М.: Янус-К. 632 с.
- Меркель А.Ю., Тарновецкий И.Ю., Подосокорская О.А., Тощаков С.В., 2019. Анализ систем праймеров на ген 16S рРНК для профилирования термофильных микробных сообществ // Микробиология. Т. 88. С. 671–680.
- Ушаков П.В., 1939. Некоторые новые данные по Фауне полихет Белого моря // Труды Государственного гидрологического института. № 8. С. 81–84.
- Ушаков П.В., 1955. Многощетинковые черви дальневосточных морей СССР (Polychaeta). М.–Л.: Изд-во АН СССР. 445 с.
- Цетлин А.Б., 1980. Практический определитель многощетинковых червей Белого моря. М.: Изд-во Моск. ун-та. 113 с.
- Amaral-Zettler L., Artigas L.F., Baross J., Bharathi L., Boetius A., et al., 2010. A global census of marine microbes // Life in the world’s Oceans: Diversity, Distribution and Abundance. P. 223–245.
- Bach L., Palmqvist A., Rasmussen L.J., Forbes V.E., 2005. Differences in PAH tolerance between Capitella species: underlying biochemical mechanisms // Aquatic toxicology. V. 74. № 4. P. 307–319.
- Barroso M., Candás M., Moreira J., Parapar J., 2023. Interspecific variability in internal anatomy in Terebellides Sars, 1835 (Annelida, Trichobranchidae) revealed with micro-CT, Zoologischer Anzeiger. V. 306. P. 79–89. https://doi.org//10.1016//j.jcz.2023.06.007
- Blockley A., Elliott D.R., Roberts A.P., Sweet M., 2017. Symbiotic microbes from marine invertebrates: driving a new era of natural product drug discovery // Diversity. V. 9. № 4. P. 1–13.
- Bocchetti R., Fattorini D., Gambi M. C., Regoli F., 2004. Trace metal concentrations and susceptibility to oxidative stress in the polychaete Sabella spallanzanii (Gmelin) (Sabellidae): potential role of antioxidants in revealing stressful environmental conditions in the Mediterranean // Archives of Environmental Contamination and Toxicology. V. 46. P. 353–361.
- Bremec C.S., Elias R., 1999. Species of Terebellides from South Atlantic waters off Argentina and Brazil (Polychaeta: Trichobranchidae) // Ophelia. V. 51. № 3. P. 177–186. https://doi.org/10.1080/00785326.1999.10409407
- Bright M., Giere O., 2005. Microbial symbiosis in Annelida // Symbiosis. V. 38. № 1. P. 1–45.
- Campbell B.J., Stein J.L., Cary C., 2003. Evidence of chemolithoautotrophy in the bacterial community associated with Alvinella pompejana, a hydrothermal vent polychaete // Applied and environmental microbiology. V. 69. № 9. P. 5070–5078.
- Capa M., Hutchings P., 2021. Annelid diversity: historical overview and future perspectives // Diversity. V. 13. № 3. P. 129.
- Caullery M., 1915. Sur les Terebellides Malmgren du Siboga et les Térébelliens voisins. Bulletin de la Société Zoologique de France V. 40. P. 111–116.
- Caullery M., 1944. Polychètes Sédentaires de l’Expédition du Siboga: Ariciidae, Spionidae, Chaetopteridae, Chlorhaemidae, Opheliidae, Oweniidae, Sabellariidae, Sternaspidae, Amphictenidae, Ampharetidae, Terebellidae. Siboga-Expeditie Uitkomsten op Zoologisch, Botanisch, Oceanographisch en Geologisch gebied verzameld in Nederlandsch Oost-Indië 1899–1900. V. XX– IV 2 bis. P. 1–204.
- Day J.H., 1967. A monograph on the Polychaeta of Southern Africa. Part 2. Sedentaria // Trustees of the British Museum (Natural History). London. 878 p. https://doi.org/10.5962/bhl.title.8596
- Dauer D.M., Mahon H.K, Sardà R., 2003. Functional morphology and feeding behavior of Streblospio benedicti and S. shrubsolii (Polychaeta: Spionidae) // Hydrobiologia. V. 496. P. 207–213
- Dombrowski N., Lee J.H., Williams T.A., Offre P., Spang A., 2019. Genomic diversity, lifestyles and evolutionary origins of DPANN archaea // FEMS microbiology letters. V. 366(2). fnz008.
- Dubilier N., 1987. Some aspects of the ecophysiology of Tubificoides benedii and ultrastructural observations on endocuticular bacteria // Hydrobiologia. V. 155. P. 161. https://doi.org/10.1007/BF00025644
- Fadrosh D.W., Ma B., Gajer P., Sengamalay N., Ott S., Brotman R.M., Ravel J, 2014. An improved dual-indexing approach for multiplexed 16S rRNA gene sequencing on the Illumina MiSeq platform // Microbiome V. 2. P. 6. https://doi.org/10.1186/2049-2618-2-6
- Fenical W., 1993. Chemical studies of marine bacteria: developing a new resource // Chemical Reviews. V. 93. № 5. P. 1673–1683.
- Ferraris J.D., Fauchald K., Kensley B., 1994. Physiological responses to fluctuation in temperature of salinity in invertebrates. Adaptations of Alpheus viridari (Decapoda, Crustacea), Terebellides parva (Polychaeta) and Golfinigia cylindrata (Sipunculida) to the mangrove habitat // Marine Biology. V. 120. P. 397–406.
- Garraffoni A.R.S., Lana P.C., 2003. Species of Terebellides (Polychaeta, Terebellidae, Trichobranchinae) from the Brazilian coast // Iheringia. V. 93. № 4. P. 355–363.
- Goffredi S.K., Johnson S., Vrijenhoek R.C., 2007. Genetic diversity and potential function of microbial symbionts associated with newly discovered species of Osedax polychaete worms // Applied and environmental microbiology. V. 73. № 7. P. 2314–2323.
- Gohl D.M., MacLean A., Hauge A., Becker A., Walek D., Beckman K.B., 2016. An optimized protocol for high-throughput amplicon-based microbiome profiling // Protoc. Exch. https://doi.org/10.1038/protex.2016.030
- Golyshina O.V., Bargiela R., Toshchakov S.V., Chernyh N.A., Ramayah S., et al., 2019. Diversity of “Ca. Micrarchaeota” in two distinct types of acidic environments and their associations with Thermoplasmatales // Genes. V. 10. № 6. P. 461.
- Golyshina O.V., Toshchakov S.V., Makarova K.S., Gavrilov S.N., Korzhenkov A.A., La Cono V., Arcadi E., Nechitaylo T.Y., Ferrer M., Kublanov I.V., Wolf Y.I., Yakimov M.M., Golyshin P.N., 2017. ‘ARMAN’ archaea depend on association with euryarchaeal host in culture and in situ // Nature Communication. V. 5. № 8. P. 1–12.
- Hartman O., 1966. Polychaetous annelids of the Hawaiian Islands // Occasional Papers of the Bernice P. Bishop Museum. V. 23. № 11. P. 163–252.
- Henriksson R., 1969. Influence of pollution on the bottom fauna of the Sound (Öresund) // Oikos. V. 20. № 2. P. 507–523.
- Hinzke T., Kleiner M., Breusing C., Felbeck H., Häsler R., 2019. Host-microbe interactions in the chemosynthetic Riftia pachyptila symbiosis // mBio. V. 10. № 6. P. 1–20.
- Holthe T., 1986. Evolution, systematics and distribution of the Polychaeta Terebellomorpha, with a catalogue of the taxa and a bibliography // Gunneria, Trondheim. V. 55. P. 1–236.
- Hugerth L.W., Wefer H.A., Lundin S., Jakobsson H.E., Lindberg M., Rodin S., Engstrand L., Andersson A.F., 2014. DegePrime, a program for degenerate primer design for broad-taxonomic-range PCR in microbial ecology studies // Applied and Environmental Microbiology. V. 80. №16. P. 5116–5123.
- Hutchings P., Peart R., 2000. A revision of the Australian Trichobranchidae (Polychaeta) // Invertebrate Taxonomy. V. 14. P. 225–272.
- Hutchings P., 1998. Biodiversity and functioning of polychaetes in benthic sediments // Biodiversity & Conservation. V. 7. P. 1133–1145.
- Imajima M., Williams S.J., 1985. Trichobranchidae (Polychaeta) chiefly from the Sagami and Saruga Bays, collected by R/V Tansei-Maru // Bulletin of the National Science Museum of Tokyo. V. 11. № 1. P. 7–18.
- Jumars P.A., Dorgan K.M., Lindsay S.M., 2015. Diet of worms emended: An update of polychaete feeding guilds // Annual review of marine science. V. 7. P. 497–520. https://doi.org/10.1146/annurev-marine-010814-020007
- Kleiner M., Wentrup C., Lott C., Teeling H., Wetzel S. et al., 2012. Metaproteomics of a gutless marine worm and its symbiotic microbial community reveal unusual pathways for carbon and energy use // Proceedings of the National Academy of Sciences. V. 109. № 19. P. 1173–1182.
- Kokarev V., Zalota A.K., Zuev A., Tiunov A., Kuznetsov P., Konovalova O., Rimskaya-Korsakova N., 2023. Opportunistic consumption of marine pelagic, terrestrial, and chemosynthetic organic matter by macrofauna on the Arctic shelf: a stable isotope approach // PeerJ. 11:e15595. https://doi.org/10.7717/peerj.15595
- Lacoste É., Piot A., Archambault P., McKindsey C.W., Nozais C., 2018. Bioturbation activity of three macrofaunal species and the presence of meiofauna affect the abundance and composition of benthic bacterial communities // Marine Environmental Research. V. 136. P. 62–70.
- Legeżyńska J., Kędra M., Walkusz W., 2014. Identifying trophic relationships within the high Arctic benthic community: how much can fatty acids tell? // Marine biology. V. 161. P. 821–836. https://doi.org/10.1007/s00227-013-2380-8
- Li M., Yang H., Gu J.D., 2009. Phylogenetic diversity and axial distribution of microbes in the intestinal tract of the polychaete Neanthes glandicincta // Microbial ecology. V. 58. № 4. P. 892–902.
- Michel C., Bhaud M., Boumati P., Halpern S., 1984. Physiology of the digestive tract of the sedentary polychaete Terebellides stroemi // Marine Biology. V. 83. № 1. P. 17–31.
- Minic Z., 2009. Organisms of deep-sea hydrothermal vents as a source for studying adaptation and evolution // Symbiosis. V. 47. P. 121–132.
- Moggioli G., Panossian B., Sun Y., Thiel D., Martín-Zamora F.M. et al., 2023. Distinct genomic routes underlie transitions to specialised symbiotic lifestyles in deep-sea annelid worms // Nature communications. V. 14. № 1. P. 2814. https://doi.org/10.1038/s41467-023-38521-6
- Neave M.J., Streten-Joyce C., Glasby C.J., McGuinness K.A., Parry D.L., Gibb K.S., 2012. The bacterial community associated with the marine polychaete sp. 1 (Annelida: Opheliidae) is altered by copper and zinc contamination in sediments // Microbial ecology. V. 63. № 3. P. 639–650.
- Nedved B.T., Hadfield M.G., 2008. Hydroides elegans (Annelida: Polychaeta): a model for biofouling research // Springer Series on Biofilms. Berlin, Heidelberg: Springer-Verlag. https://doi.org/10.1007/7142_2008_15
- Nygren A., Parapar J., Pons J., Meißner K., Bakken T. et al., 2018. A mega-cryptic species complex hidden among one of the most common annelids in the north east Atlantic // PLoS ONE. V. 13. № 6. P. 1–37.
- Perez M., Juniper S.K., 2016. Insights into symbiont population structure among three vestimentiferan tubeworm host species at eastern Pacific spreading centers // Applied and Environmental Microbiology. V. 82. № 17. P. 5197–5205.
- Petersen J.M., Osvatic J., 2018. Microbiomes in natura: importance of invertebrates in understanding the natural variety of animal-microbe interactions // mSystems. V. 3. № 2. P. 1–7.
- Phillips T.M., Lovell C.R., 1999. Distributions of total and active bacteria in biofilms lining tubes of the onuphid polychaete Diopatra cuprea // Marine Ecology Progress Series. V. 183. P. 169–178.
- Reveillaud J., Anderson R., Reves-Sohn S., Cavanaugh C., Huber J.A., 2018. Metagenomic investigation of vestimentiferan tubeworm endosymbionts from Mid-Cayman Rise reveals new insights into metabolism and diversity // Microbiome. V. 6. № 1. P. 1–15.
- Rincón-Tomás B., González F.J., Somoza L., Sauter K., Madureira P., Medialdea T., Carlsson J., et al., 2020. Siboglinidae tubes as an additional niche for microbial communities in the Gulf of Cádiz–A microscopical appraisal // Microorganisms. V. 8. № 3. P. 367.
- Rinke C., Schwientek P., Sczyrba A., Ivanova N.N., Anderson I.J. et al., 2013. Insights into the phylogeny and coding potential of microbial dark matter // Nature. V. 499. № 7459. P. 431–437.
- Sampaio C.J.S., de Souza J.R.B., de Carvalho G.C., Quintella C.M., de Abreu Roque M.R., 2019. Analysis of petroleum biodegradation by a bacterial consortium isolated from worms of the polychaeta class (Annelida): Implications for NPK fertilizer supplementation // Journal of environmental management. V. 246. P. 617–624.
- Schreier J.E., Lutz R.A., 2019. Hydrothermal Vent Biota // Encyclopedia of Ocean Sciences. Elsevier. V. 3. P. 308–319.
- Schüller M., Hutchings P.A., 2010. New insights in the taxonomy of Trichobranchidae (Polychaeta) with description of a new Terebellides species from Australia // Zootaxa. V. 2395. № 1. P. 1–16.
- Schüller M., Hutchings P.A., 2012. New species of Terebellides (Polychaeta: Trichobranchidae) indicate long-distance dispersal between western South Atlantic deep-sea basins // Zootaxa. V. 3254. № 1. P. 1–31.
- Schüller M., Hutchings P.A., 2013. New species of Terebellides (Polychaeta: Trichobranchidae) from the deep Southern Ocean, with a key to all described species // Zootaxa. V. 3619. № 1. P. 1–45. https://doi.org/10.11646/zootaxa.3619.1.1
- Solis-Weiss V., Fauchald K., Blankensteyn A., 1991. Trichobranchidae (Polychaeta) from shallow warm water areas in the Western Atlantic Ocean // Proceedings of the Biological Society of Washington. V. 104. № 1. P. 147–158.
- Stolyarov A.P., 2019. Some Features of the species, spatial, and trophic structure of macrobenthos in the lagoon systems of the Ermolinskaya and Nikol’skaya inlets (Kandalaksha Bay, the White Sea) // Moscow University Biological Sciences Bulletin. V. 74. P. 176–182. https://doi.org/10.3103/S0096392519030106
- Stoykov S., Uzunova S., 2001. Dynamics of macrozoobenthos in the Southern Bulgarian Black Sea coastal and open-sea areas // Mediterranean Marine Science. V. 2. № 1. P. 27–36.
- Tzetlin A.B., Saphonov M.V., 1995. A new finding of intracellular bacterial symbionts in the Nerillidae (Annelida: Polychaeta) // Russian Journal of Aquatic Ecology. V. 4. № 1. P. 55–60.
- Vijayan N., Lema K.A., Nedved B. T., Hadfield M.G., 2019. Microbiomes of the polychaete Hydroides elegans (Polychaeta: Serpulidae) across its life-history stages // Marine Biology. V. 166. № 2. P. 1–13.
- Vortsepneva E., Chevaldonné P., Klyukina A., Naduvaeva E., Todt C. et al., 2021. Microbial associations of shallow-water Mediterranean marine cave Solenogastres (Mollusca) // PeerJ (13) 9:e12655. https://doi.org/10.7717/peerj.12655
- Williams S.J., 1984. The status of Terebellides stroemi (Polychaeta; Trichobranchidae) as a cosmopolitan species, based on a worldwide morphological survey, including description of new species // Proceedings of the First International Polychaete Conference, Sydney, Australia. P. 118–142.
- Wippler J., Kleiner M., Lott C., Gruhl A., Abraham P.E. et al., 2016. Transcriptomic and proteomic insights into innate immunity and adaptations to a symbiotic lifestyle in the gutless marine worm Olavius algarvensis // BMC Genomics. V. 17. № 1. P. 1–19.
- Woyke T., Teeling H., Ivanova N.N., Huntemann M., Richter M. et al., 2014. Symbiosis insights through metagenomic analysis of a microbial consortium // Nature. V. 443. № 7114. P. 950–955.
- Zhang J., Hutchings P., 2018. Taxonomy and distribution of Terebellides (Polychaeta: Trichobranchidae) in the northern South China Sea, with description of three new species // Zootaxa. V. 4377. № 3. P. 387–411.
Дополнительные файлы















