ARCHITECTONICS OF THE MESONEFROS OF THE SENEGAL POLYPTER (POLYPTERUS SENEGALUS (CUVIER 1829), POLYPTERIFORMES)
- Autores: Evdokimov E.G.1, Fleurova E.A.1
-
Afiliações:
- Demidov Yaroslavl State University
- Edição: Volume 102, Nº 12 (2023)
- Páginas: 1389-1397
- Seção: ARTICLES
- URL: https://medbiosci.ru/0044-5134/article/view/231778
- DOI: https://doi.org/10.31857/S004451342312005X
- EDN: https://elibrary.ru/GRIKIM
- ID: 231778
Citar
Texto integral
Resumo
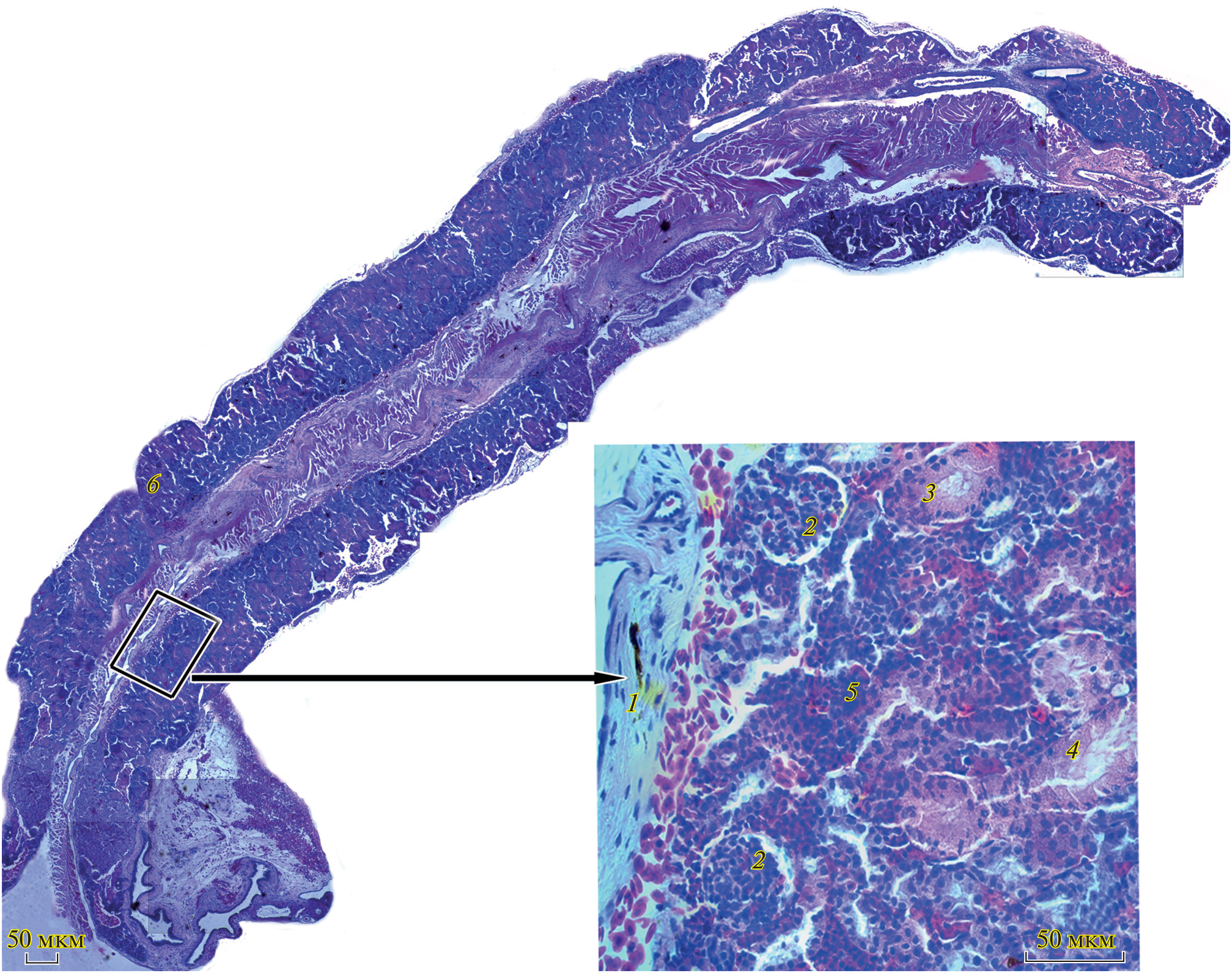
Layer-by-layer serial histological sections were used to reconstruct the mesonephros of P. senegalus. The distribution pattern of the structure of both nephron and hematopoietic tissue was shown to be similar to the general structure observed in ray-finned fishes. Most of the hematopoietic tissue of animal origin was revealed to be located at the cranial-ventral pole of the organ. The largest number of renal corpuscles, all with the smallest surface area and located the most distant from one another, was found in the caudal part of the mesonephros. Such an arrangement of the structural units of the kidney, coupled with the high vascularization level of the organ (the position of extraorganic and multiple branching intraorganic vessels), makes it possible to create a sufficiently increased pressure to determine the destination, thus bringing the P. senegalus kidney closer to the amphibian mesonephros. These features could have been evolutionarily fixed in the basal groups of ray-finned fishes and preserved in the process of evolutionary development, manifesting themselves in evolutionarily young species of this group.
Palavras-chave
Sobre autores
E. Evdokimov
Demidov Yaroslavl State University
Autor responsável pela correspondência
Email: skrad200052@yandex.ru
Russia, 150003, Yaroslavl
E. Fleurova
Demidov Yaroslavl State University
Autor responsável pela correspondência
Email: skrad200052@yandex.ru
Russia, 150003, Yaroslavl
Bibliografia
- Грушко М.П., Федорова Н.Н., Ижерская В.А., 2021. Особенности формирования основных органов и систем красноперки (Scardinius erythrophthalmus) в раннем онтогенезе // Актуальные вопросы ветеринарной биологии. № 1. Вып. 49. С. 30–35.
- Дзержинский Ф.Я., 2005. Сравнительная анатомия позвоночных животных. Изд. 2-е. М.: Аспект-Пресс. 281 с.
- Каплунова О.А., 2015. Юкстамедуллярный путь кровотока в почке (сравнительно-анатомический и возрастной аспекты) // Морфология. Т. 147. № 1. С. 53–58.
- Ложниченко О.В., Амплеева А.В., Хвостова С.М., 2010. Физиологические аспекты кроветворения в мезонефросе у осетровых рыб // Вестник АГТУ. Сер. Рыбное хозяйство. № 2. С. 106–110.
- Петренко В.М., 2009. Устройство периферического сосудистого русла как гидравлического редуктора // Международный журнал прикладных и фундаментальных исследований. № 5. С. 86–87.
- Тимакова Т.К., Флёрова Е.А., Заботкина Е.А., 2014. Методы световой и электронной микроскопии в биологии и ветеринарии: учебно-методическое пособие. Ярославль: ФГБОУ ВПО “Ярославская ГСХА”. 72 с.
- AL-Muhanna M.W.H., 2018. Anatomical and histological study of the kidney of Caracus caracus (Linnaeus, 1758) // Journal of Pharmaceutical Sciences and Research. T. 10. № 4. P. 794–797.
- Betancur R.R., Wiley E.O., Arratia G., Acero A., Bailly N., Miya M., Lecointre G., Orti G., 2017. Phylogenetic classification of bony fishes // BMC evolutionary biology. V. 17. P. 1–40.
- Bjørgen H., Koppang E.O., 2022. Anatomy of teleost fish immune structures and organs // Principles of Fish Immunology: From Cells and Molecules to Host Protection. P. 1–30.
- Charmi A., Parto P., Bahmani M., Kazemi R., 2010. Morphological and Histological Study of Kidney in Juvenile Great Sturgeon (Huso huso) and Persian Sturgeon (Acipenser persicus) // American-Eurasian Journal of Agricultural & Environmental Sciences. V. 7. № 5. P. 505–511.
- Chevalier R.L., 2017. Evolutionary nephrology // Kidney international reports. V. 2. № 3. P. 302–317.
- Dantzler W.H., 2016. Transport of Inorganic Ions by Renal Tubules // Comparative Physiology of the Vertebrate Kidney. New York: Springer. P. 81–157.
- Flerova E.A., Evdokimov E.G., 2022. New Data on Nephron Microanatomy and Ultrastructure of Senegal Bichir (Polypterus senegalus) // Biology. V. 11. P. 1374.
- Kovalchuk L.E., Likhacheva L.M., 1990. Ultrastruktura pochechnogo teltsa presnovodnykh ryb [Ultrastructure of the renal corpuscle of fresh water fishes] // Arkh. Anat. Gistol. Embriol. V. 99. № 8. P. 69–74.
- Lutek K., Foster K.L., Standen E.M., 2022. Behaviour and muscle activity across the aquatic–terrestrial transition in Polypterus senegalus // Journal of Experimental Biology. V. 225. № 23. P. jeb243902.
- Mohammed W.H., AL-Muhanna, 2018. Anatomical and histological study of the kidney of Caracus caracus (Linnaeus, 1758) // Journal of Pharmaceutical Sciences and Research. V. 10. № 4. P. 794–797.
- Mokhtar D.M., 2021. The structural and ultrastructural organization of the cellular constituents of the trunk kidney of grass carp (Ctenopharyngodon idella) // Microscopy Research and Technique. V. 84. № 3. P. 537–547.
- Morovvati H., Mahabady M.K., Shahbazi1 S., 2012. Histomorphological and anatomical study of kidney in berzem (Barbus pectoralis) // International Journal of Fisheries and Aquaculture. V. 4. № 11. P. 221–227.
- Near T.J., Eytan R.I., Dornburg A., Kuhn K.L., Moore J.A., Davis M.P., Wainwright P.C., Friedman M., Smith W.L. et al., 2012. Resolution of ray-finned fish phylogeny and timing of diversification // Proceedings of the National Academy of Science. V. 109. № 34. P. 13 698–13 703.
- Ojeda J.L., Icardo J.M., Domezain A., 2003. Renal corpuscle of the sturgeon kidney: An ultrastructural, chemical dissection, and lectin-binding study // The Anatomical Record Part A: Discoveries in Molecular, Cellular, and Evolutionary Biology. V. 272. № 2. P. 563–573.
- Ojeda J.L., Icardo J.M., Wong W.P., Ip Y.K., 2006. Microanatomy and ultrastructure of the kidney of the African lungfish Protopterus dolloi // The Anatomical Record Part A: Discoveries in Molecular, Cellular, and Evolutionary Biology: An Official Publication of the American Association of Anatomists. V. 288. № 6. P. 609–625.
- Roduit N., 2005. Two complementary efficient methods to quantify porosity types in digital images of thin sections with the software JMicroVision // Abstract, Scenic Sedimentology, 24th IAS Meeting.
- Senarat S., Kettratad J., Poolprasert P., Yenchum W., 2013. Anterior Kidney of the Yellow mystus, Hemibagrus filamentus (Fang and Chaux, 1949) // Agricultural Technology and Biological Sciences: Walailak Journal of Science and Technology. V. 10. № 6. P. 597–600.
- Standen E.M., Standen E.M., Du T.Y., Laroche P., Larsson H.C., 2016. Locomotor flexibility of Polypterus senegalus across various aquatic and terrestrial substrates // Zoology. V. 119. № 5. P. 447–454.
- Zeinab M.E., Manal M.R., Souad A.K., Tasneem R.E., 2015. Comparative studies on the adaptive renal structures of some teleost fish species inhabiting different habitats // Journal of Bioscience and Applied Research. V. 1. № 6. P. 256–265.
Arquivos suplementares




