Skin of the Baikal seal (Pusa sibirica, Phocidae): norm and pathology
- Authors: Anikienko I.V.1, Ryadinskaya N.I.1, Petrov Е.А.2, Kostyunin K.Y.3,4, Belova S.E.1, Ikonnikova D.R.1
-
Affiliations:
- A. A. Ezhevsky Irkutsk State Agrarian University
- Baikal Museum, Irkutsk Scientific Center, Siberian Branch, Russian Academy of Sciences
- Irkutsk State Medical University
- Irkutsk Regional Diagnostic Centre
- Issue: Vol 104, No 1 (2025)
- Pages: 93-111
- Section: ARTICLES
- URL: https://medbiosci.ru/0044-5134/article/view/285421
- DOI: https://doi.org/10.31857/S0044513425010076
- EDN: https://elibrary.ru/SXYYXC
- ID: 285421
Cite item
Full Text
Abstract
Using anatomical and histological methods, we studied the norm and pathological changes in the skin of 12 Baikal seals of different ages (Pusa sibirica) (alopecia, ulcers, scars, etc.). Similar changes are usually observed in many seals appearing on coastal rookeries. Norm: the skin has a folded epidermis on the body and flippers. Hyperkeratosis of the epithelium is noted. No border between the papillary and reticular layers of the dermis is expressed. The papillary layer is formed by thin bundles of collagen fibers, the reticular layer by thick bundles of collagen fibers. In the reticular layer of the skin of the body, there are powerful, numerous bundles of smooth muscles. The dermis of the skin of the flippers is thinner in comparison with the dermis of the skin of the body. In the skin of the body, the sebaceous glands are small and multi-lobed; each hair bundle is usually surrounded by two such glands. The lower secretory sections of the apocrine sweat glands are weakly convoluted and tubular, being located in the deep layers of the reticular dermis and in the adipose tissue separately from the hair follicles and next to the network of blood vessels. Their narrow excretory ducts open into the funnel of the hair at the level of its upper third. In the skin of the flippers, large convoluted apocrine glands are located at the level of the lower sections of the bulbs of the guard hairs, elongated polymorphic excretory ducts of the sebaceous glands open into the hair bags. Morphophysiological adaptations of the skin of seals, contributing to the improvement of its hydrodynamic, thermoregulatory and sun-protective properties, are discussed. Pathology: two main complexes of skin pathologies in seals have been identified: (1) koilocytosis, subepidermal inflammation (the infiltrate is represented by lymphocytes with a small admixture of histiocytes), lymphocyte exocytosis in hair follicles with spongiosis; (2) formation of a subepidermal blister with neutrophilic infiltration in the papillary layer of the dermis. These pathologies may be associated with global warming and changes in the ice regime of Lake Baikal, which may have led to the development of immune inflammatory processes in the skin. The effect of an unknown viral pathogen that caused koilocytosis in seals cannot be ruled out.
Keywords
Full Text
При анализе материалов, полученных с помощью стационарной видеокамеры на о-ве Долгий (архипелаг Ушканьи острова, оз. Байкал), на береговом лежбище у байкальской нерпы (Pusa sibirica Gmelin 1788) были отмечены многочисленные повреждения кожного покрова (алопеция, язвы, шрамы и пр.) (Петров и др., 2021а), что и побудило нас провести данное исследование.
Кожный покров представителей семейства настоящие тюлени описан в ряде фундаментальных работ. Описание структуры кожи обыкновенного тюленя (Phoca vitulina Linnaeus 1758), гренландского тюленя (Pagophilus groenlandicus Erxleben 1777), хохлача (Cystophora cristata Erxleben 1777), южных морских слонов (Mirounga leonina Linnaeus 1758) и байкальской нерпы (Pusa sibirica Gmelin 1788) приведено в работах Соколова и соавторов (Соколов, 1973; Соколов и др., 1988). У настоящих тюленей абсолютная толщина кожи меньше, чем у других ластоногих. В дерме развита сеть эластических волокон и гладкомышечных пучков. В сравнении с ушастыми тюленями больше относительная толщина подкожной жировой клетчатки. Сальные железы крупные (Соколов, 1973; Соколов и др., 1988). Мышца-подниматель волоса (musculus arrector pili) у байкальской нерпы отсутствует (Мордвинов, Куратов, 1972). Сальные железы сеголетка байкальской нерпы имели до 10 долек (Белькович, 1964). Потовые железы располагаются в коже немного глубже, чем луковицы волос. У большинства настоящих тюленей, за исключением гренландского тюленя, выводные протоки апокриновых желез открываются в волосяную сумку ниже выводного протока сальной железы. У байкальской нерпы потовые железы кожи груди и загривка имели длинный слабоизвитой секреторный отдел (Соколов, 1973; Соколов и др., 1988; Соколов, Чернова, 2001). У данного вида выделяют остевые, промежуточные и пуховые волосы (Белькович, 1964). Характерной чертой строения всех категорий волос является отсутствие сердцевинного слоя (Иванов, 1982; Соколов, 1973; Соколов и др., 1988).
У настоящих тюленей проходит ежегодная линька, которая сопровождается полной сменой волосяного покрова и у большинства видов происходит на суше (Beltran et al., 2018). У байкальской нерпы нет внутриутробной линьки, смена волос у новорожденных нерпят начинается в первые недели после рождения и продолжается 5–10 дней. У взрослых нерп ежегодная линька (annual moult) начинается после окончания периода размножения (май–июнь) и длится в норме всего 15–20 дней (Иванов, 1982). Линька – сложный, энергозатратный процесс, который находится под контролем фотопериода и нейроэндокринных процессов. Условия окружающей среды могут влиять на фенологию линьки (Walcott et al., 2020). Например, у самок и самцов хохлача, независимо от возраста, линька проходит синхронно и быстро, что интерпретируют как адаптацию к короткому летнему сезону и суровым условиям обитания (Ling, 2018). Для тюленей Уэдделла (Leptonychotes weddellii Lesson 1826) во время линьки были отмечены повышенные затраты на терморегуляцию, увеличивающиеся при холодной и ветреной погоде, несмотря на морфофизиологическую адаптацию к обитанию в полярных условиях. У обитающих в теплом климате южных морских слонов сезон и продолжительность линьки зависели от пищевого статуса зверей, при этом процесс имплантации бластоцисты зависел от продолжительности светового дня, а не от стадии линьки и мог происходить до завершения смены волоса (Ling, 2012).
Ластоногие, как и другие млекопитающие, подвержены различным заболеваниям (Dierauf, Guland, 2001), в данном случае нас интересуют заболевания кожно-волосяного покрова, причины которых могут быть самые разные. У ластоногих (обычно у содержащихся в неволе) описаны патологии кожи, вызываемые клещами, грибами, бактериями и вирусами (Ringwaldt et al., 2021). Исследователи выделили у тюленей с алопецией, вагинитом, дерматитом и др. патологиями кожи несколько возбудителей, отнесенных к грибам (Trichophyton mentagrophytes Priestley 1917; виды Malassezia sp. Malassez 1874; Yarrowia (Candida) lipolytica Van der Walt & Arx 1981; Candida albicans Berkhout 1923) (Dunn et al., 1984; Pollock et al., 2000). Локальные патологии кожи и системные воспалительные поражения организма часто связаны с условно-патогенными бактериями (Enterococcus faecalis Orla-Jensen 1919; Streptococcus phocae Rosenbach 1884) и у ластоногих в неволе, и у ослабленных диких животных (Taurisano et al., 2018; Wu et al., 2023).
Патологические изменения кожи (язвы, карцинома, дерматит, гиперплазия, дегенерация, некроз и др.), описанные у разных видов ластоногих, могут быть вызваны и вирусами, такими как вирус чумы плотоядных Pestis carnivorum, вирус рода Parapoxvirus (вид не определен), различные аденовирусы (Phocid adenovirus 1, Phocid adenovirus 2, Otariid adenovirus 2) и герпесвирусы (Otariid herpesvirus 1, Phocid herpesvirus 6, Otariid herpesvirus 4) (Barragán-Vargas et al., 2016; Becher et al., 2002; Buckles et al., 2006; Lipscomb et al., 2001; Müller et al., 2003; Wright et al., 2015). У ластоногих, обитающих в естественных условиях, часто не удается установить точную причину поражения кожи, даже при многолетних исследованиях (Грушко, Володина, 2023; Beckmen et al., 1997).
Таким образом, патогены, вызывающие поражения кожи у ластоногих, чрезвычайно разнообразны, и не исключено, что патологии кожно-волосяного покрова у байкальской нерпы могут быть связаны с одним из описанных возбудителей. В то же время не физиологично протекающая линька (сильно растянутая во времени) также может быть причиной патологических изменений кожного покрова млекопитающих (Петров, Купчинский, 2023).
Несмотря на наличие ряда исследований, процесс линьки у ластоногих остается одним из малоизученных событий их жизни, в том числе и у байкальской нерпы. В связи с неблагоприятными ледовыми условиями в 1981 г. процесс линьки у байкальской нерпы был необычно растянут во времени, что, по мнению Пастухова (1993), привело к нарушению эмбриогенеза у особей с затянувшейся линькой и резкому увеличению яловости. В 2011–2021 гг. время выхода нерп на береговое лежбище о-ва Долгий, а также их численность определялись временем исчезновения льдов в северной части Байкала, но независимо от ледового режима около 80% особей на лежбищах продолжали линять (Петров и др., 2021а). У большинства нерп линька имела диффузный характер с элементами патологических проявлений. Например, в 2012 г. у 47 особей отмечены участки алопеций, в 2014 г. таких нерп было 120. Также на лежбищах наблюдались нерпы с многочисленными повреждениями кожи, не связанными с линькой (язвы, шрамы и пр.) (рис. 1). Незавершенная линька не препятствовала нагулу нерп, но не исключено, что она способствует появлению патологий кожно-волосяного покрова (Петров, Купчинский, 2023). Когда нерпы не успевают завершить линьку на плавающих льдах, их численность на береговых лежбищах увеличивается (Петров и др., 2021). Показано, что температура поверхности тела у одиночных южных морских слонов, лежащих на берегу, выше, чем у особей, залегающих группами, и этот феномен расценивают как поведенческую стратегию сохранения тепла (Guerrero et al., 2021). У байкальской нерпы пребывание на лежбище в теплое время года, напротив, может приводить к проблемам с теплоотдачей и перегреву зверей (Баранов и др., 1992; Петров и др., 1998), особенно при большой скученности, которая к тому же способствует возникновению эпизоотий. Случаи массовой гибели байкальской нерпы отмечались во время эпизоотии 1987–1990 гг.; в конце 1990-х–начале 2000 гг. и в конце октября 2017 г. (Goodman, 2016; Mamaev et al., 1995; Ryadinskaya et al., 2020).
Рис. 1. Поражения кожи у байкальской нерпы на лежбище в 2017 г. (A) и 2021 г. (B). Фото Е. А. Петрова с материалов видеосъемки. Из: Петров и др. (2021а).
Цель нашего исследования – выявление патологических изменений кожного покрова у байкальской нерпы (алопеция, язвы, шрамы и другие изменения) и обсуждение возможных причин их возникновения у многих особей, выходящих на береговые лежбища.
Материал и методы
Материал для исследования был получен во время экспедиций в конце августа в 2021 и 2022 гг. По разрешениям на добычу байкальской нерпы в оз. Байкал (Республика Бурятия) с научно-исследовательскими целями, выданными Росрыболовством, было добыто 8 нерп в 2021 г. (№ 032021031373) и 4 нерпы в 2022 г. (№ 032022031197). Отлов зверей проводили с помощью крупноячеистых капроновых сетей. Наша выборка представлена 12 разновозрастными особями (табл. 1). Каждую нерпу подвергали внешнему осмотру, определяли пол, измеряли и взвешивали с точностью до 1 см и 1 кг соответственно. Возраст устанавливали по кольцам дентина на спиле основания клыка (рис. 2) (Amano et al., 2000).
Таблица 1. Выборка исследуемых особей байкальской нерпы (Phoca sibirica Gmelin 1788)
№ особи | Дата отлова | Возраст | Пол | Масса тела, кг | Промеры, см | Наличие/ отсутствие патологии кожи (+/ –) | |||
Длина от носа до конца хвоста | Длина от носа до кончика ласт | Обхват груди | Толщина грудного жира | ||||||
1 | 28.08.2021 | 2+ | Самец | 25 | 96 | 112 | 81 | 4.5–4.8 | + |
2 | 28.08.2021 | 1+ | Самка | 25 | 87 | 101 | 59 | 3.0 | + |
3 | 29.08.2021 | 1+ | Самка | 22 | 87 | 102 | 74 | 4.6 | + |
4 | 29.08.2021 | 1+ | Самец | 25 | 91 | 105 | 77 | 3.0 | + |
5 | 29.08.2021 | 2+ | Самка | 25 | 93 | 109 | 83 | 4.9 | + |
6 | 30.08.2021 | 7+ | Самка | 58 | 129 | 148 | 107 | 4.6 | + |
7 | 30.08.2021 | 7+ | Самец | 57 | 132 | 152 | 102 | 5.3 | + |
8 | 30.08.2021 | 8+ | Самка | 29 | 112 | 130 | 75 | 2.0 | Шрамы |
9 | 14.08.2022 | 2+ | Самец | 22 | 110 | 126 | 86 | 3.0 | – |
10 | 14.08.2022 | 6+ | Самец | 35 | 115 | 129 | 89 | 3.7 | + |
11 | 22.08.2022 | 3+ | Самец | 25 | 99 | 115 | 85 | 3.5 | – |
12 | 22.08.2022 | 9+ | Самка | 64 | 142 | 162 | 108 | 5.9–6.0 | Шрам |
Рис. 2. Неокрашенный срез основания клыка самца байкальской нерпы (№ 10, самец, возраст 6+ лет): ц – цемент, д – дентин, 1–6 – годовые кольца дентина. Увеличение ×40.
После наружного осмотра с добытой туши снимали кожу с подкожной клетчаткой, одновременно отбирая пробы кожи для гистологического исследования у всех 12 исследуемых особей. Затем производили разрез по белой линии живота от мечевидного отростка до лонных костей, а для доступа к грудной полости – по реберным хрящам вдоль грудной кости с последующим осмотром внутренних органов.
Для гистологического исследования были взяты образцы нормальной кожи в области груди, живота и спины у 12 нерп, образцы с алопецией, язвами, шрамами и другими повреждениями у 10 нерп (табл. 1). Полученные образцы фиксировали в 10% нейтральном формалине (“БиоВитрум”, Санкт-Петербург, Россия) в течение 2–3 дней. Заливку в парафин проводили после обработки фиксированных тканей в изопропиловом спирте. Серийные срезы толщиной 8–10 мкм изготовляли на микротоме “МЗП-01 ТЕХНОМ” (ООО “КБ ТЕХНОМ”, Екатеринбург, Россия). Для описания волосяных фолликулов, волос в пучках в дермальном слое использовали тангенциальные сечения, для морфометрии – продольные сечения. Далее микросрезы депарафинизировали и окрашивали гематоксилином и эозином, используя стандартные процедуры окрашивания (“БиоВитрум”, Санкт-Петербург, Россия). Также срезы кожи подвергали комбинированному окрашиванию по Вейгерту и Ван-Гизону (“БиоВитрум”, Санкт-Петербург, Россия) (Лилли, 1969). После анализа гистологических срезов при помощи микроскопа марки “Levenhuk625 Biological microscope” (США) были отобраны образцы кожи с выраженными патологическими изменениями, их сравнивали с нормальной кожей у того же животного на соответствующем участке.
Измерение толщины кожи, эпителия и дермы проводили на продольных срезах кожи при помощи микроскопа “Levenhuk625”, цифровой камеры “Levenhuk M800 PLUS” и программы “LevenhukLite” для анализа срезов. При морфометрии кожи применяли методику, предложенную Автандиловым (1990), вычисляли среднее значение, полученное при измерении в 30 полях зрения.
Полученные данные в сравниваемых группах (кожа в норме и при патологии) анализировали при помощи t-теста Стьюдента. Различия считались достоверными при р. < 0.05. Статистическая обработка результатов проводилась с помощью статистического пакета программ Statistica 6.0.
Результаты
У двух половозрелых особей обнаружены шрамы, предположительно оставленные орудиями лова (рис. 3). У взрослой самки № 8 (табл. 1, рис. 3A) имелись глубокие повреждения кожи (в том числе и гиподермы) – шрамы, опоясывающие голову, грудь и шею, полученные нерпой явно от продолжительного пребывания в сетях, скорее всего нерпичьих. У зверя присутствовали признаки кахексии (истощения). При массе тела 29 кг (минимальное значение для половозрелых животных) толщина жира на груди составляла 2 см. На теле взрослой самки № 12 (табл. 1, рис. 3B) присутствовал линейный шрам, идущий поперечно по вентральной поверхности грудной клетки на уровне плечевых суставов. Шрам возник предположительно при давнем касательном пулевом ранении. Наибольший интерес представляли повреждения кожи, не являющиеся последствием воздействия человека.
Рис. 3. Шрамы на коже у взрослых самок № 8 (A) и № 12 (B): ш – шрам.
В 2021 г. у всех добытых байкальских нерп отмечены участки повреждений неправильной формы на теле, ластах и голове, на них часто отсутствовали волосы и пигментация. Участки были с неровными краями, их размер колебался от 1 мм до 3 см (рис. 4). Наибольшее количество кожных патологий обнаружено на ластах, а также в области крестца на теле животных. На коже всех особей в большом количестве обитали вши (Echinophthirius horridus baicalensis Olfers 1816). Среди нерп, добытых в 2022 г., только у одной особи на ластах имелись небольшие участки поврежденной кожи (табл. 1, № 10) и количество эктопаразитов на теле было значительно меньше в сравнении с нерпами добытыми в предыдущем году.
Рис. 4. Участки алопеций на коже байкальской нерпы (слева, сверху вниз – № 1, самка, 2+; № 2, самка, 1+; № 4, самец, 1+; справа – № 5, самка, 2+).
Гистологическое строение кожи. Норма. Кожа туловища и ласт байкальской нерпы покрыта многослойным плоским ороговевающим эпителием (рис. 5), имеющим складчатую структуру на всей ее поверхности. В эпидермисе туловища складки более выражены, имеют в сечении форму гриба (с узким основанием и широкой вершиной) и наклон в сторону волоса (рис. 6А). В эпителии ласт складки гораздо меньше по размеру и отличаются разнообразной формой: округлой, грибовидной и чешуйчатой (6B, 6C).
Рис. 5. Тангенциальное сечение кожи байкальской нерпы (№ 2, самка, 1+) в области груди: уф – устье волосяного фолликула, сж – сальная железа, пф – первичный фолликул, вф – вторичный фолликул (стрелки), фв – волосяной фолликул, пж – потовые железы (наконечники стрелок). На врезке – увеличенный участок эпителия с того же слайда, в эпителии видны гранулы пигмента: рс – роговой слой, шс – шиповатый слой, бс – базальный слой (стрелка). Окраска гематоксилином с эозином.
Рис. 6. Складки эпителия байкальской нерпы в коже туловища (A) (№ 2, самка, 1+) и ласт (B, С) (№ 5, самка, 2+): гс – грибовидные складки, ос – округлые складки, чс – чешуйчатые складки. Окраска гематоксилином с эозином (A, B), окраска Вейгерт – Ван Гизон (С).
Морфометрия кожи у исследуемых животных представлена в табл. 2. Эпидермис у неполовозрелых байкальских нерп был толще в области живота, максимальная его толщина отмечалась у двухлетней особи № 1 и составила 58.4 ± 3.82 мкм. У половозрелых животных – особи № 10 – максимальная толщина эпидермиса была в ластах 89.1 ± 7.74 мкм. Клетки базального слоя цилиндрической формы. В ластах двухлетних животных базальный слой имел бо́льшую высоту, даже в сравнении с половозрелыми нерпами. Даже у одного животного количество рядов клеток в шиповатом слое может колебаться в среднем от 2 до 6 рядов, клетки имеют шиповатую форму с округлыми или овальными ядрами. Наибольшая толщина шиповатого слоя у неполовозрелых особей была отмечена в эпидермисе живота у особи № 1 (13.1 ± 1.93 мкм), у половозрелых – в эпидермисе спины у нерпы № 7 (15.0 ± 1.77 мкм) и ласт у № 10 (17.9 ± 2.15 мкм). Зернистый слой чрезвычайно тонкий, представлен 1–2 слоями веретеновидных клеток, его толщина у исследуемых животных составляла от 4.1 до 6.4 мкм. Роговой слой у исследованных нерп хорошо выражен и имеет максимальную толщину в сравнении с толщиной остальных слоев эпидермиса (табл. 2). Бо́льшая толщина рогового слоя описана у половозрелых нерп в сравнении с неполовозрелыми. Максимальная толщина рогового слоя установлена у 6-летнего самца в коже ласт (особь № 10, табл. 2). Роговой слой частично рыхлый, варьирует, как и шиповатый, по толщине даже в пределах одного среза; на некоторых участках имеются пласты отслаивающихся чешуек. В клетках эпидермиса присутствуют гранулы пигмента, которые встречаются не только в базальном и шиповатом слоях, но и в роговом.
Таблица 2. Промеры кожи исследуемых особей байкальской нерпы (в норме и при патологии)
№ особи, возраст | Участок отбора материала | Норма/ патология | Толщина, мкм | |||||
эпидермиса | рогового слоя | зернистого слоя | шиповатого слоя | базального слоя | дермы | |||
1, 2+ | Спина | Норма | 54.5 ± 3.22 | 32.4 ± 1.56 | 4.6 ± 0.37 | 9.3 ± 1.92 | 6.2 ± 0.72 | 2443.5 ± 32.79 |
Патология | 90.8 ± 8.56* | 47.0 ± 4.50* | 5.3 ± 0.65 | 22.4 ± 6.20 | 8.4 ± 1.74 | 2437.2 ± 164.00 | ||
Живот | Норма | 58.4 ± 3.82 | 34.0 ± 1.99 | 5.4 ± 0.55 | 13.1 ± 1.93 | 6.9 ± 0.84 | 2882.9 ± 83.50 | |
Патология | 127.5 ± 14.87* | 46.3 ± 6.18 | 16.9 ± 2.93* | 49.4 ± 6.81* | 12.5 ± 1.45* | 2989.0 ± 71.59 | ||
Ласты | Норма | 55.9 ± 3.62 | 20.7 ± 2.67 | 6.3 ± 0.53 | 16.6 ± 1.62 | 10.4 ± 0.74 | 1182.9 ± 117.79 | |
Патология | 97.5 ± 16.10* | 35.9 ± 8.18 | 8.6 ± 0.94* | 39.2 ± 6.09* | 13.7 ± 1.68 | 1220.9 ± 159.65 | ||
2, 1+ | Грудь | Норма | 42.3 ± 2.59 | 22.3 ± 1.61 | 4.1 ± 0.33 | 9.4 ± 0.68 | 4.9 ± 0.36 | 2895.7 ± 69.07 |
Патология | 94.8 ± 10.58* | 41.0 ± 7.02* | 8.6 ± 0.47* | 39.1 ± 4.91* | 6.7 ± 0.77* | 2813.3 ± 49.97 | ||
3, 1+ | Живот | Норма | 47.4 ± 1.46 | 24.5 ± 1.04 | 4.9 ± 0.12 | 11.0 ± 0.59 | 5.6 ± 0.22 | 2983.1 ± 60.23 |
Патология | 106.9 ± 13.20* | 32.8 ± 3.30* | 16.9 ± 3.31* | 47.0 ± 9.88* | 11.2 ± 1.78* | 3118.9 ± 145.06 | ||
Ласты | Норма | 44.9 ± 1.70 | 23.4 ± 1.10 | 4.8 ± 0.14 | 10.0 ± 0.67 | 5.3 ± 0.23 | 1107.3 ± 27.16 | |
Патология | 75.4 ± 8.38* | 33.4 ± 3.00* | 5.6 ± 0.42 | 21.8 ± 2.40* | 6.8 ± 0.49* | 1103.4 ± 78.81 | ||
4, 1+ | Спина | Норма | 45.4 ± 2.24 | 23.9 ± 1.26 | 4.9 ± 0.30 | 10.3 ± 0.59 | 5.5 ± 0.27 | 2865.4 ± 64.41 |
Патология | 87.6 ± 8.11* | 39.4 ± 4.33* | 10.1 ± 0.93* | 31.7 ± 4.26* | 6.5 ± 0.67 | 2792.2 ± 84.88 | ||
5, 2+ | Живот | Норма | 57.8 ± 2.75 | 28.4 ± 2.12 | 6.9 ± 0.23 | 12.2 ± 0.98 | 10.1 ± 0.72 | 2910.2 ± 72.67 |
Патология | 130.3 ± 14.09* | 53.5 ± 8.83* | 14.2 ± 1.14* | 48.3 ± 6.82* | 13.1 ± 0.93* | 2833.1 ± 79.03 | ||
Ласты | Норма | 55.6 ± 3.57 | 20.8 ± 2.65 | 6.1 ± 0.56 | 16.8 ± 1.62 | 10.4 ± 0.75 | 1184.3 ±118.91 | |
Патология | 96.9 ± 15.95* | 30.8 ± 5.53 | 6.9 ± 0.83 | 39.7 ± 5.58* | 13.4 ± 1.56 | 1189.4 ± 153.91 | ||
6, 7+ | Спина | Норма | 67.6 ± 3.80 | 41.4 ± 2.12 | 4.9 ± 0.73 | 12.8 ± 1.56 | 7.0 ± 0.70 | 3064.1 ± 183.25 |
Патология | 124.9 ± 15.21* | 54.2 ± 7.06 | 13.3 ± 2.22* | 45.0 ± 7.89* | 12.5 ± 1.76* | 3153.7 ± 131.60 | ||
7, 7+ | Спина | Норма | 76.4 ± 2.13 | 44.1 ± 2.84 | 6.7 ± 0.79 | 15.0 ± 1.77 | 9.9 ± 0.65 | 3937.4 ± 99.64 |
Патология | 107.7 ± 10.67* | 62.0 ± 7.68* | 7.8 ± 0.57 | 27.3 ± 3.80* | 9.8 ± 0.57 | 3838.5 ± 126.26 | ||
Живот | Норма | 76.5 ± 3.52 | 49.0 ± 3.79 | 5.1 ± 0.44 | 13.6 ± 1.80 | 8.2 ± 0.82 | 3976.5 ± 86.84 | |
Патология | 116.7 ± 10.89* | 80.9 ± 11.30* | 7.6 ± 0.56* | 18.4 ± 2.06 | 8.1 ± 0.47 | 4010.1 ± 11.15 | ||
10, 6+ | Ласты | Норма | 89.1 ± 7.74 | 56.5 ± 6.56 | 6.4 ± 0.38 | 17.9 ± 2.15 | 8.7 ± 0.83 | 2682.4 ± 124.05 |
Патология | 149.9 ± 10.15* | 89.0 ± 8.11* | 8.6 ± 0.52* | 39.1 ± 3.99* | 11.7 ± 1.02* | 2719.9 ± 134.51 | ||
Примечания. Приведены значения средней арифметической (mx) и стандартной ошибки (± SE). * – p < 0.05 – в сравнении с соответствующим участком с нормальным строением.
На тангенциальных сечениях кожи туловища байкальской нерпы в дермальном слое (рис. 5), начиная от эпидермиса до подкожной клетчатки, нами описаны четыре выраженных уровня расположения волосяных фолликулов и желез, начиная от эпидермиса до подкожной клетчатки. В верхнем слое с устьями волосяных фолликулов группами располагаются остевой волос и 2–4 пуховых волоса. В более глубоком слое залегают фолликулы, объединенные в группы (1 первичный фолликул и 3–4 вторичных), и сальные железы. Многодольчатые сальные железы небольшие, каждую волосяную сумку окружают, как правило, две такие железы. Еще глубже на третьем уровне находятся отдельно лежащие крупные одиночные фолликулы и отделы трубчатых апокриновых желез с фолликулами меньшего размера. Четвертый уровень содержит базальные отделы фолликулов, недалеко от которых располагаются апокриновые железы и пучки кровеносных сосудов. Эпителий влагалища волоса пигментирован. В глубоких слоях сетчатой дермы, а также в жировой клетчатке нижние секреторные отделы апокриновых желез располагаются отдельно от волосяных фолликулов рядом с сетью кровеносных сосудов.
Таким образом, у нерпы секреторные отделы апокриновых желез слабо извитые длинные и залегают глубоко в коже, выводной проток представляет собой узкую трубку. Эта трубка открывается в воронку волоса незаметным отверстием, расположенным на уровне верхней трети волоса немного ниже протока сальных желез.
В коже ласт в основании остевого волоса залегают мощные мешковидно расширенные апокриновые железы (рис. 7B). Выводные протоки сальных желез открываются в волосяную сумку приблизительно на уровне ее нижней трети, чаще рядом с волосом располагается одна железа, но встречаются также и две железы (рис. 7). Железы имеют неправильную вытянутую форму, среди них редко встречаются многодольчатые.
Рис. 7. Дерма (A) и потовые железы ласт (B) нерпы (№ 3, самка, 1+): фв – волосяной фолликул, сж – сальная железа, вс – волосяной сосочек, пж – потовая железа, стрелки указывают на гладкомышечные клетки. Окраска гематоксилином с эозином.
Граница между сосочковым и сетчатыми слоями дермы не выражена. Сосочковый слой образован плотно лежащими пучками коллагеновых волокон, расположенными параллельно и вертикально по отношению к поверхности кожи. Сетчатый слой состоит из переплетенных толстых пучков коллагеновых волокон, идущих в разном направлении. Промеры толщины дермы представлены в табл. 2. Дерма кожи ласт у всех исследуемых животных была тоньше в сравнении с дермой кожи туловища животных, в то время как толщина эпителия ласт немного меньше толщины эпителия кожи живота или равна ей.
Гладких мышц, поднимающих волосы (musculus arrector pili), ни в коже ласт, ни в туловище у нерпы мы не обнаружили. При этом имеются мощные, многочисленные пучки гладких мышц в сетчатой дерме на границе с гиподермой в коже туловища (рис. 8). Пучки этих мышц ориентированы как параллельно, так и перпендикулярно поверхности кожи. Количество пучков колебалось от 6 до 39 (в поле зрения), их ширина составляла от 21.81 ± 3.53 до 30.70 ± 4.79 мкм, длина – от 86.36 ± 4.73 до 124.87 ± 10.24 мкм.
Рис. 8. Гладкие мышцы дермы байкальской нерпы (№ 9, самец, 2+): сд – сетчатый слой дермы, гм – пучки гладких мышц (указывают стрелки), пк – подкожная жировая клетчатка (гиподерма). Окраска гематоксилином с эозином.
Толщина подкожного жира у неполовозрелых особей в области груди варьировала от 3.0 до 4.9 см, у половозрелых – от 3.7 до 6.0 см, в области живота у неполовозрелых нерп варьировала от 2.5 до 4.5 см, у половозрелых – от 3.2 до 6.0, на спине от 4.2 до 7.1 см и от 5.3 до 8.0 см соответственно. Важно отметить, что у половозрелой особи № 8 (самка, 8+) толщина жира в области груди составляла всего 2.0 см, в области живота 2.3 см, а на спине 2.9 см. Это связано с кахексией (истощением) этой нерпы вследствие значительного повреждения кожи сетями. У данного животного при вскрытии была отмечена бурая атрофия печени и миокарда, а также почек, селезенки, лимфоузлов, скелетных мышц и других органов.
Патология. При исследовании поврежденных участков кожи ласт и туловища нерп обнаружены патологические изменения, которые можно объединить в два комплекса.
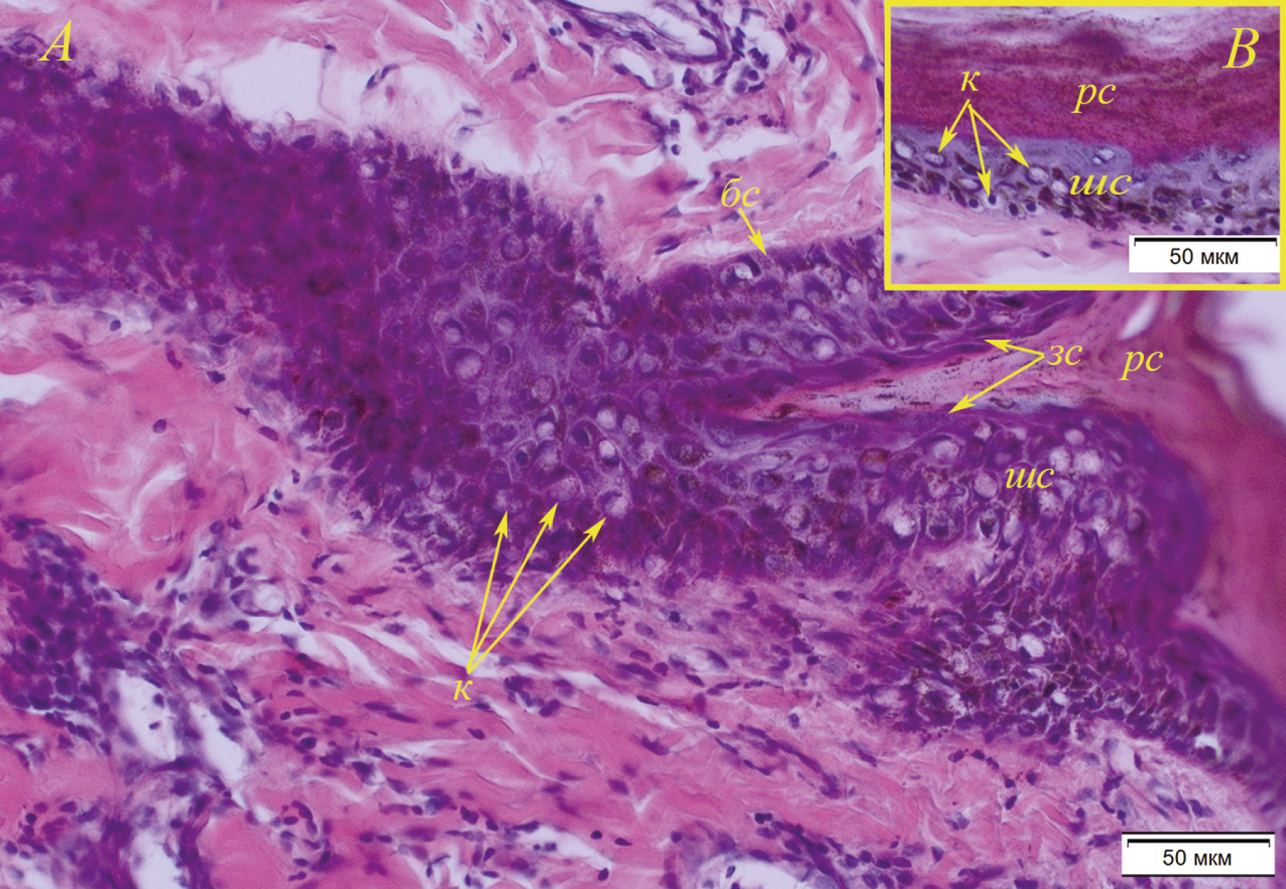
(1) Первый связан с появлением эпителиоцитов с признаками койлоцитоза (рис. 9). Койлоциты встречаются во всех слоях эпителия за исключением рогового. Цитоплазма патологичных клеток эпителия с перинуклеарным просветлением, клетки приобретают округлую форму. Ядро большинства койлоцитов имеет форму полумесяца, в таком случае оно лежит на периферии клетки, либо круглую форму, при этом оно конденсировано и расположено центрально. Также среди койлоцитов встречаются единичные клетки с признаками митоза. Койлоциты встречаются и в эпителии устья волосяных фолликулов на всем его протяжении, в том числе в корнях волос (рис. 10).
Рис. 9. Койлоцитоз в коже брюшной стенки (A; № 7, самец, 7+) и спины (B; № 4, самец, 1+) байкальской нерпы: рс – роговой слой эпителия, зс – зернистый слой (стрелки указывают на уплощенные веретеновидные клетки), шс – шиповатый слой, бс – базальный слой (указан стрелкой), к – койлоциты с лунообразными ядрами и койлоциты с центрально расположенным ядром (указывают стрелки). Окраска гематоксилином с эозином.
Рис. 10. Койлоцитоз в эпителии волосяных фолликулов ласт (№ 1, самка, 2+): к – койлоциты эпителия наружных влагалищ волосяного фолликула (показаны стрелками), сж – сальная железа. Окраска Вейгерт – Ван Гизон.
Одновременно с процессом койлоцитоза в субэпидермальных слоях кожи имеются очаги воспаления, локализующиеся в основном периваскулярно и частично перифолликулярно (рис. 11). В более глубоких слоях воспаление усиливается, локализуясь, в том числе, и вокруг потовых желез. Воспалительный инфильтрат представлен лимфоцитами с небольшим количеством гистиоцитов. В срезах кожи с поражениями также обнаружен экзоцитоз, связанный с тем, что лимфоциты мигрируют в волосяные фолликулы (рис. 12). Клетки влагалища волосяного фолликула отечны, присутствуют явления спонгиоза. Описанный комплекс патологических изменений кожи встречался наиболее часто при исследовании пораженных участков у байкальской нерпы.
Рис. 11. Воспаление в дерме кожи ласт байкальской нерпы (№ 5, самка, 2+) (A) с участками периваскулярного (B) и перифолликулярного (C) скопления инфильтрата (лимфоциты с примесью гистиоцитов): с – сосуды (указаны стрелкой), фв – волосяной фолликул. Окраска гематоксилином с эозином.
Рис. 12. Миграция лимфоцитов в волосяной фолликул (экзоцитоз) и спонгиоз эпителиоцитов эпителия волосяного влагалища (№ 1, самка, 2+): фв – волосяной фолликул, л – лимфоциты, мигрирующие в фолликул (указаны стрелками). В выделенных желтым цветом областях показаны эпителиоциты с признаками спонгиоза (отечные эпителиоциты, отделенные друг от друга). Окраска гематоксилином с эозином.
При проведении морфометрии кожи нерп с койлоцитозом было обнаружено, что у всех исследуемых зверей происходило значительное увеличение толщины эпителия (табл. 2). Практически у всех особей отмечалось увеличение толщины шиповатого слоя, за исключением кожи спины у нерпы № 1, а также кожи живота у нерпы № 7. Но даже на данных участках кожи установлена тенденция к увеличению шиповатого слоя. В девяти из тринадцати образцов кожи было обнаружено увеличение зернистого слоя, в семи образцах – увеличение базального слоя. В шести образцах отмечалось одновременное увеличение зернистого, шиповатого и базального слоев. В девяти образцах с патологией кожи у нерп обнаружено увеличение рогового слоя. Различия в толщине дермы нормальной кожи ласт и туловища и кожи при патологии не были обнаружены.
(2) Мы обнаружили и другую форму патологии в срезах поврежденной кожи – субэпидермальный пузырь (рис. 13). Субэпидермальный пузырь был описан у нерпы № 6 (самка, 7+) в коже в области живота. У нее также был отмечен койлоцитоз и воспаление, связанное с ним, в коже спины. При данной патологии кожи происходит формирование полости между базальным слоем эпителия и сосочковым слоем дермы. Морфометрия кожи при данной патологии не проводилась, поскольку визуально определяется только роговой слой вследствие некроза клеток остальных слоев. В непосредственной близости с полостью пузыря на вершине сосочкового слоя дермы находятся нейтрофильные гранулоциты.
Рис. 13. Субэпидермальный пузырь (A) и инфильтрация дермы нейтрофилами (B) у нерпы № 6 (самка, 7+): сп – полость субэпидермального пузыря, желтым выделен один из участков нейтрофильной инфильтрации дермы. Окраска гематоксилином с эозином.
Обсуждение
Отмеченные в нашем исследовании поражения кожи, связанные с воздействием человека (рыболовные сети, повреждения частями судов и др.), имеют место и у других ластоногих (Colegrove et al., 2018). У байкальской нерпы на всей поверхности тела и ласт описана складчатость многослойного плоского ороговевающего эпителия, эти складки имеют форму гриба и немного наклонены в сторону волоса. Эти структуры, вероятно, связаны с гидродинамическими характеристиками и позволяют нерпе быстрее плавать. Экспериментальные исследования подтверждают эту гипотезу: показано, что при обычных скоростях плавания волосяной покров байкальского тюленя показал бо́льшую эффективность, чем безволосая и гладкая поверхность кожи (Мордвинов, Куратов, 1972). Аналогичные гидродинамические характеристики приведены для каспийского тюленя и ларги (Мордвинов, 1984).
Мы обнаружили, что неровность эпидермиса возникает из-за перекрывающихся острых грибовидных гребней, немного наклоненных в сторону волос. Аналогичные структуры обнаружены у обыкновенного тюленя и северного морского слона (Khamas et al., 2012).
Интересной особенностью байкальской нерпы, обнаруженной нами при исследовании нормальной кожи, являлся гиперкератоз (утолщение рогового слоя кожи) эпителия, клеток влагалищ волосяных фолликулов. Ранее для байкальской нерпы было показано наличие рогового слоя значительной толщины, при этом отмечались положительная гистохимическая реакция на кератин и отсутствие ядер в клетках этого слоя (Гармаев и др., 2013). Избыточное количество меланина в коже наземных млекопитающих является признаком заболеваний кожи. Однако у байкальской нерпы большое количество меланина и гиперкератоз обнаружены у здоровых животных и это, вероятно, является вариантом нормы. У арктических тюленей (тюленя Уэдделла, морского леопарда (Hydrurga leptonyx Blainville 1820) и южного морского слона), подвергающихся сильной солнечной радиации, также отмечено высокое содержание меланина в коже. Однако оно сопровождается паракератозом (сохранение ядер в клетках рогового слоя), предположительно снижающим замещение клеток кожи, а меланин защищает кожу от солнечной радиации (Krmpotic et al., 2018). Паракератоз описан в эпидермисе китов и рассматривается как возвращение к эволюционно примитивной форме ороговения, связанной с потерей у них волосяных фолликулов (Pfeiffer, Rowntree, 1996; Reeb et al., 2007). Мы полагаем, что высокий уровень солнечной радиации привел к формированию у байкальской нерпы адаптации к нему за счет пигментации не только кожи, но и эпителия наружных влагалищ волосяных фолликулов. Меланин выполняет защитную функцию при нахождении нерп под лучами солнца (суммарная продолжительность солнечного сияния на оз. Байкал достигает 2524 ч), что необходимо, поскольку нерпы проводят вне воды под солнцем достаточно много времени, как на поверхности льда, так и на берегу (Петров, 2009). Паракератоз у арктических тюленей и гиперкератоз у байкальской нерпы, возможно, обусловлены обитанием в воде с разной минерализацией (морская вода с высокой минерализацией и пресная, слабоминерализованная байкальская вода).
У байкальской нерпы, тихоокеанского обыкновенного тюленя и северного морского слона отсутствуют гладкие мышцы, поднимающие волос, при этом в дермальном слое на границе с гиподермой расположены продольные и поперечные пучки гладкомышечных клеток, однако функциональное значение их пока не выявлено (Соколов, 1973; Khamas et al., 2012; Гармаев и др., 2013). Наши исследования подтвердили отсутствие musculus arrector pili и наличие гладкомышечных пучков. Вероятно, данные мышцы принимают участие в изменении тонуса и упругости кожи, в том числе влияют на формирование складчатости кожи на суше и разглаживание (распрямление) кожи в воде во время плавания, что улучшает гидродинамические характеристики тюленя.
Толстый слой подкожного жира у байкальской нерпы также помогает передвижению в водной среде, поскольку он имеет разную толщину в разных участках тела животного и помогает придать телу форму шара. Изучая у байкальской нерпы зависимость площади поверхности тела от его массы, исследователи нашли, что коэффициент, связывающий эти параметры, составляет у молодых особей 6.9, а у взрослых – всего 5.5, в то время как у шара он равен 4.8. Форма тела хорошо упитанных взрослых особей приближается к шарообразной – самой выгодной с энергетической точки зрения: сфера имеет наименьшую поверхность при заданном объеме (Баранов и др., 1988). К близкому выводу пришли ученые (Рядинская и др., 2020) при изучении скелета байкальской нерпы, его дорсовентральная асимметрия (лордоз и кифоз позвоночного столба) придают форму капли телу байкальской нерпы. Эти особенности байкальской нерпы связаны как с теплоотдачей, так и с облегчением передвижения в водной среде.
По литературным данным (Белькович, 1964), у байкальской нерпы достаточно хорошо развиты сальные и потовые железы апокринового типа, при этом на безволосых участках тела большинства тюленей нет потовых желез. По мнению исследователя, наиболее активно железы функционируют в июне, и особенно интенсивно, когда животные находятся вне воды, что связано с необходимостью избегать перегрева. Однако имеются разногласия по поводу локализации потовых желез. По нашим данным, секреторные отделы потовых желез у байкальской нерпы лежат в нижних слоях сетчатого слоя дермы и даже в жировой клетчатке рядом с сетью кровеносных сосудов, а не в нижней части сосочкового слоя, как считают Гармаев и др. (2013). Мы предполагаем, что глубокие отделы апокриновых желез участвуют в процессах термо- и осморегуляции. Обнаруженные в ластах байкальской нерпы, как и у других ластоногих, разветвленные потовые железы апокринового типа, по всей видимости, выполняют терморегуляторную функцию.
Микроскопическое исследование пораженной кожи байкальской нерпы показало наличие двух видов изменений. Первый сопровождался явлениями койлоцитоза, обнаруженными в эпидермисе, а не в слизистых оболочках, как у дельфинов (см. ниже), при этом признаки воспаления в поврежденном эпителии отсутствовали. Воспалительный инфильтрат присутствовал субэпидермально вокруг кровеносных сосудов и волосяных фолликулов, и его количество увеличивалось в глубине дермы, например в ластах на уровне расположения потовых желез. В связи с этим мы не имеем доказательств прямого воздействия патогена вирусной природы на кожу нерпы. В то же время состав воспалительного инфильтрата (преобладают лимфоциты с небольшим количеством гистиоцитов) свидетельствует об ответной реакции на патоген, который имеет вирусную природу. Не исключено, что данные патологические изменения связаны с воздействием нескольких патогенов, действие которых происходило в разное время.
При морфометрии обнаружено, что у нерп койлоцитоз в коже сопровождался увеличением толщины эпидермиса. В большинстве образцов (11 из 12) с койлоцитозом обнаружено увеличение толщины шиповатого слоя, также отмечалось утолщение зернистого (9), базального (7) и рогового слоев (9). Мы полагаем, что такое утолщение эпидермиса и его слоев связано с образованием койлоцитов, которые превосходят по размерам нормальные клетки эпителия. В свою очередь, утолщение рогового слоя (гиперкератоз) связано с изменением нормальной структуры и функции клеток нижележащих слоев. Это подтверждается тем, что у всех животных с патологичным ороговением, наблюдалось увеличение шиповатого и зернистого слоев, содержащих большое количество клеток. Отсутствие выраженных различий в толщине дермы между нормой и патологией связано по всей видимости с давностью патологических изменений и отсутствием выраженного отека.
У других морских млекопитающих патологический койлоцитоз описан у нескольких видов дельфинов (темного дельфина (Sagmatias obscurus Gray 1828), обыкновенного дельфина (Delphinus delphis Linnaeus 1758), бутылконосого дельфина (Tursiops truncatus Montagu 1821), гребнезубого дельфина (Steno bredanensis Lesson 1828), а также у представителя семейства морские свиньи (аргентинская морская свинья (Phocoena spinipinnis Burmeister 1865)) в слизистой оболочке рта и половых органов. В образцах пораженных тканей найдены включения папиллома вируса (семейство Papillomaviridae), приводящие к образованию бородавок (папиллом) в коже (Van Bressem et al., 1996; Gonzales-Viera et al., 2012). Исследование эпителия половых органов у щенков и взрослых самок калифорнийского морского льва показало, что количество койлоцитов и воспалительного инфильтрата, представленного лимфоцитами и нейтрофилами, у щенков увеличивалось с возрастом, и у взрослых особей было максимальным. Атипичная клеточная трансформация чаще отмечалась у животных с наличием воспаления в тканях, причем воспалительный инфильтрат содержал, преимущественно, лимфоциты, а не нейтрофилы. Однако заражение OtHV-1 не было связано с наличием трансформированных клеток, что не позволяет предполагать вирусную природу карцином (Barragán-Vargas et al., 2016).
Можно заключить, что койлоцитоз представляет собой трансформацию клеток эпителия, часто вызванную вирусами, и является патогномоничным (хотя и не обязательным) признаком папилломавирусной инфекции. При исследовании животных, пойманных в дикой природе, патологические изменения часто связаны с наличием нескольких патогенов, один из которых является “фоновым” (Bergin et al., 2013).
Процесс миграции лимфоцитов в эпителий волосяного фолликула у байкальской нерпы остается неясным, поскольку роль внутриэпидермальных лимфоцитов недостаточно изучена. В литературе обсуждались несколько возможных функций таких лимфоцитов: участие в элиминации клеток, зараженных вирусом или злокачественно перерожденных; стимуляция регенерации эпителия и регуляция состояния межклеточных контактов (Мяделец, 2000). Наличие спонгиоза в клетках волосяных фолликулов в коже байкальской нерпы при экзоцитозе лимфоцитов подтверждает последнюю версию. Тем не менее остается неясным, почему описанные патологические явления отмечены только в волосяных фолликулах и какие патогены могли запустить данный процесс?
Поскольку потепление климата коснулось и оз. Байкал, изменение ледового режима (ускоренное разрушение и таяние льдов) отразилось на сроках сезонной линьки и нагула байкальской нерпы (Петров и др., 2021; Петров, Купчинский, 2023). Возникает вопрос, не могла ли линька, в последние годы растягивающаяся у заметного количества зверей на месяцы, приводить к койлоцитозу? Отек клеток эпителия и разрыв межклеточных связей между ними при спонгиозе могли быть следствием затянувшегося процесса смены волосяного покрова, поскольку иммунная система, прежде всего, реагировала на рост волоса, который должен был смениться ранее.
Мы не нашли информации о причинах возникновения субэпидермальных пузырей, сопровождающегося нейтрофильной инфильтрацией сосочков дермы у животных. У человека сходные патогистологические признаки возникают при герпетиформном дерматите Дюринга, а также при других буллезных заболеваниях, включая линейный IgA-дерматоз, приобретенный буллезный эпидермолиз (Antiga, Caproni, 2015). Многие из перечисленных заболеваний являются аутоиммунными воспалительными, например два указанных буллезных заболевания связаны с воспалением кишечника и формированием иммунных комплексов в коже и кишечнике. Не исключено, что и у байкальской нерпы данная патология кожи имеет иммунную воспалительную природу. К возникновению иммунных комплексов могла привести и затянувшаяся линька.
Заключение
Наши исследования выявили новые и подтвердили некоторые прежние данные о гистологии кожи байкальской нерпы в норме и патологии. Они показали, что складчатость эпителия тела и ласт нерпы влияет на гидродинамические характеристики при плавании, а также может влиять на процессы терморегуляции. Интенсивная пигментация всех слоев эпидермиса кожи и эпителия корневых влагалищ волоса, а также гиперкератоз, характерный для кожи байкальской нерпы в норме, способствуют защите кожи байкальской нерпы от солнечного излучения. Апокриновые потовые железы в коже туловища располагаются в сетчатом слое дермы и жировой клетчатке. В сетчатой дерме ласт апокриновые железы более мощные и секреторные отделы лежат в основании волосяного фолликула. Мышцы, поднимающие волосы, отсутствуют, но обнаружены продольные и поперечные гладкомышечные пучки в глубоких слоях дермы на границе с гиподермой, которые могут в водной среде улучшать гидродинамику плавания, а на суше – терморегуляцию.
Описаны два комплекса патологий кожи. (1) Койлоцитоз, перифолликулярное и периваскулярное воспаление (инфильтрат представлен лимфоцитами с небольшой примесью гистиоцитов) в субэпидермальных слоях кожи, экзоцитоз лимфоцитов в волосяные фолликулы с явлениями спонгиоза. При койлоцитозе происходило увеличение толщины эпидермиса. Шиповатый, зернистый и базальный слои увеличивались из-за койлоцитов, имеющих больший размер в сравнении с нормальными клетками. Также койлоцитоз сопровождался гиперкератозом рогового слоя, связанным с изменением функции клеток нижележащих слоев. (2) Формирование субэпидермального пузыря с нейтрофильной инфильтрацией в сосочковом слое дермы.
Обнаруженные патологии могут быть связаны с потеплением климата и изменением ледового режима Байкала, приведшим к удлинению периода линьки и возникновению иммунных воспалительных процессов. Не исключено и воздействие неизвестного вирусного патогена, вызвавшего койлоцитоз эпителия нерп, ослабленных длительной линькой.
Анализ литературных данных свидетельствует, что патологии кожи ластоногих в искусственных и естественных условиях обитания отличаются: в неволи очень часто заболевания кожи связаны с условно-патогенными микроорганизмами, тогда как в природе многие патогены, вызывающие поражение кожи, как правило, не относятся к условно-патогенным, природа значительного числа из них до сих не выяснена. Несомненно, это связано с многообразием факторов природной среды, которые могут влиять на изменение кожи. Полученные нами данные свидетельствуют о необходимости и целесообразности продолжения комплексных исследований патологий кожи у байкальского эндемика с привлечением к этим исследованиям специалистов разного профиля.
Благодарности
Авторы благодарят команду теплохода “Профессор А. А. Тресков”, которая обеспечила выполнение экспедиционных работ в полном объеме.
Финансирование работы
Исследования проводились на базе учебной и научно-исследовательской лаборатории “Диагностика и патоморфология животных” ФГБОУ ВО Иркутский ГАУ, использовано оборудование Центра коллективного пользования “Научно-экспедиционный центр Байкал” (https://ckp-rf.ru/catalog/ckp/3213559).
Работа не имела спонсорской поддержки.
Соблюдение этических стандартов
Настоящая статья не содержит исследований с участием людей или животных в качестве объектов экспериментальных исследований. Отлов животных осуществлялся крупноячеистыми капроновыми сетями на лежбищах Ушканьих островов по разрешениям на добычу байкальской нерпы № 032021031373 (2021 год) и № 032022031197 (2022 год) в озере Байкал (Республика Бурятия) с научно-исследовательскими целями, выданным Росрыболовством.
Конфликт интересов
Авторы заявляют, что у них нет конфликта интересов.
About the authors
I. V. Anikienko
A. A. Ezhevsky Irkutsk State Agrarian University
Author for correspondence.
Email: babushcinai@mail.ru
Russian Federation, Irkutsk Region
N. I. Ryadinskaya
A. A. Ezhevsky Irkutsk State Agrarian University
Email: ryadinskaya.nina@mail.ru
Russian Federation, Irkutsk Region
Е. А. Petrov
Baikal Museum, Irkutsk Scientific Center, Siberian Branch, Russian Academy of Sciences
Email: evgen-p@yandex.ru
Russian Federation, Irkutsk Region
K. Yu. Kostyunin
Irkutsk State Medical University; Irkutsk Regional Diagnostic Centre
Email: kostjunin@gmail.com
Russian Federation, Irkutsk; Irkutsk
S. E. Belova
A. A. Ezhevsky Irkutsk State Agrarian University
Email: sonab5215@gmail.com
Russian Federation, Irkutsk Region
D. R. Ikonnikova
A. A. Ezhevsky Irkutsk State Agrarian University
Email: dasha2002.30anim@gmail.com
Russian Federation, Irkutsk Region
References
- Автандилов Г. Г., 1990. Медицинская морфометрия. Руководство. М.: Медицина. 384 с.
- Баранов В. И., Баранов Е. А., Елагин О. К., Петров Е. А., Шошенко К. А., 1988. Кровоток в коже и подкожном жире байкальской нерпы // Журнал эволюционной биохимии и физиологии. Т. 24. № 3. С. 437– 444.
- Баранов В. И., Елагин О. К., Корохов В. П., Петров Е. А., Чермных Н. А. и др., 1992. Органное кровообращение байкальской нерпы при изменении температуры и нырянии // Бионика. № 25. С. 98–108.
- Белькович В. М., 1964. Строение кожного покрова некоторых ластоногих. Морфологические особенности водных млекопитающих. М.: Наука. С. 5–47.
- Гармаев Б. Ц., Цыбикжапов А. Д., Сиразиев Р. З., 2013. Структурно-функциональная организация кожно-волосяного покрова байкальской нерпы: монография. Улан-Удэ: Бурятская ГСХА им. В. Р. Филиппова. 77 с.
- Грушко М. П., Володина В. В., 2023. Морфология кожного покрова каспийского тюленя (Phoca caspica Gmelin, 1788) // Актуальные вопросы ветеринарной медицины. № 1 (57). С. 60–63.
- Иванов М. К., 1982. Кожно-волосяной покров байкальской нерпы // Морфофизиологические и экологические исследования байкальской нерпы. Новосибирск: Наука. С. 20–39.
- Лилли Р., 1969. Патогистологическая техника и практическая гистохимия. М.: Мир. 646 с.
- Мордвинов Ю. Е., 1984. Функциональная морфология плавания птиц и полуводных млекопитающих. Киев: Наук. думка. 168 с.
- Мордвинов Ю. Е., Куратов Б. В., 1972. Влияние волосяного покрова некоторых видов настоящих тюленей (Phocidae) на величину общего гидродинамического сопротивления // Зоологический журнал. Т. 51. № 2. С. 242–247.
- Мяделец О. Д., 2000. Клеточные механизмы барьерно-защитных функций кожи и их нарушения при кожной патологии. Витебск: Издательство Витебского государственного медицинского университета. 283 с.
- Пастухов В. Д., 1993. Нерпа Байкала: биологические основы рационального использования и охраны ресурсов. Новосибирск: ВО “Наука”. 272 с.
- Петров Е. А., 2009. Байкальская нерпа. Улан-Удэ: ИД “Экос”. 176 с.
- Петров Е. А., Елагин О. К., Баранов В. И., Шошенко К. А., 1998. Сосудистые реакции у байкальской нерпы Pusa sibirica при разных типах ныряний // Журнал эволюционной биохимии и физиологии Т. 34. № 1. С. 50–56.
- Петров Е. А., Купчинский А. Б., Фиалков В. А., Бадардинов А. А., 2021. Значение береговых лежбищ в жизни байкальской нерпы (Pusa sibirica Gmelin 1788, Pinnipedia). 1. Обзор // Зоологический журнал. Т. 100. № 5. С. 590–600.
- Петров Е. А., Купчинский А. Б., Фиалков В. А., Бадардинов А. А., 2021а. Значение береговых лежбищ в жизни байкальской нерпы (Pusa sibirica Gmelin 1788, Pinnipedia). 3. Функционирование лежбищ байкальской нерпы на острове Тонкий (Ушканьи острова, оз. Байкал) по материалам видеонаблюдений // Зоологический журнал. Т. 100. № 7. С. 823– 840.
- Петров Е. А., Купчинский А. Б., 2023. Растянутая линька на фоне потепления климата – основная причина выхода байкальской нерпы (Pusa sibirica, Pinnipedia) на береговые лежбища // Зоологический журнал. Т. 102. № 2. С. 201–214.
- Рядинская Н. И., Аникиенко И. В., Иконникова Д. Р., Ильина О. П., Карпова Е. А. и др., 2020. Скелет байкальской нерпы. Молодежный: Издательство Иркутского государственного аграрного университета им. А. А. Ежевского. 61 с.
- Соколов В. Е., 1973. Кожный покров млекопитающих. М.: Наука. 487 с.
- Соколов В. Е., Скурат Л. Н., Степанова Л. В., Сумина Е. Б., Шабадаш С. А., 1988. Руководство по изучению кожного покрова млекопитающих. М.: Наука. 280 с.
- Соколов В. Е., Чернова О. Ф., 2001. Кожные железы млекопитающих. М.: ГЕОС. 648 с.
- Amano M., Miyazaki N., Petrov E. A., 2000. Age determination and growth of Baikal seals (Phoca sibirica) // Advances in Ecological Research. V. 31. P. 449–462.
- Antiga E., Caproni M., 2015. The diagnosis and treatment of dermatitis herpetiformis // Clin. Cosmet. Investig Dermatol. V. 8. P. 257–265.
- Barragán-Vargas C., Montano-Frías J., Ávila Rosales G., Godínez-Reyes C.R., Acevedo-Whitehouse K., 2016. Transformation of the genital epithelial tract occurs early in California sea lion development // R. Soc. open sci. V. 3. № 3. P. 150419.
- Becher P., König M., Müller G., Siebert U., Thiel H. J., 2002. Characterization of sealpox virus, a separate member of the parapoxviruses // Arch. Virol. V. 147. P. 1133–1140.
- Beckmen K. B., Lowenstine L. J., Newman J., Hill J., Hanni K., Gerber J., 1997. Clinical and pathological characterization of northern elephant seal skin disease // J. Wildlife Diseases. V. 33. № 3. P. 438–449.
- Beltran R., Burns J., Breed G., 2018. Convergence of biannual moulting strategies across birds and mammals // Proceedings of the Royal Society B: Biological Sciences. V. 285. P. 20180318.
- Bergin I. L., Bell J. D., Chen Z., Zochowski M. K., Chai D. et al., 2013. Novel Genital Alphapapillomaviruses in Baboons (Papio hamadryas Anubis) With Cervical Dysplasia // Veterinary Pathology. V. 50. № 1. P. 200–208.
- Buckles E. L., Lowenstine L. J., Funke C., Vittore R. K., Wong H. N. et al., 2006. Otarine Herpesvirus-1, not papillomavirus, is associated with endemic tumours in California sea lions (Zalophus californianus) // Journal of Comparative Pathology. V. 135. № 4. P. 183–189.
- Colegrove K. M., Burek-Huntington K.A., Roe W., Siebert U., 2018. Chapter 23 – Pinnipediae // Pathology of Wildlife and Zoo Animals. Terio K. A., McAloose D., Leger J. St. (Ed.). Academic Press. P. 569–592.
- Dierauf L. A., Guland F. M.D., 2001. Handbook of Marine Mammal Medicine. Boca Raton, Florida: CRC Press.
- Dunn J. L., Buck J. D., Spotte S., 1984. Candidiasis in captive pinnipeds // J. Am. Vet. Med. Assoc. V. 185. № 11. P. 1328–1330.
- Gonzales-Viera O., Marigo J., Ruoppolo V. C., Rosas F. C.W., Bertozzi C. P., Catão-Dias J.L., 2012. Occurrence of Toxoplasma gondii, Papillomavirus and Poxvirus Infections in Brazilian Dolphins // Materials American Association of Zoo Veterinarians Conference, 2012, Oakland (California, USA) [Электронный ресурс]. Режим доступа: https://www.vin.com/apputil/content/defaultadv1.aspx?pId=11367&catId=152766&id=9846859&ind=115&objTypeID=17. (Дата обновления: 15.01.24).
- Goodman S., 2016. Pusa sibirica, Baikal seal // The IUCN Red List of Threatened Species. P. 1–17.
- Guerrero A. I., Rogers T. L., Sepúlveda M., 2021. Conditions influencing the appearance of thermal windows and the distribution of surface temperature in hauled-out southern elephant seals // Conservation Physiology. V. 9. № 1. P. coaa141.
- Khamas W. A., Smodlaka H., Leach-Robinson J., Palmer L., 2012. Skin histology and its role in heat dissipation in three pinniped species // Acta Vet Scand. V. 54. № 1. P. 46.
- Krmpotic C. M., Loza C. M., Negrete J., Scarano A. C., Carlini A. A. et al., 2018. Integument in Antarctic seals: A comparative study and its relation to extreme environments // Acta Zool. V. 99. № 3. P. 281–295.
- Ling J. K., 2012. The skin and hair of the southern elephant seal, Mirounga leonina (Linn.). IV. Annual cycle of pelage follicle activity and moult // Australian Journal of Zoology. V. 60. № 4. P. 259–271.
- Ling J. K., 2018. A histological study of the skin, hair follicles and moult of the hooded seal (Cystophora cristata [Erxleben, 1777]) // Polar Research. V. 37. № 1. P. 1419906.
- Lipscomb T. P., Mense M. G., Habecker P. L., Taubenberger J. K., Schoelkopf R., 2001. Morbilliviral dermatitis in seals // Vet Pathol. V. 38. № 6. P. 724–726.
- Mamaev L. V., Denikina N. N., Belikov S. I., Volchkov V. E., Visser I. K.G. et al., 1995. Characterisation of morbilliviruses isolated from Lake Baikal seals (Phoca sibirica) // Veterinary Microbiology. V. 44. P. 251–259.
- Müller G., Gröters S., Siebert U., Rosenberger T., Driver J. et al., 2003. Parapoxvirus infection in harbor seals (Phoca vitulina) from the German North Sea // Vet. Pathol. V. 40. № 4. P. 445–454.
- Pfeiffer C. J., Rowntree V. J., 1996. Epidermal ultrastructure of the southern right whale calf (Eubalaena australis) // J Submicrosc Cytol Pathol. V. 28. № 2. P. 277– 286.
- Pollock C. G., Rohrbach B., Ramsay E. C., 2000. Fungal dermatitis in captive pinnipeds // Journal of zoo and wildlife medicine. V. 31. № 3. P. 374–378.
- Reeb D., Best P., Kidson S., 2007. Structure of the integument of southern right whales, Eubalaena australis // Anatomical record. V. 290. P. 596–613.
- Ringwaldt E. M., Brook B. W., Carver S., Buettel J. C., 2021. The Patterns and Causes of Dermatitis in Terrestrial and Semi-Aquatic Mammalian Wildlife // Animals. V. 11. № 6. P. 1691.
- Ryadinskaya N., Meltsov I., Tabakova M., Anikienko I., Sayvanova S. et al., 2020. Identification of causes of death of Baikal seal (Pusa sibirica Gmelin, 1788) // Turkish Journal of Zoology. V. 44. P. 60–63.
- Taurisano N. D., Butler B. P., Stone D., Hariharan H., Fields P. J. et al., 2018. Streptococcus phocae in marine mammals of northeastern pacific and arctic Canada: a retrospective analysis of 85 postmortem investigations // J. Wildlife Diseases. V. 54. № 1. P. 101–111.
- Van Bressem M.-F., Van Waerebeek K., Pierard G. E., Desaintes C., 1996. Genital and lingual warts in small cetaceans from coastal Peru // Diseases of Aquatic Organisms. V. 26. P. 1–10.
- Walcott S. M., Kirkham A. L., Burns J. M., 2020. Thermoregulatory costs in molting Antarctic Weddell seals: impacts of physiological and environmental conditions: Themed Issue Article: Conservation of Southern Hemisphere Mammals in a Changing World // Conserv Physiol. V. 8. № 1. P. coaa022.
- Wright E. P., Waugh L. F., Goldstein T., Freeman K. S., Kelly T. R. et al., 2015. Evaluation of viruses and their association with ocular lesions in pinnipeds in rehabilitation // Vet Ophthalmol. V. 18. № s1. P. 148–159.
- Wu Q., Wang Y., Zhang X., Gu X., He H., Jin X., 2023. Pyogranulomatous dermatitis with Enterococcus faecalis in a spotted seal (Phoca larga) // Veterinary Medicine and Science. V. 9. № 2. P. 985–991.
Supplementary files















