Белковый профиль и аллергенные свойства тропомиозина и других аллергокомпонентов в составе водно-солевого экстракта гигантской тигровой креветки (Penaeus monodon)
- Авторы: Бержец В.М.1, Алаторцева Г.И.1, Нестеренко Л.Н.1, Хлгатян С.В.1, Петрова С.Y.1, Петрова Н.С.1, Васильева А.В.1, Пищулина Л.А.1, Емельянова О.Y.1
-
Учреждения:
- ФГБНУ “Научно-исследовательский институт вакцин и сывороток имени И.И. Мечникова” Министерства науки и высшего образования Российской Федерации
- Выпуск: Том 49, № 5 (2023)
- Страницы: 502-508
- Раздел: Статьи
- URL: https://medbiosci.ru/0132-3423/article/view/139254
- DOI: https://doi.org/10.31857/S0132342323050111
- EDN: https://elibrary.ru/BQJLKL
- ID: 139254
Цитировать
Полный текст
Аннотация
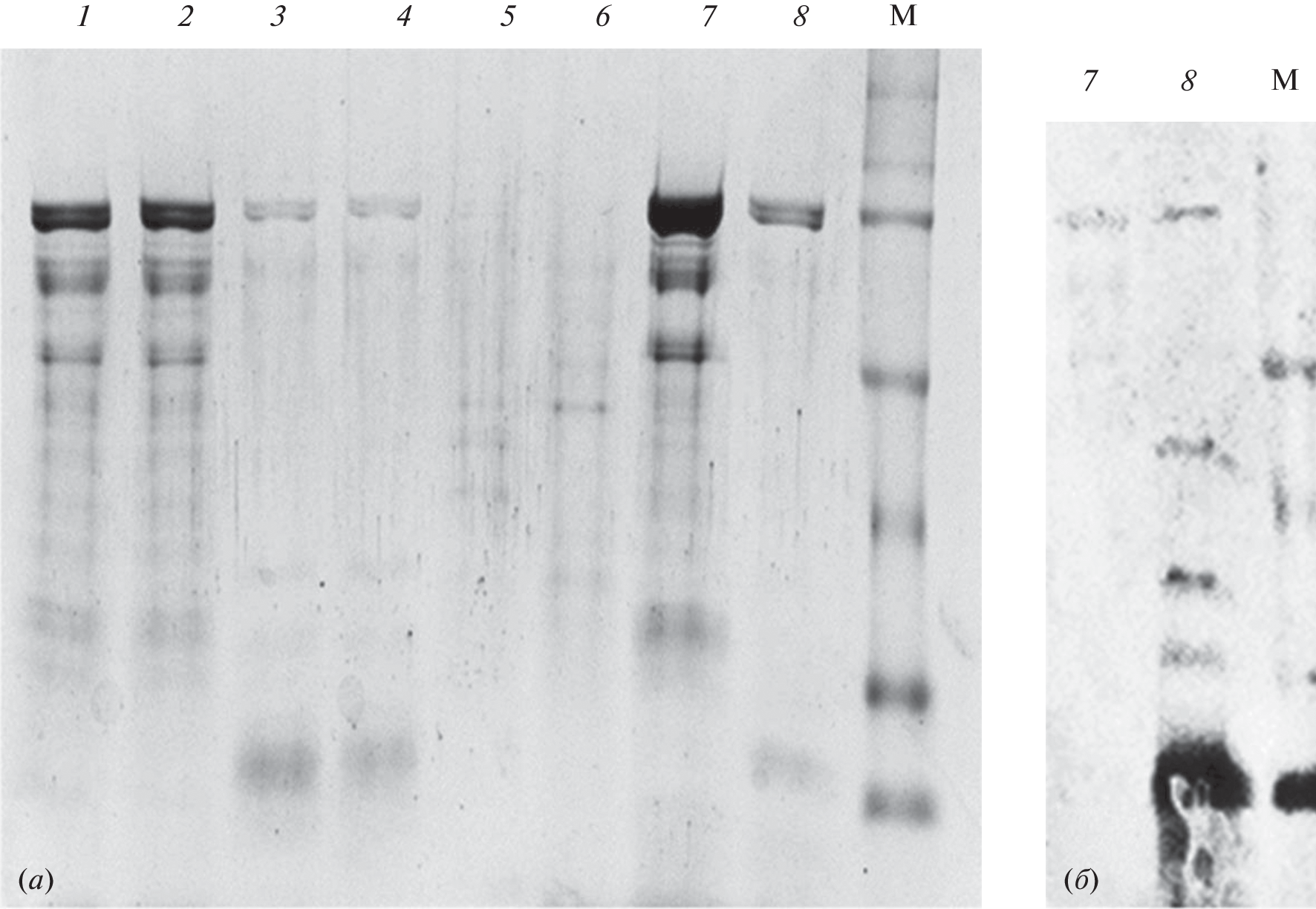
Несмотря на успехи в идентификации новых аллергенов ракообразных, отличных от тропомиозина, многие потенциальные аллергены остаются неидентифицированными. В настоящее время на российском рынке отсутствуют диагностические и лечебные аллергены ракообразных, в том числе тропомиозин беспозвоночных. Цель данного исследования – изучение аллергенных свойств тропомиозина и других белков водно-солевого экстракта из гигантских тигровых креветок (Penaeus monodon). Аллергенные экстракты готовили из сырого и вареного мяса тигровых креветок P. monodon. Для выявления специфической активности экспериментальных аллергенов использовали сыворотки пациентов с сенсибилизацией к ракообразным. Содержание специфических IgE в сыворотках составляло 3.50–17.49 МЕ/мл, что соответствует 3-му классу активности. С образцами аллергенов сырых и вареных креветок проводили ИФА и электрофорез в ПААГ с последующим вестерн-блоттингом с наиболее аллерген-специфичной сывороткой. Показано, что экстракты из сырых и вареных креветок обладают аллергенной активностью (связывают IgE). Термическая обработка креветок не оказывала влияния на изменение аллергенной активности экстрактов, кроме одного образца, у которого была обнаружена сильная реакция с антигенами из экстракта вареных креветок. Доказано, что подобранные условия экстрагирования позволяют выявлять многофракционный характер белкового профиля экстрактов сырых и вареных креветок. В вестерн-блоттинге экстракт из сырых креветок имел слабую реакцию, причем тропомиозин вообще не был выявлен. В то же время в препарате вареных креветок определено пять белковых компонентов, активно реагирующих с IgE-антителами пациента, страдающего аллергией к ракообразным. Полученные данные позволят расширить знания об аллергии к ракообразным и продолжить исследования по определению оптимальных условий очистки аллергенов креветок.
Ключевые слова
Об авторах
В. М. Бержец
ФГБНУ “Научно-исследовательский институт вакцин и сывороток имени И.И. Мечникова”Министерства науки и высшего образования Российской Федерации
Email: petrovastanislava@yandex.ru
Россия, 105064, Москва, Малый Казенный пер., 5а
Г. И. Алаторцева
ФГБНУ “Научно-исследовательский институт вакцин и сывороток имени И.И. Мечникова”Министерства науки и высшего образования Российской Федерации
Email: petrovastanislava@yandex.ru
Россия, 105064, Москва, Малый Казенный пер., 5а
Л. Н. Нестеренко
ФГБНУ “Научно-исследовательский институт вакцин и сывороток имени И.И. Мечникова”Министерства науки и высшего образования Российской Федерации
Email: petrovastanislava@yandex.ru
Россия, 105064, Москва, Малый Казенный пер., 5а
С. В. Хлгатян
ФГБНУ “Научно-исследовательский институт вакцин и сывороток имени И.И. Мечникова”Министерства науки и высшего образования Российской Федерации
Email: petrovastanislava@yandex.ru
Россия, 105064, Москва, Малый Казенный пер., 5а
С. Ю. Петрова
ФГБНУ “Научно-исследовательский институт вакцин и сывороток имени И.И. Мечникова”Министерства науки и высшего образования Российской Федерации
Автор, ответственный за переписку.
Email: petrovastanislava@yandex.ru
Россия, 105064, Москва, Малый Казенный пер., 5а
Н. С. Петрова
ФГБНУ “Научно-исследовательский институт вакцин и сывороток имени И.И. Мечникова”Министерства науки и высшего образования Российской Федерации
Email: petrovastanislava@yandex.ru
Россия, 105064, Москва, Малый Казенный пер., 5а
А. В. Васильева
ФГБНУ “Научно-исследовательский институт вакцин и сывороток имени И.И. Мечникова”Министерства науки и высшего образования Российской Федерации
Email: petrovastanislava@yandex.ru
Россия, 105064, Москва, Малый Казенный пер., 5а
Л. А. Пищулина
ФГБНУ “Научно-исследовательский институт вакцин и сывороток имени И.И. Мечникова”Министерства науки и высшего образования Российской Федерации
Email: petrovastanislava@yandex.ru
Россия, 105064, Москва, Малый Казенный пер., 5а
О. Ю. Емельянова
ФГБНУ “Научно-исследовательский институт вакцин и сывороток имени И.И. Мечникова”Министерства науки и высшего образования Российской Федерации
Email: petrovastanislava@yandex.ru
Россия, 105064, Москва, Малый Казенный пер., 5а
Список литературы
- Альбанова В.И., Петрова С.Ю. // Атопический дерматит: учебное пособие для врачей. Москва: ГЭОТАР-Медиа, 2022. С. 50–83. https://doi.org/10.33029/9704-6852-4-ATD-2022-1-168
- Альбанова В.И., Пампура А.Н. // Атопический дерматит, 2-е издание. Москва: ГЭОТАР-Медиа. 2020. С. 55–88.
- Лепешкова Т.С., Бельтюков Е.К., Наумова В.В., Смоленская О.Г., Царькова С.А., Савельева Е.В., Закирова Л.Р. // Пищевая аллергия. Диагностика, лечение и профилактика: учебное пособие. Екатеринбург: УГМУ, 2021. С. 20–21.
- Гамбаров С.С., Кцоян Л.А. // Трудный пациент. 2019. Т. 17. С. 47–50. https://doi.org/10.24411/2074-1995-2019-10020
- Грищенко Е.А. // Аллергология и иммунология в педиатрии. 2017. Т. 48. С. 36–48. https://doi.org/10.24411/2500-1175-2017-00006
- Canonica G.W., Ansotegui I.J., Pawankar R., Schmid-Grendelmeier P., van Hage M., Baena-Cagnani C.E., Melioli G., Nunes C., Passalacqua G., Rosenwasser L., Sampson H., Sastre J., Bousquet J., Zuberbier T., Allen K., Asero R., Bohle B., Cox L., de Blay F., Ebisawa M., Maximiliano-Gomez R., Gonzalez-Diaz S., Haahtela T., Holgate S., Jakob T., Larche M., Matricardi P.M., Oppenheimer J., Poulsen L.K., Renz H.E., Rosario N., Rothenberg M., Sanchez-Borges M., Scala E., Valenta R. // World Allergy Organ. J. 2020. V. 13. P. 100091. https://doi.org/10.1016/j.wao-jou.2019.100091.13
- Chafen J.J.S., Newberry S.J., Riedl M.A., Bravata D.M., Maglione M., Suttorp M.J., Sundaram V., Paige N.M., Towfigh A., Hulley B.J., Shekelle P.G. // JAMA. 2010. V. 303. P. 1848–1856. https://doi.org/10.1001/jama.2010.582
- Sicherer S.H. // J. Allergy Clin. Immunol. 2011. V. 127. P. 594–602. https://doi.org/10.1016/j.jaci.2010.11.044
- Leung N.Y., Wai C.Y., Shu S., Wang J., Kenny T.P., Chu K.H., Leung P.S. // Clin. Rev. Allergy Immunol. 2014. V. 46. P. 180–197. https://doi.org/10.1007/s12016-012-8336-9
- Insects as sustainable food ingredients: production, processing and food applications / Ed. Dossey A.T., Morales-Ramos J.A., Rojas M.G. New York: Acad. Press, 2016. P. 252–272. https://doi.org/10.1016/C2014-0-03534-4
- Allergen nomenclature. WHO/IUIS Allergen Nomenclature Sub-Committee. http://www.allergen.org
- Piboonpocanun S., Jirapongsananuruk O., Tipayanon T., Boonchoo S., Goodman R.E. // Mol. Nutr. Food Res. 2011. V. 55. P. 1492–1498.
- Karnaneedi S., Huerlimann R., Johnston E.B., Nugraha R., Ruethers T., Taki A.C., Kamath S.D., Wade N.M., Jerry D.R., Lopata A.L. // Int. J. Mol. Sci. 2021. V. 22. 32. https://doi.org/10.3390/ijms22010032
- Бержец В.М., Петрова Н.С., Хлгатян С.В., Емельянова О.В. // Патент RU 2331437 C1, опубл. 20.08.2008. https://yandex.ru/patents/doc/RU2331437C1_20080820
- Sahabudin S., Misnan R., Yadzir Z.H., Mohamad J., Abdullah N., Bakhtiar F., Murad S. // Malaysian J. Med. Sci. 2011. V. 18. P. 2732.
- Faisal D., Vasiljevic T., Osaana D. // Int. J. Food Sci. Technol. 2019. V. 54. P. 183–193. https://doi.org/10.1111/ijfs.13922
- Liu G.-M., Cheng H., Nesbit J.B., Su W.-J., Gao M.-J., Maleki S.J. // J. Food. Sci. 2010. V. 75. P. 1–5.
- Carnes J., Ferrer A., Huertas A.J., Andreu C., Larramendi C.H., Fernandez-Caldas E. // Ann. Allergy Asthma Immunol. 2007. V. 98. P. 349–354.
- Kamath S.D., Rahman A.M., Voskamp A., Komoda T., Rolland J.M., O’Hehir R.E., Lopata A.L. // Mol. Nutr. Food Res. 2014. V. 58. P. 1144–1155. https://doi.org/10.1002/mnfr.201300584
Дополнительные файлы



