Липосомы с набором Т-клеточных эпитопов вируса SARS-CoV-2 как прототип вакцинной конструкции
- Авторы: Третьякова Д.С.1, Свирщевская Е.В.1, Коновалова М.В.1, Плохих К.С.2, Казаков В.А.3, Телегин Г.Б.3, Чернов А.С.3, Гущин В.А.4, Васина Д.В.4, Егорова Н.С.1, Болдырев И.А.1, Онищенко Н.Р.1, Алексеева А.С.1, Водовозова Е.Л.1
-
Учреждения:
- ФГБУН “Институт биоорганической химии им. академиков М.М. Шемякина и Ю.А. Овчинникова” РАН
- ФГБУ “Национальный исследовательский центр “Курчатовский институт”
- Филиал Института биоорганической химии им. академиков М.М. Шемякина и Ю.А. Овчинникова РАН
- ФГБУ “Национальный исследовательский центр эпидемиологии и микробиологии имени почетного академика Н.Ф. Гамалеи” Минздрава России
- Выпуск: Том 49, № 1 (2023)
- Страницы: 48-64
- Раздел: Статьи
- URL: https://medbiosci.ru/0132-3423/article/view/145868
- DOI: https://doi.org/10.31857/S0132342322060252
- EDN: https://elibrary.ru/POMUEE
- ID: 145868
Цитировать
Полный текст
Аннотация
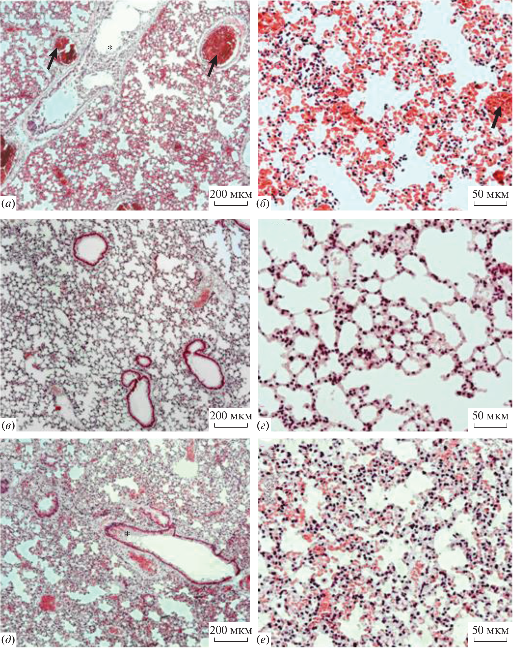
На основании анализа публикаций по результатам полногеномного иммуноинформационного анализа Т-клеточных эпитопов вируса SARS-CoV-2 (уханьский штамм), а также ряда клинических исследований иммунодоминантных эпитопов среди выздоравливающих после перенесенного заболевания COVID-19 пациентов, отобраны и синтезированы потенциальные нонамерные эпитопы CD8+-Т-лимфоцитов из состава структурных, вспомогательных и неструктурных белков вируса (13 пептидов) и 15-мерный эпитоп CD4+-Т-лимфоцитов из S-белка. Пять композиций из 6–7 пептидов включали в липосомы из яичного фосфатидилхолина и холестерина (размер ~200 нм), полученные методом экструзии. После двукратной подкожной иммунизации конвенциональных мышей оценивали активацию клеточного звена иммунитета по уровню синтеза цитокинов спленоцитами in vitro в ответ на стимуляцию соответствующими пептидными композициями. Лучший результат, свидетельствующий о формировании специфического клеточного иммунитета в ответ на вакцинацию, отмечен у одной из липосомальных формуляций. Проверка протективной эффективности этой формуляции на инфекционной модели мышей показала положительную динамику частоты встречаемости гиалиноподобных мембран в просвете альвеол, а также коррекцию выраженности микроциркуляторных нарушений. Последнее обстоятельство потенциально может способствовать снижению тяжести заболевания и предупреждению неблагоприятных его исходов. Отрабатывается метод получения препаратов липосом с пептидными композициями для длительного хранения.
Об авторах
Д. С. Третьякова
ФГБУН “Институт биоорганической химии им. академиков М.М. Шемякина и Ю.А. Овчинникова” РАН
Email: elvod@lipids.ibch.ru
Россия, 117997, Москва, ул. Миклухо-Маклая, 16/10
Е. В. Свирщевская
ФГБУН “Институт биоорганической химии им. академиков М.М. Шемякина и Ю.А. Овчинникова” РАН
Email: elvod@lipids.ibch.ru
Россия, 117997, Москва, ул. Миклухо-Маклая, 16/10
М. В. Коновалова
ФГБУН “Институт биоорганической химии им. академиков М.М. Шемякина и Ю.А. Овчинникова” РАН
Email: elvod@lipids.ibch.ru
Россия, 117997, Москва, ул. Миклухо-Маклая, 16/10
К. С. Плохих
ФГБУ “Национальный исследовательский центр “Курчатовский институт”
Email: elvod@lipids.ibch.ru
Россия, 123182, Москва, пл. Академика Курчатова, 1
В. А. Казаков
Филиал Института биоорганической химии им. академиков М.М. Шемякина и Ю.А. Овчинникова РАН
Email: elvod@lipids.ibch.ru
Россия, 142290, Пущино, Институтская ул., 8
Г. Б. Телегин
Филиал Института биоорганической химии им. академиков М.М. Шемякина и Ю.А. Овчинникова РАН
Email: elvod@lipids.ibch.ru
Россия, 142290, Пущино, Институтская ул., 8
А. С. Чернов
Филиал Института биоорганической химии им. академиков М.М. Шемякина и Ю.А. Овчинникова РАН
Email: elvod@lipids.ibch.ru
Россия, 142290, Пущино, Институтская ул., 8
В. А. Гущин
ФГБУ “Национальный исследовательский центр эпидемиологии и микробиологииимени почетного академика Н.Ф. Гамалеи” Минздрава России
Email: elvod@lipids.ibch.ru
Россия, 123098, Москва, ул. Гамалеи, 18
Д. В. Васина
ФГБУ “Национальный исследовательский центр эпидемиологии и микробиологииимени почетного академика Н.Ф. Гамалеи” Минздрава России
Email: elvod@lipids.ibch.ru
Россия, 123098, Москва, ул. Гамалеи, 18
Н. С. Егорова
ФГБУН “Институт биоорганической химии им. академиков М.М. Шемякина и Ю.А. Овчинникова” РАН
Email: elvod@lipids.ibch.ru
Россия, 117997, Москва, ул. Миклухо-Маклая, 16/10
И. А. Болдырев
ФГБУН “Институт биоорганической химии им. академиков М.М. Шемякина и Ю.А. Овчинникова” РАН
Email: elvod@lipids.ibch.ru
Россия, 117997, Москва, ул. Миклухо-Маклая, 16/10
Н. Р. Онищенко
ФГБУН “Институт биоорганической химии им. академиков М.М. Шемякина и Ю.А. Овчинникова” РАН
Email: elvod@lipids.ibch.ru
Россия, 117997, Москва, ул. Миклухо-Маклая, 16/10
А. С. Алексеева
ФГБУН “Институт биоорганической химии им. академиков М.М. Шемякина и Ю.А. Овчинникова” РАН
Email: elvod@lipids.ibch.ru
Россия, 117997, Москва, ул. Миклухо-Маклая, 16/10
Е. Л. Водовозова
ФГБУН “Институт биоорганической химии им. академиков М.М. Шемякина и Ю.А. Овчинникова” РАН
Автор, ответственный за переписку.
Email: elvod@lipids.ibch.ru
Россия, 117997, Москва, ул. Миклухо-Маклая, 16/10
Список литературы
- Delany I., Rappuoli R., De Gregorio E. // EMBO Mol. Med. 2014. V. 6 (6). P. 708–720.
- De Temmerman M.-L., Rejman J., Demeester J., Irvine D.J., Gander B., De Smedt S.C. // Drug Discov. Today. 2011. V. 16 (13-14). P. 569–582.
- Reed S., Orr M., Fox C. // Nat. Med. 2013. V. 19. P. 1597–1608.
- Kawai T., Akira S. // Nat. Immunol. 2010. V. 11. P. 373–384.
- Allison A., Gregoriadis G. // Nature. 1974. V. 252 (5480). P. 252.
- Schwendener R.A. // Ther. Adv. Vaccines. 2014. V. 2 (6). P. 159–182.
- Perrie Y., Crofts F., Devitt A., Griffiths H.R., Kastner E., Nadella V. // Adv. Drug. Deliv. Rev. 2016. V. 99 (Pt A). P. 85–96.
- Nisini R., Poerio N., Mariotti S., De Santis F., Fraziano M. // Front. Immunol. 2018. V. 9. P. 155.
- Bernasconi V., Norling K., Bally M., Höök F., Lycke N.Y. // J. Immunol. Res. 2016. V. 2016. P. 5482087.
- Третьякова Д.С., Водовозова Е.Л. // Биол. мембраны. 2022. Т. 39. С. 85–106. [Tretiakova D.S., Vodovozova E.L. // Biochem. (Mosc.) Suppl. Ser. A Membr. Cell Biol. 2022. V. 16 (1). P. 1–20.]
- Gayed P.M. // Yale J. Biol. Med. 2011. V. 84 (2). P. 131–138.
- Hemmi H., Takeuchi O., Kawai T., Kaisho T., Sato S., Sanjo H., Matsumoto M., Hoshino K., Wagner H., Takeda K., Akira S. // Nature. 2000. V. 408. P. 740–745.
- Lee Y., Lee Y.S., Cho S.Y., Kwon H.J. // Adv. Protein Chem. Struct. Biol. 2015. V. 99. P. 75–97.
- Purcell A.W., McCluskey J., Rossjohn J. // Nat. Rev. Drug. Discov. 2007. V. 6 (5). P. 404–414.
- Ohno S., Kohyama S., Taneichi M., Moriya O., Hayashi H., Oda H., Mori M., Kobayashi A., Akatsuka T., Uchida T., Matsui M. // Vaccine. 2009. V. 27. P. 3912–3920.
- Kohyama S., Ohno S., Suda T., Taneichi M., Yokoyama S., Mori M., Kobayashi A., Hayashi H., Uchida T., Matsui M. // Antiviral Res. 2009. V. 84. P. 168–177.
- Heuts J., Varypataki E.M., van der Maaden K., Romeijn S., Drijfhout J.W., van Scheltinga A.T., Ossendorp F., Jiskoot W. // Pharm. Res. 2018. V. 35. P. 207.
- Dhakal S., Cheng X., Salcido J., Renu S., Bondra K., Lakshmanappa Y.S., Misch C., Ghimire S., Feliciano-Ruiz N., Hogshead B., Krakowka S., Carson K., McDonough J., Lee C.W., Renukaradhya G.J. // Int. J. Nanomedicine. 2018. V. 13. P. 6699–6715.
- Mishra S. // R. Soc. Open Sci. 2020. V. 7. P. 201141.
- Fast E., Altman R.B., Chen B. // Potential T-cell and B‑cell Epitopes of 2019-nCoV. bioRxiv preprint. This version posted March 18, 2020. https://doi.org/10.1101/2020.02.19.955484
- Kalita P., Padhi A.K., Zhang K.Y.J., Tripathi T. // Microb. Pathogenesis. 2020. V. 145. P. 104236.
- Le Bert N., Tan A.T., Kunasegaran K., Tham C.Y.L., Hafezi M., Chia A., Chng M.H.Y., Lin M., Tan N., Linster M., Chia W.N., Chen M.I.-C., Wang L.-F., Ooi E.E., Kalimuddin S., Tambyah P.A., Low J.G.-H., Tan Y.-J., Bertoletti A. // Nature. 2020. V. 584. P. 457–462. https://doi.org/10.1038/s41586-020-2550-z
- Ferretti A.P., Tomasz Kula T., Wang Y., Nguyen D.M.V., Weinheime A., Dunlap G.S., Xu Q., Nabilsi N., Perullo C.R., Cristofaro A.W., Whitton H.J., Virbasius A., Olivier K.J., Jr., Buckner L.R., Alistar A.T., Whitman E.D., Bertino S.A., Chattopadhyay S., MacBeath G. // Immunity. 2020. V. 53. P. 1095–1107.e3. https://doi.org/10.1016/j.immuni.2020.10.006
- Snyder T.M., Gittelman R.M., Klinger M. // Magnitude and Dynamics of the T-Cell Response to SARS-CoV-2 Infection at Both Individual and Population Levels. medRxiv preprint. This version posted August 4, 2020. https://doi.org/10.1101/2020.07.31.20165647
- Nelde A., Bilich T., Heitmann J.S., Maringer Y., Salih H.R., Roerden M., Lübke M., Bauer J., Rieth J., Wacker M., Peter A., Hörber S., Traenkle B., Kaiser P.D., Rothbauer U., Becker M., Junker D., Krause G., Strengert M., Schneiderhan-Marra N., Templin M.F., Joos T.O., Kowalewski D.J., Stos-Zweifel V., Fehr M., Rabsteyn A., Mirakaj V., Karbach J., Jäger E., Graf M., Gruber L.-C., Rachfalski D., Preuß B., Hagelstein I., Märklin M., Bakchoul T., Gouttefangeas C., Kohlbacher O., Klein R., Stevanović S., Rammensee H.-G., Walz J.S. // Nat. Immunol. 2021. V. 22. P. 74–85. https://doi.org/10.1038/s41590-020-00808-x
- Quadeer A.A., Ahmed S.F., McKay M.R. // Cell Rep. Med. 2021. V. 2. P. 100312. https://doi.org/10.1016/j.xcrm.2021.100312
- Mouritsen O.G., Jorgenson K. // Chem. Phys. Lipids. 1994. V. 73. P. 3–25.
- Markwell M., Haas S., Bieber L., Tolbert N.E. // Anal. Biochem. 1978. V. 210. P. 206–210.
- Chen W., Huang L. // Mol. Pharm. 2008. V. 5. P. 464–471.
- Mansourian M., Badiee A., Jalali S.A., Shariat S., Yazdani M., Amin M., Jaafari M.R. // Immunol. Lett. 2014. V. 162. P. 87–93.
- Schmidt S.T., Foged C., Korsholm K.S., Rades T., Christensen D. // Pharmaceutics. 2016. V. 8. P. 7.
- Ludewig B., Barchiesi F., Pericin M., Zinkernagel R.M., Hengartner H., Schwendener R.A. // Vaccine. 2001. V. 19 (1). P. 23–32.
- Engler O.B., Schwendener R.A., Dai W.J., Wolk B., Pichler W., Moradpour D., Brunner T., Cerny A. // Vaccine. 2004. V. 23 (1). P. 58–68.
- Dalwadi G, Benson HA, Chen Y. // Pharm. Res. 2005. V. 22 (12). P. 2152–2162.
- Dedoni S., Avdoshina V., Camoglio C., Siddi C., Fratta W., Scherma M., Fadda P. // Molecules. 2022. V. 27 (13). P. 4142.
- Kryukova E.V., Egorova N.S., Kudryavtsev D.S., Lebedev D.S., Spirova E.N., Zhmak M.N., Garifulina A.I., Kasheverov I.E., Utkin Y.N., Tsetlin V.I. // Front. Pharmacol. 2019. V. 10. P. 748.
- Tkachuk A.P., Gushchin V.A., Potapov V.D., Demidenko A.V., Lunin V.G., Gintsburg A.L. // PLoS One. 2017. V. 12 (4). P. e0176784.
- Chernov A.S., Minakov A.A., Kazakov V.A., Rodionov M.V., Rybalkin I.N., Vlasik T.N., Yashin D.V., Saschenko L.P., Kudriaeva A.A., Belogurov A.A., Smirnov I.V., Loginova S.Y., Schukina V.N., Savenko S.V., Borisevich S.V., Zykov K.A., Gabibov A.G., Telegin G.B. // Inflamm. Res. 2022. V. 71 (5–6). P. 627–639.
- Mann P.C., Vahle J., Keenan C.M., Baker J.F., Bradley A.E., Goodman D.G., Harada T., Herbert R., Kaufmann W., Kellner R., Nolte T., Rittinghausen S., Tanaka T. // Toxicol. Pathol. 2012. V. 40 (Suppl. 4). P. 7S–13S.
Дополнительные файлы







