Difficulties of Cochlear implantation in malformations of the inner ear
- Authors: Tunyan N.T.1, Bychkova E.V.2
-
Affiliations:
- St. Petersburg State University, Department of Otorhinolaryngology and Ophthalmology
- Audiology City Center for children in St. Petersburg
- Issue: Vol 37, No 4 (2023)
- Pages: 363-368
- Section: ЭКСПЕРИМЕНТАЛЬНЫЕ ИССЛЕДОВАНИЯ
- URL: https://medbiosci.ru/0235-0092/article/view/229419
- DOI: https://doi.org/10.31857/S0235009223040091
- EDN: https://elibrary.ru/QJZMAM
- ID: 229419
Cite item
Full Text
Abstract
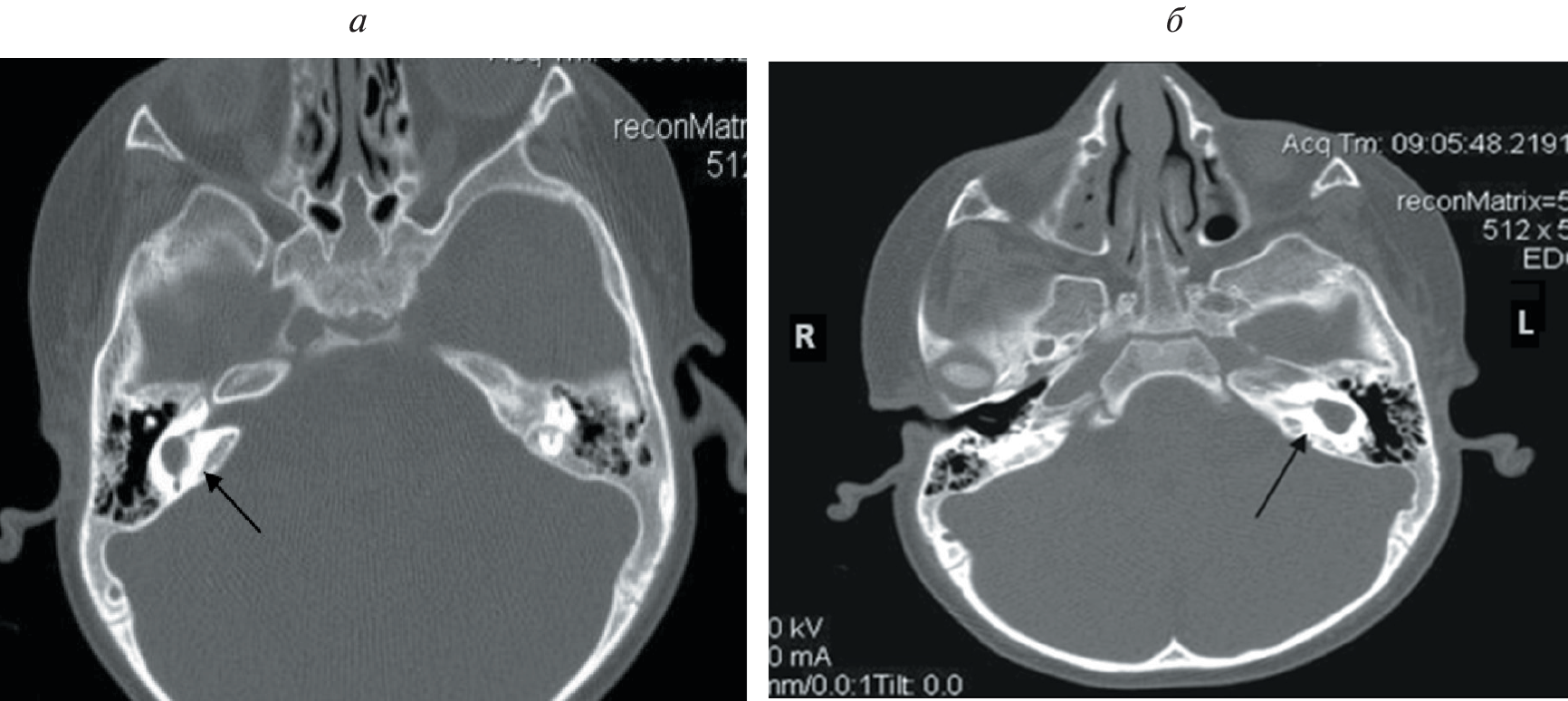
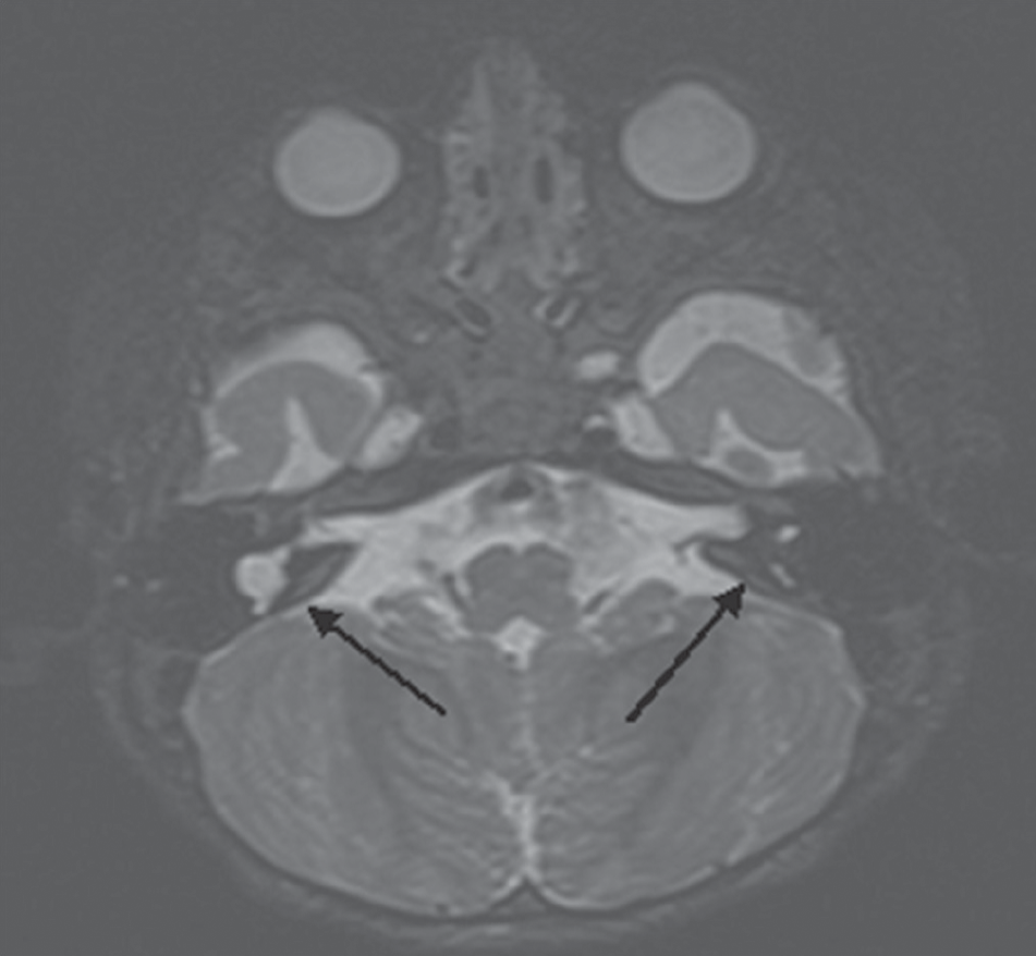
According to various authors, 20% of children with sensorineural hearing loss or deafness, anomalies in the structure of the temporal bones are determined according to the results of computed tomography. Cochlear implantation in the presence of cochleovestibular malformations is associated with a number of difficulties. These include the peculiarities of cochleostomy and placing of the electrode inside the cochlea, the risk of damage to the facial nerve due to its abnormal location, intraoperative liquorrhea, which can lead to the development of bacterial meningitis in the postoperative period, as well as the risk of penetration of the electrode into the internal auditory canal. In this research, we present our method of performing cochlear implantation in case of a malformation in the development of the inner ear (common cavity). The method expands the possibilities of cochlear implantation for e auditory perception in patients with this pathology.
About the authors
N. T. Tunyan
St. Petersburg State University, Department of Otorhinolaryngology and Ophthalmology
Author for correspondence.
Email: nairanit@mail.ru
Russia,
199106, St. Petersburg, 21st line of V.I., h. 8a
E. V. Bychkova
Audiology City Center for children in St. Petersburg
Email: nairanit@mail.ru
Russia,
194356, St. Petersburg, Esenin st., h. 26 building 4
References
- Kuzovkov V.E., Lilenko A.S., Sugarova S.B., Tanaschishina V.A., Kalyapin D.D., Luppov D.S. Faktory riska stimulyatsii litsevogo nerva u pol’zovatelyakh kokhlearnykh implantov: nash opyt [Risk factors for facial nerve stimulation in cochlear implant users: our experience]. Rossiiskaya otorinolaringologiya [Russian Otorhinolaryngology]. 2022. Т. 5 (120). Р. 116–121 (in Russian). https://doi.org/10.18692/1810-4800-2022-5-116-121
- Aljazeeri I.A., Khurayzi T., Al-Amro M., Alzhrani F., Alsanosi A. Evaluation of computed tomography parameters in patients with facial nerve stimulation post-cochlear implantation. Eur Arch Otorhinolaryngology. 2021. V. 278 (10). Р. 3789–3794. https://doi.org/10.1007/s00405-020-06486-7
- Jackler R.K., A. De La Cruz. The large vestibular aqueduct syndrome. Laryngoscope. 1989. V. 99 (10). Р. 1238–1243.
- Jackler R.K., Luxford W.M., House W.F. Congenital malformations of the inner ear: a classification based on embryogenesis. Laryngoscope. 1987. V. 97 (1). Р. 1–14.
- Morsli H., Tuorto F., Choo D. et al. Otxl and Otx2 activities are required for the normal development of the mouse inner ear. Development. 1999. Р. 2335–2343. https://pubmed.ncbi.nlm.nih.gov/10225993/
- Papsin B.C. Cochlear implantation in children with anomalous cochleovestibular anatomy. Laryngoscope. 2005. V. 115 (1 Pt. 2 Suppl 106). Р. 1–26. https://doi.org/10.1097/00005537-200501001-00001
- Park A., Kou В., Hotaling A. et al. Clinical course of pediatric congenital inner ear malformations. Laryngoscope. 2000. Р. 1715–1719.
- Rah Y.C., Yoon Y.S., Chang M.Y., Lee J.Y., Suh M.W., Lee J.H. et al. Facial nerve stimulation in the narrow bony cochlear nerve canal after cochlear implantation. Laryngoscope. 2016. V. 126 (6). Р. 1433–1439. https://doi.org/10.1002/ lary.25655
- Sennaroglu L., Saatci I. A new classification for cochleovestibular malformations. Laryngoscope. 2002. V. 112 (12). Р. 2230–2241.
- Tucci D., Telian S., Zimmerman-Philips S. Cochlear implantation in patients with cochlear malformations. Arch Otolaryngol Head Neck Surg. 1995. Р. 833–838.
Supplementary files






