N-terminal fragment of cardiac myosin binding protein C modulates cooperative mechanisms of the thin filament activation in the atria and ventricles
- Authors: Kochurova A.M.1, Beldiia E.A.1,2, Nefedova V.V.3, Ryabkova N.S.4,5, Yampolskaya D.S.3, Matyushenko A.M.3, Bershitsky S.Y.1, Kopylova G.V.1, Shchepkin D.V.1
-
Affiliations:
- Institute of Immunology and Physiology of the Russian Academy of Sciences
- Ural Federal University
- Research Center of Biotechnology of the Russian Academy of Sciences
- Lomonosov Moscow State University
- HyTest Ltd.
- Issue: Vol 89, No 1 (2024)
- Pages: 131-146
- Section: Articles
- URL: https://medbiosci.ru/0320-9725/article/view/260459
- DOI: https://doi.org/10.31857/10.31857/S0320972524010076
- EDN: https://elibrary.ru/YRFXII
- ID: 260459
Cite item
Full Text
Abstract
Cardiac myosin binding protein C (cMyBP-C) is one of the essential control components of the myosin cross-bridge cycle. The C-terminal part of cMyBP-C lies on the surface of the thick filament, and its N-terminal part interacts with actin, myosin, and tropomyosin, affecting both the kinetics of the ATP hydrolysis cycle and the lifetime of the cross bridge, as well as the calcium regulation of actin-myosin interaction, thereby modulating the contractile function of the myocardium. The role of cMyBP-C in atrial contraction is poorly studied. We examined the effect of the N-terminal C0-m-C2 (C0-C2) fragment of cMyBP-C on actin-myosin interaction using ventricular and atrial myosin in an in vitro motility assay. The C0-C2 fragment of cMyBP-C significantly reduced the maximum sliding velocity of thin filaments on both myosin isoforms and increased the calcium sensitivity of actin-myosin interaction. The C0-C2 fragment had different effects on the kinetics of nucleotide, ATP, and ADP exchange, increasing the affinity of ventricular myosin for ADP and decreasing the affinity of atrial myosin. The effect of the C0-C2 fragment on the activation of the thin filament depended on the myosin isoforms. Atrial myosin activates the thin filament less strongly than ventricular myosin, and the C0-C2 fragment makes these differences in myosin isoforms more pronounced.
Full Text
Принятые сокращения: ИПС – in vitro подвижная система; ТЦМ – тяжёлые цепи миозина; cMyBP-C – сердечный миозин-связывающий белок С; RLC – регуляторные лёгкие цепи миозина; S1 и S2 – субфрагменты 1 и 2 миозина; Tn – тропониновый комплекс; Tpm – тропомиозин.
Введение
Сердечный миозин-связывающий белок С (cMyBP-C) – белок саркомера кардиомиоцита, который модулирует актин-миозиновое взаимодействие, влияя на характеристики сокращения сердца. cMyBP-C определяет скорости сокращения и расслаблениямиокарда [1–4]. Молекула cMyBP-C имеет массу ~140 кДа и состоит из восьми иммуноглобулиновых и трех фибронектиновых доменов, обозначаемых от C0 до С10, начиная с N-конца. Между доменами С1 и С2 находится m-мотив, содержащий сайты фосфорилирования [5–7]. N-Терминальная часть cMyBP-C взаимодействует как с субфрагментами 1 и 2 (S1 и S2) миозина, так и с актином и тропомиозином, а также c белками, обеспечивающими стабильность и функционирование саркомера [8–16]. Домены С5–С10 cMyBP-C продольно располагаются на стволе толстой нити, взаимодействуя с лёгким меромиозином сердечного миозина [8, 10]. Согласно данным криоэлектронной микроскопии и термофореза, центральные домены cMyBP-C могут взаимодействовать с фрагментами S1 и S2 сердечного миозина [17, 18]. Благодаря линкерному участку между доменами С4 и С5 белок способен изгибаться под прямым углом, и его N-терминальная часть направляется к тонкой нити саркомера [8, 19].
Фрагмент С1-m-С2 связывает S2 миозина, а фосфорилирование в m-мотиве приводит к диссоциации фрагмента С1-m-С2, что влияет на количество головок миозина, которые могут взаимодействовать с поверхностью F-актина [6, 20–23]. Связываясь с актином, фрагмент C0-C1-m-C2 cMyBP-C способен активировать тонкую нить, смещая тропомиозин из блокирующей, или закрытой, позиции в открытую, способствуя взаимодействию миозина с актином [24–27]. N-Терминальная часть cMyBP-C увеличивает скорость циклирования поперечного мостика миозина при субмаксимальных концентрациях кальция и кальциевую чувствительность силы, развиваемой изолированными препаратами миокарда [28–30]. Показано также увеличение кальциевой чувствительности актин-миозинового взаимодействия в присутствии cMyBP-C при использовании изолированных белков в in vitro подвижной системе (ИПС) [26, 27, 31–34].
Несмотря на интенсивные исследования, механизм, регулирующий взаимодействие N-терминальной части cMyBP-C с миозином и тонкой нитью, до конца не ясен. Показано, что во время диастолы в кардиомиоцитах одна популяция молекул cMyBP-C своей N-терминальной частью взаимодействует с тонкой нитью, другая популяция – с толстой нитью, а фосфорилирование m-мотива ведёт к диссоциации cMyBP-C от тонкой нити [35]. Кроме того, cMyBP-C влияет на количество поперечных мостиков, а также на кинетику прикрепления/открепления головки миозина от актина [36–39]. На нокаутных по гену MYBPC3 мышах, а также мышах с экспрессией укороченной формы cMyBP-C показано, что отсутствие cMyBP-C ускоряет высвобождение фосфата и ADP, тем самым ускоряя кинетику открепления поперечного мостика [40–42]. Кинетика открепления поперечных мостиков определяет их количество в прикреплённом состоянии, что влияет на активацию тонких нитей через механизмы кооперативностикальциевой регуляции актин-миозинового взаимодействия [43, 44].
Обнаружено, что эффект cMyBP-C на кинетику поперечного мостика зависит от изоформ миозина. Tanner et al. [41] показали, что cMyBP-C не оказывает влияния на выход ADP из ATPазного кармана миозина и кинетику открепления поперечного мостика у мышей, экспрессирующих α-изоформу тяжёлых цепей миозина (ТЦМ) в миокарде. У мышей с экспрессией β-ТЦМ cMyBP-C замедлял выход ADP, кинетику открепления и время жизни поперечного мостика в миокарде левого желудочка.
cMyBP-C экспрессируется не только в желудочках, но и в предсердиях, одной из важных функций которых является наполнение желудочков кровью. Сокращения предсердий обеспечивают в среднем 18–20% ударного объёма крови [45]. В предсердиях и желудочках млекопитающих и человека соотношение α- и β-ТЦМ различно. Предсердный миозин отличается от желудочкового изоформами существенных (ELC) и регуляторных лёгких цепей (RLC) [46]. Из-за различий изоформного состава предсердный миозин отличается от желудочкового функциональными свойствами, в том числе способностью активировать тонкую нить [47–50].
Роль cMyBP-C в сокращении предсердий практически не исследована. На мышах, нокаутных по гену MYBPC3, обнаружено, что отсутствие cMyBP-C уменьшает кальциевую чувствительность зависимости pCa-сила предсердных кардиомиоцитов [51]. В ряде работ было показано, что при патологиях миокарда может наблюдаться как снижение, так и увеличение степени фосфорилирования cMyBP-C в предсердиях [52–54].
Целью работы было исследование влияния N-терминального фрагмента C0-С1-m-C2 (С0-С2) cMyBP-C на актин-миозиновое взаимодействие в in vitro подвижной системе. Мы сравнили эффект фрагмента C0-C2 на активацию тонких нитей с предсердным и желудочковым миозином, а также на кинетику обмена нуклеотидов – ATP и ADP – обеих изоформ миозина.
Материалы и методы
Получение белков. Синтез полной кодирующей последовательности cMyBP-C человека (UniProt Q14896; MYPC3_HUMAN) был выполнен компанией «Евроген» (Россия). На базе этой последовательности был получен молекулярно-генетический конструкт С0-С2 (1–455 а.о.), для получения которого были использованы праймеры, представленные в табл. 1.
Таблица 1. Последовательности олигонуклеотидов, используемых в качестве праймеров для получения молекулярно-генетической конструкции фрагмента C0-C2 cMyBP-C
Название праймера | Последовательность праймера (5′→3′) |
cMYBPC (C0) fw | GAATTCGAGCTCCGTCGACAAGCT |
cMYBPC (C2) rev | TCAGTGATGGTGATGGTGATGCGGGCCCTGAAACAGCACTTCCAGGGGCTCTTTCACAAAGAGCTCCGT |
Молекулярно-генетический конструкт С0-С2 был получен с помощью метода ПЦР с использованием соответствующих пар праймеров (табл. 1) в амплификаторе Mastercycler («Eppendorf», Германия). Полученный ДНК-фрагмент был клонирован в плазмиду pet23a+ между сайтами распознавания эндонуклеаз рестрикции NdeI и EcoRI. Кодирующая последовательность С-конца cMyBP-C была фланкирована His-tag из шести гистидинов и сайтом распознавания вирусной протеазы 3С. Корректность последовательности молекулярно-генетической конструкции была подтверждена секвенированием в компании «Евроген».
Рекомбинантный С0-С2-фрагмент cMyBP-C был экспрессирован в клетках Escherichia сoli штамма C41(DE3). Для этого одиночные колонии, полученные после химической трансформации целевого конструкта, инокулировали в 15–20 мл стерильной среды LB, содержащей 100 мкг/мл ампициллина, и оставляли на ночь на шейкере при 37 °С и 250 об./мин. Затем 15–20 мл ночной культуры добавляли в 1 литр среды LB, содержащей 100 мкг/мл ампициллина, и оставляли клетки расти на шейкере до поглощения 0,6–0,7 при 600 нм (~2 ч). Индукцию экспрессии производили добавлением изопропил-β-D-1-тиогалактопиранозида (IPTG) до конечной концентрации 1 мМ, и инкубировали клетки в течение ночи при 30 °С. После экспрессии клетки собирали центрифугированием при 4000 g на центрифуге Eppendorf 5810R («Eppendorf», Германия) в течение 40 мин при 4 °C. Клеточный осадок ресуспендировали в буфере для хроматографии (50 мМ Tris-HCl (pH 8,0), 15 мМ имидазола, 300 мМ NaCl, 1 мМ PMSF (фенилметилсульфонил фторид), 5 мМ 2-меркаптоэтанола). Клеточные лизаты замораживали при –80 °C до последующей очистки.
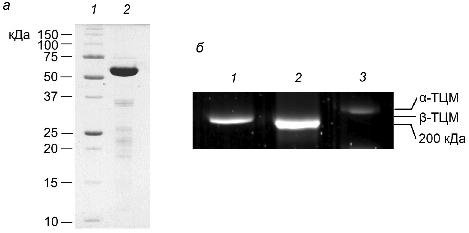
При очистке белков осадки клеток размораживали в буфере для хроматографии, после чего суспензию клеток обрабатывали ультразвуком («Sonics & Materials, Inc.», США) в течение 10 мин. Полученный лизат центрифугировали при 25 000 g в течение 40 мин. Супернатант наносили на колонку HisTrap HP («GE HealthCare», Швеция) объёмом 5 мл, предварительно уравновешенную 10 объёмами (50 мл) буфера для хроматографии. Колонку подключали к хроматографической системе ProStar 3250 («Varian Inc.», Австралия) и промывали при скорости 3 мл/мин в течение 10–20 мин. Элюцию проводили градиентом имидазола (15–500 мМ) на базе буфера для хроматографии. Фракции, содержащие наибольшее количества белка, объединяли и диализовали против 2 литров 30 мМ Hepes-Na (pH 7,3), 100 мМ NaCl в течение ночи. Концентра- цию полученного белка измеряли спектрофотометрически с использованием коэффициента экстинкции Abs0,1% = 0,867, добавляли ДТТ до 1 мМ и замораживали при –80 °C. Электрофореграмма препарата С0-С2-фрагмента сMyBP-C приведена на рис. 1, а.
Сердечный миозин получали из левого желудочка и левого предсердия свиньи с помощью стандартного метода [55]. Содержание α- и β-ТЦМ определяли с помощью Ds-Na-ПААГ-электpофоpеза по методу Reiser et al. [56]. Гели сканировали на ChemiDoc MP Imaging System («Bio-Rad»), и процентное содержание α- и β-изоформ ТЦМ определяли по интенсивности белковых полос программой Image Lab 5.2.1 («Bio-Rad»). Предсердный миозин содержал ~100% α-ТЦМ, а желудочковый – ~100% β-ТЦМ (рис. 1, б).
Рис. 1. Электрофореграммы препарата С0-С2-фрагмента сMyBP-C и тяжёлых цепей миозина. а – Электрофореграмма препарата С0-С2-фрагмента сMyBP-C: 1 – маркер молекулярной массы; 2 – препарат фрагмента С0-С2. б – Электрофореграмма для определения состава изоформ тяжёлых цепей миозина. ПААГ окрашен SYPRO Ruby («Thermo Fisher Scientific», США). Изображение получено с помощью денситометра GS-800 («Bio-Rad», США). ТЦМ – тяжёлые цепи миозина; 1 – миозин из левого желудочка; 2 – маркер молекулярной массы («Mark12™ Unstained Standard, Invitrogen™», США); 3 – миозин из левого предсердия
Сердечный тропомиозин (Tpm, Tpm1.1) человека получен, как описано ранее [50]. Рекомбинантный сердечный тропониновый комплекс (Tn) человека, состоящий из TnI, TnT и TnC, был предоставлен компанией «HyTest» (Финляндия; кат. № 8ITCR). Мономерный актин получали стандартным методом из скелетных мышц кролика [57] и полимеризовали в актиновые филаменты (F-актин) добавлением 4 мМ MgCl2 и 100 мМ KCl. Для экспериментов в ИПС F-актин окрашивали TRITC-фаллоидином («Sigma Chemical Co.», США).
Эксперименты в in vitro подвижной системе. Основным методом, использованным в этой работы, было измерение скорости скольжения F-актина и тонких нитей с помощью ИПС. Скорость движения филаментов по миозину представляет собой интегральную характеристику всех процессов, обеспечивающих актин-миозиновое взаимодействие: механику головки миозина, кооперативные механизмы, в том числе цикл гидролиза ATP. Поэтому измерение параметров движения филаментов позволяет получать разнообразную информацию об этих процессах, варьируя экспериментальные условия.
Эксперименты проводили при 30 °С, как описано ранее [34, 48–50]. Вкратце, сердечный миозин в концентрации 300 мкг/мл (0,65 мкМ) загружали в экспериментальную проточную ячейку в АВ- буфере (25 мМ KCl, 25 мМ имидазола, 4 мМ MgCl2, 1 мМ ЭГТА и 20 мМ ДТТ; pH 7,5), содержащем 0,5 М KCl. Регулируемые тонкие нити реконструировали в АВ-буфере, добавляя Tpm и Tn до конечных концентраций 100 нМ к раствору, содержащему 10 нМ F-актина, меченного TRITC-фаллоидином, и заливали их в проточную ячейку с миозином. Для инициации скольжения тонких нитей в проточную ячейку добавляли финальный АВ-буфер, который содержал 2 мМ ATP, 0,5 мг/мл БСА, 3,5 мг/мл глюкозы, 0,02 мг/мл каталазы, 0,15 мг/мл глюкозо-оксидазы, 0,5% метилцеллюлозы, 100 нМ Tpm/Tn и необходимую концентрацию кальция.
Для исследования влияния фрагментов cMyBP-C на кальциевую регуляцию актин-миозинового взаимодействия измеряли скорость скольжения тонких филаментов по миозину в ИПС в присутствии 2 мМ ATP при различных концентрациях ионов Са2+ с помощью программы GMimPro [58]. В данном виде эксперимента использовали 500 нМ С0-С2-фрагмента cMyBP-C, который загружали в проточную ячейку в финальном растворе, содержащем ATP и ионы Са2+. Кальциевую зависимость скорости тонких филаментов аппроксимировали уравнением Хилла:
V = Vmax × (1 + 10h(pCa–pCa50))–1, (1)
где V и Vmax – скорость и максимальная скорость скольжения тонких нитей при насыщающей концентрации кальция соответственно; pCa50 (кальциевая чувствительность) – концентрация кальция, при которой достигается полумаксимальная скорость скольжения тонких нитей; h – коэффициент кооперативности Хилла. Скорость скольжения F-актина измеряли в тех же условиях, но при отсутствии Tpm, Tn и ионов Са2+.
Влияние фрагмента С0-С2 на мостик-мостиковую кооперативность исследовали по зависимости скорости скольжения тонких нитей от концентрации миозина, загружаемого в проточную ячейку. Эксперименты проводились при насыщающей (рСа 4) и ненасыщающей концентрациях кальция. Так как предсердный миозин имеет более низкую кальциевую чувствительность, чем желудочковый, то значения ненасыщающей концентрации кальция составили рСа 5,5 для предсердного миозина и рСа 6 – для желудочкового. Фрагмент С0-С2 добавлялся в концентрации 500 нМ в буфер, содержащий ATP и соответствующую концентрацию кальция. Определяли концентрация миозина, при которой скорость скольжения тонких нитей достигала половины от своегомаксимального значения (Смиозин).
Влияние фрагмента С0-С2 на скорость скольжения F-актина и тонких нитей при насыщающей концентрации кальция (рСа 4) исследовали, добавляя в финальный буфер, содержащий ATP, С0-С2-фрагмент в концентрации 100–2000 нМ. Для каждой концентрации фрагмента загружали отдельную ячейку.
Зависимость скорости скольжения F-актина и тонких нитей при насыщающей концентрации кальция (рСа 4) от концентрации ATP исследовали, измеряя их скорость скольжения при концентрациях ATP в финальном буфере – 0–2 мМ. Эксперименты выполняли без добавления фрагмента С0-С2 и при добавлении 500 нМ фрагмента С0-С2 в финальный буфер, содержащий ATP. Для каждой концентрации ATP загружали отдельную ячейку.
Влияние ADP на скорость скольжения F-актина и тонких нитей при насыщающей концентрации кальция (рСа 4) исследовали, добавляя в финальный буфер, содержащий 2 мМ ATP, ADP в концентрации 0,05–6 мМ. Для каждой концентрации ADP загружали отдельную ячейку.
Зависимость скорости скольжения F-актина и тонких нитей от концентрации С0-С2-фрагмента cMyBP-C и ADP аппроксимировали логистической функцией:
V = (V1 - V2) × (1 + (x/x0)3)–1 + V2, (2)
где V1 – минимальное значение скорости, V2 – максимальное значение скорости, x0 – значение концентрации фрагмента или ADP, при котором скорость полумаксимальная.
Каждый эксперимент повторяли трижды (каждый раз – с заново приготовленным миозином), и полученные значения скоростей скольжения тонких нитей и F-актина выражали как среднее значение ± стандартное отклонение. Анализ данных и статистический анализ проводили с использованием Excel 16 («Microsoft Corp.», США) и Origin 8.0 («Origin Lab», США). Статистический анализ проводили с использованием t-критерия Стьюдента или Манна–Уитни.
Результаты исследования
Влияние C0-C2 N-терминального фрагмента cMyBP-C на скорость скольжения F-актина и тонких нитей по миозину в ИПС. Фрагмент C0-C2 дозозависимым образом снижал скорость скольжения F-актина и регулируемых тонких нитей по обеим изоформам миозина. Двукратное снижение скорости (полученное как среднее значение между максимальным и минимальным) как F-актина, так и тонких нитей достигалось при фактически одинаковых концентрациях фрагмента С0-С2. Концентрации фрагмента, в 2 раза снижающие скорость F-актина, были 358 ± 7 нМ и 354 ± 9 нМ с предсердным и желудочковым миозином соответственно; эти значения для тонких нитей составили 328 ± 31 нМ и 430 ± 73 нМ.
Влияние N-терминального C0-C2-фрагмента cMyBP-C на кальциевую регуляцию актин-миозинового взаимодействия. Мы сравнили кальциевую зависимость скорости скольжения тонких нитей – рСа-скорость – по предсердному и желудочковому миозину в ИПС. С желудочковым миозином фрагмент С0-С2 на 30% снижал максимальную скорость тонких нитей, увеличивал её Са2+-чувствительность и уменьшал коэффициент Хилла зависимости рСа-скорость, что согласуется с ранее полученными данными [26, 33, 34] (рис. 2; табл. 2). С предсердным миозином фрагмент С0-С2 уменьшал максимальную скорость скольжения нитей на 50%, существенно увеличивал её Са2+-чувствительность и не влиял на коэффициент Хилла (рис. 2; табл. 2).
Рис. 2. Влияние 500 нМ С0-С2-фрагмента cMyBP-C на Са2+-зависимость скорости скольжения тонких нитей по предсердному (а) и желудочковому (б) миозину в in vitro подвижной системе. Экспериментальные данные (среднее значение ± стандартное отклонение) аппроксимированы уравнением Хилла (1), параметры уравнения приведены в табл. 2
Таблица 2. Параметры Са2+-зависимости скорости скольжения тонких нитей по предсердному и желудочковому миозину в in vitro подвижной системе
Миозин | Концентрация фрагмента C0-C2, нМ | Vmax, мкм/с | h | pCa50 |
Предсердный миозин | 0 | 2,4 ± 0,1 | 1,4 ± 0,2 | 5,31 ± 0,01 |
500 | 1,2 ± 0,1* | 1,7 ± 0,2 | 6,50 ± 0,02* | |
Желудочковый миозин | 0 | 1,7 ± 0,1 | 2,2 ± 0,3 | 5,93 ± 0,01 |
500 | 1,0 ± 0,1* | 1,4 ± 0,2* | 6,96 ± 0,01* |
Примечание. Vmax – максимальная скорость скольжения тонких нитей при насыщающей концентрации кальция; h – коэффициент кооперативности Хилла; рСа50 (кальциевая чувствительность) – значение концентрации кальция, при которой скорость нитей достигает полумаксимального значения. Символ * указывает на значимое отличие параметров уравнения Хилла (1) в присутствии фрагмента С0-С2 от таковых без его добавления (р < 0,05).
В кальциевой регуляции актин-миозинового взаимодействия участвуют механизмы кооперативности, одним из которых является мостик-мостиковая кооперативность. Суть её заключается в том, что присоединение поперечного мостика в одной регуляторной группе, состоящей из семи мономеров актина, Tpm и Tn-комплекса, делает сайты связывания на актине в соседних регуляторных группах доступными для миозина. Мы исследовали эффект C0-C2-фрагмента cMyBP-C на мостик-мостиковую кооперативность кальциевой регуляции актин-миозинового взаимодействия, определяя концентрацию миозина, при которой скорость тонких нитей достигает полумаксимального значения (Смиозин). Эксперименты были выполнены при насыщающей (рСа 4) и ненасыщающей (рСа 5,5 – для предсердного миозина и рСа 6 – для желудочкового миозина) концентрациях кальция. Обнаружено, что фрагмент С0-С2 существенно усиливал мостик-мостиковую кооперативность, уменьшая Смиозин для обеих изоформ миозина (рис. 3).
Рис. 3. Влияние C0-C2-фрагмента cMyBP-C на зависимость скорости скольжения тонких нитей от концентрации предсердного (а) и желудочкового (б) миозина в in vitro подвижной системе. Экспериментальные значения скоростей (среднее значение ± стандартное отклонение) аппроксимированы уравнением Хилла (1). Концентрации миозина, при которых скорость нитей уменьшалась вдвое (Смиозин), для желудочкового миозина при рСа 4 были равны 97,0 ± 1,5 нМ и 62,4 ± 1,2* нМ без фрагмента С0-С2 и при его добавлении соответственно; при рСа 6 эти значения были 95,4 ± 0,6 нМ и 76,7 ± 1,4 * нМ. Для предсердного миозина значения Смиозин при рСа 4 были равны 111,2 ± 1,2 нМ и 67,6 ± 1,3* нМ; при pCa 5,5 – 121,6 ± 1,3 нМ и 37,5 ± 0,5* нМ. Символом * обозначено значимое отличие величины Смиозин в присутствии фрагмента С0-С2 от такового при его отсутствии (р < 0,05)
Влияние ATP и ADP на актин-миозиновое взаимодействие. Ранее было показано, что cMyBP-C влияет на кинетику прикрепления/открепления поперечного мостика [37]. Для исследования влияния С0-С2-фрагмента cMyBP-C на кинетику прикрепления/открепления поперечного мостика мы проанализировали зависимость скорости скольжения тонких нитей при рСа 4 и F-актина по миозину от концентрации ATP и ADP в ИПС, так как эти нуклеотиды определяют время жизни головки миозина на актине [59, 60].
Мы определили концентрацию ATP, при которой скорости тонких нитей и F-актина достигали полумаксимальных значений (СATP). При отсутствии фрагмента С0-С2 значение СATP для предсердного миозина при взаимодействии с F-актином было меньше, чем для желудочкового. Добавление фрагмента C0-C2 в 8,5 раза уменьшало СATP для желудочкового миозина и в 1,6 раза – для предсердного миозина (рис. 4, а и б).
Фрагмент C0-C2 не влиял на СATP обеих изоформ миозина при взаимодействии с тонкими нитя- ми (рис. 4, в и г). При этом предсердному миозину требовалось меньше ATP, чтобы достичь полумаксимального значения скорости, чем желудочковому миозину, как с фрагментом С0-С2, так и без него.
Рис. 4. Влияние С0-С2-фрагмента cMyBP-C на зависимость скорости скольжения F-актина (а и б) и регулируемых тонких нитей при pCa 4 (в и г) по предсердному (а, в) и желудочковому (б, г) миозину от концентрации ATP в in vitro подвижной системе. Экспериментальные данные (среднее значение ± стандартное отклонение) аппроксимированы уравнением Хилла (1). Значения СATP для зависимости скорости скольжения F-актина от концентрации ATP в ИПС по желудочковому миозину были равны 55,2 ± 0,1 мкМ и 6,5 ± 0,1* мкМ, а по предсердному – 42,8 ± 0,1 мкМ и 26,6 ± 0,1* мкМ без фрагмента С0-С2 и в его присутствии соответственно. Значения СATP для зависимости скорости скольжения тонких нитей от концентрации ATP по желудочковому миозину были равны 92,5 ± 2,5 мкМ и 86,4 ± 4,5 мкМ, а по предсердному миозину – 53,9 ± 0,5 мкМ и 56,2 ± 2,5 мкМ. Символом * обозначено отличие значения СATP в присутствии фрагмента С0-С2 от такового при его отсутствии (р < 0,05)
ADP ингибирует ATPазную активность миозина и увеличивает время жизни актомиозинового комплекса, снижая скорость скольжения F-актина и тонких нитей в ИПС [61]. Мы определили концентрацию ADP, при которой скорость уменьшается в 2 раза (СADP). При отсутствии фрагмента С0-С2 добавление ADP дозозависимым образом снижало скорость скольжения F-актина и тонких нитей по предсердному и желудочковому миозину (рис. 5). В присутствии фрагмента С0-С2 добавление ADP снижало скорость скольжения тонких нитей по желудочковому миозину (рис. 5, г), но не влияло на скорость скольжения F-актина по обеим изоформам миозина (рис. 5, а и в) и на скорость скольжения тонких нитей по предсердному миозину (рис. 5, б).
Рис. 5. Влияние С0-С2-фрагмента cMyBP-C на зависимость скорости скольжения F-актина (а и в) и регулируемых тонких нитей при pCa 4 (б и г) по предсердному (а, б) и желудочковому (в, г) миозину от концентрации ADP в in vitro подвижной системе. Экспериментальные данные (среднее значение ± стандартное отклонение) для F-актина (а, б) и тонких нитей (г) с фрагментом С0-С2 аппроксимированы линейной функцией; экспериментальные данные для F-актина и тонких нитей без фрагмента С0-С2 с обеими изоформами миозина (а, в) и для тонких нитей с желудочковым миозином аппроксимированы логистической функцией (2). Значения СADP без фрагмента С0-С2 для зависимости скорости скольжения F-актина по предсердному миозину от концентрации ADP были равны 3,03 ± 0,35 мМ, для зависимости скорости тонких нитей – 3,46 ± 0,23 мМ. Значения СADP без фрагмента С0-С2 для зависимости скорости скольжения F-актина по желудочковому миозину от концентрации ADP были равны 1,84 ± 0,2 мМ; для тонких нитей значение СADP без фрагмента С0-С2 было равно 2,12 ± 0,15 мМ, а при его присутствии – 1,00 ± 0,25 мМ
Известно, что увеличение концентрации ADP в миокарде ведёт к диастолической дисфункции желудочков [62, 63]. Мы исследовали влияние ADP на кальциевую регуляцию актин-миозинового взаимодействия при отсутствии и в присутствии фрагмента С0-С2. Добавление 0,5 мМ ADP увеличивало кальциевую чувствительность зависимости рСа-скорость обеих изоформ миозина и вело к неполному ингибированию скольжения тонких нитей при низких концентрациях кальция (рис. 6; табл. 3).
Рис. 6. Влияние ADP на кальциевую зависимость скорости скольжения тонких нитей по желудочковому (а) и предсердному (б) миозину в in vitro подвижной системе. Экспериментальные значения скоростей (среднее значение ± стандартное отклонение) аппроксимированы уравнением Хилла (1). Параметры уравнения Хилла представлены в табл. 3
Таблица 3. Параметры кальциевой зависимости скорости скольжения тонких нитей по миозину в in vitro подвижной системе в присутствии ADP
Миозин | Концентрация фрагмента С0-С2, нМ | Концентрация ADP, мМ | Vmax, мкм/с | V0, мкм/с | h | pCa50 |
Желудочковый миозин | 0 | 0 | 1,7 ± 0,1 | 0 | 1,7 ± 0,2 | 5,91 ± 0,01 |
0 | 0,5 | 1,4 ± 0,1 | 0,11 ± 0,01* | 1,5 ± 0,2 | 6,10 ± 0,01* | |
500 | 0 | 1,0 ± 0,1 | 0 | 1,4 ± 0,2 | 6,91 ± 0,01 | |
500 | 0,5 | 1,0 ± 0,1 | 0,12 ± 0,01* | 1,1 ± 0,2 | 7,04 ± 0,01 | |
Предсердный миозин | 0 | 0 | 2,3 ± 0,04 | 0 | 1,2 ± 0,2 | 5,29 ± 0,02 |
0 | 0,5 | 2,3 ± 0,1 | 0,15 ± 0,09 | 1,3 ± 0,3 | 5,51 ± 0,03* | |
500 | 0 | 1,2 ± 0,1* | 0 | 1,5 ± 0,2 | 6,51 ± 0,01 | |
500 | 0,5 | 1,2 ± 0,1* | 0,17 ± 0,01* | 1,1 ± 0,2 | 6,63 ± 0,01 |
Примечание. Vmax – максимальная скорость скольжения тонких нитей при насыщающей концентрации кальция; V0 – скорость скольжения филаментов при ненасыщающих концентрациях кальция; h – коэффициент кооперативности Хилла; pCa50 – концентрация кальция, при которой скорость полумаксимальная (кальциевая чувствительность). Символ * указывает на значимое отличие параметров уравнения Хилла (1) в присутствии фрагмента С0-С2 от таковых в его отсутствии (р < 0,05).
Обсуждение результатов
Результаты многочисленных исследований указывают на важную роль cMyBP-C в контроле сократительной функции сердца. Его N-терминальные домены принимают участие в активации тонкого филамента и регулируют количество головок миозина, взаимодействующих с тонкой нитью при сокращении миокарда, а также кинетику поперечного мостика [24–27], оказывая влияние на связывание ATP и выход ADP из ATPазного кармана миозина [40, 42]. При этом большинство исследований направлены на изучение роли cMyBP-C в сокращении левого желудочка сердца, тогда как работ, посвящённых его влиянию на сократительную функцию предсердий, практически нет. Мы сравнили влияние N-терминального С0-С2-фрагмента cMyBP-C на характеристики взаимодействия предсердного и желудочкового миозина с актином. Используя изолированные мышечные белки и in vitro подвижную систему, мы напрямую оценили эффекты cMyBP-C на взаимодействие сократительных и регуляторных белков миокарда, активацию тонкого филамента и аффинность миозина к ATP и ADP.
Влияние С0-С2-фрагмента cMyBP-C на кальциевую регуляцию актин-миозинового взаимодействия. Ранее на изолированных препаратах миокарда, а также в ИПС было показано, что как полноразмерный cMyBP-C, так и его N-терминальные домены, определяют кальциевую чувствительность актин-миозинового взаимодействия [26, 27, 31–33]. Так, N-терминальные домены cMyBP-C увеличивали кальциевую чувствительность зависимости pCa-скорость и снижали максимальную скорость скольжения тонких нитей по желудочковому миозину в ИПС [26, 27, 30, 34]. В нашей работе максимальная скорость скольжения тонких нитей по предсердному миозину снизилась в большей степени (~ на 50%), чем по желудочковому миозину (~ на 30%).
В кальциевой регуляции участвуют механизмы кооперативности, в связи с тем, что cMyBP-C замедляет цикл поперечного мостика, он должен оказывать эффект на мостик-мостиковую кооперативность. Мы проверили это предположение и обнаружили, что фрагмент С0-С2 усиливает мостик-мостиковую кооперативность обеих изоформ миозина в одинаковой степени даже при насыщающей концентрации кальция (рис. 3). Фрагмент С0-С2 может активировать тонкую нить либо непосредственно, либо через кинетику образования поперечных мостиков. Механизм прямой активации состоит в смещении тропомиозинового тяжа из блокированного или закрытого состояния тонкой нити в открытое состояние, что делает сайты на поверхности актина доступными для взаимодействия с головками миозина [24, 25].
Влияние фрагмента С0-С2 на кинетику поперечного мостика. Кинетика присоединения ATP, гидролиза и выхода продуктов гидролиза (ADP и Рi) определяет время жизни миозина на поверхности актина и силогенерацию головки миозина. Миозины, содержащие α- и β-ТЦМ, различаются кинетическими характеристиками и временем жизни актомиозинового комплекса [47–49, 64, 65]. Согласно работе Homsher et al. [61], зависимость скорости движения F-актина и тонких нитей от концентрации ATP и ADP позволяет косвенно охарактеризовать аффинность изоформ миозина к этим нуклеотидам.
Мы обнаружили, что фрагмент С0-С2 уменьшает СATP, т.е. увеличивает аффинность предсердного и желудочкового миозина к ATP при взаимодействии с F-актином, но не влияет на неё в случае с тонкими нитями (рис. 4). Присутствие фрагмента cMyBP-C увеличивало разницу в аффинности обеих изоформ миозина к ATP с F-актином и тонкой нитью.
При увеличении концентрации ADP скорость скольжения F-актина по обеим изоформам миозина снижалась дозозависимым образом. Предсердный миозин при взаимодействии как с F-актином, так и с тонкой нитью показал меньшую аффинность к ADP, чем желудочковый. Этот результат согласуется с данными, полученными методом быстрой кинетики (stopped flow) для S1 человека с α- и β-ТЦМ [59, 60]. Авторы обнаружили, что S1 с β-ТЦМ обладает большей аффинностью к ADP и меньшей скоростью высвобождения ADP из ATPазного кармана, а с α-ТЦМ – меньшей аффинностью к ADP и большей скоростью его высвобождения.
Homsher et al. [61] в экспериментах со скелетным миозином в ИПС показали, что сердечные тропомиозин и тропонин снижают аффинность миозина к ATP и ADP. Согласно нашим данным с миозином из сердечной мышцы, сердечные регуляторные белки не оказывают существенного влияния на аффинность к ADP, что, вероятно, объясняется изоформами миозина.
Мы обнаружили, что N-терминальные домены cMyBP-С по-разному влияют на кинетику поперечного мостика предсердного и желудочкового миозина в зависимости от присутствия или отсутствия регуляторных белков на F-актине. Как известно, cMyBP-C увеличивает время жизни актомиозинового комплекса и замедляет выход ADP из ATPазного кармана [40–42], ведя к значительному снижению скорости скольжения F-актина по миозину в ИПС. В наших экспериментах добавление ADP в присутствии фрагмента С0-С2 не влияло на скорость F-актина по обеим изоформам миозина (рис. 5, а и в), а также на скорость скольжения тонкой нити по предсердному миозину. Фрагмент С0-С2 в большей степени подавлял скольжение тонких нитей по предсердному миозину, чем по желудочковому, к тому же оказалось, что предсердный миозин менее чувствителен к ADP, чем желудочковый.
В присутствии фрагмента С0-С2 ADP дозозависимо снижал скорость скольжения тонких нитей по миозину желудочков, а аффинность желудочкового миозина к ADP увеличилась в 2 раза (рис. 5). Увеличение аффинности, в свою очередь, ведёт к увеличению времени жизни головки миозина на актине и, соответственно, к снижению скорости скольжения тонких нитей при насыщающей концентрации кальция. Эти данные согласуются с результатами, полученными на изолированных препаратах миокарда левого желудочка с экспрессией укороченной формы cMyBP-C, которая приводила к отсутствию cMyBP-C на толстой нити, что снижало аффинность к ADP и увеличивало скорость его выхода из ATPазного кармана β-ТЦМ миозина [40, 41].
Взаимодействие cMyBP-C с изоформами миозина. Отличия влияния ADP на скорость скольжения тонких нитей в присутствии фрагмента С0-С2 по предсердному и желудочковому миозину могут объясняться различием длительности стадий цикла поперечного мостика α- и β-изоформ миозина. Ещё одной причиной этого отличия может быть взаимодействие RLC предсердного и желудочкового миозина с cMyBP-C. Цикл поперечного мостика является общим для всех изученных миозинов, но изоформы отличаются скоростью гидролиза ATP и константами стадий цикла, в частности, константами высвобождения ADP [60]. Кроме того, было показано, что C0-домен cMyBP-C способен связывать RLC сердечного миозина [66], а фрагмент C1-C2 – взаимодействовать с S2 миозина [11, 16]. Предсердный и желудочковый миозин имеют соответственно предсердную и желудочковую изоформы RLC и ELC. Эти различия могут влиять на взаимодействие изоформ сердечного миозина с актином в присутствии фрагмента C1-C2. Ранее на медленном скелетном миозине, содержащем β-изоформу ТЦМ, используя полноразмерный cMyBP-C, мы показали, что изоформы лёгких цепей миозина модулируют эффект cMyBP-C на характеристики актин-миозинового взаимодействия [67]. В частности, cMyBP-C увеличивал максимальную скорость скольжения тонких нитей по медленному миозину в ИПС, в отличие от изоформ сердечного миозина. Таким образом, мы видим, что взаимодействие cMyBP-C с миозином зависит от изоформного состава миозина.
Влияние фрагмента С0-С2 на активацию тонкой нити. Активация тонкой нити – это обеспечение доступа головок миозина к сайтам связывания его на F-актине и образование поперечных мостиков. В поперечнополосатых мышцах этот процесс инициируется связыванием Ca2+ тропонином C, а последующая полная активация тонкой нити требует присоединения к ней молекул миозина [68]. Медленный миозин дольше находится в связанном с актином состоянии и тем самым лучше активирует тонкую нить через механизм мостик-мостиковой кооперативности, чем быстро циклирующий миозин [50, 69]. Увеличение аффинности миозина к ADP, т.е. замедление его высвобождения, увеличивает время жизни головки миозина на актине и мостик-мостиковую кооперативность, что способствует активации тонкой нити и повышению кальциевой чувствительности актин-миозинового взаимодействия.
При сердечных патологиях (ишемия, диабет, хроническая сердечная недостаточность) в миокарде желудочков растёт концентрация ADP [62, 63, 70]. Нарушение сократимости предсердий также связано с увеличением концентрации ADP [71, 72]. Ранее было показано, что избыток ADP увеличивает кальциевую чувствительность зависимости pCa-сила изолированных препаратов миокарда, вызывая нарушение расслабления миокарда. Это ведёт к чрезмерному росту силы при ненасыщающих концентрациях кальция и конечно-диастолического давления, и в конечном итоге – к развитию сердечной недостаточности [63]. Мы исследовали влияние ADP на кальциевую регуляцию актин-миозинового взаимодействия в предсердиях и желудочках. Добавление ADP увеличивало кальциевую чувствительность скорости скольжения тонких нитей по предсердному и желудочковому миозину в ИПС независимо от присутствия фрагмента С0-С2 (рис. 6; табл. 3), вероятнее всего, через механизм мостик-мостиковой кооперативности. Рост концентрации ADP в миокарде предсердий при хронической сердечной недостаточности вследствие нарушения кальциевой регуляции может вести к развитию фибрилляции предсердий.
Заключение
Для полной активации тонкой нити необходимо образование поперечных мостиков [68]. Механизмы кооперативной активации тонкой нити предсердного и желудочкового миозина различаются, и это ведёт к различию сократительных свойств миокарда предсердий и желудочков. Предсердный и желудочковый миозин различаются аффинностью к нуклеотидам и временем жизни актомиозинового комплекса, которое является одним из факторов, определяющих активацию тонкой нити. cMyBP-С увеличивает аффинность желудочкового миозина к ADP и уменьшает аффинность предсердного миозина, таким образом, по-разному влияя на активацию тонкой нити этими изоформами миозина.
Финансирование. Работа выполнена при финансовой поддержке Российского научного фонда (грант № 22-14-00174).
Соблюдение этических норм. Настоящая статья не содержит описания каких-либо исследований с участием людей или животных в качестве объектов.
About the authors
A. M. Kochurova
Institute of Immunology and Physiology of the Russian Academy of Sciences
Email: dvshchepkin@gmail.com
Russian Federation, 620049 Yekaterinburg
E. A. Beldiia
Institute of Immunology and Physiology of the Russian Academy of Sciences; Ural Federal University
Email: dvshchepkin@gmail.com
Russian Federation, 620049 Yekaterinburg; 620002 Ekaterinburg
V. V. Nefedova
Research Center of Biotechnology of the Russian Academy of Sciences
Email: dvshchepkin@gmail.com
Bach Institute of Biochemistry
Russian Federation, 119071 MoscowN. S. Ryabkova
Lomonosov Moscow State University; HyTest Ltd.
Email: dvshchepkin@gmail.com
Department of Biochemistry, Faculty of Biology
Russian Federation, 119234 Moscow; 20520 Turku, FinlandD. S. Yampolskaya
Research Center of Biotechnology of the Russian Academy of Sciences
Email: dvshchepkin@gmail.com
Bach Institute of Biochemistry
Russian Federation, 119071 MoscowA. M. Matyushenko
Research Center of Biotechnology of the Russian Academy of Sciences
Email: dvshchepkin@gmail.com
Bach Institute of Biochemistry
Russian Federation, 119071 MoscowS. Y. Bershitsky
Institute of Immunology and Physiology of the Russian Academy of Sciences
Email: dvshchepkin@gmail.com
Russian Federation, 620049 Yekaterinburg
G. V. Kopylova
Institute of Immunology and Physiology of the Russian Academy of Sciences
Email: dvshchepkin@gmail.com
Russian Federation, 620049 Yekaterinburg
D. V. Shchepkin
Institute of Immunology and Physiology of the Russian Academy of Sciences
Author for correspondence.
Email: dvshchepkin@gmail.com
Russian Federation, 620049 Yekaterinburg
References
- Nagayama, T., Takimoto, E., Sadayappan, S., Mudd, J. O., Seidman, J. G., Robbins, J., and Kass, D. A. (2007) Control of in vivo left ventricular [correction] contraction/relaxation kinetics by myosin binding protein C: protein kinase A phosphorylation dependent and independent regulation, Circulation, 20, 2399-2408, doi: 10.1161/ CIRCULATIONAHA.107.706523.
- Palmer, B. M., Georgakopoulos, D., Janssen, P. M., Wang, Y., Alpert, N. R., Belardi, D. F., Harris, S. P., Moss, R. L., Burgon, P. G., Seidman, C. E., Seidman, J. G., Maughan, D. W., and Kass, D. A. (2004) Role of cardiac myosin binding protein C in sustaining left ventricular systolic stiffening, Circ. Res., 94, 1249-1255, doi: 10.1161/01.RES.0000126898.95550.31.
- Janssen, P. M. (2010) Kinetics of cardiac muscle contraction and relaxation are linked and determined by properties of the cardiac sarcomere, Am. J. Physiol. Heart Circ. Physiol., 299, 1092-1099, doi: 10.1152/ajpheart.00417.2010.
- Fazlollahi, F., Santini Gonzalez, J. J., Repas, S. J., Canan, B. D., Billman, G. E., and Janssen, P. M. L. (2021) Contraction-relaxation coupling is unaltered by exercise training and infarction in isolated canine myocardium, J. Gen. Physiol., 153, e202012829, doi: 10.1085/jgp.202012829.
- Barefield, D., and Sadayappan, S. (2010) Phosphorylation and function of cardiac myosin binding protein-C in health and disease, J. Mol. Cell. Cardiol., 48, 866-875, doi: 10.1016/j.yjmcc.2009.11.014.
- Previs, M. J., Mun, J. Y., Michalek, A. J., Previs, S. B., Gulick, J., Robbins, J., Saber, D. M., and Craig, R. (2016) Phosphorylation and calcium antagonistically tune myosin-binding protein C’s structure and function, Proc. Natl. Acad. Sci. USA, 113, 3239-3244, doi: 10.1073/pnas.1522236113.
- Kumar, M., Haghigh, I. K., Kranias, E. G., and Sadayappan, S. (2020) Phosphorylation of cardiac myosin-binding protein-C contributes to calcium homeostasis, J. Biol. Chem., 295, 11275-11291, doi: 10.1074/jbc.RA120.013296.
- Huang, X., Torre, I., Chiappi, M., Yin, Z., Vydyanath, A., Cao, S., Raschdorf, O., Beeby, M., Quigley, B., de Tombe, P. P., Liu, J., Morris, E. P., and Luther, P. K. (2023) Cryo-electron tomography of intact cardiac muscle reveals myosin binding protein-C linking myosin and actin filaments, J. Muscle Res. Cell Motil., 44, 165-178, doi: 10.1007/ s10974-023-09647-3.
- Suay-Corredera, C., and Alegre-Cebollada, J. (2022) The mechanics of the heart: zooming in on hypertrophic cardiomyopathy and cMyBP-C, FEBS Lett., 596, 703-746, doi: 10.1002/1873-3468.14301.
- Dutta, D., Nguyen, V., Campbell, K. S., Padrón, R., and Craig, R. (2023) Cryo-EM structure of the human cardiac myosin filament, Nature, 623, 853-862, doi: 10.1038/s41586-023-06691-4.
- Gruen, M., and Gautel, M. (1999) Mutations in β-myosin S2 that cause familial hypertrophic cardiomyopathy (FHC) abolish the interaction with the regulatory domain of myosin binding protein-C, J. Mol. Biol., 286, 933-949, doi: 10.1006/jmbi.1998.2522.
- Kulikovskaya, I., McClellan, G., Flavigny, J., Carrier, L., and Winegrad, S. (2003) Effect of MyBP-C binding to actin on contractility in heart muscle, J. Gen. Physiol., 122, 761-774, doi: 10.1085/jgp.200308941.
- Whitten, A. E., Jeffries, C. M., Harris, S. P., and Trewhella, J. (2008) Cardiac myosin-binding protein C decorates F-actin: implications for cardiac function, Proc. Natl Acad. Sci. USA, 105, 18360-18365, doi: 10.1073/pnas.0808903105.
- Shaffer, J. F., Kensler, R. W., and Harris, S. P. (2009) The myosin-binding protein C motif binds to F-actin in a phosphorylation-sensitive manner, J. Biol. Chem., 284, 12318-12327, doi: 10.1074/jbc.M808850200.
- Orlova, A., Galkin, V. E., Jeffries, C. M., Egelman, E. H., and Trewhella, J. (2011) The N-terminal domains of myosin binding protein C can bind polymorphically to F-actin, J. Mol. Biol., 412, 379-386, doi: 10.1016/j.jmb.2011.07.056.
- Bhuiyan, M. S., McLendon, P., James, J., Osinska, H., Gulick, J., Bhandary, B., Lorenz, J. N., and Robbins, J. (2016) In vivo definition of cardiac myosin-binding protein C’s critical interactions with myosin, Pflugers Arch., 468, 1685-1695, doi: 10.1007/s00424-016-1873-y.
- Tamborrini, D., Wang, Z., Wagner, T., Tacke, S., Stabrin, M., Grange, M., Kho, A. L., Rees, M., Bennett, P., Gautel, M., and Raunser, S. (2023) Structure of the native myosin filament in the relaxed cardiac sarcomere, Nature, 623, 863-871, doi: 10.1038/s41586-023-06690-5.
- Ponnam, S., and Kampourakis, T. (2022) Microscale thermophoresis suggests a new model of regulation of cardiac myosin function via interaction with cardiac myosin-binding protein C, J. Biol. Chem., 298, 101485, doi: 10.1016/ j.jbc.2021.101485.
- Doh, C. Y., Bharambe, N., Holmes, J. B., Dominic, K. L., Swanberg, C. E., Mamidi, R., Chen, Y., Bandyopadhyay, S., Ramachandran, R., and Stelzer, J. E. (2022) Molecular characterization of linker and loop-mediated structural modulation and hinge motion in the C4-C5 domains of cMyBPC, J. Struct. Biol., 214, 107856, doi: 10.1016/j.jsb. 2022.107856.
- Sadayappan, S., and de Tombe, P. P. (2012) Cardiac myosin binding protein-C: redefining its structure and function, Biophys. Rev., 4, 93-106, doi: 10.1007/s12551-012-0067-x.
- Walcott, S., Docken, S., and Harris, S. P. (2015) Effects of cardiac Myosin binding protein-C on actin motility are explained with a drag-activation-competition model, Biophys. J., 108, 10-13, doi: 10.1016/j.bpj.2014.11.1852.
- Colson, B. A., Thompson, A. R., Espinoza-Fonseca, L. M., and Thomas, D. D. (2016) Site-directed spectroscopy of cardiac myosin-binding protein C reveals effects of phosphorylation on protein structural dynamics, Proc. Natl. Acad. Sci. USA, 113, 3233-3238, doi: 10.1073/pnas.1521281113.
- Moss, R. L. (2016) Cardiac myosin-binding protein C: a protein once at loose ends finds its regulatory groove, Proc. Natl. Acad. Sci. USA, 113, 3133-3135, doi: 10.1073/pnas.1602568113.
- Risi, C., Belknap, B., Forgacs-Lonart, E., Harris, S. P., Schröder, G. F., White, H. D., and Galkin, V. E. (2018) N-Terminal domains of cardiac myosin binding protein C cooperatively activate the thin filament, Structure, 26, 1604-1611.e4, doi: 10.1016/j.str.2018.08.007.
- Harris, S. P., Belknap, B., Van Sciver, R. E., White, H. D., and Galkin, V. E. (2016) C0 and C1 N-terminal Ig domains of myosin binding protein C exert different effects on thin filament activation, Proc. Natl. Acad. Sci. USA, 113, 1558-1563, doi: 10.1073/pnas.1518891113.
- Mun, J. Y., Previs, M. J., Yu, H. Y., Gulick, J., Tobacman, L. S., Beck Previs, S., Robbins, J., Warshaw, D. M., and Craig, R. (2014) Myosin-binding protein C displaces tropomyosin to activate cardiac thin filaments and governs their speed by an independent mechanism, Proc. Natl. Acad. Sci. USA, 111, 2170-2175, doi: 10.1073/pnas.1316001111.
- Inchingolo, A. V., Previs, S. B., Previs, M. J., Warshaw, D. M., and Kad, N. M. (2019) Revealing the mechanism of how cardiac myosin-binding protein C N-terminal fragments sensitize thin filaments for myosin binding, Proc. Natl. Acad. Sci. USA, 116, 6828-6835, doi: 10.1073/pnas.1816480116.
- Stelzer, J. E., Fitzsimons, D. P., and Moss, R. L. (2006) Ablation of myosin-binding protein-C accelerates force development in mouse myocardium, Biophys. J., 90, 4119-4127, doi: 10.1529/biophysj.105.078147.
- Stelzer, J. E., Patel, J. R., and Moss, R. L. (2006) Protein kinase A-mediated acceleration of the stretch activation response in murine skinned myocardium is eliminated by ablation of cMyBP-C, Circ Res., 99, 884-890, doi: 10.1161/ 01.RES.0000245191.34690.66.
- Napierski, N. C., Granger, K., Langlais, P. R., Moran, H. R., Strom, J., Touma, K., and Harris, S. P. (2020) A novel “Cut and Paste” method for in situ replacement of cMyBP-C reveals a new role for cMyBP-C in the regulation of contractile oscillations, Circ. Res., 126, 737-749, doi: 10.1161/CIRCRESAHA.119.315760.
- Razumova, M. V., Bezold, K. L., Tu, A. Y., Regnier, M., and Harris, S. P. (2008) Contribution of the myosin binding protein C motif to functional effects in permeabilized rat trabeculae, J. Gen. Physiol., 132, 575-585, doi: 10.1085/jgp.200810013.
- Razumova, M. V., Shaffer, J. F., Tu, A. Y., Flint, G. V., Regnier, M., and Harris, S. P. (2006) Effects of the N-terminal domains of myosin binding protein-C in an in vitro motility assay: evidence for long-lived cross-bridges, J. Biol. Chem., 281, 35846-35854, doi: 10.1074/jbc.M606949200.
- Saber, W., Begin, K. J., Warshaw, D. M., and VanBuren, P. (2008) Cardiac myosin binding protein-C modulates actomyosin binding and kinetics in the in vitro motility assay, J. Mol. Cell Cardiol., 44, 1053-1061, doi: 10.1016/ j.yjmcc.2008.03.012.
- Shchepkin, D. V., Kopylova, G. V., Nikitina, L. V., Katsnelson, L. B., and Bershitsky, S. Y. (2010) Effects of cardiac myosin binding protein-C on the regulation of interaction of cardiac myosin with thin filament in an in vitro motility assay, Biochem. Biophys. Res. Commun., 401, 159-163, doi: 10.1016/j.bbrc.2010.09.040.
- Chandler, J., Treacy, C., Ameer-Beg, S., Ehler, E., Irving, M., and Kampourakis, T. (2012) In situ FRET-based localization of the N terminus of myosin binding protein-C in heart muscle cells, Proc. Natl. Acad. Sci. USA, 120, e2222005120, doi: 10.1073/pnas.2222005120.
- Nelson, S., Beck-Previs, S., Sadayappan, S., Tong, C., and Warshaw, D. M. (2023) Myosin-binding protein C stabilizes, but is not the sole determinant of SRX myosin in cardiac muscle, J. Gen. Physiol., 155, e202213276, doi: 10.1085/jgp.202213276.
- Moss, R. L., Fitzsimons, D. P., and Ralphe, J. C. (2015) Cardiac MyBP-C regulates the rate and force of contraction in mammalian myocardium, Circ. Res., 116, 183-192, doi: 10.1161/CIRCRESAHA.116.300561.
- De Lange, W. J., Grimes, A. C., Hegge, L. F., and Ralphe, J. C. (2013) Ablation of cardiac myosin-binding protein-C accelerates contractile kinetics in engineered cardiac tissue, J. Gen. Physiol., 141, 73-84, doi: 10.1085/jgp.201210837.
- McNamara, J. W., Singh, R. R., and Sadayappan, S. (2019) Cardiac myosin binding protein-C phosphorylation regulates the super-relaxed state of myosin, Proc. Natl. Acad. Sci. USA, 116, 11731-11736, doi: 10.1073/pnas.1821660116.
- Tanner, B. C., Wang, Y., Robbins, J., and Palmer, B. M. (2014) Kinetics of cardiac myosin isoforms in mouse myocardium are affected differently by presence of myosin binding protein-C, J. Muscle Res. Cell Motil., 35, 267-278, doi: 10.1007/s10974-014-9390-0.
- Tanner, B. C. W., Previs, M. J., Wang, Y., Robbins, J., and Palmer, B. M. (2021) Cardiac myosin binding protein-C phosphorylation accelerates β-cardiac myosin detachment rate in mouse myocardium, Am. J. Physiol. Heart Circ. Physiol., 320, H1822-H1835, doi: 10.1152/ajpheart.00673.2020.
- Wang, L., Sadayappan, S., and Kawai, M. (2014) Cardiac myosin binding protein C phosphorylation affects cross-bridge cycle’s elementary steps in a site-specific manner, PLoS One, 9, e113417, doi: 10.1371/journal.pone.0113417.
- Gordon, A. M., Homsher, E., and Regnier, M. (2000) Regulation of contraction in striated muscle, Physiol. Rev., 80, 853-924, doi: 10.1152/physrev.2000.80.2.853.
- Gorga, J. A., Fishbaugher, D. E., and VanBuren, P. (2003) Activation of the calcium-regulated thin filament by myosin strong binding, Biophys. J., 85, 2484-2491, doi: 10.1016/S0006-3495(03)74671-2.
- Narolska, N. A., Eiras, S., van Loon, R. B., Boontje, N. M., Zaremba, R., Spiegelen Berg, S. R., Stooker, W., Huybregts, M. A., Visser, F. C., van der Velden, J., and Stienen, G. J. (2005) Myosin heavy chain composition and the economy of contraction in healthy and diseased human myocardium, J. Muscle Res. Cell Motil., 26, 39-48, doi: 10.1007/ s10974-005-9005-x.
- Morano, I. (1999) Tuning the human heart molecular motors by myosin light chains, J. Mol. Med., 77, 544-555, doi: 10.1007/s001099900031.
- Yamashita, H., Sugiura, S., Fujita, H., Yasuda, S., Nagai, R., Saeki, Y., Sunagawa, K., and Sugi, H. (2003) Myosin light chain isoforms modify force-generating ability of cardiac myosin by changing the kinetics of actin-myosin interaction, Cardiovasc. Res., 60, 580-588, doi: 10.1016/j.cardiores.2003.09.011.
- Shchepkin, D. V., Nikitina, L. V., Bershitsky, S. Y., and Kopylova, G. V. (2017) The isoforms of α-actin and myosin affect the Ca2+ regulation of the actin-myosin interaction in the heart, Biochem. Biophys. Res. Commun., 490, 324-329, doi: 10.1016/j.bbrc.2017.06.043.
- Kopylova, G., Nabiev, S., Nikitina, L., Shchepkin, D., and Bershitsky, S. (2016) The properties of the actin-myosin interaction in the heart muscle depend on the isoforms of myosin but not of α-actin, Biochem. Biophys. Res. Commun., 476, 648-653, doi: 10.1016/j.bbrc.2016.06.013.
- Kopylova, G. V., Berg, V. Y., Kochurova, A. M., Matyushenko, A. M., Bershitsky, S. Y., and Shchepkin, D. V. (2022) The effects of the tropomyosin cardiomyopathy mutations on the calcium regulation of actin-myosin interaction in the atrium and ventricle differ, Biochem. Biophys. Res. Commun., 588, 29-33, doi: 10.1016/j.bbrc.2021.12.051.
- Pohlmann, L., Kröger, I., Vignier, N., Schlossarek, S., Krämer, E., Coirault, C., Sultan, K. R., El-Armouche, A., Winegrad, S., Eschenhagen, T., and Carrier, L. (2007) Cardiac myosin-binding protein C is required for complete relaxation in intact myocytes, Circ. Res., 101, 928-938, doi: 10.1161/CIRCRESAHA.107.158774.
- El-Armouche, A., Boknik, P., Eschenhagen, T., Carrier, L., Knaut, M., Ravens, U., and Dobrev, D. (2006) Molecular determinants of altered Ca2+ handling in human chronic atrial fibrillation, Circulation, 114, 670-680, doi: 10.1161/CIRCULATIONAHA.106.636845.
- Wakili, R., Yeh, Y. H., Yan Qi, X., Greiser, M., Chartier, D., Nishida, K., Maguy, A., Villeneuve, L.-R., Boknik, P., Voigt, N., Krysiak, J., Kääb, S., Ravens, U., Linke, W. A., Stienen, G. J. M., Shi, Y., Tardif, J.-C., Schotten, U., Dobrev, D., and Nattel, S. (2010) Multiple potential molecular contributors to atrial hypocontractility caused by atrial tachycardia remodeling in dogs, Circ. Arrhythm. Electrophysiol., 3, 530-541, doi: 10.1161/CIRCEP.109.933036.
- Butova, X., Myachina, T., Simonova, R., Kochurova, A., Mukhlynina, E., Kopylova, G., Shchepkin, D., and Khokhlova, A. (2023) The inter-chamber differences in the contractile function between left and right atrial cardiomyocytes in atrial fibrillation in rats, Front. Cardiovasc. Med., 10, 1203093, doi: 10.3389/fcvm.2023.1203093.
- Margossian, S. S., and Lowey, S. (1982) Preparation of myosin and its subfragments from rabbit skeletal muscle, Methods Enzymol., 85, 55-71, doi: 10.1016/0076-6879(82)85009-x.
- Reiser, P. J., and Kline, W. O. (1998) Electrophoretic separation and quantitation of cardiac myosin heavy chain isoforms in eight mammalian species, Am. J. Physiol., 274, 1048-1053, doi: 10.1152/ajpheart.1998.274.3.H1048.
- Pardee, J. D., and Spudich, J. A. (1982) Purification of muscle actin, Methods Enzymol., 85, 164-181, doi: 10.1016/0076-6879(82)85020-9.
- Mashanov, G. I., and Molloy, J. E. (2007) Automatic detection of single fluorophores in live cells, Biophys. J., 92, 2199-2211, doi: 10.1529/biophysj.106.081117.
- Deacon, J. C., Bloemink, M. J., Rezavandi, H., Geeves, M. A., and Leinwand, L. A. (2012) Identification of functional differences between recombinant human α and β cardiac myosin motors, Cell. Mol. Life Sci., 69, 2261-2277, doi: 10.1007/s00018-012-0927-3.
- Walklate, J., Ferrantini, C., Johnson, C. A., Tesi, C., Poggesi, C., and Geeves, M. A. (2021) Alpha and beta myosin isoforms and human atrial and ventricular contraction, Cell. Mol. Life Sci., 78, 7309-7337, doi: 10.1007/ s00018-021-03971-y.
- Homsher, E., Nili, M., Chen, I. Y., and Tobacman, L. S. (2003) Regulatory proteins alter nucleotide binding to acto-myosin of sliding filaments in motility assays, Biophys. J., 85, 1046-1052, doi: 10.1016/S0006-3495(03)74543-3.
- Tian, R., Christe, M. E., Spindler, M., Hopkins, J. C., Halow, J. M., Camacho, S. A., and Ingwall, J. S. (1997) Role of MgADP in the development of diastolic dysfunction in the intact beating rat heart, J. Clin. Invest., 99, 745-751, doi: 10.1172/JCI119220.
- Sequeira, V., Najafi, A., McConnell, M., Fowler, E. D., Bollen, I. A., Wüst, R. C., dos Remedios, C., Helmes, M., White, E., Stienen, G. J., Tardiff, J., Kuster, D. W., and van der Velden, J. (2015) Synergistic role of ADP and Ca2+ in diastolic myocardial stiffness, J. Physiol., 593, 3899-3916, doi: 10.1113/JP270354.
- Sugiura, S., Kobayakawa, N., Fujita, H., Yamashita, H., Momomura, S., Chaen, S., Omata, M., and Sugi, H. (1998) Comparison of unitary displacements and forces between 2 cardiac myosin isoforms by the optical trap technique: molecular basis for cardiac adaptation, Circ. Res., 82, 1029-1034, doi: 10.1161/01.res.82.10.1029.
- Palmiter, K. A., Tyska, M. J., Dupuis, D. E., Alpert, N. R., and Warshaw, D. M. (1999) Kinetic differences at the single molecule level account for the functional diversity of rabbit cardiac myosin isoforms, J. Physiol., 519, 669-678, doi: 10.1111/j.1469-7793.1999.0669n.x.
- Ratti, J., Rostkova, E., Gautel, M., and Pfuhl, M. (2011) Structure and interactions of myosin-binding protein C domain C0: cardiac-specific regulation of myosin at its neck? J. Biol. Chem., 286, 12650-12658, doi: 10.1074/ jbc.M110.156646.
- Nabiev, S. R., Kopylova, G. V., and Shchepkin, D. V. (2019) The effect of cardiac myosin-binding protein c on calcium regulation of the actin–myosin interaction depends on myosin light chain isoforms, Mol. Biophys., 64, 690-693, doi: 10.1134/S000635091905018X.
- McKillop, D. F., and Geeves, M. A. (1993) Regulation of the interaction between actin and myosin subfragment 1: evidence for three states of the thin filament, Biophys. J., 65, 693-701, doi: 10.1016/S0006-3495(93)81110-X.
- Matyushenko, A. M., Shchepkin, D. V., Kopylova, G. V., Bershitsky, S. Y., and Levitsky, D. I. (2020) Unique functional properties of slow skeletal muscle tropomyosin, Biochimie, 174, 1-8, doi: 10.1016/j.biochi.2020.03.013.
- Papp, Z., Szabó, A., Barends, J. P., and Stienen, G. J. (2002) The mechanism of the force enhancement by MgADP under simulated ischaemic conditions in rat cardiac myocytes, J. Physiol., 543, 177-189, doi: 10.1113/ jphysiol.2002.022145.
- Cha, Y. M., Dzeja, P. P., Shen, W. K., Jahangir, A., Hart, C. Y., Terzic, A., and Redfield, M. M. (2003) Failing atrial myocardium: energetic deficits accompany structural remodeling and electrical instability, Am. J. Physiol. Heart Circ. Physiol., 284, H1313-H1320, doi: 10.1152/ajpheart.00337.2002.
- Shimura, D., Nakai, G., Jiao, Q., Osanai, K., Kashikura, K., Endo, K., Soga, T., Goda, N., and Minamisawa, S. (2012) Metabolomic profiling analysis reveals chamber-dependent metabolite patterns in the mouse heart, Am. J. Physiol. Heart Circ. Physiol., 305, H494-H505, doi: 10.1152/ajpheart.00867.2012.
Supplementary files








