RNA-binding protein Sam68 effects poly(ADP-ribose) polymerase 1 activity
- Authors: Naumenko K.N.1, Berezhnev E.A.1, Kurgina T.A.1, Sukhanova M.V.1, Lavrik O.I.1
-
Affiliations:
- Institute of Chemical Biology and Fundamental Medicine, Siberian Branch of the Russian Academy of Sciences
- Issue: Vol 89, No 12 (2024)
- Pages: 2045-2057
- Section: Articles
- URL: https://medbiosci.ru/0320-9725/article/view/283269
- DOI: https://doi.org/10.31857/S0320972524120023
- EDN: https://elibrary.ru/IFXQEC
- ID: 283269
Cite item
Full Text
Abstract
Taking into account the involvement of RNA-binding proteins in the regulation of the activity of poly(ADP-ribose) polymerase 1 (PARP1), a key factor of DNA repair, the effect of the intrinsically disordered protein Sam68 (Src-associated substrate during mitosis of 68 kDa) on the catalytic activity of this enzyme was studied. Plasmid containing the coding sequence of the Sam68 protein was obtained. Using the obtained construct, the conditions for Sam68 expression in Escherichia coli cells were optimized and a procedure for protein purification was developed. It was found that Sam68 is able to regulate the catalytic activity of PARP1, stimulating auto-poly(ADP-ribosyl)ation of PARP1, interacting with damaged DNA and purified poly(ADP-ribose) (PAR). Based on the experimental data, a hypothesis on the mechanism of the PARP1 activity stimulation by the Sam68 protein was proposed, which consists in the formation of a complex of Sam68 with poly(ADP-ribosyl)ated PARP1. Sam68 interacts with PAR, shielding its negative charge, which increases the time of PARP1 in the complex with damaged DNA and the overall yield of PAR synthetized by this enzyme.
Keywords
Full Text
Принятые сокращения: ТМАО – триметиламиноксид; PAR – поли(ADP-рибоза); PAR-илирование – поли(ADP-рибозил)ирование; PARP1 – поли(ADP-рибоза)-полимераза 1; Sam68 – РНК-связывающий белок 1, содержащий домен KH и ассоциированный с сигнальной трансдукцией; YB-1 – Y-бокс-связывающий белок 1.
ВВЕДЕНИЕ
Поддержание стабильности генетической информации живых организмов во многом обусловлено эффективностью функционирования систем репарации ДНК [1]. Одной из немедленных реакций в клетке в ответ на генотоксический стресс, приводящий к повреждению ДНК, является синтез поли(ADP-рибозы) (PAR) в ядре [2]. Данная реакция катализируется поли(ADP-рибоза)-полимеразами (PARP1 и PARP2), использующими в качестве субстрата никотинамидадениндинуклеотид (NAD+). Полимер PAR ковалентно присоединяется к белкам, в том числе к PARP1, PARP2 и гистонам [3]. Такая модификация играет важную роль в структурной организации хроматина и в регуляции функциональной активности белков, участвующих в репарации ДНК и других процессах. Поли(ADP-рибозил)ирование (PAR-илирование) приводит к эффективной диссоциации PAR-илированных белков из их комплексов с ДНК в хроматине. Кроме того, синтез PAR можно рассматривать как сигнал, привлекающий белки-партнеры к месту повреждения ДНК. PARP1 является наиболее изученным ферментом семейства поли(ADP-рибоза)-полимераз. PARP1 синтезирует до 90% всей клеточной поли(ADP-рибозы) в ответ на повреждение ДНК и считается одним из ключевых регуляторов процесса репарации ДНК, а также других процессов, определяющих стабильность генома [4]. Изучение белков, участвующих в модуляции активности PARP1, является важным направлением молекулярной биологии, поскольку установление детального механизма регуляции активности поли(ADP-рибоза)-полимераз и процессов репарации ДНК является важным для понимания причин развития онкологических и нейродегенеративных заболеваний [5].
В настоящее время РНК-связывающие белки рассматриваются как участники процессов поддержания стабильности генома. Было показано, что многие РНК-связывающие белки могут быть PAR-илированы или взаимодействовать с PAR в условиях генотоксического стресса [6]. Ключевую роль в распознавании PAR играют внутренне неупорядоченные области (IDR; Intrinsically Disordered Region) РНК-связывающих белков, содержащие в своем составе повторы аргинина/серина (R/S-box), аргинина/глицина (RGG-box), а также участки, богатые остатками аргинина/лизина (R/K-богатые домены), глицина (G-богатые домены), глутамина/глицина/серина/тирозина (QGSY-богатые домены) [7]. В системе in vitro было показано, что многие РНК-связывающие белки, содержащие неупорядоченные области, склонны к самоассоциации и агрегации. Эксперименты с использованием культур клеток показали, что локализация отдельных РНК-связывающих белков в сайтах геномных повреждений индуцируется синтезом PAR [8]. Высокая локальная концентрация РНК-связывающих белков в местах повреждения ДНК приводит к организации немембранных компартментов. Предполагается, что компартментализация поврежденной ДНК способствует привлечению ферментов репарации к месту повреждения и более эффективному протеканию процесса репарации [9]. В большинстве современных работ описывается компартментализация процесса репарации ДНК с участием РНК-связывающих белков, индуцируемая синтезом PAR в месте повреждения ДНК [10]. Кроме того, РНК-связывающие белки способны регулировать активность PARP1, как это было установлено для Y-бокс-связывающего белка 1 (YB-1). Было обнаружено, что YB-1 способен регулировать активность PARP1 посредством формирования тройного комплекса YB-1•PARP1•ДНК или через взаимодействие YB-1 с авто-PAR-илированной формой PARP1. Выступая в качестве эффективного акцептора в реакции PAR-илирования, YB-1 повышает число оборотов реакции, катализируемой PARP1, и увеличивает общий выход реакции PAR-илирования. Неструктурированный C-концевой домен YB-1 определяет сродство YB-1 к поврежденной ДНК и PAR и играет ключевую роль в регуляции активности PARP1 [11–14]. Механизмы стимуляции PARP1, обнаруженные для YB-1, могут иметь место и в случае других РНК-связывающих белков, для которых уже установлена возможность их PAR-илирования и/или взаимодействия с PAR.
В недавних исследованиях было показано, что внутренне неупорядоченный РНК-связывающий белок Sam68, содержащий домен KH и ассоциированный с сигнальной трансдукцией (Src-associated substrate during mitosis of 68 kDa) способен регулировать синтез PAR ферментом PARP1, модулируя уровень синтеза этого полимера как в системе in vitro, так и в системе ex vivo [15]. Было показано, что в клетках, нокаутных по гену Sam68, наблюдался более низкий уровень синтеза PAR после повреждения клеток γ-облучением [15]. Масс-спектрометрическими методами Sam68 был идентифицирован как мишень PAR-илирования в клетке [16]. Однако, несмотря на то что для Sam68 была показана важная роль в регуляции активности PARP1 при генотоксическом стрессе, детальный механизм влияния Sam68 на синтез PAR не был установлен.
В данной работе был сконструирован вектор для наработки белка Sam68 в системе экспрессии Escherichia coli. С использованием полученной плазмидной конструкции была проведена наработка рекомбинантного Sam68 в препаративных количествах и подобраны оптимальные концентрации хаотропных агентов (мочевины) и осмолитов (аргинина) для повышения растворимости этого белка в водных растворах. В системе in vitro впервые показано, что Sam68 является мишенью PAR-илирования и стимулирует автомодификацию PARP1. Впервые оценена эффективность комплексообразования Sam68 с поврежденной ДНК и PAR и предложен механизм стимуляции активности PARP1 РНК-связывающим белком Sam68.
МАТЕРИАЛЫ И МЕТОДЫ
В работе были использованы следующие материалы и реактивы: N,N′-метиленбисакриламид, трис(гидроксиметил)аминометан (Tris) («Amresco», США); акриламид, бисакриламид («AppliChem», Германия); мочевина, персульфат аммония (ПСА) («PanReac», Испания); додецилсульфат натрия (Ds-Na) («Fluka», Швейцария); смесь фенол/хлороформ/изоамиловый спирт (25/24/1), никотинамидадениндинуклеотид (NAD+), среда LB Broth («Sigma-Aldrich», США); наборы для проведения ПЦР («Биолабмикс», Россия); эндонуклеазы рестрикции KpnI, SalI, SfoI («Сибэнзим», Россия); клетки E. coli штаммов BL21(DE3), BL21(DE3)GeneX, BL21(DE3)pLysS, Rosetta(DE3), Rosetta(DE3)pLysS («Merck», США); ДНКаза I («New England Biolabs», США); [α32P]ATP с удельной активностью 1000 Ки/ммоль (Лаборатория биотехнологии ИХБФМ СО РАН, Россия). Остальные использованные реактивы и компоненты буферов были отечественного производства и имели квалификацию о.с.ч. и ч.д.а.
В работе были использованы синтетические олигодезоксирибонуклеотиды (табл. 1) производства Лаборатории медицинской химии (ИХБФМ СО РАН, Россия) или «Биоссет» (Россия).
Таблица 1. Последовательности олигодезоксирибонуклеотидов, использованных в работе
Обозначение | Последовательность (5′→3′) |
An1* | GGAAGACCCTGACGTTTCCCAACTTTATCGCCF |
An2 | GGCGATAAAGTTGGG |
An3** | pAAACGTCAGGGTCTTCC |
pQE30-Sam68-KpnI | AGATCTGGTACCATGCAGCGCCGGGACGACCC |
pQE30-Sam68-SalI | AGATCTGTCGACATAACGTCCATATGGGTGC |
pBADM41-Sam68-For | ATGCAGCGCCGGGACGACCC |
pBADM41-Sam68-Rev | ATAACGTCCATATGGGTGCTCTCTG |
Примечание. * F – 5(6)-карбоксифлуоресцеин (FAM); ** p – фосфат.
Обратная транскриптаза вируса лейкемии мышей Молони (ОТ-MMLV) и ДНК-лигаза фага Т4 были любезно предоставлены д.б.н. Ходыревой С.Н. (ИХБФМ СО РАН). Плазмиды pQE30 и pBADM41 были любезно предоставлены к.б.н. Оскорбиным И.П. (ИХБФМ СО РАН). Никотинамидмононуклеотид-аденилилтрансфераза (NMNAT) была любезно предоставлена к.х.н. С.И. Шрамм (Институт молекулярной генетики РАН).
Секвенирование плазмидных ДНК по методу Сэнгера проводили в ЦКП Геномика ИХБФМ СО РАН, Россия.
Получение ДНК-субстратов. ДНК-дуплекс (FAM-Nick) получали гибридизацией олигонуклеотида An1, содержащего остаток 5(6)-карбоксифлуоресцеин (FAM) c олигонуклеотидами An2, An3 в молярном соотношении 1,5/1/1. Реакционную смесь инкубировали в течение 5 мин при 95 °С, а затем медленно охлаждали до комнатной температуры.
Выделение суммарной РНК из клеток HeLa. Культуру клеток HeLa вели на чашке диаметром 10 см до состояния монослоя в среде DMEM («Thermo Fisher Scientific», США). Полученную культуру клеток промывали 5 мл PBS («Thermo Fisher Scientific»), ресуспендировали в 1 мл TriZol («Thermo Fisher Scientific»), добавляли 200 мкл хлороформа, инкубировали 5 мин при комнатной температуре и центрифугировали 15 мин (16 000 g при 4 °C). После центрифугирования отбирали верхнюю водную фазу и переосаждали РНК изопропиловым спиртом. Осажденную РНК растворяли в 200 мкл воды и добавляли равный объем смеси фенол/хлороформ/изоамиловый спирт (25/24/1). После центрифугирования отбирали водную фазу и переосаждали РНК этанолом.
Получение кДНК Sam68 из суммарной РНК клеток HeLa. Реакционную смесь объемом 10 мкл, содержащую 4 мкг суммарной РНК из клеток HeLa и 100 нмоль oligo dT, инкубировали 2 мин при 70 °C. Затем, к данной смеси добавляли буфер для обратной транскипции («Биолабмикс») и 1 мкл ОТ-MMLV (100 ед. активности/мкл). Реакцию проводили в течение 1 ч при 42 °C. Полученный препарат суммарной кДНК клеток HeLa был использован для наработки препаративного количества кДНК белка Sam68 методом ПЦР.
Получение плазмид pQE30-Sam68 и pBADM41-Sam68. Целевую плазмиду получали лигированием в 10 мкл смеси, содержащей 5 ед. акт. ДНК-лигазы фага Т4 и лигазный буфер (50 мМ Tris-HCl (pH 7,5), 10 мМ MgCl2, 10 мМ DTT, 1 мМ ATP), 50 нг вектора pQE30, гидролизованного эндонуклеазами рестрикции KpnI и SalI, или pBADM41, гидролизованного SfoI (эндонуклеазы, генерирующей фрагменты ДНК с тупыми концами), и 75 нг ПЦР-продукта Sam68, полученного с праймерами pQE30-Sam68-KpnI/pQE30-Sam68-SalI или pBADM41-Sam68-For/pBADM41-Sam68-Rev. ПЦР-продукт Sam68, полученный с праймерами pQE30-Sam68-KpnI/pQE30-Sam68-SalI, предварительно гидролизовали эндонуклеазами рестрикции KpnI и SalI. Смесь инкубировали 30 мин при комнатной температуре. Методом секвенирования по Сэнгеру анализировали полученные плазмидные ДНК на наличие ошибок. Проверка последовательностей целевой вставки не выявила ошибок в нуклеотидной последовательности.
Культивирование клеток в системе автоиндукции по Штудиеру. В питательную среду, содержащую 1% триптона, 0,5% дрожжевого экстракта, 50 мМ Na2HPO4, 50 мМ KH2PO4, 25 мМ (NH4)2SO4, 2 мМ MgSO4, 0,5% глицерина, 0,05% глюкозы, 0,2% лактозы и селектирующий антибиотик, добавляли трансформированные плазмидой pQE30-Sam68 клетки E. coli BL21(DE3), BL21(DE3)GeneX, BL21(DE3)pLysS, Rosetta(DE3), Rosetta(DE3)pLysS с последующим наращиванием (18 ч, 37 °C) при перемешивании (200 об./мин) до стационарной плотности клеточной культуры [17].
Вестерн-блот анализ. Анализируемые образцы, полученные после лизиса клеток E. coli BL21(DE3), BL21(DE3)GeneX, BL21(DE3)pLysS, Rosetta(DE3), Rosetta(DE3)pLysS, в буфере Laemmli, содержащем 50 мМ Tris-HCl (pH 6,8), 100 мМ 2-меркаптоэтанола, 1% Ds-Na, 10% глицерина, 0,01% бромфенолового синего, разделяли с помощью электрофореза в 10%-ном Ds-Na-ПААГ и переносили на нитроцеллюлозную мембрану («Bio-Rad», США) в системе TurboBlot («Thermo Fisher Scientific») в течение 20 мин при силе тока 1,3 мА/см2 геля и напряжении 25 В. После этого нитроцеллюлозную мембрану выдерживали в 5%-ном обезжиренном сухом молоке, растворенном в буфере TBS, содержащем 50 мМ Tris-HCl (pH 7,6), 150 мМ NaCl, в течение 1 ч и затем инкубировали в течение ночи при 4 °С со специфичными антителами против гексагистидиновой (His6) последовательности («Abcam», США), разбавленными до титра 1 : 1000 в буфере TBS. Мембрану отмывали 3 раза по 5 мин буфером TBST, содержащим 50 мМ Tris-HCl (pH 7,6), 150 мМ NaCl, 0,1% (v/v) Tween 20, и инкубировали в течение 1 ч при комнатной температуре с конъюгатами антител против IgG мыши с пероксидазой хрена («Abcam») (разбавленными в TBS до титра 1 : 50 000). Мембрану отмывали 3 раза по 5 мин буфером TBST, затем – 3 раза по 5 мин в буфере TBS и инкубировали с хемолюминесцентным субстратом пероксидазы хрена SuperSignal West Pico Substrate («Thermo Fisher Scientific»). Положение анализируемых полос определяли экспозицией нитроцеллюлозной мембраны с использованием системы гель-документирования Amersham Imager 600 («GE», США).
Выделение белка Sam68. Клетки E. coli, трансформированные плазмидой pQE30-Sam68, ресуспендировали в 50 мл буферного раствора, содержащего 20 мМ Tris-HCl (pH 8,0), 10% глицерина, 7 мМ 2-меркаптоэтанола, 1 мМ PMSF, 1 мМ бензамидина. После инкубации на льду в течение 20 мин к смеси добавляли 50 мл буферного раствора для лизиса клеток, содержащего 20 мМ Tris-HCl (pH 8,0), 2 М NaCl, 2% NP-40, 10% глицерина, 7 мМ 2-меркаптоэтанола. Полученную суспензию обрабатывали в ультразвуковом дезинтеграторе («Bandelin», Германия) при 40 кГц в течение 30 мин с циклом работы: пауза – 45 с; обработка – 15 с, с охлаждением до 4 °C. Полученный лизат центрифугировали 30 мин при 30 000 g и 4 °C («Beckman Coulter Inc.», США). Осадок ресуспендировали в 50 мл буфера, содержащего 20 мМ Tris-HCl (pH 8,0), 1 М мочевины, 0,2 М NaCl, 10% глицерина, 0,1% NP-40, 7 мМ 2-меркаптоэтанола, и инкубировали в течение 1 ч при 4 °C при постоянном перемешивании. После инкубации полученный раствор центрифугировали (30 мин, 30 000 g при 4 °C). Осадок растворяли в 50 мл буфера, содержащего 20 мМ Tris-HCl (pH 8,0), 8 М мочевины, 0,2 М NaCl, 10% глицерина, 0,1% NP-40, 7 мМ 2-меркаптоэтанола, добавляли протамин сульфат до конечной концентрации 1 г/литр и инкубировали в течение 30 мин при 4 °C при постоянном перемешивании. Полученный раствор центрифугировали (30 мин, 30 000 g при 4 °C). Супернатант наносили на колонку (1 мл), содержащую в качестве сорбента Ni-NTA («Bio toolomics», Великобритания).
Колонку уравновешивали буфером А, содержащим 20 мМ Tris-HCl (pH 8,0), 8 М мочевины, 0,2 М NaCl, 10% глицерина, 0,1% NP-40, 2 мМ 2-меркаптоэтанола, 20 мМ имидазола. Элюцию белка проводили градиентом 20–500 мМ имидазола в буфере А. Полученные фракции анализировали с помощью электрофореза в 10%-ном Ds-Na-ПААГ.
Фракции целевого белка, содержащие наименьшее количество примесей, концентрировали с использованием фильтров Vivaspin 10K MWCO («Sartorius», Германия). Проводили частичную замену буфера в получившемся препарате путем разбавления белка буфером, содержащим 50 мМ Tris-HCl (pH 8,0), 8 М мочевины, 0,5 М NaCl, 0,1% NP-40, 1 мМ ДТТ, с последующей ультрафильтрацией.
Полученный препарат белка Sam68 последовательно диализовали против буферных растворов, содержащих 50 мМ Tris-HCl (pH 8,0), 0,2 М NaCl, 0,1% NP-40, 7 мМ 2-меркаптоэтанола, 4 или 2, или 1, или 0,5 М мочевины, в течение 4 ч при 4 °С при постоянном перемешивании.
Синтез радиоактивного NAD+ и полимера ADP-рибозы. Синтез [32Р]-меченого NAD+ проводили в реакционной смеси, содержащей 25 мМ Tris-HCl (pH 7,5), 20 мМ MgCl2, 2 мМ β-никотинамидмононуклеотида, 1 мМ ATP, 0,5 мКи [α-32P]ATP и 5 мг/мл никотинамидмононуклеотид-аденилилтрансферазы (NMNAT), в течение 1 ч при 37 °С. Фермент NMNAT инактивировали в течение 10 мин при 65 °С, денатурированный фермент осаждали центрифугированием (12 000 g, 10 мин при 4 °С). Синтез [32P]-меченой поли(ADP-рибозы) ([32P]PAR) проводили в реакционной смеси, содержащей 50 мМ Tris-HCl (pH 8,0), 40 мМ NaCl, 1 мМ ДТТ, 5 мМ MgCl2, 100 нМ ДНК (FAM-Nick), 200 нМ PARP1 и 10 мкМ NAD+ (0,4 мкКи [32Р]-меченого NAD+). Реакционную смесь инкубировали в течение 30 мин при 37 °С. Далее, реакционную смесь обрабатывали ДНКазой I (0,1 ед./мкл) в течение 10 мин при 37 °С. Реакцию щелочного гидролиза PAR, ковалентно связанной с PARP1, инициировали добавлением NaOH до концентрации 0,1 М с последующей инкубацией смеси при 37 °C в течение 40 мин. Реакцию останавливали добавлением равного объема 0,1 М HCl.
Белки удаляли фенольной экстракцией, используя смесь фенол/хлороформ/изоамиловый спирт (25/24/1), PAR осаждали добавлением этанола с последующей инкубацией в течение 1 ч при −20 °C. Осадок растворяли в воде. Препарат радиоактивно меченной PAR анализировали гель-электрофорезом в денатурирующем 20%-ном ПААГ с последующей радиоавтографией. Концентрацию [32P]-меченого PAR оценивали по количеству включенной [32P]ADP-рибозы с учетом интенсивности сигнала и концентрации [32P]NAD+.
Анализ активности PARP1. Начальную скорость синтеза PAR в реакции, катализируемой PARP1 в присутствии или при отсутствии Sam68, определяли, исходя из кинетики включения [32P]NAD+ в синтезируемый полимер ADP-рибозы. Реакционные смеси содержали 50 мМ Tris-HCl (pH 8,0), 40 мМ NaCl, 1 мМ ДТТ, 100 мкг/мл БСА, 0,5 М мочевины, 10 мМ ЭДТА, 100 нМ PARP1, 0,5–3 мкМ Sam68 и 0,5 OD260/мл активированной ДНКазой I ДНК тимуса теленка (ДНКакт) («Sigma-Aldrich»). Реакцию синтеза PAR инициировали добавлением NAD+ до конечной концентрации 20 мкМ (0,4 мкКи [32Р]-меченого NAD+) и проводили в течение 20 мин при температуре 30 °С, отбирая аликвоты через 1, 5, 10 и 20 мин. Реакцию останавливали перенесением аликвот реакционной смеси на бумажный фильтр Whatman (1 см × 1 см), пропитанный 10%-ной трихлоруксусной кислотой (ТХУ). Неизрасходованный NAD+ удаляли путем промывки фильтров 3 раза по 5 мин в 5%-ной ТХУ, затем – однократно в 90%-ном этаноле для удаления остатков ТХУ. Перед определением радиоактивности образцов фильтры высушивали на воздухе.
Количественную оценку интенсивности синтеза PAR определяли по суммарной радиоактивности продуктов реакции радиоавтографией с последующим анализом в программе Quantity One. На основании полученных данных строили график зависимости времени реакции PAR-илирования (t) от количества синтезированной поли(ADP-рибозы) в программе Origin с использованием уравнений (1)–(3):
[P] = [Pmax] × (1 − e−kt), (1)
V = d[P] / dt = k × [Pmax] × e−kt, (2)
V0 = d[P] / dt = k × [Pmax]; t = 0, (3)
где Pmax – максимальная концентрация продукта синтеза при t∞, t – время, k – константа скорости первого порядка. Рассчитанные кинетические параметры [Pmax] и k были использованы для определения начальной скорости реакции (уравнение (3)).
Анализ уровня модификации PARP1 и Sam68 проводили с помощью гель-электрофореза в 10%-ном Ds-Na-ПААГ по Laemmli [18].
Исследование взаимодействия Sam68 с ДНК и PAR. Связывание белков с поврежденной ДНК детектировали по изменению анизотропии флуоресценции FAM-меченой ДНК (FAM-Nick), содержащей одноцепочечный разрыв [19]. Реакционные смеси, содержащие 50 мМ Tris-HCl (pH 8,0), 40 мМ NaCl, 1 мМ ДТТ, 100 мкг/мл БСА, 0,5 М мочевины, 0–5 мкМ Sam68, 100 нМ PARP1 и 10 нМ ДНК (FAM-Nick), инкубировали при комнатной температуре в течение 5 мин. Измерения интенсивности флуоресценции образцов проводили в 384-луночном планшете («Corning», США) с использованием микропланшетного флуориметра CLARIOstar («GMBLabtech GmbH», Германия). Количественную обработку экспериментальных данных выполняли в программе MARS Data analysis («GMB LabtechGmbH», Германия) [19]. Зависимость изменения анизотропии флуоресценции от концентрации белка была обработана с использованием уравнения (4):
F = F0 + (F∞ − F0) / [1 + (EC50 / C)n], (4)
где F0, F и F∞ – интенсивность флуоресценции раствора ДНК (FAM-Nick) при отсутствии белка, в присутствии белка в данной (С) и насыщающей концентрации соответственно; EC50 – концентрация белка, при которой F − F0 = (F∞ − F0) / 2; n – коэффициент Хилла.
Связывание Sam68 с PAR анализировали методом задержки в геле. Реакционные смеси, содержащие 50 мМ Tris-HCl (pH 8,0), 40 мМ NaCl, 1 мМ ДТТ, 100 мкг/мл БСА, 500 мМ мочевины, 10 нМ [32P]-меченой PAR, 0–5 мкМ Sam68, инкубировали при 37 °С в течение 5 мин. Затем в реакционные смеси добавляли буфер нанесения, содержащий 20 мМ Tris-HCl (pH 7,5), 25% глицерина, 0,01% бромфенолового синего, и проводили электрофорез в неденатурирующих условиях в 5%-ном ПААГ при 4 °С с последующей радиоавтографией.
РЕЗУЛЬТАТЫ ИССЛЕДОВАНИЯ
Получение рекомбинантного белка Sam68. Последовательность Sam68 была клонирована в вектор pQE30 для прокариотической системы экспрессии. Выбранная конструкция содержит в своем составе гексагистидиновую последовательность (His-tag), расположенную в N-концевой части относительно клонируемой белковой последовательности, и кодирует рекомбинантный His-tag-Sam68 [20]. Для анализа уровня экспрессии использовали несколько штаммов E. coli: BL21(DE3) (базовый штамм для наработки белка), BL21(DE3)GeneX (штамм со сниженной наработкой фоновых белков), BL21(DE3)plysS (штамм с контролем экспрессии целевого гена), Rosetta(DE3) (штамм, содержащий плазмиду c генами некоторых тРНК человека), Rosetta(DE3)plysS (штамм, содержащий плазмиду c генами некоторых тРНК человека и контролем экспрессии целевого гена), Rosseta(DE3)GamiB (штамм, содержащий плазмиду c геном тиоредуктазы), и проводили подбор условий экспрессии Sam68. Экспрессия целевого белка в клетках была визуально обнаружена при использовании штамма Rosetta(DE3)pLysS. Дополнительно был проведен анализ присутствия белка Sam68 в бактериальных лизатах методом вестерн-блот-анализа с использованием антител, специфичных к последовательности His-tag (рис. 1).
Рис. 1. Анализ экспрессии His-tag-Sam68 в лизате различных штаммов-продуцентов методом денатурирующего гель-электрофореза в 10%-ном Ds-Na-ПААГ с последующим окрашиванием Кумасси R-250 (а) или методом вестерн-блота (б). Дорожки: 1 и 14 – маркер молекулярных масс («Bio-Rad», США); 2 и 3 – штамм BL21(DE3) до и после индукции; 4 и 5 – штамм BL21(DE3)GeneX до и после индукции; 6 и 7 – штамм BL21(DE3)pLysS до и после индукции; 8 и 9 – штамм Rosetta(DE3) до и после индукции; 10 и 11 – штамм Rosetta(DE3)pLysS до и после индукции; 12 и 13 – штамм Rosetta(DE3)GamiB до и после индукции
Штамм E. coli Rosetta(DE3)pLysS и условия культивирования, оптимизированные в ходе выполнения предыдущего эксперимента, были использованы для наработки препаративного количества биомассы и последующего выделения рекомбинантного белка (рис. 2). Однако данный белок при экспрессии накапливался в клетках в форме телец включения. Включение в состав белка аффинных меток, таких как глутатион S-трансфераза (GST), мальтоза-связывающий белок (MBP) или малый убиквитин-подобный белок (SUMO), часто способствует повышению растворимости рекомбинантных белков в водных растворах [20]. Поэтому последовательность гена Sam68 клонировали в вектор pBADM, кодирующий GST-Sam68. Согласно анализу количества белка GST-Sam68, содержащегося в растворимой и нерастворимой фракциях после лизиса клеток Rosetta(DE3)pLysS (рис. П1 в Приложении), основная масса белка GST-Sam68, так же как и в случае с His-tag-Sam68, находилась в тельцах включения. Поэтому для дальнейшего исследования был выбран His-tag-Sam68.
Рис. 2. При экспрессии в клетках E. coli Sam68 накапливается в виде телец включения. а – Анализ содержания His-tag-Sam68 в растворимой и нерастворимой фракциях методом денатурирующего гель-электрофореза в 10%-ном Ds-Na-ПААГ с последующим окрашиванием Кумасси R-250. Дорожки: 1 и 8 – маркер молекулярных масс («Bio-Rad»); 2 – растворимая фракция после центрифугирования лизированных клеток; 3 – лизат штамма продуцента Rosetta(DE3)pLysS; 4 – растворимая фракция в 1 М мочевине после центрифугирования лизированных клеток; 5 – нерастворимая фракция; 6 – растворимая фракция в 8 М мочевине; 7 – нерастворимая фракция после обработки лизата клеток 8 М мочевиной. б – Анализ содержания белка после хроматографии на колонке с Ni-NTA. Дорожки: 1 – маркер молекулярных масс; 2 – 0,1 мкг; 3 – 0,2 мкг; 4 – 0,3 мкг; 5 – 0,4 мкг; 6 – 0,5 мкг; 7 – 1 мкг белка, полученные после элюции с Ni-NTA
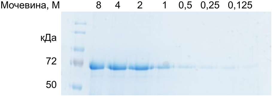
Оценка растворимости белка Sam68. Для изучения функциональной активности Sam68, в частности, его взаимодействие с PAR, ДНК или влияние на активность PARP1, необходимо было подобрать условия рефолдинга, то есть перевод Sam68 из нерастворимой в растворимую форму. В состав белка Sam68 входит структурированный домен STAR и многочисленные неструктурированные области, состоящие из повторяющихся мотивов, богатых пролином (P0–P5), аргинином/глицином (ди-RGG, ди-RG и три-RG) [21], поэтому Sam68, как и многие РНК-связывающие белки, содержащие неупорядоченные домены, склонен к агрегации [22]. Для поддержания неструктурированных белков в растворимом состоянии используются соединения, которые препятствуют агрегации белков. Эти соединения можно объединить в следующие классы: хаотропные агенты (мочевина, NaI), космотропы (NaCl, KCl, MgSO4) и осмолиты (глицерин, триметиламиноксид (ТМАО), аргинин) [23]. Наиболее часто использующимся реагентом для работы с внутренне неупорядоченными белками является мочевина, которая препятствует образованию межмолекулярных водородных связей [23]. Была проведена оценка растворимости Sam68 в зависимости от концентрации мочевины в растворе. Видно, что Sam68 слабо растворим в буферных растворах с концентрацией мочевины ниже 2 М (рис. 3).
Рис. 3. Анализ растворимости Sam68 в мочевине методом денатурирующего гель-электрофореза в 10%-ном Ds-Na-ПААГ с последующим окрашиванием Кумасси R-250. Реакционные смеси содержали 50 мМ Tris-HCl (pH 8,0), 200 мМ NaCl, 0,1% NP-40, 7 мМ 2-меркаптоэтанола, 1 мкМ Sam68 и мочевину в соответствующей концентрации (125 мМ–8 М)
Другими соединениями, которые широко используются для ингибирования агрегации белков, являются аминокислота аргинин и ТМАО, относящиеся к классу осмолитов [23]. Аргинин взаимодействует с ароматическими и заряженными аминокислотными остатками в составе неупорядоченных участков белка за счет π-катионных взаимодействий и образования солевых мостиков соответственно. Взаимодействия между молекулами аргинина приводят к образованию кластеров, которые стерически ингибируют белок-белковые взаимодействия [24]. ТМАО применяется при исследованиях фолдинга белков для уменьшения денатурирующего эффекта мочевины. ТМАО образует комплекс с мочевиной за счет гидрофобных взаимодействий и множественные ионные взаимодействия между пептидным остовом и боковыми аминокислотными радикалами белка, тем самым исключая молекулы мочевины из взаимодействия с белком [25].
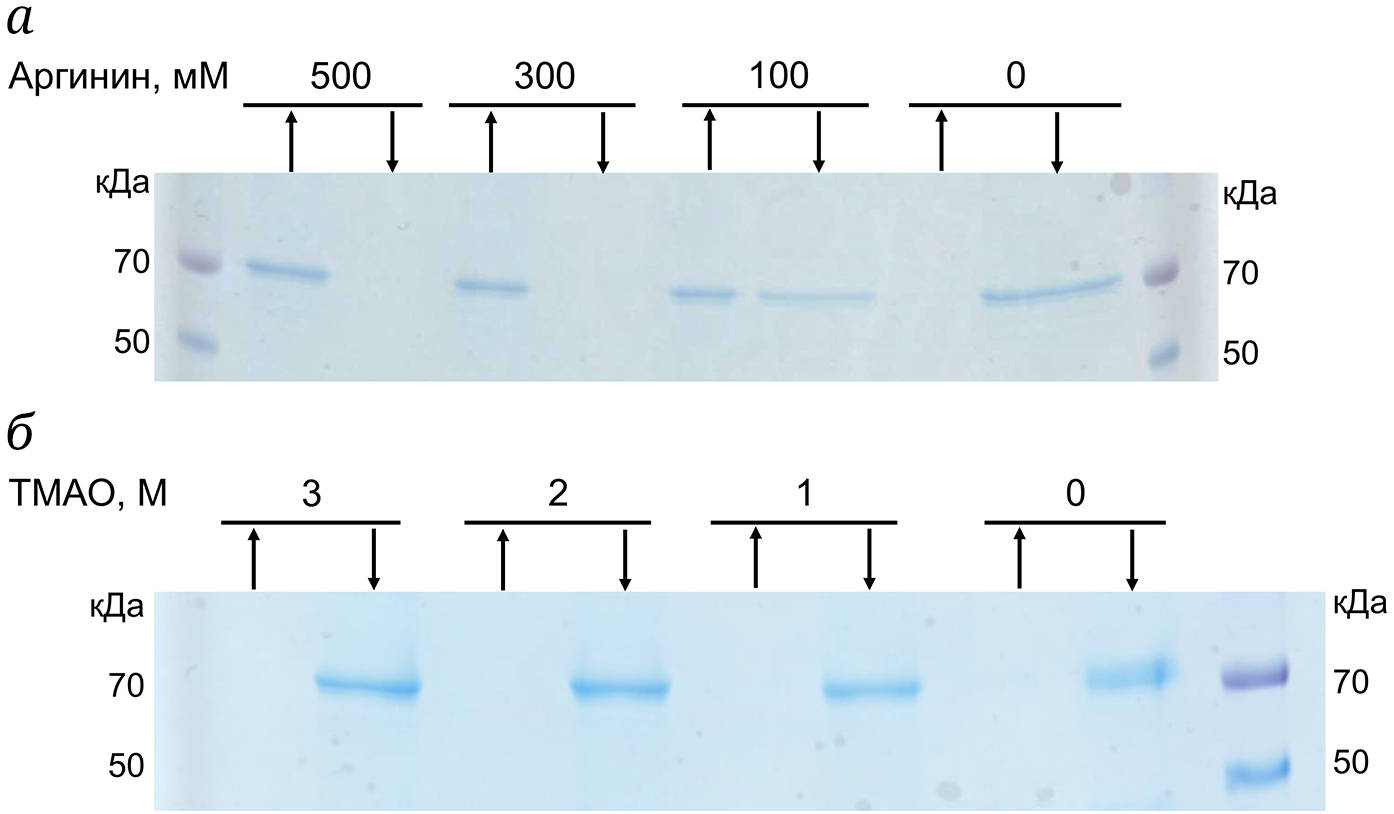
Оценка совместного влияния мочевины и аргинина или мочевины и ТМАО на растворимость белка Sam68 показала, что присутствие аргинина в концентрации больше 100 мМ в реакционной смеси значительно увеличивает растворимость Sam68, а при концентрации аргинина 300 мМ практически полностью восстанавливается растворимость Sam68 в водных растворах с низкой концентрацией мочевины (150 мМ) (рис. 4).
Рис. 4. Анализ растворимости Sam68 при низкой концентрации мочевины (150 мМ) в присутствии аргинина (а) или TMAO (б) методом денатурирующего гель-электрофореза в 10%-ном Ds-Na-ПААГ с последующим окрашиванием Кумасси R-250. Реакционная смесь содержала 20 мМ Tris-HCl (pH 8,0), 100 мМ NaCl, 0,1% NP-40, 1 мМ ДТТ, 150 мМ мочевины, 1 мкМ Sam68 и аргинин/ТМАО в указанной концентрации. Анализировали растворимую фракцию (↑) и осадок (↓)
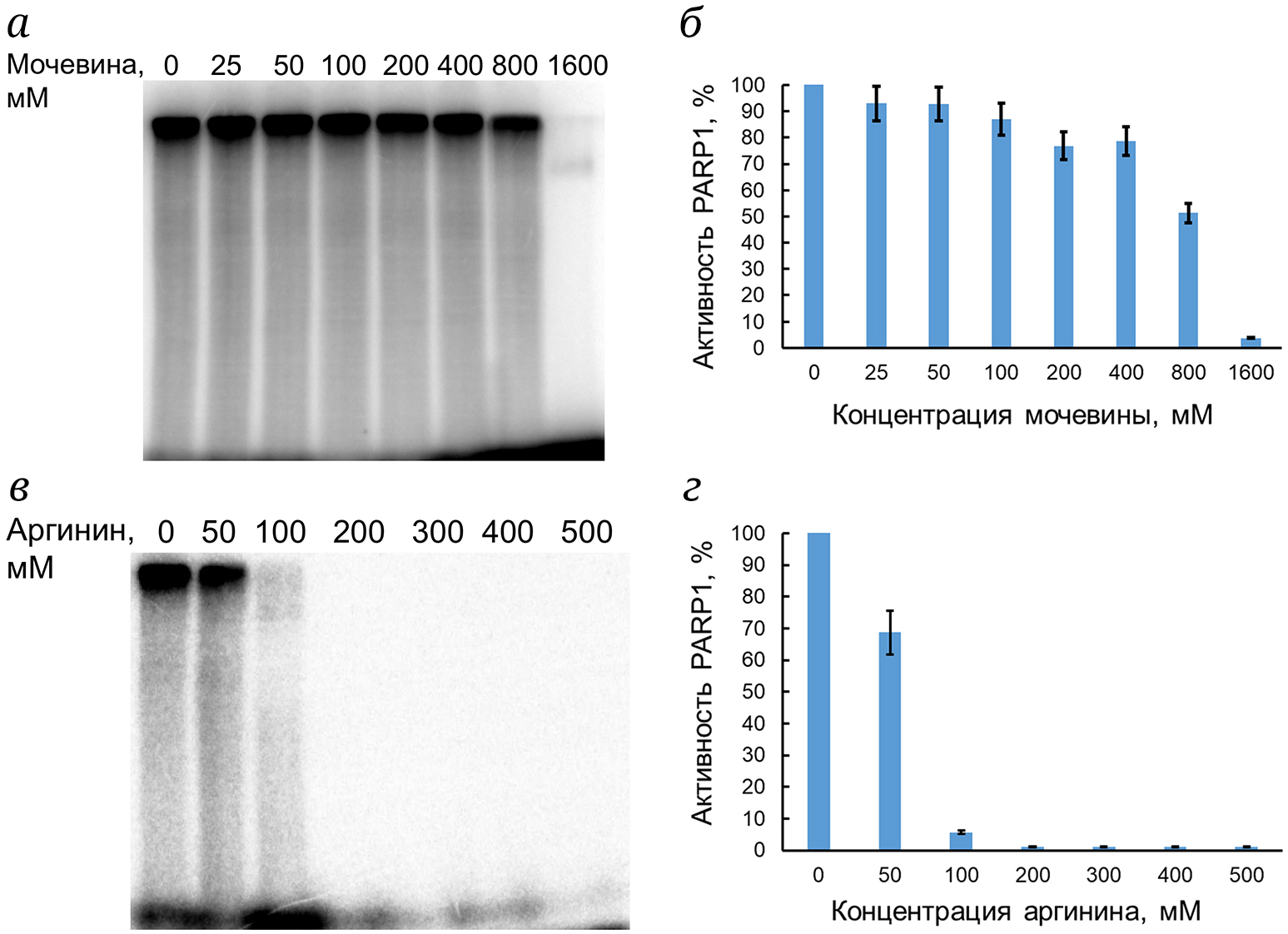
Влияние мочевины и аргинина на каталитическую активность PARP1. Для исследования влияния Sam68 на активность PARP1 необходимо подобрать подходящие условия реакции. В аналогичных работах, посвященных РНК-связывающему белку FUS, реакцию PAR-илирования проводили в присутствии 300 мМ мочевины. Такая концентрация мочевины обеспечивала растворимость FUS в растворе и не ингибировала активность PARP1 [9, 26]. Аргинин увеличивает растворимость белков в водных растворах и, кроме того, не является денатурирующим агентом [27]. Поскольку Sam68 хорошо растворяется в водных растворах, содержащих мочевину и аргинин (рис. 3 и 4), необходимо было проанализировать влияние этих соединений на активность PARP1 (рис. 5).
Рис. 5. Влияние мочевины (а и б) и аргинина (в и г) на каталитическую активность PARP1. а – Радиоавтограф 10%-ного Ds-Na-ПААГ, в котором проводили разделение продуктов реакции PAR-илирования в присутствии мочевины. б – Диаграмма, построенная после анализа распределения радиоактивности в геле, представленном на панели (а). Активность PARP1 при отсутствии мочевины принята за 100%. в – Радиоавтограф 10%-ного Ds-Na-ПААГ, в котором проводили разделение продуктов реакции PAR-илирования в присутствии аргинина. г – Диаграмма, построенная после анализа распределения радиоактивности в геле, представленном на панели (в). Активность PARP1 при отсутствии аргинина принята за 100%
Было установлено, что последовательное увеличение концентрации мочевины от 250 до 1600 мМ в реакционной смеси приводит к ингибированию реакции PAR-илирования. В случае использования концентрации мочевины в диапазоне 100–400 мМ наблюдалось незначительное снижение активности PARP1, тогда как при концентрации мочевины выше 800 мМ активность PARP1 была практически полностью подавлена. При концентрации аргинина больше 50 мМ в реакционной смеси наблюдается значительное ингибирование активности PARP1, тогда как эффект аргинина на растворимость Sam68 наблюдался при концентрации больше 100 мМ. Таким образом, аргинин оказывает сильное ингибирующее действие на активность PARP1 в условиях поддержания Sam68 в растворимом состоянии. Поэтому для дальнейшего изучения влияния Sam68 на реакцию PAR-илирования были выбраны условия проведения реакции только в присутствии 500 мМ мочевины. При такой концентрации мочевины наблюдается лишь слабое ингибирование активности PARP1 при сохранении Sam68 в растворимой форме (рис. 3 и 5).
Влияние белка Sam68 на реакцию поли(ADP-рибозил)ирования. Ранее было показано, что Sam68 способен регулировать синтез PAR в клетке в ответ на повреждение ДНК, индуцируемое лазерной микрорадиацией, и способен стимулировать активность PARP1 in vitro [15]. В данной работе было проведено сравнение продуктов PAR-илирования белков, которые накапливаются в реакционной смеси при отсутствии и в присутствии Sam68. Влияние Sam68 на активность PARP1 было исследовано в кинетическом режиме реакции при различных соотношениях концентраций этих белков. Была оценена скорость реакции PAR-илирования в зависимости от концентрации Sam68. Из рис. 6, а видно, что в присутствии Sam68 происходит повышение уровня синтеза PAR. При отсутствии Sam68 реакция выходит на плато через 10 мин, а в присутствии Sam68 накопление PAR происходит и после 10 мин реакции. Кроме того, Sam68 подвергается PAR-илированию и стимулирует авто-модификацию PARP1 (рис. 6, б). Стоит отметить, что при увеличении концентрации Sam68 не наблюдалось значительного увеличения транс-PAR-илирования Sam68 (рис. 6, б). Кроме того, Sam68 не оказывает заметного влияния на начальную скорость синтеза PAR (табл. 2).
Рис. 6. Sam68 стимулирует активность PARP1. а – Кинетика уровня синтеза PAR в присутствии различных концентраций Sam68. Pеакцию синтеза PAR проводили с использованием [32P]NAD+ и останавливали перенесением аликвот реакционной смеси на бумажный фильтр Whatman, пропитанный ТХУ. На графиках приведены средние значения ± стандартные отклонения для трех независимых экспериментов. б – Анализ авто-PAR-илирования PARP1 и транс-PAR-илирования Sam68 методом денатурирующего гель-электрофореза. Радиоавтограф 10%-ного Ds-Na-ПААГ, в котором проводили разделение продуктов реакции PAR-илирования белков
Таблица 2. Начальные скорости реакции (фмоль/мин)* синтеза PAR в присутствии различных концентраций Sam68
PARP1 (без Sam68) | 500 нМ Sam68 | 1000 нМ Sam68 | 2000 нМ Sam68 | 3000 нМ Sam68 |
45 ± 5 | 60 ± 10 | 100 ± 15 | 60 ± 10 | 50 ± 10 |
Приложение. * – Начальные скорости реакции синтеза PAR (фмоль/мин) были получены в результате обработки индивидуальных кривых (рис. 6, а), описываемых уравнением (3), и представлены как средние значения ± стандартное отклонение для трех независимых экспериментов.
Таким образом, Sam68, подобно другим РНК-связывающим белкам, таким как YB-1 и FUS, PAR-илируется и увеличивает суммарный выход синтеза PAR.
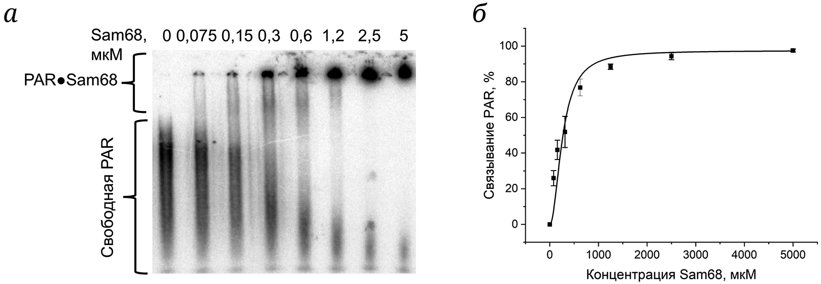
Определение сродства Sam68 к нуклеиновым кислотам. Взаимодействие Sam68 с ДНК или PAR, формирующейся в процессе автомодификации PARP1, может играть ключевую роль в Sam68-зависимой регуляции активности PARP1 [28]. Эксперименты по анализу взаимодействия Sam68 с PAR проводили методом задержки в геле (рис. 7, а).
Рис. 7. Связывание PAR белком Sam68. а – Радиоавтограф нативного 5%-ного ПААГ, в котором проводилось разделение комплексов Sam68•PAR. б – Относительный уровень связывания Sam68 с PAR, оцененный по данным анализа электрофореграммы, представленной на панели (а). Сродство (EC50) Sam68 к PAR определяли как концентрацию Sam68, при которой 50% PAR находится в комплексе. Реакционные смеси содержали 50 мМ Tris-HCl (pH 8,0), 50 мМ NaCl, 1 мМ ДТТ, 500 мМ мочевины, 100 мкг/мл БСА, 10 нМ [32P]-меченой PAR и Sam68 в указанных концентрациях (75 нМ–5 мкМ)
Согласно полученным данным, величина EC50, кажущаяся константа диссоциации комплекса Sam68•PAR, составила 300 нМ. Методом анизотропии флуоресценции также была проведена оценка сродства Sam68 к ДНК (FAM-Nick), содержащей одноцепочечный разрыв, и величина EC50 для комплекса Sam68•ДНК составила 500 нМ (рис. 8). Таким образом, Sam68 проявляет специфическое сродство к PAR и поврежденной ДНК.
Рис. 8. Сродство Sam68 к поврежденной ДНК. Изменение анизотропии флуоресценции ДНК (FAМ-Nick) в присутствии различных концентраций Sam68. Реакционные смеси содержали 50 мМ Tris-HCl (pH 8,0), 50 мМ NaCl, 1 мМ ДТТ, 100 мкг/мл БСА, 500 мМ мочевины, 10 нМ ДНК (FAM-Nick) и Sam68 в указанных концентрациях
Таким образом, способность Sam68 стимулировать активность PARP1 может зависеть от эффективности его взаимодействия с поврежденной ДНК и/или PAR.
Методом флуоресцентного титрования была изучена возможность формирования комплекса Sam68•PARP1 на поврежденной ДНК (FAM-Nick) (рис. 9).
Рис. 9. Исследование комплексообразования PARP1 и Sam68 с ДНК (FAM-Nick) методом анизотропии флуоресценции. Реакционные смеси объемом 10 мкл содержали 50 мМ Tris-HCl (pH 8,0), 50 мМ NaCl, 1 мМ ДТТ, 500 мМ мочевины, 10 нМ ДНК (FAM-Nick), 0–10 мкМ Sam68 и 100 нМ PARP1
При последовательном увеличении концентрации Sam68 при отсутствии PARP1 наблюдается увеличение уровня анизотропии флуоресценции (рис. 9, красная линия), что свидетельствует о том, что происходит формирование комплекса Sam68 с поврежденной ДНК. При добавлении Sam68 к предварительно сформированному комплексу PARP1•ДНК не наблюдалось значительного увеличения уровня анизотропии флуоресценции (рис. 9, синяя линия), что указывает на то, что формирования тройного комплекса Sam68•PARP1•ДНК не происходит.
ОБСУЖДЕНИЕ РЕЗУЛЬТАТОВ
В настоящее время поиск ингибиторов ключевых ферментов и факторов репарации ДНК является одним из перспективных направлений в создании эффективной терапии для лечения онкологических заболеваний. Фермент PARP1 является ключевым регулятором процессов репарации ДНК в клетке. Накапливается все больше данных о том, что в репарацию ДНК могут быть вовлечены РНК-связывающие белки, необходимые для ее регуляции [8]. Sam68 – это мультифункциональный белок, участвующий во многих клеточных процессах, как например, транспорт мРНК из ядра в цитоплазму, стабилизация мРНК, альтернативный сплайсинг [29, 30]. Sam68 является регулятором экспрессии генов и взаимодействует со многими транскрипционными факторами [29]. Кроме того, в недавнем исследовании [15] была описана роль Sam68 как возможного регулятора синтеза PAR в клетке. Однако, несмотря на установленную функцию Sam68 как кофактора PARP1, детального механизма влияния этого белка на реакцию PAR-илирования не было предложено.
В данной работе был разработан простой и эффективный метод получения и очистки рекомбинантного белка Sam68 из биомассы клеток E. coli, что предполагает выделение Sam68 из телец включения с последующей хроматографией на Ni-NTA.
Sam68 обладает мультидоменной организацией из N- и C-концевых неупорядоченных участков и центрального упорядоченного РНК-связывающего домена. Благодаря своей конформационной лабильности неупорядоченные участки образуют множественные обратимые взаимодействия с белками-партнерами, обеспечивая вовлеченность Sam68 практически во все клеточные процессы [21]. Однако вследствие такой доменной организации Sam68 склонен к агрегации в водных растворах, что затрудняет изучение его биохимических свойств. Для изучения роли Sam68 в регуляции активности PARP1 в качестве соединений, которые могли бы повлиять на растворимость Sam68 в водных растворах, были проанализированы мочевина, аргинин и ТМАО. Для дальнейшей работы в качестве вспомогательного соединения для улучшения растворимости Sam68 была выбрана мочевина в концентрации 500 мМ. С использованием подобранных условий для растворимости Sam68 была изучена его роль как белка-регулятора реакции PAR-илирования.
Было оценено влияние рекомбинантного Sam68 на каталитическую активность PARP1 при различных соотношениях концентраций этих белков. Впервые показано, что Sam68 является мишенью PAR-илирования in vitro. Sam68 стимулирует активность PARP1, увеличивая суммарный уровень синтеза PAR, но оказывает слабое влияние на начальную скорость реакции PAR-илирования. Возможно, что стимуляция активности PARP1 РНК-связывающими белками происходит в тройном комплексе на поврежденной ДНК или на PAR, как было нами показано для YB-1 [13, 14]. Несмотря на то что Sam68 подробно охарактеризован как РНК-связывающий белок [29, 31], информация о взаимодействии Sam68 с ДНК или PAR в литературе отсутствует. Впервые была проведена количественная оценка комплексообразования Sam68 с поврежденной ДНК и с PAR. Методом анизотропии флуоресценции было показано, что Sam68 не образует тройной комплекс с PARP1 на поврежденной ДНК (Sam68•PARP1•ДНК). Поэтому наиболее вероятным является предположение о том, что регуляция активности PARP1 осуществляется за счет взаимодействия Sam68 с полимером ADP-рибозы, ковалентно присоединенным к PARP1 в процессе активации. Sam68, образуя комплекс с синтезируемым полимером ADP-рибозы, способен стабилизировать комплекс PAR-илированной PARP1 с ДНК, продлевая время пребывания PARP1 в активном состоянии и тем самым стимулируя синтез PAR (рис. 10).
Рис. 10. Гипотетический механизм регуляции активности PARP1 белком Sam68. а – Образование комплекса PARP1 с поврежденной ДНК. б – Авто-поли(ADP-рибозил)ирование PARP1. в – Образование комплекса Sam68 с PAR, ковалентно присоединенной к PARP1. Связываясь с PAR, ковалентно присоединенной к PARP1, Sam68 экранирует отрицательный заряд этого полимера, стабилизируя комплекс PARP1 с поврежденной ДНК, и тем самым стимулирует синтез поли(ADP-рибозы)
Вклад авторов. О.И. Лаврик, М.В. Суханова – концепция и руководство работой; Е.А. Бережнев, К.Н. Науменко, Т.А. Кургина – проведение экспериментов; К.Н. Науменко, Е.А. Бережнев, М.В. Суханова, О.И. Лаврик – обсуждение результатов исследования; К.Н. Науменко, Е.А. Бережнев, М.В. Суханова, О.И. Лаврик – написание текста; М.В. Суханова, О.И. Лаврик – редактирование текста статьи.
Финансирование. Работа выполнена при финансовой поддержке Российского научного фонда (грант № 22-14-00112) и в рамках государственного задания ИХБФМ СО РАН № 121031300041-4 (использование оборудования и инфраструктуры).
Конфликт интересов. Авторы заявляют об отсутствии конфликта интересов.
Соблюдение этических норм. Настоящая статья не содержит описания каких-либо исследований с участием людей или животных в качестве объектов.
Дополнительные материалы. Приложение к статье опубликовано на сайте журнала «Биохимия» (https://biochemistrymoscow.com).
About the authors
K. N. Naumenko
Institute of Chemical Biology and Fundamental Medicine, Siberian Branch of the Russian Academy of Sciences
Email: lavrik@niboch.nsc.ru
Russian Federation, 630090 Novosibirsk
E. A. Berezhnev
Institute of Chemical Biology and Fundamental Medicine, Siberian Branch of the Russian Academy of Sciences
Email: lavrik@niboch.nsc.ru
Russian Federation, 630090 Novosibirsk
T. A. Kurgina
Institute of Chemical Biology and Fundamental Medicine, Siberian Branch of the Russian Academy of Sciences
Email: lavrik@niboch.nsc.ru
Russian Federation, 630090 Novosibirsk
M. V. Sukhanova
Institute of Chemical Biology and Fundamental Medicine, Siberian Branch of the Russian Academy of Sciences
Email: lavrik@niboch.nsc.ru
Russian Federation, 630090 Novosibirsk
O. I. Lavrik
Institute of Chemical Biology and Fundamental Medicine, Siberian Branch of the Russian Academy of Sciences
Author for correspondence.
Email: lavrik@niboch.nsc.ru
Russian Federation, 630090 Novosibirsk
References
- Vermeij, W. P., Hoeijmakers, J. H., and Pothof, J. (2016) Genome integrity in aging: human syndromes, mouse models, and therapeutic options, Annu. Rev. Pharmacol. Toxicol., 56, 427-445, https://doi.org/10.1146/annurev- pharmtox-010814-124316.
- Althaus, F. R., Kleczkowska, H. E., Malanga, M., Müntener, C. R., Pleschke, J. M., et al. (1999) Poly ADP-ribosylation: a DNA break signal mechanism. Mol. Cell. Biochem., 193, 5-11, https://doi.org/10.1007/978-1-4419-8740-2_1.
- D’Amours, D., Desnoyers, S., D’Silva, I., and Poirier, G. G. (1999) Poly(ADP-ribosyl)ation reactions in the regulation of nuclear functions, Biochem. J., 342 (Pt 2), 249-268, https://doi.org/10.1042/bj3420249.
- Huang, D., and Kraus, W. L. (2022) The expanding universe of PARP1-mediated molecular and therapeutic mechanisms, Mol. Cell, 82, 2315-2334, https://doi.org/10.1016/j.molcel.2022.02.021.
- Alemasova, E. E., and Lavrik, O. I. (2019) Poly(ADP-ribosyl)ation by PARP1: reaction mechanism and regulatory proteins, Nucleic Acids Res., 47, 3811-3827, https://doi.org/10.1093/nar/gkz120.
- Ayyappan, V., Wat, R., Barber, C., Vivelo, C. A., Gauch, K., Visanpattanasin, P., Cook, G., Sazeides, C., and Leung, A. K. L. (2021) ADPriboDB 2.0: an updated database of ADP-ribosylated proteins, Nucleic Acids Res., 49, D261-D265, https://doi.org/10.1093/nar/gkaa941.
- Corley, M., Burns, M. C., and Yeo, G. W. (2020) How RNA-binding proteins interact with RNA: molecules and mechanisms, Mol. Cell, 78, 9-29, https://doi.org/10.1016/j.molcel.2020.03.011.
- Altmeyer, M., Neelsen, K. J., Teloni, F., Pozdnyakova, I., Pellegrino, S., Grøfte, M., Rask, M. D., Streicher, W., Jungmichel, S., Nielsen, M. L., and Lukas, J. (2015) Liquid demixing of intrinsically disordered proteins is seeded by poly(ADP-ribose), Nat. Commun., 6, 8088, https://doi.org/10.1038/ncomms9088.
- Singatulina, A. S., Hamon, L., Sukhanova, M. V., Desforges, B., Joshi, V., Bouhss, A., Lavrik, O. I., and Pastré, D. (2019) PARP-1 activation directs FUS to DNA damage sites to form PARG-reversible compartments enriched in damaged DNA, Cell Rep., 27, 1809-1821.e5, https://doi.org/10.1016/j.celrep.2019.04.031.
- Neelamraju, Y., Hashemikhabir, S., and Janga, S. C. (2015) The human RBPome: from genes and proteins to human disease, J. Proteomics, 127 (Pt A), 61-70, https://doi.org/10.1016/j.jprot.2015.04.031.
- Alemasova, E. E., Naumenko, K. N., Pestryakov, P. E., and Lavrik, O. I. (2017) Production, purification of the recombinant analog of Y-box-binding protein 1 and its interaction with poly(ADP-ribose), RNA, single- and double-stranded DNAs, Biopolym. Cell, 33, 214-220, https://doi.org/10.7124/bc.000954.
- Alemasova, E. E., Naumenko, K. N., Kurgina, T. A., Anarbaev, R. O., and Lavrik, O. I. (2018) The multifunctional protein YB-1 potentiates PARP1 activity and decreases the efficiency of PARP1 inhibitors, Oncotarget, 9, 23349-23365, https://doi.org/10.18632/oncotarget.25158.
- Naumenko, K. N., Sukhanova, M. V., Hamon, L., Kurgina, T. A., Alemasova, E. E., Kutuzov, M. M., Pastré, D., and Lavrik, O. I. (2020) Regulation of poly(ADP-ribose) polymerase 1 activity by Y-box-binding protein 1, Biomolecules, 10, 1325, https://doi.org/10.3390/biom10091325.
- Naumenko, K. N., Sukhanova, M. V., Hamon, L., Kurgina, T. A., Anarbaev, R. O., Mangerich, A., Pastré, D., and Lavrik, O. I. (2022) The C-terminal domain of Y-box binding protein 1 exhibits structure-specific binding to poly(ADP-ribose), which regulates PARP1 activity, Front. Cell. Dev. Biol., 10, 831741, https://doi.org/10.3389/fcell.2022.831741.
- Sun, X., Fu, K., Hodgson, A., Wier, E. M., Wen, M. G., Kamenyeva, O., Xia, X., Koo, L. Y., and Wan, F. (2016) Sam68 is required for DNA damage responses via regulating poly(ADP-ribosyl)ation, PLoS Biol., 14, e1002543, https://doi.org/10.1371/journal.pbio.1002543.
- Gagné, J. P., Pic, E., Isabelle, M., Krietsch, J., Ethier, C., Paquet, E., Kelly, I., Boutin, M., Moon, K. M., Foster, L. J., and Poirier, G. G. (2012) Quantitative proteomics profiling of the poly(ADP-ribose)-related response to genotoxic stress, Nucleic Acids Res., 40, 7788-7805, https://doi.org/10.1093/nar/gks486.
- Studier, F. W. (2005) Protein production by auto-induction in high density shaking cultures, Protein expr. purif., 41, 207-234, https://doi.org/10.1016/j.pep.2005.01.016.
- Laemmli, U. K. (1970) Cleavage of structural proteins during the assembly of the head of bacteriophage T4, Nature, 227, 680-685, https://doi.org/10.1038/227680a0.
- Kurgina, T. A., Anarbaev, R. O., Sukhanova, M. V., and Lavrik, O. I. (2018) A rapid fluorescent method for the real-time measurement of poly(ADP-ribose) polymerase 1 activity, Anal. Biochem., 545, 91-97, https:// doi.org/10.1016/j.ab.2017.12.033.
- Costa, S., Almeida, A., Castro, A., and Domingues, L. (2014) Fusion tags for protein solubility, purification and immunogenicity in Escherichia coli: the novel Fh8 system, Front. Microbiol., 5, 63, https:// doi.org/10.3389/fmicb.2014.00063.
- Lukong, K. E., and Richard, S. (2003) Sam68, the KH domain-containing superSTAR. Biochim. Biophys. Acta, 1653, 73-86, https://doi.org/10.1016/j.bbcan.2003.09.001.
- Duan, Y., Du, A., Gu, J., Duan, G., Wang, C., Gui, X., Ma, Z., Qian, B., Deng, X., Zhang, K., Sun, L., Tian, K., Zhang, Y., Jiang, H., Liu, C., and Fang, Y. (2019) PARylation regulates stress granule dynamics, phase separation, and neurotoxicity of disease-related RNA-binding proteins, Cell Res., 29, 233-247, https://doi.org/10.1038/s41422-019-0141-z.
- Churion, K. A., and Bondos, S. E. (2012) Identifying solubility-promoting buffers for intrinsically disordered proteins prior to purification, Methods Mol. Biol., 896, 415-427, https://doi.org/10.1007/978-1-4614-3704-8_28.
- Shukla, D., and Trout, B. L. (2010) Interaction of arginine with proteins and the mechanism by which it inhibits aggregation, J. Phys. Chem. B, 114, 13426-13438, https://doi.org/10.1021/jp108399g.
- Sarma, R., and Paul, S. (2013) Exploring the molecular mechanism of trimethylamine-N-oxide’s ability to counteract the protein denaturing effects of urea, J. Phys. Chem. B, 117, 5691-5704, https://doi.org/10.1021/jp401750v.
- Mamontova, E. M., Clément, M. J., Sukhanova, M. V., Joshi, V., Bouhss, A., Rengifo-Gonzalez, J. C., Desforges, B., Hamon, L., Lavrik, O. I., and Pastré, D. (2023) FUS RRM regulates poly(ADP-ribose) levels after transcriptional arrest and PARP-1 activation on DNA damage, Cell Rep., 42, 113199, https://doi.org/10.1016/j.celrep.2023.113199.
- Arakawa, J., Uegaki, M., and Ishimizu, T. (2011) Effects of L-arginine on solubilization and purification of plant membrane proteins, Protein Expr. Purif., 80, 91-96, https://doi.org/10.1016/j.pep.2011.05.014.
- Teloni, F., and Altmeyer, M. (2016) Readers of poly(ADP-ribose): designed to be fit for purpose, Nucleic Acids Res., 44, 993-1006, https://doi.org/10.1093/nar/gkv1383.
- Lin, Q., Taylor, S. J., and Shalloway, D. (1997) Specificity and determinants of Sam68 RNA binding. Implications for the biological function of K homology domains, J. Biol. Chem., 272, 27274-27280, https://doi.org/10.1074/jbc.272.43.27274.
- Gibson, T. J., Thompson, J. D., and Heringa, J. (1993) The KH domain occurs in a diverse set of RNA-binding proteins that include the antiterminator NusA and is probably involved in binding to nucleic acid, FEBS Lett., 324, 361-366, https://doi.org/10.1016/0014-5793(93)80152-k.
- Chen, T., Damaj, B. B., Herrera, C., Lasko, P., and Richard, S. (1997) Self-association of the single-KH-domain family members Sam68, GRP33, GLD-1, and Qk1: role of the KH domain, Mol. Cell. Biol., 17, 5707-5718, https://doi.org/10.1128/MCB.17.10.5707.
Supplementary files












