Vol 101, No 6 (2024)
- Year: 2024
- Articles: 10
- URL: https://medbiosci.ru/0372-9311/issue/view/18258
ORIGINAL RESEARCHES
Genetic characteristics of influenza A and B viruses circulating in Russia in 2019–2023
Abstract
Relevance. Influenza viruses have a high potential for genetic change. These viruses are monitored annually around the world, including Russia, to determine the dominant genetic groups and select the strains to be included in influenza vaccines.
Objectives of the study include: analysis of influenza virus circulation in Russia in 2019–2023, phylogenetic and molecular analysis of hemagglutinin (HA) sequences of influenza viruses, detection of mutations associated with drug resistance to neuraminidase (NA) inhibitors and M2-protein (M2) ion channel inhibitors.
Materials and methods. Biological samples containing RNA of influenza viruses were studied: 410 A(H1N1)pdm09, 147 A(H3N2) and 167 B(Victoria). Sequencing of the HA, NA, M fragments was performed on the 3500xL Genetic Analyzer (Applied Biosytems). Data processing and analysis were carried out using DNASTAR, Nextclade, FluSurver and BioNumerics v.6.6 software.
Results. Influenza A(H1N1)pdm09, A(H3N2), B(Victoria) viruses circulating in 2019-2023 were investigated. The highest variability of HA was observed in A(H3N2) viruses. All influenza A(H1N1)pdm09 viruses in the 2022–2023 season had a previously unknown mutation E224A in HA, which increases its affinity for α-2,3 sialic acids — receptors localized in the human lungs, to which the virus binds via HA. 2 and 3% of influenza A(H1N1)pdm09 viruses in 2019–2020 and 2022–2023, respectively, had the D222N mutation in the receptor-binding site of HA, which is associated with more severe disease. The oseltamivir and zanamivir resistance mutation H275Y in NA was detected in 2.3% of influenza A(H1N1)pdm09 viruses in 2022–2023. No oseltamivir and zanamivir resistance mutations in NA were detected in all tested influenza A(H3N2) and B viruses. Sequencing data revealed a mutation of adamantane resistance S31N in M2 in all studied influenza viruses A(H1N1)pdm09 and A(H3N2).
Conclusions. The detection of amino acid substitutions in HA antigenic sites and resistance mutations in NA and M2 confirms the evolution of influenza viruses and the necessity for continuous genetic surveillance. The vast majority of currently circulating viruses remain sensitive to NA inhibitors.
719-734
Development and evaluation of a recombinant monoclonal human antibody with virus-neutralizing activity against the F glycoprotein of respiratory syncytial virus
Abstract
Introduction. Respiratory syncytial virus (RSV) is the most common pathogen causing lower respiratory tract infections in children. RSV also poses a serious threat to the elderly and immunocompromised patients. Developing a therapy based on recombinant human antibodies to block the RSV fusion (F) glycoprotein is urgent to reduce the incidence of RSV infections and prevent associated complications.
Aim. To design plasmid vectors for efficient production of the recombinant monoclonal antibody FM1 in a eukaryotic expression system targeting the RSV fusion (F) glycoprotein and to evaluate its activity against RSV subtypes A and B in vitro.
Materials and methods. Constructs encoding the recombinant antibody FM1 were designed using genetic engineering. Recombinant antibodies were produced in the CHO-K1 cell line through transient expression. Antibody specimens were purified from the culture supernatant using affinity chromatography, with a modified protein A as the ligand. The virus-neutralizing activity of the antibody was evaluated in a microneutralization assay using several RSV strains on a Vero cell monolayer culture.
Results. We developed a two-plasmid vector system to produce the recombinant FM1 antibody targeting the RSV F glycoprotein, using CHO cells as transient producers. The antibody was successfully produced, purified, and characterized, with its biological activity confirmed. The FM1 antibody demonstrated enhanced virus-neutralizing activity against reference and seasonal RSV strains of subtypes A and B compared to the control drug palivizumab.
Conclusion. A recombinant FM1 antibody-based drug could address the import substitution challenge for protective measures against RSV infection. The authors are currently developing a stable FM1 producer clone with high productivity and viability and investigating the therapeutic efficacy of this antibody in a sublethal RSV infection mouse model.
735-747
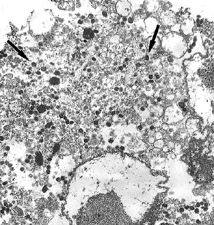
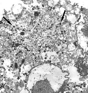
Characteristics of the monkeypox virus isolate obtained from the first patient in Russia and its sensitivity to 7-[N-(4-trifluoromethylbenzoyl)-hydrazinocarbonyl]-tricyclo-[3.2.2.0^2,4]non-8-en-6-carboxylic acid
Abstract
Introduction. Since early May 2022, more than 90,000 cases of monkeypox virus infection have been reported in more than 70 countries around the World. This is the largest outbreak of monkeypox ever recorded outside of Africa.
The aim of the study is to confirm the first case of monkeypox in Russia, to isolate and sequence a new strain of monkeypox virus (MPXV), and to assess its sensitivity to the 7-[N-(4-trifluoromethylbenzoyl)-hydrazinocarbonyl]-tricyclo-[3.2.2.0^2,4]non-8-en-6-carboxylic acid (NIOCH-14) antipox drug.
Materials and methods. The biological materials obtained from the affected area of the skin (contents of vesicles), a nasopharyngeal smear, sputum and venous blood from a patient with suspected monkeypox were used. The disease was confirmed by PCR followed by determination of the nucleotide sequence of viral DNA by sequencing. Isolation of the new MPXV strain from clinical samples was carried out in Vero E6 cells. The antiviral effectiveness of NIOCH-14 against the new MPXV strain was assessed using an adapted spectrophotometric method.
Results. A diagnostic study of the biological samples of a patient who returned from a tourist trip to European countries with complaints of skin rashes all over the body revealed MPXV DNA. A new strain of MPXV was isolated from vesicles in Vero E6 cells, and the genomic sequence MPXV-pustule S45 was assembled using high-throughput parallel sequencing (NGS).
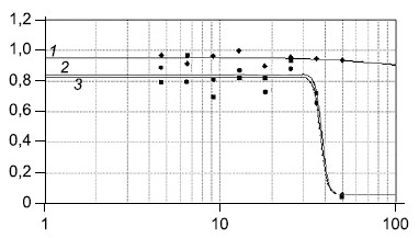
Discussion. The effectiveness of the finished dosage form of NIOCH-14 against the new strain of MPXV based on the results of determining the 50% virus inhibitory concentration (IC50) was 0.02 μg/mL, and the selectivity index (SI) was > 15,000.
Conclusion. In this study, the pathogen of monkeypox was detected and identified using real-time PCR, NGS and electron microscopy, and the first imported case of this disease in Russia was confirmed. It has been proven that the drug NIOCH-14 exhibits high antiviral activity in vitro against the new MPXV strain.
748-757
Pathogenic potential of ornithogenic Escherichia coli strains detected in the Earth's polar regions
Abstract
Introduction. Pathogenic strains of Escherichia coli are an important object of surveillance within the One Health concept in the wild, agriculture and human society.
Migratory bird colonies and high latitude avian colonies may be points of active intraspecies and interspecies contact between different animal species, accompanied by the spread of pathogens. At the same time, the phylogeography of E. coli in relation to the presence of natural foci of colibacillosis in polar regions remains virtually unstudied.
The aim of this study was to assess the pathogenic potential of E. coli strains from the polar regions of the Earth, based on the analysis of the genomes of these bacteria from typical ornithogenic ecosystems of the Arctic and Antarctic.
Materials and methods. The study used collections of E. coli isolated from ornithogenic biological material during expeditions to high latitude areas of the Arctic (archipelagos of Novaya Zemlya, Franz Josef Land, Svalbard) and Antarctic (Haswell Archipelago). 16 cultures associated with avian E. coli (12 polar and 4 temperate strains) were selected for genome-wide sequencing using BGI technology. The annotation of the genomes focused on the identification of genes for pathogenicity factors and antimicrobial resistance, as well as the identification of strains belonging to individual genetic lineages using the cgMLST method.
Results. The annotation of the genomes allowed their assignment to different sequence types in the multilocus sequencing typing and genome-wide sequencing typing schemes. The analysis of the geographical distribution of the sequence types of polar E. coli strains determined by the cgMLST method showed their global representation in geographically distant regions of the planet. For example, cgST 133718 was observed in Antarctica (strain 17_1myr) and in the UK, and sequence 11903, to which strain 32-1 from the northernmost point of Novaya Zemlya belonged, was previously identified in the USA.
All strains studied were characterized by the presence of extensive virulence. Among the pathogenicity factors identified were haemolysins A, E, F, siderophores, including the yersiniabactin gene cluster, a number of adhesion, colonization and invasion factors, as well as the thermostable enterotoxin EAST-1 and genes that characterize enteroaggregative strains of E. coli (the virulence regulator gene eilA and enteroaggregative protein (air)). One of the Arctic strains (33-1) had determinants of antibiotic resistance, in particular the extended-spectrum beta-lactamase gene TEM-1b and the Tn1721 transposon, including tetracycline resistance genes (tetA-TetR), were detected in its genome.
Conclusion. The results of the study indicate the circulation of E. coli strains with strong pathogenic potential in high-latitude Arctic and Antarctic ornithogenic ecosystems. The analysis of genomic data indicates the presence of geographically widespread genetic lineages in these regions, which justifies the importance of monitoring epidemic clones of E. coli, along with monitoring for other pathogens, in bird colonies in high-latitude areas.
758-768
Protective potential of structural proteins of the SARS-CoV-2 virus in protecting against COVID-19
Abstract
Introduction. Many different vaccines for the prevention of COVID-19 have received emergency use approval in the shortest possible time. Due to the high rate of variability of the pathogen, in this study we analyzed the variability of the structural proteins of the SARS-CoV-2 virus and compared their protective potential in protecting animals from COVID-19.
The aim of the study was to compare the protective potential of the SARS-CoV-2 structural proteins in protecting animals from COVID-19.
Materials and methods. The SARS-CoV-2 virus was used in the study. Transgenic mice B6.Cg-Tg(K18-ACE2)2Prlmn/J (F1) were used as model animals. Recombinant adenoviral vectors rAd5-S, rAd5-N, rAd5-M were used for immunization of animals. Various genetic, virological and immunological methods, as well as methods of working with animals, were used in the study.
Results. The largest number of amino acid substitutions in the structural proteins of different SARS-CoV-2 variants was detected in glycoprotein S, the smallest — in nucleoprotein N. In the COVID-19 animal model, it was shown that only the use of glycoprotein S as a vaccine antigen allows to form protective immunity that protects 100% of animals from a lethal infection caused by the SARS-CoV-2 virus, while the use of protein N protects 50% of animals from a lethal infection, and protein M does not have a protective potential.
Conclusion. The data obtained, as well as the analysis of the epidemiological efficacy of various mRNA and vector vaccines, demonstrate that the use of the SARS-CoV-2 glycoprotein S as an antigen allows to form the highest level of protection. Due to the constant change in circulating variants of the SARS-CoV-2 virus, the decrease in the effectiveness of the vaccines with the original antigen composition against new variants of the virus and the continuing high incidence of COVID-19, it is necessary to continuously monitor the effectiveness of vaccines against new variants of the virus and promptly update the antigen composition of vaccines when a decrease in effectiveness is detected.
769-778
A clinical study of the immunogenicity and protective potency of a live recombinant GamLPV vaccine for intranasal use for the prevention of whooping cough in adult volunteers
Abstract
Introduction. The increase in incidence rate of pertussis worldwide, short-term insufficient immunity induced by acellular pertussis vaccines (TDaP) and their failure to provide antibacterial protection and to prevent transmission of infection in human population dictate the development of new pertussis vaccines. A new live recombinant pertussis vaccine for intranasal use (GamLPV) has completed preclinical studies in experiments on nonhuman primates and 2 phases of clinical trials involving adult healthy volunteers, in which the safety, immunogenicity and protective activity of the GamLPV were proven. Method and scheme of vaccine administration have been worked out.
Aim. Confirmation of the immunogenicity and protective antibacterial potency of GamLPV in a randomized multicenter clinical trial on adult volunteers.
Materials and methods. In this multicenter, clinical, randomized, placebo-controlled, double-blind study 260 healthy adults aged 18–65 years were divided into 2 groups: G1 — 210 volunteers (GamLPV) and G2 — 50 volunteers (placebo). 0.25 ml GamLPV delivered to each nostril (5 × 109 CFU) 60 days apart. Levels of Bordetella pertussis-specific IgG, IgA antibodies in blood serum and levels of B. pertussis-specific secretory IgA antibodies in nasopharyngeal aspirates were measured by ELISA method and agglutination test. The dynamics of elimination of attenuated B. pertussis bacteria after the first and second intranasal administration of GamLPV to volunteers was estimated by using qPCR.
Results. Significant seroconversion of B. pertussis-specific IgG and IgA antibodies and growth of B. pertussis-specific secretory IgA antibody levels in nasal aspirates of volunteers were demonstrated. The dynamics of changes in the levels of IgG and IgA antibodies indicates a booster effect after second vaccination. Attenuated B. pertussis bacteria persist in the nose/oropharynx of vaccinated volunteers. The period of elimination after second vaccination is more than 2 times shorter than the period after the first one. The number of persistent B. pertussis bacteria after the second vaccination is less than 3% of the values after the first vaccination.
Conclusion. High immunogenicity and the formation of antibacterial protection after single and double intranasal vaccination of GamLPV have been proven.
779-793
Selective suppression of influenza A/H5N1 virus replication in vitro using nanocomplexes consisting of siRNA and aminopropylsilanol nanoparticles
Abstract
Relevance. Studies on model systems have confirmed the effectiveness of antisense oligonucleotides, including those that contain photoactive groups, for the modification of nucleic acids. However, this strategy has not yet found wide application due to the lack of successful methods for the intracellular delivery. The development of effective preparations capable of acting on target nucleic acids in cells is an urgent task.
The aim of the study is to create nanocomplexes consisting of aminopropylsilanol nanoparticles and short interfering RNA (siRNA) to study their effect on target nucleic acids by the example of inhibition of influenza A virus replication in vitro.
Materials and methods. MDCK cells, influenza virus A/chicken/Kurgan/05/2005 (A/H5N1), aminopropylsilanol nanoparticles, and native and modified siRNA molecules.
Results and discussion. We have prepared unique Si~NH2/siRNA nanocomplexes, which consist of aminopropylsilanol nanoparticles and siRNA molecules, which enable cell penetration and selective interaction with target nucleic acids, respectively. The antiviral activity of the proposed nanocomplexes has been studied on MDCK cells infected with the influenza A/H5N1 virus. It has been shown that the double-stranded siRNA molecules in the nanocomplexes, which act by the RNA interference mechanism, are more efficient in inhibiting the replication of the influenza virus than the corresponding single-stranded RNA fragments. The most effective nanocomplex that contained siRNA targeted at the chosen region of mRNA segment 5 of the viral genome reduced virus replication in the culture by a factor of 630. We have shown that non-agglomerated and water-soluble aminopropylsilanol nanoparticles are low-toxic, capable of delivering siRNA into cells and protecting siRNA in the Si~NH2/siRNA nanocomplexes from hydrolysis by cellular nucleases.
Conclusion. The biological activity of the created nanocomplexes has been demonstrated by the example of highly effective selective suppression of influenza A/chicken/Kurgan/05/2005 virus replication in the cellular system.
794-802
Time series analysis of dengue incidence in Bandung City, Indonesia using a ARIMA model
Abstract
Background. Dengue is a public health problem that leads to death. This disease is necessary to monitor to reduce its impact on the community.
Purpose. This study aims to forecast the incidence of dengue in Bandung City using historical data from 2014 to 2023.
Method. This retrospective observational study examined dengue incidence in Bandung City from 2014 to 2023, secondary data were processed and analysed using Autoregressive Integrated Moving Average (ARIMA) model to forecast dengue incidence.
Results. The best model generated is ARIMA (3,0,3), Mean Absolute Percentage Error (MAPE = 33,3437) and Akaike Information Criterion (AIC = 0,1489). Based on the model, the peak of dengue cases is estimated to occur in September 2024 (320 cases).
Conclusion. The peak incidence of dengue in Bandung City will occur in September 2024. Hence the need for vector control efforts in several sub-districts and increasing efforts to prevent and control dengue.
803-811
Molecular detection of Streptococcus agalactiae in pregnant women and percentage of vertical transmission to their neonates in Babylon province
Abstract
Introduction. Streptococcus agalactiae are gram-positive, non-motile and encapsulated cocci. On blood agar, they produce an narrow zone of beta-haemolysis. This pathogen causes invasive bacterial diseases in newborns, including sepsis, meningitis, septicaemia, and pneumonia, when transmitted from infected mothers. Since S. agalactiae is a pathogen of primary concern for public health, this research has been conducted on it.
The objective of the study is the isolation and molecular detection of virulence gene of S. agalactiae group B (GBS), and evaluation of the percentage of mother-to-child transmission of the pathogen.
Materials and methods. A prospective cohort study was designed that included 300 pregnant women who were at more than 35 weeks of pregnancy. The gynaecologist collected 300 vaginal swabs from all participants in this study and followed up on all GBS-positive pregnant women after delivery to take swabs from their neonates. Traditional microbiological and molecular approaches were used to study isolated bacteria.
Result. Sixty (20%) of three hundred pregnant women and 16 (26.6%) of their newborns were enrolled in this study. GBS was detected via culture methods and was confirmed by PCR with primers employed for the detection of atr gene (housekeeping gene). Positive isolates were 100% susceptible to antibiotics such as ceftriaxone, penicillin, and vancomycin, 93% were sensitive to chloramphenicol, 83% to erythromycin, and only 13% to tetracycline.
Conclusion. Our data showed a high frequency of GBS infection in pregnant women and their newborns. A mandatory screening test and preventative medicine should be adopted to minimize the potentially fatal repercussions of this sickness.
812-819
SCIENCE AND PRACTICE
Analysis of antibiotic sensitivity of clinical strains of microorganisms with the Russian Mueller–Hinton broth
Abstract
Introduction. One of the reasons for spreading antibiotic-resistant microorganisms is the uncontrolled use and inadequate empirical prescription of antibiotics which is not based on the results of the pathogen sensitivity testing. The broth dilution method and one of its implementation options, the reference microdilution method, in contrast to the disk diffusion method, allows testing virtually all pathogen-antibiotic combinations. To realize the method, a production technology of Russian Mueller–Hinton broth (MHB-Obolensk) has been developed under the import substitution program.
The aim. To evaluate the quality of the developed domestic Mueller–Hinton broth in comparative tests with its imported analog BD BBL (MHB-BD) in testing clinical strains of microorganisms, including microorganism–antibiotic combinations pairs which cannot be reliably investigated by the disc diffusion method.
Materials and methods. The study investigated the sensitivity of 47 clinical strains of Gram-positive and Gram-negative bacteria to antibiotics of various functional groups using the broth microdilution method with MHB-Obolensk and MHB-BD.
Results. The MICs values of antibiotics for clinical strains obtained with the developed and control media did not practically differ from each other or differed by +/– one dilution. The difference by two two-fold dilutions was noted when testing Enterococcus faecium–ampicillin, Klebsiella pneumoniae–meropenem, Pseudomonas aeruginosa–levofloxacin and Staphylococcus aureus–ciprofloxacin combinations. For the first two combinations, the MIC values were lower in MHB-Obolensk, and for the last two, they were higher than in MHB-BD. The differences obtained did not affect the clinical categories of sensitivity.
Conclusion. The antibiograms of clinical strains in developed Russian Mueller–Hinton broth was obtained, which did not differ from those for the comparison medium. MHB-Obolensk complies with the requirements of national and international standards and can be used to reliably test, among other things, current combinations of microorganism–antibiotic pairs that cannot be studied using the disk diffusion method.
820-827
