Structural Organization of GABA- and Nitroxidergic Systems of Subfornical Organ in Wistar Rats Postnatal Development
- Authors: Razenkova V.A.1, Korzhevskii D.E.1
-
Affiliations:
- Institute of Experimental Medicine
- Issue: Vol 54, No 3 (2023)
- Pages: 226-231
- Section: Short communications
- URL: https://medbiosci.ru/0475-1450/article/view/137060
- DOI: https://doi.org/10.31857/S0475145023030060
- EDN: https://elibrary.ru/ZRXTJY
- ID: 137060
Cite item
Full Text
Abstract
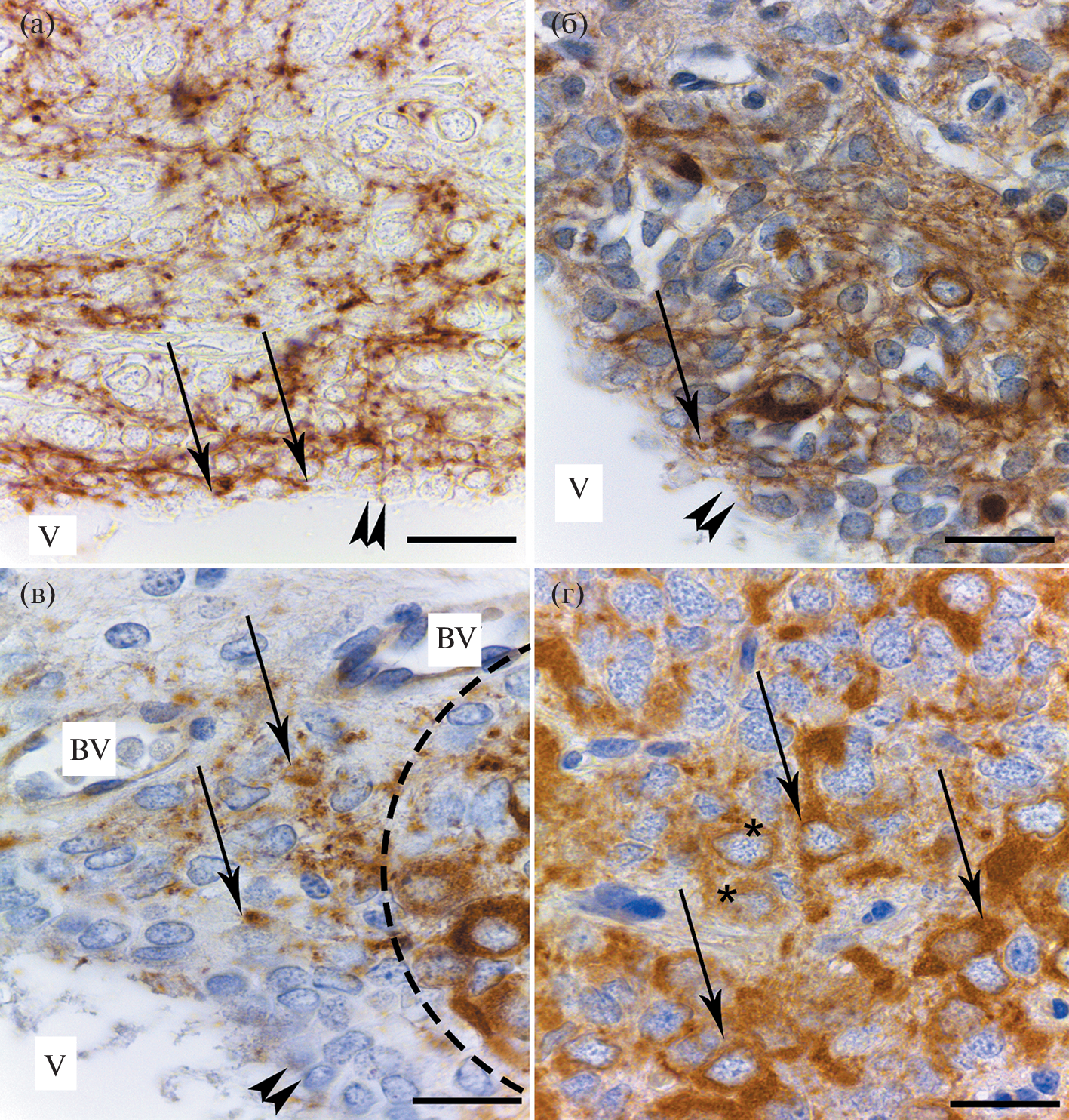
The subfornical organ (SFO) is one of the circumventricular organs (CVOs) of the mammalian nervous system responsible for maintaining the energy and water and sodium balance. Despite notable interest in the SFO and its physiological functions, the organization of individual populations of SFO cells, as well as their interactions remain to be clearly established. In this study we examined GABA and nitroxidergic systems of SFO using immunohistochemical (IHC) methods. The brain of male Wistar rats at different stages of postnatal development: postnatal day 7 (P7), 14 (P14) and adult (4–6 months), was examined. The data obtained allowed us to characterize changes in the activity of the GABA- and nitroxidergic systems of the SFO during development. In adult rats, three subpopulations of nitroxidergic cells, differing in the intensity of the reaction and tissue localization, can be distinguished. The revealed morphological heterogeneity of nitroxidergic cells in SFO may reflect their diverse functional status.
About the authors
V. A. Razenkova
Institute of Experimental Medicine
Author for correspondence.
Email: valeriya.raz@yandex.ru
Russia, 197376, Saint Petersburg, ul. Akad. Pavlova 12
D. E. Korzhevskii
Institute of Experimental Medicine
Email: valeriya.raz@yandex.ru
Russia, 197376, Saint Petersburg, ul. Akad. Pavlova 12
References
- Augustine V., Gokce S.K., Lee S. et al. Hierarchical neural architecture underlying thirst regulation // Nature. 2018. V. 555. № 7695. P. 204–209. https://doi.org/10.1038/nature25488
- Blanco S., Molina F.J., Castro L. et al. Study of the nitric oxide system in the rat cerebellum during aging // BMC Neuroscience. 2010. V. 11. P. 1–14. https://doi.org/10.1186/1471-2202-11-78
- Esclapez M., Tillakaratne N.J., Kaufman D.L. et al. Comparative localization of two forms of glutamic acid decarboxylase and their mRNAs in rat brain supports the concept of functional differences between the forms // J. Neuroscience. 1994. V. 14. № 2. P. 1834–1855. https://doi.org/10.1523/JNEUROSCI.14-03-01834.1994
- Krstic R., Nicolas D., Novier A. Nitric oxide synthase in the subfornical organ of Mongolian gerbil (Meriones unguiculatus), mouse and rat // Acta Histochemica. 1995. V. 97. № 4. P. 429–434. https://doi.org/10.1016/S0065-1281(11)80068-1
- Greif K.F., Erlander M.G., Tillakaratne N.J. et al. Postnatal expression of glutamate decarboxylases in developing rat cerebellum // Neurochemical Research. 1991. V. 16. № 3. P. 235–242. https://doi.org/10.1007/BF00966086
- Hicks A.I., Kobrinsky S., Zhou S. et al. Anatomical organization of the rat subfornical organ // Frontiers in Cellular Neuroscience. 2021. V. 15. № 691711. P. 1–19. https://doi.org/10.3389/fncel.2021.691711
- Honda E., Xu S.H., Ono K. et al. Spontaneously active GABAergic interneurons in the subfornical organ of rat slice preparations // Neuroscience Letters. 2001. V. 306. № 1–2. P. 45–48. https://doi.org/10.1016/S0304-3940(01)01862-6
- Nowaczyk A., Kowalska M., Nowaczyk J. et al. Carbon monoxide and nitric oxide as examples of the youngest class of transmitters // International J. Molecular Sciences. 2021. V. 22. № 11. https://doi.org/10.3390/ijms22116029
- Ong W.Y., Satish R.L., Herr D.R. ACE2, circumventricular organs and the hypothalamus, and COVID-19 // Neuromolecular Medicine. 2022. V. 24. № 4. P. 363–373. https://doi.org/10.1007/s12017-022-08706-1
- Pulman K.J., Fry W.M., Cottrell G.T. et al. The subfornical organ: a central target for circulating feeding signals // J. Neuroscience. 2006. V. 26. № 7. P. 2022–2030. https://doi.org/10.1523/JNEUROSCI.3218-05.2006
- Sengupta P. The laboratory rat: relating its age with human’s // International J. Preventive Medicine. 2013. V. 4. № 6. P. 624–630.




