Safety of Use, Pharmacokinetics and Dosimetric Characteristics of the Radiopharmaceutical [99mTc]Tc-HYNIC-PSMA
- Authors: Medvedeva A.A.1,2, Chernov V.I.1,2, Zelchan R.V.1,2, Rуbina A.N.1,2, Bragina O.D.1,2, Zebzeeva O.S.3
-
Affiliations:
- Cancer Research Institute – a branch of the Tomsk National Research Medical Center of the Russian Academy of Sciences
- Tomsk Polytechnic University
- Tomsk Regional Oncology Center
- Issue: Vol 71, No 1 (2025)
- Pages: 117-127
- Section: ORIGINAL ARTICLES Clinical research
- URL: https://medbiosci.ru/0507-3758/article/view/291665
- DOI: https://doi.org/10.37469/0507-3758-2025-71-1-OF-2175
- ID: 291665
Cite item
Full Text
Abstract
Introduction. In recent years, there has been considerable interest in the development of 99mTc-labelled radiopharmaceuticals based on small-molecule PSMA inhibitors for prostate tumor imaging.
Aim. Evaluation of the safety, pharmacokinetics and dosimetric characteristics of the radiopharmaceutical [99mTc]Tc-HYNIC-PSMA.
Materials and methods. The study included 10 patients with prostate cancer (PC) stages T1-4N0-3M0-1. The radiopharmaceutical [99mTc]Tc-HYNIC-PSMA was administered intravenously as a bolus at a dose of 649.6 ± 70.7 MBq. Patients were dynamically followed for 48 hours after radiopharmaceutical administration, with laboratory and clinical data checked. The radionuclide study was performed on a Symbia Intevo Bold gamma camera (Siemens) in whole-body mode 2, 4, 6 and 24 hours after radiopharmaceutical administration, and single-photon emission computed tomography combined with CT (SPECT/CT) 2 hours after radiopharmaceutical administration. Based on the post-processing data, the level of radiopharmaceutical accumulation in the main organs was analyzed. Absorbed doses were calculated using the OLINDA/EXM 1.1 program.
Results. It was shown that [99mTc]Tc-HYNIC-PSMA was well tolerated by the patients and no pathologically significant changes in clinical laboratory tests were detected. The half-life of the radiopharmaceutical in the blood was 2.7 hours. Dosimetric studies showed that the kidneys were the main critical organs. The effective radiation dose to patients for a single intravenous administration of the radiopharmaceutical was 0.004 ± 0.0005 mSv/MBq, the equivalent effective dose was 0.00748 ± 0.00014 mSv/MBq. It was shown that SPECT/CT with [99mTc]Tc-HYNIC-PSMA allows visualization of PSMA-positive prostate tumors, regional and distant metastases of prostate cancer.
Conclusion. The data obtained demonstrate that the pharmacokinetic parameters and dose loads of [99mTc]Tc-HYNIC-PSMA are similar to other PSMA ligand-based radiopharmaceuticals for SPECT imaging. Further clinical studies are needed to evaluate the diagnostic efficacy of SPECT/CT with [99mTc]Tc-HYNIC-PSMA.
Keywords
Full Text
Введение
Рост интереса к радионуклидной диагностике с помощью однофотонной эмиссионной компьютерной томографии (ОФЭКТ) в последние десятилетия связан как с большей доступностью аппаратуры для ОФЭКТ/КТ, по сравнению с ПЭТ/КТ, так и со значительными ее техническими усовершенствованиями, в т. ч. и внедрением современного программного обеспечения с возможностью количественного анализа. Относительно меньшие финансовые затраты на ОФЭКТ/КТ диагностику, отработанная логистика работы с генераторами 99Mo/99mTc, оптимальные физические свойства 99mTc, позволяющие, в т. ч., максимально просто осуществлять приготовление радиофармацевтических лекарственных препаратов (РФЛП) в условиях клиники с помощью готовых наборов — все это делает этот метод более доступным для потребителя [1].
Эти факторы являются стимулом для значительного прогресса в создании РФЛП, меченых 99mTc [2, 3, 4, 5, 6]. Данная тенденция коснулась также и РФЛП на основе ингибиторов простат-специфического мембранного антигена (ПСМА) [7, 8, 9]. Учитывая тот факт, что злокачественные опухоли предстательной железы как первичные, так и метастатические, часто сопровождаются гиперэкспрессией ПСМА, в настоящее время этот рецептор считается важной мишенью для визуализации и терапии рака предстательной железы (РПЖ) с помощью специфичных к нему молекул [8, 10, 22]. Наибольший интерес относительно разработок подобных РФЛП представляют низкомолекулярные ингибиторы ПСМА. Результаты опубликованных исследований говорят о том, что эти РФЛП характеризуются быстрым элиминированием из крови, интенсивным проникновением в опухоль, быстрой экскрецией с мочой, обеспечивая таким образом высокую контрастность ОФЭКТ-изображений и демонстрируя значимый диагностический потенциал, особенно при высоких концентрациях ПСА [11]. Наиболее изученными сегодня являются соединения на основе производных мочевины, для которых характерна зависимость свойств РФЛП (аффинность, фармакокинетика, фармакодинамика) от структуры соединения и химической природы каждого фрагмента — ПСМА-связывающего мотива, линкера и хелатора [7, 12].
Многочисленными исследованиями показано, что выбор хелатора является важным фармакокинетическим фактором при разработке меченных 99mTc радиофармацевтических препаратов, нацеленных на ПСМА. Использование в качестве хелатора HYNIC (6-гидразиноникотиновая кислота) дает возможность относительно простого синтеза РФЛП с высокой радиохимической чистотой без необходимости дальнейшей очистки, что крайне удобно в клинических условиях [13]. Одним из РФЛП на основе ингибитора ПСМА, где используется данный хелатор, является 99mTc-EDDA/HYNICLys(Nal)-Urea-Glu ([99mTc]Tc-EDDA/HYNIC-iPSMA) [14]. Первые исследования показали его высокую стабильность в крови, активное поглощение опухолью и быструю элиминацию из крови через почки [14, 15]. Полученные результаты продемонстрировали достаточно высокое соотношение опухоль/фон, по сравнению с другими лигандами ПСМА, меченными 99mTc [16, 17]. Были также проведены исследования по сравнению диагностической эффективности ОФЭКТ/КТ с [99mTc]Tc-EDDA/HYNIC-iPSMA и ПЭТ/КТ с 68Ga-PSMA-11 [18]. Так, например, было показано, что на ОФЭКТ/КТ с [99mTc]Tc-EDDA/HYNIC-iPSMA визуализировались все лимфатические узлы (ЛУ) размером более 10 мм и только 28 % ЛУ размером менее 10 мм. При сравнении полуколичественных данных ОФЭКТ/КТ с [99mTc]Tc-EDDA/HYNIC-iPSMA и ПЭТ/КТ с 68Ga-PSMA-11 статистически значимых различий накопления РФЛП в ЛУ выявлено не было [19].
В Томском политехническом университете совместно с НИИ онкологии Томского НИМЦ был разработан аналог [99mTc]Tc-EDDA/HYNIC-iPSMA — [99mTc]Tc-HYNIC-PSMA. Были проведены его доклинические исследования, полученные результаты позволили перейти к первой фазе клинических исследований. Целью данной работы была оценка фармакокинетики [99mTc]Tc-HYNIC-PSMA, безопасности и переносимости его применения, расчет дозиметрических показателей, а также изучение возможности его использования для ОФЭКТ-визуализации ПСМА-позитивных злокачественных опухолей предстательной железы.
Материалы и методы
Исследование проведено на базе НИИ онкологии Томского НИМЦ и одобрено локальным биоэтическим комитетом (протокол № 17 от 21 июля 2023 г.). В исследование было включено 10 больных раком предстательной железы T1-4N0-3M0-1, подписавших информированное согласие. Критериями включения являлись следующие: морфологически верифицированный диагноз РПЖ, нормальные гематологические, почечные и печеночные показатели, удовлетворительное общее состояние пациента с оценкой по системе ЕСОG - 0–1 балл с возможностью пройти весь объем запланированных диагностических исследований. Критерии исключения: вторая локализация опухолевого процесса, подтвержденная ВИЧ-инфекция, гепатиты В и С, наличие эпицисто- или нефростомы.
Всем пациентам было выполнено стандартное клинико-инструментальное обследование, включающее измерение уровня простат-специфического антигена (ПСА), биопсию простаты с гистологическим исследованием, магнитно-резонансную томографию (МРТ) органов малого таза, по показаниям — МРТ брюшной полости, компьютерную томографию (КТ) грудной клетки, остеосцинтиграфию.
Радиофармацевтический лекарственный препарат [99mTc]Tc-HYNIC-PSMA готовился в асептических условиях непосредственно перед введением. Радиохимическая чистота РФЛП составляла 98-99 %, введение пациентам осуществлялось внутривенно болюсно в дозе 649,6 ± 70,7 МБк.
Больные находились под динамическим наблюдением в течение 48 ч. после введения РФЛП. До введения [99mTc]Tc-HYNIC-PSMA и в течение времени наблюдения пациентам проводили измерение частоты сердечных сокращений, температуры тела, артериального давления (АД), ЭКГ. Лабораторное исследование общего, биохимического анализа крови, общего анализа мочи выполнялось также до введения РФЛП, через 48 ч и 7 дней после инъекции.
Радионуклидное исследование проводилось на гамма-камере Symbia Intevo Bold (Siemens) в режиме Wholebody через 2, 4, 6 и 24 ч. после внутривенного введения РФЛП со скоростью сканирования 12 см/мин, матрицей 1024 × 256 пикселей. Для регистрации изображений использовали низкоэнергетический коллиматор высокого разрешения. Мультимодальное исследование в объеме однофотонной эмиссионной компьютерной томографии, совмещенной с КТ (ОФЭКТ/КТ) для оценки первоначальной функциональной пригодности РФЛП выполнялось только на одной временной точке — 2 ч. после введения индикатора. Для сбора изображений с помощью ОФЭКТ использовались следующие параметры: 60 проекций по 20 с. каждая, матрица — 256 × 256 пикселей.
Полученные данные подвергались постпроцессинговой обработке с использованием специализированного пакета программ Syngo_via (Siemens). Анализировался уровень аккумуляции РФЛП в основных органах и тканях путем обведения «зоны интереса» (region of interest, ROI) на планарных изображениях в передней и задней проекциях (для каждой области интереса вычислялось среднее геометрическое количества импульсов через 2, 4, 6 и 24 ч.). Биораспределение [99mTc]Tc-HYNIC-PSMA определяли в процентах — накопление РФЛП в «зонах интереса» к общему счету в обеих проекциях. Для проведения квантификации использовался наполненный водой фантом с известной активностью 99mTc (в сочетании с поправкой Чанга). Для оценки кинетики крови область интереса располагалась над сердцем. Данные аппроксимировали одной экспоненциальной функцией, а время пребывания рассчитывалось с помощью Prism 8 (GraphPad Software, LLC). Поглощенные дозы вычислялись программой OLINDA/EXM 1.1 с использованием фантома взрослого мужчины. Статистический анализ проводился в программе Statistica 10.0 (StatSoft). Нормальность распределения данных оценивалась с использованием критерия Шапиро – Уилка, статистические данные представлены как средние значения со стандартными отклонениями.
Результаты
После однократного внутривенного болюсного введения [99mTc]Tc-HYNIC-PSMA измерение температуры тела, частоты сердечных сокращений и артериального давления, анализ данных ЭКГ не показали каких-либо значимых отклонений от нормы при динамическом наблюдении в определенные промежутки времени. Также не было обнаружено патологически значимых изменений клинических лабораторных анализов, не зафиксировано жалоб на самочувствие, каких-либо побочных реакций у обследуемых пациентов.
Выполненные исследования по изучению фармакокинетических характеристик [99mTc]Tc-HYNIC-PSMA показали, что после однократного внутривенного введения РФЛП достаточно быстро покидает кровеносное русло, его период полувыведения (Т½) из плазмы крови по данным непрямой радиометрии составил 2,7 ч. (рис. 1).
Рис. 1. Динамика выведения [99mTc]Tc-HYNIC-PSMA из плазмы крови пациентов. Результаты получены на основании радиометрии проекции сердца, по данным планарного исследования
Fig. 1. Dynamics of [99mTc]Tc-HYNIC-PSMA elimination from the blood plasma of patients. The results were obtained based on radiometry of the projection of the heart
Фармакокинетические параметры определялись исходя из уровня аккумуляции РФЛП в основных органах и тканях на планарных изображениях через 2, 4, 6 и 24 ч (рис. 2). При анализе биологического распределения были выявлены органы и ткани с наиболее интенсивным накоплением [99mTc]Tc-HYNIC-PSMA в выбранных временных точках после введения РФЛП (табл. 1, 2).
Рис. 2. Планарная сцинтиграфия (передняя и задняя проекции) больного раком предстательной железы через 2, 4, 6 и 24 ч после инъекции [99mTc]Tc-HYNIC-PSMA
Fig. 2. Planar scintigraphy (anterior and posterior projections) of a patient with prostate cancer 2, 4, 6 and 24 hours after injection of [99mTc]Tc-HYNIC-PSMA
Таблица 1. Накопление [99mTc]Tc-HYNIC-PSMA в органах с наибольшим захватом, по данным планарной сцинтиграфии (число импульсов/орган)
Органы | 2 часа | 4 часа | 6 часов | 24 часа |
Почки | 140177 ± 51502 | 113462 ± 46481 | 88805 ± 34227 | 10373 ± 987 |
Печень | 739234 ± 349545 | 574184 ± 256871 | 401959 ± 186403 | 19969 ± 5768 |
Поджелудочная железа | 52348 ± 24857 | 31969 ± 7917 | 24106 ± 5982 | 2199 ± 1402 |
Селезенка | 124013 ± 114103 | 106567 ± 98612 | 66838 ± 43871 | 5704 ± 2301 |
Нисходящий отдел толстой кишки | 61955,75 ± 25842 | 43780,75 ± 20243 | 26019 ± 11659 | 3283 ± 1012 |
Тонкий кишечник | 75248,5 ± 11290 | 60760,75 ± 14815 | 43198 ± 22339 | 4891 ± 2228 |
Мочевой пузырь | 62694 ± 35894 | 34944 ± 13438 | 20324 ± 8406 | 6395 ± 3059 |
Слюнные железы | 29908,25 ± 16795 | 22983,5 ± 12959 | 16124,25 ± 8933 | 3230 ± 1114 |
Все тело | 3984557 ± 3991256 | 2990762 ± 279968 | 2239909 ± 222957 | 251027 ± 101255 |
Table 1. Аccumulation of [99mTc]Tc-HYNIC-PSMA in highest uptake organs by planar scintigraphy (number of counts/organ)
Organs | 2 hours | 4 hours | 6 hours | 24 hours |
Kidneys | 140,177 ± 51,502 | 113,462 ± 46,481 | 88,805 ± 34,227 | 10,373 ± 987 |
Liver | 739,234 ± 349,545 | 574,184 ± 256,871 | 401,959 ± 186,403 | 19,969 ± 5,768 |
Pancreas | 52,348 ± 24,857 | 31,969 ± 7,917 | 24,106 ± 5,982 | 2,199 ± 1,402 |
Spleen | 124,013 ± 114,103 | 106,567 ± 98,612 | 66,838 ± 43,871 | 5,704 ± 2,301 |
Descending colon | 61,955.75 ± 25,842 | 43,780.75 ± 20,243 | 26,019 ± 11,659 | 3,283 ± 1,012 |
Small intestine | 75,248.5 ± 11,290 | 60,760.75 ± 14,815 | 43,198 ± 22,339 | 4,891 ± 2,228 |
Bladder | 62,694 ± 35,894 | 34,944 ± 13,438 | 20,324 ± 8,406 | 6,395 ± 3,059 |
Salivary glands | 29,908.25 ± 16,795 | 22,983.5 ± 12,959 | 16,124.25 ± 8,933 | 3,230 ± 1,114 |
Whole body | 3,984,557 ± 3,991,256 | 2,990,762 ± 279,968 | 2,239,909 ± 222,957 | 251,027 ± 101,255 |
Таблица 2. Накопление [99mTc]Tc-HYNIC-PSMA в органах с наибольшим захватом, по данным планарной сцинтиграфии (%/ИД/орган)
Органы | 2 часа | 4 часа | 6 часов | 24 часа |
Почки | 3,8 ± 1,2 | 3,7 ± 1,4 | 3,1 ± 0,7 | 2,1 ± 0,8 |
Печень | 20 ± 1,5 | 19,2 ± 2,1 | 7,9 ± 3,1 | 0,54 ± 0,2 |
Поджелудочная железа | 1,4 ± 0,3 | 1,1 ± 0,4 | 1,1 ± 0,5 | 0,04 ± 0,02 |
Селезенка | 3,4 ± 1,6 | 3,6 ± 1,8 | 3,0 ± 1,2 | 0,16 ± 0,05 |
Нисходящий отдел толстой кишки | 1,5 ± 0,3 | 1,5 ± 0,4 | 1,2 ± 0,2 | 0,2 ± 0,08 |
Тонкий кишечник | 1,9 ± 0,4 | 2,0 ± 0,3 | 1,8 ± 0,4 | 0,2 ± 0,08 |
Мочевой пузырь | 1,7 ± 0,8 | 1,7 ± 0,9 | 1,6 ± 0,8 | 0,16 ± 0,3 |
Слюнные железы | 0,8 ± 0,1 | 0,8 ± 0,1 | 0,7 ± 0,1 | 0,08 ± 0,02 |
Примечание: %/ИД/орган — процент от введенной дозы на орган.
Table 2. Аccumulation of [99mTc]Tc-HYNIC-PSMA in organs with the highest uptake according to planar scintigraphy (%/ID/organ)
Organs | 2 hours | 4 hours | 6 hours | 24 hours |
Kidneys | 3.8 ± 1.2 | 3.7 ± 1.4 | 3.1 ± 0.7 | 2.1 ± 0.8 |
Liver | 20 ± 1.5 | 19.2 ± 2.1 | 7.9 ± 3.1 | 0.54 ± 0.2 |
Pancreas | 1.4 ± 0.3 | 1.1 ± 0.4 | 1.1 ± 0.5 | 0.04 ± 0.02 |
Spleen | 3.4 ± 1.6 | 3.6 ± 1.8 | 3.0 ± 1.2 | 0.16 ± 0.05 |
Descending colon | 1.5 ± 0.3 | 1.5 ± 0.4 | 1.2 ± 0.2 | 0.2 ± 0.08 |
Small intestine | 1.9 ± 0.4 | 2.0 ± 0.3 | 1.8 ± 0.4 | 0.2 ± 0.08 |
Bladder | 1.7 ± 0.8 | 1.7 ± 0.9 | 1.6 ± 0.8 | 0.16 ± 0.3 |
Salivary glands | 0.8 ± 0.1 | 0.8 ± 0.1 | 0.7 ± 0.1 | 0.08 ± 0.02 |
Note: %/ID/organ — percentage of dose administered per organ.
Полученные результаты показали, что наиболее интенсивно [99mTc]Tc-HYNIC-PSMA накапливался в печени, почках и селезенке. Относительно высокое накопление РФЛП в указанных органах обусловлено физиологическими особенностями распределения (за счет наличия высокой экспрессии рецепторов ПСМА). Достаточно умеренное накопление препарата было выявлено в поджелудочной железе, нисходящем отделе толстой кишки, тонком кишечнике. Определяется физиологическая аккумуляция исследуемого РФЛП в слюнных железах. Анализ данных демонстрирует, что [99mTc]Tc-HYNIC-PSMA элиминируется из организма в основном через почки. Несмотря на относительно высокий уровень накопления РФЛП в печени гепатобилиарная система вносит минимальный вклад в его элиминацию.
На основании полученных данных о физиологическом распределении исследуемого РФЛП в организме пациентов были рассчитаны дозовые нагрузки и определены основные критические органы (табл. 3). Расчет поглощенных доз показал, что наибольшая абсорбционная доза зафиксирована в почках (0,0968 ± 0,0027 мГр/МБк), которые и являются основными критическими органами при использовании [99mTc]Tc-HYNIC-PSMA у больных РПЖ. Умеренная поглощенная доза определялась в печени, желчном пузыре, желудке, поджелудочной железе, селезенке и стенке мочевого пузыря. Минимальные поглощенные дозы при внутривенном введении [99mTc]Tc-HYNIC-PSMA у пациентов отмечаются в головном мозге, восходящем отделе толстой кишки, яичках. Эффективная доза облучения пациентов при однократном внутривенном введении РФЛП составила 0,004 ± 0,0005 мЗв/МБк, а эквивалентная эффективная доза — 0,00748 ± 0,00014 мЗв/МБк.
Таблица 3. Поглощенные дозы радиации в органах и тканях после инъекции [99mTc]Tc-HYNIC-PSMA у больных раком предстательной железы
Органы и ткани | Поглощенная доза (мГр/МБк) |
Головной мозг | 0,000111 ± 0,00001 |
Щитовидная железа | 0,000367 ± 0,000018 |
Тимус | 0,000331 ± 0,00002 |
Сердце | 0,000858 ± 0,00022 |
Молочные железы | 0,000289 ± 0,00011 |
Легкие | 0,000710 ± 0,00011 |
Надпочечники | 0,00559 ± 0,00002 |
Желудок | 0,00217 ± 0,00006 |
Желчный пузырь | 0,00334 ± 0,00012 |
Восходящий отдел толстой кишки | 0,000665 ± 0,000013 |
Тонкая кишка | 0,00195 ± 0,00004 |
Нисходящий отдел толстой кишки | 0,00185 ± 0,00014 |
Печень | 0,00272 ± 0,00015 |
Поджелудочная железа | 0,00394 ± 0,00018 |
Почки | 0,0968 ± 0,0027 |
Селезенка | 0,00516 ± 0,00022 |
Мышцы | 0,000921 ± 0,000001 |
Красный костный мозг | 0,00148 ± 0,00002 |
Кожа | 0,000403 ± 0,000011 |
Семенники | 0,000198 ± 0,000002 |
Стенка мочевого пузыря | 0,00373 ± 0,00031 |
Предстательная железа | 0,000749 ± 0,000017 |
Все тело | 0,00140 ± 0,00025 |
Эффективная эквивалентная доза (мЗв/МБк) | 0,00748 ± 0,00014 |
Эффективная доза (мЗв/МБк) | 0,004 ± 0,0005 |
Table 3. Absorbed radiation doses in organs and tissues after injection of [99mTc]Tc-HYNIC-PSMA in patients with prostate cancer
Organs and Tissues | Absorbed Dose (mGy/MBq) |
Brain | 0.000111 ± 0.00001 |
Thyroid gland | 0.000367 ± 0.000018 |
Thymus | 0.000331 ± 0.00002 |
Heart | 0.000858 ± 0.00022 |
Mammary glands | 0.000289 ± 0.00011 |
Lungs | 0.000710 ± 0.00011 |
Adrenal glands | 0.00559 ± 0.00002 |
Stomach | 0.00217 ± 0.00006 |
Gallbladder | 0.00334 ± 0.00012 |
Ascending colon | 0.000665 ± 0.000013 |
Small intestine | 0.00195 ± 0.00004 |
Descending colon | 0.00185 ± 0.00014 |
Liver | 0.00272 ± 0.00015 |
Pancreas | 0.00394 ± 0.00018 |
Kidneys | 0.0968 ± 0.0027 |
Spleen | 0.00516 ± 0.00022 |
Muscles | 0.000921 ± 0.000001 |
Red bone marrow | 0.00148 ± 0.00002 |
Skin | 0.000403 ± 0.000011 |
Testes | 0.000198 ± 0.000002 |
Urinary bladder wall | 0.00373 ± 0.00031 |
Prostate gland | 0.000749 ± 0.000017 |
Whole body | 0.00140 ± 0.00025 |
Effective Equivalent Dose (mSv/MBq) | 0.00748 ± 0.00014 |
Effective Dose (mSv/MBq) | 0.004 ± 0.0005 |
У 4 пациентов из обследованных в анамнезе было проведено радикальное лечение первичной опухоли в объеме либо простатэктомии (n = 2), либо дистанционной лучевой терапии (n = 2), по результатам динамического наблюдения данных за рецидив заболевания, продолженный рост опухоли получено не было, накопления [99mTc]Tc-HYNIC-PSMA в ложе предстательной железы (ПЖ) также не наблюдалось. У 6 пациентов ПЖ не была удалена, у одного из этих пациентов начата антиандрогенная терапия, еще у одного пациента диагностировано прогрессирование заболевания после 2 линии терапии — у всех больных отмечалось очаговое накопление РФЛП в предстательной железе (рис. 3). Для количественной оценки интенсивности накопления индикатора использовался показатель стандартизированного уровня накопления (SUV, the standardized uptake value). Средние значения SUVmax в проекции предстательной железы составили 6,575 ± 2,307.
Рис. 3. ОФЭКТ/КТ изображение больного раком предстательной железы через 2 чпосле инъекции [99mTc]Tc-HYNIC-PSMA. На ОФЭКТ-КТ-изображении cтрелкой отмечено накопление РФЛП в предстательной железе (SUVmax 10,68). В костных структурах на уровне сканирования также визуализируется накопление РФЛП
Fig. 3. SPECT/CT image of a prostate cancer patient 2 hours after injection of [99mTc]Tc-HYNIC-PSMA. Accumulation of radiopharmaceutical in the prostate is indicated by the arrow (SUVmax 10.68). Аccumulation of radiopharmaceutical is also visualized in bone structures at the scanning level
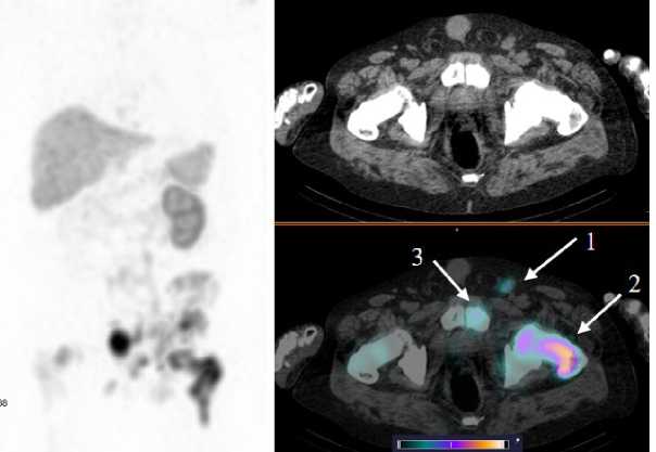
У 4 пациентов, вошедших в исследование, по данным референсных методов исследования, было выявлено метастатическое поражение костных структур, у 2 пациентов — поражение ЛУ. Накопление [99mTc]Tc-HYNIC-PSMA в патологических участках отмечалось у 3 больных с костными метастазами (SUVmax по всем костным очагам 28,57 ± 16,09) и у одного пациента с поражением ЛУ (SUVmax 15,32 ± 8,11). Примеры накопления [99mTc]Tc-HYNIC-PSMA в ПСМА-позитивных костных и лимфогенных метастазах представлены на рис. 4, 5.
Рис. 4. MIP-реконструкция, КТ и совмещенное ОФЭКТ/КТ изображение больного кастрат-резистентным раком предстательной железы с множественными метастазами в кости через 2 ч после инъекции [99mTc]Tc-HYNIC-PSMA. На ОФЭКТ-КТ-изображении стрелкой отмечено накопление РФЛП в патологических очагах: L5 (1) SUVmax 22,8; боковые массы крестца справа (2) SUVmax 9,7; подвздошная кость справа (3) SUVmax 13,4; подвздошная кость слева (4) SUVmax 10,4
Fig. 4. MIP reconstruction, CT and SPECT/CT image of a patient with castrate-resistant prostate cancer with multiple bone metastases 2 hours after injection of [99mTc]Tc-HYNIC-PSMA. Accumulation of radiopharmaceutical in the pathological areas is indicated by the arrow on the SPECT-CT image: L5 (1) SUVmax 22.8; lateral masses of the sacrum on the right (2) SUVmax 9.7; ilium on the right (3) SUVmax 13.4; ilium on the left (4) SUVmax 10.4
Рис. 5. MIP-реконструкция, КТ и совмещенное ОФЭКТ/КТ изображение больного раком предстательной железы с множественными метастазами в кости и лимфатические узлы малого таза через 2 ч после инъекции [99mTc]Tc-HYNIC-PSMA. На ОФЭКТ-КТ изображении стрелкой отмечено накопление РФЛП в паховом лимфатическом узле слева (1) SUVmax 22; бедренной кости слева (2) SUVmax 53; лонной кости слева (3) SUVmax 22,8
Fig. 5. MIP reconstruction, CT and SPECT/CT image of a patient with prostate cancer with multiple metastases to bones and pelvic lymph nodes 2 hours after injection of [99mTc]Tc-HYNIC-PSMA. Аccumulation of radiopharmaceutical in the pathological areas is indicated by the arrow on the SPECT-CT image: inguinal lymph node on the left (1) SUVmax 22; femur on the left (2) SUVmax 53; pubic bone on the left (3) SUVmax 22.8
Обсуждение
Несмотря на широкую доступность изотопов для ПЭТ-диагностики 99mTc остается радионуклидом выбора для разработки диагностических радиофармпрепаратов в большинстве развивающихся стран. Многочисленные исследования показывают, что этот радионуклид характеризуется оптимальной химической структурой для включения в биологические таргетные агенты [1]. Публикации, касающиеся ингибиторов ПСМА, меченных 99mTc, содержащих в своей структуре карбонильную систему в качестве хелатора для связывания радионуклида, были выпущены более десяти лет назад [20, 21]. Однако указанные препараты отличались неоптимальными диагностическими характеристиками, в частности медленной фармакокинетикой, высоким поглощением печенью и медленным выведением из желудочно-кишечного тракта, что явилось причиной поиска возможностей улучшения биораспределения и фармакокинетики подобных РФЛП. К настоящему времени для включения этого радионуклида в биотаргетные препараты доступен ряд хорошо известных хелатирующих агентов и многочисленными исследованиями показано, что изменение хелатора может приводить к значительным изменениям в паттерне биораспределения РФЛП [22, 23, 24]. Одним из наиболее эффективных бифункциональных хелаторов для связывания 99mTc с ингибиторами ПСМА на сегодняшний день считается HYNIC [12, 13, 14, 25, 26].
В данной работе представлены результаты первой фазы клинических исследований радиофармацевтического лекарственного препарата [99mTc]Tc-HYNIC-PSMA, который является аналогом [99mTc]Tc-EDDA/HYNIC-iPSMA. Анализ полученных результатов показал, что [99mTc]Tc-HYNIC-PSMA хорошо переносится пациентами, не вызывает побочных эффектов после однократного применения. Как и большинство низкомолекулярных ингибиторов ПСМА, меченных 99mTc, изучаемый РФЛП выводится почками, что, в какой-то мере, может ограничивать адекватную оценку местно-распространенного процесса у больных РПЖ. Фармакодинамика [99mTc]Tc-HYNIC-PSMA характеризуется относительно быстрой элиминацией из кровяного русла — период полувыведения РФЛП из плазмы крови, по данным исследования, составил 2,7 ч. Дозиметрические исследования показали, что основными критическими органами при использовании изучаемого РФЛП являются почки, в которых зафиксирована наибольшая абсорбционная доза — 0,0968 ± 0,0027 мГр/МБк. Эффективная доза облучения для [99mTc]Tc-HYNIC-PSMA (0,004 ± 0,0005 мЗв/МБк) сопоставима с таковыми для других РФЛП, меченых 99mTc (99mTc-PSMA I&S — 0,0052 мЗв/МБк; 99mTc-HYNIC-PSMA-Т4 — 0,0075 мЗв/МБк) и существенно ниже, чем для ингибиторов ПСМА, меченных 68Ga или 18F (68Ga-PSMA-11 — 0,0236; 18F-PSMA-1007 — 0,022 мЗв/МБк) [27].
Необходимо еще раз подчеркнуть, что метод ОФЭКТ с использованием РФЛП, меченных 99mTc, по-прежнему составляет подавляющее большинство процедур ядерной медицины. В связи с этим считается, что роль данного вида диагностики будет только возрастать и в настоящее время продолжаются исследования новых лигандов ПСМА со все более совершенными биологическими свойствами.
Заключение
Проведенное исследование показало переносимость и безопасность применения радиофармацевтического препарата [99mTс]Tc-HYNIC-ПСМА. При введенной активности 649,6 ± 70,7 МБк [99mTc]Tc-HYNIC-PSMA для условного пациента с массой тела 75-80 кг эффективная доза облучения составит около 3 мЗв. Показано, что ОФЭКТ/КТ с [99mTc]Tc-HYNIC-PSMA позволяет визуализировать ПСМА-позитивные опухоли предстательной железы, регионарные и отдаленные метастазы РПЖ.
Конфликт интересов
Авторы заявляют об отсутствии в статье конфликта интересов.
Conflict of interest
The authors declare no conflict of interest.
Соблюдение прав пациентов и правил биоэтики
Все процедуры проводились в соответствии с Хельсинкской декларацией по правам человека в редакции 2013 г. Протокол исследования одобрен биоэтическим комитетом НИИ онкологии Томского НИМЦ (протокол № 17 от 21 июля 2023 г.). Все больные подписывали информированное согласие на участие в исследовании.
Compliance with patient rights and principles of bioethics
All procedures were performed in accordance with the tenets of the Declaration of Helsinki as amended in 2013. The study protocol was approved by the Bioethics Committee of the Tomsk National Research Medical Center Oncology Research Institute (No. 17 of 21 July 2023). All patients signed an informed consent to participate in the study.
Финансирование
Исследование было выполнено в рамках Программы «Приоритет 2030» Министерства науки и высшего образования Российской Федерации, Приоритет-2030-ИЗ-024-202-2024.
Financing
The study was carried out under the Priority 2030 program of the Ministry of Science and Higher Education of the Russian Federation, Priority-2030-IZ-024-202-2024.
Участие авторов
Медведева А.А. — проведение исследований, анализ и интерпретация данных;
Чернов В.И. — разработка концепции и дизайна;
Зельчан Р.В. — анализ материала, участие в написании текста статьи;
Рыбина А.Н. — проведение исследований;
Брагина О.Д. — участие в написании текста статьи;
Зебзеева О.С. — набор и анализ материала.
Все авторы одобрили финальную версию статьи перед публикацией, выразили согласие нести ответственность за все аспекты работы, подразумевающую надлежащее изучение и решение вопросов, связанных с точностью или добросовестностью любой части работы.
Authors’ contributions
Medvedeva A.A. — carried out the research, analyzed and interpreted the data;
Chernov V.I. — developed the concept and design of the study;
Zelchan R.V. — analyzed the material and participated in the drafting of the article;
Rуbina A.N. — carried out the research;
Bragina O.D. — participated in the drafting of the article;
Zebzeeva O.S. — collected and analyzed the material.
All authors have approved the final version of the article before publication, agreed to assume responsibility for all aspects of the work, implying proper review and resolution of issues related to the accuracy or integrity of any part of the work.
About the authors
Anna A. Medvedeva
Cancer Research Institute – a branch of the Tomsk National Research Medical Center of the Russian Academy of Sciences; Tomsk Polytechnic University
Author for correspondence.
Email: journal@voprosyonkologii.ru
ORCID iD: 0000-0002-5840-3625
SPIN-code: 9110-1730
Scopus Author ID: 57188995343
ResearcherId: D-7455-2012
Russian Federation, Tomsk; Tomsk
Vladimir I. Chernov
Cancer Research Institute – a branch of the Tomsk National Research Medical Center of the Russian Academy of Sciences; Tomsk Polytechnic University
Email: journal@voprosyonkologii.ru
ORCID iD: 0000-0002-5524-9546
SPIN-code: 6301-3612
Scopus Author ID: 7201429550
ResearcherId: AAG-6392-2020
Russian Federation, Tomsk; Tomsk
Roman V. Zelchan
Cancer Research Institute – a branch of the Tomsk National Research Medical Center of the Russian Academy of Sciences; Tomsk Polytechnic University
Email: journal@voprosyonkologii.ru
ORCID iD: 0000-0002-4568-1781
SPIN-code: 2255-5282
Scopus Author ID: 56901332100
ResearcherId: AAB-4884-2021
Russian Federation, Tomsk; Tomsk
Anastasia N. Rуbina
Cancer Research Institute – a branch of the Tomsk National Research Medical Center of the Russian Academy of Sciences; Tomsk Polytechnic University
Email: journal@voprosyonkologii.ru
ORCID iD: 0000-0002-6488-0647
SPIN-code: 4210-2711
Scopus Author ID: 56700070000
ResearcherId: AAF-1249-2020
Russian Federation, Tomsk; Tomsk
Olga D. Bragina
Cancer Research Institute – a branch of the Tomsk National Research Medical Center of the Russian Academy of Sciences; Tomsk Polytechnic University
Email: journal@voprosyonkologii.ru
ORCID iD: 0000-0001-5281-7758
SPIN-code: 7961-5918
Scopus Author ID: 57190936256
ResearcherId: E-9732-2017
Russian Federation, Tomsk; Tomsk
Olga S. Zebzeeva
Tomsk Regional Oncology Center
Email: journal@voprosyonkologii.ru
ORCID iD: 0000-0002-2917-8158
SPIN-code: 6861-8199
Russian Federation, Tomsk
References
- Pillai M.R.A., Dash A., Knapp F.F. Sustained availability of 99mTc: possible paths forward. J Nucl Med. 2013; 54: 313-323.-DOI: https://doi.org/10.2967/jnumed.112.110338.
- Chernov V.I., Dudnikova E.A., Zelchan R.V., et al. The first experience of using 99mTc-1-thio-d-glucose for single-photon emission computed tomography imaging of lymphomas. Siberian Journal of Oncology. 2018; 17(4): 81-87.-DOI: https://doi.org/10.21294/1814-4861-2018-17-4-81-87.-URL: https://www.elibrary.ru/item.asp?id=35458986.
- Chernov V.I., Sinilkin I.G., Zelchan R.V., et al. Experimental study of 99mTc-aluminum oxide use for sentinel lymph nodes detection. AIP Conference Proceedings. 2016; 1760: 020012.-DOI: https://doi.org/10.1063/1.4960231.
- Зельчан Р.В., Медведева А.А., Синилкин И.Г., et al. Изучение функциональной пригодности туморотропного радиофармпрепарата 99мТс-1-тио-6-глюкоза в эксперименте. Молекулярная медицина. 2018; (16)3: 54-57.-URL: https://www.elibrary.ru/item.asp?id=34932642. [Zeltchan R., Medvedeva A., Sinilkin I., et al. To study the functional suitability of the tumorotropic radiopharmaceutical 99mTs-1-thio-6-glucose in an experiment. Molecular Medicine. 2018; (16)3: 54-57.-URL: https://www.elibrary.ru/item.asp?id=34932642. (In Rus)].
- Zeltchan R., Medvedeva A., Sinilkin I., et al. Study of potential utility of new radiopharmaceuticals based on technetium-99m labeled derivative of glucose. AIP Conference Proceedings. 2016; 1760: 020072.-DOI: https://doi.org/10.1063/1.4960291.
- Чернов В.И., Медведева А.А., Синилкин И.Г., et al. Разработка радиофармпрепаратов для радионуклидной диагностики в онкологии. Медицинская визуализация. 2016; 2: 63-66.-EDN: VWOIPT.-URL: https://www.elibrary.ru/item.asp?id=25981425. [Chernov V.I., Medvedeva A.A., Sinilkin I.G., et al. Development radiopharmaceuticals for nuclear medicine in oncology. Medical Imaging. 2016; 2: 63-66.-EDN: VWOIPT-URL: https://www.elibrary.ru/item.asp?id=25981425. (In Rus)].
- Тищенко В.К., Петриев В.М., Власова О.П., et al. Меченные технецием-99m низкомолекулярные ингибиторы простат-специфического мембранного антигена. Вестник РАМН. 2022; 77(6): 420-436.-EDN: NDEQUS.-DOI: https://doi.org/10.15690/vramn2207.-URL: https://www.elibrary.ru/item.asp?id=50359378. [Tishchenko V.K., Petriev V.M., Vlasova O.P., et al. 99mTс-labelled low molecular weight inhibitors of prostate-specific membrane antigen. Annals of the Russian Academy of Medical Sciences. 2022; 77(6): 420-436.-EDN: NDEQUS.-DOI: https://doi.org/10.15690/vramn2207.-URL: https://www.elibrary.ru/item.asp?id=50359378. (In Rus)].
- Леонтьев А.В., Халимон А.И., Кулиев М.Т., et al. Современные возможности применения радиофармпрепаратов на основе лигандов к простатспецифическому мембранному антигену, меченных 99mTc, при раке предстательной железы. Онкоурология. 2021; 17(4): 136-150.-DOI: https://doi.org/10.17650/1726-9776-2021-17-4-136-150.-URL: https://www.elibrary.ru/item.asp?id=47940445. [Leontyev A.V., Khalimon A.I., Kuliev M.T., et al. Modern possibilities of application 99mtc-labeled prostate-specific membrane antigen ligands in prostate cancer. Oncourology. 2021; 17(4): 136-150.-DOI: https://doi.org/10.17650/1726-9776-2021-17-4-136-150.-URL: https://www.elibrary.ru/item.asp?id=47940445. (In Rus)].
- Брагина О.Д., Чернов В.И., Ларькина М.С., et al. Простатический специфический мембранный антиген: современные возможности в диагностике рака предстательной железы. Молекулярная медицина. 2018; 16(4): 3-8.-DOI: https://doi.org/10.29296/24999490-2018-04-01.-URL: https://www.elibrary.ru/item.asp?id=35357624. [Bragina O.D., Chernov V.I., Larkina M.S., et al. Prostate-specific membrane antigen: modern possibilities in the diagnosis of prostate cancer. Molecular Medicine. 2018; 16(4): 3-8.-DOI: https://doi.org/10.29296/24999490-2018-04-01.-URL: https://www.elibrary.ru/item.asp?id=35357624. (In Rus)].
- Игнатова М.В., Тлостанова М.С., Станжевский А.А. Первый опыт выполнения совмещенной позитронно-эмиссионной с компьютерной томографией с простатспецифическим мембранным антигеном, меченым галлием-68, у пациентов с минимальным уровнем простатспецифического антигена после радикальной простатэктомии. Вопросы онкологии. 2018; 64(4): 508-514.-URL: https://www.elibrary.ru/item.asp?id=36351533. [Ignatova M.V., Tlostanova M.S., Stanzhevsky A.A. Тhe first experience of performing combined positronemission with computed tomography with prostate-specific membrane antigen labeled with gallium-68 in patients with minimal level of prostate-specific antigen after radical prostatectomy. Voprosy Oncologii = Problems in Oncology 2018; 64(4): 508-514.-URL: https://www.elibrary.ru/item.asp?id=36351533. (In Rus)].
- Stott Reynolds T.J., Smith C.J., Lewis M.R. Peptide-based radiopharmaceuticals for molecular imaging of prostate cancer. Adv Exp Med Biol. 2018; 1096: 135-158.-DOI: https://doi.org/10.1007/978-3-319-99286-0_8.
- Brunello S., Salvarese N., Carpanese D., et al. A review on the current state and future perspectives of [99mTc]Tc-housed PSMA-i in prostate cancer. Molecules. 2022; 27(9): 2617.-DOI: https://doi.org/10.3390/molecules27092617.
- Banerjee S.R., Pullambhatla M., Foss C.A., et al. Effect of chelators on the pharmacokinetics of 99mTc-labeled imaging agents for the prostate-specific membrane antigen (PSMA). J Med Chem. 2013; 56(15): 6108-6121.-DOI: https://doi.org/10.1021/jm400823w.
- Ferro-Flores G., Luna-Gutiérrez M., Ocampo-García B., et al. Clinical translation of a PSMA inhibitor for 99mTc-based SPECT. Nucl Med Biol. 2017; 48: 36-44.-DOI: https://doi.org/10.1016/j.nucmedbio.2017.01.012.
- Kularatne S.A., Zhou Z., Yang J., et al. Design, synthesis, and preclinical evaluation of prostate-specific membrane antigen targeted 99mTc-radioimaging agents. Mol Pharm. 2009; 6: 790-800.-DOI: https://doi.org/10.1021/mp9000712.
- Santos-Cuevas C., Davanzo J., Ferro-Flores G., et al. 99mTc-labeled PSMA inhibitor: Biokinetics and radiation dosimetry in healthy subjects and imaging of prostate cancer tumors in patients. Nucl Med Biol. 2017; 52: 1-6.-DOI: https://doi.org/10.1016/j.nucmedbio.2017.05.005.
- Vallabhajosula S., Nikolopoulou A., Babich J.W., et al. 99mTc-labeled small-molecule inhibitors of prostate-specific membrane antigen: pharmacokinetics and biodistribution studies in healthy subjects and patients with metastatic prostate cancer. J Nucl Med. 2014; 55: 1791-1798.-DOI: https://doi.org/10.2967/jnumed.114.140426.
- Lawal I.O., Ankrah A.O., Mokgoro N.P., et al. Diagnostic sensitiv ity of Tc-99m HYNIC PSMA SPECT/CT in prostate carcinoma: a comparative analysis with Ga-68 PSMA PET/CT. Prostate. 2017; 77(11): 1205-1212.-DOI: https://doi.org/10.1002/pros.23379.
- García-Pérez F.O., Davanzo J., López-Buenrostro S., et al. Head to head comparison performance of 99mTc-EDDA/HYNIC-IPSMA SPECT/CT and 68Ga-PSMA-11 PET/CT a prospective study in biochemical recurrence prostate cancer patients. Am J Nucl Med Mol Imaging. 2018; 8(5): 332-340.
- Hillier S.M., Maresca K.P., Lu G., et al. 99m Tc-labeled small-molecule inhibitors of prostate-specific membrane antigen for molecular imaging of prostate cancer. J Nucl Med. 2013; 54: 1369-1376.-DOI: https://doi.org/10.2967/jnumed.112.116624.
- Maresca K., Wang J.C., Hillier S., et al. Development of a simple kit for Tc-99m-MIP-1404, a Single Amino Acid Chelate (SAAC II) derived small molecule inhibitor of Prostate Specific Membrane Antigen (PSMA) for imaging prostate cancer. J. Nucl. Med. 2012; 53(1): 523.
- Lodhi N.A., Park J.Y., Kim K., et al. Synthesis and evaluation of 99mTc-tricabonyl labeled isonitrile conjugates for prostate-specific membrane antigen (PSMA) image. Inorganics. 2020; 8: 5.-DOI: https://doi.org/10.3390/inorganics8010005.
- Akizawa H., Alberto R., Arano, Y., et al. Radioisotopes and Radiopharmaceutical Series no. 1. Vienna: 2009. Tc-99m Radiopharmaceuticals:Status and Trends. International Atomic Energy Agency. 2009; 360.-URL: https://www-pub.iaea.org/MTCD/Publications/PDF/Pub1405_web.pdf.
- Wållberg H., Orlova A., Altai M., et al. Molecular design and optimization of 99mTc-labeled recombinant affibody molecules improves their biodistribution and imaging properties. J Nucl Med. 2011; 52(3): 461-9.-DOI: https://doi.org/10.2967/jnumed.110.083592.
- Rusckowski M., Qu T., Gupta S., et al. A comparison in monkeys of (99m)Tc labeled to a peptide by 4 methods. J Nucl Med. 2001; 42(12): 1870-7.
- Robu S., Schottelius M. Eiber M., et al. Preclinical evaluation and first patient application of 99m Tc-PSMA-I&S for SPECT imaging and radioguided surgery in prostate cancer. J Nucl Med. 2017; 58: 235-242.-DOI: https://doi.org/10.2967/jnumed.116.178939.
- Xu X., Zhang J., Hu S., et al. 99m Tc-labeling and evaluation of a HYNIC modified small-molecular inhibitor of prostate-specific membrane antigen. Nucl Med Biol. 2017: 48; 69-75.-DOI: https://doi.org/10.1016/j.nucmedbio.2017.01.010.
- Urbn S., Meyer C., Dahlbom M., et al. Radiation dosimetry of 99mTc-PSMA I&S: a single-center prospective study. J Nucl Med. 2021; 62(8): 1075-1081.-DOI: https://doi.org/10.2967/jnumed.120.253476.
Supplementary files





