Gastrointestinal Tract Tumors with Microsatellite Instability: A Single-Center Experience
- Authors: Belyak N.P.1,2, Orlova R.V.1,2, Raskin G.A.1,3, Kutukova S.I.2,4, Androsova A.V.1,2, Smirnova N.V.2, Varankina A.A.2, Natalenko S.A.1,2
-
Affiliations:
- Saint Petersburg State University
- City Clinical Oncology Dispensary
- Berezin Medical Institute
- First Pavlov State Medical University of Saint Petersburg
- Issue: Vol 71, No 1 (2025)
- Pages: 143-154
- Section: PRACTICES OF ONCOLOGICAL INSTITUTIONS
- URL: https://medbiosci.ru/0507-3758/article/view/291676
- DOI: https://doi.org/10.37469/0507-3758-2025-71-1-143-154
- ID: 291676
Cite item
Full Text
Abstract
Introduction. The development of microsatellite instability as a result of germline or sporadic mutations in the genes of the mismatched nucleotide repair (MMR) system is a key link in triggering the mechanisms of carcinogenesis through the formation of tumor neoantigens that are targets for T lymphocytes, which ultimately determines the high immunogenicity of these tumors and their sensitivity to immune checkpoint inhibitors.
Aim. To determine the clinical and morphological characteristics of gastric, colon and rectal tumors with microsatellite instability.
Materials and Methods. The retrospective analysis included 76 patients with established dMMR (36 patients with colorectal cancer and 42 patients with gastric malignancies).
Results. Common characteristics for the above described tumors are: locally advanced nature of the process (T3-T4, N2-N3), complicated course of the disease, predominant in IHC testing, loss of PMS2, MLH1 proteins, progression and low rate of achieving objective response against the background of PCT, high efficacy of IT alone or in combination with PCT (disease control rate (65 % and 73.68 % for gastric and colorectal cancer, respectively); median progression-free survival in patients who completed treatment with checkpoint inhibitors was not as high as in the gastric and colorectal cancer groups.
Full Text
Введение
Микросателлиты — короткие, тандемные повторы в дезоксирубонуклеиновых кислотах (ДНК) (состоят менее чем из 10 нуклеотидов), располагающиеся преимущественно в некодирующих частях генома. Микросателлиты гипермутабельны, что, с одной стороны, оказывает огромное влияние на процесс эволюции и формирование генофонда, а с другой, приводит к появлению генетических дефектов преимущественно в результате нарушения процессов репликации ДНК (образование некомплементарных пар нуклеотидов, мутации сдвига рамки считывания и проскальзывание полимеразы) [5].
Для устранения данных ошибок существует система репарации ошибочно спаренных нуклеотидов (mismatch repair system, MMR). Система MMR включает в себя белки MLH1, MLH3, MSH2, MSH3, MSH6, PMS1, PMS2. Наибольшее применение в клинической практике нашли белки MLH1, MSH2, MSH6, PMS2 [5]. Появление герминативной или спорадической мутации в данных генах приводит к дефициту системы репарации ошибочно спаренных нуклеотидов и накоплению в микросателлитах mismatch-ошибок, что и называется микросателлитной нестабильностью. Герминативные мутации в системе dMMR приводят к развитию синдрома Линча, наличие которого в свою очередь повышает риск развития ряда опухолей: колоректального рака, рака эндометрия, желудка, предстательной железы, яичников, молочной железы, поджелудочной железы [5, 6, 7]. Однако большая часть мутаций в системе MMR носит спорадический характер [1].
Развитие микросателлитной нестабильности в результате вышеописанных мутаций является ключевым звеном в запуске механизмов канцерогенеза посредством формирования опухолевых неоантигенов, представляющих собой мишени для Т-лимфоцитов, что, в конечном счете, обусловливает высокую иммуногенность данных опухолей и их чувствительность к ингибиторам контрольных точек иммунитета [4]. Цель — определение клинико-морфологических особенностей опухолей желудка, ободочной и прямой кишки с выявленной микросателлитной нестабильностью.
Материал и методы
Всего в ретроспективный анализ было включено 76 пациентов с установленным dMMR (36 пациентов больных колоректальным раком и 42 пациента со злокачественными новообразованиями желудка). Определение дефицита системы репарации ошибочно спаренных нуклеотидов осуществлялось иммуногистохимическим методом и методом полимеразной цепной реакции (ПЦР). Изучалась экспрессия белков MSH2, MLH1, PMS2, MSH6, при отсутствии окрашивания хотя бы одного из белков устанавливался статус микросателлитной нестабильности. В случае изолированного потери одного белка, согласно алгоритму тестирования, выполнялся подтверждающий ПЦР анализ.
Результаты
Колоректальный рак. Под нашим наблюдением находилось 36 пациентов с верифицированным колоректальным раком I-IV стадий, в возрасте от 30 до 84 лет (средний возраст 57,3 ± 14,2 (95 % ДИ 52,5-62,1), получавших лечение и наблюдение в период с января 2019 г. по настоящее время.
По первичной локализации у 16 (44,4 %) пациентов опухоль располагалась в левых отделах толстой кишки, правостороннее расположение опухоли наблюдалось также у 16 (44,4 %) пациентов, у 4 (11,1 %) пациентов отмечался первично-множественный характер заболевания с поражением как левых, так и правых отделов толстого кишечника. Всего у 8 (22,2 %) пациентов отмечен первично-множественный характер заболевания.
При анализе распространенности процесса установлено, что отдаленные метастазы на момент постановки диагноза выявлены у 10 (27,8 %) пациентов, местнораспространенный процесс наблюдался у 26 (72,2 %) больных.
Радикальное хирургическое лечение выполнено 27 из 36 (75,0 %) пациентов.
При оценке размеров первичной опухоли степень распространения Т4 отмечена у 17 пациентов (47,2 %), Т3 — у 16 пациентов (44,4 %), Т2 — у 3 пациентов (8,3 %), Т1 — не отмечено ни у кого. При оценке распространения опухоли в регионарные лимфатические узлы (ЛУ) получено следующее: N2 статус наблюдался у 16 пациентов (44,4 %), N1 — у 10 пациентов (27,8 %), N0 — у 6 пациентов (16,7 %), у 4 (11,1 %) статус поражения ЛУ не известен, в связи с проведением первичного хирургического вмешательства в хирургическом стационаре общего профиля.
При оценке морфологических характеристик опухоли нами отмечено следующее распределение результатов гистологических заключений: G1-2 дифференцировка наблюдалась у 22 (61,1 %) пациентов, G3-4 — у 12 (33,3 %) пациентов, у 2 (5,6 %) пациентов данный показатель не определялся. Муцинозный компонент в опухоли отмечен в 5 (13,9 %) образцах, перстневидноклеточный в 3 (8,3 %) образцах. Полное иммуногистохимическое исследование на предмет оценки экспрессии всех 4 белков системы MMR выполнено 21 (58,3 %) пациенту. Остальным 15 пациентам определялась либо экспрессия только 2 белков с помощью ИГХ исследования или статус MSI был определен с помощью ПЦР. Нами получены следующие результаты: у 12/21 (57,1 %) пациентов выявлена утрата белков PMS2, MLH1, у 3 (14,3 %) пациентов — MSH2 и MSH6, у 3 (14,3 %) пациентов PMS2, у 2 (9,5 %) пациентов утрата белка MSH2, один (4,8 %) пациент — с утратой белка MSH6.
Осложнения заболевания на момент постановки диагноза отмечены у 24 (66,7 %) пациентов. У 12/24 (50,0 %) наших пациентов наблюдалось нарушение кишечной проходимости, анемия различной степени тяжести — у 19 (79,2 %) пациентов, кишечное кровотечение возникло у 6 (25,0 %) пациентов, толстокишечный свищ, паратуморозный абсцесс — у 1 (4,2 %) пациента, перфорация кишки — у 1 (4,2 %) пациента. По результатам лабораторных исследований до начала лекарственной терапии анемия 1 ст. наблюдалась у 12/19 пациентов (63,2 %), 2 ст. — у 7/19 пациентов (36,8 %), анемия 3 и 4 ст. не отмечены ни у одного из пациентов.
Лекарственное лечение получили 33 (91,7 %) из 36 больных. Трем пациентам было проведено только радикальное хирургическое лечение.
Из них 24/33 (72,7 %) пациента получили противоопухолевое лекарственное лечение (как часть комплексного, так и паллиативного лечения). Четырнадцать пациентов из 33 (42,4 %) получили адъювантную ПХТ (FOLFOX/XELOX), 5/33 (15,2 %) получили химиотерапию в комбинации с лучевой терапией с последующей консолидирующей ХТ. Из 19/33 (57,6 %) пациентов, получавших в рамках комплексного лечения адъювантную, консолидирующую ХТ или ХЛТ, прогрессирование заболевания наступило у 11 (57,9 %) больных.
Иммунотерапия проводилась 21/33 (63,6 %) пациентам в первой и последующих линиях лечениях: 14/21 (66,7 %) получили ИТ в рамках 1 линии лечения (10 пациентов получали пембролизумаб в дозе 200 мг 1 раз в 21 день, 4 пациента получали комбинацию ниволумаба в дозе 3 мг/кг 1 раз в 14 дней в комбинации с ипилимумабом в дозе 1 мг/кг 1 раз в 21 день до 4 введений с последующим переходом на поддерживающие введения ниволумаба в дозе 3 мг/кг 1 раз в 14 дней до прогрессирования или непереносимой токсичности), 5/21 пациента (23,8 %) получали пембролизумаб в дозе 200 мг 1 раз в 21 день в рамках 2 линии, и 2/21 (9,5 %) пациента получали пембролизумаб в дозе 200 мг 1 раз в 21 день в рамках 3 линии противоопухолевого лекарственного лечения. Частота объективного ответа составила 57,1 % (12/21). Контроль над заболеванием достигнут у 14/21 пациентов (66,7 %). У 2 (9,5 %) пациентов отмечена стабилизация процесса, у 10 (47,6 %) пациентов — частичный регресс, полный патоморфологический регресс отмечен у 1 (4,8 %) пациента, полный метаболический ответ зарегистрирован у 1 (4,8 %) пациента, прогрессирование в процессе иммунотерапии — у 2 (9,5 %) пациентов, у 3 (14,3 %) пациентов эффект лечения на момент среза данных не оценен. Всего 6 (31,6 %) пациентов планово завершили ИТ и в настоящее время находятся под наблюдением без признаков прогрессирования.
Ребиопсии первичной опухоли и метастатического очага выполнялась 1 пациенту: опухолевых клеток в биоптатах не обнаружено.
У больных с местнораспространенной формой заболевания (n = 26) медиана времени до прогрессирования после проведенного комплексного лечения составила 10,0 мес. (95 % ДИ 7,0-13,0). При проведении многофакторного анализа только III стадия заболевания значимо (р = 0,003) увеличивала риск прогрессирования заболевания.
При наличии первично-метастатического процесса или при прогрессировании заболевания, те пациенты, которым была назначена в рамках 1 линии лечения иммунотерапия (n = 14/21), имели значимое преимущество по выживаемости без прогрессирования (ВБП) (р = 0,002) (рис. 1).
Рис. 1. Выживаемость без прогрессирования пациентов (n = 26) с диагнозом метастатический колоректальный рак с признаками микросателлитной нестабильности на 1 линии терапии
Fig. 1. Progression-free survival of patients (n = 26) with MSI-H colorectal cancer on the 1st line of therapy
Медиана ВБП в группе больных, получивших ИТ, на момент среза данных, не достигнута. Медиана ВБП в группе больных, получивших в рамках 1 линии ХТ+/-таргетную терапию, составила 8,0 мес. (95 % ДИ 5,7-10,3).
Рак желудка. Под нашим наблюдением находилось 42 пациента с верифицированным раком желудка I-IV стадий в возрасте от 30 до 84 лет (средний возраст 57,3 ± 14,2 (95 % ДИ 52,5-62,1), получавших лечение и наблюдение в СПб ГБУЗ «Городской клинический онкологический диспансер».
При оценке локализации процесса выявлено следующее: в теле желудка опухоль определялась у 24 (57,14 %) пациентов, в антральном отделе — у 16 (38 %) пациентов, в кардиальном отделе — лишь у 2 (4,7 %) пациентов. Первично-множественный характер заболевания отмечен у 6 (14,28 %) пациентов.
При анализе распространенности процесса установлено, что отдаленные метастазы на момент постановки диагноза выявлены у 10 (23,8 %) пациентов, местнораспространенный процесс наблюдался у 32 (76, 2 %).
Хирургическое вмешательство проведено 29 (69 %) пациентам.
При оценке размеров первичной опухоли степень распространения Т4 отмечена у 20 пациентов (47,6 %), Т3 — у 19 пациентов (45,2 %), Т2 — у 3 пациентов (7,1 %), Т1 — ни у одного. N0 статус ЛУ наблюдался у 3 (7,1 %) пациентов, N1 — у 18 (42,9 %) пациентов, N2 — у 10 (23,8 %) пациентов, N3 — у 11 (26,2 %) пациентов.
При оценке морфологических характеристик опухолей получены следующие результаты: дифференцировка опухоли G1-G2 наблюдалась у 20 (47,6 %) пациентов, G3 — у 18 (42,8 %) пациентов, у 4 пациентов данный показатель не определен. Муцинозный компонент в опухоли отмечен у 2 пациентов (4,7 %), перстневидноклеточный — у 4 пациентов (9,5 %). Данные по ИГХ оценке экспрессии всех белков МSН2, МLН1, РМS2, МSН6 доступны у 28 пациентов Остальным 14 пациентам определялась либо экспрессия только 2 белков с помощью ИГХ исследования, или статус MSI был определен с помощью ПЦР. В 15(53,6 %) случаях выявлена утрата белков РМS2, МLH1, в 3 (10,7 %) случаях — утрата белков МSН2, МSН6, в 9 (32,1 %) случаях — утрата только 1 белка РМS2, утрата белков PMS2 и MSH6 — в 1 (3,6 %) случае. Уровень экспрессии PD-L1, выраженный индексом СРS, варьировал от 0 до 100, медиана уровня СРS составила 7.
Осложнения заболевания на момент постановки диагноза отмечены у 30 пациентов (71,4 %): кровотечение из опухоли наблюдались у 5 (16,6 %) пациентов, опухолевый стеноз — у 2 (6,6 %) пациентов, дисфагия — у 2 (6,6 %), анемия — у 28 (93,3 %). Лабораторные показатели пациентов перед началом лечения были следующими: анемия 1 ст. отмечена у 14 (50 %) пациентов, анемия 2 ст. — у 6 (21,4 %) пациентов, анемия 3 ст. выявлена у 5 (17,8 %) пациентов, анемия 4 ст. — у 3 (10,7 %) пациентов.
Лекарственное лечение получили 36/42 (85,7 %) пациентов. Из них 17/36 (47,2 %) человек получили химиотерапевтическое лечение (в рамках комплексного радикального лечения FLOT или mFOLFOX6). При оценке эффекта ПХТ получены следующие результаты: 5 (29,4 %) пациентов прогрессировали в процессе или после завершения ПХТ, 12 (80,6 %) пациентов завершили ПХТ в рамках радикального лечения и в настоящее время находятся под наблюдением без признаков прогрессирования.
Всего иммунотерапию в монорежиме пембролизумаб 200 мг в/в капельно 1 раз в 21 день или комбинацию ниволумаба в дозе 240 мг с химиотерапией в режиме mFOLFOX6 получили 20/36 (55,6 %) пациентов с первично метастатическим процессом, или при прогрессировании местнораспространенного заболевания после завершения радикального комплексного лечения. Контроль над заболеванием достигнут в 13 случаях (65,0 %). Частота объективного ответа составила 60,0 %. Химиоиммунотерапия проведена 10 (50 %) пациентам, при оценке эффекта которой получены следующие результаты: частичный регресс отмечен у 2 (20 %) пациентов, полный регресс — у 5 (50,0 %) пациентов, стабилизация заболевания наблюдалась лишь у 1 (10 %), прогрессирование также отмечено у 1 (10 %) пациента, и у 1 (10 %) пациента эффект лечения на момент среза данных не оценен. Моноиммунотерапию получили также 10 (50 %) пациентов. При оценке эффективности терапии частичный регресс наблюдался у 3 (30,0 %) пациентов, полный патоморфологический регресс зарегистрирован у 2 (20 %) пациентов, прогрессирование процесса отмечено у 3 (30,0 %) пациентов, стабилизации процесса не отмечено ни у кого, у 2 (20,0 %) пациентов эффект не оценен.
Ребиопсия первичной опухоли для подтверждения полного патоморфологического регресса выполнялись 2 пациентам, у остальных пациентов полный регресс подтвержден по результатам исследования операционного материала. Девять человек в настоящее время планово завершили лечение и находятся под динамическим наблюдением без признаков прогрессирования процесса.
При наличии первично-метастатического процесса или при прогрессировании заболевания, те пациенты, c которым была назначена в рамках 1 линии лечения иммунотерапия, имели значимое преимущество по выживаемости без прогрессирования (р = 0,010) (рис. 2).
Рис. 2. Выживаемость без прогрессирования пациентов (n = 13) с диагнозом метастатический рак желудка с признаками микросателлитной нестабильности на 1 линии терапии
Fig. 2. Progression-free survival of patients (n = 13) with MSI-H gastric cancer in first-line therapy
Медиана ВБП в группе больных, получивших ИТ (n = 20), на момент среза данных, не достигнута. Медиана ВБП в группе больных ИТ (n = 20), получивших в рамках 1 линии ХТ+/-таргетную терапию составила 5,0 мес. (95 % ДИ 3,2-6,8).
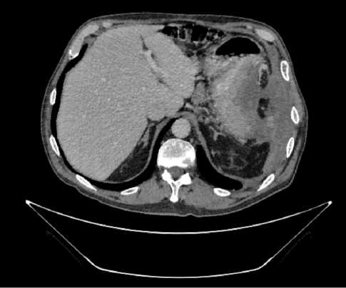
Клинический случай 1. Пациент А., 80 лет. В июле 2019 г., в связи с дообследованием по поводу генеза анемии 2 ст. при фиброгастродуоденоскопии (ФГДС), выявлена инфильтрация пилоробульбарного отдела желудка, компенсированный стеноз пилорического канала. По результатам гистологического и иммуногистохимического исследований обнаружена низкодифференцированная аденокарцинома с признаками dMMR/MSI-H (CPS = 50), HER2 отрицательная.
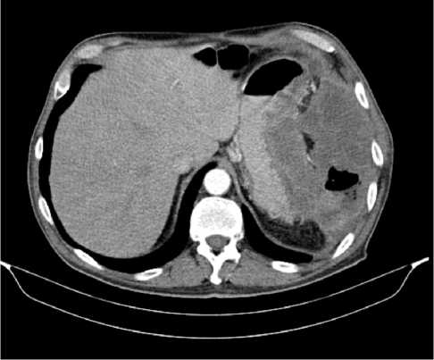
Выполнена компьютерная томография (КТ) органов грудной клетки, брюшной полости в июле 2019 г. Инфильтративных изменений в легких не обнаружено. Выявлено новообразование антрального отдела, малой кривизны и передней стенки желудка, распространяющееся на заднюю стенку, преимущественно на препилорический отдел. Имелись признаки локального перехода образования на большой сальник, гепатодуоденальную связку с периваскулярным ростом и признаками лимфоваскулярной инвазии. Многочисленные забрюшинные ЛУ сливались между собой в конгломераты размерами до 40 × 29 мм с частичным вовлечением почечных артерий. Также билобарно обнаружены немногочисленные очаговые образования в печени до 10 мм. Высказано подозрение на перитонеальный канцероматоз (рис. 3).
Рис. 3. Результаты компьютерной томографии органов брюшной полости у пациента 80 лет с диагнозом метастатический рак желудка с признаками микросателлитной нестабильности (июль 2019 г., до лечения)
Fig. 3. Results of a CT scan of the abdomen in an 80-year-old patient with metastatic MSI-H gastric cancer (July 2019, before treatment)
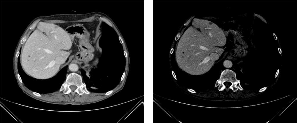
В результате обследования был установлен диагноз рака антрального отдела желудка (c)T4аN3вM1. По решению онкологического консилиума, учитывающего молекулярно-генетический профиль опухоли, а также возраст пациента, выраженность сопутствующей патологии (в анамнезе острое нарушение мозгового кровообращения (ОНМК), острый инфаркт миокарда (ОИМ), фибрилляция предсердий (ФП), постоянная форма), ограничивающей проведение ПХТ, была начата ИТ 1 линии пембролизумабом. С сентября 2019 г. по декабрь 2021 г. проведено 29 циклов ИТ 1 линии по схеме пембролизумаб в монорежиме с максимальным эффектом частичный регресс (рис. 4). Осложнений лечения не зарегистрировано.
Рис. 4. Частичный регресс по данным компьютерной томографии органов брюшной полости на фоне иммунотерапии пембролизумабом у пациента 81 года с диагнозом метастатический рак желудка с признаками микросателлитной нестабильности (декабрь 2021 г.; выживаемость без прогрессирования составила 25+ мес.)
Fig. 4. Partial response according to abdominal CT scan during immunotherapy with pembrolizumab in an 81-year-old patient diagnosed with MSI-H metastatic gastric cancer (December 2021; progression-free survival was 25+ months)
Для оценки метаболической активности остаточной опухолевой ткани выполнено позитронно-эмиссионная томография, совмещенная с компьютерной томографией (ПЭТ-КТ) в марте 2022 г., по результатам которого выявлено умеренное повышение уровня метаболической активности в проекции выходного отдела желудка и двух ЛУ брюшной полости, без значимой динамики в сравнении с предшествующим исследованием.
Для морфологической оценки патоморфологического регресса выполнена эзофагогастродуоденоскопия — эндоскопические признаки полного регресса опухоли. По результатам гистологического исследования, опухолевых клеток не выявлено.
Пациент находится под динамическим наблюдением без признаков прогрессирования процесса по настоящее время (выживаемость без прогрессирования составила 25+ мес.).
Клинический случай 2. Пациент А., 62 лет. В декабре 2021 г. госпитализирован бригадой скорой медицинской помощи, в связи с явлениями острой кишечной непроходимости в дежурный хирургический стационар, где в экстренном порядке выполнена обструктивная резекция левой половины ободочной кишки. Верифицирована аденокарцинома, low grade толстой кишки, врастающая в субсерозу.
Установлен диагноз рака селезеночного изгиба ободочной кишки pT3NхM0. Адъювантная химиотерапия не проводилась, в связи с истечением сроков после хирургического лечения.
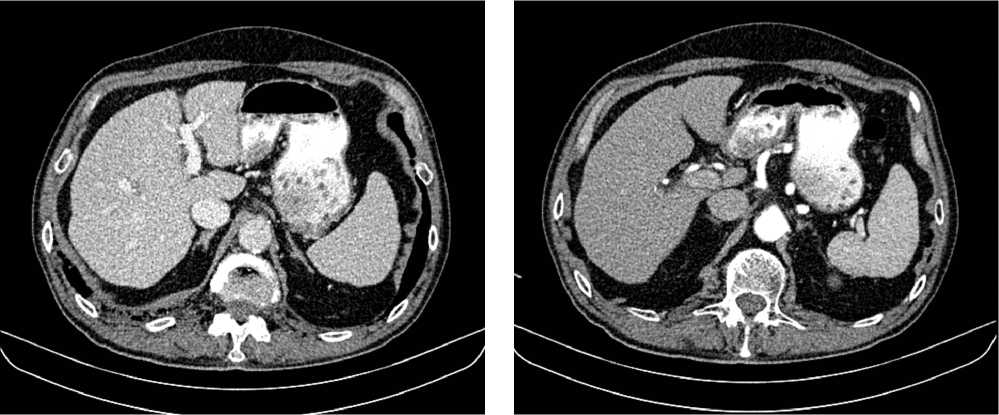
С июля 2022 г. у пациента отмечено появление эпизодов субфебрильной лихорадки. По результатам КТ органов брюшной полости от 08.2022 г. в проекции селезенки выявлена неоднородная инфильтрация с включениями, воздушной полостью в структуре, с тенденцией к отграничению и с распространением в параколическую клетчатку размерами 125 × 98 × 96 мм. Опухоль распространяется на большую кривизну желудка, вызывая утолщение стенки толщиной до 37 мм. По передней брюшной стенке справа отмечается округлое образование размерами 10 × 9 мм (рис. 5).
Рис. 5. Результаты компьютерной томографии органов брюшной полости у пациента 62 лет с диагнозом метастатический колоректальный рак с признаками микросателлитной нестабильности (август 2022 г., до лечения)
Fig. 5. Results of a CT scan of the abdomen of a 62-year-old patient with metastatic MSI-H colorectal cancer (August 2022, before treatment)
По результатам иммуногистохимического и молекулярно-генетического исследований, выявлены признаки dMMR/MSI-H (не экспрессируется MLH1) и мутация G12D в 12 кодоне гена KRAS.
По решению мультидисциплинарной комиссии, с учетом выявленного прогрессирования заболевания, его распространенности (массивный опухолевый конгломерат в левом подреберье, вовлекающий близлежащие петли кишки и дистальные отделы желудка, поджелудочную железу), ограничивающей проведение хирургического лечения, биологического статуса опухоли (dMMR/MSI-H), соматического статуса пациента ECOG-2 (обусловлен болевым синдромом), рекомендована 1 линия иммунотерапии пембролизумабом.
С 12.10.2022 пациенту выполнено 15 введений пембролизумаба с промежуточным эффектом частичный регресс.
По результатам КТ органов брюшной полости (ОБП) от 08.2023, поддиафрагмально слева сохраняется инфильтрат 79 × 46 мм, распространяется на большую кривизну желудка, брюшину, диафрагму слева и по левому фланку брюшной полости. Желудок деформирован, стенки утолщены. Парагастральная и внутрибрюшинная клетчатка слева инфильтрирована. По брюшине сохраняются образования. Эффект лечения оценен как частичный регресс (рис. 6).
Рис. 6. Частичный регресс, по данным компьютерной томографии органов брюшной полости, на фоне иммунотерапии пембролизумабом у пациента 63 лет с диагнозом метастатический колоректальный рак с признаками микросателлитной нестабильности (август 2023 г.)
Fig. 6. Partial regression according to abdominal CT scan during immunotherapy with pembrolizumab in a 63-year-old patient with metastatic MSI-H colorectal cancer (August 2023)
С учетом достигнутого частичного ответа на фоне ИТ, отсутствия, по данным КТ, абсолютных признаков нерезектабельности рецидивного образования левой поддиафрагмальной области, пациенту выполнена комбинированная операция в ноябре 2023 г. в следующем объеме: удаление внеорганного рецидива опухоли с корпорокаудальной резекцией поджелудочной железы, sleeve-резекцией желудка, резекцией левого купола диафрагмы и восстановлением непрерывности толстой кишки.
По результатам гистологического исследования выявлен полный патоморфологический регресс I степени по Mandard. В краях резекции признаков опухолевого поражения не обнаружены. ЛУ также без признаков опухолевого поражения.
В настоящее время пациент находится под динамическим наблюдением без признаков прогрессирования заболевания (время без прогрессирования составило 22+ мес.).
Клинический случай 3. Пациент Е., 37 лет. В июле 2022 г., в связи с дообследованием по поводу генеза кровянистых выделений из прямой кишки, выполнена ректороманоскопия, по результатам которой выявлено образование среднеампулярного отдела прямой кишки. По результатам гистологического исследования материала выявлена аденокарцинома толстой кишки, low grade.
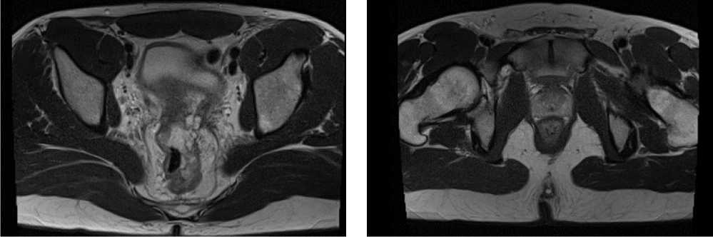
При КТ органов брюшной полости и магнитно-резонансная томография (МРТ) органов малого таза (ОМТ) от августа 2022 г. визуализированы патологические образования в печени метастатического характера (n = 8), расположенные билобарно, и образование средне/верхнеампулярного отделов прямой кишки mrT3d/T4aN2 (CRM+ за счет прилежания лимфатического узла/EMVI+). По результатам молекулярно-генетического исследования обнаружена мутация G13D в 13 кодоне гена KRAS.
Диагноз был установлен как рак среднеампулярного отдела прямой кишки сТ4аN2M1 (hep).
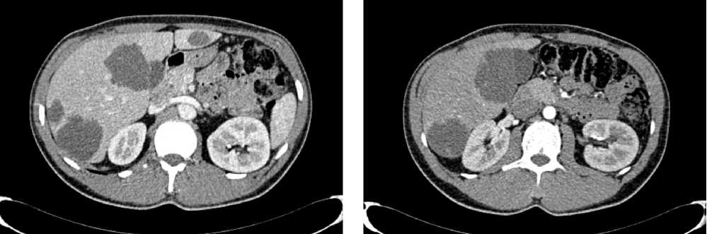
По решению онкологического консилиума пациенту начат ПХТ 1 линии в режиме FOLFOX + бевацизумаб. С 02.09.2022 проведено 3 цикла ПХТ 1 линии, по результатам контрольных обследований зарегистрировано прогрессирование процесса за счет роста образований печени до 64 × 46 мм и появления линзовидного образования между передней поверхностью прямой кишки и задней поверхностью предстательной железы размерами 47 × 15 × 25 мм (рис. 7, 8).
Рис. 7. Результаты компьютерной томографии органов брюшной полости у пациента 37 лет с диагнозом метастатический колоректальный рак с признаками микросателлитной нестабильности (октябрь 2022 г., после 3-х циклов FOLFOX + бевацизумаб)
Fig. 7. Results of abdominal CT scan in a 37-year-old patient diagnosed with metastatic MSI-H colorectal cancer (October 2022, after 3 cycles of FOLFOX + bevacizumab)
Рис. 8. Результаты магнитно-резонансной томографии органов брюшной полости у пациента 37 лет с диагнозом метастатический колоректальный рак с признаками микросателлитной нестабильности (октябрь 2022 г., после 3-х циклов FOLFOX + бевацизумаб)
Fig. 8. Results of abdominal MRI in a 37-year-old patient diagnosed with metastatic MSI-H colorectal cancer (October 2022, after 3 cycles of FOLFOX + bevacizumab)
В октябре 2022 г. получены результаты иммуногистохимического исследования на предмет MSI, выявлена утрата ядерной экспрессии MLH1 и PMS2.
С учетом результатов ИГХ, прогрессирования процесса по результатам контрольных обследований, пациенту начата 2 линия системного лечения пембролизумабом в монорежиме.
С ноября 2022 г. выполнено 14 введений пембролизумаба с максимальным эффектом частичный регресс (образование между передней поверхностью прямой кишки и задней поверхностью предстательной железы регрессировало полностью). По результатам контрольных обследований (КТ ОБП и МРТ ОМТ от сентября 2023 г.) сохраняются очаги в печени до 21 × 11 мм, а также опухоль средне- и верхнеампулярного отделов прямой кишки с выраженным муцинозным компонентом. МР-стадия Т4а (CRM+, EMVI+) (рис. 9, 10).
Рис. 9. Частичный регресс, по данным компьютерной томографии органов брюшной полости, на фоне иммунотерапии пембролизумабом у пациента 38 лет с диагнозом метастатический колоректальный рак с признаками микросателлитной нестабильности (сентябрь 2023 г.)
Fig. 9. Partial response according to abdominal CT scan data during immunotherapy with pembrolizumab in a 38-year-old patient with metastatic MSI-H colorectal cancer (September 2023)
Рис. 10. Частичный регресс, по данным магнитно-резонансной томографии органов брюшной полости, на фоне иммунотерапии пембролизумабом у пациента 38 лет с диагнозом метастатический колоректальный рак с признаками микросателлитной нестабильности; МР-стадия Т4а (CRM+, EMVI+) (сентябрь 2023 г.)
Fig. 10. Partial response according to abdominal magnetic resonance imaging during immunotherapy with pembrolizumab in a 38-year-old patient diagnosed with metastatic MSI-H colorectal cancer; MR stage T4a (CRM+, EMVI+) (September 2023)
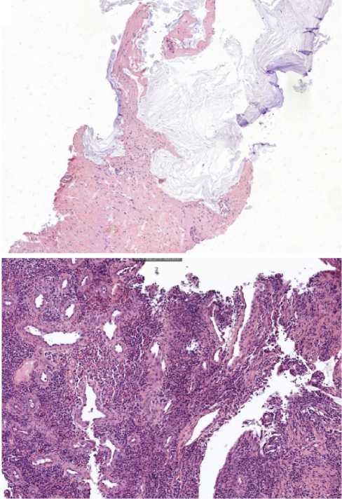
С целью определения патоморфологического регресса в октябре 2023 г. пациенту выполнена чрескожная биопсия опухоли печени под контролем ультразвукового исследования, по результатам которой опухолевой ткани не обнаружено. Гистологический материал был представлен столбиками фиброзной ткани с полями бесклеточного муцина и очаговой лимфоидной инфильтрацией в биоптате.
Помимо этого, пациенту проведена видеоколоноскопия: в просвете верхнеампулярного отдела прямой кишки сохраняется стенозирующая опухоль (рис. 11). По результатам гистологического исследования биоптатов опухолевых клеток не выявлено, фрагменты грануляционной ткани с участками слизистой оболочки толстой кишки (рис. 12).
Рис. 11. Результаты видеоколоноскопиии на фоне иммунотерапии пембролизумабом у пациента 38 лет с диагнозом метастатический колоректальный рак с признаками микросателлитной нестабильности; по данным трепан-биопсии опухолевых клеток не обнаружено (10 января 2024 г.)
Fig. 11. Results of video colonoscopy during immunotherapy with pembrolizumab in a 38-year-old patient diagnosed with metastatic MSI-H colorectal cancer; no tumour cells were detected after trephine biopsy (10 January 2024)
Рис. 12. Результаты морфологического исследования: а - препарат печени (×200), б-препарат кишки (×20) на фоне 14 введений иммунотерапии пембролизумабом у пациента 38 лет с диагнозом метастатический колоректальный рак с признаками микросателлитной нестабильности; опухолевых клеток не выявлено
Fig. 12. Results of morphological examination: a - liver preparation (×200), b - intestine preparation (×20) against the background of 14 infusions of pembrolizumab immunotherapy in a 38-year-old patient diagnosed with metastatic MSI-H colorectal cancer; tumor cells were not detected
С целью оценки метаболической активности метастазов и первичной опухоли пациенту выполнено ПЭТ/КТ всего тела с 18-ФДГ: патологическая активность стенки среднеампулярного отдела прямой кишки 38,4 × 13,3 мм, SUV max 13,50 (рис. 13).
Рис. 13. Результаты позитронно-эмиссионной томографии с 18-ФДГ на фоне иммунотерапии пембролизумабом у пациента 38 лет с диагнозом метастатический колоректальный рак с признаками микросателлитной нестабильности; патологическая активность стенки среднеампулярного отдела прямой кишки 38,4 × 13,3 мм, SUV max 13,50 (март 2024 г.)
Fig. 13. Results of positron emission tomography with 18-FDG during immunotherapy with pembrolizumab in a 38-year-old patient diagnosed with metastatic MSI-H colorectal cancer; pathological activity of the wall of the mid-ampullary part of the rectum 38.4 × 13.3 mm, SUV max 13.50 (March 2024)
В настоящее время пациент продолжает получать иммунотерапию пембролизумабом, время без прогрессирования составило 18+ мес.
Обсуждение
В данной статье мы проанализировали клинико-морфологические характеристики опухолей желудка, ободочной и прямой кишки.
Общими характеристиками для вышеописанных опухолей являются: местно-распространенный характер процесса (T3-T4, N2-N3), осложненное течение заболевания, превалирующее выпадение белков РМS2, МLH1, прогрессирование и низкая частота достижения объективного ответа на фоне проводимой ПХТ, высокая эффективность ИТ в монорежиме или в комбинации с ПХТ (уровень контроля над заболеванием (65 % и 73,68 % для опухолей желудка и КРР соответственно), медиана выживаемости без прогрессирования у пациентов, завершивших лечение ингибиторами контрольных точек, не достигнута как в группе рака желудка, так и в группе колоректального рака [2, 3, 5, 6, 8, 9].
Для колоректального рака, ассоциированного с dMMR/MSI, в группе наших пациентов характерны преимущественно средний возраст манифестации заболевания и его первично-множественный характер (что, вероятно, обусловлено высокой распространенностью синдрома Линча в данной группе пациентов), связи локализации опухоли со статусом MSI нами выявлено не было [4, 6, 7].
При раке желудка, ассоциированном с dMMR/MSI, превалировали пациенты пожилого возраста, отмечена связь статуса MSI с локализацией опухоли в теле и антральном отделе, крайне редко встречалась локализация процесса в кардиальном отделе, что в целом не противоречит результатам многочисленных исследований [2, 4, 5].
Преобладания муцинозного/перстневидноклеточного компонента и ассоциации микросателлитной нестабильности со степенью дифференцировки опухоли в исследуемой группе не выявлено ни при раке желудка, ни при колоректальном раке.
Таким образом, опухоли с наличием dMMR/MSI представляют собой особую, отличную от MSS группу опухолей, причиной этому служит их высокая иммуногенность, обусловленная, в свою очередь, повышенным уровнем мутационной нагрузки, активной экспрессией молекул контрольных точек иммунитета, избыточной активацией и выраженной инфильтрацией микроокружения опухоли Т-лимфоцитами, что на практике объясняет характерное для данной группы опухолей обширное местное распространение, зачастую осложненное течение заболевания, и, соответственно, высокий уровень чувствительности к терапии ингибиторами контрольных точек иммунитета.
Заключение
Проведенное нами исследование позволило определить, что у большинства пациентов с колоректальным раком (72,2 %) и раком желудка (76,2 %) с наличием микросаттелитной нестабильности опухолевый процесс диагностируется в местно-распространенной стадии заболевания и пациенты получают комплексное радикальное лечение.
При наличии первично-метастатического процесса или при прогрессировании заболевания те пациенты, которым была назначена в рамках 1 линии лечения иммунотерапия или химио-иммунотерапия имели значимое преимущество по выживаемости без прогрессирования: медианы выживаемости без прогрессирования не достигнуты на момент среза данных и значимо отличаются от ВБП в группе пациентов, получавших противоопухолевую лекарственную терапию без добавления ингибиторов PD-1 (5,0 мес. (95 % ДИ 3,2-6,8; р = 0,002) у больных КРР и 8,0 мес. (95 % ДИ 5,7-10,3; р = 0,010) у больных раком желудка).
Широкое применение ИГХ тестирования в реальной клинической практике приводит к большему количеству случаев выявления опухолей, ассоциированных с dMMR/MSI. Высокая эффективность иммуноонкологического лечения у данной когорты больных широко изучена и не вызывает сомнений, однако некоторые вопросы ещё остаются нерешенными на практике, такие как: место и время хирургического метода лечения при достижении частичного или полного ответа на фоне иммунотерапии, наиболее эффективный метод оценки ответа с учетом механизма действия препаратов, оптимальная длительность лечения. В первом клиническом случае описана трудность подтверждения полного ответа заболевания, где кроме рентгенологических исследований потребовалось выполнение эндоскопического, морфологического, ПЭТ-КТ исследования. Второй и третий случаи открывают дискуссию о целесообразности хирургических вмешательств у пациентов при местно-распространенных нерезектабельных или олигометастатических процессах на фоне достигнутого ответа на фоне иммунотерапии. С одной стороны, имеется высокая вероятность достижения полного патоморфологического ответа (как в случае № 1), с другой стороны, при сохранении высокого метаболизма в опухолевых очагах, даже при отсутствии опухолевых клеток в гистологических биоптатах (как в случае № 3), есть вероятность сохранения жизнеспособной опухолевой ткани, что расширяет показания для возможных циторедуктивных вмешательств как с диагностической, так и с лечебной целью. Публикация серий клинических наблюдений позволяет расширить опыт практикующих онкологов и уточнить нюансы ведения пациентов с опухолями, ассоциированными с dMMR/MSI.
Таким образом, выявление сходных клинико-морфологических паттернов определяет потребность в тестировании опухоли на предмет dMMR/MSI и назначении высокоэффективного лечения.
Конфликт интересов
Авторы заявляют об отсутствии конфликта интересов.
Conflict of interest
The authors declare no conflict of interest.
Соблюдение прав пациентов и правил биоэтики
Исследование выполнено в соответствии с Хельсинкской декларацией ВМА в редакции 2013 г. Все пациенты, включенные в исследование, получали лечение в рамках рутинной практики после подписания информированного согласия на лечение. Пациенты подписали информированное согласие на публикацию своих данных.
Compliance with patient rights and principles of bioethics
The study was conducted in accordance with the 2WMA Helsinki Declaration, as amended in 2013. All included patients received treatment in routine clinical practice after giving an informed consent for the treatment. Patients gave written informed consent for the publication of their data.
Финансирование
Исследование не имело спонсорской поддержки.
Financing
The work was performed without external funding.
Участие авторов
Все авторы в равной степени участвовали в подготовке публикации: разработке концепции статьи, получении и анализе фактических данных, написании и редактировании текста статьи, проверке и утверждении текста статьи.
Все авторы одобрили финальную версию статьи перед публикацией, выразил(и) согласие нести ответственность за все аспекты работы, подразумевающую надлежащее изучение и решение вопросов, связанных с точностью или добросовестностью любой части работы.
Authors’ contributions
All authors contributed substantially to the preparation for publication, conception of the article, acquisition, analysis and interpretation of data, drafting and revision of the article and final approval of the version to be published.
All authors have approved the final version of the article prior to publication, agreed to assume responsibility for all aspects of the work, implying proper review and resolution of issues related to the accuracy or integrity of any part of the work.
About the authors
Natalia P. Belyak
Saint Petersburg State University; City Clinical Oncology Dispensary
Author for correspondence.
Email: drnpb@mail.ru
ORCID iD: 0000-0003-0402-6067
SPIN-code: 2937-4858
Russian Federation, Saint Petersburg; Saint Petersburg
Rashida V. Orlova
Saint Petersburg State University; City Clinical Oncology Dispensary
Email: drnpb@mail.ru
ORCID iD: 0000-0003-4447-9458
SPIN-code: 9932-6170
Russian Federation, Saint Petersburg; Saint Petersburg
Grigory A. Raskin
Saint Petersburg State University; Berezin Medical Institute
Email: drnpb@mail.ru
ORCID iD: 0000-0002-7522-6552
Russian Federation, Saint Petersburg; Saint Petersburg
Svetlana I. Kutukova
City Clinical Oncology Dispensary; First Pavlov State Medical University of Saint Petersburg
Email: drnpb@mail.ru
ORCID iD: 0000-0003-2221-4088
SPIN-code: 6735-6556
Russian Federation, Saint Petersburg; Saint Petersburg
Alexandra V. Androsova
Saint Petersburg State University; City Clinical Oncology Dispensary
Email: drnpb@mail.ru
ORCID iD: 0000-0001-7111-1507
SPIN-code: 8552-6219
Russian Federation, Saint Petersburg; Saint Petersburg
Natalia V. Smirnova
City Clinical Oncology Dispensary
Email: drnpb@mail.ru
ORCID iD: 0009-0006-3593-3646
Russian Federation, Saint Petersburg
Anna A. Varankina
City Clinical Oncology Dispensary
Email: drnpb@mail.ru
ORCID iD: 0009-0007-2182-5684
Russian Federation, Saint Petersburg
Sofia A. Natalenko
Saint Petersburg State University; City Clinical Oncology Dispensary
Email: drnpb@mail.ru
ORCID iD: 0009-0002-2823-3482
Russian Federation, Saint Petersburg; Saint Petersburg
References
- Мусаелян А.А., Оганян К.А., Назаров В.Д., et al. Микросателлитная нестабильность при раке желудка: основы и клиническое применение. Эффективная фармакотерапия. 2021; 17(30): 12-17.-DOI: https://doi.org/10.33978/2307-3586-2021-17-30-12-17. [Musaelyan A.A., Ohanyan K.A., Nazarov V.D., et al. Microsatellite instability in gastric cancer: fundamentals and clinical application. Effective Pharmacotherapy. 2021; 17(30): 12-17.-DOI: https://doi.org/10.33978/2307-3586-2021-17-30-12-17. (In Rus)].
- Оганян К.А., Мусаелян А.А., Котикова М.А., et al. Молекулярно-генетическая характеристика колоректального рака в зависимости от статуса микросателлитной нестабильности. Медицинский совет. 2022; 16(9): 139-146.-DOI: https://doi.org/10.21518/2079-701X-2022-16-9-139-146.-EDN: ADRJVH. [Oganyan K.A., Musaelyan A.A., Kotikova M.A., et al. Molecular genetic characteristics of colorectal cancer depending on the status of microsatellite instability. Meditsinskiy Sovet = Medical Council. 2022; (9): 139-46.-DOI: https://doi.org/10.21518/2079-701x-2022-16-9-139-146.-EDN: ADRJVH. (In Rus)].
- Geiersbach K.B., Samowitz W.S. Microsatellite instability and colorectal cancer. Arch Pathol Lab Med. 2011; 135(10): 1269-77.-DOI: https://doi.org/10.5858/arpa.2011-0035-ra.
- Swets M., Graham Martinez C., van Vliet S., et al. Microsatellite instability in rectal cancer: what does it mean? A study of two randomized trials and a systematic review of the literature. Histopathology. 2022; 81(3): 352-62.-DOI: https://doi.org/10.1111/his.14710.
- Puliga E., Corso S., Pietrantonio F., Giordano S. Microsatellite instability in gastric cancer: Between lights and shadows. Cancer Treat Rev. 2021; 95: 102175.-DOI: https://doi.org/10.1016/j.ctrv.2021.102175.
- Boland C.R., Goel A. Microsatellite instability in colorectal cancer. Gastroenterol. 2010; 138(6): 2073-2087.e3.-DOI: https://doi.org/10.1053/j.gastro.2009.12.064.
- Chao J., Fuchs C.S., Shitara K., et al. Assessment of pembrolizumab therapy for the treatment of microsatellite instability–high gastric or gastroesophageal junction cancer among patients in the KEYNOTE-059, KEYNOTE-061, and KEYNOTE-062 clinical trials. JAMA Oncology. 2021; 7(6): 895.-DOI: https://doi.org/10.1001/jamaoncol.2021.0275.
- Gong X.L., Zhao L. Immune checkpoint inhibitors in the treatment of colorectal cancer: a review of clinical trials. Zhonghua Wei Chang Wai Ke Za Zhi. 2022; 25(3): 205-213.-DOI: https://doi.org/10.3760/cma.j.cn441530-20211219-00509.
- Diaz L.A., Shiu K.K., Kim T.W., et al. Pembrolizumab versus chemotherapy for microsatellite instability-high or mismatch repair-deficient metastatic colorectal cancer (KEYNOTE-177): final analysis of a randomised, open-label, phase 3 study. Lancet Oncol. 2022; 23(5): 659-70.-DOI: https://doi.org/10.1016/s1470-2045(22)00197-8.
Supplementary files













