Comparative study of Wuhan-like and omicron-like variants of SARS-CoV-2 in experimental animal models
- Authors: Leneva I.A.1, Smirnova D.I.1, Kartashova N.P.1, Gracheva A.V.1, Ivanina A.V.1, Glubokova E.A.1, Korchevaya E.R.1, Pancratov A.A.2, Trunova G.V.2, Khokhlova V.A.2, Svitich O.A.1, Zverev V.V.1, Faizuloev E.B.1
-
Affiliations:
- Mechnikov Research Institute of Vaccines and Sera, Department of Virology
- Herzen Moscow Research Institute of Oncology of the Ministry of Health of Russia
- Issue: Vol 67, No 5 (2022)
- Pages: 439-449
- Section: ORIGINAL RESEARCHES
- URL: https://medbiosci.ru/0507-4088/article/view/118243
- DOI: https://doi.org/10.36233/0507-4088-135
- ID: 118243
Cite item
Full Text
Abstract
Introduction. The variability of SARS-CoV-2 appeared to be higher than expected, the emergence of new variants raises concerns.
The aim of the work was to compare the pathogenicity of the Wuhan and BA.1.1/Omicron variants in BALB/c mice and Syrian hamsters.
Materials and methods. The study used strains of SARS-CoV-2: Dubrovka phylogenetically close to Wuhan-Hu-1, and LIA phylogenetically close to Omicron, BALB/c mice, transgenic mice B6.Cg-Tg(K18-ACE2)2Prlmn/HEMI Hemizygous for Tg(K18-ACE2)2Prlmn, Syrian golden hamsters. Animals were infected intranasally, pathogenicity was estimated by a complex of clinical, pathomorphological and virological methods.
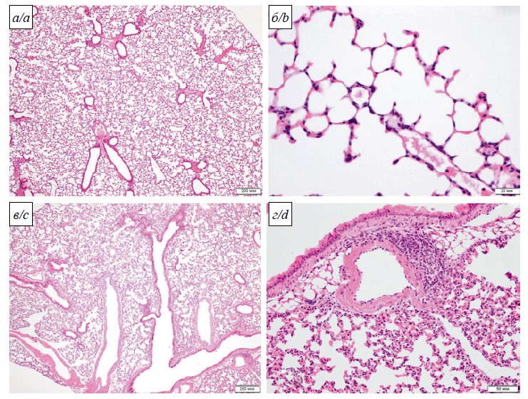
Results. Comparative studies of SARS-CoV-2 Dubrovka and LIA strains on animal models demonstrated their heterogeneous pathogenicity. In parallel infection of BALB/c mice with Dubrovka and LIA variants, the infection proceeded without serious clinical signs and lung damage. Infection with the LIA strain resulted to a systemic disease with a high concentration of viral RNA in the lungs and brain tissues of animals. The presence of viral RNA in mice infected with the Dubrovka strain was transient and undetectable in the lungs by day 7 post-infection. Unlike the mouse model, in hamsters, the Dubrovka strain had a greater pathogenicity than the LIA strain. In hamsters infected with the Dubrovka strain lung lesions were more significant, and the virus spread through organs, in particular in brain tissue, was observed. In hamsters infected with the LIA strain virus was not detected in brain tissue.
Conclusion. The study of various variants of SARS-CoV-2 in species initially unsusceptible to SARS-CoV-2 infection is important for monitoring zoonotic reservoirs that increase the risk of spread of new variants in humans.
Full Text
##article.viewOnOriginalSite##About the authors
Irina A. Leneva
Mechnikov Research Institute of Vaccines and Sera, Department of Virology
Author for correspondence.
Email: wnyfd385@yandex.ru
ORCID iD: 0000-0002-7755-2714
PhD (Bio.), head of Laboratory of Experimental Virology
Russian Federation, 105064, MoscowDaria I. Smirnova
Mechnikov Research Institute of Vaccines and Sera, Department of Virology
Email: daria.sm.1995@mail.ru
ORCID iD: 0000-0001-7325-0834
junior researcher, Laboratory of Molecular Virology
Russian Federation, 105064, MoscowNadezhda P. Kartashova
Mechnikov Research Institute of Vaccines and Sera, Department of Virology
Email: nadezdakartasova10571@gmail.com
ORCID iD: 0000-0003-2096-5080
researcher, Laboratory of Experimental Virology
Russian Federation, 105064, MoscowAnastasiia V. Gracheva
Mechnikov Research Institute of Vaccines and Sera, Department of Virology
Email: anastasiia.gracheva.95@mail.ru
ORCID iD: 0000-0001-8428-4482
junior researcher, Laboratory of Molecular Virology
Russian Federation, 105064, MoscowAnna V. Ivanina
Mechnikov Research Institute of Vaccines and Sera, Department of Virology
Email: ivanina.anna97@mail.ru
ORCID iD: 0000-0002-7289-693X
research laboratory assistant, Laboratory of Experimental Virology
Russian Federation, 105064, MoscowEkaterina A. Glubokova
Mechnikov Research Institute of Vaccines and Sera, Department of Virology
Email: eaglubokova@yandex.ru
ORCID iD: 0000-0002-5925-9733
junior researcher, Laboratory of Experimental Virology
Russian Federation, 105064, MoscowEkaterina R. Korchevaya
Mechnikov Research Institute of Vaccines and Sera, Department of Virology
Email: c.korchevaya@gmail.com
ORCID iD: 0000-0002-6417-3301
junior researcher, Laboratory of Molecular Virology
Russian Federation, 105064, MoscowAndrey A. Pancratov
Herzen Moscow Research Institute of Oncology of the Ministry of Health of Russia
Email: andreimnioi@yandex.ru
ORCID iD: 0000-0001-7291-9743
PhD, Head of the Department of Experimental Pharmacology and Toxicology
Russian Federation, 125284, MoscowGalina V. Trunova
Herzen Moscow Research Institute of Oncology of the Ministry of Health of Russia
Email: gtrunovamnioi@mail.ru
ORCID iD: 0000-0003-2917-4496
PhD, senior researcher of the Department of Experimental Pharmacology and Toxicology
Russian Federation, 125284, MoscowVarvara A. Khokhlova
Herzen Moscow Research Institute of Oncology of the Ministry of Health of Russia
Email: nostocus@yandex.ru
ORCID iD: 0000-0002-0339-2068
junior researcher of the Department of Experimental Pharmacology and Toxicology
Russian Federation, 125284, MoscowOksana A. Svitich
Mechnikov Research Institute of Vaccines and Sera, Department of Virology
Email: svitichoa@yandex.ru
ORCID iD: 0000-0003-1757-8389
D. Sci. (Med.), Prof., Corresponding Member of RAS, Head, Laboratory of molecular immunology, Director
Russian Federation, 105064, MoscowVitaly V. Zverev
Mechnikov Research Institute of Vaccines and Sera, Department of Virology
Email: vitalyzverev@outlook.com
ORCID iD: 0000-0001-5808-2246
D. Sci. (Biol.), Prof., Academician of RAS, Head, Laboratory of molecular biotechnology
Russian Federation, 105064, MoscowEvgeny B. Faizuloev
Mechnikov Research Institute of Vaccines and Sera, Department of Virology
Email: faizuloev@mail.ru
ORCID iD: 0000-0001-7385-5083
PhD (Biol.), Head of Molecular Virology Laboratory
Russian Federation, 105064, MoscowReferences
- Holmes E.C., Goldstein S.A., Rasmussen A.L., Robertson D.L., Crits-Christoph A., Wertheim J.O., et al. The origins of SARS-CoV-2: A critical review. Cell. 2021; 184(19): 4848–56. https://doi.org/10.1016/j.cell.2021.08.017
- Rasmussen A.L. On the origins of SARS-CoV-2. Nat. Med. 2021; 27(1): 9. https://doi.org/10.1038/s41591-020-01205-5
- Trinité B., Pradenas E., Marfil S., Rovirosa C., Urrea V., TarrésFreixas F., et al. Previous SARS-CoV-2 infection increases B.1.1.7 cross-neutralization by vaccinated individuals. Viruses. 2021; 13(6): 1135. https://doi.org/10.3390/v13061135
- Wang P., Nair M.S., Liu L., Iketani S., Luo Y., Guo Y., et al. Antibody resistance of SARS-CoV-2 variants B.1.351 and B.1.1.7. Nature. 2021; 593(7857): 130–5. https://doi.org/10.1038/s41586-021-03398-2
- Mullen J.L., Tsueng G., Latif A.A., Alkuzweny M., Cano M., Haag E., et al. Center for Viral Systems Biology. Outbreak.info. 2020. Available at: https://outbreak.info/
- Wang R., Chen J., Gao K., Hozumi Y., Yin C., Wei G.W. Analysis of SARS-CoV-2 mutations in the United States suggests presence of four substrains and novel variants. Commun. Biol. 2021; 4(1): 228. https://doi.org/10.1038/s42003-021-01754-6
- Dejnirattisai W., Zhou D., Supasa P., Liu C., Mentzer A.J., Ginn H.M., et al. Antibody evasion by the P.1 strain of SARS-CoV-2. Cell. 2021; 184(11): 2939–54.e9. https://doi.org/10.1016/j.cell.2021.03.055
- Planas D., Bruel T., Grzelak L., Guivel-Benhassine F., Staropoli I., Porrot F., et al. Sensitivity of infectious SARS-CoV-2 B.1.1.7 and B.1.351 variants to neutralizing antibodies. Nat. Med. 2021; 27(5): 917–24. https://doi.org/10.1038/s41591-021-01318-5
- Dhar M.S., Marwal R., Vs R., Ponnusamy K., Jolly B., Bhoyar R.C., et al. Genomic characterization and epidemiology of an emerging SARS-CoV-2 variant in Delhi, India. Science. 2021; 374(6570): 995–9. https://doi.org/10.1126/science.abj9932
- Parums D. Editorial: Revised World Health Organization (WHO) terminology for variants of concern and variants of interest of SARS-CoV-2. Med. Sci. Monit. 2021; 27: e933622. https://doi.org/10.12659/MSM.933622
- Karim S.S.A., Karim Q.A. Omicron SARS-CoV-2 variant: a new chapter in the COVID-19 pandemic. Lancet. 2021; 398(10317): 2126–8. https://doi.org/10.1016/S0140-6736(21)02758-6
- Allen H., Tessier E., Turner C., Anderson C., Blomquist P., Simons D., et al. Comparative transmission of SARS-CoV-2 Omicron (B.1.1.529) and Delta (B.1.617.2) variants and the impact of vaccination: national cohort study, England. medRxiv. 2022. Preprint. https://doi.org/10.1101/2022.02.15.22271001
- Lambrou A.S., Shirk P., Steele M.K., Paul P., Paden C.R., Cadwell B., et al. Genomic surveillance for SARS-CoV-2 variants: Predominance of the Delta (B.1.617.2) and omicron (B.1.1.529) variants – United States, June 2021 – January 2022. MMWR Morb. Mortal. Wkly Rep. 2022; 71(6): 206–11. https://doi.org/10.15585/mmwr.mm7106a4
- Petersen E., Ntoumi F., Hui D.S., Abubakar A., Kramer L.D., Obiero C., et al. Emergence of new SARS-CoV-2 Variant of Concern Omicron (B.1.1.529) – highlights Africa’s research capabilities, but exposes major knowledge gaps, inequities of vaccine distribution, inadequacies in global COVID-19 response and control efforts. Int. J. Infect. Dis. 2022; 114: 268–72. https://doi.org/10.1016/j.ijid.2021.11.040
- Andrews N., Stowe J., Kirsebom F., Toffa S., Rickeard T., Gallagher E., et al. Covid-19 vaccine effectiveness against the omicron (B.1.1.529) variant. N. Engl. J. Med. 2022; 386(16): 1532–46. https://doi.org/10.1056/NEJMoa2119451
- Grabowski F., Kochańczyk M., Lipniacki T. The spread of SARS-CoV-2 variant omicron with a doubling time of 2.0-3.3 days can be explained by immune evasion. Viruses. 2022; 14(2): 294. https://doi.org/10.3390/v14020294
- Liu L., Iketani S., Guo Y., Chan J.F.W., Wang M., Liu L., et al. Striking antibody evasion manifested by the Omicron variant of SARS-CoV-2. Nature. 2022; 602(7898): 676–81. https://doi.org/10.1038/s41586-021-04388-0
- Planas D., Saunders N., Maes P., Guivel-Benhassine F., Planchais C., Buchrieser J., et al. Considerable escape of SARS-CoV-2 Omicron to antibody neutralization. Nature. 2022; 602(7898): 671–5. https://doi.org/10.1038/s41586-021-04389-z
- Conceicao C., Thakur N., Human S., Kelly J.T., Logan L., Bialy D., et al. The SARS-CoV-2 Spike protein has a broad tropism for mammalian ACE2 proteins. PLoS Biol. 2020; 18(12): e3001016. https://doi.org/10.1371/journal.pbio.3001016
- Liu Y., Hu G., Wang Y., Ren W., Zhao X., Ji F., et al. Functional and genetic analysis of viral receptor ACE2 orthologs reveals a broad potential host range of SARS-CoV-2. Proc. Natl Acad. Sci. USA. 2021; 118(12): e2025373118. https://doi.org/10.1073/pnas.2025373118
- Gretebeck L.M., Subbarao K. Animal models for SARS and MERS coronaviruses. Curr. Opin. Virol. 2015; 13: 123–9. https://doi.org/10.1016/j.coviro.2015.06.009
- Garry R.F. Mutations arising in SARS-CoV-2 spike on sustained human-to-human transmission and human-to-animal passage. Virological. 2021. Available at: https://virological.org/t/mutations-arising-in-sars-cov-2-spike-on-sustained-human-to-human-transmission-and-human-to-animal-passage/578/14
- Bao L., Deng W., Huang B., Gao H., Liu J., Ren L., et al. The pathogenicity of SARS-CoV-2 in hACE2 transgenic mice. Nature. 2020; 583(7818): 830–3. https://doi.org/10.1038/s41586-020-2312-y
- Kant R., Kareinen L., Smura T., Freitag T.L., Jha S.K., Alitalo K., et al. Common laboratory mice are susceptible to infection with the SARS-CoV-2 beta variant. Viruses. 2021; 13(11): 2263. https://doi.org/10.3390/v13112263
- Montagutelli X., Prot M., Levillayer L., Salazar E.B., Jouvion G., Conquet L., et al. bioRxiv. 2021. Preprint. https://doi.org/10.1101/2021.03.18.436013
- Shuai H., Chan J.F.W., Yuen T.T.T., Yoon C., Hu J.C., Wen L., et al. Emerging SARS-CoV-2 variants expand species tropism to murines. EBioMedicine. 2021; 73: 103643. https://doi.org/10.1016/j.ebiom.2021.103643
- Zhang Y.N., Zhang Z.R., Zhang H.Q., Li N., Zhang Q.Y., Li X.D., et al. Different pathogenesis of SARS-CoV-2 Omicron variant in wild-type laboratory mice and hamsters. Signal Transduct. Target. Ther. 2022 Feb 25; 7(1): 62. https://doi.org/10.1038/s41392-022-00930-2
- Imai M., Iwatsuki-Horimoto K., Hatta M., Loeber S., Halfmann PJ., Nakajima N., et al. Syrian hamsters as a small animal model for SARS-CoV-2 infection and countermeasure development. Proc. Natl Acad. Sci USA. 2020; 117(28): 16587–95. https://doi.org/10.1073/pnas.2009799117
- Gracheva A.V., Korchevaya E.R., Kudryashova A.M., Borisova O.V., Petrusha O.A., Smirnova D.I., et al. Adaptation of the MTT assay for detection of neutralizing antibodies against the SARS-CoV-2 virus. Zhurnal mikrobiologii, epidemiologii i immunobiologii. 2021; 98(3): 253–65. https://doi.org/10.36233/0372-9311-136 (in Russian)
- Ramakrishnan M.A. Determination of 50% endpoint titer using a simple formula. World J. Virol. 2016; 5(2): 85–6. https://doi.org/10.5501/wjv.v5.i2.85
- Gracheva A.V., Korchevaya E.R., Ammour Y.I., Smirnova D.I., Sokolova O.S., Glukhov G.S., et al. Immunogenic properties of SARS-CoV-2 inactivated by ultraviolet light. Arch. Virol. 2022; 167(11): 2181–91. https://doi.org/10.1007/s00705-022-05530-7
- Meng B., Abdullahi A., Ferreira I.A.T.M., Goonawardane N., Saito A., Kimura I., et al. Altered TMPRSS2 usage by SARS-CoV-2 Omicron impacts infectivity and fusogenicity. Nature. 2022; 603(7902): 706–14. https://doi.org/10.1038/s41586-022-04474-x
- Suzuki R., Yamasoba D., Kimura I., Wang L., Kishimoto M., Ito J., et al. Attenuated fusogenicity and pathogenicity of SARS-CoV-2 Omicron variant. Nature. 2022; 603(7902): 700–5. https://doi.org/10.1038/s41586-022-04462-1
- Kim Y.I., Kim S.G., Kim S.M., Kim E.H., Park S.J., Yu K.M., et al. Infection and rapid transmission of SARS-CoV-2 in ferrets. Cell Host Microbe. 2020; 27(5): 704–9.e2. https://doi.org/10.1016/j.chom.2020.03.023
Supplementary files






