А Method for the Quantitative Determination of the Active Receptor of Beta-lactam Antibiotics BlaR-CTD for Bioanalytical Applications
- Authors: Serchenya T.S.1, Semizhon P.A.2, Schaslionak E.P.2, Harbachova I.V.1, Vashkevich I.I.1, Sviridov O.V.1
-
Affiliations:
- Institute of Bioorganic Chemistry of National Academy of Sciences of Belarus
- Republican Research and Practical Center for Epidemiology and Microbiology
- Issue: Vol 59, No 1 (2023)
- Pages: 81-95
- Section: Articles
- URL: https://medbiosci.ru/0555-1099/article/view/138748
- DOI: https://doi.org/10.31857/S0555109923010105
- EDN: https://elibrary.ru/CVMIEW
- ID: 138748
Cite item
Full Text
Abstract
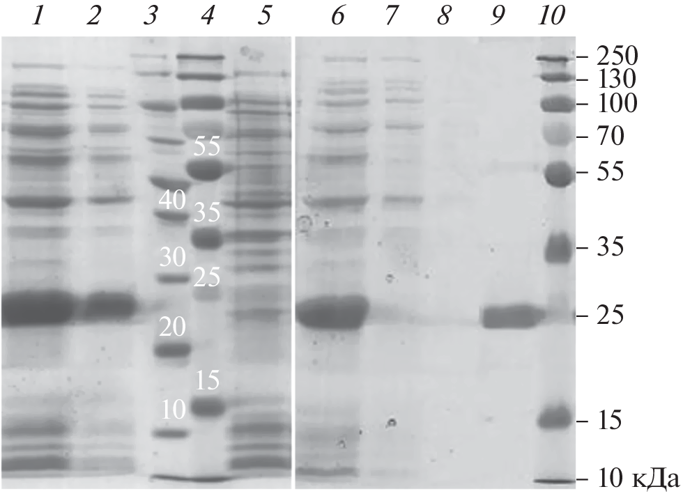
A sandwich bioassay for the quantitative determination of the recombinant beta-lactam receptor BlaR-CTD possessing ligand binding activity and immunoreactivity has been developed. In the bioassay system, BlaR-CTD present in a biological liquid or standard sample binds via its receptor site to ampicillin immobilized in a microplate well and interacts through the epitopes of its peripheral structure with specific polyclonal antibodies. The analytical sensitivity of the method proved to be 2 ng/mL, and its concentration range was 5–215 ng/mL. In the processes of heterological expression, isolation and reagent forms preparation, the biological activity of BlaR-CTD was monitored and its stability was evaluated. High purity recombinant beta-lactam receptor BlaR-CTD was obtained. The protein was shown to have a sufficiently high resistance to denaturation by chaotropic agents (urea and guanidine hydrochloride), and it was stable over a wide pH range. Also, we proposed the constructions and procedures of competitive bioassays for beta-lactam antibiotics using microplates (analytical sensitivity – 0.02 ng/mL, IC50 = 0.28 ng/mL) or chromatographic test-strips (detection limit 1–2 ng/mL), which are based on the receptor and antigenic properties of BlaR-CTD.
About the authors
T. S. Serchenya
Institute of Bioorganic Chemistry of National Academy of Sciences of Belarus
Author for correspondence.
Email: serchenya@tut.by
Belarus, 220141, Minsk
P. A. Semizhon
Republican Research and Practical Center for Epidemiology and Microbiology
Email: serchenya@tut.by
Belarus, 220114, Minsk
E. P. Schaslionak
Republican Research and Practical Center for Epidemiology and Microbiology
Email: serchenya@tut.by
Belarus, 220114, Minsk
I. V. Harbachova
Institute of Bioorganic Chemistry of National Academy of Sciences of Belarus
Email: serchenya@tut.by
Belarus, 220141, Minsk
I. I. Vashkevich
Institute of Bioorganic Chemistry of National Academy of Sciences of Belarus
Email: serchenya@tut.by
Belarus, 220141, Minsk
O. V. Sviridov
Institute of Bioorganic Chemistry of National Academy of Sciences of Belarus
Email: serchenya@tut.by
Belarus, 220141, Minsk
References
- Сазыкин И.С., Хмелевцова Л.Е., Селиверстова Е.Ю., Сазыкина М.А. // Прикл. биохимия и микробиология. 2021. Т. 57. № 1. С. 24–35. https://doi.org/10.31857/S0555109921010335
- Kantiani L., Farre M., Barcelo D. // Trends Anal. Chem. 2009. V. 28. № 6. P. 729–744. https://doi.org/10.1016/j.trac.2009.04.005P
- Dzantiev B.B., Byzova N.A., Urusov A.E., Zherdev A.V. // Trends Anal. Chem. 2014. V. 55. P. 81–93. https://doi.org/10.1016/j.trac.2013.11.007
- Ahmed S., Ning J., Peng D., Chen T., Ahmad I., Ali A., Lei Z, Shabbir M.A., Cheng G., Yuan Z. // Food Agric. Immunol. 2020. V. 31. №. 1. P. 268–290. https://doi.org/10.1080/09540105.2019.1707171
- Decision of the EEC Board of February 13, 2018 N 28. https://docs.eaeunion.org/docs/ru-ru/01217013/clcd_15022018_28.
- European Commission. Commission Regulation (EU) No 37/2010 of 22 December 2009 on Pharmacologically Active Substances and their Classification Regarding Maximum Residue Limits in Foodstuffs of Animal Origin. // Official Journal of the European Union. 2010. L 15/10. https://ec.europa.eu/health/sites/health/files/-files/eudralex/vol-5/reg_2010_37/reg_2010_37_en.pdf.
- Strasser A., Usleber E., Schneider E., Dietrich R., Bürk C., Märtlbauer E. // Food Agric. Immunol. 2003. V. 15. № 2. P. 135–143. https://doi.org/10.1080/09540100400003493
- Cliquet P., Goddeeris B.M., Okerman L., Cox E. // Food Agric. Immunol. 2007. V. 18. № 3–4. P. 237–252. https://doi.org/10.1080/09540100701802908
- Bremus A., Dietrich R., Dettmar L., Usleber E., Märtlbauer E. // Anal. Bioanal. Chem. 2012. V. 403. № 2. P. 503–515. https://doi.org/10.1007/s00216-012-5750-z
- Jiao S.N., Wang P., Zhao G.X., Zhang H.C., Liu J., Wang J.P. // J. Environ. Sci. Health. B. 2013. V. 48. № 6. P. 486–494. https://doi.org/10.1080/03601234.2013.761908
- Kuprienko O.S., Serchenya T.S., Vashkevich I.I., Harbachova I.V., Zilberman A.I., Sviridov O.V. // Russ. J. Bioorg. Chem. 2022. V. 48. № 1. P. 105–114. https://doi.org/10.1134/S106816202201006X
- Chambers S.J., Wyatt G.M., Morgan M.R. // Anal Biochem. 2001. V. 288. № 2. P. 149–155. https://doi.org/10.1006/abio.2000.4883
- Macheboeuf P., Contreras-Martel C., Job V., Dideberg O., Dessen A. // FEMS Microbiol. Rev. 2006. V. 30. № 5. P. 673–691. https://doi.org/10.1111/j.1574-6976.2006.00024.x
- Sauvage E., Kerff F., Terrak M., Ayala J.A., Charlier P. // FEMS Microbiol. Rev. 2008. V. 32. № 3. P. 234–258. https://doi.org/10.1111/j.1574-6976.2008.00105.x
- Zeng K., Zhang J., Wang Y., Wang Z.H., Zhang S.X., Wu C.M., Shen J.Z. // Biomed. Environ. Sci. 2013. V. 26. № 2. P. 100–109. https://doi.org/10.3967/0895-3988.2013.02.004
- Chen Y., Wang Y., Liu L., Wu X., Xu L., Kuang H., Li A., Xu C. // Nanoscale. 2015. V. 7. № 39. P. 16381–16388. https://doi.org/10.1039/c5nr04987c
- Serchenya T.S., Harbachova I.V., Sviridov O.V. // Russ. J. Bioorg. Chem. 2022. V. 48. № 1. P. 85–95. https://doi.org/10.1134/S1068162022010125
- Moon T.M., D’Andréa E.D., Lee C.W., Soares A., Jakoncic J., Desbonnet C. et al. // J. Biol. Chem. 2018. V. 293. № 48. P. 18574–18584. https://doi.org/10.1074/jbc.RA118.006052
- Zhu Y.F., Curran I.H., Joris B., Ghuysen J.M., Lampen J.O. // J. Bacteriol. 1990. V. 172. № 2. P. 1137–1141. https://doi.org/10.1128/jb.172.2.1137-1141.1990
- Joris B., Ledent P., Kobayashi T., Lampen J.O., Ghuysen J.M. // FEMS Microbiology Letters. 1990. V. 70. № 1. P. 107–113. https://doi.org/10.1016/0378-1097(90)90111-3
- Duval V., Swinnen M., Lepage S., Brans A., Granier B., Franssen C., Frère J.-M., Joris B. // Mol. Microbiol. 2003. V. 48. № 6. P. 1553–1564. https://doi.org/10.1046/j.1365-2958.2003.03520.x
- Kerff F., Charlier P., Colombo M.-L., Sauvage E., Brans A., Frère J.-M., Joris B., Fonzè E. // Biochemistry. 2003. V. 42. № 44. P. 12835–12843. https://doi.org/10.1021/bi034976a
- Golemi-Kotra D., Cha J.Y., Meroueh S.O., Vakulenko S.B., Mobashery S. // J. Biol. Chem. 2003. V. 278. № 20. P. 18419–18425. https://doi.org/10.1074/jbc.M300611200
- Peng J., Cheng G., Huang L., Wang Y., Hao H., Peng D., Liu Z., Yuan Z. // Anal. Bioanal. Chem. 2013. V. 405. № 27. P. 8925–8933. https://doi.org/10.1007/s00216-013-7311-5
- Ning J., Ahmed S., Cheng G., Chen T., Wang Y., Peng D., Yuan Z. // J. Biological Engineering. 2019. V. 13. № 1. P. 27–43. https://doi.org/10.1186/s13036-019-0157-4
- Lia Y., Xua X., Liua L., Kuanga H., Xua L., Xu C. // Analyst. 2020. V. 145. № 9. P. 3257–3265. https://doi.org/10.1039/d0an00421a
- Li Y., Liu L., Xu C., Kuang H., Sun L. // Sci. China Mater. 2021. V. 64. № 8. P. 2056–2066. https://doi.org/10.1007/s40843-020-1578-0
- Wang G., Zhang H.C., Liu J., Wang J.P. // Anal. Biochem. 2019. V. 564–565. P. 40–46. https://doi.org/10.1016/j.ab.2018.10.017
- Clos J., Brandau S. // Protein Expr. Purif. 1994. V. 5. № 2. P. 133–137. https://doi.org/10.1006/prep.1994.1020
- Frens G. // Nature Physical Science. 1973. V. 241. № 105. P. 20–22. https://doi.org/10.1038/physci241020a0
- Byzova N.A., Zvereva E.A., Zherdev A.V., Dzantiev B.B. // Appl. Biochem. Microbiol. 2011. V. 47. № 6. P. 627–634. https://doi.org/10.1134/S0003683811060032
Supplementary files









