Получение растворимого интерферона гамма человека в системе экспрессии Escherichia coli при снижении температуры культивирования
- Авторы: Волосникова Е.А.1, Есина Т.И.1, Щербаков Д.Н.1, Волкова Н.В.1, Гогина Я.С.1, Терещенко Т.А.1, Даниленко Е.Д.1
-
Учреждения:
- Государственный научный центр вирусологии и биотехнологии “Вектор” Роспотребнадзора
- Выпуск: Том 59, № 2 (2023)
- Страницы: 167-173
- Раздел: Статьи
- URL: https://medbiosci.ru/0555-1099/article/view/138755
- DOI: https://doi.org/10.31857/S0555109923020174
- EDN: https://elibrary.ru/LVLPXU
- ID: 138755
Цитировать
Полный текст
Аннотация
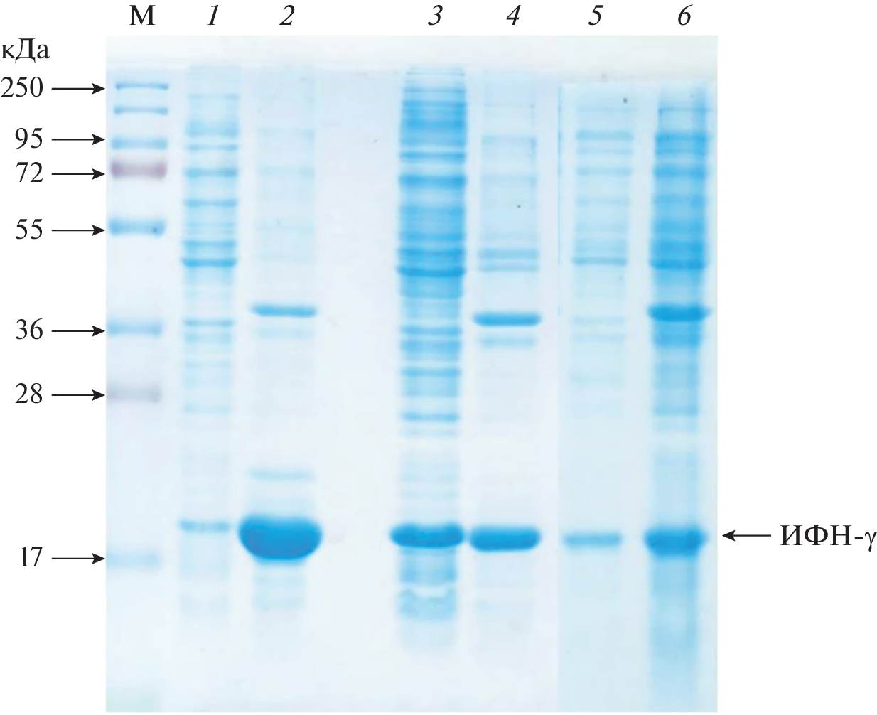
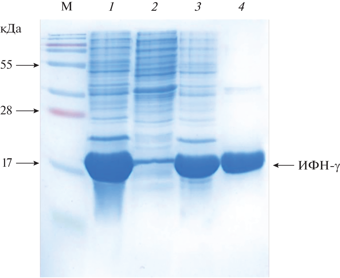
Сконструирован рекомбинантный штамм–продуцент интерферона гамма человека (ИФН-γ) E. coli BL 21/pЕТ-IFN-γ, обеспечивающий высокий уровень его экспрессии. Разработан способ получения растворимой формы рекомбинантного ИФН-γ, включающий наработку биомассы штамма-продуцента, содержащего целевой белок в количестве 32–37% от общего содержания клеточных белков, из которых 15–17% в растворимой форме, выделение и очистку белка. Процесс выделения и очистки включал стадии дезинтеграции, осветление лизата клеток, хроматографической очистки и диализа. Разработанный способ позволил получить из 1 г влажной биомассы до 5 мг препарата с чистотой не менее 95% и высокой специфической (противовирусной) активностью.
Об авторах
Е. А. Волосникова
Государственный научный центр вирусологии и биотехнологии “Вектор” Роспотребнадзора
Автор, ответственный за переписку.
Email: volosnikova_ea@vector.nsc.ru
Россия, 630559, Новосибирская обл., р. п. Кольцово
Т. И. Есина
Государственный научный центр вирусологии и биотехнологии “Вектор” Роспотребнадзора
Email: volosnikova_ea@vector.nsc.ru
Россия, 630559, Новосибирская обл., р. п. Кольцово
Д. Н. Щербаков
Государственный научный центр вирусологии и биотехнологии “Вектор” Роспотребнадзора
Email: volosnikova_ea@vector.nsc.ru
Россия, 630559, Новосибирская обл., р. п. Кольцово
Н. В. Волкова
Государственный научный центр вирусологии и биотехнологии “Вектор” Роспотребнадзора
Email: volosnikova_ea@vector.nsc.ru
Россия, 630559, Новосибирская обл., р. п. Кольцово
Я. С. Гогина
Государственный научный центр вирусологии и биотехнологии “Вектор” Роспотребнадзора
Email: volosnikova_ea@vector.nsc.ru
Россия, 630559, Новосибирская обл., р. п. Кольцово
Т. А. Терещенко
Государственный научный центр вирусологии и биотехнологии “Вектор” Роспотребнадзора
Email: volosnikova_ea@vector.nsc.ru
Россия, 630559, Новосибирская обл., р. п. Кольцово
Е. Д. Даниленко
Государственный научный центр вирусологии и биотехнологии “Вектор” Роспотребнадзора
Email: volosnikova_ea@vector.nsc.ru
Россия, 630559, Новосибирская обл., р. п. Кольцово
Список литературы
- Pandey R., Prabhu A.A., Dasu V.V. // Separation Science and Technology. 2018. V. 53. № 3. P. 487–495. https://doi.org/10.1080/01496395.2017.1395463
- Razaghi A., Owens L., Heimann K. // J. Biotechnol. 2016. V. 240. P. 48–60. https://doi.org/10.1016/j.jbiotec.2016.10.022
- Khalilzadeh R., Shojaosadati S.A., Bahrami A., Maghsoudi N. // Biotechnology Letters. 2003. V. 25. № 23. P. 1989–1992. https://doi.org/10.1023/b:bile.0000004390.98648.25
- Rosano G.L., Ceccarelli E.A. // Front. Microbiol. 2014. V. 5. P. 172. https://doi.org/10.3389/fmicb.2014.00172
- Malhotra A. // Methods in Enzymol. 2009. V. 463. P. 239–258. https://doi.org/10.1016/S0076-6879(09)63016-0
- Leibly D.J., Nguyen T.N., Kao L.T., Hewitt S.N., Barrett L.K., Van Voorhis W.C. // PlOS ONE. 2012. V. 7. №. 12. P. e52482. https://doi.org/10.1371/journal.pone.0052482
- Tileva M., Krachmarova E., Ivanov I., Maskos K., Nacheva G. // Protein Expr. Purif. 2016. V. 117. P. 26–34. https://doi.org/10.1016/j.pep.2015.09.022
- Государственная фармакопея РФ XIV изд. Т.2. ОФС.1.7.2.0002.15 Биологические методы испытания препаратов интерферона с использованием культур клеток. С. 2740–2749. https://femb.ru/record/pharmacopea14
- Хайруллин Р.Ф. Экспрессия рекомбинантных белков в E. coli: учебн. пособие. / Ред. Р.Ф. Хайруллин, Р.Г. Киямова, А.А. Ризванов. Казань: Изд-во Казанского ун-та, 2018. 142 с.
- Закабунин А.И., Барановская Г.А., Пустошилова Н.М., Майстренко В.Ф., Гаврюченкова Л.П., Громова О.А. Способ получения рекомбинантного интерферона – гамма человека. Патент РФ. 1999. № 2132386.
Дополнительные файлы





