Cyclodextrin Glucanotransferase of Alkalophilic Strain Caldalkalibacillus mannanilyticus IB-OR17-B1
- Authors: Milman P.Y.1, Gilvanova E.A.1, Aktuganov G.E.1
-
Affiliations:
- Institute of Biology of Ufa Federal Research Centre of the RAS
- Issue: Vol 59, No 5 (2023)
- Pages: 472-482
- Section: Articles
- URL: https://medbiosci.ru/0555-1099/article/view/138814
- DOI: https://doi.org/10.31857/S0555109923050124
- EDN: https://elibrary.ru/UAFGUR
- ID: 138814
Cite item
Full Text
Abstract
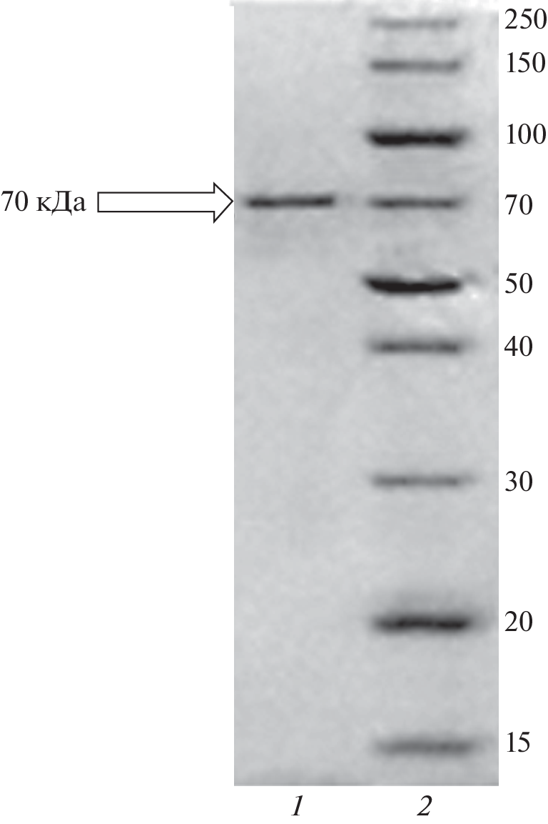
Extracellular cyclodextrin glucanotransferase (CGTase, K.F.2.1.19) was characterized for the first time in a strain of bacteria of the species Caldalkalibacillus mannanilyticus IB-OR17-B1. The enzyme was isolated from the culture supernatant using ultrafiltration and affinity adsorption on corn starch. The specific activity of the CGTase was increased in 18-fold as a result of purification with the enzyme yield 56%. The molecular mass of the purified enzyme was 70 kDa according to the denaturing electrophoresis in polyacrylamide gel. The CGTase of C. mannanilyticus IB-OR17-B1 demonstrated a maximal cyclizing activity under pH 8 and temperature 60°C, respectively, and it was stable in the pH range 7–10 and temperatures ≤70°C. The thermal stability of the enzyme under 70°C increased by 10–15% in the presence 5–10 mM of calcium and magnesium salts. The cations of Ag+, Cu2+, Zn2+, Fe2+ and Fe3+ in concentration 5 mM inhibited a CGTase activity by 90, 26, 23, 18 and 11%, respectively. The purified CGTase under optimal conditions and enzyme-substrate ratio 1 U/g converted a potato starch during 24 h to mixture of α-, β- and γ-cyclodextrins with mass ratio 38.8 : 52.6 : 8.6 and yield 42%.
About the authors
P. Yu. Milman
Institute of Biology of Ufa Federal Research Centre of the RAS
Email: gleakt@anrb.ru
Russia, 450054, Ufa
E. A. Gilvanova
Institute of Biology of Ufa Federal Research Centre of the RAS
Email: gleakt@anrb.ru
Russia, 450054, Ufa
G. E. Aktuganov
Institute of Biology of Ufa Federal Research Centre of the RAS
Author for correspondence.
Email: gleakt@anrb.ru
Russia, 450054, Ufa
References
- Jemli S., Messaoud E., Ayadi-Zouari D., Naili B., Khemakhem B., Bejar S. // Biochem. Eng. J. 2007. V. 34. № 1. P. 44–50. https://doi.org/10.1016/j.bej.2006.11.016
- Aroob I., Ahmad N., Rashid N. // Amylase. 2021. V. 5. № 1. P. 23–37. https://doi.org/10.1515/amylase-2021-0003
- Kurkov S.V., Loftsson T. // Int. J. Pharm. 2013. V. 453. № 1. P. 167–180. https://doi.org/10.1016/j.ijpharm.2012.06.055
- Astray G., Gonzalez-Barreiro C., Mejuto J., Rial-Otero R., Simal-Gándara J. // Food Hydrocoll. 2009. V. 23. № 7. P. 1631–1640. https://doi.org/10.1016/j.foodhyd.2009.01.001
- Abdel-Naby M.A., El-Refai H.A., Abdel-Fattah A.F. // J. Appl. Microbiol. 2011. V. 111. № 5. P. 1129–1137. https://doi.org/10.1111/j.1365-2672.2011.05136.x
- Szejtli J. Cyclodextrin Technology – Topics in Inclusion Science. / Netherlands: Springer Science & Business Media, 2013. 450 p. https://doi.org/10.1007/978-94-015-7797-7
- Czinkoczky R., Nemeth A. // Hung. J. Ind. Chem. 2019. V. 47. № 2. P. 5–10. https://doi.org/10.33927/hjic-2019-14
- Hamoudi M., Fattal E., Gueutina C., Nicolas V., Bochota A. // Int. J. Pharm. 2011. V. 416. № 2. P. 507–514. https://doi.org/10.1016/j.ijpharm.2011.01.062
- Marcon F., Mathiron D., Pilard S., Lemaire-Hurtel A., Dubaele J., Djedaini-Pilard F. // Int. J. Pharm. 2009. V. 379. № 2. P. 244–250. https://doi.org/10.1016/j.ijpharm.2009.05.029
- Sian H.K., Said M., Hassan O., Kamaruddin K., Ismail A.F., Rahman R. et al. // Process Biochem. 2005. V. 40. № 3–4. P. 1101–1111. https://doi.org/10.1016/j.procbio.2004.03.018
- Wang J., Cao Y., Sun B., Wang C. // Food Chem. 2011. V. 127. № 4. P. 1680–1685. https://doi.org/10.1016/j.foodchem.2011.02.036
- Lim C.H., Rasti B., Sulistyo J., Hamid M.A. // Heliyon. 2021. V. 7. e06305. https://doi.org/10.1016/j.heliyon.2021.e06305
- Saini K., Pathak V.M., Tyagi A., Gupta R. // Catalysis Research. 2022. V. 2. № 3. https://doi.org/10.21926/cr.2203029
- Zhao F., Li Y., Li C., Ban X., Gu Z., Li Z. // Food Hydrocolloids. 2022. V. 133. № 1. 107951. https://doi.org/10.1016/j.foodhyd.2022.107951
- Zhou J., Feng Z., Liu S., Wei F., Shi Y., Zhao L. et al. // Mol. Plant Pathol. 2021. V. 22. № 1. P. 130–144. https://doi.org/10.1111/mpp.13014
- Biwer A., Antranikian G., Heinzle E. // Appl. Microbiol. Biotechnol. 2002. V. 59. № 6. P. 609–617. https://doi.org/10.1007/s00253-002-1057-x
- Zheng M., Endo T., Zimmermann W. // Aust. J. Chem. 2002. V. 55. № 2. P. 39–48. https://doi.org/10.1071/CH01189
- Li C., Ahn H.J., Kim J.H., Kim Y.W. // Carbohydr. Polym. 2014. V. 99. P. 39–46. https://doi.org/10.1016/j.carbpol.2013.08.056
- Saini K., Pathak V.M., Tyagi A., Gupta R. // Catalysis Research. 2022. V. 2. № 3: 029. P. 1–56. https://doi.org/10.21926/cr.2203029
- Melentiev A.I., Galimzianova N.F., Gilvanova E.A., Shchelchkova E.A., Kuzmina L.Yu., Boyko T.F. et al. // Adv. Microbiol. 2014. V. 4. № 8. P. 455–464. https://doi.org/10.4236/aim.2014.48050
- Gupta R.S., Patel S., Saini N., Chen S. // Int. J. Syst. Evol. Microbiol. 2020. V. 70. № 11. P. 5753–5798. https://doi.org/10.1099/ijsem.0.004475
- Yoon S.H., Ha S.M., Kwon S., Lim J., Kim Y., Seo H. et al. // Int. J. Syst. Evol. Microbiol. 2017. V. 67. № 5. P. 1613–1617. https://doi.org/10.1099/ijsem.0.001755
- Adebule A.P. // J. Adv. Med. Life Sci. 2018. V. 6. № 3. P. 1–3. https://doi.org/10.5281/zenodo.1198928
- Kumar S., Stecher G., Li M., Knyaz C., Tamura K. // Mol. Biol. Evol. 2018. V. 35. № 6. P. 1547–1549. https://doi.org/10.1093/molbev/msy096
- Felsenstein J. // Evolution. 1985. V. 39. № 4. P. 783–791. https://doi.org/10.1111/j.1558-5646.1985.tb00420.x
- Martins R.F., Hatti-Kaul R. // Enzyme Microb. Technol. 2002. V. 30. № 1. P. 116–124. https://doi.org/10.1016/S0141-0229(01)00461-6
- Usanov N.G., Gil’vanova E.A., Eli’zarev P.A., Prutsakova E.A., Melent’ev A.I. // Appl. Biochem. Microbiol. 2007. V. 43. № 1. P. 105-110. https://doi.org/10.1134/S000368380701019X
- Tilden E.B., Hudson G.S. // J. Bacteriol. 1942. V. 43. № 4. P. 527–544. https://doi.org/10.1128/jb.43.4.527-544.1942
- Neuhoff V., Arold N., Taube D., Ehrhardt W. // Electrophoresis. 1988. V. 9. № 6. P. 255–262. https://doi.org/10.1002/elps.1150090603
- Доусон Р., Элиот Д., Элиот У., Джонс К. Справочник биохимика: Перевод с англ. / М.: Мир, 1991. 544 с.
- Nogi Y., Takami H., Horikoshi K. // Int. J. Syst. Evol. Microbiol. 2005. V. 55. № 6. P. 2309–2315. https://doi.org/10.1099/ijs.0.63649-0
- Xue Y., Zhang X., Zhou C., Zhao Y., Cowan D.A., Heaphy S. et al. // Int. J. Syst. Evo.l Microbiol. 2006. V. 56. № 6. P. 1217–1221. https://doi.org/10.1099/ijs.0.64105-0
- Zhao W., Zhang C.L., Romanek C.S., Wiegel J. // Int. J. Syst. Evo.l Microbiol. 2008. V. 58. № 5. P. 1106–1108. https://doi.org/10.1099/ijs.0.65363-0
- de Jong S.I., van den Broek M.A., Merkel A.Y., de la Torre Cortes P., Kalamorz F., Cook G.M. et al. // Extremophiles. 2020. V. 24. № 6. P. 923–935. https://doi.org/10.1007/s00792-020-01205-w
- Yampayont P., Iizuka M., Ito K., Limpaseni T. // J. Incl. Phenom. Macrocycl. Chem. 2006. V. 56. № 1–2. P. 203–207. https://doi.org/10.1007/s10847-006-9084-3
- Alves-Prado H.F., Carneiro A.A.J., Pavezzi F.C., Gomes E., Boscolo M., Franco C.M.L. et al. //Appl. Biochem. Biotechnol. 2008. V. 146. № 1–3. P. 3–13. https://doi.org/10.1007/s12010-007-8093-z
- Savergave L.S., Dhule S.S., Jogdand V.V., Nene S.N., Gadre R.V. // Biochem. Eng. J. 2008. V. 39. № 3. P. 510–515. https://doi.org/10.1016/j.bej.2007.09.020
- More S.S., Niraja R., Evelyn C., Byadgi A.M., Shweta V., Mangaraj S.D. // Croatian J. Food Technol. Biotechnol. Nutrit. 2012. V. 7. № 1–2. P. 90–97.
- Reddy S.V., More S.S., Annappa G.S. // J. Basic Microbiol. 2017. V. 57. № 11. P. 974–981. https://doi.org/10.1002/jobm.201700270
- Atanasova N., Kitayska T., Bojadjieva I., Yankov D., Tonkova A. // Process Biochem. 2011. V. 46. № 1. P. 116–122. https://doi.org/10.1016/j.procbio.2010.07.027
- Cao X., Jin Z., Chen F., Wang X. // J. Food Biochem. 2005. V. 28. № 6. P. 463–475. https://doi.org/10.1111/j.1745-4514.2004.04603.x
- Kitayska T., Petrova P., Ivanova V., Tonkova A. // Appl. Biochem. Biotechnol. 2011. V. 165. № 5–6. P. 1285–1295. https://doi.org/10.1007/s12010-011-9346-4
- Fujita Y., Tsubouchi H., Inagi Y., Tomita K., Ozaki A., Nakanishi K. // J. Ferment. Bioeng. 1990. V. 70. № 3. P. 150–154. https://doi.org/10.1016/0922-338X(90)90174-U
- Yim D.G., Sato H.H., Park Y.H., Park Y.K. // J. Ind. Microbiol. Biotechnol. 1997. V. 18. № 6. P. 402–405. https://doi.org/10.1038/sj.jim.2900400
- Higuti I.H., Grande S.W., Sacco R., Jose do Nascimento A. // Braz. Arch. Biol. Technol. 2003. V. 46. № 2. P. 183–186. https://doi.org/10.1590/S1516-89132003000200007
- Li C., Chen S., Gu Z., Hong Y., Cheng L., Li Z. // Food Biosci. 2018. V. 26. P. 139–144. https://doi.org/10.1016/j.fbio.2018.10.006
- Chung H.-J., Yoon S.-H., Kim M.-J., Kweon K.-S., Lee I.-W., Kim J.-W. et al. // J. Agric. Food Chem. 1998. V. 46. № 3. P. 952–959. https://doi.org/10.1021/jf970707d
- Jia X., Ye X., Chen J., Lin X., Vasseur L., You M. // Starch – Starke. 2017. V. 70. № 1–2. https://doi.org/10.1002/star.201700016
Supplementary files








