The Obtaining of Recombinant Producer of Trametes hirsuta Versatile Peroxidase VP2 in Penicillium canescens
- Authors: Savinova O.S.1, Chulkin A.M.1, Moiseenko K.V.1, Fedorova T.V.1
-
Affiliations:
- Bach Institute of Biochemistry, Biotechnology Research Center of Russian Academy of Sciences
- Issue: Vol 59, No 6 (2023)
- Pages: 605-613
- Section: Articles
- URL: https://medbiosci.ru/0555-1099/article/view/232497
- DOI: https://doi.org/10.31857/S0555109923060120
- EDN: https://elibrary.ru/CJQZRR
- ID: 232497
Cite item
Full Text
Abstract
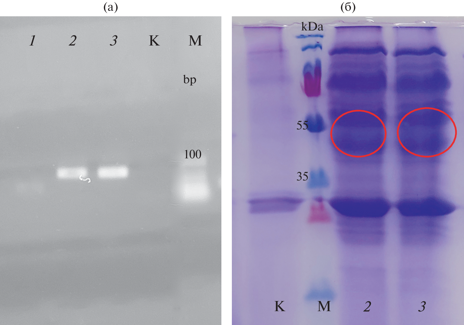
The interest in peroxidases of the basidiomycetes secreted enzyme complex is due to their wide substrate specificity and the ability of these enzymes to participate in the biodegradation of such difficultly degradable biopolymers as lignin. However, due to the difficulty of isolating these enzymes from native sources, their study is difficult. In this work, expression vectors were created that carried the sequence encoding the T. hirsuta LE-BIN072 versatile peroxidase VP2, which was transformed into the genome of the P. canescens strain. Screening of transformants showed the presence of peroxidase activity up to 1 U/mL. Fragments of the target protein in the culture liquid of the selected transformants were identified by mass spectrometric analysis. A new strain of P. canescens pVP2D-6, a producer of the recombinant universal peroxidase VP2 T. hirsuta LE-BIN072, was obtained for the first time, and the ability of the enzyme complex secreted by it to modify alkaline lignin was shown.
About the authors
O. S. Savinova
Bach Institute of Biochemistry, Biotechnology Research Center of Russian Academy of Sciences
Author for correspondence.
Email: savinova_os@rambler.ru
Russia, 119071, Moscow
A. M. Chulkin
Bach Institute of Biochemistry, Biotechnology Research Center of Russian Academy of Sciences
Email: savinova_os@rambler.ru
Russia, 119071, Moscow
K. V. Moiseenko
Bach Institute of Biochemistry, Biotechnology Research Center of Russian Academy of Sciences
Email: savinova_os@rambler.ru
Russia, 119071, Moscow
T. V. Fedorova
Bach Institute of Biochemistry, Biotechnology Research Center of Russian Academy of Sciences
Email: savinova_os@rambler.ru
Russia, 119071, Moscow
References
- Ponnusamy V.K., Nguyen D.D., Dharmaraja J., Shobana S., Banu J.R., Saratale R.G. et al. // Bioresour. Technol. 2019. V. 271. P. 462–472. https://doi.org/10.1016/j.biortech.2018.09.070
- Biko O. D.V., Viljoen-Bloom M., van Zyl W. H. // Enzyme Microb. 2021. V. 141, 109669. https://doi.org/10.1016/j.enzmictec.2020.109669
- Kainthola J., Podder A., Fechner M., Goel R. // Bioresour. Technol. 2021. V. 321. 124397. https://doi.org/10.1016/j.biortech.2020.124397
- Abbas A., Koc H., Liu F., Tien M. // Curr Genet. 2005. V. 47. P. 49–56. https://doi.org/10.1007/s00294-004-0550-4
- Dashtban M., Schraft H., Syed T.A., Qin W. // Int. J. Biochem. Mol. Biol. 2010. V. 1. P. 36–50.
- Zhang S., Xiao J., Wanga G., Chen G. // Bioresour. Technol. 2020. V. 304. 122975. https://doi.org/10.1016/j.biortech.2020.122975
- Liers C., Aranda E., Strittmatter E., Piontek K., Plattner D.A., Zorn H. et al. // J. Mol. Catal. B Enzym. 2014. V. 103. P. 41–46. https://doi.org/10.1016/j.molcatb.2013.09.025
- Moiseenko K.V., Glazunova O.A., Savinova O.S., Vasina D.V., Zherebker A.Ya., Kulikova N.A. et al. // Bioresour. Technol. 2021. V. 335. 125229. https://doi.org/10.1016/j.biortech.2021.125229
- Vasina D.V., Moiseenko K.V., Fedorova T.V., Tyazhelova T.V. // PLoS ONE. 2017. V. 12. № 3. e0173813. https://doi.org/10.1371/journal.pone.0173813
- Savinova O.S., Shabaev A.V., Glazunova O.A., Moiseenko K.V., Fedorova T.V. // Appl. Biochem. Microbiol. 2022. V. 58. Suppl. 1. P. S113–S125.
- Fernández-Fueyo E., Ruiz-Dueñas F.J., Martínez M.J., Romero A., Hammel K.E., Medrano F.J., Martínez A.T. // Biotechnol. Biofuels. 2014. V. 7. № 2. https://doi.org/10.1186/1754-6834-7-2
- Ruiz-Duenas F.J., Morales M., Garcia E., Miki Y., Martinez M.J., Martinez A.T. // J. Exp. Bot. 2009. V. 60. № 2. P. 441–452. https://doi.org/10.1093/jxb/ern261
- Rodakiewicz-Nowak J., Jarosz-Wilkolazka A., Luterek J. // Applied Catalysis A: General. 2006. V. 308. P. 56–61.
- Perez-Boada M., Doyle W.A., Ruiz-Duenas F.J., Martinez M.J., Martinez A.T. // Enzyme Microb. Technol. 2002. V. 30. P. 518–524.
- Majekea B.M., García-Aparicioa M., Biko O.D, Viljoen-Bloom M., van Zyl W.H., Görgensa J.F. // Enzyme Microb. 2020. V. 139. 109593.https://doi.org/10.1016/j.enzmictec.2020.109593
- Stewart P., Whitwam R. E., Kersten P. J., Cullen D., Tien M. // Appl. Environ. Microbiol. 1996. V. 62. № 3. P. 860–864. https://doi.org/10.1128/aem.62.3.860-864.1996
- Sugano Y., Nakano R., Sasaki K., Shoda M. // Physiology and Biotechnology. 2000. V. 66. № 4. https://doi.org/10.1128/AEM.66.4.1754-1758.2000
- Chekushina A.V., Dotsenko G.S., Sinitsyn A.P. // Catalysis in Industry. 2013. V. 5 № 1. P. 98–104. https://doi.org/10.1134/S2070050413010042
- Savinova O.S., Moiseenko K.V., Vavilova E.A., Tyazhelova T.V., Vasina D.V. // Biochimie. 2017. V. 142. P. 183–190. https://doi.org/10.1016/j.biochi.2017.09.013
- Savinova O.S., Moiseenko K.V., Vavilova E.A., Chulkin A.M., Fedorova T.V., Tyazhelova T.V., Vasina D.V. // Front. Microbiol. 2019. V. 10. 152. https://doi.org/10.3389/fmicb.2019.00152
- Abyanova A.R., Chulkin A.M., Vavilova E.A., Fedorova T.V., Loginov D.S., Koroleva O.V., Benevolensky S.V. // Appl. Biochem. Microbiol. 2010. V. 46. № 3. P. 313–317.
- Aleksenko A.Y., Makarova N.A., Nikolaev I.V., Clutterbuck A.J. // Curr. Genet. 1995. V. 28. P. 474–478.
- Чулкин А.М., Логинов Д.С., Вавилова Е.А., Абянова А.Р., Зоров И.Н., Курзеев С.А., Королева О.В., Беневоленский С.В. // Прикл. биохимия и микробиология. 2009. Т. 45. № 2. С. 163–170.
- Fraczek M.G., Zhao C., Dineen L., Lebedinec R., Bowyer P., Bromley D., Delneri M. Current Protocols in Microbiology. 2019. V. 54. e89. https://doi.org/10.1002/cpmc.89
- Unkles S.E., Campbell E.I., Punt P.J., Hawker K.L., Contreras R., Hawkins A.R. et al. // Gene. 1992. V. 111. № 2. P. 149–155.
- Shabaev A.V., Moiseenko K.V., Glazunova O.A., Savinova O.S., Fedorova T.V. // Int. J. Mol. Sci. 2022. V. 23. № 10322. https://doi.org/10.3390/ ijms231810322
- Лисов А.В., Заварзина А.Г., Белова О.В., Леонтьевский А.А. // Микробиология. 2020. Т. 89. № 3. С. 300–307. https://doi.org/10.31857/S0026365620030118
- Sinitsyn A.P., Rozhkova A.M. Microorganisms in Biorefineries. Penicillium canescens Host as the Platform for Development of a New Recombinant Strain Producers of Carbohydrases. / Ed. B. Kamm Berlin, Heidelberg: Springer-Verlag, 2015. V. 26. P. 1–19.
- Королева О.В., Федорова Т.В., Беневоленский С.В., Вавилова Е.А., Чулкин А.М. // Патент РФ. 2015. № 2538149.
- Айзенштадт М.А., Боголицын К.Г. // Химия растительного сырья. 2009. № 2. С. 5–18.
- Ruwoldt J., Tanase-Opedal M., Syverud K. // ACS Omega. 2022. V. 7. P. 46371–46383.https://doi.org/10.1021/acsomega.2c04982
- Sadeghifar H., Ragauskas A. // Polymers. 2020. V. 12. № 5. P. 1134. https://doi.org/10.3390/polym12051134
- Lara M.A., Rodriguez-Malaver A.J., Rojas O.J., Holmquist O., Gonzalez A.M., Bullon J., Penaloza N., Araujo E. // International Biodeterioration & Biodegradation. 2003. V. 52. P. 167–173. https://doi.org/10.1016/S0964-8305(03)00055-6
- Amara S., Perrot T., Navarro D., Deroy A., Benkhelfallah A., Chalak A. et al. // Appl. Environ. Microbiol. 2018. V. 84. e02826-17. https://doi.org/10.1128/AEM.02826-17
- Sáez-Jiménez V., Rencoret J., Rodríguez-Carvajal M.A., Gutiérrez A., Ruiz-Dueñas F.J., Martínez A.T. // Biotechnol Biofuels. 2016. V. 9. P. 198. doi.org/https://doi.org/10.1186/s13068-016-0615-x
- Silva D., Sousa A.C., Robalo M.P., Martins L.O. // New Biotechnology. 2022. https://doi.org/10.1016/j.nbt.2022.12.003
- Moiseenko K.V., Glazunova O.A., Savinova O.S., Vasina D.V., Zherebker A.Ya., Kulikova N.A., Nikolaev E.N., Fedorova T.V. // Bioresour. Technol. 2021. V. 335. 125229. https://doi.org/10.1016/j.biortech.2021.125229
Supplementary files






