New eGFP Mutant with Intact C- and N-Termini and Affinity for Ni2+
- Autores: Tarabarova A.G.1, Yurkova M.S.1, Fedorov A.N.1
-
Afiliações:
- Federal Research Centre “Fundamentals of Biotechnology” of the Russian Academy of Sciences
- Edição: Volume 59, Nº 6 (2023)
- Páginas: 614-621
- Seção: Articles
- URL: https://medbiosci.ru/0555-1099/article/view/232499
- DOI: https://doi.org/10.31857/S0555109923060193
- EDN: https://elibrary.ru/CXYUQZ
- ID: 232499
Citar
Texto integral
Resumo
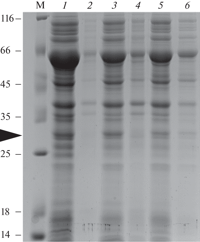
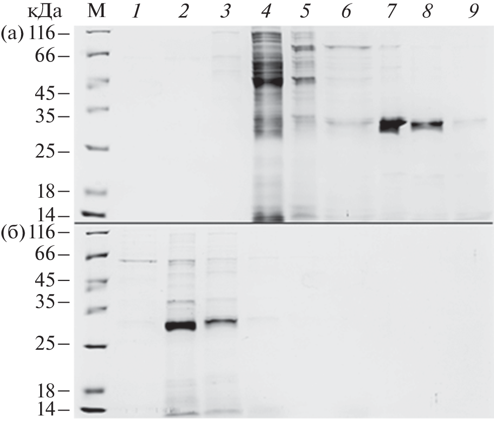
The green fluorescent protein GFP has long been used in research practice as a molecular tool. It is often used as a fusion partner. To create fusion constructs, target molecules are attached to the N- or C-terminus of GFP. On the other hand, the N- or C-termini of GFP required to create fusion constructs are also used to attach affinity tags that is greatly facilitating purification. Simultaneous introduction of affinity tag and GFP to both or the same end of GFP can create steric hindrances both in the process of biosynthetic folding of the construct and in its affinity purification. This work is devoted to the production of GFP with a His-tag introduced into the polypeptide chain. This work resulted in eGFP157_7H protein with an embedded His-tag and free N- and C-termini to create fusion proteins. The added His-tag will allow purification of the construct with GFP by metal-chelated affinity chromatography under native conditions. The resulting eGFP157_7H variant retained the original fluorescent properties completely similar to those of wild-type eGFP.
Palavras-chave
Sobre autores
A. Tarabarova
Federal Research Centre “Fundamentals of Biotechnology” of the Russian Academy of Sciences
Autor responsável pela correspondência
Email: tarabarovan@yandex.ru
Russia, 119071, Moscow
M. Yurkova
Federal Research Centre “Fundamentals of Biotechnology” of the Russian Academy of Sciences
Email: tarabarovan@yandex.ru
Russia, 119071, Moscow
A. Fedorov
Federal Research Centre “Fundamentals of Biotechnology” of the Russian Academy of Sciences
Email: tarabarovan@yandex.ru
Russia, 119071, Moscow
Bibliografia
- Heger T., Stock C., Laursen M. J., Habeck M., Dieudonné T., Nissen P. In: Methods in Molecular Biology. Advanced Methods in Structural Biology. / Ed. Â. Sousa, L. Passarinha. N.Y.: Springer US, 2023. P. 171–186.
- Le Bail A., Schulmeister S., Perroud P.-F., Ntefidou M., Rensing S.A., Kost B. // Front. Plant Sci. 2019. V. 10. P. 456.
- Xiang X., Li C., Chen X., Dou H., Li Y., Zhang X., Luo Y., Xiang X. // Methods in Mol. Biol. 2019. P. 255–269. https://doi.org/10.1007/978-1-4939-9170-9_16
- Nakamura S., Fu N., Kondo K., Wakabayashi K.-I., Hisabori T., Sugiura K. // J. Biol. Chem. 2021. V. 296. P. 100134. https://doi.org/10.1074/jbc.RA120.016847
- Barnard E., Timson D.J. In: Methods in Molecular Biology. Molecular and Cell Biology Methods for Fungi. / Ed. A. Sharon. Totowa. N.J.: Humana Press, 2010. V. 638. P. 303–317. https://doi.org/10.1007/978-1-60761-611-5_23
- Pedelacq J.-D., Waldo G.S., Cabantous S. // Methods Mol. Biol. 2019. V. 2025. P. 423–437.
- Alam S.R., Mahadevan M.S., Periasamy A. // Current Protocols. 2023. V. 3. P. e689. https://doi.org/10.1002/cpz1.689
- Nilsson J., Ståhl S., Lundeberg J., Uhlén M., Nygren P.-åke // Protein Exp. Purif. 1997. V. 11. P. 1–16.
- Booth W.T., Schlachter C.R., Pote S., Ussin N., Mank N.J., Klapper V. et al. // ACS Omega. 2018. V. 3. P. 760–768.
- Hochuli E. // J. Chromatogr. 1988. V. 444. P. 293–302.
- Knecht S., Ricklin D., Eberle A. N., Ernst B. // J. Mol. Recognit. 2009. V. 22. P. 270–279. https://doi.org/10.1002/jmr.941
- Chung Y.H., Volckaert B.A., Steinmetz N.F. // Bioconjugate Chem. 2023. V. 34. P. 269–278.
- Hu Y.-C., Tsai C.-T., Chung Y.-C., Lu J.-T., Hsu J.T.-A. // Enzyme and Microb. Technol. 2003. V. 33. P. 445–452.
- Jiang C., Wechuck J.B., Goins W.F., Krisky D.M., Wolfe D., Ataai M.M., Glorioso J.C. // J. Virology. 2004. V. 78. № 17. P. 8994–9006. https://doi.org/10.1128/JVI.78.17.8994-9006.2004
- Biswal J.K., Bisht P., Subramaniam S., Ranjan R., Sharma G.K., Pattnaik B. // Biologicals. 2015. V. 43. C. 390–398.
- Ye K., Jin S., Ataai M.M., Schultz J.S., Ibeh J. // J. Virology. 2004. V. 78. P. 9820–9827.
- Opitz L., Hohlweg J., Reichl U., Wolff M.W. // J. Virol. Methods. 2009. V. 161. P. 312–316.
- Cheeks M.C., Kamal N., Sorrell A., Darling D., Farzaneh F., Slater N.K.H. // J. Chromatogr. A. 2009. V. 1216. P. 2705–2711.
- Fan J. Xiao P., Kong D., Liu X., Meng L., An T. et al. // Vaccines. 2022. V. 10. P. 170. https://doi.org/10.3390/vaccines10020170
- Paul D.M., Beuron F., Sessions R.B., Brancaccio A., Bigotti M.G. // Sci Rep. V. 6. P. 20696. https://doi.org/10.1038/srep20696
- Edelheit O., Hanukoglu A., Hanukoglu I. // BMC Biotechnol. 2009. V. 9. P. 61. https://doi.org/10.1186/1472-6750-9-61
- Miles A.J., Ramalli S.G., Wallace B.A. // Protein Sci. 2022. V. 31. P. 37–46.
- Drew E.D., Janes R.W. // Nucleic Acids Res. 2020. V. 48. P. W17–W24. https://doi.org/10.1093/nar/gkaa296
- Mamontova A.V., Shakhov A.M., Lukyanov K.A., Bogdanov A.M // Biomolecules. 2020. V. 10. № 11. P. 1547. https://doi.org/10.3390/biom10111547
- Arpino J.A.J., Reddington S.C., Halliwell L.M., Rizkallah P.J., Jones D.D. // Structure. 2014. V. 22. P. 889–898.
- Chiang C.-F., Okou D.T., Griffin T.B., Verret C.R., Williams M.N.V. // Arch. Biochem. Biophys. 2001. V. 394. P. 229–235.
- Leibly D.J., Arbing A.M., Pashkov I., DeVore N., Waldo G.S., Terwilliger TC., Yeates T.O. // Structure. 2015. V. 23. P. 1754–1768.
- Williams D.E., Williams D.E., Dolgopolova E.A., Pellechia P.J., Palukoshka A., Wilson T.J. et al. // J. Am. Chem. Soc. 2015. V. 137. P. 2223–2226.
- Zimmer M. // Chem. Rev. 2002. V. 102. P. 759–782.
- Hovmöller S., Zhou T., Ohlson T. // Acta Cryst D. 2002. V. 58. P. 768–776.
- Pettersen E.F., Goddard T.D., Huang C.C., Couch G.S., Greenblatt D.M., Meng E.C., Ferrin T.E. // J. Comput. Chem. 2004. V. 25. P. 1605–1612.
Arquivos suplementares







