Application of Detectr for Selective Detection of Bacterial Phytopathogen Dickeya solani Using Recombinant CRISPR-Nuclease Cas12a Obtained by Single-Stage Chromatographic Purification
- Authors: Kurbatov L.K.1, Radko S.P.1,2, Khmeleva S.A.1, Ptitsyn K.G.1, Timoshenko O.S.1, Lisitsa A.V.1,2
-
Affiliations:
- N.V. Orekhovich Institute of Biomedical Chemistry
- University of Tyumen, West Siberia Interregional Research and Educational Center
- Issue: Vol 60, No 1 (2024)
- Pages: 20-28
- Section: Articles
- URL: https://medbiosci.ru/0555-1099/article/view/259735
- DOI: https://doi.org/10.31857/S0555109924010025
- EDN: https://elibrary.ru/HDBPCB
- ID: 259735
Cite item
Full Text
Abstract
The work demonstrates that recombinant CRISPR-nuclease Cas12a, purified after heterologous expression with a simplified method using single-stage metal-chelate chromatography, can be successfully utilized in DETECTR technology. The combination of CRISPR-nuclease Cas12a obtained by such way with recombinase polymerase amplification (RPA) allowed one to ensure the selectivity of detection of Dickeya solani — the dangerous bacterial phytopathogen causing the potato disease known as “blackleg” — against closely related and unrelated bacterial phytopathogens with a limit of detection of 1 copy of the bacterial genome per amplification reaction. The result can be determined visually, without the use of complex instrumental methods, by changing the color of the reaction sample when illuminated with blue light that creates the basis for development of field DNA diagnostics of D. solani. The use of simplified chromatographic purification will significantly reduce the time and resources required to obtain a functionally active CRISPR-nuclease Cas12a for development and production of DNA diagnostics based on DETECTR technology.
Keywords
Full Text
Комбинирование CRISPR/Cas-нуклеаз и методов изотермической амплификации нуклеиновых кислот рассматривается сегодня как наиболее перспективный подход к созданию высокоселективных методов ДНК-диагностики патогенных микроорганизмов и вирусов для использования как в практике специализированных диагностических лабораторий, так и при диагностике “у постели больного” (point-of-care testing) или в полевых условиях детекции [1, 2]. Две технологии детекции, известные как SHERLOCK (Specific High-sensitivity Enzymatic Reporter un-LOCKing) [3] и DETECTR (DNA endonuclease-targeted CRISPR trans reporter) [4], получили наибольшее распространение при создании таких методов [2, 5]. В случае DETECTR, CRISPR-нуклеаза Cas12a комбинируется с рекомбиназной полимеразной амплификацией (РПА) — изотермической амплификацией ДНК, протекающей при постоянной температуре 37–42°C [6]. Нуклеаза формирует комплекс с синтетической РНК (так называемая “guide RNA” — направляющей РНК, нРНК), часть последовательности которой (“спейсер”) комплементарна участку (“протоспейсер”) одной из цепей целевых РПА-ампликонов. Исключительная селективность DETECTR достигается тем, что активация нуклеазы происходит только при распознавании целевых ампликонов через формирование дуплекса спейсер/протоспейсер, вызывая появление у CRISPR/Cas-нуклеазы так называемой “коллатеральной” активности — способности расщеплять молекулы одноцепочечной ДНК [4]. Коллатеральная активность приводит к расщеплению добавленных в реакционную смесь коротких ДНК-олигонуклеотидов (репортеров), несущих на концах 6-карбоксифлуоресцеин (FAM) и молекулу-“гаситель” (BHQ-1), и, соответственно, к появлению флуоресценции, которая определяется либо с помощью инструментальных методов, либо визуально (невооруженным глазом) при освещении реакционной пробы синим светом [5].
При создании технологии ДНК-диагностики DETECTR изначально использовалась рекомбинантная CRISPR-нуклеаза Cas12a, полученная с помощью трехстадийной хроматографической очистки после гетерологической экспрессии, включавшей (1) аффинную и (2) ионнообменную хроматографию, а также (3) гель-фильтрацию на заключительной стадии [4]. Позже были предложены более простые схемы очистки физиологически активной CRISPR-нуклеазы Cas12a, но они также состояли из более чем одной стадии (например, [7, 8]). Ранее мы показали, что другая CRISPR-нуклеаза, а именно Cas13а, может быть получена в физиологически активной форме одностадийной металл-хелатной хроматографией [9]. Применение такого же подхода к очистке CRISPR-нуклеазы Cas12a несомненно упростило бы ее получение для использования в разработке методов ДНК-диагностики различных патогенных агентов с использованием технологии DETECTR.
Dickeya solani [10] является одним из наиболее опасных бактериальных фитопатогенов картофеля, вызывающих заболевание, известное как «черная ножка» [10, 11]. Заболевание причиняет значительный экономический ущерб картофелеводству, в том числе из-за потерь урожая при хранении. Традиционно для ДНК-диагностики D. solani используется метод ПЦР в реальном времени [12–14], что предполагает проведение анализа в специализированных лабораториях, оборудованных ПЦР-амплификаторами. Как альтернатива, недавно был предложен метод ДНК-диагностики D. solani на основе РПА, который не требует наличия сложного оборудования, потенциально позволяя детектировать данный фитопатоген в полевых условиях [15]. Комбинирования РПА с CRISPR/Cas-детекцией для селективной ДНК-диагностики D. solani до настоящего времени не проводилось.
Цель работы — используя бактериальный патоген картофеля D. solani в качестве примера показать, что препараты рекомбинантной CRISPR-нуклеазы Cas12a, получаемые упрощенной одностадийной хроматографической очисткой целевого белка, могут успешно применяться для разработки ДНК-диагностикумов на основе технологии DETECTR.
МЕТОДИКА
В работе использовались реактивы компании “Merck” (США), если не указано другое. Растворы готовили на деионизованной воде (Milli-Q, 18 МОм·см). ДНК-олигонуклеотиды (табл. 1) были синтезированы и очищенны компаниями “Синтол” (Россия) и “Евроген” (Россия). В работе использовались бактериальные штаммы (табл. 2), полученные из коллекции Всероссийского научно-исследовательского института фитопатологии и Всероссийской коллекции микроорганизмов (Пущинский научный центр биологических исследований РАН). Видовая принадлежность штаммов была подтверждена методом ПЦР в реальном времени с использованием наборов для выявления и дифференциальной диагностики соответствующих патогенов картофеля (“Pecto Dif-PB”, “Clavibacter michiganensis subsp. sepedonicus-РВ” и “Dickeya-РВ”) производства “Синтол” (Россия) в соответствии с инструкцией производителя. Все бактерии, за исключением Clavibacter michiganensis subsp. sepedonicus (Cms), культивировали в среде LB (“ДиаМ”, Россия) при температуре 28°C. Cms культивировали при температуре 28°C на агаризованной среде, которая имела следующий состав (г/л): казеин-пептон — 10, дрожжевой экстракт — 5, агар-агар (“Becton Dickinson”, Франция) — 15, глюкоза (“Fluka”, Германия) — 5, NaCl — 5; pH 7.0–7.2.
Таблица 1. Последовательности ДНК-олигонуклеотидов, использованных в работе*
Название | Последовательность (5′ → 3′) |
SOL-C-RPA-F | CCATTTAAGAGCCTACACCATCAGGGCTAT |
SOL-C-RPA-R | GTTTGGACACTACAGCGCGCATAAACTGGA |
T7F | TAATACGACTCACTATAGGG |
Cas12-FQ | (6-FAM) — TTATTATT — (BHQ-1) |
FR-T-F | GGTACCCGGGGATCCTTTAGAGAAGTCATTTAATAAGGCCACTGTTAAAAAGCTTGGCGTAATCA |
FR-T-R | TGATTACGCCAAGCTTTTTAACAGTGGCCTTATTAAATGACTTCTCTAAAGGATCCCCGGGTACC |
FR-G | AGTGGCCTTATTAAATGACTTCTCATCTACAACAGTAGAAATTCCCCTATAGTGAGTCGTATTA |
DS-G1 | AGCGCGCATAAACTGGAGCGTACACATCTACAACAGTAGAAATTCCCCTATAGTGAGTCGTATTA |
DS-G2 | GCACGGCCTGGGCCCCAAATGCAAGATCTACAACAGTAGAAATTCCCCTATAGTGAGTCGTATTA |
DS-G3 | TGCATTTGGGGCCCAGGCCGTGCTCATCTACAACAGTAGAAATTCCCCTATAGTGAGTCGTATTA |
* Курсивом дана последовательность, комплементарная последовательности Т7-промотера; полужирным шрифтом выделены последовательности протоспейсера синтетической ДНК-мишени и последовательности в ДНК-матрицах, кодирующие последовательности спейсера в направляющей РНК.
Бактериальную ДНК и ДНК картофеля выделяли с помощью набора “ФитоСорб” (“Синтол”, Россия) согласно инструкции производителя (протокол без использования жидкого азота). После определения концентрации ДНК на флуориметре Qubit 4.0 (“Thermo Fisher Scientific”, США) с помощью набора “Qubit dsDNA BR Assay Kit” (“Thermo Fisher Scientific”), ДНК хранили при –20°C.
Плазмида 6-His-MBP-TEV-FnCpf1, содержащая ген FnCpf1 (Cas12a), была приобретена в репозитории ADDGENE (https://www.addgene.org/90094/) и трансформирована в штамм Rosetta™ 2(DE3) pLysS Singles™ Competent Cells (“Merck”, Германия). Клетки культивировали в течение ночи в среде LB, которая дополнительно содержала ампициллин (100 мкг/мл), хлорамфеникол (34 мкг/мл), 2 мМ MgSO4 и 2% глюкозы. Ночную культуру (1.8 мл) инокулировали в 300 мл среды Terrific Broth следующего состава (г/л): тритон — 12, пептон — 2, дрожжевой экстракт — 24 (“Becton Dickinson”, Франция), K2HPO4–12.5 и KH2PO4–2.3. После добавления ампициллина до конечной концентрации 100 мкг/мл клетки культивировали при 37°C. Рост клеток контролировали измерением оптической плотности при длине волны 600 нм (D600). Температуру инкубации снижали до 21°C после достижения значения D600 = 0.2. При оптической плотности (D600) — 0.6–0.8 в культуру добавляли индуктор экспрессии изопропил-β-D-1-тиогалактопиранозид до конечной концентрации 50 мкМ. Экспрессию целевого белка проводили в течение 16 ч при 21°C. Клетки осаждали центрифугированием (4000 g, 15 мин, 4°C), промывали фосфатно-солевым буфером (PВS, “Merck”, Германия) и использовали для получения целевого белка.
Все операции по получению целевого белка проводили при 4°C. Очистку рекомбинантной CRISPR-нуклеазы Cas12a осуществляли на колонках Protino Ni-TED1000 (“Macherey-Nagel”, Германия) в соответствии с протоколом производителя. Клетки, полученные осаждением из 300 мл экспрессионной среды, ресуспендировали в буфере LEW (50 мМ NaH2PO4, 300 мМ NaCl, pH 8.0) из набора к колонкам Protino Ni-TED1000 в соотношении 1 г осадка 2 мл буфера. В суспензию клеток вносили лизоцим и фенилметансульфонил фторид до конечной концентрации 1 мг/мл и 1 мМ соответственно. После инкубации на льду в течение 30 мин клетки разрушали механическим способом с помощью френч-пресса FA-078AE (“Thermo Electron Corporation”, США). Поскольку полученный гомогенат имел повышенную вязкость из-за присутствия ДНК, проводили дополнительную обработку на ультразвуковом гомогенизаторе Sonopuls HD2070 (“Bandelin”, Германия). Полученный гомогенат осветляли центрифугированием при 20 000 g в течение 40 мин (4°C) и делили на две части, каждую наносили на отдельную колонку Ni-TED. После промывки колонок связавшийся материал элюировали буфером, содержащим 250 мМ имидазол, собирая фракции объемом 0.5 мл. Фракции анализировали методом электрофореза по Лэммли в 9%-ном ПААГ с последующей окраской Кумасси G-250 (“Bio-Rad”, США), как описано ранее [9]. Содержащие целевой белок фракции объединяли и переводили в буфер для хранения (20 мМ HEPES, 500 мМ NaCl, 0.1 мM ЭДТА, pH 7.5, 5%-ный глицерин, 1 мМ дитиотреитол) с помощью диализа. Диализ проводили с использованием мембран SnakeSkin Dialysis Tubing 7000 MWCO (“Thermo Fisher Scientific”, США). Для концентрирования препаратов нуклеазы использовали центрифужные концентраторы Vivaspin 2 (“Sartoruis Stedim”, Германия).
Масс-спектрометрическую идентификацию целевого белка и белковых загрязнений после электрофоретического разделения проводили как описано ранее для CRISPR/Cas-нуклеазы Cas13a [9]. Концентрацию целевого белка оценивали сопоставлением площадей пиков, соответствующих белковым полосам на геле, используя растворы бычьего сывороточного альбумина (БСА) известной концентрации в качестве стандартов. Денситометрию проводили на гель-сканере ImageScanner III (“GE Healthcare”, США) с последующей обработкой изображений в программе ImageQuant (“GE Healthcare Life Sciences”, США).
РПА проводили, используя коммерческие наборы TwistAmp® Basic (“TwistDX”, Великобритания) в соответствии с рекомендациями производителя. Амплификация выполнялась при 39°C, время реакции составляло 20 мин. Последовательности праймеров, предложенные в работе [15], приведены в табл. 2 (SOL-C-RPA-F и SOL-C-RPA-R). Продукты амплификации анализировали методом электрофореза в 8%-ном ПААГ в ТВЕ-буфере как описано ранее [16].
Таблица 2. Бактериальные штаммы, использованные в работе
Таксономическое название штамма | Источник | Номер по каталогу источника |
Pectobacterium carotovorum subsp. carotovorum (Jones 1901) Hauben et al., 1999 | Б** | B-1247 |
Pectobacterium odoriferum (Gallois et al. 1992) Portier et al., 2019 | А* | 1557 |
Clavibacter michiganensis subsp. sepedonicus (Spieckermann and Kotthoff 1914) Davis et al., 1984 | Б** | Ac-1405 |
Pectobacterium brasiliense Portier et al., 2019 | А* | 466 497 |
Dickeya solani (van der Wolf et al., 2014) | А* | 1C3 |
* А — Всероссийский научно-исследовательский институт фитопатологии, **Б — ВКМ (Пущинский научный центр биологических исследований РАН).
Синтетическую ДНК-мишень FR-T получали, смешивая эквимолярные растворы олигонуклеотидов FR-T-F и FR-T-R (табл. 1). Смесь инкубировали 2 мин при 96°C с последующим медленным охлаждением до комнатной температуры. Последовательности спейсера нРНК подбирали с помощью интернет-ресурса “CHOP CHOP” (https://chopchop.cbu.uib.no). Данные последовательности были использованы в последовательностях ДНК-матриц (DS-G1, DS-G2 и DS-G3, табл. 1) для синтеза трех вариантов нРНК — нРНК-1, нРНК-2 и нРНК-3 соответственно. ДНК-матрицы содержали на 3′-конце участок, комплементарный последовательности промотора ДНК-зависимой РНК-полимеразы фага Т7, и олигонуклеотид T7F с последовательностью Т7-промотора. Эквимолярную смесь ДНК-матрицы и T7F инкубировали 2 мин при 96°C, охлаждали до комнатной температуры и использовали для синтеза нРНК с помощью набора TranscriptAid T7 High Yield Transcription Kit (“Thermo Fisher Scientific”, США) согласно инструкции производителя. Очистку нРНК проводили смесью фенол/хлороформ/изоамиловый спирт 25 : 24 : 1 (“Acros Organics”, Бельгия) с последующим осаждением этанолом. Осадок растворяли в воде, свободной от нуклеаз, и определяли концентрацию на спектрофотометре NanoDrop 1000. Аликвоты раствора нРНК хранили при –80°C. В качестве репортёров использовали олигонуклеотид Cas12-FQ с FAM и BHQ-1 на 5′- и 3′-концах соответственно (табл. 1).
Эндонуклеазную активность рекомбинантной CRISPR-нуклеазы Cas12a оценивали в буфере NEBuffer r2.1 Reaction Buffer (“New England Biolabs”, Великобритания). Реакционная проба объемом 50 мкл содержала от 3 до 150 нМ рекомбинантного белка, от 3 до 150 нМ нРНК и 2.5 мкМ олигонуклеотида Cas12-FQ. После 10-минутной инкубации при комнатной температуре в пробу добавляли либо синтетическую ДНК-мишень FR-T (50 нМ), либо аликвоту РПА-пробы. Флуоресценцию измеряли на планшетном флуориметре Infinite M200 PRO (“TECAN”, Швейцария) при 37°C в течение 120 мин при длинах волн 495 и 520 нм для возбуждения и испускания соответственно. Разница значений интенсивности флуоресценции (в условных единицах, у. е.) в реакционной пробе (F, в присутствии ДНК-мишени или РПА-продукта) и в контрольной пробе (F0, в отсутствии ДНК-мишени или РПА-продукта), F–F0, использовалась как характеристика коллатеральной активности CRISPR-нуклеазы Cas12a. Для визуальной детекции коллатеральной активности нуклеазы пробирку с реакционной пробой через 2 ч после добавления аликвоты РПА-пробы помещали на трансиллюминатор Dark Reader DR22A (“Clare Chemical Research”, USA) с длиной волны света в интервале 400–500 нм.
РЕЗУЛЬТАТЫ И ИХ ОБСУЖДЕНИЕ
В настоящее время наиболее распространенная схема очистки рекомбинантной CRISPR-нуклеазы Cas12a после ее гетерологической экспрессии в клетках E. coli включает аффинную металл-хелатную хроматографию, за которой следует энзиматическое удаление N-концевых последовательностей (6хHis-tag, MBP) за счет расщепления по сайту узнавания TEV-протеазы с последующей гель-фильтрацией для выделения транкированного белка (например, [7]). В зависимости от требований к чистоте нуклеазы и особенностей ее дальнейшего использования (например, для работы с клеточными культурами), в схему очистки могут добавляться ионообменная хроматография, очистка на гепарин-сефарозе и/или процедура удаления эндотоксинов [17–20]. Одновременно предлагались и упрощенные схемы очистки, однако они продолжали состоять из более чем одной стадии [7, 8].
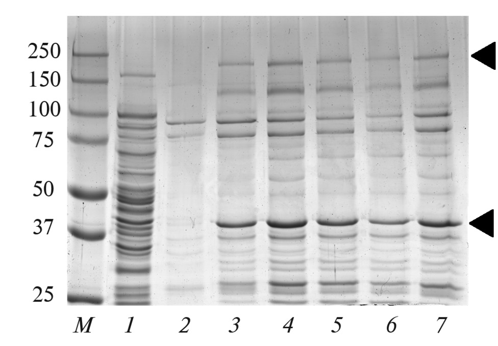
В предложенной нами схеме получения препарата рекомбинантной CRISPR-нуклеазы Cas12a единственным этапом очистки является металл-хелатная хроматография с использованием гравитационных колонок. Таким образом, исключается необходимость в сложном оборудовании и длительной инкубации раствора белка с TEV-протеазой (как правило, в течение ночи). Согласно базе данных UniProt, молекулярная масса CRISPR-нуклеазы Cas12a составляет 151.9 кДа (https://www.uniprot.org/uniprotkb/A0Q7Q2/entry). Однако в настоящем исследовании последовательность рекомбинантного белка увеличена на 366 аминокислотных остатка за счет включения аминокислотных последовательностей участков 6хHis-tag, MBP и сайта узнавания TEV-протеазы. В связи с этим ожидаемая масса целевого белка составляет примерно 192 кДа и соответствующая ему на электрофоретической дорожке полоса должна находиться несколько ниже полосы молекулярного маркера с массой 250 кДа (рис. 1, отмечено стрелкой I). Как видно из рис. 1, в осветленном гомогенате индуцированных клеток нет доминирующей компоненты, соответствующей теоретически ожидаемой массе CRISPR-нуклеазы Cas12a, и только после хроматографической очистки происходит обогащение целевым белком, связавшимся с аффинным матриксом. Масс-спектрометрический анализ пептидов, экстрагированных из участка геля, содержащего полосу с ожидаемым рекомбинантным белком, позволил идентифицировать его как CS12A_FRATN из организма Francisella tularensis subsp. novicida (штамм U112, идентификатор A0Q7Q2). Таким образом, было подтверждено, что элюат содержит целевой продукт. В связи с присутствием в элюате белковых загрязнений его концентрация не может быть точно определена колориметрическими (спектрофотометрическими) методами измерения количества белка. По этой причине количество целевого белка в пробах оценивали с помощью денситометрии гелей после электрофоретического анализа элюата, сопоставляя площади пиков, соответствующих белковым полосам на геле, используя растворы БСА известной концентрации в качестве стандартов.
Рис. 1. Электрофорез в ПААГ гомогената клеток E. coli, экспрессирующих рекомбинантную CRISPR-нуклеазу Cas12a, и фракций элюата, полученных при очистке целевого белка металл-хелатной хроматографией на колонках Protino Ni-TED1000: М — маркеры молекулярных масс, 1 — гомогенат клеток, 2–6 — фракции элюата, 7 — объединенные фракции после диализа. Целевой белок показан стрелкой I, основной белок-загрязнитель — стрелкой II.
Основным загрязнителем, элюирующимся вместе с целевым белком, является белок с молекулярной массой около 40 кДа (отмечен стрелкой II на рис. 1). С помощью масс-спектрометрического анализа данный белок был идентифицирован как Lactose operon repressor (LACI_ECOLI). Он является одним из компонентов системы индукции экспрессии рекомбинантных белков в E. coli и “классическим загрязнителем” при их очистке методом металл-хелатной хроматографии [21]. Поскольку функциональная активность данного белка не имеет нуклеазного характера, его присутствие не должно оказывать влияния на функциональную активность CRISPR-нуклеазы Cas12a.
Оценка функциональной активности полученных препаратов рекомбинантной CRISPR-нуклеазы Cas12a и подбор оптимального соотношения нРНК и белка проводились с использованием синтетической ДНК-мишени FR-T (табл. 1) длиной 65 пар оснований (п. о.) и нРНК со спейсером, комплементарным последовательности в мишени (получена с использованием ДНК-матрицы FR-G, табл. 1). Последовательность мишени представляла собой участок генома бактерии Francisella tularensis ssp. novicida U112, использованный ранее как мишень при тестировании функциональной активности рекомбинантной CRISPR-нуклеазы Cas12a в работе [7] в виде вставки в плазмиду pUC19. Для подбора оптимального молярного отношения нРНК/Cas12a концентрацию нРНК варьировали при постоянных концентрациях нуклеазы (30 нМ) и мишени (50 нМ). Значительная коллатеральная активность детектировалась уже при отношении нРНК/Cas12a = 1 : 10, достигая максимума при соотношении 1 : 1 (кинетика изменения флуоресценции Cas12-FQ-репортеров представлена на рис. S1 дополнительных материалов). При дальнейшем повышении концентрации нРНК (до нРНК/Cas12a = 2 : 1) кинетика изменения флуоресценции незначительно замедлялась (рис. S1). Следует отметить, что подобный эффект замедления кинетики наблюдался ранее и для рекомбинантной CRISPR/Cas-нуклеазы Cas13a [22]. Основываясь на полученных результатах, все дальнейшие эксперименты выполняли при молярном отношении нРНК/Cas12a = 1 : 1.
Для РПА-детекции D. solani были выбраны праймеры, предложенные в работе [15] (SOL-C-RPA-F и SOL-C-RPA-R, табл. 1). Праймеры узнают участок региона SOL-C в геноме D. solani (принадлежащий неаннотированному гену) и основываются на последовательности праймеров, разработанных в работе [12] для ПЦР-детекции данного фитопатогена. При проведении РПА с геномной ДНК D. solani в качестве матрицы использование пары SOL-C-RPA-F/SOL-C-RPA-R приводило к появлению фрагментов ДНК только ожидаемого размера (117 п. о. [15]), что видно из результатов электрофоретического анализа продуктов амплификации (рис. 2а). Однако образцы геномной ДНК, полученной из штаммов близкородственных (виды рода Pectobacterium sp.) и неродственных (Cms) бактерий, представленных в табл. 2, также дали продукты при проведении РПА с данной парой праймеров, хотя среди них и не было ампликонов с размером 117 п. о. (рис. 2а). В случае сопряжения РПА с экспресс-детекцией колориметрическими методами или с помощью тест-полоски появление нецелевых ампликонов приведет к ложноположительному результату. Таким образом, праймеры SOL-C-RPA-F и SOL-C-RPA-R, по-видимому, не могут обеспечить специфическую детекцию D. solani в общем случае, хотя нельзя исключить, что при оптимизации времени проведения изотермической амплификации можно добиться большей селективности. Однако при работе с образцами с неизвестной композицией фитопатогенных бактерий такая оптимизация может оказаться недостаточной для обеспечения требуемой селективности детекции.
Рис. 2. Результаты электрофоретического анализа продуктов РПА для штаммов фитопатогенов (табл. 2) (а) и тестирование продуктов РПА комплексом нРНК/Cas12а (б): М — ДНК-стандарты, 1 — P. carotovorum ssp. carotovorum, 2 — P. odoriferum, 3 — C. michiganensis ssp. sepedonicus, 4 — P. brasiliense (штамм 466), 5 — P. brasiliense (штамм 497), 6 — D. solani. Геномная ДНК 0.5 пг на РПА-пробу. Целевой продукт амплификации указан стрелкой. б — Характерные зависимости разницы флуоресценций пробы с добавлением продуктов РПА и контрольной пробы без добавления продуктов РПА (F–F0, у. е.) от времени инкубации (мин). (1 мкл РПА-пробы на тест-пробу с нРНК-3/Cas12а. Концентрация нРНК-3 – 30 нМ, концентрация Cas12а — 30 нМ.)
Для комбинирования РПА с детекцией целевых ампликонов рекомбинантной CRISPR-нуклеазой Cas12a были тестированы три последовательности нРНК, кодируемые ДНК-матрицами DS-G1, DS-G2 и DS-G3 (табл. 1). Коллатеральная активность CRISPR-нуклеазы Cas12a в комплексе с нРНК определялась после добавления в реакционную смесь 1 мкл продуктов РПА (без очистки), полученных для геномной ДНК D. solani как матрицы. Полученные результаты (рис. S2) показали, что комплекс CRISPR-нуклеазы Cas12a с нРНК-3 (синтезирована на ДНК-матрице DS-G3, табл. 1) обеспечивает значительно более высокой уровень ее коллатеральной активности по сравнению с нРНК-1 и нРНК-2. Наиболее вероятной причиной наблюдаемой вариации уровня коллатеральной активности может быть образование различных вторичных структур молекулами нРНК, что сказывается как на формировании комплекса с CRISPR-нуклеазой, так и на эффективности связывании спейсера с протоспейсером. Анализ вторичной структуры нРНК с помощью интернет-ресурса OligoAnalyzer (https://eu.idtdna.com/pages/tools/oligoanalyzer) не выявил очевидных различий в структурах, формируемых тестированными нРНК. Это однозначно указывало на то, что теоретически подобранные последовательности нРНК нуждались в обязательной экспериментальной проверке.
По результатам тестирования для дальнейшей работы была выбрана нРНК-3, проявившая наибольшую эффективность. Как видно из рис. 2б, добавление аликвоты РПА-пробы в реакционную смесь с комплексом нРНК-3/Cas12a позволило однозначно детектировать присутствие целевых ампликонов, при этом нецелевые РПА-продукты не активировали нуклеазу. Таким образом, сопряжение РПА с CRISPR-нуклеазой Cas12a, полученной очисткой одностадийной металл-хелатной хроматографией, позволило обеспечить требуемую селективность детекции D. solani.
Другим важным вопросом комбинирования РПА с селективной детекцией целевых ампликонов CRISPR-нуклеазой Cas12a была чувствительность детекции. На рис. 3а представлен результат электрофоретического анализа продуктов, получаемых в результате амплификации при различном количестве бактериальной ДНК в РПА-пробе в присутствии 1 нг ДНК картофеля. Количество бактериальной ДНК было пересчитано в количество бактериальных геномов, исходя из размера генома D. solani (4.9 млн п. о. [23]) и средней молекулярной массы нуклеотида 325 г/моль. Как можно видеть, по мере понижения количества бактериальной ДНК возрастало количество нецелевых продуктов амплификации. Тем не менее анализ аликвоты РПА-пробы комплексом нРНК-3/Cas12a (рис. 3б) позволил однозначно детектировать присутствие целевых ампликонов (не наблюдалось разницы между флуоресценцией после добавления 1 мкл контрольной пробы и РПА-пробы, содержащей нецелевые продукты амплификации, получаемые в присутствии только ДНК картофеля — данные не показаны). Однако, как видно из рис. 3б, кинетика флуоресценции значительно замедлялась в случае аликвот РПА-пробы, в которую бактериальная ДНК вносилась в количестве 0.005 или 0.05 пг на пробу (1 и 10 бактериальных геномов соответственно). При этом присутствие целевых ампликонов все еще можно детектировать визуально на электрофореграммах (рис. 3а, дорожки 1 и 2). Таким образом, не наблюдалось однозначного увеличения чувствительности детекции D. solani при сопряжении РПА с определением целевых ампликонов CRISPR-нуклеазой Cas12a по сравнению с электрофоретическим анализом. Вместе с тем следует отметить, что электрофоретический анализ продуктов амплификации не может быть адаптирован к требованиям полевой ДНК-диагностики, тогда как визуальная детекция проявления коллатеральной активности CRISPR-нуклеазой Cas12a (по появлению желто-зеленой окраски пробы из-за флуоресценции FAM при освещении синим светом с длиной волны 400–500 нм) принципиально возможна [5].
Рис. 3. Результаты электрофоретического анализа продуктов РПА для различного количества бактериальных геномов D. solani в присутствии 1 нг ДНК картофеля (а) и тестирования продуктов РПА комплексом нРНК-3/Cas12а (б): М — ДНК-стандарты, 1–5 — количество копий бактериальных геномов на РПА-пробу 1, 10, 100, 1000 и 10000 соответственно. Целевой продукт амплификации указан стрелкой. б — Характерные зависимости разницы флуоресценции пробы с добавлением продуктов РПА и контрольной пробы без добавления продуктов РПА (F–F0, у. е.) от времени инкубации (мин). (1 мкл РПА-пробы на тест-пробирку с нРНК/Cas12а. Концентрация нРНК-3 – 30 нМ, концентрация Cas12а — 30 нМ).
Можно ожидать, что чувствительность детекции повысится, если увеличить объем аликвоты РПА-пробы (количество ДНК-мишени), добавляемой в реакцию с CRISPR/Cas-нуклеазой. Действительно, уровень коллатеральной активности CRISPR-нуклеазы Cas12a (который оценивался по величине начальной скорости роста флуоресценции, рис. S2) возрастал, но только до объема аликвоты РПА-пробы 1 мкл, выходя на плато при больших объемах (рис. S3). Такой же выход на плато наблюдался и при добавлении аликвоты РПА-пробы, в которую бактериальная ДНК вносилась в количестве 0.5 пг (100 копий генома на пробу). Неожиданным результатом было то, что при добавлении 9 мкл РПА-пробы наблюдалось замедление кинетики роста флуоресценции (рис. S3). Наиболее вероятная причина этого — присутствие в буфере РПА-пробы компонентов, ингибирующих активность CRISPR-нуклеазы Cas12a.
Повышение чувствительности детекции можно было ожидать с ростом концентрации комплексов нРНК-3/Cas12a. Повышение концентрации CRISPR-нуклеазы Cas12a до 90 и 150 нМ действительно приводило к значительному увеличению скорости расцепления репортеров (рис. 4) при том же объеме аликвоты РПА-пробы с количеством бактериальной ДНК 0.005 пг (кривая 1, рис. 3б). Отметим, что при концентрации CRISPR-нуклеазы Cas12a 150 нМ наблюдалась несколько более медленная кинетика, чем при 90 нМ (рис. 4), следовательно дальнейшее повышение концентрации нуклеазы не улучшит чувствительность детекции. Следует отметить, что достигаемый при этом уровень флуоресценции позволял детектировать коллатеральную активность CRISPR-нуклеазы Cas12a и, соответственно, присутствие целевых ампликонов в РПА-пробе визуально по изменению интенсивности окраски реакционной пробы при ее освещении синим светом с длиной волны 400–500 нм (вставка на рис. 4).
Рис. 4. Характерные зависимости разницы флуоресценций пробы с добавлением продуктов РПА и контрольной пробы без добавления продуктов РПА (F–F0, у. е.) от времени инкубации (мин): 1 и 2 — концентрации CRISPR-нуклеазы Cas12a 90 и 150 нМ соответственно. Молярное отношение нРНК-3/Cas12а = 1. (1 мкл РПА-пробы на тест-пробу с нРНК-3/Cas12а. 1 копия бактериального генома на РПА-пробу). На врезке: 1 — контрольная проба, 2 — проба как на кривой 2 рис. 4. Облучение синим светом (400–500 нм), оранжевый светофильтр.
Таким образом, препараты рекомбинантной CRISPR-нуклеазы Cas12a с мишень-зависимой коллатеральной активностью нуклеазы могут быть получены после гетерологической экспрессии в E. coli с помощью простой одностадийной очистки металл-хелатной хроматографией. Функциональные свойства CRISPR-нуклеазы Cas12a в данных препаратах таковы, что позволяют использовать их в технологии DETECTR при разработке высокоселективных тестов для полевой ДНК-диагностики различных патогенов, как показано на примере детекции бактериального фитопатогена D. solani. Комбинирование CRISPR-нуклеазы Cas12a, полученной по упрощенной схеме очистки, с рекомбиназной полимеразной амплификацией участка региона SOL-C генома D. solani позволило достичь высокой селективности детекции в отношении близкородственных и неродственных фитопатогенов с пределом обнаружения 1 копия генома D. solani в реакционной пробе. Результат может быть определен визуально, без использования сложных инструментальных методов, по изменению окраски реакционной пробы при освещении синим светом, что создает основу для разработки полевой ДНК-диагностики данного фитопатогена. Применение одностадийной хроматографической очистки приводит к существенному снижению времени и ресурсов, необходимых для получения функционально активной CRISPR-нуклеазы Cas12a для разработки и производства подобных ДНК-диагностикумов на основе технологии DETECTR.
Авторы выражают благодарность сотрудникам ИБМХ им. В. Н. Ореховича И. Ю. Торопыгину и М. А. Константинову за помощь в проведении масс-спектрометрического анализа.
В работе использовалось оборудование ЦКП “Протеом человека” ИБМХ им. В. Н. Ореховича.
Работа выполнена при финансовой поддержке Министерства науки и высшего образования Российской Федерации в рамках Федеральной научно-технической программы развития генетических технологий на 2019–2027 годы (соглашение № 075-15-2021-1345, уникальный идентификатор проекта RF193021X0012).
About the authors
L. K. Kurbatov
N.V. Orekhovich Institute of Biomedical Chemistry
Author for correspondence.
Email: kurbatovl@mail.ru
Russian Federation, Moscow, 119121
S. P. Radko
N.V. Orekhovich Institute of Biomedical Chemistry; University of Tyumen, West Siberia Interregional Research and Educational Center
Email: radkos@yandex.ru
Russian Federation, Moscow, 119121; Tyumen, 625003
S. A. Khmeleva
N.V. Orekhovich Institute of Biomedical Chemistry
Email: kurbatovl@mail.ru
Russian Federation, Moscow, 119121
K. G. Ptitsyn
N.V. Orekhovich Institute of Biomedical Chemistry
Email: kurbatovl@mail.ru
Russian Federation, Moscow, 119121
O. S. Timoshenko
N.V. Orekhovich Institute of Biomedical Chemistry
Email: kurbatovl@mail.ru
Russian Federation, Moscow, 119121
A. V. Lisitsa
N.V. Orekhovich Institute of Biomedical Chemistry; University of Tyumen, West Siberia Interregional Research and Educational Center
Email: kurbatovl@mail.ru
Russian Federation, Moscow, 119121; Tyumen, 625003
References
- Kaminski M. M., Abudayyeh O. O., Gootenberg J. S., Zhang F., Collins J. J. // Nat. Biomed. Eng. 2021. V. 5. № 7. P. 643–656.
- Fapohunda F. O., Qiao S., Pan Y., Wang H., Liu Y., Chen Q., Lü P. // Microbiol. Res. 2022. V. 259. P. 127000. https://doi.org/10.1016/j.micres.2022.127000
- Gootenberg J. S., Abudayyeh O. O., Lee J. W., Essletzbichler P., Dy A. J., Joung J. et al. // Science. 2017. V. 356. № 6336. P. 438–442.
- Chen J. S., Ma E., Harrington L. B., Da Costa M., Tian X., Palefsky J. M., Doudna J. A. // Science. 2018. V. 360. № 6387. P. 436–439.
- Yuan B., Yuan C., Li L., Long M., Chen Z. // Molecules. 2022. V. 27. № 20. P. 6999. https://doi.org/10.3390/molecules27206970
- Lobato I. M., O’Sullivan C.K. // Trends Analyt. Chem. 2018. V. 98. P. 19–35.
- Zetsche B., Gootenberg J. S., Abudayyeh O. O., Slaymaker I. M., Makarova K. S., Essletzbichler P. et al. // Cell. 2015. V. 163. № 3. P. 759–771.
- Chen J., Huang Y., Xiao B., Deng H., Gong K., Li K., Li L., Hao W. // Front Microbiol. 2022. V. 13. P. 842415. https://doi.org/10.3389/fmicb.2022.842415
- Курбатов Л. К., Радько С. П., Кравченко С. В., Киселёва О. И., Дурманов Н. Д., Лисица А. В. // Прикл. биохимия и микробиология. 2020. Т. 56. № 6. P. 587–594.
- van der Wolf J. M., Nijhuis E. H., Kowalewska M. J., Saddler G. S., Parkinson N., Elphinstone J. G. et al. // Int. J. Syst. Evol. Microbiol. 2014. V. 64. № 3. P. 768–774.
- Toth I. K., van der Wolf J. M., Saddler G., Lojkowska E., Helias V., Pirhonen M. et al. // Plant Pathol. 2011. V. 60. № 3. P. 385–399.
- Pritchard L., Humphris S., Saddler G. S., Parkinson N. M., Bertrand V., Elphinstone J. G., Toth I. K. // Plant Pathol. 2013. V. 62. № 3. P. 587–596.
- Humphris S. N., Cahill G., Elphinstone J. G., Kelly R., Parkinson N. M., Pritchard L., Toth I. K., Saddler G. S.// Methods Mol. Biol. 2015. V. 1302. P. 1–16.
- Van Vaerenbergh J., Baeyen S., De Vos P., Maes M. // PloS One. 2012. V. 7. № 5. P. e35738. https://doi.org/10.1371/journal.pone.0035738
- Ivanov A. V., Safenkova I. V., Drenova N. V., Zherdev A. V., Dzantiev B. B. // Mol. Cell. Probes. 2020. V. 53. P. 101622. https://doi.org/10.1016/j.mcp.2020.101622
- Suprun E. V., Khmeleva S. A., Kutdusova G. R., Ptitsyn K. G., Kuznetsova V. E., Lapa S. A. et al. // Electrochem. Commun. 2021. V. 131. P. 107120. https://doi.org/10.1016/j.elecom.2021.107120
- Murugan K., Seetharam A. S., Severin A. J., Sashital D. G. // J. Biol. Chem. 2020. V. 295. P. 5538–5553.
- Mohanraju P., Oost J., Jinek M. Swarts D. // Bio-protocol. 2018. V. 8. P. e2842. https://doi.org/10.21769/BioProtoc.2842
- Moreno-Mateos M. A., Fernandez J. P., Rouet R., Vejnar C. E., Lane M. A., Mis E. et al. // Nat. Commun. 2017. V. 8. № 1. P. 2024. https://doi.org/10.1038/s41467-017-01836-2
- Tran M. H., Park H., Nobles C. L., Karunadharma P., Pan L., Zhong G., Wang H. et al. // Mol. Ther. Nucleic Acids. 2021. V. 24. P. 40–53.
- Owens R.M, Grant A., Davies N., O’Connor C.D. // Protein Expr. Purif. 2001. V. 21. № 2. P. 352–360.
- Kurbatov L. K., Radko S. P., Khmeleva S. A., Timoshenko O. S., Lisitsa A. V. // Biomed. Chem. Res. Meth. 2022. V. 5. № 4. P. e00177. https://doi.org/10.18097/BMCRM00177
- Khayi S., Blin P., Chong T. M., Robic K., Chan K. G., Faure D. // Genome Announc. 2018. V. 6. № 4. P. e01447–17. https://doi.org/10.1128/genomeA.01447-17
Supplementary files





