Cardioprotective Effect of Soy Protein on a High-Salt Diet in Cynomolgus Monkeys
- Authors: Kulikov A.N.1, Beresneva O.N.1, Ivanova G.T.2, Parastaeva M.M.1, Bogdanova E.O.1,3, Kayukov I.G.1, Kucher A.G.1, Orlov S.V.4
-
Affiliations:
- First Pavlov Saint-Petersburg State Medical University
- Pavlov Institute of Physiology of the Russian Academy of Sciences
- Department of Experimental and Scientific Research, Interregional Laboratory Center
- Federal State Budgetary Scientific Institution “Research Institute of Medical Primatology”, Krasnodar Territory
- Issue: Vol 109, No 6 (2023)
- Pages: 771-787
- Section: EXPERIMENTAL ARTICLES
- URL: https://medbiosci.ru/0869-8139/article/view/137954
- DOI: https://doi.org/10.31857/S0869813923060055
- EDN: https://elibrary.ru/WHBVEH
- ID: 137954
Cite item
Full Text
Abstract
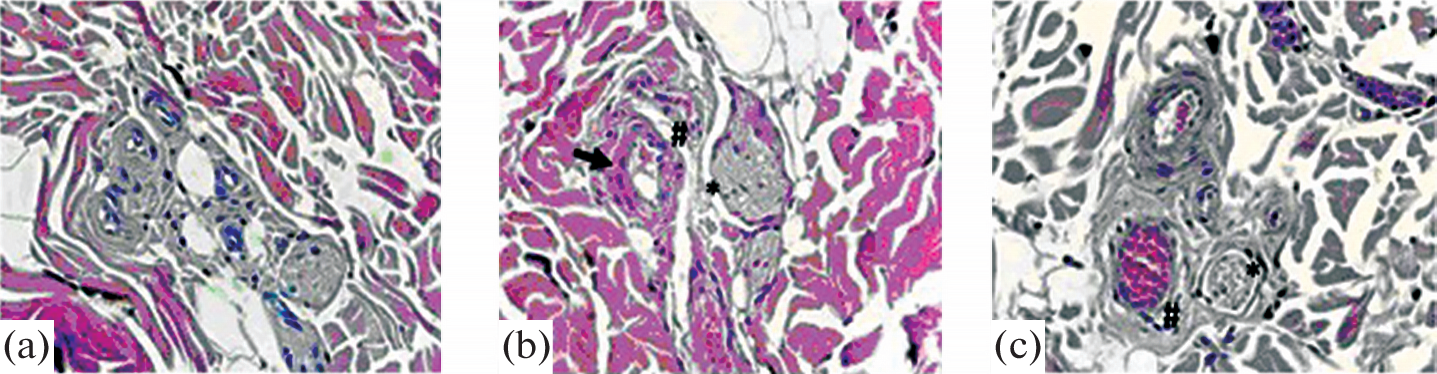
Excessive salt intake is accompanied by the development of cardiovascular disorders, not always associated with an increase in blood pressure (BP). Given the cardioprotective effect of soy proteins in chronic kidney disease, the question arose of the possibility of leveling dietary interventions, in particular soy proteins, the damaging effect of a high-salt diet on the cardiovascular system. The aim of this work is to study the effect of long-term use of a diet high in NaCl and soy protein on myocardial remodeling and skin histomorphology in monkeys. The study was performed on male Javan macaques (Macaca fascicularis). The control group received a standard diet (2 g NaCl/kg feed). The second was a high-salt diet (8 g NaCl/kg feed), the third was a high-salt diet and SUPRO760 soy protein (200 g/kg feed). Echocardiography, registration of BP and heart rate were performed at baseline, after 4 and 12 months. After 12 months, a histological examination of the musculocutaneous flap was performed. In all animals, BP and heart rate did not change significantly during 12 months. In macaques on a high-salt diet, by the end of the study, deterioration in systolic and diastolic functions of the left ventricle (LV) was noted. In animals receiving additional soy protein, these changes leveled out. After 12 months, macaques fed soy protein had LV myocardial mass smaller and higher LV contractility than animals fed excess salt without soy protein. In monkeys on a high-salt diet, accumulation of collagen fibers in the hypodermis, hyalinization of the cytoplasm of capillary smooth muscle cells, perivascular and perineural edema of the reticular dermis were revealed. In animals treated with soy protein, skin capillary remodeling was less pronounced. Thus, high salt intake leads to adverse structural and functional disorders of the heart and blood vessels in cynomolgus monkeys, not associated with an increase in blood pressure. The inclusion of soy isolate in the diet reduces the negative effects of a high-salt diet on the cardiovascular system.
Keywords
About the authors
A. N. Kulikov
First Pavlov Saint-Petersburg State Medical University
Email: beresnevaolga@list.ru
Russia, St. Petersburg
O. N. Beresneva
First Pavlov Saint-Petersburg State Medical University
Author for correspondence.
Email: beresnevaolga@list.ru
Russia, St. Petersburg
G. T. Ivanova
Pavlov Institute of Physiology of the Russian Academy of Sciences
Email: beresnevaolga@list.ru
Russia, St. Petersburg
M. M. Parastaeva
First Pavlov Saint-Petersburg State Medical University
Email: beresnevaolga@list.ru
Russia, St. Petersburg
E. O. Bogdanova
First Pavlov Saint-Petersburg State Medical University; Department of Experimental and Scientific Research, Interregional Laboratory Center
Email: beresnevaolga@list.ru
Russia, St. Petersburg; Russia, St. Petersburg
I. G. Kayukov
First Pavlov Saint-Petersburg State Medical University
Email: beresnevaolga@list.ru
Russia, St. Petersburg
A. G. Kucher
First Pavlov Saint-Petersburg State Medical University
Email: beresnevaolga@list.ru
Russia, St. Petersburg
S. V. Orlov
Federal State Budgetary Scientific Institution “Research Institute of Medical Primatology”,Krasnodar Territory
Email: beresnevaolga@list.ru
Russia, Sochi-Adler
References
- Kurtz TW, Pravenec M, DiCarlo SE (2022) Mechanism-based strategies to prevent salt sensitivity and salt-induced hypertension. Clin Sci (Lond) 136: 599–620. https://doi.org/10.1042/CS20210566
- Ertuglu LA, Elijovich F, Laffer CL, Kirabo A (2021) Salt-Sensitivity of Blood Pressure and Insulin Resistance. Front Physiol 12:2260. https://doi.org/10.3389/ fphys.2021.793924
- Kanbay M, Chen Y, Solak P, Sanders PW (2011) Mechanisms and consequences of salt sensitivity and dietary salt intake. Curr Opin Nephrol Hypertens 20: 37–43. https://doi.org/10.1097/MNH.0b013e32834122f1
- Selvarajah V, Connolly K, McEniery C, Wilkinson I (2018) Skin Sodium and Hypertension: A Paradigm Shift? Curr Hypertens Rep 20: 94. https://doi.org/10.1007/s11906-018-0892-9
- Mishra S, Ingole S, Jain R (2018) Salt sensitivity and its implication in clinical practice. Indian Heart J 70: 56–564. https://doi.org/10.1016/j.ihj.2017.10.006
- Maaliki D, Itani MM, Itani HA (2022) Pathophysiology and genetics of salt-sensitive hypertension. Front Physiol 13: 1001434. https://doi.org/10.3389/ fphys.2022.1001434
- Stolarz-Skrzypek K, Kuznetsova T, Thijs L, Tikhonoff V, Seidlerová J, Richart T, Jin Y, Olszanecka A, Malyutina S, Casiglia E, Filipovský J (2011) Fatal and nonfatal outcomes, incidence of hypertension, and blood pressure changes in relation to urinary sodium excretion. Jama 305: 1777–1785. https://doi.org/10.1001/jama.2011.574
- O’Donnell M, Yusuf S, Mente A, Gao P, Mann JF, Teo K, McQueen M, Sleight P, Sharma AM, Dans A, Probstfield J (2011) Urinary sodium and potassium excretion and risk of cardiovascular events. JAMA 306: 2228–2239. https://doi.org/10.1001/jama.2011.1729
- Mente A, O’Donnell M, Yusuf S (2021) Sodium intake and health: what should we recommend based on the current evidence? Nutrients 13: 3232.https://doi.org/10.3390/nu13093232
- O’Donnell M, Mente A, Alderman MH, Brady AJB, Diaz R, Gupta R, López-Jaramillo P, Luft FC, Lüscher TF, Mancia G (2020) Salt and cardiovascular disease: Insufficient evidence to recommend low sodium intake. Eur Heart J 41: 3363–3373. https://doi.org/10.1093/eurheartj/ehaa586
- Cook NR, Cutler JA, Obarzanek E, Buring JE, Rexrode KM, Kumanyika SK, Appel LJ, Whelton PK (2007) Long term effects of dietary sodium reduction on cardiovascular disease outcomes: Observational follow-up of the trials of hypertension prevention (TOHP). BMJ 334: 885–888. https://doi.org/10.1136/ bmj.39147.604896.55
- Парастаева ММ, Береснева ОН, Иванова ГТ, Швед НВ, Кучер АГ, Зубина ИМ, Каюков ИГ (2016) Артериальная гипертензия и потребление соли: вклад в ремоделирование сердца. Нефрология 20: 97–105. [Parastaeva MM, Beresneva ON, Ivanova GT, Shved NV, Kucher AG, Zubina IM, Kayukov IG (2016) Hypertension and salt intake: contribution to cardiac remodeling. Nephrology (Saint-Petersburg) 20: 97–105. (In Russ)].
- Mente A, O’Donnell M, Rangarajan S, McQueen M, Dagenais G, Wielgosz A, Lear S, Ah STL, Wei L, Diaz R, Avezum A, Lopez-Jaramillo P (2018) Urinary sodium excretion, blood pressure, cardiovascular disease, and mortality: a community-level prospective epidemiological cohort study. Lancet 392: 496–506. https://doi.org/10.1016/S0140- 6736(18)31376-X
- Иванова ЛН, Арчибасова ВК, Штеренталь И (1978) Натрийдепонирующая функция кожи у белых крыс. Физиол Ж СССР им ИМ Сеченова 64: 358–363. [Ivanova LN, Archibasova VK, Shterental’ I (1978) Sodium-depositing function of the skin in white rats. Fiziol Zh SSSR Im IM Sechenova 64: 358–363. (In Russ)].
- Titze J, Dahlmann A, Lerchl K, Kopp C, Rakova N, Schröder A, Luft F (2014) Spooky sodium balance. Kidney Int 85: 759–767.https://doi.org/10.1038/ki.2013.367
- Cheng Y, Song H, Pan X, Xue H, Wan Y, Wang T (2018) Urinary metabolites associated with blood pressure on a low- or high-sodium diet. Theranostics 8: 1468–1480.https://doi.org/10.7150/thno.22018
- Rinschen MM, Palygin O, El-Meanawy A, Domingo-Almenara X, Palermo A, Dissanayake LD, Golosova D, Schafroth MA, Guijas C, Demir F, Jaegers J, Gliozzi ML, Xue J, Hoehne M, Benzing T (2022) Accelerated lysine metabolism conveys kidney protection in salt-sensitive hypertension. Nat Commun 13: 4099. https://doi.org/10.1038/s41467-022-31670-0
- Rinschen MM, Palygin O, Guijas C, Palermo A, Palacio-Escat N, Domingo-Almenara X, Montenegro-Burke R, Saez-Rodriguez J, Staruschenko A, Siuzdak G (2019) Metabolic rewiring of the hypertensive kidney. Sci Signal 12: eaax9760.https://doi.org/10.1126/ scisignal.aax
- McGraw NJ, Krul ES, Grunz-Borgmann E, Parrish AR (2016) Soy-based renoprotection. World J Nephrol 5: 233–257.https://doi.org/10.5527/wjnv5. i3.233
- Jheng H-F, Hirotsuka M, Goto T, Shibata M, Matsumura Y, Kawada T (2017) Dietary low-fat soy milk powder retards diabetic nephropathy progression via inhibition of renal fibrosis and renal inflammation. Mol Nutr Food Res 61: 61. https://doi.org/10.1002/mnfr.201600461
- Caponio GR, Wang DQ-H, Di Ciaula A, De Angelis M, Portincasa P (2020) Regulation of cholesterol metabolism by bioactive components of soy proteins: Novel translational evidence. Int J Mol Sci 22:227.https://doi.org/10.3390/ ijms22010227
- Каюков ИГ, Береснева ОН, Парастаева ММ, Иванова ГТ, Куликов АН, Кучер АГ, Карал-оглы ДД, Орлов СВ (2019) Протеины сои противодействуют ремоделированию сердца у крыс Wistar, получающих рацион с высоким содержанием хлорида натрия. Нефрология 23: 92–99. [Kayukov IG, Beresneva ON, Parastaeva MM, Ivanova GT, Kulikov AN, Kucher AG, Karal-ogly DD, Orlov SV (2019) Soybean proteins counteract heart remodeling in Wistar rats fed a high sodium chloride diet. Nephrology (Saint-Petersburg) 23: 92–99. (In Russ)]. https://doi.org/10.36485/1561-6274-2019-236-92-99
- Wagner JD, Zhang L, Greaves KA, Shadoan MK, Schwenke DC (2000) Soy protein reduces the arterial low-density lipoprotein (LDL) concentration and delivery of LDL cholesterol to the arteries of diabetic and nondiabetic male cynomolgus monkeys. Metabolism 49: 1188–1196. https://doi.org/10.1053/meta.2000.8620
- Walker SE, Adams MR, Franke AA, Register TC (2000) Effects of dietary soy protein on iliac and carotid artery atherosclerosis and gene expression in male monkeys. Atherosclerosis 196: 106–113.https://doi.org/10.1016/ j.atherosclerosis.2007.02.007
- Majid DS, Prieto MC, Navar LG (2015) Salt-Sensitive Hypertension: Perspectives on Intrarenal Mechanisms. Curr Hypertens Rev 11: 38–48. https://doi.org/10.2174/1573402111666150530203858
- Robinson AT, Edwards DG, Farquhar WB (2019) The influence of dietary salt beyond blood pressure. Curr Hypertens Rep 21: 42.https://doi.org/10.1007/s11906-019-0948-5
- Yuan BH, Leenen FH (1991) Dietary sodium intake and left ventricular hypertrophy in nomotensive rats. Am J Physiol 261: H1397–H1401. https://doi.org/10.1152/ajpheart.1991.261.5.H1397
- Safar ME, Thuilliez C, Richard V, Benetos A (2000) Pressure-independent contribution of sodium on large artery structure and function in hypertension. Cardiovasc Res 46: 269–276.https://doi.org/10.1016/s0008-6363(99)00426-5
- Jaques DA, Wuerzner G, Ponte B (2021) Sodium intake as a cardiovascular risk factor: a narrative review. Nutrients 13: 3177. https://doi.org/10.3390/nu13093177
- Whaley-Connell AT, Habibi J, Aroor A, Ma L, Hayden M R, Ferrario CM, Demarco VG, Sowers JR (2013) Salt loading exacerbates diastolic dysfunction and cardiac remodeling in young female Ren2 rats. Metabolism 62: 1761–1771. https://doi.org/10.1016/j.metabol.2013.08.010
- Li K, Song H, Wei F, Liu D, Zhao Y, Yin H, Cui Y, Zhang H, Liu Z (2022) High salt intake damages myocardial viability and induces cardiac remodeling via chronic inflammation in the elderly. Front Cardiovasc Med 9: 95269. https://doi.org/10.3389/fcvm.2022.952691
- Yu HC, Burrell LM, Black MJ, Wu LL, Dilley RJ, Cooper ME, Johnston CI (1998) Salt induces myocardial and renal fibrosis in normotensive and hypertensive rats. Circulation 98: 2621–2628. https://doi.org/10.1161/01.cir.98.23.2621
- Grigorova YN, Juhasz O, Zernetkina V, Fishbein KW, Lakatta EG, Fedorova OV, Bagrov AY (2016) Aortic fibrosis, induced by high salt intake in the absence of hypertensive response, is reduced by a monoclonal antibody to marinobufagenin. Am J Hypertens 29: 641–646 https://doi.org/10.1093/ajh/hpv155
- Xiao H, Lu H, Xue Y, Jia Z, Dai M, He K, Zhao R (2023) Deleterious effect in endothelin receptor-mediated coronary artery smooth muscle contractility in high-salt diet rats. Nutr Metab Cardiovasc Dis 33: 234–244. https://doi.org/10.1016/j.numecd.2022.10.010
- Wu C, Yosef N, Thalhamer T, Zhu C, Xiao S, Kishi Y, Regev A, Kuchroo VK (2013) Induction of pathogenic TH 17 cells by inducible salt-sensing kinase SGK1. Nature 496: 513–517. https://doi.org/10.1038/nature11984
- Namai-Takahashi A, Sakuyama A, Nakamura T, Miura T, Takahashi J, Kurosawa R, Masahiro Kohzuki M, Ito O (2019) Xanthine oxidase inhibitor, febuxostat ameliorates the high salt intake-induced cardiac hypertrophy and fibrosis in Dahl Salt-Sensitive rats. Am J Hypertens 32: 26–33 https://doi.org/10.1093/ajh/hpy143
- Li J, White J, Guo L, Zhao X, Wang J, Smart EJ, Li XA (2009) Salt inactivates endothelial nitric oxide synthase in endothelial cells. J Nutr 139: 447–451. https://doi.org/10.3945/jn.108.097451
- Kagota S, Tamashiro A, Yamaguchi Y, Sugiura R, Kuno T, Nakamura K, Kunitomo M (2001) Downregulation of vascular soluble guanylate cyclase induced by high salt intake in spontaneously hypertensive rats. Br J Pharmacol 134: 737–744. https://doi.org/10.1038/sj.bjp.0704300
- Gonzalez M, Lobos L, Castillo F, Galleguillos L, Lopez NC, Michea L (2005) High-salt diet inhibits expression of angiotensin type 2 receptor in resistance arteries. Hypertension 45: 853–859. https://doi.org/10.1161/01.HYP. 0000161990. 98383.ad
- Jessup JA, Lindsey SH, Wang H, Chappell MC, Groban L (2010) Attenuation of salt-induced cardiac remodeling and diastolic dysfunction by the GPER agonist G-1 in female mRen2.Lewis rats. PLoS One 5: e15433. https://doi.org/10.1371/journal. pone.0015433
- Patik JC, Lennon SL, Farquhar WB, Edwards DG (2021) Mechanisms of dietary sodium-induced impairments in endothelial function and potential countermeasure. Nutrients 13: 270.https://doi.org/10.3390/nu13010270
- Zhu J, Mori T, Huang T, Lombard JH (2004) Effect of high-salt diet on NO release and superoxide production in rat aorta. Am J Physiol Heart Circ Physiol 286: H575–H583.https://doi.org/10.1152/ajpheart.00331.2003
- Dmitrieva NI, Burg MB (2007) High NaCl promotes cellular senescence. Cell Cycle 6: 3108–3113. https://doi.org/10.4161/cc.6.24.5084
- Siu PM, Bae S, Bodyak N, Rigor DL, Kang PM (2007) Response of caspase-independent apoptotic factors to high salt diet-induced heart failure. J Mol Cell Cardiol 42: 678–686.https://doi.org/10.1016/j.yjmcc.2007.01.001
- Kataoka K, Tokutomi Y, Yamamoto E, Nakamura T, Fukuda M, Dong YF Ichijo H, Ogawa H, Kim-Mitsuyama S (2011) Apoptosis signal-regulating kinase1 deficiency eliminates cardiovascular injuries induced by high-salt diet. J Hypertens 29: 76–84.https://doi.org/10.1097/HJH.0b013e32833fc8b0
- Zhu Q, Hu J, Wang L, Wang W, Wang Z, Li PL, Li N (2021) Overexpression of MicroRNA-429 transgene into the renal medulla attenuated salt-sensitive hypertension in Dahl S rats. Am J Hypertens 34: 1071–1077. https://doi.org/10.1093/ajh/hpab089
- Орлов СВ, Береснева ОН, Зарайский МИ, Карал-Оглы ДД, Парастаева ММ, Иванова ГТ, Кучер АГ, Куликов АН, Смирнов АВ, Каюков ИГ (2021) Изменения экспрессии микроРНК в моче яванских макак (Macaca fascicularis) при высоком потреблении поваренной соли. Вопросы питания 90: 94–102. [Orlov SV, Beresneva ON, Zaraisky MI, Karal-Оgly DD, Parastaeva MM, Ivanova GT, Kucher AG, Kulikov AN, Smirnov AV, Kayukov IG (2021) Urinary miRNA expression in cynomolgus macaques (Macaca fascicularis) fed high salt rations. Vopr Pitan 90: 94–102. (In Russ)]. https://doi.org/10.33029/0042-8833-2021-90-4-94-102
- Тарумов РА, Гребенюк АН, Башарин ВА, Ковтун ВЮ (2014) Биологические свойство фитоэстрогена генистеина (обзор литературы). Медицина экстремальных ситуаций 48: 55–68 [Tarumov RA, Grebenyuk AN, Basharin VA, Kovtun VYu (2014) Biological properties of genistein phytoestrogen (literature review). Emergency Medicine 48: 55–68. (In Russ)].
- Береснева ОН, Парастаева ММ, Кучер АГ, Иванова ГТ, Каюков ИГ, Смирнов АВ (2011) Ренопротективные эффекты соевой белковой диеты. Нефрология 15: 26–34. [Beresneva ON, Parastaeva MM, Kucher AG, Ivanova GT, Kayukov IG, Smirnov AV (2011) Renoprotective effects of soy protein diet. Nephrology (Saint-Petersburg) 15: 26–34. (In Russ)].
- Смирнов АВ, Кучер АГ, Добронравов ВА, Береснева ОН, Парастаева ММ, Сиповский ВГ, Зарайский МИ, Иванова ГТ, Сиповская ЕБ, Каюков ИГ (2012) Диетарный соевый протеин замедляет развитие интерстициального почечного фиброза у крыс с односторонней обструкцией мочеточника: введение в нутритивную эпигеномику. Нефрология 16: 75–83. [Smirnov AV, Kucher AG, Dobronravov VA, Beresneva ON, Parastaeva MM, Sipovsky VG, Zaraisky MI, Ivanova GT, Sipovskaya EB, Kayukov IG (2012) Dietary soy protein slows the development of interstitial renal fibrosis in rats with unilateral ureteral obstruction: an introduction to nutritional epigenomics. Nephrology (Saint-Petersburg) 16: 75– 83. (In Russ)].
- Titze J, Lang R, Ilies C, Schwind K, Kirsch K, Dietsch P, Luft F, Hilgers K (2003) Osmotically inactive skin Na+ storage in rats. Am J Physiol Renal Physiol 285: F1108–F1117.https://doi.org/10.1152/ajprenal.00200.2003
- Titze J, Dahlmann A, Lerchl K, Kopp C, Rakova N, Schröder A, Luft F (2014) Spooky sodium balance. Kidney Int 85: 759–767. https://doi.org/10.1038/ki.2013.367
- Platia MP, Catt KJ, Hodgen GD, Aguilera G (1986) Regulation of primate angiotensin II receptors during altered sodium intake. Hypertension 8:1121–1112. https://doi.org/10.1161/01.hyp.8.12.1121
Supplementary files








