5-HT2-Receptors and 5-HIAA – Therapeutic Targets for Evaluation of Severity, Progression and Effectiveness of Treatment in Immature Male Rats in a Monocrotalin Model of Pulmonary Hypertension
- 作者: Bilalova D.F.1, Nigmatullina R.R.1, Mustafin A.A.1,2
-
隶属关系:
- Kazan State Medical University
- Children’s Republican Clinical Hospital of the Ministry of Health of the Republic of Tatarstan
- 期: 卷 109, 编号 8 (2023)
- 页面: 1045-1055
- 栏目: EXPERIMENTAL ARTICLES
- URL: https://medbiosci.ru/0869-8139/article/view/137977
- DOI: https://doi.org/10.31857/S0869813923080022
- EDN: https://elibrary.ru/NOKUOF
- ID: 137977
如何引用文章
全文:
详细
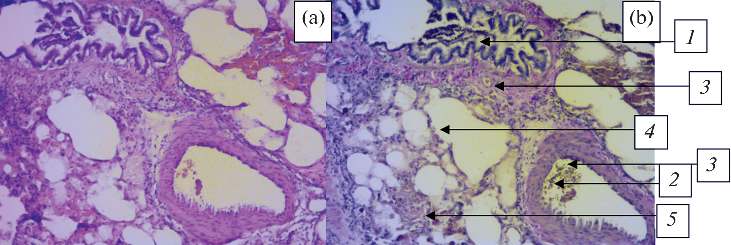
Suppression of the proliferation of vascular endothelial cells and the interaction of endothelial with smooth muscle cells in pulmonary hypertension (PH) are impaired. Participation of the 5-HT2a-receptor in the mitogenic effect on endothelial, and 5-HT2b-receptor – on vascular smooth muscle cells was revealed. The main organ that metabolizes serotonin is the lung. In the endothelial cells of the vessels of the lungs under the action of the enzyme monoamine oxidase And serotonin is converted to 5-hydroxyindoleacetic acid (5-HIAA), which is subsequently excreted in the urine. Currently, the role of 5-HT2-receptors is not taken into account in the treatment of children with pulmonary hypertension. We have modified the monocrotaline model of pulmonary hypertension for immature rats. A scheme for the administration of a 5-HT2-receptor blocker for the prevention and treatment of pulmonary hypertension in immature rats was developed and tested. A positive correlation was found between the concentration of 5-HIAA in urine and the degree of pulmonary hypertension, which can become a potential marker of pulmonary hypertension. The data obtained indicate the development of pulmonary hypertension in immature rats after a single injection of monocrotaline in the form of replacement of lung tissue with fibrous tissue, the development of pneumosclerosis and bronchiectasis. Also, in animals in this model, changes in the structure of the heart muscle and vascular wall are formed with the development of fibrous tissue, which may indicate the involvement of 5HT2-receptors in the activation of fibroblasts and, accordingly, in the pathogenesis of pulmonary hypertension.
作者简介
D. Bilalova
Kazan State Medical University
编辑信件的主要联系方式.
Email: Diana_bilalova@hotmail.com
Russia, Republic of Tatarstan, Kazan
R. Nigmatullina
Kazan State Medical University
Email: Diana_bilalova@hotmail.com
Russia, Republic of Tatarstan, Kazan
A. Mustafin
Kazan State Medical University; Children’s Republican Clinical Hospital of the Ministry of Health of the Republic of Tatarstan
Email: Diana_bilalova@hotmail.com
Russia, Republic of Tatarstan, Kazan; Russia, Republic of Tatarstan, Kazan
参考
- Cooper DM, Bierlaning CL, Halford MK (1996) Serotonin. Mol Pharmacol 29(2): 113–119.
- Cote F, Thevenot E, Fligny C (2004) Disruption of the nonneuronaltph 1 gene demonstrates the importance of peripheral serotonin in cardiac function. Proc Natl Acad Sci U S A 100: 13 525–13 530.
- Билич ИА, Хамитов ХС (1977) Ацетилхолин и серотонин в норме и патологии желудочно-кишечного тракта. Казань. Татарск. книжн. изд. 1977: 142. [Bilich IL, Khamitov KhS (1977) Acetylcholine and serotonin are normal and enter the gastrointestinal tract. Kazan. Tat. Publ House. 1977: 142. (In Russ)].
- Gillis CN, Pitt BR (1982) The fate of circulating amines within the pulmonary circulation. Annu Rev Physiol 44: 269–281.
- Choi DS, Maroteaux L (1996) Immunohistochemical localization of the serotonin 5-HT2B receptor in mouse gut, cardiovascular system, and brain. FEBS Let 391(1–2): 45–51.
- Tournois C, Mutel V, Manivet P, Launay JM, Kellermann O (1998) Cross-talk between 5-hydroxytryptamine receptors in a serotonergic cell line. Involvement of arachidonic acid metabolism. J Biol Chem 273: 17498–17503.
- Galiè N, Manes A, Branzi A (2004) Evaluation of pulmonary arterial hypertension. Curr Opin Cardiol 19(6): 575–581. https://doi.org/10.1097/01.hco.0000142066.14966.85
- Hervé P, Launay JM, Scrobohaci ML, Brenot F, Simonneau G, Petitpretz P, Poubeau P, Cerrina J, Duroux P, Drouet L (1995) Increased plasma serotonin in primary pulmonary hypertension. Am J Med 99(3): 249–254.
- Houkin K, Nakayama N, Nonaka T, Koyanagi I (2005) The 5-hydroxytryptamine2A receptor antagonist sarpogrelate hydrochloride inhibits acute platelet aggregation in injured endothelium. J Int Med Res 34(1): 65–72.
- Frille A, Rullmann M, Becker GA, Patt M, Luthardt J, Tiepolt S, Wirtz H, Sabri O, Hesse S, Seyfarth HJ (2021) Increased pulmonary serotonin transporter in patients with chronic obstructive pulmonary disease who developed pulmonary hypertension. Eur J Nucl Med Mol Imag 48(4): 1081–1092. https://doi.org/10.1007/s00259-020-05056-7
- Nebigil CG, Choi DS, Dierich A, Hickel P, Le Meur M, Messaddeq N, Launay JM, Maroteaux L (2000) Serotonin 2B receptor is required for heart development. Proc Natl Acad Sci U S A 97(17): 9508–9513.
- Mindubayeva F, Niyazova Y, Nigmatullina R, Kabiyeva S, Salikhova Y (2020) The system of serotonin and its metabolism in platelets in children with congenital heart defects of an early age. Georg Med News 298: 42–46.
- Reyes-Palomares A, Gu M, Grubert F, Berest I, Sa S, Kasowski M, Arnold C, Shuai M, Srivas R, Miao S, Li D, Snyder MP, Rabinovitch M, Zaugg JB (2020) Remodeling of active endothelial enhancers is associated with aberrant gene-regulatory networks in pulmonary arterial hypertension. Nat Commun 3 11(1): 1673. https://doi.org/10.1038/s41467-020-15463-x
- Нигматуллина РР, Земскова СН, Зефиров АЛ, Смирнов АВ (2004) Клеточно-молекулярные механизмы функционирования и регуляции сердца : Учебно-методическое пособие для медицинских вузов. Казань. КГМУ 2004: 109. [Nigmatullina RR, Zemskova SN, Zefirov AL, Smirnov AV (2004) Cellular and molecular mechanisms of functioning and regulation of the heart. Kazan. KGMU 2004: 109. EDN EFFAZQ. (In Russ)].
- Adham N, Kao HT, Schercter LE (1993) Classification of receptors for serotonin. Proc Natl Acad Sci U S A 90(2): 408–412.
- Mindubayeva F, Niyazova Y, Nigmatullina R (2020) Membrane serotonin transporter as a biomarker of pulmonary arterial hypertension in children with congenital heart defect. RJPT 5(13): 2435–2438. https://doi.org/10.5958/0974-360X.2020.00436.9
- Affas S, AlhajSakur A (2019) New Simple Spectrophotometric Method for the Simultaneous Estimation of the Mixtures of Sildenafil and some Serotonin Reuptake Inhibitors. Res J Pharm and Techn 12(2): 711–716.
- Martinho S, Adão R, Leite-Moreira AF, Brás-Silva C (2020) Persistent Pulmonary Hypertension of the Newborn: Pathophysiological Mechanisms and Novel Therapeutic Approaches. Front Pediatr 24(8): 342. https://doi.org/10.3389/fped.2020.00342
- Launay JM, Hervé P, Callebert J, Mallat Z, Collet C, Doly S, Belmer A, Diaz SL, Hatia S, Côté F, Humbert M, Maroteaux L (2012) Serotonin 5-HT2B receptors are required for bone-marrow contribution to pulmonary arterial hypertension. Blood 119: 1772–1780.
- Mustafin AA, Nigmatullina RR, Bilalova DF (2018) Serotonin as the main cause of pulmonary hypertension: from hypothesis to medical practice. Modern Science: Actual Problems of Theory and Practice. Series: Natural and Technical Sci 3: 107–111.
- Masarwa R, Bar-Oz B, Gorelik E, Reif S, Perlman A, Matok I (2019) Prenatal exposure to selective serotonin reuptake inhibitors and serotonin norepinephrine reuptake inhibitors and risk for persistent pulmonary hypertension of the newborn: a systematic review, meta-analysis, and network meta-analysis. Am J Obstet Gynecol 220(1): 57.e1–57.e13. https://doi.org/10.1016/j.ajog.2018.08.030
- Kirillova V, Nigmatullina R, Dzhordzhikiya R, Kudrin V, Klodt P (2009) Increased concentrations of serotonin and 5-hydroxyindoleacetic acid in blood plasma from patients with pulmonary hypertension due to mitral valve disease. Bull Exp Biol Med 147(4): 408–410. https://doi.org/10.1007/s10517-009-0527-x
- Abman SH, Shanley PF, Accurso FJ (1989) Failure of postnatal adaptation of the pulmonary circulation after chronic intrauterine pulmonary hypertension in fetal lambs. J Clin Invest 83(6): 1849–1858. https://doi.org/10.1172/JCI114091
- Delaney C, Gien J, Grover TR, Roe G, Abman SH (2011) Pulmonary vascular effects of serotonin and selective serotonin reuptake inhibitors in the late-gestation ovine fetus. Am J Physiol Lung Cell Mol Physiol 301(6): L937–L944. https://doi.org/10.1152/ajplung.00198.2011
补充文件









