Молекулярный водород уменьшает среднее и систолическое артериальное давление и процессы воспаления в легких при разных формах гипертонии в экспериментах на крысах линии Wistar
- Авторы: Артемьева М.М.1, Куропаткина Т.А.2,3, Шишкина В.В.4, Серебряная Д.В.1,5, Адашева Д.А.1, Медведев О.С.1,6, Медведева Н.А.1
-
Учреждения:
- Московский государственный университет имени М. В. Ломоносова
- Российский экономический университет имени Г. В. Плеханова
- Российский университет дружбы народов
- Воронежский государственный медицинский университет имени Н. Н. Бурденко
- Российский национальный исследовательский медицинский университет имени Н. И. Пирогова
- Национальный медицинский исследовательский центр кардиологии имени академика Е. И. Чазова
- Выпуск: Том 110, № 10 (2024)
- Страницы: 1666-1682
- Раздел: ЭКСПЕРИМЕНТАЛЬНЫЕ СТАТЬИ
- URL: https://medbiosci.ru/0869-8139/article/view/274776
- DOI: https://doi.org/10.31857/S0869813924100073
- EDN: https://elibrary.ru/VRNEGA
- ID: 274776
Цитировать
Полный текст
Аннотация
Молекулярный водород проявляет антиоксидантные и противовоспалительные свойства. Показано его протективное действие при различных сердечно-сосудистых заболеваниях. Целью работы было изучение влияния дыхания атмосферным воздухом, содержащим 4% молекулярного водорода, на степень развития МКТ-легочной гипертонии и ассоциированной с ней интерстициальной болезни легких, а также выраженности реноваскулярной (1П1К) гипертонии в экспериментах на крысах. В качестве модели гипертонии малого круга кровообращения использовали монокроталин-индуцированную легочную гипертонию (МКТ-ЛГ). Эксперименты проводили на трех группах животных: “Контроль” – животным вводили растворитель для монокроталина, “МКТ-Контроль” и “МКТ-Н2” – группы, которым однократно вводился МКТ. Группы “Контроль” и “МКТ-Контроль” в течение 21 дня дышали атмосферным воздухом, а группа “МКТ-Н2” – воздухом, содержащим 4% водорода. Ингаляции были постоянными в течение 21-го дня. На 21-й день под уретановым наркозом измеряли гемодинамические параметры и фиксировали образцы легкого для последующего морфологического анализа. В качестве модели гипертонии большого круга использовали реноваскулярную гипертонию 1П1К (РВГ). В эксперименте было две группы: РВГ-К – крысы дышали атмосферным воздухом и РВГ-Н2 – крысы дышали воздухом, содержащим 4% водорода. В ходе эксперимента измеряли систолическое артериальное давление (САД) и оценивали выделительную функцию почки. На 28-й день под уретановым наркозом измеряли гемодинамические показатели. На модели МКТ водород не влиял на гемодинамические параметры МКТ гипертонии, но уменьшал среднее АД, САД, количество тучных клеток, секрецию триптазы из них, а также маркеры ремоделирования легких – TGF-β1 и ММП-9. На РВГ модели дыхание с водородом уменьшало среднее АД, САД и не влияло на выделительную функцию почки. Ингаляции 4% водорода вызывают уменьшение среднего АД и САД в обеих моделях артериальной гипертонии, снижают выраженность воспалительного процесса и ингибируют активность профиброзных факторов в тканях легкого при МКТ-ЛГ. Возможно, центральное действие водорода сочетается с его противовоспалительным и антифибротическим действием.
Полный текст
ВВЕДЕНИЕ
Артериальное давление (АД) является интегративным показателем состояния сердечно-сосудистой системы. Нормальный уровень давления в организме создается и регулируется нервным, гуморальным, гормональным, местным и др. механизмами. Длительное повышение АД приводит к развитию артериальной гипертонии. Гипертония – обширная группа заболеваний, которая характеризуется стойким увеличением АД и является одной из ведущих причин возникновения сердечно-сосудистых заболеваний в организме человека [1]. В последнее время появляются данные, что одним из важнейших факторов патогенеза этого заболевания являются оксидативный стресс и воспаление. Оба этих фактора опосредуют патологические изменения миокарда, сосудов и окружающей ткани. Среди перспективных и неспецифических методов предупреждения и терапии гипертонии рассматривается применение антиоксидантов [2]. Молекулярный водород – природный антиоксидант, может избирательно нейтрализовать гидроксильные радикалы (OH) и пероксинитрит (ONOO-), которые являются очень сильными окислителями и активность которых приводит к необратимым изменениям тканей и гибели клеток. Важно, что молекулярный водород не восстанавливает такие важные сигнальные молекулы в тканях, как Н2О2 и NO [3]. Влияние молекулярного водорода на организм умеренное, побочных эффектов до сих пор не выявлено [4]. Обладая такими свойствами, молекулярный водород может уменьшать оксидативный стресс, при этом не влияя на сигнальные молекулы, участвующие в физиологических процессах в клетках [5]. Тучные клетки (ТК) рассматриваются потенциальными мишенями для выявления противовоспалительных эффектов молекулярного водорода и иммунного ответа. Ферменты и протеазы (триптаза), высвобождаемые ТК, а также образующиеся во время дегрануляции активные формы кислорода, сопровождают ранние стадии воспалительного процесса [6]. Кроме того, было показано, что Н2 способен ингибировать синтез провоспалительных и воспалительных цитокинов, изменяя внутриклеточные пути реализации их сигналов [7]. Открытие этих свойств Н2 положило начало широкому кругу исследований на животных о возможном влиянии Н2 на течение различных сердечно-сосудистых и других заболеваний. В работах, проведенных на крысах, было показано, что добавление молекулярного водорода к атмосферному воздуху, которым дышат животные, уменьшает ишемическое/реперфузионное повреждение миокарда за счет снижения оксидативного стресса и NLRP3-опосредованного пироптоза у крыс [8]. Защитное действие газообразного водорода продемонстрировано также при изучении ишемического/реперфузионного повреждения спинного мозга. Показано, что транспортер-1 глутамата играет важную роль в этом эффекте [9]. Были получены данные о том, что вдыхание газообразного водорода уменьшает ремоделирование миокарда сердца и фиброз путем регулирования воспаления у крыс с инфарктом миокарда [10] и в легких у животных с легочной гипертонией [11]. Матриксные металлопротеиназы (MMП) представляют собой группу ферментов, участвующих в деградации большинства компонентов внеклеточного матрикса и, следовательно, в ремоделировании тканей, связанном с патологическими состояниями, в том числе с развитием легочной гипертонии [12]. Матриксная металлопротеиназа-9 (MMП-9), влияя на активацию тканевого фактора, при взаимодействии с MMП-2 вызывает нарушение строения дыхательных путей и базальной мембраны сосудов, что напрямую приводит к повышению их проницаемости. Кроме того, MMП-9 усиливает активность нейтрофилов через NF-κB-путь, увеличивает высвобождение воспалительных факторов, таких как IL-6, и катализирует прогрессирование легочного воспаления [12].
В исследованиях используют несколько способов применения водорода, каждый из которых имеет свои особенности. В настоящее время в экспериментальных и клинических исследованиях часто применяют ингаляции воздухом, содержащим разный процент добавленного водорода. Было показано, что вдыхание газовой смеси с концентрацией водорода от 2 до 4% безопасно [13].
Несмотря на большое количество работ, касающихся изучения защитного действия молекулярного водорода на развитие патологий сердца и мозга, исследования на моделях гипертонии единичны. Так, в одном из них было показано, что ежедневные 4-часовые ингаляции с Н2 у пожилых людей (50–70 лет) с диагностированной артериальной гипертонией приводят к уменьшению систолического артериального давления [14]. Предполагается, что кроме изменения активности ренин-ангиотензиновой системы, в этом эффекте принимает участие уменьшение активности симпатической системы. В связи с этим мы в настоящей работе изучали влияние Н2 на развитие гипертонии на двух моделях. Первая модель воспроизводит гипертонию малого круга кровообращения – легочную гипертонию, которая характеризуется увеличением среднего артериального давления в легочных сосудах более чем на 25 мм рт. ст. Развитие МКТ гипертонии ассоциировано с интерстициальной болезнью легких (ИЗЛ). При этом наблюдается развитие эндотелиальной дисфункции, воспаления, оксидативного стресса, ремоделирование сосудистой стенки и соединительной ткани легких, т. е. все симптомы развития ИЗЛ [15]. Важно, что эта форма гипертонии не сопровождается изменением системного артериального давления. Изучены многие молекулярные механизмы, лежащие в основе ее патогенеза [16]. Уменьшение процессов воспаления и фиброза в легких может явиться маркером действия молекулярного водорода при ингаляциях.
В качестве второй модели была выбрана модель гипертонии большого круга кровообращения – реноваскулярная гипертония “одна почка – одна клипса” (РВГ 1П1К), которая зависит от ренин-агиотензиновой системы только в начале заболевания. Показано, что механизм развития РВГ запускается при сужении просвета приносящей почечной артерии не менее чем на 70–80% [17]. Считается, что важную роль в увеличении системного артериального давления и ЧСС играет увеличение симпатической активности [18].
Таким образом, целью настоящего исследования явилось изучение влияния дыхания атмосферным воздухом, содержащим 4% молекулярного водорода, на степень развития МКТ-легочной гипертонии и ассоциированной с ней интерстициальной болезни легких, а также выраженности реноваскулярной (1П1К) гипертонии в экспериментах на крысах.
МЕТОДЫ ИССЛЕДОВАНИЯ
Животные. Исследование проводили на самцах крыс линии Wistar, массой 180–220 г, полученных из вивария НИИ общей патологии и патофизиологии (Москва, Россия). При содержании крыс соблюдались условия 12-часового светового дня со свободным доступом к воде и пище при контроле влажности и температуры. Эксперименты начинали не ранее, чем через 7 дней после доставки животных.
Моделирование МКТ-ЛГ. Эксперименты проводились на 24 животных, которые были разделены на три группы по 8 крыс. Для получения модели МКТ-ЛГ животным однократно подкожно вводили монокроталин (МКТ) (60 мг/кг в 60%-ном этиловом спирте) (Sigma Aldrich, Дармштадт, Германия). Контрольной группе (Контроль) вводили только растворитель для МКТ (эквивалентный объем 60%-ного этилового спирта). Животные этой группы были помещены в пластиковые камеры, так же как и МКТ группы, они дышали атмосферным воздухом. Животные, получавшие МКТ-инъекцию, были разделены на две группы. В 1-й группе крысы дышали атмосферным воздухом (МKТ-Контроль), во 2-й группе – атмосферным воздухом, содержащим 4% водорода (МKТ-Н2). Воздействие было хроническим – в течение 3 недель. В течение этого времени убыль животных не наблюдалась, однако в ходе острого эксперимента не всегда удавалось корректно измерить систолическое давление в правом желудочке сердца как одного из симптомов развития МКТ-ЛГ, или же животные с гипертонией плохо переносили наркоз и умирали. Поэтому в конечном итоге представлены результаты по 5 или 6 животным в группах.
Схема эксперимента. В ходе эксперимента животных помещали в пластиковые контейнеры объемом 130 л (SAMLA 203.764.41, Inter IKEA Systems). Внутри каждого контейнера располагалось по две клетки Т3 для животных, в каждой из которых помещалось по 4 крысы. Для вентиляции контейнеров использовали воздушный компрессор (Hiblow XP 40, Techno Takatsuki CO, Япония). Водород подавали от генератора молекулярного водорода (Pioneer, Vodorodpomogaet Россия). Подачу водорода и атмосферного воздуха контролировали ротаметрами (LZB-3, LZM-4T, Китай). Она составляла 0.15 л/мин для водорода и 4 л/мин для воздуха. Содержание водорода в этом случае составляло 3.5–4.0% в воздухе, которым дышали крысы (рис. 1).
Риc. 1. Схематическое изображение экспериментальной установки.
Моделирование РВК 1П1К. Перед началом эксперимента животных взвешивали, измеряли систолическое артериальное давление (САД) плетизмографическим методом и помещали в метаболические клетки производства компании Tecniplast на 22 ч. Животные в метаболических клетках (метабоклетки) имели неограниченный доступ к воде. Сразу после того, как животных извлекали из метабоклеток, у них из хвостовой вены отбирали пробы крови на биохимический анализ, определяли количество выпитой воды и суточный объем выделенной мочи. Полученные образцы крови и мочи замораживали при температуре –20 °С для последующего анализа. Животные после метабоклеток восстанавливались в течение двух дней для увеличения выживаемости при последующей операции.
Операцию по моделированию РВГ 1П1К гипертонии проводили под тиопенталовым наркозом (40 мг/кг, 20 мг/мл в 0.9%-ном растворе NaCl, внутрибрюшинно). У животных удаляли правую почку, а на почечную артерию левой почки накладывали клипсу, которую изготовляли из отрезка серебряной ленты (толщина 0.1 мм) длиной 8–9 мм, шириной 2 мм. Просвет клипсы составлял 0.26–0.27 мм в зависимости от массы тела крысы. После операции крысам внутрибрюшинно вводили антибиотик ципрофлоксацин, 5 мг/кг/день, 2 мг/мл, в течение четырех дней (Ciprinol®, раствор для инфузии, KRKA). Оперированных животных помещали в индивидуальные клетки на 7 дней.
Спустя неделю после операции животным измеряли САД плетизмографическим методом и разделяли их на 2 группы – РВГ-К и РВГ-Н2. Животных распределяли так, чтобы усредненное увеличение САД после операции было статистически равным между двумя группами. Так же как и в предыдущих экспериментах, в течение 3 недель животные в опытной группе (РВГ-Н2) дышали воздухом, содержащим 4% молекулярного водорода, а животные в контрольной группе (РВГ-К) дышали атмосферным воздухом. За 2 дня до острого эксперимента животных сажали в метаболические клетки, проводили измерение массы до и после метабоклеток, определяли потребление воды за сутки и объем суточной мочи, проводили отборы проб сыворотки крови и мочи. В пробах крови и мочи проводили измерение содержания креатинина и мочевины коммерческими наборами.
Для регистрации гемодинамических параметров животных анестезировали уретаном (1.2 г/кг, 0.6 г/мл в воде) внутрибрюшинно. Среднее артериальное давление (ср. АД), систолическое АД (САД), диастолическое АД (ДАД) и систолическое давление в правом желудочке (СПЖД) в случае МКТ-ЛГ животных и частоту сердечных сокращений (ЧСС) оценивали непосредственно с помощью датчика артериального давления Statham (Statham Instrument Inc., Лос-Анджелес, Калифорния, США). Данные через усилитель и аналого-цифровой преобразователь L-Card E14–140 (версия 1, L-Card, Москва, Россия) передавались на компьютер. Наркотизированным крысам в бедренную артерию вживляли катетер РЕ10 для регистрации давления и ЧСС. В бедренную вену вставляли катетер РЕ 50 (Медсил, Москва, Россия) для введения веществ. Для МКТ-ЛГ животных в правую яремную вену вставляли катетер РЕ 50 и проводили его в правый желудочек под контролем регистрации кривой давления. О степени развития реноваскулярной гипертонии судили по изменению системного АД, а МКТ гипертонии – по величине СПЖД и гипертрофии правого желудочка сердца. Степень гипертрофии правого желудочка (ПЖ) оценивали как отношение массы ПЖ к сумме масс левого желудочка (ЛЖ) и межжелудочковой перегородки (пер) (ПЖ/(ЛЖ + пер)) в процентах.
Биохимический анализ проводили в образцах сыворотки крови и мочи животных с РВГ 1П1К. В пробах измеряли содержание креатинина и мочевины с помощью коммерческих наборов Ольвекc-Диагностикум (Россия): Креатинин-Ольвекс, Мочевина-Ольвекс. Спектрофотометрический анализ проводили на анализаторе Multiscan EX (Thermo EC, Delaware, США).
Морфологический анализ. Взятые образцы легких незамедлительно фиксировали в 10%-ном забуференном растворе формалина в течение 2–3 дней. После стандартной процедуры пробоподготовки из парафиновых блоков изготавливали серийные срезы толщиной 5 мкм для окрашивания гематоксилином и эозином, а также раствором Гимзы для идентификации ТК; срезы толщиной 2 мкм использовали для иммуногистохимического исследования. Иммуногистохимически определяли секрецию триптазы ТК с использованием мышиных моноклональных антител к триптазе (Abcam #ab2378, разведение 1 : 2000), профиброзные маркеры TGF-β 1 [EPR21143] (Abcam #ab215715, разведение 1 : 500) и MMП-9 [EP127] (#AC-0122RUO, разведение 1 : 200, Cell Marque, Epitomics Inc., США) для оценки ремоделирования легких. Проводили иммунофлуоресцентное выявление триптазы ТК (козий анти-мышиный IgG Ab (#A-11029) Invitrogen, (метка Alexa Fluor 488) и MMП-9 (козий анти-кроличий IgG Ab (#A-11034) Invitrogen, (метка-Cy3)), ядра контрастировали 4´,6-диамидино-2-фенилиндолом (DAPI, 5 мкг/мл в PBS). Количественный анализ иммунопозитивных клеток осуществлялся по 30 полям зрения при увеличении ×20. Сводные данные приведены в табл. 1. Все гистологические срезы анализировали слепым способом с использованием микроскопа Zeizz Imager.A2, программного обеспечения ImagePro (Германия).
Таблица 1. Среднее количество триптаза-позитивных тучных клеток и клеток, экспрессирующих профиброзные маркеры в 1 мм2 легких (M ± SD)
Группа Маркер | Контроль (n = 7) | MКT-Контроль (n = 6) | MКT-H2 (n = 6) |
Триптаза ТК | 23 ± 6 | 40 ± 13* | 28 ± 10*,# |
TGF-β | 4 ± 3 | 106 ± 50* | 42 ± 10*,# |
ММП-9 | 3 ± 1 | 48 ± 9* | 21 ± 7*,# |
Примечание. Триптаза ТК – *Контроль vs. MКT-Control, MКT-H2, p < 0.05, # MКT-H2 vs. MКT-Контроль, p < 0.05, one-way ANOVA; TGF-β – *Контроль vs. MКT-Control, MКT-H2, p < 0.00001, # MКT-H2 vs. контроль, MКT-Контроль односторонний ANOVA; *Контроль vs. MКT-Контроль, MКT-H2 , p < 0.05, # MКT-H2 vs. MКT-Контроль, p < 0.05, one-way ANOVA.
Статистическая обработка результатов. Данные экспериментов оформлены и представлены в виде среднего ± стандартное отклонение (M ± SD). Статистический анализ данных проводили в программах Statistica 12.0 (Statistica Inc., США) и GraphPad Prism 8.0. Проверку нормальности распределения проводили с помощью критерия Шапиро – Уилка. One-Way ANOVA использовали для определения наличия статистически значимых различий по одному фактору между средними значениями трех или более независимых групп. Для того чтобы установить одновременное влияние группы и продолжительности воздействия, а также оценить взаимодействие между этими факторами, использовали двухфакторный дисперсионный анализ Two-way ANOVA. Для сравнения ранговых данных использовали тест Краскела – Уоллиса. Исключение статистических выбросов проводили с использованием критерия ROUT при Q > 1%. Качественные данные описывали абсолютными (n) и относительными данными (%). Как статистически значимый рассматривали уровень доверительной вероятности р < 0.05.
РЕЗУЛЬТАТЫ ИССЛЕДОВАНИЯ
Изучение влияния молекулярного водорода на развитие МКТ-ЛГ
Влияния добавленного молекулярного водорода к атмосферному воздуху на основные сердечно-сосудистые показатели развития МКТ-ЛГ не было выявлено. Показатели СПЖД для группы МКТ-Контроль и МКТ-Н2 достоверно не отличались друг от друга и составляли 56 ± 7 мм рт. ст. (n = 5) и 55 ± 6 мм рт. ст. (n = 6) соответственно. Обе величины были достоверно выше СПЖД контрольной группы без МКТ-ЛГ, где оно составляло 29 ± 5 мм рт. ст. (p < 0.05), что свидетельствует о развитии МКТ-ЛГ в обеих экспериментальных группах. Индекс гипертрофии ПЖ сердца в группе контроля составил 29.2 ± 4.0%, в группе МКТ-Контроль – 38.3 ± 6.1% и в группе МКТ-Н2 – 42.1 ± 6.8%. Два последних показателя статистически значимо не отличались друг от друга, но были достоверно больше величины в группе Контроль (р < 0.05). Эти данные свидетельствуют о развитии гипертонии в МКТ группах и отсутствии влияния Н2 на этот показатель, что подтверждает полученные ранее данные [11].
Изучение величины САД показало, что в группе животных с МКТ-ЛГ, которые дышали атмосферным воздухом, содержащим 4% молекулярного водорода (МКТ-Н2), наблюдается достоверное уменьшение ср. АД на 11% по сравнению с ср. АД в контрольной группе и на 13% по сравнению с группой МКТ-Контроль (p < 0.05) (рис. 2).
Рис. 2. Среднее артериальное давление (а), систолическое (b) и диастолическое (c) артериальное давление на 21-й день эксперимента. *MCT-H2 vs Control, MCT-Control, p < 0.05, One-way ANOVA. Цифры внутри столбиков обозначают количество животных.
Так как ср. АД представляет собой некоторый усредненный показатель между САД и ДАД, мы посмотрели, за счет какой составляющей наблюдается выявленное нами уменьшение ср. АД. Как показано на рис. 2b, изменение ср. АД обусловлено снижением его систолической составляющей. САД в группе МКТ-Н2 составляет 107 ± 8 мм рт. ст., а в группе МКТ – 121 ± 9 мм рт. ст., в группе Контроль – 120 ± 15 мм рт. ст. (p < 0.05). ДАД и ЧСС при этом не отличались.
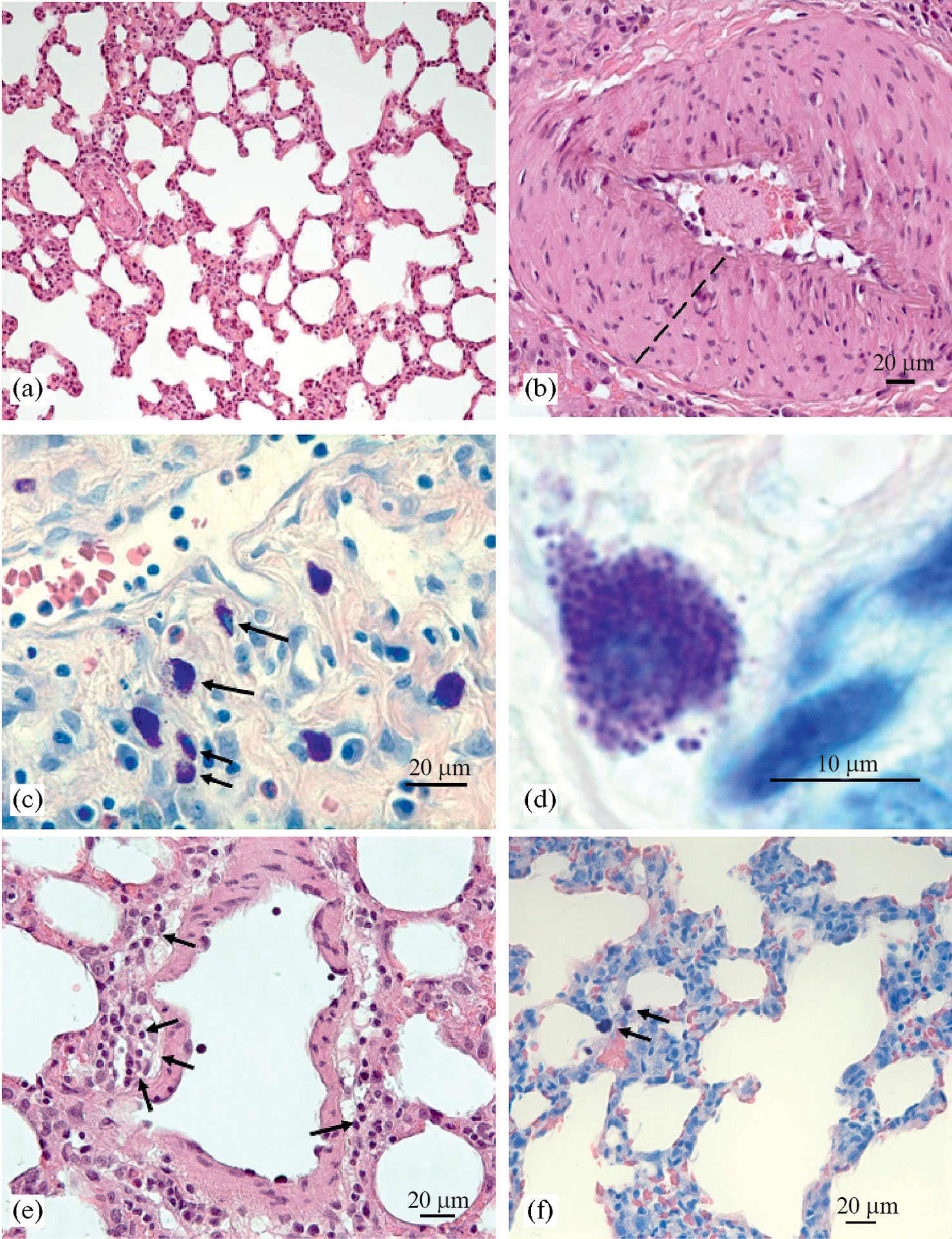
МКТ-ЛГ является моделью легочной гипертонии, ассоциированной с интерстициальным заболеванием легких, которое характеризуется воспалением и фиброзом. Морфологический анализ выявил признаки воспалительного процесса, а также изменение активности профиброзных маркеров в сторону активации синтеза фибриллярных структур с образованием фиброзных структур с неравномерной плотностью, утолщение стенок сосудистого русла (рис. 3b). Морфологический анализ образцов группы MКT-H2 показал, что структуры ацинуса приобрели классическую форму; альвеолы имели ячеистый вид и слегка утолщенные стенки с полноценными кровеносными сосудами в интерстиции (рис. 3e). Признаки интерстициального отека уменьшились, но пневмоциты с признаками гипертрофии сохранялись. Реакция ТК показала как количественное, так и функциональное снижение по сравнению с контрольной группой MКT. Ранее мы описывали, что дыхание воздухом с примесью 4% Н2 у животных с МКТ приводит к снижению количества и функциональной активности тучных клеток (включая клетки, содержащие триптазу) в среднем на 30% по сравнению с группой MКT-Контроль, т. е. вызывает уменьшение воспаления в легких (табл. 1). Секреция TGF-β альвеолярными макрофагами и альвеолярными клетками II типа была высокой по сравнению с контролем и MКT-H2 в группах (табл. 1, рис. 4). При общем увеличении количества клеток TGF-β наблюдалось их неравномерное распределение в респираторной части легкого с формированием преимущественного накопления в определенных локусах ацинуса. Продолжая это исследование, в данной работе мы проводили иммуногистохимический и иммунофлуоресцентный анализ содержания одного из ферментов семейства матриксных металлопротеиназ – ММП-9. Как уже говорилось выше, при ЛГ наблюдается ремоделирование стенки легочных сосудов. В этом процессе принимает участие и изменение внеклеточного матрикса, которое регулируется как иммунокомпетентными клетками, так и ферментами семейства ММП [19]. Результаты показали, что экспрессия MMП-9 в группе МКТ-Контроль была выше, чем в группах Контроль в 16 раз, а по сравнению с группой МКТ-Н2 – в 2.3 раза (р < 0.05) (табл. 1, рис. 4).
Рис. 3. Морфологические особенности структур легких и тучных клеток крыс линии Вистар при моделировании легочной гипертонии. Методы окрашивания: (a), (b), (e) – гематоксилин и эозин, (c), (d), (f) – раствор Гимзы. (a) – группа контроля, (b, c, d) – МКТ-Контроль, (e, f) – МКТ-Н2. (a) – в респираторном отделе легкого удлиненные альвеолярные проходы переходят в тонкостенные альвеолы, признаков воспалительного инфильтрата и отека стромы не наблюдается; (b) – выявляются структурные и функциональные изменения в артериальной стенке и облитерации просвета с гипертрофией медии; (c) – тучные клетки (фиолетовое окрашивание) инфильтрируют строму легочной ткани, активно дегранулируют; (d) – в локусе отмечаются нейтрофилы и плазмоциты; (e) – менее выраженный отек интерстициальных структур и альвеолоцитов легкого, периваскулярно расположено незначительное количество клеток воспалительного инфильтрата; (f) – единичные тучные клетки в поле зрения без признаков дегрануляции. Увеличение (a) – х 200, (b, c, e, f) – х 400, (d) – х 1000.
Рис. 4. Гистотопография и характер экспрессии триптазы тучных клеток (a, b), TGF-β (c, d) и ММП-9 (e, f) в легких при развитии ЛГ (b, d, f) и при ЛГ с ингаляцией 4% H2 (a, c, e). Специфическое для иммуногистохимической реакции коричневое окрашивание выявляет скопление триптаза-позитивных тучных клеток с признаками дегрануляции в интерстиции легочной ткани (b), в то время как под влиянием ингаляции 4% H2 снижается экспрессия данной протеазы (a); инфильтрация иммунопозитивными клетками с высокой экспрессией TGF-β в группе МКТ-Контроль (d) в сравнении с немногочисленными TGF-β позитивными клетками в группе применения молекулярного водорода (c); низкая экспрессия ММП–9 (красный цвет, метка-Cy3) на фоне солоколизации с триптаза-позитивными тучными клетками (зеленый цвет, метка Alexa Fluor 488) в группе (e) и скопление ММП-9 позитивных клеток, преимущественно нейтрофилов (в соответствии с морфологией клеток) в присутствии триптаза-позитивных тучных клеток. Методы окрашивания: (a, b, c, d) – иммуногистохимическая реакция, (e, f) – иммунофлуоресцентное окрашивание. Увеличение (a, b, d) – х 400; (c, e, f) – х 1000.
Таким образом, в гипертензивной группе, крысы которой дышали воздухом с 4% водорода, количество ММП-9-позитивных клеток было статистически значимо уменьшено по сравнению с МКТ-контрольной группой. MMП-9 в легких, идентифицируемая путем иммунофлуоресцентного окрашивания, экспрессировалась преимущественно в нейтрофилах, в меньшей степени – в ТК. Результаты показали, что экспрессия MMП-9 в группе MКT-Контроль была выше, иммунопозитивные MMП-9 клетки часто солокализовались с триптаза-позитивными ТК (табл. 1, рис. 4).
Таким образом, несмотря на отсутствие влияния Н2 на основные сердечно-сосудистые симптомы развития МКТ, у крыс из группы МКT-Н2 ингаляция с молекулярным водородом вызывает статистически значимое уменьшение ср. АД, опосредованное уменьшением САД, а также оказывает регуляторное воздействие на функциональный и фенотипический статус ТК, снижает количество TGF-β позитивных клеток и приводит к ингибированию активности ММП-9 – фактора, участвующего в ремоделировании внеклеточного матрикса легких, проявляя антифибротическое и противовоспалительное действие.
Изучение влияния молекулярного водорода на развитие РВГ 1П1К
В течение эксперимента в обеих группах с РВГ (РВГ-К и РВГ-H2) на бодрствующих животных непрямым плетизмографическим методом измеряли САД. На рис. 5a представлена динамика изменения САД за 28 дней опыта.
Рис. 5. Параметры гемодинамики бодрствующих (а) и наркотизированных (b – d) крыс линии Wistar с реноваскулярной почечной гипертонией 1П1К. (a) – динамика САД у бодрствующих крыс, измеренная непрямым плетизмографическим методом. (b – d) гемодинамические показатели у наркотизированных крыс – (b) ЧСС; (с) – cр. АД; (d) – CАД; (e) – ДАД. # - статистически значимые различия между 1 и 3 точками (p < 0.05) two-way ANOVA. * – статистически значимые различия между группами (p < 0.05) по t-тесту для несвязанных переменных. ** – статистически значимые различия между группами (p < 0.01) по t-тесту для несвязанных переменных. Цифры внутри столбиков обозначают количество животных.
В “0” точке средняя величина САД составила 122.5 ± 8.5 мм рт. ст. (n = 16). Через неделю после проведения операции 1П1К у животных измеряли САД, делили их произвольно на две группы (РВГ-К и РВГ-Н2) и начинали эксперимент по ингаляции молекулярным водородом. Измерение САД на 28-й день показало, что оно возросло в обеих группах. Для группы РВГ-К оно составило 151.7 ± 16.5 мм рт. ст. (n = 5, p < 0.05), а для группы РВГ-H2 – 138.6 ± 5.9 мм рт. ст. (n = 6, p = 0.065). Таким образом, в обеих группах наблюдалось увеличение ср. АД, однако его степень в группе РВГ-Н2 была меньше, чем в контрольной группе.
Исследования на наркотизированных животных показали статистически значимое уменьшение (p < 0.01) ср. АД (рис. 5c) в группе РВГ-Н2 (85.6 ± 5.2 мм рт. ст., n = 6) по сравнению с группой РВГ-К (96.5 ± 5.7 мм рт. ст., n = 5). Уменьшение ср. АД, так же как и в случае МКТ-ЛГ, было снижено за счет САД (рис. 5d), которое у животных из группы РВГ-Н2 (102.2 ± 9.9 мм рт. ст.) было статистически значимо (p < 0.05) меньше по сравнению с группой РВГ-К (116.2 ± 8.7 мм рт. ст.). ДАД (рис. 5e) и ЧСС (рис. 5b) достоверно не изменялись, хотя последний показатель имел тенденцию к уменьшению. Таким образом, и в случае РВГ 1П1К гипертонии при добавлении Н2 к атмосферному воздуху наблюдается уменьшение ср. АД за счет САД.
В ходе этого эксперимента проводилось изучение выделительной способности почки. В пробах суточной мочи и крови исследовалось содержание креатинина и мочевины до операции по моделированию РВГ и на 26-й день эксперимента (риc. 6).
Развитие РВГ сопровождалось статистически значимым возрастанием концентрации креатинина (рис. 6a) (на 44% в группе РВГ-К и на 55% в группе РВГ-H2) и мочевины (рис. 6d) (на 20% в группе РВГ-К и на 78% в группе РВГ-H2) в пробах крови. Их экскреция с суточной мочой возросла в обеих группах: для креатинина на 91% в группе РВГ-К и на 51% в группе РВГ-H2 (рис. 6b), для мочевины на 40% в группе РВГ-К и на 58% в группе РВГ-H2 (рис. 6e). Значимых различий между группами РВГ-К и РВГ-Н2 для этих показателей не выявлено. В качестве показателя скорости клубочковой фильтрации был изучен клиренс эндогенного креатинина (рис. 6c). Наблюдалось некоторое увеличение этого показателя к концу эксперимента, но статистически значимого изменения скорости клубочковой фильтрации, рассчитанной по креатинину, выявлено не было. Не отличался он и между группами РВГ-К и РВГ-Н2 (0.80 ± 0.29 мл/мин и 1.13 ± 0.17 мл/мин до операции и 1.07 ± 0.16 мл/мин и 1.17 ± 0.62 мл/мин в конце эксперимента соответственно). Таким образом, при данной форме РВГ выделительная способность почки адаптируется к возрастанию катаболизма белков, так как клиренс не меняется. Водород на этот показатель также не влиял.
Рис. 6. Оценка выделительной функции почки у крыс линии Wistar с РВГ. (a) – концентрация креатинина в сыворотке крови; (b) – суточная экскреция креатинина; (с) – клиренс креатинина; (d) – концентрация мочевины в сыворотке крови; (e) – суточная экскреция мочевины. ** – статистически значимые различия между значениями до и после операции (p < 0.01) по two-way ANOVA. *** – статистически значимые различия между значениями до и после операции (p < 0.001) по two-way ANOVA. Цифры внутри столбиков обозначают количество животных.
Влияние атмосферного воздуха, содержащего 4% молекулярного водорода, на гемодинамические показатели здоровых животных
Для выяснения того, насколько полученный эффект уменьшения ср. АД и САД при МКТ-ЛГ и РВГ 1П1К при дыхании с Н2 связан с развитием патологического процесса, была проведена полностью идентичная серия на здоровых животных. В этой серии экспериментов гипотензивный эффект не был получен, а ср. АД и САД составили в среднем 98 ± 9 и 112 ± 14 мм рт. ст. соответственно (n = 8), что не отличалось от показателей контрольной группы (n = 8), которая дышала только атмосферным воздухом. Влияния H2 на ЧСС в этой серии также не наблюдалось, и в среднем величина ЧСС составила 373 ± 74 уд/мин.
ОБСУЖДЕНИЕ РЕЗУЛЬТАТОВ
Согласно современным представлениям, молекулярный водород обладает антиоксидантными и противовоспалительными свойствами [1–5, 7]. Именно такой эффект мы получили, изучая маркеры (тучные клетки, триптаза, TGF-β), ассоциированные с МКТ-ЛГ интерстициальной болезнью легких. Было показано их значимое уменьшение в настоящей работе и в предыдущих исследованиях [11]. Кроме того, мы выявили снижение экспрессии ММП-9 в легких в группе МКТ-Н2 по сравнению с группами МКТ-контроль и Контроль. MMП-9 участвует в фиброзе и ремоделировании соединительной ткани легких и легочных кровеносных сосудов [20]. Регуляторную роль на активность ММП-9 могут оказывать многие иммунокомпетентные клетки, в том числе тучные клетки, которые не только регулируют активность MMП-9, но и сами производят данный фермент [12, 21]. Водородная ингаляция уменьшала степень утолщения альвеолярных перегородок и их инфильтрацию воспалительными клетками, что способствовало значительному снижению показателей повреждения легких. Вдыхание водорода значительно улучшило состояние интерстиция легких, снизив воспалительную инфильтрацию, уменьшило отек легких и кровоизлияния, повлияло на активность секреции профиброзных маркеров, тем самым предотвращая воспалительные каскадные структурные изменения дыхательных путей. Воздействие молекулярного водорода на тучные клетки может быть эффективным способом уменьшения воспалительного повреждения и профиброзного состояния тканей легкого в патогенезе легочной гипертонии. Однако несмотря на то, что уменьшение экспрессии ММП-9 предполагает уменьшение ремоделирования не только соединительной ткани легких, но и стенки сосудов, мы не выявили влияния Н2 на гемодинамические показатели МКТ-ЛГ. Хотя такое взаимодействие можно было бы ожидать, учитывая, что использование терапии, направленной на коррекцию ИЗЛ, приводит к улучшению качества жизни пациентов с ЛГ и уменьшению суммарных расходов на их лечение [22]. По-видимому, для проявления этого взаимодействия необходимо более длительное или более интенсивное действие Н2.
Несмотря на отсутствие влияния молекулярного водорода на показатели гемодинамики малого круга кровообращения, в нашем исследовании было зарегистрировано значимое снижение ср. АД и САД в большом круге кровообращения в группе МКТ-Н2. Эффект не наблюдался в группах МКТ-контроль и Контроль. Схожие результаты были получены в исследованиях на людях. В рандомизированном плацебо-контролируемом исследовании проводилось наблюдение за 60 пациентами с диагностированной артериальной гипертонией в возрасте 50–70 лет. Их подвергали ингаляциям комнатного воздуха или его смеси с водородом (0.2–0.4%) в течение четырех часов в день на протяжении 2 недель. Было отмечено, что систолическое артериальное давление значительно снизилось после водородных ингаляций по сравнению с исходным, чего не наблюдалось в группе плацебо. Эффект сопровождался снижением соотношения альдостерона к ренину и содержания кортизола в крови испытуемых, что позволило авторам высказать предположение о понижении активности симпатической системы при действии молекулярного водорода [14]. В нашем исследовании этот эффект наблюдался при МКТ-ЛГ, которая обычно не сопровождается изменением системного артериального давления, но связана с развитием воспалительного процесса. В последнее время появились исследования, которые показывают, что хроническое воспаление является одним из факторов патогенеза системной гипертонии [23]. Можно предположить, что молекулярный водород, уменьшая воспалительный процесс, снижает и ср. АД. Тот факт, что уменьшение этого показателя происходит за счет его систолической составляющей, позволяет предположить, что этот процесс связан с понижением активности симпатической системы.
Имеются исследования, результаты которых подтверждают такое предположение. В исследовании реноваскулярной гипертонии на крысах, где использовалось хирургическое удаление 5/6 одной почки при удалении второй, ингаляции водородом в течение 1 ч в сутки вызывали уменьшение повышенного АД у этих животных. Спектральный анализ вариабельности АД показал, что Н2 уменьшает дисбаланс вегетативной нервной системы за счет подавления активности симпатической нервной системы [24].
В нашем исследовании мы использовали модель реноваскулярной гипертонии 1П1К. Как уже говорилось выше, механизм повышения АД в этой модели запускается при сужении просвета артерии не менее чем на 70–80% [11]. Считается, что важную роль в увеличении системного артериального давления при этом играет повышение активности симпатической нервной системы [18].
При сравнительном изучении изменения содержания норадреналина в плазме крови животных с разными моделями РВГ (1П1К или 2П1К) было показано его увеличение только в модели 1П1К, что коррелировало с возрастанием ЧСС [25]. В хронической форме эта модель РВГ является ренин-независимой. Используя эту модель, мы показали, что добавление 4% водорода в дыхательную смесь крысам со 2-й недели развития РВГ (группа РВГ-Н2) привело к значимому уменьшению ср. АД и САД по сравнению с группой РВГ-К. Эффект сопровождался тенденцией к уменьшению ЧСС (р < 0.065). Молекулярный водород не влиял на повышение уровня креатинина и мочевины в крови крыс обеих групп и выделительную способность почки. Учитывая патогенез данной модели РВГ, уменьшение САД, тенденцию к уменьшению ЧСС и отсутствие влияния на выделительную способность почки можно рассматривать как аргумент в пользу центрального действия молекулярного водорода. Наличие воспалительного процесса при этой форме гипертонии также, вероятно, присутствует, учитывая хирургическое вмешательство.
Возникает вопрос: какое место в этом эффекте занимает противовоспалительное и антиоксидантное действие молекулярного водорода. По-видимому, эти свойства молекулярного водорода реализуются и в этом случае, так как эффект понижения системного АД наблюдается только на животных с гипертонией. На здоровых животных без патологии этот эффект не выявляется, что соответствует литературным данным [13].
Таким образом, мы показали, что добавление 4% молекулярного водорода во вдыхаемый воздух вызывает уменьшение системного АД и САД при гипертонии как малого, так и большого кругов кровообращения. При МКТ-ЛГ уменьшается воспалительный процесс в легких, но сердечно-сосудистые показатели малого круга кровообращения не меняются. В случае РВГ гипертонии уменьшается ср. АД и САД, что не связано с выделительной способностью почки. Предполагается, что эффект уменьшения АД связан с уменьшением активности симпатической системы на фоне уменьшения воспалительного процесса.
ВКЛАДЫ АВТОРОВ
Идея работы и планирование эксперимента: Н. А. М., О. С. M., В. В. Ш., сбор данных, проведение эксперимента, обработка данных экспериментов: М. М. А., Т. А. К., Д. В. С., Д. А. А., В. В. Ш., написание и редактирование манускрипта: Н. А. М., О. С. М., В. В. Ш., М. М. А., Т. А. К.
ФИНАНСИРОВАНИЕ РАБОТЫ
Данная работа финансировалась за счет средств бюджета биологического факультета и факультета фундаментальной медицины Московского государственного университета имени М. В. Ломоносова в рамках научного проекта Государственного задания Правительства Российской Федерации Московскому государственному университету имени М. В. Ломоносова №№ 121032300071-8 и 118011790188-5, при поддержке Российского Научного Фонда (проект № 24-25-00051) и Договора о научном сотрудничестве между Воронежским государственным медицинским университетом имени Н. Н. Бурденко и МГУ имени М. В. Ломоносова. Никаких дополнительных грантов на проведение или руководство данным конкретным исследованием получено не было.
СОБЛЮДЕНИЕ ЭТИЧЕСКИХ СТАНДАРТОВ
Эксперименты с животными проводились в соответствии с международными рекомендациями по проведению биомедицинских исследований с лабораторными животными и были одобрены Комиссией по биоэтике биологического факультета МГУ имени М. В. Ломоносова, протокол 113-G, 19.06.2020 г.
КОНФЛИКТ ИНТЕРЕСОВ
Авторы данной работы заявляют, что у них нет конфликта интересов.
Об авторах
М. М. Артемьева
Московский государственный университет имени М. В. Ломоносова
Автор, ответственный за переписку.
Email: marinka.artemieva@gmail.com
Россия, Москва
Т. А. Куропаткина
Российский экономический университет имени Г. В. Плеханова; Российский университет дружбы народов
Email: marinka.artemieva@gmail.com
Россия, Москва; Москва
В. В. Шишкина
Воронежский государственный медицинский университет имени Н. Н. Бурденко
Email: marinka.artemieva@gmail.com
Россия, Воронеж
Д. В. Серебряная
Московский государственный университет имени М. В. Ломоносова; Российский национальный исследовательский медицинский университет имени Н. И. Пирогова
Email: marinka.artemieva@gmail.com
Россия, Москва; Москва
Д. А. Адашева
Московский государственный университет имени М. В. Ломоносова
Email: marinka.artemieva@gmail.com
Россия, Москва
О. С. Медведев
Московский государственный университет имени М. В. Ломоносова; Национальный медицинский исследовательский центр кардиологии имени академика Е. И. Чазова
Email: marinka.artemieva@gmail.com
Россия, Москва; Москва
Н. А. Медведева
Московский государственный университет имени М. В. Ломоносова
Email: marinka.artemieva@gmail.com
Россия, Москва
Список литературы
- Ge L, Yang M, Yang NN, Yin XX, Song WG (2020) Molecular hydrogen: a preventive and therapeutic medical gas for various diseases. Oncotarget 8(60): 102653–102673. https://doi.org/10.18632/oncotarget.21130
- Ohsawa I, Ishikawa M, Takahashi K, Watanabe M, Nishimaki K, Yamagata K, Katsura K, Katayama Y, Asoh S, Ohta S (2007) Hydrogen acts as a therapeutic antioxidant by selectively reducing cytotoxic oxygen radicals. Nat Med 13(6): 688–694. https://doi.org/10.1038/nm1577 2007
- Ohta S (2011) Recent progress toward hydrogen medicine: potential of molecular hydrogen for preventive and therapeutic application. Current Pharmaceutical Design 17(22): 2241–2252. https://doi.org/10.2174/138161211797052664
- Ohta S (2014) Molecular hydrogen as a preventive and therapeutic medical gas: initiation, development and potential of hydrogen medicine. Pharmacol & Therap144(1): 1–11. https://doi.org/ 10.1016/j.pharmthera.2014.04.006
- Huang L (2016) Molecular hydrogen: a therapeutic antioxidant and beyond. Med Gas Res 6(4): 219–222. https://doi.org/10.4103/2045-9912.196904
- Atiakshin D, Kostin A, Volodkin A, Nazarova A, Shishkina V, Esaulenko D, Buchwalow I, Tiemann M, Noda M (2023) Mast Cells as a Potential Target of Molecular Hydrogen in Regulating the Local Tissue Microenvironment. Pharmaceuticals 16(6): 817. https://doi.org/10.3390/ph16060817
- Nicolson G, de Mattos G, Settineri R, Costa C, Ellithrope R, Rosenblatt S, La Valle J, Jimenez A, Ohta Sh (2016) Clinical effects of hydrogen administration: from animal and human diseases to exercise medicine. Int J Clin Med 7(1): 32–76. https://doi.org/ 10.4236/ijcm.2016.71005
- Nie C, Ding X, A R, Zheng M, Li Z, Pan S, Yang W (2021) Hydrogen gas inhalation alleviates myocardial ischemia-reperfusion injury by the inhibition of oxidative stress and NLRP3-mediated pyroptosis in rats. Life Sci 1(272): 119248. https://doi.org/10.1016/j.lfs.2021.119248
- Kimura A, Suehiro K, Mukai A, Fujimoto Y, Funao T, Yamada T, Mori T (2022) Protective effects of hydrogen gas against spinal cord ischemia-reperfusion injury. J Thorac Cardiovasc Surg 164(6): e269–e283. https://doi.org/10.1016/j.jtcvs.2021.04.077
- Nie C, Zou R, Pan S, Gao Y, Yang H, Bai J, Xi S, Wang X, Hong X, Yang W (2021) Hydrogen gas inhalation ameliorates cardiac remodelling and fibrosis by regulating NLRP3 inflammasome in myocardial infarction rats. J Cell Mol Med 25(18): 8997–9010. https://doi.org/10.1111/jcmm.16863
- Куропаткина Т, Гуфранов Х, Сычев Ф, Артемьева М, Бондаренко Г, Есауленко Д, Самойленко Т, Шишкина В, Медведева Н, Медведев О (2024) Влияние ингаляций водорода на сердечно-сосудистые и интерстициальные компоненты легочной гипертензии в экспериментах на крысах. Пульмонология 34 (1): 19–30. [Kuropatkina T, Gufranov Kh, Sychev F, Artemyeva M, Bondarenko G, Esaulenko D, Samoilenko T, Shishkina B, Medvedeva N, Medvedev O (2024) Vliyanie Effect of hydrogen inhalation on cardiovascular and interstitial components of pulmonary hypertension in rats. Pul’monologiya 34 (1): 19–30. (In Russ)]. https://doi.org/10.18093/0869-0189-2024-34-1-19-30
- Шишкина В, Антакова Л, Золотарева С, Атякшин Д (2022) Матриксные металлопротеиназы в ремоделировании внеклеточного матрикса: молекулярные, клеточные и тканевые аспекты. Журн анатом гистопатол 11(3): 93–108. [Shishkina V, Antakova L, Zolotareva S, Atiakshin D (2022) Matrix metalloproteinases in extracellular matrix remodeling: molecular, cellular and tissue aspects. J Anatom Histopathol 11 (3): 93–108. (In Russ)]. https://doi.org/10.18499/2225-7357-2022-11-3-93-108]
- Cole AR, Raza A, Ahmed H, Polizzotti BD, Padera RF, Andrews N, Kheir JN (2019) Safety of inhaled hydrogen gas in healthy mice. Med Gas Res 9(3): 133–138. https://doi.org/10.4103/2045-9912.266988
- Liu B, Jiang X, Xie Y, Jia X, Zhang J, Xue Y, Qin S (2022) The effect of a low dose hydrogen-oxygen mixture inhalation in midlife/older adults with hypertension: A randomized, placebo-controlled trial. Front Pharmacol 7(13): 1025487. https://doi.org/10.3389/fphar
- Poch D, Mandel J (2021) Pulmonary Hypertension. Ann Intern Med 174(4): ITC49–ITC64. https://doi.org/10.7326/AITC202104200
- Nogueira-Ferreira R, Vitorino R, Ferreira R, Henriques-Coelho T (2015) Exploring the monocrotaline animal model for the study of pulmonary arterial hypertension: A network approach. Pulmon Pharmacol Therap 35: 8–16. https://doi.org/10.1016/j.pupt.2015.09.007
- Textor SC, Lerman L (2010) Renovascular hypertension and ischemic nephropathy. Am J Hypertens 23(11): 1159–1169. https://doi.org/10.1038/ajh.2010.174
- Souza HCD, Martins-Pinge MC, Dias da Silva VJ, Borghi-Silva A, Gastaldi AC, Blanco JHD, Tezini GCSV (2008) Heart rate and arterial pressure variability in the experimental renovascular hypertension model in rats. Auton Neurosci 139: 38–45 https://doi.org/10.1016/j.autneu.2008.01.001
- Biasin V, Marsh LM, Egemnazarov B, Wilhelm J, Ghanim B, Klepetko W, Wygrecka M, Olschewski H, Eferl R, Olschewski A, Kwapiszewska G (2014) Meprin β, a novel mediator of vascular remodelling underlying pulmonary hypertension. J Pathol 233(1): 7–17. https://doi.org/10.1002/path.4303
- Zhang H, Huang W, Liu H, Zheng Y, Liao L (2020) Mechanical stretching of pulmonary vein stimulates matrix metalloproteinase-9 and transforming growth factor-β1 through stretch-activated channel/MAPK pathways in pulmonary hypertension due to left heart disease model rats. PLoS One 15(9): e0235824. https://doi.org/10.1371/journal.pone.0235824
- Xu L, Cai Z, Yang F, Chen M (2017) Activation-induced upregulation of MMP9 in mast cells is a positive feedback mediator for mast cell activation. Mol Med Rep 15(4): 1759–1764. https://doi.org/10.3892/mmr.2017.6215
- Waxman AB, Elia D, Adir Y, Humbert M, Harari S (2022) Recent advances in the management of pulmonary hypertension with interstitial lung disease. Eur Respir Rev 31: 210–220. https://doi.org/10.1183/ 16000617.0220-2021
- Zhang Z, Zhaj L, Zhou X, Meng X, Zhou X (2023) Role of inflammation, immunity and oxidative stress in hypertension: New insights and potential therapeutic targets. Front Immunol 13: 1098725. https://doi.org/10.3389/fimmu.2022.1098725
- Sugai K, Tamura T, Sano M, Uemura S, Fujisawa M, Katsumata Y, Endo J, Yoshizawa J, Homma K, Suzuki M, Kobayashi E, Sasaki J, Hakamata Y (2020) Daily inhalation of hydrogen gas has a blood pressure-lowering effect in a rat model of hypertension. Sci Rep 10(1): 20173. https://doi.org/10.1038/s41598-020-77349-8
- Walker SM, Bing RF, Swales JD, Thurston H (1986) Plasma noradrenaline in Goldblatt models of renovascular hypertension in the rat, before and after surgical reversal. Clin Sci (Lond) 71(2): 199–204. https://doi.org/10.1042/cs0710199
Дополнительные файлы








