Organization of the basement membranes in the choroid plexus villi of the human brain
- Authors: Kirik O.V.1, Alekseeva O.S.1,2, Grigorev I.P.1, Fedorova E.A.1, Beketova A.A.1, Korzhevskii D.E.1
-
Affiliations:
- Institute of Experimental Medicine
- Sechenov Institute of Evolutionary Physiology and Biochemistry
- Issue: Vol 162, No 1 (2024)
- Pages: 54-62
- Section: Original Study Articles
- URL: https://medbiosci.ru/1026-3543/article/view/263577
- DOI: https://doi.org/10.17816/morph.630499
- ID: 263577
Cite item
Abstract
BACKGROUND: The choroid plexus of the brain is the source of cerebrospinal fluid and a major component of the blood–cerebrospinal fluid barrier, providing active transport of only essential substances and preventing the entry of harmful substances, including proinflammatory molecules, pathogens, and toxins. Basement membranes of the choroid plexus play a special role in the implementation of barrier functions, which underlie the choroidal epithelium and capillary endothelium, and serve as an additional filter for substances penetrating from the blood into the cerebrospinal fluid. The morphological organization of basement membranes in the villi of the human choroid plexus has not been examined extensively.
AIM: to analyze the organization of basement membranes in the villi of the human telencephalon choroid plexus by immunohistochemical detection of type IV collagen.
MATERIALS AND METHODS: The study was performed on archival materials from the choroid plexus of the human brain (n=10; age 29–50 years) using immunohistochemical methods for detecting type IV collagen.
RESULTS: An immunohistochemical reaction using antibodies to type IV collagen showed the distribution of this protein in the subepithelial area and stroma of the choroid plexus villi. All immunopositive structures had clear contours. No reaction in the cell cytoplasm or a nonspecific background was noted. Contacts of subepithelial and subcapillary basement membranes labeled with antibodies to type IV collagen were not detected.
CONCLUSION: The results showed different organization of the basement membranes of the villi of the choroid plexus of the human brain in the subepithelial and perivascular areas. In this case, the subepithelial and perivascular components containing type IV collagen did not merge.
Keywords
Full Text
Background
The cerebral vascular plexus constitutes the primary source of cerebrospinal fluid (liquor). It facilitates the active transport of substances against a concentration gradient, prevents the entry of substances, including proinflammatory molecules, pathogens, and toxins, and synthesizes several crucial components that are secreted into the ventricular cavity [1]. Consequently, vascular plexus damage can lead to impaired liquor dynamics and adverse effects on the brain, potentially leading to the further development of persistent pathological changes [2–6].
The vascular plexus generates villi that are enveloped by a single layer of cubic epithelium. The stromal component of the plexus is composed of blood vessels and surrounding connective tissue. Considering that the vascular plexus constitutes the area of the hematoliquor barrier, the basement membranes are particularly important. These membranes, located in the subepithelial and subendothelial zones, serve as an additional filter for substances that enter from the blood into the liquor [2]. The basement membrane is composed of multiple glycoproteins and sulfated proteoglycans, with type IV collagen serving as the primary structural protein. The presence of type IV collagen is essential for preserving the internal organization of basement membranes under mechanical stress and their steady functioning [7].
Despite the fact that separate studies of the vascular plexus have been conducted in recent years using antibodies to various types of collagen, a detailed analysis of the organization of the basement membrane in the villi of this organ has not yet been performed.
This study aimed to analyze the structure of basement membranes in human terminal cerebral vascular plexus villi using immunohistochemical detection of type IV collagen.
Materials and methods
Study design
This study was an observational, single-center, retrospective, selectively controlled, and non-randomized study.
The study employed archival material, including blocks of the human brain vascular plexus (n = 10; age 29–50 years) [8], from the archive of the Department of General and Private Morphology of the Institute of Experimental Medicine.
Study description
The specimen was fixed in an alcohol and formalin solution, dehydrated, and embedded in paraffin, as per the generally accepted technique. A PFM Rotary 3003 rotary microtome (PFM, Germany) was used to cut 7-μm-thick sections from paraffin blocks and mount them on glass slides coated with HistoBond adhesive (Marienfeld, Germany). Sections were stained with hematoxylin and eosin, and basement membranes were identified using an immunohistochemical reaction for type IV collagen using mouse monoclonal antibody clone CIV 22 (Dako/Agilent, USA). Prior to the reaction, endogenous peroxidase was inhibited using a 3% aqueous hydrogen peroxide solution. MACH 2 mouse HRP polymer reagent (BioCare Medical, USA) was utilized as the secondary antibody. The reaction product was visualized using DAB chromogen (Thermo Fisher, Germany). As a control, vascular plexus sections were processed in the same manner, except for the phase of adding primary antibodies to type IV collagen. The nuclei were stained with hematoxylin after the reactions. The preparations were examined and microphotographed using a Leica DM750 light microscope and an ICC50 digital camera (Leica, Germany).
Ethical review
This study was approved by the local ethical committee of the Institute of Experimental Medicine (protocol No. 58-9/1-684, dated December 11, 2009).
Statistical analysis
No statistical processing of the data has been performed.
Results
Study participants
The study employed a sample comprising 10 blocks of vascular plexus from the human brain, collected from individuals between the ages of 29 and 50 years. The samples were provided by the Department of General and Private Morphology of the Institute of Experimental Medicine (St. Petersburg).
Main study results
Hematoxylin and eosin-stained sections of the vascular plexus of the human brain were employed to assess the quality of fixed material and the absence of autolysis signs, which impeded the adequate staging of immunohistochemical reactions. All cases selected for the study exhibited good epithelium preservation, including the preservation of the tinctorial features of the cellular elements and the fibrous component of the connective tissue. This indicates that the tissues were not subjected to autolytic changes. The basement membranes were indistinguishable when stained with hematoxylin and eosin.
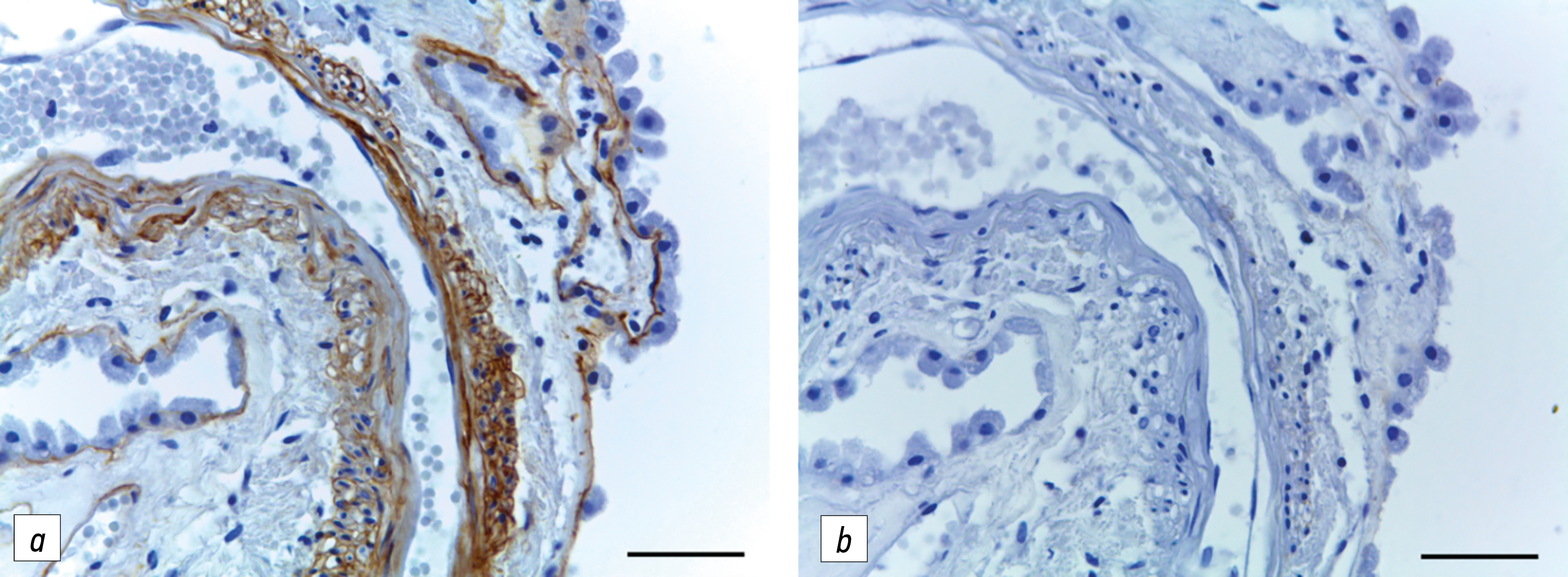
The distribution of this protein in the subepithelial area and the stroma of the villi of the vascular plexus was demonstrated by an immunohistochemical reaction with antibodies against collagen type IV. All immunopositive structures exhibited clear contours, with no reaction from the cellular cytoplasm and no non-specific background. Control specimens demonstrated no reaction (Fig. 1).
Fig. 1. Choroid plexus of the human brain: a ― immunohistochemical reaction to type IV collagen; b ― negative control (without primary antibody). Counter-staining with hematoxylin. Scale bar 50 μm.
Рис. 1. Фрагмент сосудистого сплетения головного мозга человека: a ― иммуногистохимическая реакция на коллаген IV типа; b ― отрицательный контроль (без первичных антител). Докраска гематоксилином. Масштабный отрезок равен 50 мкм.
At low magnification, a distinct linear staining pattern was observed in the subepithelial layer of the villous stroma, corresponding to the location of the epithelial basement membrane. In certain regions, focal accumulation of type IV collagen was observed in the subepithelial area (Fig. 2). The blood vessels of the villus along the perimeter exhibited a distinct reaction to type IV collagen. The central part of the villi contained larger blood vessels, while the peripheral region of the large villi and the small villi located just below the epithelium contained small, thin-walled vessels.
Fig. 2. Choroid plexus of the human brain: immunohistochemical reaction to type IV collagen. Counter-staining with hematoxylin.
Рис. 2. Сосудистое сплетение головного мозга человека: иммуногистохимическая реакция на коллаген IV типа. Докраска гематоксилином.
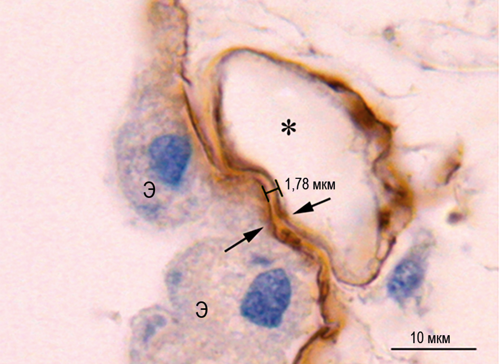
At high magnification, the capillaries of villi located near the epithelial cover of the plexus were observed to form linear zones of adhesion. These zones are characterized by the parallel alignment of the epithelial basement membranes of the plexus and the endothelium of the vessel in sufficiently extended regions (Fig. 3). However, the fusion of the two basement membranes is not a frequent occurrence. Pericytes are observed to be confined between the layers of the basal membrane of the capillaries of the vascular plexus in a portion of the villi. Rare perivascular cells were observed from the exterior in close proximity to the basement membrane (Fig. 4). In larger vessels, particularly arteries, the basement membrane was surrounded by transversely arranged profiles of smooth muscle cell slices.
Fig. 3. Blood vessel in the subepithelial area of the choroid plexus villi. Arrows indicate the subepithelial and subendothelial basement membranes; the segment shows the distance between the BMs equal to 1.78 µm; the asterisk indicates the lumen of the blood vessel; Э ― villous epithelial cells. Immunohistochemical reaction to type IV collagen. Counter-staining with hematoxylin.
Рис. 3. Кровеносный сосуд в субэпителиальной области ворсинки сосудистого сплетения. Стрелками указаны субэпителиальная и субэндотелиальная базальные мембраны; отрезок показывает расстояние между базальными мембранами (1,78 мкм); звёздочкой отмечен просвет кровеносного сосуда; Э ― эпителиоциты ворсинки. Иммуногистохимическая реакция на коллаген IV типа. Докраска гематоксилином.
Fig. 4. A blood vessel (capillary) in the stroma of the choroid plexus, an arrow indicates a perivascular cell, a double arrow indicates a pericyte, an asterisk indicates the lumen of a blood vessel; Э ― indicates villous epithelial cells. Immunohistochemical reaction to type IV collagen. Counter-staining with hematoxylin.
Рис. 4. Кровеносный сосуд (капилляр) в строме сосудистого сплетения: стрелкой указана периваскулярная клетка, двойной стрелкой ― перицит, звёздочкой отмечен просвет кровеносного сосуда; Э ― эпителиоциты ворсинки. Иммуногистохимическая реакция на коллаген IV типа. Докраска гематоксилином.
In certain villi, the epithelial basement membrane was observed to be thickened (exceeding 1 μm), while in other areas, it appeared to be bilayered. The stroma of villi situated between the epithelium and blood vessels is composed of fibers, the structure of which is only weakly discernible on immunohistochemically stained preparations. Unstained fibers were found to contain uncommon elements, which tested positive for type IV collagen. These fibers cannot be classified as basement membranes because they are located outside the connection with epithelial layers and other cellular elements. In solitary villi, these collagen fibers were only indirectly connected with the basement membrane, resulting in clusters that occupied a portion of the villus stroma.
Discussion
The study findings corroborate the hypothesis that type IV collagen is a reliable marker of basement membrane [9] and confirm the initial assumption that this marker is capable of detecting basement membrane on paraffin sections of the vascular plexus of the human brain. Contrary to the widely held belief that thermal and proteolytic demasking of antigens is essential for immunohistochemical reactions [10, 11], it can be hypothesized that antibodies of clone CIV 22 do not necessitate such a procedure. However, this hypothesis can only be verified through a dedicated comparative study.
The potential for two distinct sources of basement membrane development is indicated by their positioning within the villi of the vascular plexus. Basement membranes are predominantly formed through the self-assembly of interwoven polymers of laminins and type IV collagens on the cell surface. These polymers are bound to nidogens 1 and 2, as well as to the heparan sulfate proteoglycans agrin and perlecan [12]. The formation of basement membranes follows a general scheme that is observed in a variety of tissues. Furthermore, the biochemical composition of these membranes can differ not only among different organs but also within the same brain region [12–15]. The potential for a distinction in the origin of basement membranes, including those in the vascular plexus, is suggested by the heterogeneity of the sites of formation and the difference in chemical composition. This plexus exhibited two types of basement membranes, subepithelial and perivascular, which may have distinct origins. It can be inferred that the subepithelial basal membrane is derived from the epithelium of the vascular plexus, whereas the perivascular one is composed of vascular wall cellular elements, including endotheliocytes, pericytes, and smooth muscle cells. The compact cellular structure of the stroma in the plexus villi and the lack of a developed layer of subepithelial connective tissue cells indicate that the epithelial cells themselves are responsible for producing collagen IV, which forms the basement membrane of the vascular plexus. However, this hypothesis is not entirely consistent with certain data regarding the cooperative formation of the basement membrane by epithelial and connective tissue cells [16, 17].
The human brain vascular plexus does not possess the typical choriocapillary (syncytial capillary) membranes, which are areas of direct contact between the capillary endothelium and chorion, in contrast to the human placenta [18], whose villi are analogous in structure to those of the vascular plexus [19, 20]. Basement membranes are distinct in this instance, even in the domain of capillary adhesion to the epithelium of the vascular plexus. Our observations are consistent with the results of previous studies that have reported the absence of fusion between the subepithelial and endothelial basement membranes in the embryonic human vascular plexus [21]. Additionally, our results agree with the report on the biochemical heterogeneity of vascular and nonvascular basement membranes of the ventricular–subventricular zone of the mouse brain [14]. Thus, these results indicate a complex structural organization of the blood–brain barrier, which prevents the penetration of certain blood plasma components into the cerebrospinal fluid. The structure of the basement membranes is likely associated with the characteristics of the organization and functioning of the blood–brain barrier, which prevents the penetration of certain blood plasma components into the cerebrospinal fluid rather than being a zone of free transit of blood serum components.
Conclusions
This study established the existence of two distinct types of basement membranes within the vascular plexus villi of the human brain, specifically the subepithelial and perivascular basement membranes. This finding highlights the complex nature of the human hematoliquor barrier.
Additional information
Funding source. The research was carried out within the framework of the state assignment of the Institute of Experimental Medicine.
Competing interests. The authors declare that they have no competing interests.
Authors’ contribution. All authors made a substantial contribution to the conception of the work, acquisition, analysis, interpretation of data for the work, drafting and revising the work, final approval of the version to be published and agree to be accountable for all aspects of the work. O.V. Kirik ― preparation of the material, formulation of immunohistochemical reactions, analysis of the obtained drugs, literature review, collection and analysis of literary sources, writing and editing the article; O.S. Alekseeva ― preparation of the material, analysis of the obtained drugs, literature review, collection and analysis of literary sources, writing and editing the article; I.P. Grigorev, D.E. Korzhevskii ― analysis of the obtained drugs, literature review, collection and analysis of literary sources, writing the text and editing the article; Е.А. Fedorova, A.A. Beketova ― preparation of the material, formulation of immunohistochemical reactions, analysis of the drugs obtained, writing the text and editing the article.
Дополнительная информация
Источник финансирования. Исследование выполнено в рамках государственного задания Федерального государственного бюджетного научного учреждения «Институт экспериментальной медицины».
Конфликт интересов. Авторы декларируют отсутствие явных и потенциальных конфликтов интересов, связанных с публикацией настоящей статьи.
Вклад авторов. Все авторы подтверждают соответствие своего авторства международным критериям ICMJE (все авторы внесли существенный вклад в разработку концепции, проведение исследования и подготовку статьи, прочли и одобрили финальную версию перед публикацией). Наибольший вклад распределён следующим образом: О.В. Кирик ― подготовка материала, постановка иммуногистохимических реакций, анализ полученных препаратов, обзор литературы, сбор и анализ литературных источников, написание текста и редактирование статьи; О.С. Алексеева ― подготовка материала, анализ полученных препаратов, обзор литературы, сбор и анализ литературных источников, написание текста и редактирование статьи; И.П. Григорьев, Д.Э. Коржевский ― анализ полученных препаратов, обзор литературы, сбор и анализ литературных источников, написание текста и редактирование статьи; Е.А. Федорова, А.А. Бекетова ― подготовка материала, постановка иммуногистохимических реакций, анализ полученных препаратов, написание текста и редактирование статьи.
About the authors
Olga V. Kirik
Institute of Experimental Medicine
Author for correspondence.
Email: olga_kirik@mail.ru
ORCID iD: 0000-0001-6113-3948
SPIN-code: 5725-8742
Cand. Sci. (Biology)
Russian Federation, Saint PetersburgOlga S. Alekseeva
Institute of Experimental Medicine; Sechenov Institute of Evolutionary Physiology and Biochemistry
Email: osa72@inbox.ru
ORCID iD: 0000-0001-5688-347X
SPIN-code: 4281-3091
Cand. Sci. (Biology)
Russian Federation, Saint Petersburg; Saint PetersburgIgor P. Grigorev
Institute of Experimental Medicine
Email: ipg-iem@yandex.ru
ORCID iD: 0000-0002-3535-7638
SPIN-code: 1306-4860
Cand. Sci. (Biology)
Russian Federation, Saint PetersburgElena A. Fedorova
Institute of Experimental Medicine
Email: el-fedorova2014@ya.ru
SPIN-code: 5414-4122
Cand. Sci. (Biology)
Russian Federation, Saint PetersburgAnastasiia A. Beketova
Institute of Experimental Medicine
Email: beketova.anastasiya@yandex.ru
ORCID iD: 0009-0002-8659-733X
Russian Federation, Saint Petersburg
Dmitrii E. Korzhevskii
Institute of Experimental Medicine
Email: dek2@yandex.ru
ORCID iD: 0000-0002-2456-8165
SPIN-code: 3252-3029
MD, Dr. Sci. (Medicine), Professor of the Russian Academy of Sciences
Russian Federation, Saint PetersburgReferences
- Korzhevskii DE. The cerebral vascular plexus and the organisation of the haematoliquor barrier in humans. Regional blood circulation and microcirculation. 2003;2(1):5–14. (In Russ.). EDN: PCBHFJ
- Kaur C, Rathnasamy G, Ling EA. The choroid plexus in healthy and diseased brain. J Neuropathol Exp Neurol. 2016;75(3):198–213. doi: 10.1093/jnen/nlv030
- Serot JM, Foliguet B, Béné MC, Faure GC. Choroid plexus and ageing in rats: A morphometric and ultrastructural study. Eur J Neurosci. 2001;14(5):794–798. doi: 10.1046/j.0953-816x.2001.01693.x
- Chen CP, Chen RL, Preston JE. The influence of ageing in the cerebrospinal fluid concentrations of proteins that are derived from the choroid plexus, brain, and plasma. Exp Gerontol. 2012;47(4):323–328. doi: 10.1016/j.exger.2012.01.008
- Redzic ZB, Preston JE, Duncan JA, et al. The choroid plexus-cerebrospinal fluid system: From development to aging. Curr Top Dev Biol. 2005;71:1–52. doi: 10.1016/S0070-2153(05)71001-2
- Silverberg GD, Heit G, Huhn S, et al. The cerebrospinal fluid production rate is reduced in dementia of the Alzheimer’s type. Neurology. 2001;57(10):1763–1766. doi: 10.1212/wnl.57.10.1763
- Pöschl E, Schlötzer-Schrehardt U, Brachvogel B, et al. Collagen IV is essential for basement membrane stability but dispensable for initiation of its assembly during early development. Development. 2004;131(7):1619–1628. doi: 10.1242/dev.01037
- Sufieva DA, Fedorova EA, Yakovlev VS, et al. 25-Year storage of human choroid plexus in methyl salicylate preserves its antigen immunoreactivity. Turk Patoloji Derg. 2023;39(2):109–116. doi: 10.5146/tjpath.2022.01581
- Randles MJ, Humphries MJ, Lennon R. Proteomic definitions of basement membrane composition in health and disease. Matrix Biol. 2017;57–58:12–28. doi: 10.1016/j.matbio.2016.08.006
- Goodwin PC, Johnson B, Frevert CW. Microscopy, immuno-histochemistry, digital imaging, and quantitative microscopy. In: Treuting PM, Dintzis SM, Montine KS, eds. Comparative anatomy and histology. London: Academic Press; 2017. P. 53–66. doi: 10.1016/b978-0-12-802900-8.00004-x
- Krenacs L, Krenacs T, Stelkovics E, Raffeld M. Heat-induced antigen retrieval for immunohistochemical reactions in routinely processed paraffin sections. Methods Mol Biol. 2010;588:103–119. doi: 10.1007/978-1-59745-324-0_14
- Yurchenco PD, Patton BL. Developmental and pathogenic mechanisms of basement membrane assembly. Curr Pharm Des. 2009;15(12):1277–1294. doi: 10.2174/138161209787846766
- Erickson AC, Couchman JR. Still more complexity in mammalian basement membranes. J Histochem Cytochem. 2000;48(10):1291–1306. doi: 10.1177/002215540004801001
- Sato Y, Kiyozumi D, Futaki S, et al. Ventricular-subventricular zone fractones are speckled basement membranes that function as a neural stem cell niche. Mol Biol Cell. 2019;30(1):56–68. doi: 10.1091/mbc.E18-05-0286
- Zeisberg M, Kramer K, Sindhi N, et al. De-differentiation of primary human hepatocytes depends on the composition of specialized liver basement membrane. Mol Cell Biochem. 2006;283(1–2):181–189. doi: 10.1007/s11010-006-2677-8
- Thomsen MS, Routhe LJ, Moos T. The vascular basement membrane in the healthy and pathological brain. J Cereb Blood Flow Metab. 2017;37(10):3300–3317. doi: 10.1177/0271678X17722436
- Xu L, Nirwane A, Yao Y. Basement membrane and blood-brain barrier. Stroke Vasc Neurol. 2018;4(2):78–82. doi: 10.1136/svn-2018-000198
- Voronova OV, Milovanov AP, Mikhaleva LM. Integration approach to study placental vessels in preeclampsia. Clinical Experimental Morphology. 2022;11(3):30–44. (In Russ.). EDN: TVUIAF doi: 10.31088/CEM2022.11.3.30-44
- Jarzembowski JA. Normal structure and function of the placenta. In: McManus LM, Mitchell RN, eds. Pathobiology of human disease: A dynamic encyclopedia of disease mechanisms. London: Academic Press; 2014. P. 2308–2321. doi: 10.1016/B978-0-12-386456-7.05001-2
- Korzhevskiy DE, Otellin VA, Neokessariyskiy AA, et al. Organization and cytochemical features of barrier structures in human placenta. Morphology. 2006;129(3):63–64. (In Russ.). EDN: KXHBQR
- Korzhevskiy DE, Otellin VA. Structural bases of haematoliquor barrier formation in humans. Uspekhi fiziologicheskikh nauk. 2002;33(4):43–52. (In Russ.). EDN: ZECKGH
Supplementary files





