Диагностическая и прогностическая ценность иммуногистохимических маркеров HMB-45, Melan-A/MART-1 и S100 при различных гистологических подтипах меланомы
- Авторы: Силаков К.А.1, Деменкова Е.Ю.1, Щекин В.И.1,2, Бобров М.А.1, Демяшкин Г.А.1,2
-
Учреждения:
- Российский университет дружбы народов им. П. Лумумбы
- Национальный медицинский исследовательский центр радиологии Минздрава России
- Выпуск: Том 163, № 4 (2025)
- Страницы: 353-362
- Раздел: Оригинальные исследования
- URL: https://medbiosci.ru/1026-3543/article/view/349039
- DOI: https://doi.org/10.17816/morph.676878
- EDN: https://elibrary.ru/RABDZT
- ID: 349039
Цитировать
Аннотация
Обоснование. Меланома — злокачественное новообразование, развивающееся из меланоцитов — клеток, синтезирующих меланин и локализующихся преимущественно в коже. Несмотря на редкость, меланома обладает высокой агрессивностью. В 2023 году в России выявлено 13 270 случаев меланомы кожи. Основным фактором риска является избыточное воздействие ультрафиолетового излучения. Иммуногистохимические исследования с использованием маркеров HMB-45 (Human Melanoma Black-45), Melan-A/MART-1 (Melanoma Antigen Recognized by T cells 1) и S100 играют ключевую роль в диагностике меланомы кожи и позволяют повысить точность выявления опухоли и оптимизировать лечение.
Цель — оценить прогностическую значимость меланоцитарных маркеров HMB-45, Melan-A/MART-1 и S100 при меланоме кожи с учётом гистологических подтипов опухоли и стадий согласно классификации pTNM.
Методы. Образцы меланомы кожи пациентов (n = 117) исследовали иммуногистохимическим методом с использованием антител к HMB-45, Melan-A/MART-1 и S100. При интерпретации результатов учитывали гистологический подтип опухоли и толщину инвазии по Breslow, на основании которой определяли стадию заболевания.
Результаты. Подсчёт атипичных клеток меланомы с учётом её гистологического подтипа показал наибольшую чувствительность маркера S100 (91,2%) по сравнению с Melan-A/MART-1 и HMB-45, особенно при десмопластическом типе опухоли. Кроме того, маркеры S100 и Melan-A/MART-1 демонстрируют стабильное окрашивание независимо от степени инвазии, в то время как количество HMB-45-позитивных атипичных меланоцитов увеличивается по мере прогрессирования опухоли в соответствии с классификацией по системе pTNM (Tumor, Node, Metastasis).
Заключение. При иммуногистохимическом исследовании различных гистологических подтипов меланомы кожи обнаружена стабильная экспрессия белков S100, Melan-A/MART-1 и HMB-45 в поверхностно-распространяющейся и узловой формах опухоли. При десмопластическом подтипе меланомы кожи экспрессия Melan-A/MART-1 и HMB- 45 отсутствует, тогда как экспрессия S100 сохраняется. Доля S100- и Melan-A/MART-1-позитивных атипичных клеток не зависит от степени инвазии опухоли (в соответствии со стадиями pTNM). В то же время, процент HMB-45-позитивных атипичных меланоцитов пропорционально увеличивается с ростом толщины инвазии, что не исключает его прогностическую значимость.
Ключевые слова
Полный текст
ОБОСНОВАНИЕ
Меланома — злокачественное новообразование, развивающееся из меланоцитов — клеток нейроэктодермального происхождения, локализующихся в основном в коже, а также в сосудистой оболочке глаза, сетчатке и других тканях [1, 2]. Меланома относится к редким злокачественным опухолям и характеризуется высокой агрессивностью. В 2023 году в России зарегистрировано 13 270 случаев меланомы кожи, что составило ~2% общего числа впервые диагностированных злокачественных новообразований (674 587 случаев) [3].Меланома имеет многофакторную этиологию, включающую генетические и расовые особенности. Наиболее значимым фактором риска для большинства меланоцитарных опухолей является избыточное воздействие ультрафиолетового излучения, которое увеличивает вероятность развития заболевания примерно в 1,7 раза, особенно у людей со светлой кожей. У представителей негроидной расы меланома кожи встречается гораздо реже благодаря высокой продукции меланина, за исключением беспигментных участков тела (например, ногтевые ложа, ладони, подошвы и слизистые оболочки). Триггером канцерогенеза является образование свободных радикалов в меланоцитах, приводящее к димеризации пиримидиновых оснований в ДНК, а возникающие в результате мутации лежат в основе клеточной атипии. У лиц со сниженной активностью эндонуклеаз, например при пигментной ксеродермии, риск развития злокачественных новообразований кожи, включая меланому, существенно возрастает [4].
Согласно классификации опухолей кожи Всемирной организации здравоохранения (ВОЗ; 5-е издание, 2022 год), к меланоцитарным опухолям относятся 9 групп новообразований, в каждой из которых выделяют несколько гистологических подтипов [5]. Например, в группу «Меланоцитарные опухоли кожи, периодически подвергающиеся инсоляции» включены: простое лентиго, диспластический невус, поверхностно распространяющаяся меланома и другие подтипы. Меланома типа злокачественного лентиго и десмопластическая меланома объединены в группу «Меланоцитарные опухоли кожи, хронически подвергающиеся инсоляции». Узловая меланома относится к группе «Нодулярные, невоидные и метастатические меланомы» [6]. Иммуногистохимическое исследование является одним из ключевых этапов диагностики меланомы различных локализаций, поскольку гистологически она способна имитировать как доброкачественные меланоцитарные образования, так и некоторые другие типы опухолей. Такая схожесть усложняет верификацию на основании только гистологических характеристик и делает необходимым применение специфических иммуногистохимических маркеров, таких как HMB-45 (Human Melanoma Black-45), Melan-A/MART-1 (Melanoma Antigen Recognized by T cells 1), S100 и др.
Белок S100 характеризуется высокой чувствительностью, что делает его эффективным маркером для идентификации меланоцитарных клеток. Однако, его специфичность ограничена, поскольку S100 экспрессируется и в других неопластических клетках, что может приводить к ложноположительным результатам.
Помимо важного диагностического значения, белки HMB-45, Melan-A/MART-1 и S100 могут обладать прогностическим потенциалом, особенно с учётом гистологического подтипа меланомы и толщины инвазии по Breslow. В целом иммуногистохимическая диагностика, основанная на комплексном применении различных маркеров, является незаменимым инструментом в современной патологической анатомии и онкологии, особенно в контексте персонализированной медицины [7].
Цель — оценить прогностическую значимость меланоцитарных маркеров HMB-45, Melan-A/ MART-1 и S100 при меланоме кожи с учётом гистологических подтипов опухоли и стадий согласно классификации pTNM.
МЕТОДЫ
Выборочную совокупность исследования составили пациенты с установленным диагнозом «меланома кожи» (n = 117), проходившие лечение в консультативно-поликлиническом отделении с дневным стационаром и научной группой МРНЦ им. А.Ф. Цыба — филиал ФГБУ «НМИЦ радиологии» Минздрава России. Меланому классифицировали по системе pTNM (Tumor, Node, Metastasis; 8-е издание, 2017 год) на основании определения толщины инвазии по Breslow, а также учитывали гистологический подтип по классификации ВОЗ (2022 год) [5, 8].
Гистологическое исследование проводили методом световой микроскопии. Образцы меланомы кожи фиксировали в формалине, затем заключали в парафин и изготавливали срезы толщиной 2–3 мкм. Иммуногистохимическое окрашивание выполняли в автоматическом режиме на иммуногистостейнере Roche Ventana BenchMark Ultra (Roche Diagnostics, Швейцария) с использованием первичных антител к HMB-45, Melan-A/MART-1 и S100 (Ventana Medical Systems, США; табл. 1), а также с проведением внутреннего и внешнего контроля реакций.
Таблица 1. Антитела, использованные в работе
Table 1. Antibodies used in the study
Антитела | Клон и каталожный номер | Специфичность и характеристика |
S100 | clone 4C4.9 (760-2523) | Цитоплазматический маркер; в норме экспрессируется в клетках, производных нервного гребня — шванновские клетки, меланоциты и другие |
Melan-A/MART-1 | clone A103 (790-2990) | Цитоплазматический маркер; в норме экспрессируется в меланоцитах |
HMB-45 | clone HMB45 (790-4366) | Цитоплазматический маркер; в норме экспрессируется в незрелых и активных меланоцитах |
Иммунопозитивные клетки подсчитывали в 10 полях зрения при увеличении ×400.
Дизайн исследования
Проведено ретроспективное выборочное контролируемое нерандомизированное исследование.
Критерии соответствия
Морфологически подтверждённая меланома кожи, возраст пациентов не менее 18 лет, состояние пациента по шкале ECOG (Eastern Cooperative Oncology Group Performance Status) 0–2 балла.
Критерии исключения. Проведённая ранее противоопухолевая терапия, наличие отдалённых метастазов или рецидив заболевания, первично-множественный рак (синхронный или метахронный), инфекционные и аутоиммунные заболевания.
Морфологическое исследование проводили на базе НОРЦ «Инновационных технологий иммунофенотипирования, цифрового пространственного профилирования и ультраструктурного анализа (Молекулярной морфологии)» ФГАОУ РУДН им. Патриса Лумумбы.
Продолжительность исследования
Исследование проводили в течение шести месяцев в 2023–2024 гг.
Описание медицинского вмешательства
Всем пациентам было проведено хирургическое лечение, включающее широкое иссечение опухоли с контролем краёв резекции и последующим морфологическим исследованием.
Основной исход исследования
Оценка прогностической значимости меланоцитарных маркеров при различных гистологических подтипах и pTNM стадиях меланомы кожи.
Анализ в группах
В группу исследования включено 117 пациентов с первичным диагнозом «меланома кожи», среди них 67 женщин и 50 мужчин. Средний возраст составил (64,2 ± 6,8) года.
Методы регистрации исходов
Создана электронная база данных в Microsoft Excel, включающая результаты гистологического, иммуногистохимического и молекулярного исследований меланомы кожи.
Статистический анализ
Статистическую обработку данных проводили с использованием программы StatTech v. 4.5.0 (ООО «Статтех», Россия). Значения количественных показателей (количество иммунопозитивных клеток) оценивали на предмет соответствия нормальному распределению с помощью критериев Шапиро–Уилка и Колмогорова–Смирнова. Два критерия применяли для повышения надёжности оценки нормальности распределения, так как критерий Шапиро–Уилка более точен для малых выборок (n < 50), а критерий Колмогорова–Смирнова лучше подходит для больших выборок и позволяет сравнивать распределение с эталонным. Совместное использование двух критериев минимизирует риск ошибки при определении типа распределения, что имеет критически важное значение для выбора последующих статистических тестов.
Категориальные данные описаны с указанием абсолютных значений и процентных долей. Количественные показатели представлены в виде минимального и максимального значения. Сравнение процентных долей при анализе многопольных таблиц сопряжённости выполняли с помощью критерия квадрат Пирсона. Для сравнения трёх и более групп по количественным признакам при нормальном распределении использовали F-критерий Фишера, при его отсутствии — применяли критерий Краскела–Уоллиса. Различия считали статистически значимыми при p < 0,05.
РЕЗУЛЬТАТЫ
Объект исследования
Объект исследования — образцы меланомы кожи пациентов без предшествующего лечения (n = 117). Распределение пациентов по группам согласно гистологическим подтипам и толщине инвазии по Breslow представлено в табл. 2, 3.
Таблица 2. Распределение пациентов с меланомой кожи по толщине инвазии по Breslow и патоморфологическим стадиям pT в соответствии с классификацией pTNM (pathologic Tumor Nodes Metastasis)
Table 2. Distribution of patients with skin melanoma by Breslow thickness and pathomorphological stages (pT) according to the Pathological Tumor-Node-Metastasis (pTNM) classification
Толщина инвазии по Breslow | Стадия pT | Количество пациентов |
< 0,8–1,0 мм | pT1a | 23 (19,7%) |
pT1b | 8 (6,8%) | |
> 1,0–2,0 мм | pT2a | 20 (17,1%) |
pT2b | 7 (5,9%) | |
> 2,0–4,0 мм | pT3a | 18 (15,4%) |
pT3b | 11 (9,4%) | |
> 4,0 мм | pT4a | 17 (14,5%) |
pT4b | 13 (11,1%) |
Таблица 3. Распределение пациентов с меланомой кожи по гистологическим подтипам
Table 3. Distribution of patients with skin melanoma by histological subtypes
Гистологический подтип | Международное название, МКБ-О код | Количество пациентов |
Поверхностно распространяющаяся меланома | Superficial spreading melanoma, 8743/3 | 58 (49,6%) |
Узловая меланома | Nodular melanoma, 8721/3 | 48 (41,0%) |
Десмопластическая меланома | Desmoplastic melanoma, 8745/3 | 11 (9,4%) |
Примечание. МКБ-О — Международная классификация болезней — онкология.
Основные результаты исследования
У всех пациентов (n = 117) выявлена морфологическая картина меланомы кожи: гнёзда полиморфных атипичных клеток овальной, полигональной и веретеновидной формы со слабо развитой эозинофильной цитоплазмой; в части клеток содержатся гранулы коричневого пигмента; ядра гиперхромные (рис. 1).
Рис. 1. Гистологические подтипы меланомы кожи: a — поверхностно распространяющаяся меланома (8743/3), толщина по Breslow 0,7 мм (pT1a); b — узловая меланома (8721/3), толщина по Breslow 3,5 мм (pT3a); с — десмопластическая меланома (8745/3), толщина по Breslow 4,2 мм (pT4a). Окрашивание гематоксилином и эозином; увеличение a, b ×200, c ×400.
Fig. 1. Histological subtypes of skin melanoma: a, superficial spreading melanoma (8743/3), Breslow thickness 0.7 mm (pT1a); b, nodular melanoma (8721/3), Breslow thickness 3.5 mm (pT3a); c, desmoplastic melanoma (8745/3), Breslow thickness 4.2 mm (pT4a). Hematoxylin and eosin staining; magnification: a, b, ×200; c, ×400.
При иммуногистохимическом исследовании на маркеры S100, HMB-45 и Melan-A/MART-1 наибольшую чувствительность показали маркеры S100 и HMB-45 при поверхностно распространяющейся и узловой меланоме (рис. 2). В этих подтипах доля положительно окрашенных клеток варьировала: от 76,2% (HMB-45 при поверхностно распространяющейся меланоме) до 89,9% (S100 при узловой меланоме; табл. 4). Следует отметить, что среди исследуемых маркеров HMB-45 показал наименьшую чувствительность, в то время как маркер S100 продемонстрировал наибольшую. При десмопластической меланоме доля атипичных клеток, позитивных на HMB-45 и Melan-A/ MART-1, значительно снижена — 1,6% и 3,8% соответственно, тогда как имунногистохимическая реакция с антителами к S100, напротив, сохраняет высокую чувствительность — до 91,2% (рис. 3).
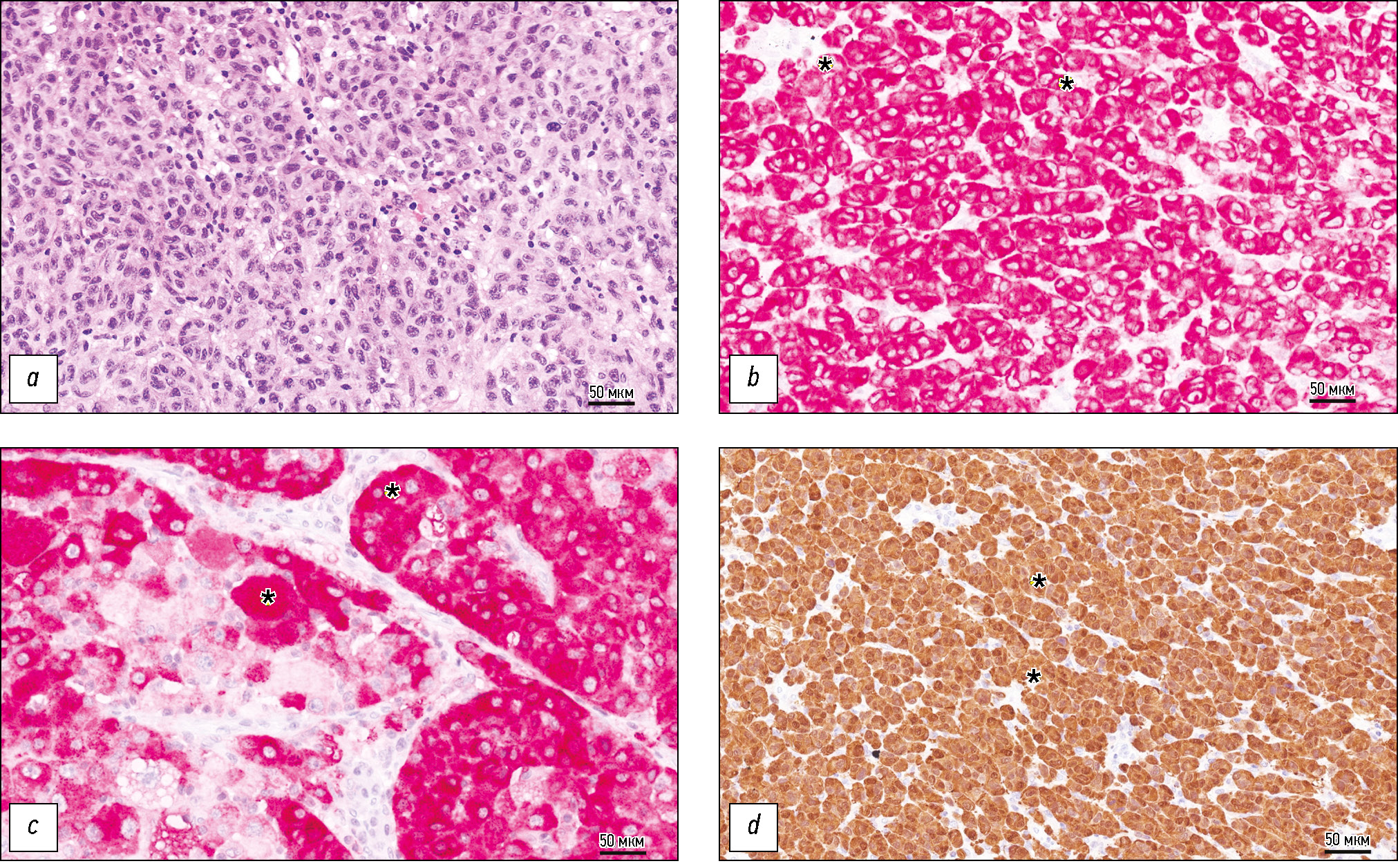
Рис. 2. Узловая меланома кожи (8721/3), толщина по Breslow 4,2 мм (pT4a): a — окрашивание гематоксилином и эозином; b — окрашивание с использованием антител к Melan-A/MART-1, гранулярная цитоплазматическая экспрессия приблизительно 95%; с — окрашивание с использованием антител к HMB-45, цитоплазматическая экспрессия около 75%; d — окрашивание с использованием антител к S100, цитоплазматическая экспрессия около 95%.* обозначена экспрессия изучаемых маркеров в атипичных клетках; увеличение ×400.
Fig. 2. Nodular melanoma of the skin (8721/3), Breslow thickness 4.2 mm (pT4a): a, hematoxylin and eosin staining; b, staining using antibodies to Melan-A/MART-1, granular cytoplasmic expression approximately 95%; c, staining using antibodies to HMB-45, cytoplasmic expression approximately 75%; d, staining using antibodies to S100, cytoplasmic expression approximately 95%. * indicates the expression of the studied markers in atypical cells; magnification ×400.
Таблица 4. Доля иммунопозитивных атипичных клеток в зависимости от гистологического подтипа меланомы кожи и толщины её инвазии по Breslow
Table 4. Percentage of immunopositive atypical cells depending on the histological subtype of skin melanoma and Breslow thickness
Меланома | Иммуногистохимический маркер | ||
S100 | HMB-45 | Melan-A/MART-1 | |
Гистологический подтип | |||
Поверхностно распространяющаяся | 88,6% | 76,2% | 84,6% |
Узловая | 89,9% | 84,1% | 87,1% |
Десмопластическая | 91,2% | 1,6% | 3,8% |
Толщина по Breslow | |||
< 0,8–1,0 мм | 89,8% | 41,9% | 75,3% |
> 1,0–2,0 мм | 90,1% | 68,7% | 78,2% |
> 2,0–4,0 мм | 89,8% | 80,8% | 81,6% |
> 4,0 мм | 89,9% | 86,2% | 83,3% |
Рис. 3. Десмопластическая меланома кожи (8745/3), толщина по Breslow 4,4 мм (pT4a): a — окрашивание гематоксилином и эозином; b — окрашивание с использованием антител к Melana-A/MART-1, гранулярная цитоплазматическая экспрессия в 3% клеток; с — окрашивание с использованием антител к HMB-45, цитоплазматическая экспрессия отсутствует; d — окрашивание с использованием антител к S100, цитоплазматическая экспрессия около 85%. * обозначена экспрессия изучаемых маркеров в атипичных клетках; увеличение ×200.
Fig. 3. Desmoplastic melanoma of the skin (8745/3), Breslow thickness 4.4 mm (pT4a): a, hematoxylin and eosin staining; b, staining using antibodies to Melan-A/MART-1, granular cytoplasmic expression in 3% of cells; c, staining using antibodies to HMB-45, no cytoplasmic expression; d, staining using antibodies to S100, cytoplasmic expression approximately 85%. * indicates the expression of the studied markers in atypical cells; magnification ×200.
Таким образом, среди исследованных маркеров белок S100 демонстрирует наибольшую чувствительность независимо от гистологического подтипа опухоли, что подчёркивает его потенциальную ценность в качестве одного из ключевых диагностических маркеров меланомы кожи.
При анализе образцов в соответствии с классификацией pTNM стабильность иммуногистохимического окрашивания, независимо от степени инвазии, продемонстрировали маркеры S100 и Melan-A/MART-1 — (89,8–90,1)% и (75,3–85,3)% атипичных клеток соответственно. Полученные данные свидетельствуют о высокой диагностической значимости этих маркеров и их потенциальной ценности для своевременного выявления меланомы кожи. Количество HMB-45-позитивных клеток варьировало в пределах (41,9–86,2)%, причём этот показатель прямо пропорционален росту опухоли в вертикальном направлении, то есть толщине инвазии. В связи с этим, HMB-45 может иметь ограниченное применение в диагностике меланомы кожи на ранних стадиях, когда толщина опухоли ещё невелика, однако это не исключает его прогностическую значимость.
С учётом всех полученных данных целесообразно рассматривать комбинированное использование маркеров S100, Melan-A/MART-1 и HMB-45 в патологоанатомической практике. Такой подход может значительно улучшить прогнозирование исходов и способствовать индивидуализации лечения пациентов с меланомой кожи.
ОБСУЖДЕНИЕ
Резюме основного результата исследования
В результате проведённого исследования выявлены иммуногистохимические особенности меланомы кожи, зависящие от гистологического подтипа опухоли и толщины инвазии по Breslow. Все три маркера — S100, Melan-A/MART-1 и HMB-45 — продемонстрировали высокую чувствительность к атипичным клеткам, за исключением десмопластического подтипа меланомы, при котором Melan-A/MART-1 и HMB- 45 показали низкие значения, а маркер S100 сохранил высокую чувствительность. При этом количество S100- и Melan-A/ MART- 1-позитивных атипичных клеток остаётся стабильным независимо от толщины инвазии, в отличии от HMB-45, экспрессия которого повышается с увеличением толщины инвазии, что может свидетельствовать о его дополнительной прогностической ценности.
Обсуждение основного результата исследования
В исследовании оценена чувствительность маркеров S100, HMB-45 и Melan-A/MART-1 при различных гистологических подтипах меланомы кожи, а также её зависимость от толщины опухоли по Breslow. Установлено, что маркера S100 обладает более высокой чувствительностью по сравнению с другими выбранными маркерами, особенно в случае меланомы десмопластического подтипа, что согласуется с литературными данными [9]. Особенности экспрессии маркеров в десмопластической меланоме обусловлены наличием большого количества мутаций, характерных именно для этого подтипа опухоли. На фоне гистологической и генетической потери меланоцитарной дифференцировки, происходит утрата специфических маркеров, таких как HMB-45 и Melan-A/MART-1 [9, 10]. В то же время, взаимодействие S100 с рецептором RAGE (Receptor for Advanced Glycation End-products) активирует сигнальный путь MAPK/ERK (Mitogen-Activated Protein Kinase/Extracellular Signal-Regulated Kinase), что способствует пролиферации атипичных клеток и их миграции. Этот механизм играет ключевую роль в канцерогенезе различных подтипов меланомы, что подтверждается сохранением иммуногистохимического паттерна S100 даже в десмопластическом подтипе опухоли. Таким образом, несмотря на утрату других меланоцитарных маркеров, S100 остаётся одним из важных прогностических факторов для данного подтипа меланомы [11, 12].
При иммуногистохимическом анализе меланомы кожи маркеры S100 и Melan-A/MART-1 продемонстрировали стабильную чувствительность независимо от степени инвазии по Breslow, что указывает на их высокую диагностическую значимость на всех стадиях заболевания. Полученные данные не противоречат результатам других авторов [13, 14]. Самую высокую вариабельность наблюдали для маркера HMB-45: для него характерна низкая степень экспрессии на ранних стадиях с последующим увеличением пропорционально толщине опухоли (с 41,9% до 86,2%), что предполагает его возможную прогностическую ценность и может стать предметом дальнейших исследований.
Ограничения исследования
Одним из основных ограничений исследования является недостаточно большой размер выборки. Прогностическая значимость HMB-45, выявленная в нашем исследовании, требует дополнительного подтверждения с использованием других методов, таких как иммунофенотипический анализ, мультиплексная иммуногистохимия и молекулярно-генетические методы.
ЗАКЛЮЧЕНИЕ
При иммуногистохимическом исследовании различных гистологических подтипов меланомы кожи показана стабильность экспрессии маркеров S100, Melan-A/MART-1 и HMB-45 в поверхностно распространяющейся и узловой меланоме. Однако в десмопластическом подтипе меланомы кожи происходит утрата экспрессии Melan-A/MART-1 и HMB-45, при сохранной экспрессии S100.
Доля S100- и Melan-A/MART-1-позитивных атипичных клеток не зависит от степени инвазии опухоли. В то же время, процент атипичных меланоцитов, окрашенных на HMB-45, увеличивается пропорционально толщине инвазии, что не исключает его прогностическую значимость.
ДОПОЛНИТЕЛЬНАЯ ИНФОРМАЦИЯ
Вклад авторов. К.А. Силаков — анализ данных, написание черновика рукописи, проведение гистологического и иммуногистохимического исследования; Е.Ю. Деменкова — пересмотр и редактирование рукописи; В.И. Щекин — анализ данных; Г.А. Демяшкин — определение концепции, обеспечение исследования, пересмотр и редактирование рукописи; М.А. Бобров — анализ данных, визуализация, пересмотр и редактирование рукописи. Все авторы одобрили рукопись (версию для публикации), а также согласились нести ответственность за все аспекты настоящей работы, гарантируя надлежащее рассмотрение и решение вопросов, связанных с точностью и добросовестностью любой её части.
Этическая экспертиза. Все участники исследования добровольно подписали форму информированного согласия, утверждённую этическим комитетом в составе протокола исследования. Проведение исследования одобрено Локальным этическим комитетом Медицинского радиологического научного центра им. А.Ф. Цыба — филиал ФГБУ «НМИЦ радиологии», протокол № 841а от 15 ноября 2023 г.
Источники финансирования. Отсутствуют.
Раскрытие интересов. Авторы заявляют об отсутствии отношений, деятельности и интересов за последние три года, связанных с третьими лицами (коммерческими и некоммерческими организациями), интересы которых могут быть затронуты содержанием статьи.
Оригинальность. При проведении исследования и создании настоящей статьи авторы не использовали ранее полученные и опубликованные сведения (данные, текст, иллюстрации).
Доступ к данным. Все данные, полученные в настоящем исследовании, представлены в статье.
Генеративный искусственный интеллект. При создании настоящей статьи технологии генеративного искусственного интеллекта не использовали.
Рассмотрение и рецензирование. Настоящая работа подана в журнал в инициативном порядке и рассмотрена по обычной процедуре. В рецензировании участвовали два внешних рецензента, член редакционной коллегии и научный редактор издания..
ADDITIONAL INFORMATION
Author contributions: K.A. Silakov: formal analysis, investigation, writing—original draft; E.Yu. Demenkova: writing—review & editing; V.I. Shchekin: formal analysis; G.A. Demyashkin: conceptualization, resources, writing—review & editing; M.A. Bobrov: formal analysis, visualization, writing—review & editing. All the authors approved the version of the manuscript to be published and agreed to be accountable for all aspects of the work, ensuring that questions related to the accuracy or integrity of any part of the work are appropriately investigated and resolved.
Ethics approval: All participants provided written informed consent approved by the ethics committee as part of the study protocol. The study was approved by the Local Ethics Committee of the A.F. Tsyb Medical Radiological Research Center, branch of the National Medical Research Centre of Radiology (Minutes No. 841a of November 15, 2023).
Funding sources: No funding.
Disclosure of interests: The authors have no relationships, activities, or interests for the last three years related to for-profit or not-for-profit third parties whose interests may be affected by the content of the article.
Statement of originality: No previously obtained or published material (text, images, or data) was used in this study or article.
Data availability statement: All data obtained in this study are available in this article.
Generative AI: No generative artificial intelligence technologies were used to prepare this article.
Provenance and peer review: This paper was submitted unsolicited and reviewed following the standard procedure. The peer review process involved two external reviewers, a member of the Editorial Board, and the in-house scientific editor.
Об авторах
Кирилл Александрович Силаков
Российский университет дружбы народов им. П. Лумумбы
Email: k_30_10@mail.ru
ORCID iD: 0009-0000-2073-3699
Россия, Москва
Екатерина Юрьевна Деменкова
Российский университет дружбы народов им. П. Лумумбы
Email: demenkate@gmail.com
ORCID iD: 0009-0001-8535-999X
Россия, Москва
Владимир Иванович Щекин
Российский университет дружбы народов им. П. Лумумбы; Национальный медицинский исследовательский центр радиологии Минздрава России
Email: Dr.shchekin@mail.ru
ORCID iD: 0000-0003-3763-7454
SPIN-код: 3664-8044
Россия, Москва; Москва
Максим Александрович Бобров
Российский университет дружбы народов им. П. Лумумбы
Автор, ответственный за переписку.
Email: M.a.bobrov@yandex.ru
ORCID iD: 0000-0001-7374-0374
SPIN-код: 3058-6092
Россия, Москва
Григорий Александрович Демяшкин
Российский университет дружбы народов им. П. Лумумбы; Национальный медицинский исследовательский центр радиологии Минздрава России
Email: dr.dga@mail.ru
ORCID iD: 0000-0001-8447-2600
SPIN-код: 5157-0177
д-р мед. наук
Россия, Москва; МоскваСписок литературы
- Bray F, Laversanne M, Sung H, et al. Global cancer statistics 2022: GLOBOCAN estimates of incidence and mortality worldwide for 36 cancers in 185 countries. CA Cancer J Clin. 2024;74(3):229–263. doi: 10.3322/caac.21834 EDN: FRJDQH
- Lindberg MR. Diagnostic Pathology: Normal Histology. 3rd ed. Elsevier; 2022. ISBN: 9780323834155
- Kaprin AD, Starinskiy VV, Shakhzadova AO, editors. Malignant Neoplasms in Russia in 2023 (Incidence and Mortality). Moscow: P.A. Hertzen Moscow Oncology Research Institute — Branch of the National Medical Research Center of Radiology, Ministry of Health of the Russian Federation, 2024. ISBN: 978-5-85502-298-8
- Eduardo Calonje J, Brenn T, Lazar AJ, Billings SD. McKee’s Pathology of the Skin. 5th ed. Elsevier; 2019. ISBN: 9780702069833
- WHO Classification of Tumours Editorial Board. Skin tumours [Internet]. 5th ed. Lyon: International Agency for Research on Cancer; 2023 [cited 2025 Feb 14]. Available at: https://tumourclassification.iarc.who.int/chapters/64
- Ho J, Collie CJ. What’s new in dermatopathology 2023: WHO 5th edition updates. J Pathol Transl Med. 2023;57(6):337–340. doi: 10.4132/jptm.2023.09.22 EDN: YOOZND
- Tuffaha MSA, Guski H, Kristiansen G. Immunohistochemistry in tumor diagnostics. Springer; 2023. doi: 10.1007/978-3-031-45024-2 ISBN: 978-3-031-45023-5
- Gershenwald JE, Scolyer RA, Hess KR, et al. Melanoma staging: Evidence-based changes in the American Joint Committee on Cancer eighth edition cancer staging manual. CA Cancer J Clin. 2017;67(6):472–492. doi: 10.3322/caac.21409
- Saleem A, Narala S, Raghavan SS. Immunohistochemistry in melanocytic lesions: Updates with a practical review for pathologists. Semin Diagn Pathol. 2022;39(4):239–247. doi: 10.1053/j.semdp.2021.12.003 EDN: MMGQKG
- Plaza JA, Bonneau P, Prieto V, et al. Desmoplastic melanoma: an updated immunohistochemical analysis of 40 cases with a proposal for an additional panel of stains for diagnosis. J Cutan Pathol. 2016;43(4):313–323. doi: 10.1111/cup.12654
- Olaoba OT, Kadasah S, Vetter SW, Leclerc E. RAGE signaling in melanoma tumors. Int J Mol Sci. 2020;21(23):8989. doi: 10.3390/ijms21238989
- Abramova OB, Demyashkin GA, Drozhzhina VV, et al. On the pathomorphological pattern of the efficiency of photodynamic therapy of murine melanoma B16 using a new photosensitizer based on Chlorin e6 conjugate with a Prostate-specific membrane antigen. Molecules. 2022;27(11):3445. doi: 10.3390/molecules27113445 EDN: LAERII
- Pop AM, Monea M, Olah P, et al. The importance of immunohistochemistry in the evaluation of tumor depth of primary cutaneous melanoma. Diagnostics (Basel). 2023;13(6):1020. doi: 10.3390/diagnostics13061020 EDN: EONIKP
- Kamyab-Hesary K, Ghanadan A, Balighi K, et al. Immunohistochemical staining in the assessment of melanoma tumor thickness. Pathol Oncol Res. 2020;26(2):885–891. doi: 10.1007/s12253-019-00635-y EDN: LKTYOA
Дополнительные файлы




