The effectiveness of graphic prediction of the shape of the dental arches of the milk bite in the treatment of congenital anomalies
- Authors: Shkarin V.V.1, Dmitrienko D.S.1, Yagupova V.T.1, Dmitrienko T.D.1, Mansur J.P.1
-
Affiliations:
- Volgograd State Medical University
- Issue: Vol 20, No 1 (2023)
- Pages: 156-160
- Section: Original Researches
- URL: https://medbiosci.ru/1994-9480/article/view/143322
- DOI: https://doi.org/10.19163/1994-9480-2023-20-1-156-160
- ID: 143322
Cite item
Full Text
Abstract
Currently, experts have noted the need to search for new research methods based on the selection of the most stable anatomical landmarks for the graphic construction of dental arches of the milk bite and the assessment of their effectiveness in clinical practice. A retrospective biometric study of 27 pairs of plaster models of mammary bite jaws with their optimal functional occlusive relationships was carried out to develop diagnostic methods. Orthodontic treatment of 15 children with congenital pathology of the maxillofacial region was carried out by fixed arc equipment. Based on the analysis of biometrics, methods for the graphic construction of dental arches were developed. The first method was based on the laws of circle geometry (the prototype of the A.M. Schwarz method) and the calculation of the radius of the circle along its length (L = 2πR). To the sum of the crowns of 10 milk teeth, the value of the diastem component (in our case, 9 mm) was added and the length of the semicircle was obtained, which was enough to divide by the number π and get the magnitude of the radius of the circle. The effectiveness of treatment of children with unilateral cleft lip and alveolar process is shown. Analysis of dental arch biometric data showed that on the side of the cleft, the distance from the conditional sagittal to the milk canine was (11.52 ± 0.93) mm before treatment, and after treatment, the studied parameter was (16.39 ± 0.64) mm (p ˂ 0.05). On the cotrlateral side, the difference in the change in the position of the canine was not significant and in the dynamics of treatment changed from (14.93 ± 0.79) mm to (16.27 ± 0.84) mm (p ˃ 0.05). The diagonals of the dental arches (central-molar) on both sides after treatment were (35.52 ± 1.13) mm. Thus, taking into account the data obtained, it was concluded that the graphic reproduction of the dental arch of the milk bite in the treatment of children with anomalies of the dental arches was made.
Full Text
Аномалии и деформации зубочелюстной системы отражаются на морфологии лица и функциональных особенностях жевательного органа, положения элементов сустава вне зависимости от возрастных особенностей индивидуума [1]. Основу диагностических мероприятий составляет биометрическое исследование формы и размеров зубных дуг [2]. Заслуживают внимания методы анализа расположения окклюзионной плоскости, основные показатели которых определяют выраженность деформаций окклюзионных взаимоотношений и их взаимозависимость, что отражается на функции нижнечелюстного сустава [3].
В большинстве случаев методы исследования зубо-челюстной системы направлены на выявление отклонений размеров дентальных дуг с учетом одонтометрических данных, трансверсальных размеров в различных отделах арки и полового диморфизма [4, 5, 6]. При этом не только определяются отклонения в сагиттальных, трансверсальных, диагональных направлениях, но и изменения по вертикали, с различной выраженностью снижения высоты прикуса и нарушения формы зубных дуг [7]. Использование данных методов легли в основу выбора фиксирующих и активных элементов дуговой аппаратуры, где выбор размеров металлических дуг определяется индивидуальными особенностями прогнозируемой (конструктивной) формы зубной дуги. При этом специалисты обращают внимание на изменения в тканях пародонтального комплекса при лечении брекет-системой [8]. Методы графического анализа дентальных арок нашли широкое применение при лечении пациентов с полной адентией, где за наиболее стабильные ориентиры взяты размеры лица, в частности диагонали правой и левой стороны [9]. Специалистами отмечена взаимосвязь формы зубных дуг, положение передних зубов в протрузии/ретрузии на особенности элементов сустава и их значение в биомеханике жевательного органа с учетом индивидуальной анатомии и конституции [10].
Что касается диагностики аномалий молочного прикуса, то эти сведения не многочисленны и порой противоречивы, в особенностях при врожденной патологии [11]. До настоящего времени используется методика A. Schwarz, при которой в качестве ориентира используется положение вторых молочных моляров. При этом расстояние между ними считается диаметром полуокружности, которая описывает дентальную арку. В то же время данный метод, по мнению исследователей, не пригоден для детей с сужением зубных дуг в области моляров. Показан метод математического моделирования арки молочного прикуса, с учетом размеров передних зубов [12]. Тем не менее в настоящее время, необходим поиск новых методов исследования, основанных на выборе более стабильных анатомических ориентиров для графического построения зубных арок молочного прикуса и оценка их эффективности в клинической практике.
ЦЕЛЬ РАБОТЫ
На основе анализа биометрических исследований зубных дуг молочного прикуса разработать методы диагностики аномалий их формы и размеров и показать эффективность их применения в клинике ортодонтии.
МЕТОДИКА ИССЛЕДОВАНИЯ
Исследование проводилось в три этапа. На первом этапе проведено ретроспективное биометрическое исследование 27 пар гипсовых моделей челюстей молочного прикуса при их оптимальных функциональных окклюзионных взаимоотношениях, соответствующих возрастному периоду от 3 до 6 лет, до момента прорезывания первых постоянных моляров и медиальных нижних резцов.
При одонтометрии измеряли мезиально-дистальные диаметры коронок зубов с расчетом суммарной составляющей 10 молочных зубов каждой челюсти. Трансверсальные измерения зубных дуг проводились между вторыми молочными молярами. От межрезцовой (центральной) точки дуги измеряли резцово-молярную диагональ и глубину зубной дуги до определенных ориентиров (условная молярная трансверсаль). Длину зубной дуги измеряли от дистальной поверхности второго моляра до его антимера, гибкой проволокой (например, лигатурной) по вестибулярной поверхности зубов.
Разработка методов исследования и их клиническая апробация на зубных дугах с патологией формы и трансверсальных размеров являлась вторым этапом исследования.
На третьем этапе проведено лечение 15 детей с врожденной патологией и изучены гипсовые модели, на которых апробированы предложенные методы исследования. При оценке симметрии дентальных арок в качестве условной срединной сагиттали использовали перпендикуляр, построенный от середины межмолярного расстояния. Оценивали расположение антимеров по отношению к условной сагиттали. Результаты обработаны статистически на персональном компьютере с использованием программы Excel.
РЕЗУЛЬТАТЫ ИССЛЕДОВАНИЯ И ИХ ОБСУЖДЕНИЕ
Биометрия моделей челюстей молочного прикуса показала, что длина верхней дентальной арки была больше одонтометрических показателей в среднем на (9,1 ± 0,64) мм, что позволило эту величину использовать в качестве диастемной составляющей верхних зубных дуг. На нижней дентальной дуге на величину диастемной составляющей приходилось (8,91 ± 0,92) мм. Таким образом, для диагностики прогнозируемой длины зубной дуги при аномалиях ее формы и размеров нами рекомендовано к суммарному показателю мезиально-дистальных диаметров коронок зубов добавлять величину диастемной составляющей, которая для удобства вычислений, по нашим расчетам, в среднем составляла 9 мм.
Измерение трансверсальных размеров зубных дуг показало, что расстояние между верхними вторыми молярами составило (47,09 ± 2,44) мм, а на нижней арке (44,92 ± 1,98) мм (р ˂ 0,05) и позволило рассчитать межчелюстной молярный коэффициент, который в среднем составлял 1,05 и позволял определить соответствие или несоответствие исследуемых параметров.
Анализ сагиттальных размеров показал их взаимосвязь с трансверсальными показателями и установил, что глубина дентальной дуги составляла половину расстояния арки по трансверсали между молярами. Суммарная величина аркадных диагоналей равна сумме ширины коронковых частей молочных зубов на обеих арках.
Полученные биометрические данные позволили нам разработать два метода определения трансверсальных размеров дуг по одонтометрическим показателям. В основе первого метода легли законы геометрии круга (прототип метода A. М. Schwarz) и расчет радиуса окружности по его длине (L = 2πR). Таким образом, к сумме коронок 10 молочных зубов добавлялась величина диастемной составляющей (в нашем случае 9 мм) и получалась длина полуокружности, которую достаточно было разделить на число π и получить величину радиуса окружности. Полученная величина, как правило, соответствовала глубине дуги и половине межмолярного расстояния. Полученные данные служили критерием оценки ширины зубной дуги и определяли величину ее сужения при аномалиях в трансверсальном направлении.
Второй метод основывался на расчете прогнозируемой величины резцово-молярной диагонали. Глубина дуги соответствует половине ее ширины, а эти размеры являются катетами прямоугольного треугольника с углами в 45 градусов, и их размер можно определить как произведение гипотенузы (резцово-молярной диагонали) к синусу угла в 45 градусов (0,707)
Таким образом, разработанные методы диагностики аномалий зубных дуг в трансверсальном направлении могут быть полезны врачам-ортодонтам, что представлено на клиническом примере. Полученные данные позволили сравнить размеры зубной дуги с прогнозируемой формой и ее графической репродукцией (рис. 1). При биометрии пациента 4 лет отмечалось сужение арки в области моляров и увеличение сагиттальных размеров, что подтверждено графическим построением арки и предполагаемым расположением центральной межрезцовой точки.
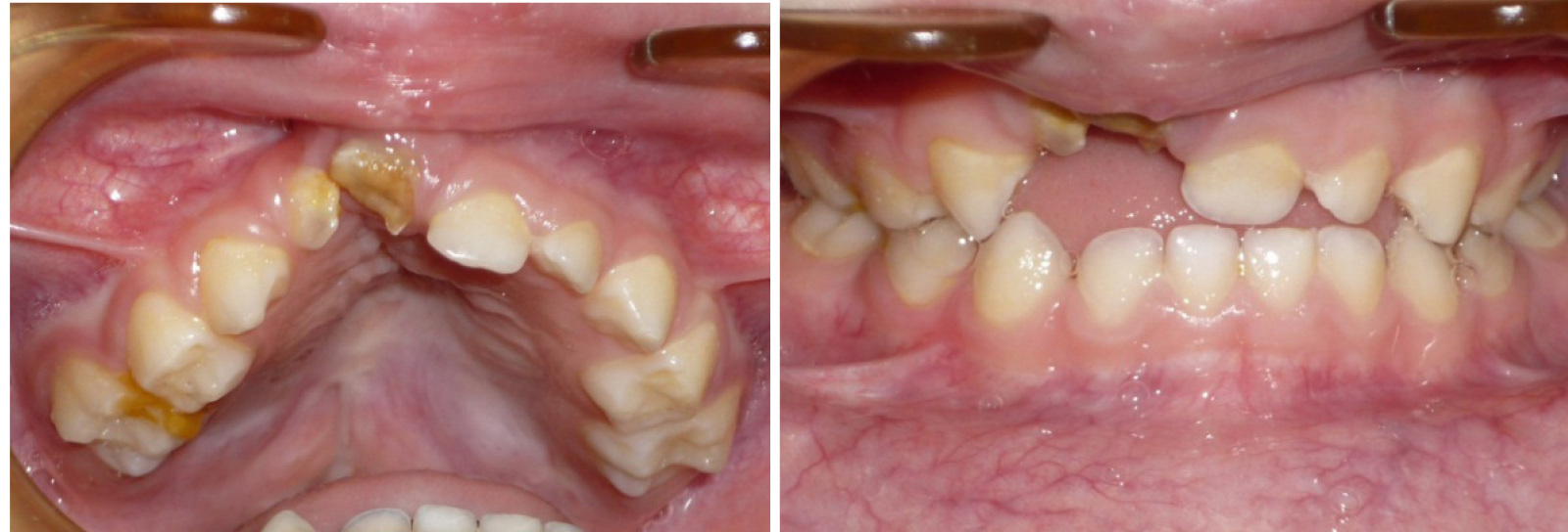
Эффективность предложенных методов графического построения прогнозируемых форм зубных арок определялась при анализе результатов лечения детей с врожденной аномалией в периоде молочного прикуса. С этой целью проведено лечение 15 детей с врожденным односторонним несращением губы и нёба. Практически во всех клинических случаях определялось сужение трансверсальных размеров, более выраженное в переднем сегменте арки. Окклюзия не соответствовала признакам физиологической нормы. Отмечалось укорочение глубины арки (рис. 2).
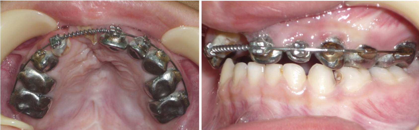
Лечение проводилось с применением несъемной дуговой аппаратуры. Фиксирующими элементами служили тонкостенные коронки (кольца) с припаянными вестибулярными брекетами. Размер металлической дуги определяли с помощью предложенных методов графического анализа (рис. 3). Металлические дуги меняли с учетом протокола лечения эджуайс-техникой до нормализации формы арки, соответствующей прогнозируемым размерам. После нормализации окклюзионных взаимоотношений аппарат использовался в качестве ретенционного до смены молочных зубов постоянными (рис. 4).
Анализ данных биометрии показал, что на стороне расщелины расстояние от условной сагиттали до молочного клыка составляло до лечения (11,52 ± 0,93) мм, а после лечения исследуемый параметр составлял (16,39 ± 0,64) мм (р ˂ 0,05). На котрлатеральной стороне разница в изменении положения клыка была не достоверной и в динамике лечения изменялась с (14,93 ± 0,79) до (16,27 ± 0,84) мм (р ˃ 0,05). Отмечалось изменение размеров диагоналей переднего сектора дентальных арок (клыковых диагоналей), которые на стороне расщелины в динамике изменялись от (13,34 ± 0,96) до (18,27 ± 0,71) мм (р ˂ 0,05). На контрлатеральной стороне исследуемый показатель изменялся с (16,73 ± 0,87) до (18,12 ± 0,95) мм (р ˃ 0,05). Диагонали зубных дуг (центрально-молярные) с обеих сторон после лечения составляли по (35,52 ± 1,13) мм.
Таким образом, с учетом полученных данных было сделано заключение об эффективности графической репродукции дентальной арки молочного прикуса при лечении детей с аномалиями зубных дуг.
ЗАКЛЮЧЕНИЕ
Таким образом, проведенный анализ размерных величин дентальных арок при оптимальной возрастной норме молочного прикуса позволил разработать методы диагностики аномалий в трансверсальном направлении, при которых используются относительно стабильные анатомические ориентиры, в частности размеры коронок молочных зубов. Предложен метод прогнозирования формы зубной дуги с использованием показателя диастемной составляющей для обеих челюстей (в среднем 9 мм).
Конфликт интересов. Авторы декларируют отсутствие явных и потенциальных конфликтов интересов, связанных с публикацией настоящей статьи.
Competing interests. The authors declare that they have no competing interests.
About the authors
Vladimir V. Shkarin
Volgograd State Medical University
Email: vlshkarin@mail.ru
ORCID iD: 0000-0001-7158-0282
Doctor of Medical Sciences, Head of the Department of Public Health and Public Health, Institute of Continuing Medical and Pharmaceutical Education
Russian Federation, VolgogradDmitry S. Dmitrienko
Volgograd State Medical University
Author for correspondence.
Email: s.v.dmitrienko@pmedpharm.ru
ORCID iD: 0000-0002-9555-6612
Doctor of Medical Sciences, Professor of the Department of Dentistry, Institute of Continuing Medical and Pharmaceutical Education
Russian Federation, VolgogradVioleta T. Yagupova
Volgograd State Medical University
Email: violeta.yagupova@mail.ru
Candidate of Medical Sciences, Associate Professor of the Department of Orthopedic Dentistry and Orthodontics, Institute of Continuing Medical and Pharmaceutical Education
Russian Federation, VolgogradTatyana D. Dmitrienko
Volgograd State Medical University
Email: s.v.dmitrienko@pmedpharm.ru
ORCID iD: 0000-0002-0935-5575
Candidate of Medical Sciences, Associate Professor of the Department of Orthopedic Dentistry and Orthodontics, Institute of Continuing Medical and Pharmaceutical Education
Russian Federation, VolgogradJulia P. Mansur
Volgograd State Medical University
Email: juliam75-1@mail.ru
Candidate of Medical Sciences, Associate Professor of the Department of Orthopedic Dentistry and Orthodontics, Institute of Continuing Medical and Pharmaceutical Education
Russian Federation, VolgogradReferences
- Fischev S.B., Puzdyryova M.N., Domenyuk D.A., Kondratyuk A.A. Morphological features of dentofacial area in peoples with dental arch issues combined with occlusion anomalies. Archiv Euromedica. 2019;9(1):162–163
- Shkarin V.V., Dmitrienko T.D., Kochkonyan T.S. et al. Analysis of classical and modern methods of biometric examination of dental arches in the period of permanent teeth (literature review). Vestnik Volgogradskogo gosudarstvennogo medicinskogo universiteta = Journal of Volgograd State Medical University. 2022;19(1):9–16. (In Russ.).
- Коробкеев А.А., Коробкеева Я.А., Гринин В.М. Анатомо-топографические особенности височно-нижнечелюстных суставов при различных типах нижнечелюстных дуг. Медицинский вестник Северного Кавказа. 2019;14(2):363–367. (In Russ.).
- Domenyuk D.A., Vedeshina E G., Dmitrienko S.V. Correlation of dental arch major linear parameters and odontometric indices given physiological occlusion of permanent teeth in various face types. Archiv euromedica. 2016;6(2):18–22.
- Shkarin V.V., Grinin V.M., Halfin R.A. et al. Specific features of grinder teeth rotation at physiological occlusion of various gnathic dental arches. Archiv euromedica. 2019; 9(2):168–173.
- Shkarin V.V., Grinin V.M., Halfin R.A., Domenyuk D.A. Specific features of transversal and vertical parameters in lower molars crowns at various dental types of arches. Archiv euromedica. 2019;9(2):174–181.
- Domenyuk D.A., Vedeshina E.G., Dmitrienko S.V. Efficiency evaluation for integrated approach to choice of orthodontic and prosthetic treatments in patients with reduced gnathic region. Archiv euromedica. 2015;5(2):6–12.
- Lepilin А.V., Dmitrienko S.V., Domenyuk D.A., Puzdyrova M.N., Subbotin R.S. Dependence of stress strain hard tissues and periodont on horizontal deformation degree. Archiv euromedica. 2019;9(1):173–174.
- Domenyuk D.A., Ghamdan A.H., Kochkonyan Т.S., Domenyuk S.D. A method for modeling artificial dentures in patients with adentia based on individual sizes of alveolar arches and constitution type. Archiv euromedica. 2021;11(1):109–115.
- Domenyuk D.A., Dmitrienko S.V., Domenyuk S.D. et al. Structural arrangement of the temporomandibular joint in view of the constitutional anatomy. Archiv euromedica. 2020;10(1):128–138.
- Porfiriadis M.P., Domenyuk D.A., Budaychiev G.M-A. dentoalveolar specifics in children with cleft palate during primary occlusion period. Archiv euromedica. 2018;8(1):33–34
- Porfiriadis M.P., Domenyuk D.A., Budaychiev G.M.-A. mathematic simulation for upper dental arch in primary teeth occlusion. Archiv euromedica. 2018;8(1):36–37.
Supplementary files





