Morphogenesis of thyropathies according to expression Oct3/4, PHH3, CK8, CK18 in chronic endogenous intoxication
- Authors: Polyakova L.V.1, Kalashnikova S.A.1, Vogel A.V.2
-
Affiliations:
- Volgograd State Medical University
- Pyatigorsk Medical and Pharmaceutical Institute
- Issue: Vol 20, No 2 (2023)
- Pages: 105-108
- Section: Original Researches
- URL: https://medbiosci.ru/1994-9480/article/view/143344
- DOI: https://doi.org/10.19163/1994-9480-2023-20-2-105-108
- ID: 143344
Cite item
Full Text
Abstract
Regeneration of internal organs under conditions of negative environmental impact, as well as adaptation to changing conditions of internal homeostasis in conditions of illness, is an urgent problem in regenerative medicine. The key links in the regulation of homeostasis are neuro-immune-endocrine relationships, where the main role in the regulation of metabolism is assigned to the thyroid gland. Morphological changes in the thyroid parenchyma under conditions of altered homeostasis in chronic endogenous intoxication (CEI) can lead to the formation of undiagnosed thyroid disorders and are not taken into the development of thanatogenesis. We conducted an IHC study to determine the main patterns of development of regenerative and adaptive processes of thyrocytes in conditions of CEI based on the expression of thyrocyte proliferation factors (PHH3), stem cells (Oct3/4), as well as to determine the risk of developing malignant neoplasms (CK8, CK18). It was found that in the formation of nodular neoplasms with a pronounced expression of PHH3 with a mitotic index of more than 25 %, it is necessary to conduct an IHC study to determine the expression of CK8, CK18 to identify the risk of developing thyroid neoplasms.
Full Text
Современные клеточные технологии в настоящее время позволили выявить стволовые клетки в различных эмбриональных тканях, а также установить их наличие в органах взрослого организма [1]. Особое значение придается плюрипотентным стволовым клеткам, которые способны дифференцироваться в различные клеточные популяции [2]. Для определения в тканях стволовых клеток в настоящее время используются различные антитела с помощью иммуногистохимического (ИГХ) метода исследования, где одним из маркеров является ядерный транскрипционный фактор Oct3/4 [3]. Доказано наличие иммунопозитивных клеток против Oct3/4 в тканях взрослого человека, однако роль и участие в канцерогенезе до настоящего времени остаются дискутабельными. Особое значение Oct3/4 придается при наличии пролиферации эпителиальных клеток в поисках таргетной терапии злокачественных новообразований не только эмбрионального происхождения, но и зрелых тканей. Учитывая этот факт, актуальным представляется определение Oct3/4 в ткани щитовидной железы (ЩЖ) в сопоставлении с маркерами пролиферативной активности PHH3, а также маркерами злокачественных новообразований цитокератинами 8 и 18 (CK8, СК18).
Известно, что большое представительство эпителиальных клеток в ЩЖ приводит к их активному делению в ответ на изменяющиеся условия как внешней, так и внутренней среды организма. Развитие адаптивно-приспособительных процессов в ЩЖ приводит к ее морфофункциональной перестройке и, соответственно, нередко к возникновению очагов пролиферации тироцитов с формированием узловых образований [4]. Имеются данные, что пролиферация клеток происходит как за счет фолликулярного эпителия с образованием дочерних фолликулов, так и за счет экстрафолликулярного эпителия. Однако оценить направленность данных процессов и предрасположенность к развитию тиреопатий до настоящего времени не представлялось возможным. Нередко узловые образования ЩЖ являются случайной находкой при вскрытии (исследование ЩЖ входит в стандарт патологоанатомического исследования), однако им не придается должного значения и вовлечения ЩЖ в танатогенез; хотя, очевидно, что изменение уровня тиреоидных гормонов приводит к морфофункциональным изменениям во всех органах. Таким образом, развитие тиреопатий на фоне хронической эндогенной интоксикации (ХЭИ) при различных соматических заболеваний является актуальной проблемой современной медицины.
ЦЕЛЬ РАБОТЫ
Установить закономерности экспрессии Oct3/4, PHH3, CK8, СК18 тироцитов на фоне хронической эндогенной интоксикации.
МЕТОДИКА ИССЛЕДОВАНИЯ
Нами был исследован архивный материал, полученный от 50 лиц мужского пола среднего возраста, имеющих в анамнезе цирроз печени с развитием хронической печеночной недостаточности, а также от лиц с заболеваниями почек, сопровождающихся развитием хронической почечной недостаточности на основании данных ретроспективного анализа историй болезни. Критериями включения в данную группу также являлось отсутствие в анамнезе эндокринных и системных заболеваний. После проведения стандартного гистологического исследования нами были отобраны парафиновые блоки для ИГХ-исследования с определением экспрессии Oct3/4, PHH3, CK8,18 непрямым иммунноперкосидазным методом.
Известно, что Oct3/4 относится к семейству белковых факторов POU5F1, в частности, кодируемых геном OTF3, который отвечает за обновление и дифференцировку клеток.
Универсальным маркером пролиферативной активности во всех эукариотических клетках, в том числе в ядрах железистого эпителия ЩЖ, является экспрессия фосфорилированных гистоновых белков – PHH3, которые входят в состав ядерного хроматина. Иммунопозитивное окрашивание дают клетки, где происходит фосфорилирование концевых фрагментов по серину 10 и 28. В отличие от Ki-67, PHH3 не дает ложноположительных результатов при возникновении механизмов запрограммированной клеточной гибели (апоптоза), где митотические фигуры выявляются совместно с дефрагментацией ядра при кариорексисе в процессе апоптоза.
Также нами было проведено ИГХ-исследование с выявлением экспрессии онкомаркеров, направленных на определение атипичных эпителиальных клеток. Установлено, что при развитии аденокарцином иммуннопозитивное окрашивание дают клетки с наличием мембранного цитоплазматического антигена против членов семейства цитокератинов (CK), подсемейства B: цитокератин 8-го типа (CK8) и цитокератин 18-го типа (CK18), клон SP102. Было установлено, что изменение экспрессии CK8, СК18 к белкам промежуточных филаментов цитоскелета свидетельствует о трансформации эпителиальных клеток.
Статистический анализ включал подсчет иммуннопозитивных клеток в полях зрения с последующим анализом данных в программе Graph Pad Prism 8.0.1.244. Митотический индекс (МИ) вычисляли по отношению иммунопозитивных клеток к общему числу клеток (%).
РЕЗУЛЬТАТЫ ИССЛЕДОВАНИЯ И ИХ ОБСУЖДЕНИЕ
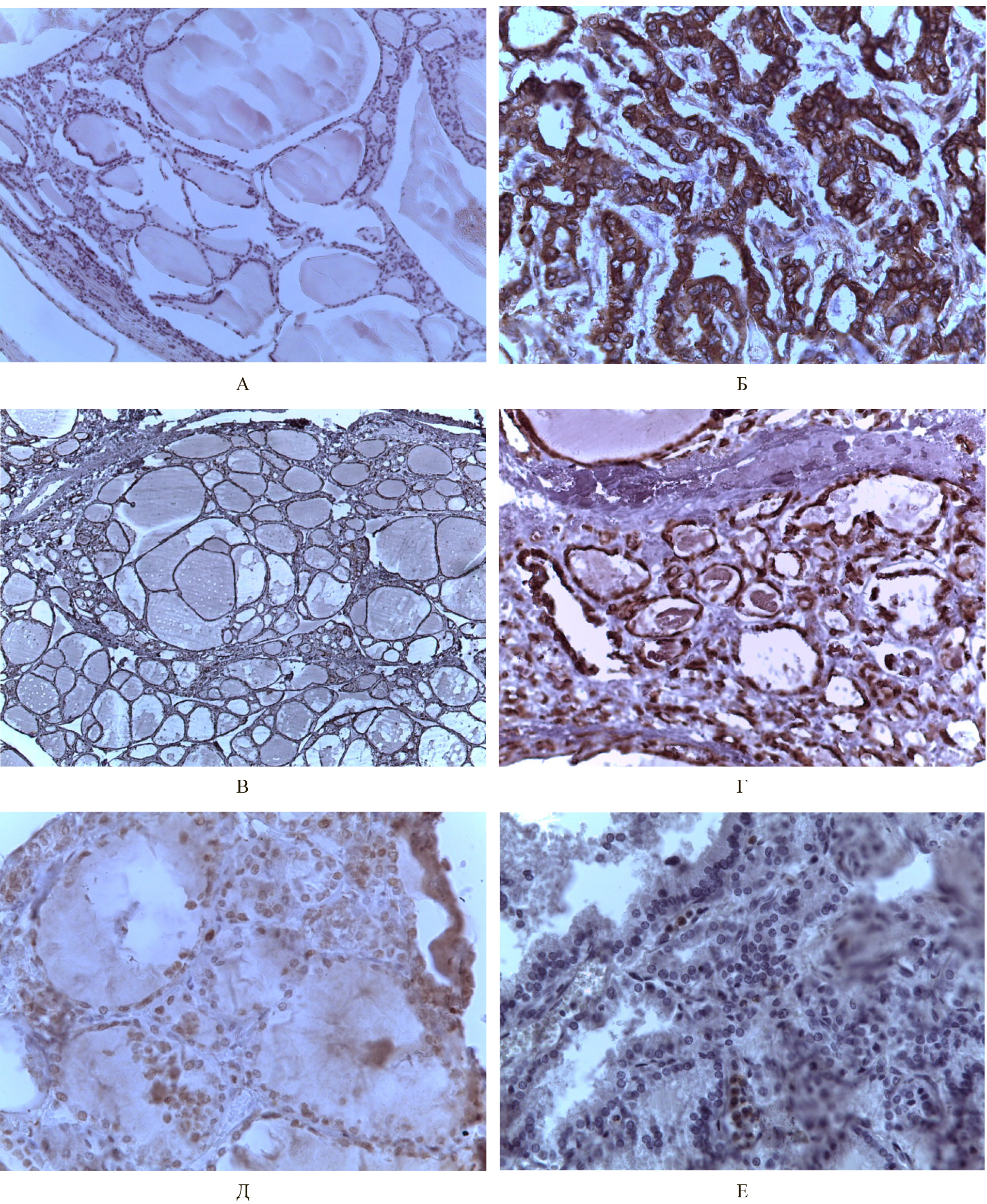
При ИГХ-анализе узловых образований, выявленных при стандартном гистологическом исследовании, было установлено, что они имели смешанный тип строения и не давали иммуннопозитивного окрашивания к CK18 (рис. А) в отличие от одного случая, где был выявлен фолликулярный рак в аденоме ЩЖ (рис. Б). При сопоставлении экспрессии CK8 и CK18 установлено, что при фолликулярном раке наблюдалась выраженная цитоплазматическая экспрессия данных маркеров, что может использоваться в ИГХ линейке маркеров для узловых образований ЩЖ.
Мы посчитали, что нецелесообразно использовать маркеры Oct3/4 и PHH3 при наличии злокачественных образований, так как это подразумевает высокий митотический индекс (МИ) тироцитов. Напротив, для определения пролиферативной активности клеток в узловых образованиях, где МИ будет иметь высокие значения, следует проводить исследование на экспрессию CK8, СК18 для исключения злокачественных новообразований. Наряду с этим в узловых образованиях экспрессия СК8 была слабо выраженной (менее 25 % клеток) или отсутствовала совсем (рис. В, Г).
Так, где МИ тироцитов составлял более 25 %, преимущественно в нижней доле ЩЖ, было выявлено иммунопозитивное окрашивание к СК8 (50–75 % клеток) наряду с СК18, где иммунопозитивное окрашивание давало до 50 % клеток. Данный факт вызывает онконастороженность, так как при наличии 50 % и более иммунопозитивных клеток при сочетанном использовании СК8 и СК8 может свидетельствовать об изменении цитоскелета тироцитов, что является предпосылкой к изменению фенотипа клеток и развитию злокачественных новообразований.
При оценке экспрессии Oct3/4 для определения плюрипотентных стволовых клеток выявило единичные иммунопозитивные клетки, которые, вероятно, служат для обновления тиреоидной паренхимы, а не для пролиферации тироцитов в условиях ХЭИ (рис. Д).
Наряду с этим, экспрессия PHH3 показала, что определяются островки иммунопозитивных клеток среди фолликулов, где источником служит экстрафолликулярный эпителий (рис. Е).
Рис. Узловые образования щитовидной железы: А – иммунонегативное окрашивание узловых образований ЩЖ к CK18. Ув. ×100; Б – обилие иммунопозитивных тироцитов к CK18 при фолликулярном раке ЩЖ. Ув. ×200; В – иммунонегативное окрашивание узловых образований ЩЖ к CK8. Ув. ×400; Г – обилие иммунопозитивных клеток к CK8 в узловом образовании ЩЖ. Ув. ×200; Д – единичные иммунопозитивные клетки к Oct3/4 (стрелка). Ув. ×400; Е – островки иммунопозитивных клеток к PHH3. Ув. ×400
ЗАКЛЮЧЕНИЕ
Анализ структурных изменений ЩЖ выявил, что при формировании узловых образований, которые локализуются преимущественно в нижней части долей ЩЖ, происходит экспрессия иммунопозитивных клеток к PHH3 и в меньшей степени к Oct3/4, где последние являются единичными и, возможно, играют роль в случаях регенерации тиреоидной паренхимы при тотальном/субтотальном удалении ЩЖ. В то время экспрессия PHH3 позволяет вычислить МИ, где значимыми показателями являются данные выше 25 %. В целом МИ в долях ЩЖ распределялся от 0 до 100 %, где в последнем случае было выявлено злокачественное новообразование. При показателях МИ более 25 % рекомендуется дополнительно использовать ИГХ-исследование к СК8 и СК18 для оценки риска возникновения новообразований ЩЖ. Таким образом, при наличии синдрома ХЭИ рекомендуется скрининговое обследование ЩЖ для исключения развития тиреопатий, где одним из морфологических компонентов является формирование узловых образований.
About the authors
Lyudmila V. Polyakova
Volgograd State Medical University
Author for correspondence.
Email: lvpolyakova7@gmail.com
ORCID iD: 0000-0002-5349-1435
Candidate of Medical Sciences, Associate Professor
Russian Federation, VolgogradSvetlana A. Kalashnikova
Volgograd State Medical University
Email: kalashnikova-sa@yandex.ru
ORCID iD: 0000-0002-7688-9366
Doctor of Medical Sciences, Associate Professor, Head of the Department for Anatomy
Russian Federation, VolgogradAndrey V. Vogel
Pyatigorsk Medical and Pharmaceutical Institute
Email: andru-fogel@mail.ru
ORCID iD: 0000-0001-7412-9155
Candidate of Biological Sciences, Head of the Department for Morphology
Russian Federation, PyatigorskReferences
- Suman S., Domingues A., Ratajczak J., Ratajczak M.Z. Potential Clinical Applications of Stem Cells in Regenerative Medicine. Advances in experimental medicine and biology. 2019; 1201:1–22. doi: 10.1007/978-3-030-31206-0_1.
- Yamanaka S. Pluripotent Stem Cell-Based Cell Therapy-Promise and Challenges. Cell Stem Cell. 2020:27(4):523–531. doi: 10.1016/j.stem.2020.09.014.
- Clemente-Periván S.I., Gómez-Gómez Ya., Leyva-Vázquez M.A. et al. Role of Oct3/4 in cervical cancer tumo-rigenesis. Frontiers in oncology. 2020;10:247. doi: 10.3389/fonc.2020.00247.
- Grani G., Sponziello M., Pecce V. et al. contemporary thyroid nodule evaluation and management. The Journal of clinical endocrinology and metabolism. 2020;105(9):2869–2883. doi: 10.1210/clinem/dgaa322.
Supplementary files


