Особенности клинической и морфологической диагностики эстезионейробластомы
- Авторы: Сперанский Д.Л.1,2, Ермилов В.В.2, Шаталова О.В.2, Сперанский Л.Д.2, Сучилина О.В.3
-
Учреждения:
- Институт непрерывного медицинского и фармацевтического образования
- Волгоградский государственный медицинский университет
- Волгоградский областной клинический онкологический диспансер
- Выпуск: Том 21, № 2 (2024)
- Страницы: 87-91
- Раздел: Оригинальные исследования
- URL: https://medbiosci.ru/1994-9480/article/view/262981
- DOI: https://doi.org/10.19163/1994-9480-2024-21-2-87-91
- ID: 262981
Цитировать
Полный текст
Аннотация
Заболеваемость злокачественными новообразованиями (ЗНО) в России и мире растет, и среди множества злокачественных опухолей основных локализаций встречаются редкие формы рака, упоминаемые в литературе как описание единичных наблюдений. К таким заболеваниям относится злокачественная нейроэпителиальная опухоль, возникающая из обонятельного нейроэпителия полости носа –эстезионейробластома (ЭНБ), на долю которой приходится всего от 3 до 6 % случаев ЗНО полости носа и околоносовых пазух. В связи с редкостью этого заболевания имеются определенные трудности клинической и морфологической диагностики ЭНБ, нет ее кодирования в МКБ, нет и единых стандартов лечения. В статье представлены результаты ретроспективного анализа особенностей клинической и морфологической диагностики эстезионейробластомы. Исследование проведено с использованием базы данных ГБУЗ Волгоградский областной клинический онкологический диспансер с 2003 по 2023 г. За этот период выявлено 9 пациентов с гистологически подтвержденным диагнозом эстезионейробластомы. При первичном гистологическом исследовании диагноз эстезионейробластомы был установлен только у 6 пациентов (66,6 %), у троих больных (33,4 %) были диагностированы другие формы злокачественного процесса, что не соответствовало клиническим проявлениям. Данные иммуногистохимического (ИГХ) исследования подтверждают наибольшее соответствие иммунофенотипа ольфакторной нейробластоме, G3 (по Hyams) М9522/33. Исследование показало, что использование для дифференциальной диагностики ИГХ-исследования является обязательным и позволяет более точно идентифицировать эстезионейробластому.
Ключевые слова
Полный текст
В настоящее время сводные статистические данные о ЭНБ, опубликованные отдельными авторами, клиниками и департаментами, свидетельствуют о зарегистрированных 2 145 случаях этого заболевания во всем мире. Так как результаты исследований ЭНБ в основном носят описательный характер клинических данных, которые до настоящего времени не систематизированы и не отражают особенностей клинических проявлений этого заболевания в зависимости от распространенности опухолевого процесса и морфологических характеристик, что крайне необходимо для своевременной и правильной диагностики, от качества которой зависит и результат лечения.
Классификация синоназальных опухолей с нейроэндокринной дифференцировкой учитывает их нейроэктодермальное и эпителиальное происхождение, из которых проявляются обонятельные нейробластомы (ОНБ) (также известные как эстезионейробластомы) и нейроэндокринные карциномы соответственно. Однако классификация и номенклатура по-прежнему остаются предметом постоянных споров. Хотя классификация нейроэндокринной карциномы хорошо известна, текущая номенклатура и классификация ОНБ остаются сложной задачей, поскольку ее точное происхождение и морфологические особенности недостаточно изучены, что отчасти объясняется низкой заболеваемостью. В еще более редких случаях в литературе описаны синоназальные опухоли со смешанными нейроэндокринными и ненейроэндокринными особенностями, что еще больше усложняет классификацию опухолей.
Морфологические исследования структурных вариантов ЭНБ (ОНБ) за последнее десятилетие выявили экспрессию маркеров невральной дифференцировки, подтверждающих нейроэктодермальную природу, и определили гистопатологические особенности опухоли [1, 2, 3, 4].
ЦЕЛЬ РАБОТЫ
Представить результаты ретроспективного исследования особенностей клинической и морфологической диагностики эстезионейробластомы.
МЕТОДИКА ИССЛЕДОВАНИЯ
Ретроспективное исследование проведено с использованием базы данных ГБУЗ Волгоградский областной клинический онкологический диспансер с 2003 по 2023 г. За этот период выявлено 9 пациентов с гистологически подтвержденным диагнозом эстезионейробластомы. Степень распространенности опухоли оценивали по схеме, предложенной в 1976 г. Kadish S. и соавт. и дополненной в 1993 г. Morita A. и соавт., а также с использованием классификации TNM. Для морфологической верификации злокачественного процесса использовали гистологическое исследование с оценкой степени дифференцировки опухоли по Hyams и иммуногистохимическое исследование с использованием антител к Keratin.Pan (AE/AE3), CD45 (Cocktail), Synaptophysin (SP11), ChromograninA (SP12), CD56 (56C04), Ki-67 (30-9), p63 (7JUL)RTU, S100, INI1, CD99 (HO36-1.1), а также с применением доставки с антителами к EMA (E29), TTF1 (8G7G3/1).
РЕЗУЛЬТАТЫ ИССЛЕДОВАНИЯ И ИХ ОБСУЖДЕНИЕ
К сожалению, по данным литературы, ЭНБ диагностируется на поздней стадии более чем у 80 % больных и имеет характер сочетанного поражения полости носа, околоносовых пазух (ОНП), костных и мягкотканных структур лицевого черепа, нередко полости черепа и мозга. Подобное положение требует использования достоверных методов клинической и морфологической диагностики и эффективных подходов к лечению, с использованием, по возможности и в зависимости от степени распространенности процесса, хирургических, лекарственных и лучевых методов [2, 4, 5].
В нашем исследовании (табл.) возраст больных колебался от 21 до 69 лет, медиана – 50,2 года. Больных мужчин было 3 (33,3 %), женщин – 6 пациенток (66,7 %). Только у двоих пациентов (22,2 %) с ЭНБ были ранние формы злокачественного процесса (стадия А и В) – Стадия А по Kadish выявлена в 1 случае (11,1 %), стадия В – у 1 пациента (11,1%); у 7 (77,8 %) – местнораспространенный или метастатический рак (стадии C и D) – преобладала стадия С – 5 пациентов (55,6 %). Стадия D диагностирована у 2 больных (22,2 %).
Распределение больных по полу, возрасту и степени распространенности процесса
№ | Пол | Возраст | МКБ 10 | Стадия по TNM | Стадия по Kadish – Morita |
1 | М | 69 | С 30.0 | T4N2M0 | D |
2 | М | 21 | С 30.0 | T4N2M1 | D |
3 | Ж | 64 | С 31.1 | T4N0M0 | C |
4 | Ж | 31 | С 31.3 | T4N0M0 | C |
5 | Ж | 62 | С 31.8 | T4N0M0 | C |
6 | Ж | 22 | С 30.0 | T2N0M0 | С |
7 | М | 61 | С 79.3 | T4N0M0 | С |
8 | Ж | 53 | С 31.0 | T2N0M0 | B |
9 | Ж | 69 | С 30.0 | T2N0M0 | A |
В клинической картине практически у всех больных преобладали чувство заложенности носа, различные нарушения обоняния, носовые кровотечения, головные боли. Для постановки диагноза, оценки распространенности опухолевого процесса и диспансерном наблюдении применяли визуальные (эндоскопические) методы диагностики, ультрасонографию, рентгеновскую компьютерную и магнитно-резонансную томографию. Морфологический диагноз устанавливали на основании гистологического и иммуно-гистохимического исследований.
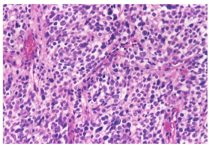
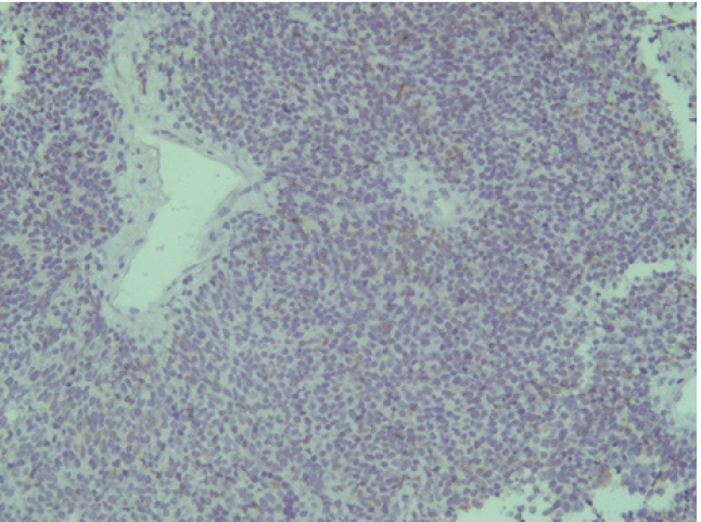
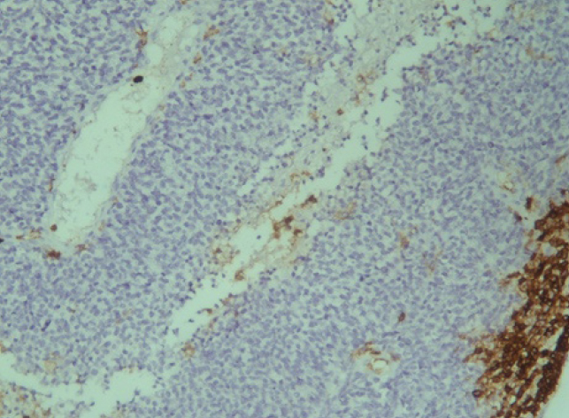
Опухоль с одинаковой частотой локализовалась в правой и левой половинах носа. Но из-за близости соседних анатомических структур и особенностей местнодеструирующего роста опухоли, у двух пациентов первичный очаг изначально диагностировали интракраниально (22,2 %), у двух – в верхнечелюстной пазухе (22,2 %), у одного – в носоглотке (11,1 %) и у двух пациентов (22,2 %) из-за степени распространенности процесса было невозможно анатомически точно определить область первичного возникновения опухоли. В таких ситуациях единственным способом верификации морфологической принадлежности злокачественного процесса является гистологическое исследование (рис. 1).
Эстезионейробластома по своей гистологической структуре напоминает лимфосаркому или симпатобластому и представлена комплексами гиперхромных клеток со структурами типа ложных розеток и скудным нейрофибриллярным матриксом, выраженным полиморфизмом [3, 6].
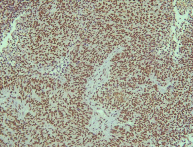
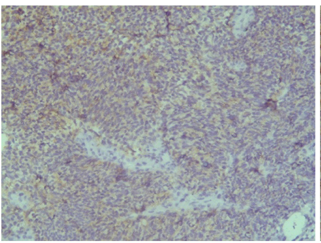
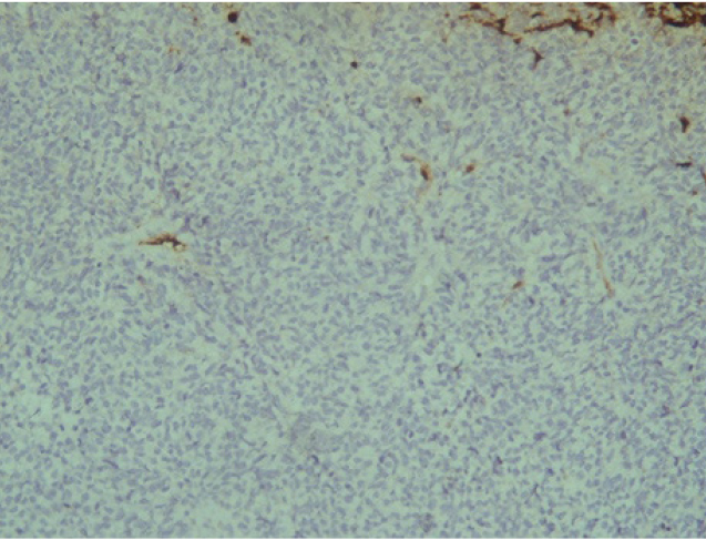
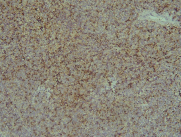
Поэтому при первичном гистологическом исследовании диагноз эстезионейробластомы был установлен только у 6 пациентов (66,6 %), у троих больных (33,4 %) были диагностированы другие формы злокачественного процесса, что не соответствовало клиническим проявлениям. Во всех случаях проводили иммуногистохимическое (ИГХ) исследование. ИГХ-исследование проводили на срезах с парафиновых блоков с использованием антител к Keratin.Pan (AE/AE3), CD45 (Cocktail), Synaptophysin (SP11), ChromograninA (SP12), CD56 (56C04), Ki-67 (30-9), p63 (7JUL)RTU, S100, INI1, CD99 (HO36-1.1). Также выполняли доставку с антителами к EMA (E29), TTF1 (8G7G3/1). В диагностических материалах была отмечена положительная экспрессия Synaptophysin, ChromograninA, CD56, Ki-67 (до 90% ядер), INI1 (рис. 2–6).
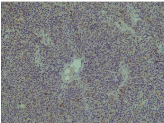
Отрицательная экспрессия была отмечена в диагностических образцах с использованием антител к Keratin.Pan, CD45, p63, S100, EMA (E29), TTF1(рис. 7–12).
Рис. 1. Ольфакторная нейрогенная опухоль полости носа (эстезионейробластома, клеточный полиморфизм) ×320 (окраска Г-Э)
Рис. 2. Synaptophysin [SP 11] ×200
Рис. 3. Chromagranin A [SP 12] ×200
Рис. 4. CD 56 [56C04] ×200
Рис. 5. Ki-67 [30-9] (90%) ×200
Рис. 6. INI 1 ×200
Рис. 7. Keratin.Pan [AE/AE3] ×200
Рис. 8. CD 45 [Cocktail] ×200
Рис. 9. p63 [7JUL] RTU ×200
Рис. 10. S100 ×200
Рис. 11. EMA [E29] ×200
Рис. 12. TTF1 [8G7G3/1] ×200
Эти результаты иммуногистохимического исследования подтверждают наибольшее соответствие иммунофенотипа опухоли – ольфакторной нейробластоме (G3 по Hyams) М9522/33.
ЗАКЛЮЧЕНИЕ
Сложности клинической и морфологической диагностики опухолей полости носа и близлежащих анатомических структур могут приводить к неправильной трактовке диагноза, что соответственно негативно влияет на выбор оптимальной тактики и результаты лечения. При первичном обследовании необходимо обязательное морфологическое подтверждение диагноза ЭНБ с ИГХ исследованием, указанием степени морфологической дифференцировки (G) Hyams и индекса пролиферативной активности Ki-67 [1, 2, 3, 6, 7].
Исследования иммуногистохимической панели показали, что в клетках ЭНБ, как и в других опухолях нейроэктодермального генеза, определяется экспрессия нейрон-специфической энолазы (NSE), синаптофизина, хромогранина, S-100 протеина, и не выражена экспрессия эпителиальных маркеров [8, 9].
Использование иммуногистохимических методов исследования является необходимым при затруднениях в установлении диагноза на светооптическом уровне в случаях низкодифференцированных и недифференцированных синоназальных карцином и других, имеющих общий с ЭНБ фенотип, мелко-круглоклеточных опухолей. ИГХ и цитогенетические (ЦГ) исследования, предпринятые в последнее десятилетие, определили новые опухолевые маркеры для ЭНБ (кальретин, Bcl-2, SSTR2А), которые расширили применяемую в настоящее время дифференциально диагностическую панель [8].
В последнее время значительное большинство авторов считают дифференцировку опухоли важнейшим фактором прогноза [7, 10]. Одним из способов определения злокачественности является изучение пролиферативной активности опухолевых клеток – индекс Ki-67 (клон MIB-1) [2, 8].
Изучение степени дифференцировки ЭНБ, предпринятое в 1983 году V. J. Hyams, привело к созданию патоморфологической классификации, выделяющей 4 степени злокачественности опухоли, влияющей на течение заболевания, лечение и прогноз [2, 8, 10].
Обязательное использование для дифференциальной диагностики иммуногистохимического исследования позволяет более точно идентифицировать эстезионейробластому, что дает возможность скорректировать тактику ведения таких пациентов и улучшить прогноз.
Об авторах
Дмитрий Леонидович Сперанский
Институт непрерывного медицинского и фармацевтического образования; Волгоградский государственный медицинский университет
Автор, ответственный за переписку.
Email: d_speransky@mail.ru
доктор медицинских наук; профессор кафедры онкологии, гематологии и трансплантологии
Россия, ВолгоградВиктор Владимирович Ермилов
Волгоградский государственный медицинский университет
Email: vladimirovich2001@hotmail.com
доктор медицинских наук, профессор кафедры судебной медицины
Россия, ВолгоградОльга Викторовна Шаталова
Волгоградский государственный медицинский университет
Email: shov_med@mail.ru
доктор медицинских наук, профессор кафедры клинической фармакологии и интенсивной терапии
Россия, ВолгоградЛеонид Дмитриевич Сперанский
Волгоградский государственный медицинский университет
Email: leonsamurai1@mail.ru
ассистент кафедры онкологии
Россия, ВолгоградОльга Вячеславовна Сучилина
Волгоградский областной клинический онкологический диспансер
Email: desireo@mail.ru
заведующий патологоанатомическим отделением
Россия, ВолгоградСписок литературы
- Иванцов А.О., Мацов Д.Е. Возможности иммуногистохимического исследования в диагностике опухолей. Практическая онкология. 2011;4(12):185–193.
- Оганян Е.Р. Эстезионейробластома. Факторы прогноза и тактика лечения: автореф. дис. … канд. мед. наук. М., 2022. 24 с.
- Сперанский Д.Л., Ермилов В.В., Сучилина О.В. и др. Морфологические особенности диагностики ольфакторной нейробластомомы. Лекарственный вестник. 2023; 24(4):39–41.
- Таболиновская Т.Д., Мудунов А.М., Алиева С.Б. и др. Эстезионейробластома (клиническое течение, отдаленные результаты). Опухоли головы и шеи. 2016;1(6):13–27.
- Огнерубов Н.А., Антипова Т.С., Огнерубова М.А. Эстезионейробластома. Ретроспективный анализ 10 наблюдений. CONSILIUM MEDICUM. 2022;24(9):618–624.
- Ермилов В.В., Букатин М.В., Затямина М.С. и др. Сравнительная морфологическая характеристика пролиферативной активности и содержания ДНК в ядрах клеток различных фенотипов злокачественных опухолей легкого. Вестник Волгоградского государственного медицинского университета. 2023;20(2):125–130. doi: https://doi.org//10.19163/1994-9480-2023-20-2-125-130.
- Tabyaoui I., Tahiri-Jouti N., Serhier Z. et al. Immu-nohistochemical expression of CD44s in human neuroblastic tumors: moroccan experience and highlights on current data. DiagnPathol. 2013;8:39–47.
- Czapiewski P. Kunc M., Haybaeck J. Genetic and molecu- lar alterations in olfactory neuroblastoma: implications for pathoge-nesis, prognosis and treatment. Oncotarget. 2016;7(32):52584–52596.
- Bouziane A., Aassouani F., Kaoutar S. et al. Olfactory Esthesioneuroblastoma: Study of 6 Cases and Rewiew of the Literature. Medical Reports and Case Studies. 2021; 6(S4):008–012.
- Singh S., Ranjan R., Singh M.K. et al. Correlating the treatment outcome with tumor staging, grading, and various treatment modalities in patients with esthesioneuroblastoma. South Asian J Cancer. 2019;8(2):124–126.
Дополнительные файлы













